Биологическая война (Часть 3) [Михаил Васильевич Супотницкий] (fb2) читать онлайн


 [Настройки текста]  [Cбросить фильтры]
  [Оглавление]

М.В. Супотницкий БИОЛОГИЧЕСКАЯ ВОЙНА Введение в эпидемиологию искусственных эпидемических процессов и биологических поражений

Светлой памяти академика РАМН Петра Николаевича Бургасова посвящается эта книга

СПИСОК СОКРАЩЕНИЙ

РУССКИЕ

ACT — аспартатаминотрансфераза

АМР — аденозинмонофосфат

АД — артериальное давление

AЛT — аланинаминотрансфераза

АТФ — аденозинтрифосфат

БО — биологическое оружие

БПА — биологические поражающие агенты

В/б — внутрибрюшинное введение

В/в — внутривенное введение

ВИЧ — вирус иммунодефицита человека

ВНО — вирус натуральной оспы

ВИС — вегетативная нервная система

ВПСП — возбуждающий постсинаптический потенциал

ВЭЖХ — высокоэффективная жидкостная хроматография

ВЭЛ — вирус энцефалита лошадей

ГАБК — γ-аминобутировая кислота (γ-аминомасляная кислота)

ГТФ — гуанозинтрифосфат

ГЭБ — гематоэнцефалический барьер

ДВС-синдром — синдром диссеминированного внутрисосудистого свертывания крови

ДДТ — дихлордифенилтрихлорметилметан

днДНК — двунитевая ДНК

ДНК — дезоксирибонуклеиновая кислота

Ж — женщина

ЖКТ — желудочно-кишечный тракт

И/н — интраназальное введение

И/т — интратрахеальное введение

ИВЛ — искусственная вентиляция легких

ИЛП — иммунобиологический лекраственный препарат

КБТО — см. Конвенция 1972 г.

КВЖД — Китайско-Восточная железная дорога КОЕ — колонии образующая единица

Конвенция 1972 г. — Конвенции о запрещении разработки, производства и накопления запасов бактериологического (биологического) и токсинного оружия и об их уничтожении КРС — крупнорогатый скот ЛПС — липополисахарид М — мужчина

м. п. о. — миллион пар оснований

МАП — мембрано-активный пептид

мАт — моноклональное антитело

МИК — минимальная ингибирующая концентрация

мкм — микрон, микрометр

ММ — молекулярная масса

ММГ — N-моно-метил-гидразин

МПА — мясопептонный агар

МПБ — мясопептонный бульон

МПКП — миниатюрный потенциал концевой пластинки МСД-пептиды — пептиды, дегранулирующие тучные клетки МФГ — N-метил-т-формилгидразин

НИУ — научно-исследовательское учреждение

нм — нанометр

нМ — наномоль

ОВ — отравляющее вещество

П/к — подкожно

ПДК — предельно допустимая концентрация ПЭГ — полиэтиленгликоль

РГАСПИ — Российский государственный архив социально-политической истории (Москва)

РНК — рибонуклеиновая кислота

РСК — реакция связывания комплемента

РЭС — ретикулоэндотелиальная система

сАМФ — циклический аденозинмонофосфат

СОЭ — скорость оседания эритроцитов

ССС — сердечно-сосудистая система

т. п. о. — тысяча пар оснований

ТМП — триметоприм

ФОС — фосфорорганические соединения

ХАО — хорион-аллантоисная оболочка куриных эмбрионов

ХБО — химико-биологическое оружие

ХО — химическое оружие

цАМФ — циклический аденозинмонофосфат

ЦВД — центральное венозное давление

ЦНС — центральная нервная система

ЦТЛ — цитолитические Т-лимфоциты

ЧД — частота дыхания

ЧСС — частота сердечных сокращений

ЭПР — эндоплазматический ретикулум

ЭПС — эндоплазматическая сеть

АНГЛИЙСКИЕ

aacA, aadA, aph (genes encoding resistance to aminoglycosides) — гены, кодирующие резистентность к аминогликозидам

АСЕ (angiotensin-converting enzyme) — ангеотензин-конвертирующий фермент

AChR (nicotinic acetylcholine receptors) — никотиновый ацетилхолиновый рецептор

ADE (antibody-dependent enhancement) — феномен антителозависимого усиления инфекции

AFLP (amplified fragment length polymorphisms) — полиморфизм длин амплифицированных фрагментов

AIDS (acquired immunodeficiency syndrome) — синдром приобретенного иммунодефицита

ALP (alkaline phosphatase) — щелочная фосфатаза

alpha-LTX, α-LTX (alpha-latrotoxin) — α-латротоксин (нейротоксин каракурта «Черная вдова»)

ALT (alanine aminotransferase) — аланинаминотрансфераза

AMI (American Media Inc.) — Американская медийная компания

AML (acute myelogenous leukemia) — острая миелоидная лейкемия

ANP (acyclic nucleoside phosphonate) — ациклический нуклеозидфосфонат

Ap (ampicillin) — ампициллин

APC (antigen presenting cell) — антигенпрезентирующая клетка

AST (aspartate aminotransferase) — аспартатаминотрансфераза

ATCC (American Type Culture Collection) — Американская коллекция типовых культур

attL, attR — левый и правый присоединяющие сайты

AVA (Anthrax Vaccine Adsorbed) — адсорбированная сибиреязвенная вакцина

BAL (bronchoalveolar lavage) — бронхоальвеолярный лаваж

ВВВ (blood-brain barrier) — гематоэнцефалический барьер

BCDPC (Bureau of Chronic Disease Prevention and Control) — Бюро по профилактике и контролю хронических болезней (США)

beta-BTX, β-ВТХ (β-bungarotoxin) — β-бунгаротоксин

bGHpA (bovine growth hormone polyadenylation sequence) — полиаденилационная последовательность бычьего гормона роста

BIV (bovine immunodeficiency virus) — бычий вирус иммунодефицита В1 (bleomycin) — блеомицин

BL2 (biosafety level 2) — второй уровень биобезопасности

blaVIM (gene encoding a VIM metallo-β-lactamase) — ген, кодирующий VIМ — металло-β-лактамазу BUN (blood urea nitrogen) — азот мочевины крови СА (capsid protein) — капсидный белок

CAEV (caprine arthritis encephalitis virus) — вирус артрита и энцефалита коз

CAR (coxsackievirus-adenovirus receptor) — рецептор коксакивирусов и аденовирусов

cat (gene chloramphenicol acetyltransferase) — ген, кодирующий хлорамфениколацетилтрансферазу

CAV (canine adenovirus) — собачий аденовирус

CBI (С. botulinum isolation medium) — среда для изоляции ботулинического микроба

CBS (Columbia Broadcasting System; в настоящее время CBS Broadcasting Inc.) — американская телерадиосеть

CDC (Center for Disease Control and Prevention) — Центр контроля и предотвращения инфекционных болезней, Атланта, штат Джорджия, США

CFU/ml (colony forming units per ml) — количество формирующих колонии единиц в мл

CHDF (continuous hemodiafiltration) — непрерывная гемодиафильтрация

cHS4 (chicken cHS4 β-globin insulator) — инсулятор куриного β-глобина СК (creatine phosphokinase) — креатинфосфокиназа

CFDT (cytolethal distending toxin) — цитолетальный растягивающий токсин

Cm (chloramphenicol) — хлорамфеникол (левомицетин)

CMM (cooked-meat medium) — среда на основе перевара мяса

CMV(cytomegalovirus) — цитомегаловирус

CNF (cytotoxic necrotizing factor) — цитотоксический некротизирующий фактор

CNS (central nervous system) — центральная нервная система

CNT (carbon nanotube) — углеродная нанотрубка

СРК (creatine phosphokinase) — креатинфосфокиназа

сРРТ (central polypurine tract) — центральный полипуриновый тракт

CPXV (Cowpox virus) — вирус коровьей оспы

Cr (serum creatinine) — сывороточный креатинин

CRE (creatinine) — креатинин

CRP (C-reactive protein) — С-реактивный белок

CS (constant sequences) — константные последовательности

СТ (Connecticut) — Коннектикут

СТЕ (constitutive transport element) — конститутивный транспортный элемент

CTS (central termination sequence) — центральная терминирующая последовательность

CAT (chloramphenicol acetyltransferase) — хлорамфениколацетилтрансфераза

DAG (diacylglycerol) — диацилглицерол

DBD (DNAbinding domain) — ДНК-связывающий домен

DBP (DNA-binding protein) — ДНК-связывающий белок

DBP (dynein-binding peptide) — дениин-связывающий белок

DC (dendritic cell) — дендрическая клетка

DC–Chol (dimethylaminoethane-carbamoyl-cholesterol) — диметиламиноэтанкарбамоилхолестерол

deltaU3, AU3 (self-inactivating deletion in U3 region of 3´ FTR) — самостоятельно инактивирующаяся делеция в U3 регионе 3´ FTR

DIS (dimerization initiation site) — сайт инициации димеризации

DF50 и FD50 — см. ЛД50 в Словаре терминов

Dox (doxycycline) — доксициклин DR (direct repeat) — прямой повтор

DSE (distal sequence element) — элемент периферической последовательности

dsRNA (double-stranded RNA) — двуцепочечная РНК DT (diphtheria toxin) — дифтерийный токсин

EAST (enteroaggregative E. coli heat-stable toxin) — энтероаггрегативный температуростабильный токсин E. coli

EDX, EDRS или EDS (energy-dispersive X-ray spectroscopy) — метод энергодисперсионной рентгеновской спектроскопии

EF (edema factor) — отечный фактор сибиреязвенного токсина

EF1α (human elongation factor 1-α promoter) — промотор фактора элонгации 1-α человека EF2 (e1ongation factor 2) — фактор элонгации 2

EGFP (enhanced green fluorescent protein) — белок с усиленной зеленой флюоресценцией

EGFR (epidermal growth factor receptor) — рецептор эпидермального фактора роста

EIAV (infectious anemia virus) — вирус инфекционной анемии лошадей

ELISA (enzyme-linked immunosorbent assay) — твердофазный иммуноферментный анализ

Env (envelope glycoprotein) — оболочечный гликопротеин

ER (endoplasmic reticulum) — эндоплазматический ретикулум

Ery (erythromycin) — эритромицин

ESI-MS (e1ectro spray ionization mass spectrometry) — ионизация распылением в электрическом поле

FACS (fluorescence activated cell sorting) — флуоресцентный сортинг, сортировка клеток с активированной флуоресценцией

FCV (F. tularensis — containing vacuole) — вакуоля, содержащая F. tularensis

FDA (Food and Drug Administration) — Управление по санитарному надзору за качеством пищевых продуктов и медикаментов (США)

fevR (Francisella effector of virulence regulation) — эффектор регуляции вирулентности

Francisella FIV (feline immunodeficiency virus) — вирус иммунодефицита кошачьих

FF (Florida) — Флорида

FPI (Francisella pathogenicity island) — остров патогенности Francisella

GAFV (gibbon ape leukemia virus) — вирус лейкемии гиббонов

GAS (interferon-gamma activated sequence) — γ-интерферон-активированная последовательность

GCS (The Glasgow Coma Scale) — шкала комы Глазго

GFAP(glial fibrillary acidic protein) — глиальный фибриллярный кислый белок

GFP (green fluorescent protein) — зеленый флюоресцирующий белок

Gm (gentamicin) — гентамицин

GM-CSF (granulocyte-macrophage colony stimulating factor) — гранулоцит-макрофаг колониести-мулирущий фактор

gRNA (viral genomic RNA) — вирусная геномная РНК

HBS (HEPES-buffered saline) — HEPES-забуференный солевой раствор

НС (hemorrhagic colitis) — геморрагические колиты

HD-Ads (helper-dependent adenovirus vectors) — хэлперзависимый аденовирусный вектор

HDF (hemodiafiltration) — гемодиафильтрация

HEK293T (human embryonic kidney 29 3T cells) — эмбриональные клетки почки человека линии 29 ЗТ

Hfr (high frequency of recombination) — высокая частота рекомбинации

Hg (mercuric ions) — ионы ртути

HIV (human immunodeficiency virus) — вирус иммунодефицита человека

HOS (human osteosarcoma cells) — клетки остеосаркомы человека

hp (hybrid promoter) — гибридный промотор

HPFC (high performance liquid chromatography) — жидкостная хроматография с высоким разрешением

HSPC (hematopoietic stem/progenitor cell) — гематопоэтические стволовые/прародительские клетки

HSPGs (heparan sulfate proteoglycans) — гепаринсульфат протеогликаны

HUS (hemolytic uremic syndrome) — гемолитический уремический синдром

HUVEC (human umbilical vein endothelial cells) — эндотелиальные клетки пупочной вены человека

ICAM-1 (intercellular adhesion molecule 1) — молекулы межклеточной адгезии-1

ICEs (integrative conjugative elements, conjugation transposons) — интегративные конъюгативные элементы, конъюгативные транспозоны

IDFV (integration-deficient lentiviral vector) — интеграционно-дефицитнй лентивирусный вектор

IL2RG (interleukin-2 receptor subunit γ-gene) — ген γ-субъединицы рецептора интерлейкина-2

IF-4 (interleukin 4) — интерлейкин 4 IN (viral integrase) — вирусная интеграза

IN(n) (integrase multimer) — интеграза-мультимер

int1 (class 1 integrase gene) — ген интегразы первого типа

iPS (induced pluripotent stem cell) — индуцируемые плюрипотентные стволовые клетки

IR (inverted repeat) — инвертированный повтор

IRES (internal ribosome entry sequence) — внутренний сайт связывания рибосомы

ISG (interferon stimulated genes) — ген, стимулируемый интерфероном

ISRE (interferon stimulated response element) — стимулируемый интерфероном промоторный элемент

JDV (Jembrana disease virus) — вирус болезни Джембрана (лентивирус, вызывающий иммунодефицит у крупного рогатого скота)

JSRV (Jaagsiekte sheep retrovirus) — ретровирус овец Jaagsiekte

К (kalium) — калий крови

Km (kanamycin) — канамицин

KRAB (Krtippel-associated box) — белковый домен KRAB (Kruppel)

LC-MS (liquid chromatography-mass spectrometry) — жидкостная хроматография-масс-спектрометрия

LCMV (lymphocytic choriomeningitis virus) — вирус лимфоцитарного хорименингита

LDH (lactate dehydrogenase) — лактатдегидрогеназа

LEDGF/p75 (lens epithelium-derived growth factor) — фактор роста эпителия хрусталика глаза

LF (lethal factor) — летальный фактор сибиреязвенного токсина

LLC (Limited liability company) — в русском языке соответствует понятию «Общество с ограниченной ответственностью» (ООО)

LOX-1 (lectin-like oxidized LDL receptor) — лектинподобный окисленный LDL-рецептор

LPH1 (latrophilin 1) — лактофилин 1

LT (heat-labile toxin) — температуро-лабильный токсин

LTR (viral long terminal repeat) — вирусный длинный терминальный повтор

LVS (live vaccine strain) — живой вакцинный штамм — так в США называют советскую туляремийную живую вакцину на основе штамма 15 НИИЭЕ, переданную им в 1950-х гг.

МА (matrix protein) — матриксный белок

МАРКК (mitogen-activated protein kinase kinase) — митогенактивированная протеинкиназакиназа

МСР (membrane cofactor protein) — белок мембранного кофактора (см. CD46)

MD (Maryland) — Мериленд

МЕЕ (multiple-locus enzyme electrophoresis) — многолокусный ферментативный электрофорез

mEGF (murine epidermal growth factor) — мышиный эпидермальный фактор роста

MgIAB (macrophage growth locus) — локус роста в макрофагах (для Francisella)

МНС II (major histocompatibility complex class II) — главный комплекс гистосовместимости второго класса

migR (macrophage intracellular growth regulator) — макрофаговый внутриклеточный регулятор роста (для Francisella)

MLD (median lethal dose) — средняя летальная доза (то же что и LD 50)

MLEE (multilocus enzyme electrophoresis) — мультилокусный ферментативный электрофорез

MLST (multiple-locus sequence typing) — многолокусное типирование последовательностей

MLV (Moloney Murine leukemia virus) — вирус мышиной лейкемии Молони

MLVA (multiple-locus variable-number tandem repeat analysis) — анализ многолокусных вариабельных тандемных повторов

MMAD (mass median aerodynamic diameter) — основной средний аэродинамический диаметр

MSCs (mesenchymal stem cells) — мезенхимальные стволовые клетки

MTD (maximum tolerated dose) — максимальная переносимая доза

MW (Maedi-Visna virus) — вирус Висна-Маэди

MWCNT (multiwall carbon nanotube) — мультистеночная углеродная нанотрубка

nAChRs (nicotinic acetylcholine receptors) — никотиновые ацетилхолиновые рецепторы

NBC (National Broadcasting Company) — Национальная широковещательная компания

NC (nucleocapsid protein) — нуклеокапсидный белок

NCLDVs (nucleocytoplasmic large DNA viruses) — нуклеоцитоплазматические большие ДНК-вирусы. В эту группу входят следующие семейства: Ascoviridae, Asfarviridae, Iridoviridae, Mimiviridae, Phycodnaviridae, Poxviridae, Marseillevirus NGF (nerve growth factor) — фактора роста нервов

NJ (New Jersey) — Нью-Джерси

NK (natural killer cells) — естественные киллеры

NLS (nuclear localization sequence) — локализованная в ядре последовательность NPC (nuclear pore complex) — поровый комплекс ядра клетки

Nratnpl (natural resistance-associated macrophage protein gene 1) — первый ген макрофагального белка, ассоциированного с естественной резистентностью nsP (nonstructural protein) — неструктурный белок

NY (New York City) — Нью-Йорк

OAS (phenomenon of original antigenic sin) — феномен первичного антигенного греха. Другое название — феномен антигенного импринтинга ORF (open reading frame) — открытая рамка считывания

ORMOSIL (amino-terminated organically modified silica) — кремний, модифицированный путем добавления аминогрупп

ОТС (ornithine transcarbamylase) — орнитинтранскарбамилаза

Р (internal promoter for transgene expression) — внутренний промотор для трансгенной экспрессии

РА (Pennsylvania) — Пенсильвания

рА (polyadenylation signal) — сигнал полиаденилации

РА (protective antigen) — протективный антиген сибиреязвенного токсина

PBS (primer binding site) — праймерсвязывающий сайт

PC (antibioticassociated pseudomembranous colitis) — антибиотикоассоциированные псевдомембранозные колиты

РСЕ (post-translational control element) — посттрансляционный контролирующий элемент

РЕ (pseudomonas exotoxin) — экзотоксин псевдомонад

РЕСАМ-1 (platelet/endothelial cell adhesion molecule-1) — молекула-1 клеточной адгезии тромбоцитов/эндотелия

PEI (polyethylene imine) — полиэтиленимин Per os — через рот (о приеме лекарства)

PFGE (pulsed-field gel electrophoresis) — пульс-электрофорез

PIC (viral preintegration complex) — вирусный преинтеграционный комплекс

PILs (PEGylated immunoliposomes) — ПЭЕилированные иммунолипосомы

PKC (protein kinase С) — протеинкиназа С

PLC (phospholipase С) — фосфолипаза С

PLL [poly(L-lysine)] — поли-L-лизин

PM (plasma membrane) — плазматическая мембрана

PMQR (plasmid-mediated quinolone resistance) — связанная с плазмидой резистентность к хинолонам

polyA (polyadenylation signal) — полиаденилационный сигнал

РРТ (polypurine tract) — полипуриновый тракт

РНК PR (viral protease) — вирусная протеаза

PRE (post-transcriptional regulatory element) — посттранскрипционный регуляторный элемент

PSE (proximal sequence element) — проксимальный элемент

PSTs (paralytic shellfish toxins) — паралитические токсины моллюсков

PTSAgs (pyrogenic toxin superantigens) — пирогенные токсические суперантигены

qac (gene encoding resistance to quaternary ammonium compounds) — ген, кодирующий резистентность к четвертичным аммониевым соединениям

qacED1 (truncated version of qacE) — усеченная версия гена qacE

qRT-PCR (quantitative reverse transcriptase polymerase chain reaction) — количественная обратнотранс-криптазная полимеразная цепная реакция RAPD (random amplified polymorphic DNA) — случайно амплифицированная полиморфная ДНК

RCL (replication competent lentivirus) — репликационно компетентный лентивирус

RCM (rolling circle mode) — репликация «по типу катящегося кольца»

RD114 — эндогенный ретровирус кошек, не связанный с болезнью

RFLP (restriction fragment length polymorphism) — исследование полиморфизма длин рестрикционных фрагментов

RIPs (ribosome inactivating proteins) — белки, инактивирующие рибосомы (обычно растительные яды с димерной структурой: рицин, абрин, модецин, вискумин, волькенсин)

RNAP II (RNA polymerase II) — РНК-полимераза II

RNAP III (RNA polymerase III) — РНК-полимераза III

RRE (Rev response element) — Rev-отвечающий элемент

RRV (Ross River virus) — вирус Росс Ривер RT (reverse transcriptase) — обратная транскриптаза

RTC (viral reverse transcription complex) — вирусный обратнотранскрипционный комплекс

rPHK (ribosomal ribonucleic acid) — рибосомная нуклеиновая кислота

SA (splice acceptor site) — сплайсингакцепторный сайт

SCID-X1 (X-linked severe combined immunodeficiency) — тяжелый комбинированный иммунодефицит

SD (splice donor site) — сплайсинг-донорный сайт

SEB (staphylococcal enterotoxin В) — стафилококковый энтеротоксин В (третья буква обозначает серотип токсина: SEA, SED и др.)

SeV (Sendai virus) — Сендай вирус

SF (scarlet fever) — скарлатина

SFV (Semliki Forest virus) — вирус леса Семлики

shRNA (small hairpin RNA) — маленькая шпилечная РНК

SIN (self-inactivating) — самоинактивирующийся (обычно имеется в виду вектор)

siPHK (small/short interfering РНК) — короткие интерферирующие РНК

SIPRI (Stockholm International Peace Research Institute) — Стокгольмский институт исследования проблем мира

siRNA (small interfering RNA) — малая интерферирующая РНК

SIV (simian immunodeficiency virus) — вирус иммунодефицита обезьян

Sm (streptomycin) — стрептомицин

SNAP-25 (synaptosomalassociated protein) — синаптосомал-ассоциированный белок

SNARE (sensitive factor attachment protein receptor) — чувствительный фактор присоединения белкового рецептора

SNPs (single-nucleotide polymorphisms) — отдельные нуклеотидные полиморфизмы

SPG — сиаловые протеогликаны

SPICE (smallpox inhibitor of complement enzymes) — ингибитор ферментов комплемента ВНО

SRT (польск. Samodzielny Referat Techniczny) — Отдельное техническое управление

SSS (scalded skin syndrome) — синдром шелушения кожи

ST (heat-stable toxin) — температурно-стабильный токсин

ST (sequence type) — сиквиенс-тип

STAT (signal transducers and activators of transcription) — сигнальные трансдуцеры и активаторы транскрипции

STX (saxitoxin) — сакситоксин Su (sulphonamide) — сульфонамид

sul1 (gene conferring resistance to sulphonamides) — ген резистентности к сульфонамидам

SVMPs (snake venom metalloproteinases) — металопротеазы змеиных ядов

SWCNT (single-wall carbon nanotube) — одностеночная углеродная нанотрубка

TAR (transactivation response element) — элемент, отвечающий на трансактивационный сигнал

Tb (tobramycin) — тобрамицин

TBLB (transbronchial lung biopsy) — трахобронхиальная легочная биопсия

Тс (tetracycline) — тетрациклин

TCR (T-cell receptor) — Т-клеточный рецептор

tetR (Tet repressor) — репрессор гена резистентности к тетрациклину

TLR (Toll-like receptor) — Toll-подобный рецептор ТМ (thrombomodulin) — тромбомодулин

Tm (trimethoprim) — триметоприм

TMP-SMX (trimetoprim-sulfametoxazol) — триметоприм-сульфаметоксазол

TPGY (tryptone-peptone-glucose-yeast extract medium) — среда на основе триптоно-пептон-глюкозо-дрожжевого экстракта

TSS (toxic-shock syndrome) — синдром токсического шока

TSST (toxic shock syndrome toxin) — токсин синдрома токсического шока

tTA (Tet-controlled transactivator) — контролируемый тетрациклином транскрипционный трансактиватор

tTS (Tet-controlled transcriptional repressor) — контролируемый тетрациклином транскрипционный репрессор

ТТХ (tetrodotoxin) — тетродотоксин

TU/ml (transducing units per ml) — количество транскрипционных единиц в мл

U3 (LTR 3' unique element) — LTR З'-уникальный элемент

U5 (LTR 5' unique element) — LTR 5'-уникальный элемент

USAMRIID (U.S. Army Medical Research Institute of Infectious Diseases) — Медицинский исследовательский институт инфекционных болезней армии США

USDA (U.S. Department of Agriculture's) — Министерство сельского хозяйства США

USPS (United States Postal Service) — Почтовая служба США

UTI (urinary tract infection) — инфекция уринарного тракта

UTR (untranslated region) — нетранслируемый регион

VA (Virginia) — Виргиния

VACV (Vaccinia virus) — вирус вакцины

VAMP (vesicle-associated membrane protein) — везикуло-ассоциированный мембранный белок

VARV (Variola virus) — вирус натуральной оспы

VATS (video-assisted thoracic surgery) — оперативное вмешательство на грудной клетке под видеонаблюдением

VEGF-F (Vascular endothelial growth factor) — васкулярный эндотелиальный фактор роста

VGSCs (voltaged-gated sodium channels) — потенциалзависимые натриевые каналы

VFS (vascular leak syndrome, Clarkson syndrome) — синдром пропускания сосудов

VNTR (variable-number tandem repeat) — варьирующие по числу тандемные повторы

VSV-G (Vesicular stomatitis virus GP) — гликопротеин вируса везикулярного стоматита

W (Visna virus) — вирус висны

w/v (per cent of weight in volume) — процент веса вещества в объеме раствора

WGST (whole genome sequencing and typing) — полногеномное секвенирование и типирование

WHV (woodchuck hepatitis virus) — вирус гепатита североамериканского лесного сурка

WPRE (woodchuck hepatitis virus post-transcriptional regulatory element) — постранскрипционный регуляторный элемент вируса гепатита североамериканского лесного сурка

X-SCID (X-linked severe combined immunodeficiency) — тяжелый комбинированный иммунодефицит, связанный с Х-хромосомой

ψ (viral RNA packaging signal) — сигнал для упаковки РНК-вируса

Часть 3. ЧАСТНАЯ НЕПРАВИЛЬНАЯ ЭПИДЕМИОЛОГИЯ

3.1. Сибирская язва

Микробиология B. anthracis. Восприимчивость животных. Инфицирующие дозы для животных и людей. Иммунитет. Происхождение и молекулярная эпидемиология возбудителя сибирской язвы. Экология и естественная эпидемиология B. anthracis. Устойчивость во внешней среде. Антибиотикорезистентность. Генетически измененные штаммы и их обнаружение. Патогенез. Клиническая картина сибирской язвы у людей при естественном инфицировании B. anthracis. Моделирование искусственного заражения B. anthracis. Клинические примеры искусственно вызванной сибирской язвы. Обобщенная клиника ингаляционной сибирской язвы. Диагностика искусственного поражения возбудителем сибирской язвы. Иммунопрофилактика. Лечение.


Сибирская язва (Anthrax) — опасная сапрозоонозная инфекционная болезнь людей и животных, вызываемая спорообразующей бактерией Bacillus anthracis. Характеризуется острым началом, тяжелой интоксикацией, лихорадкой, септицемией, возникновением отеков и карбункулов. Протекает в кожной, легочной и кишечной формах. Российские санитарно-эпидемиологические правила СП 1.3.2322-08 относят возбудитель сибирской язвы к II группе патогенности. По степени важности для национальной безопасности США В. anthracis относится к биологическим поражающим агентам категории А (см. табл. 2.2). С Первой мировой войны В. anthracis неоднократно применялась для осуществления биологических террористических актов и диверсий. В США и в Соединенном Королевстве со средины 1940-х гт. возбудитель сибирской язвы изучался как летальный агент БО. Для его боевого применения разрабатывались специальные рецептуры и боеприпасы. В первой половине 1952 г. их применяли для поражения войск и населения Северной Кореи и Северо-Восточного Китая. Специальные рецептуры на основе В. anthracis и снаряженные ими боеприпасы находились на вооружении американской армии до 1968 г. под шифром «N». Одна из сибиреязвенных рецептур, созданная в USAMRIID, использована для осуществления биотеррористического акта в США в сентябре — октябре 2001 г. (см. разд. 1.12.4). Наиболее вероятно применение посредством использования многоточечных источников и диверсионными (террористическими) методами.

Микробиология В. anthracis. Возбудитель сибирской язвы — анаэробная неподвижная грамположительная бактерия, относящаяся к роду Bacillus семейства Bacillaceae. Существует в трех формах: капсульной (в организме больного животного или человека; или на питательных средах, содержащих кровь или сыворотку, и при выращивании в атмосфере СО2); вегетативной бескапсульной (на обычных питательных средах), споровой (во внешней среде при свободном доступе кислорода и при длительном культивировании на питательных средах). Растет при температуре 36–38 °C на обычных питательных средах: в МПБ образуются хлопья на дне пробирки; на МПА — характерные колонии R-формы. Разжижает желатин, при выращивании на средах, содержащих кровь, гемолиза эритроцитов не вызывает. На средах с пенициллином сибиреязвенные бациллы приобретают форму шаров и формируют своеобразные колонии, называемые жемчужным ожерельем. На агаре Мак-Конки и других селективных питательных средах, содержащих соли желчных кислот, В. anthracis не растет. На поверхности агара Хоттингера уже через 9 ч роста в аэробных условиях при температуре 36–38 °C образуются характерные микроколонии, состоящие из завитых в один-два слоя нитевидных клеток с отходящими в сторону цепочками. Через 18–24 ч инкубирования при тех же условиях культуры вирулентных шгаммов сибиреязвенного микроба формируют матовые серо-белые и серебристо-серые, непрозрачные в отраженном свете зернистые колонии с бахромчатыми краями и диаметром 3–5 мм (рис. 3.1).

Рис. 3.1. Макроскопические изображения колоний В. anthracis. А. Микроколония сибиреязвенного микроба (штамм 71/72), выращенного в течение 9 ч на агаре Хоттингера. Микроколонии образованы нитевидными клетками, завитыми в несколько слоев. Фазовый контраст, увеличение в 65 раз. Б. Морфологические особенности колоний В. anthracis (СТИ-1), выращенных на агаре Хоттингера в течение 24 ч. Макрофотосъемка в падающем свете. Колонии матовые серовато-белые. В. Те же колонии в проходящем свете. Увеличение в 13 раз. Отчетливо видна шероховатая поверхность колоний, центр бугристый коричневого цвета, края бахромчатые в виде плоской зернистой каймы. Г. Колония капсульного штамма В. anthracis (вакцина Ценковского II), выращенного в бикарбонатном агаре в атмосфере углекислого газа. Визуально колонии в падающем свете напоминают жемчуг. При увеличении: центр колония выпуклый, периферия уплотненная, края ровные и округлые, поверхность гладкая. По А. Г. Золотареву с соавт. (2006)


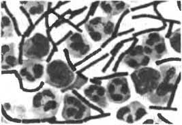
Клетки В. anthracis, выросшие на искусственных питательных средах, имеют вид прямых или слегка изогнутых палочек, длиной 6—10 мкм и шириной 1–2 мкм, часто соединяющихся в нити или цепочки различной длины. Полюса у них внутри цепочки прямые, словно обрубленные или выщербленные. Свободные полюса слегка закруглены. Прокрашиваются анилиновыми красителями. В мазках хранившихся культур и патологического материала встречаются визированные клетки, окрашенные по Грамму отрицательно. В мазках крови, экссудатов, а также в отпечатках пораженных органов, В. anthracis обычно располагается поодиночке и попарно. При фазово-контрастной микроскопии прижизненно окрашенных бацилл, приготовленных влажным тушевым способом, можно увидеть светлые ореолы вокруг темных тел бацилл — это капсулы, состоящие из поли-γ-О-глютаминовой кислоты (poly-γ-D-glutamic acid). Споры располагаются субтерминально или центрально, имеют овальную форму, не превышают диаметр тела клетки и не деформируют ее. Длина спор колеблется от 1,2 до 1,8 мкм, диаметр — в пределах 0,7–1,0 мкм. Окрашиваются методами Циля-Нильсона, Ожешко и Пешкова. При фазово-контрастчой микроскопии имеют вид блестящих зерен овальной формы с резко очерченными контурами. Поврежденные споры или споры в стадии прорастания выглядят более округлыми и диффузно потемневшими. Лизированные споры обычно темные, набухшие, деформированные, в центре расположен участок просветления (рис. 3.2).

Восприимчивость животных. Наиболее широко болезнь распространена среди копытных (22 вида). Из сельскохозяйственных животных сибирской язвой болеют крупный рогатый скот, овцы, козы, лошади, ослы, мулы, буйволы, верблюды, северные олени и свиньи. Имеются сообщения о случаях болезни у птиц.

Среди диких животных сибирскую язву регистрировали у лосей, косуль, ланей, бизонов, муфлонов, антилоп куду, зебр, жирафов, диких кабанов и бородавочников, слонов, памирских архаров, обезьян. Наблюдали болезнь у собак, волков, белых медведей, львов, тигров, пантер, гепардов, пум, лисиц, норок, соболей, куниц, песцов, скунсов, нутрий, енотов. Кошки болеют только в молодом возрасте. Зарегистрирована сибирская язва и среди грызунов; зайцев, хорьков, серых крыс, малого, желтого и песчаного сусликов, больших краснохвостых песчанок, красных и длиннохвостых сурков, лесных мышей. Пресмыкающиеся, земноводные, рыбы и беспозвоночные невосприимчивы к сибирской язве, но могут быть носителями возбудителя. Лягушки при искусственном заражении, если их держать в воде при температуре 35 °C, могут заболеть.

Из лабораторных животных к болезни чувствительны белые мыши, морские свинки и кролики. При их искусственном инфицировании болезнь протекает в виде септицемии и через 24–72 ч наступает смерть. Обычно через 24 ч погибают белые мыши, а морские свинки и кролики — через 2–4 сут, иногда на 5–7 сут.

Белые крысы невосприимчивы к сибирской язве, но инбредные крысы линии Фишер-344 и Вистар чувствительны к токсину В. anthracis. К парентеральному введению В. anthracis чувствительны сирийские золотистые хомячки, суслики, хорьки.

Инфицирующие дозы для животных и людей. Обобщены в работе Н. В. Литусова с соавт. (2002). Величина ингаляционно поражающей дозы (Lct50) для человека составляет около 20×103 спор, a Lct50 при объеме дыхания человека 10 л/мин — 20×103 спор×мин×л-1. Ингаляционные LD50 для морских свинок — 7,75×104, кроликов — 14×104, обезьян — 2,24×104, овец — 1,68×104, собак — 2,21×107, лошадей — 8×106 спор. Величина LD50 для споровой культуры обычно на порядок больше для вегетативных клеток. Восприимчивость человека к ингаляционному поражению сибирской язвой ближе к восприимчивости кроликов, обезьян и овец, которые являются наиболее чувствительными к ингаляционному и подкожному заражению возбудителем сибирской язвы.

Рис. 3.2. Микроскопическое изображение В. anthracis. А. Микроскопическая картина клеток В. anthracis, штамм 14/41 в окрашенных мазках культур, выращенных на агаре Хоттингера в течение 24 ч и хранившихся при температуре 0–4 °C 96 ч. Увеличение 1150 раз. Целые клетки окрашены грамположительно (фиолетовый или черно-фиолетовый цвет), визированные клетки выглядят как грамотрицагельные (розового цвета). Б. Прижизненная микроскопическая картина клеток возбудителя сибирской язвы (штамм 4–7), выращенных на агаре Хоттингера в течение 24 ч. Иммобилизация клеток агаровым гелем. Фазовый контраст Увеличение: 1350 раз. Споры светлые и овальные. Бациллы темные, имеют форму удлиненных цилиндров, расположены поодиночке, попарно или соединены в цепочки. Внутри клеток мелкие светящчеся гранулы липидов и крупные, ярко блестящие споры. Лизирующиеся бациллы отличаются пониженной оптической плотностью цитоплазмы В Капсула живых сибиреязвенных бацилл штамма 4–7. Бациллы выращены на бикарбонатном агаре в атмосфере углекислого газа в течение 48 ч Влажный тушевой метод Фа ювый контраст. Увеличение: 1350 раз. Капсула препятствует проникновению туши к клеткам и по этой причине выглядит в виде ореола, окружающего бациллы Г. Зрелая спора В. anthracis, штамм 14/41 при электронной микроскопии. У зрелой споры кортекс электронно-прозрачный Компоненты спор СП — спороплазма; КО — кортекс; СМ — споровая мембрана; СО — споровая оболочка; ЭК — экзоспориум. По А. Г. Золотареву с соавт. (2006)


При алиментарном заражении LD50 В. anthracis для животных, установленные опытным путем, составляли: для морских свинок — 1,62×108 (1,49×108—1,76×108), кроликов — 3,93×108 (3.5×108—4,4×108), обезьян — 2,05×107 (1,6×107—2,6×107) и овец — 5×107 спор. Расчетная LD50 для человека — 1,25×107 спор В. anthracis.

Иммунитет. Лица, перенесшие сибирскую язву, приобретают стойкий, но не абсолютный иммунитет. Известны случаи повторного заболевания кожной формой сибирской язвы через 2 года (Никифоров В. Н., 1973).

Происхождение и молекулярная эпидемиология возбудителя сибирской язвы. Внутри рода Bacillus, возбудитель сибирской язвы относится к группе В. cereus, включающей шесть видов бацилл: В. cereus, В. thuringiensis, В. anthracis, В. weihenstepha.unsis, В. mycoides и В. Dseudomytoides. Патологические процессы у людей вызывают В. cereus и В. anthracis (Klee S. К. et al., 2010). До работы A. R. Hoffmaster et al. (2004) считалось, что В. cereus причастен только к пищевой токсикоинфекции и в затруднительных случаях его можно отличить от сибиреязвенного микроба по наличию у последнего плазмид pXO1 и рХО2. Однако эти авторы описали изолят бациллы, не являющейся В anthracis, но обладающей генами сибиреязвенного токсина и способной вызывать ингаляционное поражение у A/J-мышей, патоморфологически очень похожее на ингаляционную сибирскую язву. Фенотипически и по результатам 16S rRNA-анализа микроорганизм идентифицирован как цереус (В. cereus G9241), но у него обнаружена плазмида, pBCXО1, чья нуклеотидная последовательность на 99,6 % оказалась идентичной кодирующей токсин плазмиде pXO1 В. anthracis И хотя другая плазмида сибиреязвенного микроба, рХО2, кодирующая гены капсулы, обнаружена не была, генный кластер, кодирующий так) ю же капсулу, был обнаружен в ранее неизвестной плазмиде цереуса, названной рВС218. Эволюционное древо, показывающее место В. anthracis среди близкородственных бацилл, приведено на рис. 3.3.

Рис. 3.3. Эволюционное и микробиологическое сходстве В. cereus и В. anthracis. A. Эволюционное древо группы В. cereus. Составлено по результатам мультилокусного типирования последовательностей В. cereus G9241 и других пнедставителей рода Bacillus. Б. Капсула В. cereus G9241, выросшей в естественной атмосфере, B. Капсула В. anthracis, выросшей в атмосфере, содержащей 5 % СО, (полоскасоответствует 10 мкм). По A. R. Hoffmaster et al. (2004)


Дальнейшие исследования показали наличие среди В. cereus штаммов, по плазмидному составу идентичных сибиреязвенному микробу S. К. Klee et al. (2010) описали полную последователь генома бациллы, вызвавшей в 2001–2002 гг. смертельные эпизоотии среди шимпанзе, обитавших во влажных джунглях Национального парка Тай (Tai National Park, Республика Кот-д’Ивуар). По клиническим признакам, патанатомии и гистологии пораженных тканей, болезнь однозначно приняли за сибирскую язву, протекающую с симптомами поражения кишечника и легких. ПЦР в реальном времени подтвердили наличие В. anthracis-маркеров в ДНК, выделенных из различных образцов органов и тканей погибших животных. У микроорганизма были обнаружены две плазмиды, идентичные плазмицам вирулентности сибиреязвенного микроба, рХО1 и рХО2, и еще одна небольшая плазмида, функции которой не были установлены. В 2004 г. похожие штаммы были получены от трех шимпанзе и одной гориллы, погибших в заповеднике Джа (Dja Reserve, Камерун), расположенном почти в тысяче миль к восток), от парка Тай. Однако все изоляты отличались от В. anthracis рядом микробиологических особенностей:

а) они обладали подвижностью;

б) были остойчивыми к γ-фагу;

в) обладали устойчивостью к пенициллину G.

Сначала их отнесли к новой группе В. anthracis (Leendertz F. Н. et al., 2006). Позже, на основе классической 16S рДНК филогении, их переклассифицировали в В. cereus. Эти данные предполагают наличие в природных резервуарах штаммов В. cereus, имеющих происхождение, независимое от классических штаммов В. anthracis. S. К Klee et al. (2010) предложили называть их «В. cereus variety (var.) anthracis».

В настоящее время в специальной литературе принято считать, что В. anthracis является клональным производным древнего вида из группы В. cereus, утратившего част в генов в ходе приспособительной эволюции (см. ниже), но который получил патогенный потенциал, главным образом, через приобретение двух плазмид вирулентности, рХО1 и рХО2 (Keim R et al., 2009).

Хромосома В. anthracis включает 5,23 т. п. о. (штамм Ames), средний показатель Г+Ц составляет 35,4 %. По предварительным данным, хромосома содержит примерно 5750 генов со средней длиной около 710 нуклеотидов. Особенностью генома В. anthracis является наличие генов белков, для которых не были определены соответствующие фенотипы. Их функции включают гемолиз, подвижность и устойчивость к антибиотикам: пенициллину и тетрациклину. Основные гены вирулентности сибиреязвенного микроба локализуются на двух больших плазмидах: рХО1 (181 т. п. о.) и рХО2 (96 т. п. о.). Экзотоксин, состоящий из трех субъединиц — летального фактора, протективного антигена и фактора отека, обнаруживается в островке патогенности, расположенном на рХО1. Кластер генов, необходимый для биосинтеза другого фактора вирулентности — капсулы, расположен на рХО2 (Seshadri R. et al., 2005).

Возбудитель сибирской язвы относится к генетически гомогенным патогенным микроорганизмам (genetically homogeneous pathogens). R Keim et al. (2009) считают, что это вызвано короткой эволюционной историей микроорганизма, исключающей накопление мутационного полиморфизма и наличием спогювой фазы в его жизненном цикле. Большинство мутаций в генах любого вида образуются во время циклов репликации хромосомы. Спора же позволяет существовать В. anthracis годами, не вовлекаясь в процесс деления, необходимый для поддержания вегетативных клеток.

Для изучения молекулярной эпидемиологии возбудителя сибирской язвы используют два подхода: многолокусный анализ варьирующих по числу тандемных повторов (multiple locus VNTR analysis, MLVA) (Keim P. et al., 2060); и анализ полногеномного полиморфизма отдельных нуклеотидов (single nucleotide polymorphism, SNP, снипсы) (Van Ert M. N. et al., 2007).

MLVA-анализ штаммов В. anthracis. С конца 1990-х гг. спосоо популярен среди исследователей, занимающихся выявлением межштаммовых различий В. anthracis. Он основан на чежштаммовом статистическом анализе VNTR. Подробно способ описан в работах P. Keim et al. (2000) и К. L. Smith et al. (2002). VNTR представляют собой короткие нуклеотидные последовательности (12 п о.), образующие тандемы, ориентированные в одном направлении. VNTR встречаются в хромосомной и плазмидной ДНК В. anthracis и варьируют по длине у разных штаммов сибиреязвенного микроба (табл. 3.1).

Таблица 3.1. Характеристики маркерных локусов VNTR В. anthracis[1]
 | Размер по количеству повторов

Локуса | Размер повтора в нуклеотидахб | наименьший | наибольший | Количество аллелей | Индекс разнообразия (D)

vrrA | 12 | 2 | 6 | 5 | 0,50

vrrB1 | 9 | 15 | 23 | 5 | 0,32

vrrB2 | 9 | 11 | 15 | 3 | 0,34

vrrC1 | 36 | 4 | 12 | 6 | 0,55

vrrC2 | 18 | 17 | 19 | 3 | 0,50

CG3 | 5 | 1 | 2 | 2 | 0,35

pXO1-aat | 3 | 4 | 11 | 8 | 0,81

pXO2-at | 2 | 6 | 15 | 9 | 0,79

Avg | | | | 5,1 | 0,52

а — курсивом показаны маркеры, обнаруженные в ORP; б — vrrB-повторы не являются идентичными. Отдельные из них содержат множественные нуклеотидные различия; vrrC-маркеры содержат 9 вырожденных субповторяюгцихся структур; D — индекс разнообразия подсчитывается как 1—∑ (аллельная частота)2.


У В. anthracis от двух до шести копий VNTR расположены в пределах открытой рамки считывания гена, обозначенного как vrrA ^ variable region with repetitive sequence). Ген vrrA кодирует белок с ММ 30 кДа, гомологичный микрофилярному белку SHP2 оболочки паразитного червя Litomosoides carinii (Andersen G. L. et al., 1996). To, что ген эволюционно законсервирован среди бактерий, свидетельствует о функциональной активности кодируемого им белка, но эта функция не установлена (Jackson R J. et al., 1997). Ген vrrC кодирует полипептид ДНК-транслоказу (DNA translocase) и обычно содержит триплетный VNTR. Обнаруженный в хромосоме бактерии триплет VNTR указывает на локализацию в данном участке структурного гена (Keim R et al., 2009).

Такие локусы амлифицируют ся в ПЦР с использованием праймеров, комплементарных их фланкирующим последовательностям. Аллельные варианты VNTR-локусов хорошо разделяются в агарозном геле. Размер аллелей может быть установлен путем сопоставления со стандартными маркерами ММ. Их количественный анализ позволяет классифицировать различные штаммы В anthracis в зависимости от числа повторов и аллельных вариаций повторов. Сам факт присутствия VNTR-локусов в геноме разных видов бактерий, возможно, связан с тем, что ДНК-полимераза катализирует синтез нуклеиновой кислоты через короткий тандем повторяющихся последовательностей. Они и являются тем, что мы называем «VNTR» (Keim P. et al., 2009).

Поданным MLVA-анализа, штаммы В. anthracis делят на три линии (А, В, С), среди которых A-клада (линия, группа, кластер) является наиболее значимой (до 90 % всех штаммов) и имеет глобальное распространение. К линии В относятся в разных исследованиях обычно менее 12 % изолятов. Встречается только в некоторых географических регионах. Ее подразделяют еще на две группы, В1 и В2. На Юге Африки 93 % изолятов В. anthracis представлены группой В1, где линия сосуществует со штаммами A-клады. Штаммы В. anthracis группы В2 встречаются в Швейцарии, странах Южной и Восточной Европы. Штаммы линии А подразделяют еще на 4 группы (кластера). Изоляты кластера А1 доминируют на западе Северной Америки и в Канаде (генотипы 1 и 3), встречаются в Южном Техасе (генотип 6). А2-ветвь встречается среди отдельных изолятов, привезенных из Пакистана. АЗ- кластер — самый распространенный из всех известных (до 58 % изолятов). Вызывает вспышки сибирской язвы на юге Африки (генотипы 30, 40, 67); в Австралии (штат Виктория, генотип 66), в Турции (генотип 35). Этой ветви соответствуют v звестные вакцинные штаммы V770-NPR (генотипы 45,46 и 49) и Стерн (генотипы 59 и 61). Ames, любимый штамм американских военных биологов (генотип 62), находится в АЗ.Ь-кластере. Кластер А4 недостаточно изучен. С-клада встречается редко и недостаточно изучена. Два независимых изолята были найдены в Соединенных Штатах (Keim P. et al., 2002, 200°). Кластерная принадлежность штаммов, вызвавших на одной территории сибирскую язву у людей и животных, может сильно отличаться. Например, в Швейцарии в начале 1980-х гг. вспышки сибирской язвы среди животных вызывали штаммы В. anthracis, принадлежащие к кластеру В2, среди людей — штаммы кластера А4. Это было связано с разным происхождением источника их заражения сибирской язвой: животные инфицировались из местных очагов, а люди — во время переработки кожаного сырья, завезенного из Индии (Pilo P. et al., 2008).

Показана территориальная и временная зависимость выделения из образцов штаммов В. anthracis различных линий. 30-летнее исследование молекулярных отличий штаммов сибиреязвенного микроба, выделенных в Национальном парке Крюгера (Kruger National Park, ЮАР), позволило установить ряд любопытных закономерностей (рис. 3.4).


Рис. 3.4. Временные и территориальные зависимости выделения образцов В. anthracis в национальном парке Крюгера поданным MLVA-анализа. А. Локализация изолятов А- и В-линий: а — карта отбораиндивидуальных изолятов; б — карта распределения изолятов по линиям. Б. Распределение линий изолятов по годам. В скобках количество изолятов в абсолютных цифрах. В. Связь линий изолятов с pH почвы (I) и наличием в ней солей кальция (II). По К. L. Smith et al. (2000)


Национальный парк Крюгера расположен на востоке Трансвааля между реками Лимпопо и Крокодиловая. На востоке парк граничит с Мозамбиком. Общая протяженность парка с севера на юг составляет 340 км. Три основные части парка (северная, центральная и южная) сформированы реками Олифанте и Саби. Климат на территории парка субтропический, сезон дождей обычно с октября по март (включительно) Сибирская язва поражает преимущественно копытных травоядных обитателей парка (Smith К. L. et al., 2000).

На территории ЮАР выявлено самое большое разнообразие среди штаммов сибиреязвенного микроба, что дало основание некоторым ученым считать ЮАР «родиной сибирской язвы». Характерной особенность сибиреязвенных очагов на юге Африки является преобладание в них A-линии В. anthracis (Keim P. et al., 1997). Генетическое расстояние среди штаммов А- и В линий, выделенных в сибиреязвенных очагах Парка Крюгера, наибольшее среди известных коллекций штаммов, собранных по территориальному принципу На территории парка Крюгера обнаружена четкая территориальная локализация вспышек сибирской язвы, вызываемых В. anthracis различных линий: линия А преобладает в центральной части парка, линия В на севере парка. Причем по распределению во времени количество изолятов той или иной линии может различаться. Например, линия В активно вовлекалась в эпизоотии только в 1970 гг. на севере парка. Вспыхнувшие тогда же эпизоотии сибирской язвы в его центральном районе, были вызваны штаммами A-линии. Эпизоотии начала 1990-х гг. вспыхнули в центральном регионе парка, и их вызвали штаммы A-линии. Однако когда эпизоотии охватили северный участок парка, в образцах также преобладали штаммы A-линии, что К. L. Smith et al. (2000) связали с наличием в природе неизученного механизма, позволяющего сибиреязвенному микробу мигрировать с одной территории (экологической ниши) на другую территорию (экологическую нишу). В частности, они указывают на проливные дожди в северной части парка, прошедшие в начале года, и предполагают, что дожди «вымыли» экологические ниши, вмешавшие В. anthracis В-линии.

Не менее любопытная находка исследователей — обнаружение статистически достоверной связи между pH почвы и содержанием в ней кальция, и наличием в почве штаммов В. anthracis различных линий. Штаммы сибиреязвенного микроба А-ли-нии вовлекаются в эпизоотии на территориях с нейтральным значением pH и умеренным содержанием кальция, штаммы В-линии проникают в популяции животных с территорий, pH почва которых близка к щелочной и содержит высокие концентрации кальция. Таким образом, пространственное и временное распределение различных генотипов сибиреязвенного микроба в парке Крюгера, установленное MLVA-анализом, показывает, что природные очаги сибирской язвы являются независимыми друг от друга. В. anthracis различных генотипов могут перемещаться по территории, коррелируя с определенными экологическими факторами; и/или сосуществовать на одной территории в различных экосистемах.

Анализ полногеномного полиморфизма отдельных нуклеотидов. Под таким анализом понимают выявление отличий последовательности ДНК размером в один нуклеотид (А, Т, G или С) в геноме (или в другой сравниваемой последовательности) представителей одного вида или между гомологичными участками гомологичных хромосом индивида. Две последовательности ДНК — AAGCCTA и AAGCTTA — отличаются на один нуклеотид. В таком случае говорят о существовании двух аллелей: С и Т. Снипсы возникают в результате точечных мутаций.

Анализ индивидуальных снипсов, по сравнению с MLVA-анализом, менее информативен. Однако если исследователь использует филогенетический подход к идентификации снипсов, он может эффективно дифференцировать штаммы бактерий в генетических группах с хорошо охарактеризованной популяционной структурой (Van Ert М. N. et al., 2007). Полногеномный сиквиенс пяти штаммов В. anthracis позволил выявить у них не менее 3,5 тыс. снипсов. Т. Pearson et al. (2004) картировали перекрестно почти 1000 таких снипсов в 27 различных (diverse) изолятах и составили точную филогенетическую модель для В. anthracis, позволяющую установить филогенетическую позицию любого изолята В. anthracis. На основе их данных, М. N. Van Ert et al. (2007) сформулировали рабочую гипотезу, в соответствии с которой разделение штаммов сибиреязвенного ми кроба по подгруппам, соответствующим каноническим снип-сам (canSNPs), т. е. снипсам, локализованным в ключевых филогенетических узлах эволюционного древа В. anthracis, способно заменить трудоемкий полногеномный SNP-анализ и обеспечить более «высокое разрешение», чем MLVA-анализ, при дифференциации штаммов в пределах линий А, В и С.

М. N. Van Ert et al. (2007) разделили изоляты линий А, В и С на 12 консервативных групп или линий. Семь соответствуют полногеномным последовательностям штаммов сибиреязвенного микроба, охарактеризованных как «конечные точки» ветвей в пределах древа канонических снипсов (C.USA.A1055, KrugerB, CNEVA.9066, Ames, Australia 94, Vollum, Western North America). В дополнение к этим семи линиям древа канонических снипсов (canSNP tree), canSNP-анализом они идентифицировали еще пять субгрупп, позиции которых расположены вдоль ветвей древа. Для отдельных линий и субгрупп характерна своя географическая локализация (рис. 3.5 и 3.6).

Рис. 3.5. Взаимосвязь между canSNP, сублиниями и/или субгруппами В. anthracis. Звездочки в дендрограмме соответствуют одной из семи последовательностей генома В. anthracis, на основе которых построены семь его специфических линий («родословных»). Кружки соответствуют точкам ветвления, расположенным вдоль таких линий, и отражают наличие в ее пределах специфических субгрупп изолятов (показаны буквенно-цифровыми обозначениями). По М. N. Van Ert et al. (2007)

Рис. 3.6. Генетическое родство и географическая локализация 1033 изолятов возбудителя сибирской язвы. Указано количество изолятов, связанных с каждой canSNP-группой. Черная полоса соответствует генетической дистанции между штаммами. По М. N. \йп Ert et al. (7007)


Экология и естественная эпидемиология В. anthracis. Резервуаром В. anthracis является почва, а вот каким образом и в каких хозяевах поддерживается этот паразитический микроорганизм, неясно. Ранее мной было высказано предположение, что возбудитель сибирской язвы поддерживается в почве не только в состоянии споры, но и среди почвенных простейших. В отдельных их видах он существует в состоянии, которое называемся «некультивируемой формой бактерий»; в других — размножается как паразитический организм и, попадая в среду, богатую кислородом, спорулирует (Супотницкий М. В., 2000. 2009).

Для человека при вспышках естественно возникающей сибирской язвы источником возбудителя являются больные домашние животные: крупный рогатый скот, лошади, ослы, овцы, козы, олени, верблюды, свиньи, у которых болезнь протекает в генерализованной форме. Наиболее вероятен контактный путь инфицирования, реже встречаются алиментарный, воздушно-пылевой и трансмиссивный. Кроме непосредственного контакта с больными животными, заражение человека может произойти при участии большого числа факторов передачи. К ним относятся выделения и шкуры больных животных, их внутренние органы, мясные и другие пищевые продукты, почва, вода, воздух, предметы окружающей среды, обсемененные сибиреязвенными спорами. В механической инокулятивной передаче возбудителя значение имеют кровососущие насекомые (слепни, муха «жигалка») (Шувалова Е. П. с соавт., 2001). Однако для понимания причины вспышки сибирский язвы среди людей эпидемиологу необходимо иметь представление о том, где и при каких обстоятельствах возможны ее эпизоотии.

По данным, приведенным Н. Г. Ипатенко с соавт. (1996), для нормального цикла развития возбудителя сибирской язвы в почве необходимы: наличие органических веществ (1—14 %), влажность не выше 50 % от обшей влагоемкости; нейтральная или слабощелочная среда, температура не ниже 15 °C и не выше 35 °C. Почвы с большим процентом содержания гумуса при прочих равных условиях имеют более благоприятные условия для размножения В. anthracis. Подзолистые почвы, особенно с сильнокислой реакцией, неблагоприятны для размножения возбудителя сибиоской язвы, и наоборот, чернозем и все серолесные земли, имеющие нейтральную и близкую к нейтральной реакции, с обязательным содержанием азота, калия, кальция, фосфора, являются благоприятной средой для вегетации В. anthracis.

Основной путь заражения животных сибирской язвой — алиментарный. Возбудитель сибирской язвы сохраняется не только в почве скотомогильника, как это принято считать. Сибирскую язву часто наблюдали в стадах животных, которых пасли в местах проведения земляных работ, в поймах рек с размытыми берегами, а зимой при скармливании сена, собранного на территории, где осуществлялись земляные работы. В засушливые годы споры возбудителя сибирской язвы моту т разноситься на большие расстояния пыльными бурями.

Корма как фактор передачи возбудителя сибирской язвы приобретают значение в зимнее время, когда влияние других факторов (насекомых, пастбища и пр.) или ограничено, или полностью исключено. Все корма на контаминацию спорами возбудителя сибирской язвы исследовать невозможно. Необходимо сузить круг поиска, пользуясь литературными данными Н. Г. Ипатенко с соавт. (1996) считают, что наименее опасными с точки зрения естественной контаминации В. anthracis являются зернофураж и сено. Житняк, картофель, хрен, редис, турнепс способствуют размножению сибиреязвенных микробов в почве и проникновению их в нижележащий слой. С этими растениями не исключена возможность передачи возбудителя сибирской язвы животным. Наиболее вероятным фактором ею передачи в зимний период являются концентрированные норма, в которые добавлены корма животного происхождения и, в частности, мясокостная мука.

Самым опасным источником В. anthracis является кровянистая жидкость, вытекающая из всех естественных отверстий трупа животного. Вместе с жидкостью сибиреязвенные бациллы проникают в почву и на открытом воздухе спорулируют. Тем самым создается свежий почвенный очаг, продолжительность сохранения которого зависит от почвенно-климатических условий данной местности. Труп животного представляет меньшую опасность. В первые часы после гибели животного В. anthracis быстро размножается, повышая свою вирулентность. В последующем в неповрежденном трупе наступает полный анаэробиоз и бациллы не могут переходить в споровое состояние. Кроме того, летом при высокой температуре в трупе размножаются в основном анаэробы, являющиеся антагонистами возбудителя сибирской язвы. В результате гнилостного разложения В. anthracis погибает в течение 3—12 сут.

В России эпизоотии сибирской язвы обычно совпадают с засухой, неурожаем трав и хлебов. В северных широтах (за 60°) эпизоотии отмечали в основном с марта по август, с усилением в июле. В зимние месяцы болезнь не регистрировали. В районах, расположенных между 60° и 55° с. ш., единичные случаи сибирской язвы наблюдали в течение всей зимы. Количество случаев сибирской язвы увеличивалось с апреля, максимума достигало в июле, в августе снижалось, а в декабре отмечали единичные вспышки болезни. Для широт 50–55° с. ш. максимальное число случаев этой болезни зарегистрировано в июле, с августа по октябрь оно снижалось. Для широт 50–45° с. ш. характерно нарастание эпизоотии в мае, удерживалась она почти на одном уровне с июля по август, в сентябре наступал спад. В пределах широт 30–45° с. ш. сибирская язва в зимние месяцы появляется чаще, чем на территории указанных выше широт.

Н. Г. Ипатенко с соавт. (1996) выделяют три зоны проявления сибирской язвы. Первая — зона спорадического проявления сибирской язвы. Территория севернее 58° с. ш. и восточные районы Забайкалья, полярный и северная часть бореального пояса. Почвенно-климатические факторы здесь неблагоприятны для жизнедеятельности возбудителя во внешней среде. Температуры, благоприятные для вегетации бацилл, удерживаются лишь 2 месяца — июнь и июль. Сезонности болезни не отмечается.

Вторая зона — зона периодического проявления сибирской язвы. Территория между 58° и 54° с. ш. и районы западнее озера Байкал (бореальный пояс). Характеризуется большим разнообразием почвенно-климатических факторов — от мало благоприятных до благоприятных для жизнедеятельности возбудителя в почве. Температуры, благоприятные для вегетации В. anthracis, наблюдаются 5 месяцев в году: май — сентябрь. Заражение животных происходит от кормов и почвы. Отмечается сезонность проявления болезни. Заболевания начинаются в мае, максимальное количество случаев наблюдается в июле — августе. Заболеваемость быстро снижается в сентябре.

Третья зона — зона устойчивого проявления сибирской язвы. Территория от 55–53° с. ш. до южных границ бывшего СССР, в Сибири — Алтайский край (суббореальный и субтропический пояса). Почвенно-климатические условия наиболее благоприятны для В. anthracis. Температуры, благоприятные для вегетации бацилл, регистрируются 6 месяцев в году: апрель — сентябрь. Инфицирование животных происходит чаще от почвы. Отмечается четкая сезонность проявления болезни. Неблагополучие хозяйств по сибирской язве бывает относительно высоким во все месяцы, но с конца мая оно начинает возрастать, достигая максимума в июле — августе, а затем, в сентябре — октябре, медленно снижается до минимума.

В развитии эпизоотического процесса Н. Г. Ипатенко с соавт. (1996) различают два периода: пассивный и активный. Пассивный период наблюдается при температуре воздуха ниже 12 °C, а почвы — ниже 15 °C. Почва при этих температурах обычно освобождается от снега. Животных начинают выгонять на пастбище, и они могут попадать на участки, контаминированные в прошлом возбудителем сибирской язвы (скотомогильник и пр.). Однако в это время они слабо контаминированы возбудителем болезни. Количество неблагополучных пунктов и заболевших животных бывает минимальным. Активный период наблюдается при температурах воздуха от 12 до 30 °C, а почвы — от 15 до 35 °C. Н. Г. Ипатенко с соавт. (1996) выделяют три стадии эпизоотического процесса: подъем, максимальное развитие и угасание. Осенью, при температурах воздуха ниже 10 °C, а почвы — ниже 13 °C, вновь наступает пассивный период эпизоотического процесса. Неблагополучие по сибирской язве становится минимальным.

Естественным источником инфицирования людей и животных В. anthracis могут быть животные со скрытым течением болезни. У свиней чаще, чем у других животных сибирская язва проявляется развитием местного патологического процесса и значительно реже в виде септицемии. Степень опасности бациллоносительства во многом зависит от формы болезни. При местной форме сибирской язвы возбудитель болезни купируется в местах проникновения в организм животного (обычно в лимфатических узлах) и во внешнюю среду не выделяется. Обычно такую патологию наблюдают у свиней, однако при стрессовых состояниях (резкое ухудшение условий содержания, переохлаждение, пере1ревание, физическое напряжение, голод и т. д.), когда резистентность организма снижается, у животного может возникнут… инфекционный процесс с развитием остро протекающей сибирской язвы. Иногда таксе явление наблюдают и при поражении кишечника. При этом воспаленные очаги могут в нем вскрываться, и возбудитель болезни будет выделяться во внешнюю сред;.

Фермеры и мелкие владельцы ска. а могут скрыть факт эпизоотии сибирской язвы, либо не распознать ее при молниеносном, подостром, хроническом или атипичном течении болезни. Поэтому при выявлении звеньев эпидемической цепочки, по которым распространилась В. anthracis, необходимо путем опроса самих фермеров (хозяев), их работников и соседей по внешним признакам течения болезни установить хозяйства, где были возможны эпизоотии сибирской язвы (рис. 3.7).

Рис. 3.7. Внешние признаки сибирской язвы у сельскохозяйственных животных А. Сибиреязвенные поражения подчелюстных лимфоузлов с большим отеком в области шеи у свиньи. Б. Отечность головы у коровы. Язык свисает изо рта, ноздри расширены. В. Отек на тазовой конечности овцы. Состояние животного в момент возбуждения. Г. Сибиреязвенный отек в области живота у осла при подостром течении сибирской язвы. Д. Парез грудных и та ювых конечностей у овцы за несколько часов до гибели от сибирской язвы. Е Овца, павшая от сибирской язвы. По Н. Г. Ипатенко с соавт. (1996)


Наиболее обоснованное подозрение на сибирскую язву у фермера бывает лишь в том случае, когда она протекает у животного в карбункулезной форме или при наличии отеков в подчелюстной области. Карбункулы могут возникать в различных частях тела и достигать иногда больших размеров. Вначале появляются плотные, горячие и болезненные припухлости. Очень скоро они становятся холодными и безболезненными. В центре карбункула ткани некротизируются, отпадают, в результате образуется язва. Температура тела повышается незначительно. Она может сопутствовать септицемии, острому и подострому течению болезни.

При развитии у животного припухлостей и отеков говорят об ангинозной форме сибирской язвы. Их появление — результат действия сибиреязвенного токсина. Температура тела повышается незначительно. Обычно поражаются подчелюстные, заглоточные и шейные лимфатические узлы. Болезнь начинается в виде ангины. В области шеи возникает припухлость. У одних животных она небольшая, у других, начиная от гортани, тянется по трахее и нередко переходит на грудь и предплечье. Кожа в области шеи приобретает синевато-красный оттенок. Обнаруживают отеки языка и твердого неба. Из-за сильного опухания глотки животное держит голову напряженно, сопит, глотательные движения нарушены. Отмечают кашель, хрипоту, иногда рвоту. Видимые слизистые оболочки цианотичные. Состояние животного подавленное, оно стремится зарыться в подстилку (свиньи) и подолгу лежит.

При внезапной гибели животного может вообще не быть каких-либо клинических признаков. Но если болезнь несколько затягивается, то опрос позволит установить хозяйства, в которых гибели животных предшествовала стадия, когда животные были возбуждены и напуганы. Так у овец и коз возникает возбуждение, они скрежещут зубами, при попытке идти делают резкие скачки и падают или совершают манежные движения и погибают в течение нескольких минут после появления первых симптомов. Крупный рогатый скот и лошади тоже вначале возбуждены; взгляд испуганный, температура тела повышена до 40–42 °C, пульс учащенный, дыхание глубокое, прерывистое, видимые слизистые оболочки цианотичные. Отмечается сокращение отдельных мышц в различных частях тела, а затем и групп мышц. Животные громко мычат, некоторые ревут, бьют грудными и тазовыми конечностями о землю, упираются головой в стенку, имеют испуганный вид, «стеклянные глаза», метеоризм рубца, запоры или поносы, моча содержит примесь крови, появляются одышка, судороги мышц, конвульсии. Животное падает, издает глухое мычание, запрокидывает голову на спину, иногда кладет ее на туловище или прижимает к груди и гибнет. Изо рта и носа выделяется кровянистая пенистая жидкость. Возбуждение сменяется быстро развивающимся угнетением. Животное погибает внезапно или в течение нескольких часов.

При подостром течении симптомы болезни нарастают медленно и временами могут ослабевать. В этот период животные кажутся здоровыми: они поедают корм, пережевывают жвачку. Однако через несколько часов состояние их резко ухудшается. Приступы болезни мотуг повториться 2–3 раза, на последней стадии болезни у животных вид испуганный, пучеглазие, застывший взгляд, зажатый корм в ротовой полости. У овец и коз иногда появляются отеки в области вымени, живота и половых органов и гиперемия кожи на внутренней стороне тазовых конечностей. Отеки бывают и у крупного рогатого скота. Они могут быть различной формы и величины, тестообразные, холодные, безболезненные. Иногда наблюдают карбункулы. Нередко при агональном состоянии у больных животных резко снижается температура тела вплоть до субтерминальной, наблюдаются резко выраженные нарушения функций ЦНС. Болезнь длится не более 8 суток.

У свиней при остром и подостром течении сибирской язвы в первую очередь отмечают сонливость. Они отказываются от корма, подолгу лежат; если их сгоняют с места, передвигаются вяло. В жаркую погоду свиньи не испытывают жажды. Более того, они заметно избегают воды. Если же они пытаются пить, то засасывают воду тонкой струей, которая сразу же выливается обратно. Аналогичную картину отмечают и при приеме корма. У некоторых свиней наблюдают рвот/. Как правило, бывает понос или запор, температура тела повышена до 42 °C, дыхание учащенное. У некоторых свиней возникают отеки в области шеи и подгрудка. Вначале они красные, затем становятся синюшными. У супоросных свиноматок возможны аборты иди рождение мертвых поросят. Пои таком течении болезни животное погибает на 2–3 сут или несколько позже.

Хроническое течение сибирской язвы длится более 2 мес. и характеризуется у жвачных и лошадей обычно слабым подъемом темпера' уры тела, прогрессирующим истощением и профузным поносом. У свиней могут поражаться лимфатические узлы в области шеи, здесь же иногда появляется небольшой отек, затем эти симптомы исчезают и животное кажется здоровым. Однако очаги поражения в организме сохраняются и выявляют их лишь при послеубойном осмотре.

Большую трудность для своевременного распознания естественной вспышки сибирской язвы у людей создает атипичное течение сибирской язвы у животных. У заболевших животных возможно незначительное повышение температуры тела, иногда появление небольших отеков в различных частях тела или усиление саливации, возникновение симптомов острой тимпании рубца или вздутия других поджелудков, инвагинация кишечника, слизисто-гнойное воспаление диафрагмы, травматическое повреждение селезенки, острый геморрагический перикардит, атония желудка, гнойный гепатит, ретикулит, геморрагический гастрит, признаки отравления ядохимикатами.

Кишечная форма сибирской язвы у животных сопровождается расстройством функции органов пищеварения. Вначале у животного отмечают запор, сменяющийся диареей. Температура тела высокая и удерживается до 10 сут. У ослов болезнь протекает остро и подостро. Клинические признаки примерно такие же, как у крупного рогатого скота, но имеются отличия. У большинства ослов наблюдают карбункулезную форму болезни. Поражения локализуются в области живота, вымени, мошонки, подгрудка, анального отверстия. При остром течении болезни отмечают лихорадку, кровоизлияния на слизистых оболочках, набухание век. При подостром течении животные отказываются от корма, пульс учащен, слабого наполнения, зрачки расширены, дыхание глубокое, частое. Температура тела повышается медленно и за сутки до гиоели достигает 41–42 °C. Слизистые оболочки цианотичные. Волосы взъерошены Возбужденное состояние сменяется угнетением. Животное погибает от асфиксии. Хроническое течение болезни нередко продолжается 30 сут и более. Клинические признаки выражены слабо. В подкожной клетчатке появляются большие отеки: диффузные, тестообразные, разлитые, флюктуирующие. Отек вначале резко очерчен, твердый, безболезненный. Затем он медленно распространяется по всей брюшной полости и переходит на подгрудок и морду. Температура тела повышается незначительно. Появляются судороги. Из естественных отверстий вытекает кровянистая жидкость. На фоне этих симптомов животное погибает (Ипатенко Н. Г. с соавт, 1996).

Устойчивость но внешней среде. В невскрытом трупе вегетативные к летки В. anthracis разрушаются в течение 2–3 сут, в зарытых трупах они сохраняются до 4 сут. В замороженном мясе при температуре минус 15 °C В. anthracis жизнеспособна 15 сут, в засоленном мясе — до 1,5 мес. В навозной жиже, смешанной с сибиреязвенной кровью, вегетативные клетки В. anthracis погибают через 2–3 ч, споры же остаются в ней вирулентными в течение нескольких месяцев. В запаянных ампулах с чистыми бульонными культурами споры остаются жизнеспособными и вирулентными до 63 лет, в почве — более 50 лет. Спирт, эфир, 2 %-ный формалин, 5 %-ный фенол, 5—10 %-ный хлорамин, свежий 5 %-ный раствор хлорной извести, 5 %-ная перекись водорода разрушают вегетативные клетки сибиреязвенного микроба в течение 5 мин. Этиловый спирт 25—100 %-ный убивает споры В. anthracis в течение 50 сут и более, 5 %-ный фенол, 5-10 %-ный раствор хлорамина — от нескольких часов до нескольких суток, 2 %-ный раствор формалина — через 10–15 мин, 3 %-ный раствор перекиси водорода — через 1 ч, 4 %-ный раствор перманганата калия — через 15 мин, 10 %-ный раствор гидроокиси натрия — через 2 ч. Вегетативные клетки В. anthracis при нагревании до температуры 50–55 °C гибнут в течение 1 ч, при температуре 60 °C погибают через 15 мин, при 75 °C — через 1 мин, при кипячении — мгновенно. При медленном высушивании наступает спорообразование и В. anthracis не гибнет. При температуре — 10 °C бактерии сохраняются 24 сут, при минус 24 °C — 12 сут. Воздействие прямого солнечного света обезвреживает возбудитель сибирской язвы через несколько часов. Сухой жар при температуре 120–140 °C убивает споры В. anthracis через 2–3 ч, при температуре 150 °C — через 1 ч, текущий пар при 100 °C — через 12–15 мин, автоклавирование при 110 °C — за 5—10 мин, кипячение — через 1 ч (Mock М., Fouet А., 2001).

Антибиотикорезистентность. Для природных изолятов возбудителя сибирской язвы антибиотикорезистентность не характерна. ПоданнымМ. Е. Jones et al. (2003), исследовавших 12 изолятов В. anthracis из различных районов Европы и Северной Америки (в том числе штаммы Ва7700, 7702, Sterne; RA3R и 7611R — выделеные во время вспышки во Франции в 1999 г.), все они оказались чувствительными к ципрофлокса-цину, цефтриаксону, эритромицину, азитромицину, доксициклину, пенициллину и амоксициллину. В то же время в Южной Африке и Зимбабве, где выявлено самое большое разнообразие штаммов сибиреязвенного микроба, попадаются штаммы с различными уровнями антибиотикорезистентности. Среди 26 исследованных штаммов пять конститутивно экспрессировали Р-лактамазу, но МПКпоцефалоспорину (1—1бмг/л) для этих штаммов была такой же, как и у Р-лактамазонегативных штаммов. В отдельных коллекциях обнаруживают штаммы В. anthracis, резистентные к стрептомицину, рифампицину, пенициллину, тетрациклину, хлорамфениколу (Маринин Л. И. с соавт., 1999). Среди них штамм Ames, устойчивый к цефтриаксону — цефалоспориновому антибиотику III поколения широкого спектра действия (Jernigan J. A. et al., 2001). Чувствительность подавляющего большинства изолятов В. anthracis к распространенным антибиотикам говорит о том, что возбудитель сибирской язвы поддерживается в природе вне контактов с антибиотиками. Наличие отдельных штаммов сибиреязвенного микроба, резистентных к антибиотикам, можно объяснить не только генетическим переносом, но и клональным происхождением вида от более древнего В. cereus по механизму дегенеративной эволюции. В пользу этой гипотезы говорит обнаружение в геноме В. anthracis генов, для которых не были определены соответствующие фенотипы, т. е. «выключенных генов» (см. в работе Seshadri R. et al., 2005). В их числе и гены антибиотикорезистентности. Например, Y. Chen et al. (2003) обнаружили молчащие гены β-лактамазы (Ыа1 — пенициллиназа, Ыа2—цефалоспориназа) у чувствительного к пенициллинам вакцинного штамма Sterne. Вид либо неравномерно утрачивал ненужные ему для паразитирования в новом хозяине гены, и некоторые из них остались интактными у части вида; либо имела место обратная мутация, восстановившая экспрессию гена.

Генетически измененные штаммы и их обнаружение. При оценке микробиологическими методами свойств культуры В. anthracis, выделенной в очаге сибирской язвы, ученый вынужден учитывать ее происхождение, проведение пассажей через питательные среды и лабораторных животных. Различия по морфологическим, культуральным, биохимическим, антигенным и вирулентным свойствам между штаммами В. anthracis. выявленные в ходе таких исследований, могут быть вызваны их естественной диссоциацией. К постепенной утрате вирулентности приводит длительное пребывание В. anthracis в почве.

Наоборот, вирулентность восстанавливается при 5—8-кратном пассировании маловирулентного В. anthracis через чувствительных животных. Наиболее часто измененные, ослабленные по вирулентности формы возбудителя сибирской язвы, выделяют из организма инфицированных свиней. В природе широко циркулируют атипичные штаммы В. anthracis, но тем не менее способные вызывать болезнь у сельскохозяйственных животных.

Лиц, стоящих за биотеррористическими преступлениями, разумеется, меньше всего интересует получение колоний В. anthracis «без завитков» и при выращивании на жидкой питательной среде, в пробирках, формирующих аморфный осадок. Их усилия по получению генетически измененных вариантов сибиреязвенного микроба будут направлены на получение высоковирулентных штаммов, резистентных к антибиотикам и способных преодолевать иммунитет, создаваемый коммерческими вакцинами. Для конструирования генетически измененных штаммов сибиреязвенного микроба используют способы генетического переноса и векторы, созданные для непатогенных бацилл. Принципиальных ограничений методического характера для их применения на В. anthracis не существует. Препятствия «экспериментаторам» в попытках повысить поражающее действие биологических агентов создает только сам микроорганизм (см. разд. 2.2.2 «Ограничения в конструировании штаммов реплицирующихся биологических поражающих агентов с измененными свойствами»),

С 1980-х гг. для В. anthracis разрабатываются способы генетического переноса плазмид, основанные на конъюгации, фаговой трансдукции и различных приемах трансформации[2] (табл. 3.2).

Таблица 3.2. Конструирование штаммов возбудителя сибирской язвы, резистивных к антибактериальным препаратам 
Резистентность к антибиотику | Механизм приобретения резистентности | Организация | Источник информации

К тетрациклину (рВС16) и хлорамфениколу (рС194) | Трансдукция | USAMRHD, Fort Detrick (США) | R. E. Rufel et al. (1984)

К тетрациклину (рВС16) и эритромицину (маркер плазмиды pLS20) | Конъюгацией от В. subtilis совместно с крупной плазмидой pLS20 | То же | Т. M. Koehler et al. (1987)

К тетрациклину путем мутагенеза стрептококковым транспозоном Tn916 | От Streptococcus faecalis DS16C1 к В. anthracis YNR-1 посредством конъюгации | То же | В. E. Ivins et al., (1988)

К рифампицину | Отбор сптонтанных мутантов | Институт прикладной микробиологии. г. Оболенск (Россия) | А П. Померанцев с соавт. (1993)

К пенициллину, римфипицину, тетрациклину, хлорамфениколу, макролидам и линкомицину | Трансформация рекомбинантной плазмидой рТЕС | То же | A. V. Stepanov et al. 1996)

К хлорамфениколу | Трансформация интегрирующейся в хромосому плазмидой рСЕТ | То же | А. П. Померанцев с соавт. (1996)

К канамицину | Плазмидная трансформация | Centre for Applied Microbiology and Research, Porton Down, UK | J. E. Bowen et al. (1999)

К хинолонам | Отбор спонтанных мутантов, но возможна и плазмидная трансформация | Armed Forces Radiobiol. Res. Inst., Maryland, США | T. A. Davies et al. (2001)

К рифампицину | Индукция мутантов УФ-све-том + получение спонтанны: мутантов | Northern Arizona Univ., США | A. F. Vogler et al. (2002)


Зарубежные исследователи обычно ограничиваются сообщениями о переносе в сибиреязвенный микроб тех или иных плазмид с генами антибиотикорезистентности и не касаются вопроса влияния приобретенной антибиотикорезистентности на эффективность антибиотикотерапии сибиреязвенной инфекции. Поэтому Л. И. Марининым с соавт. (1999) были получены аналогичные трансформанты В. anthracis, и в экспериментах по лечению на животных оценена их способность вызывать инфекционный процесс. Методом серийных разведений они определили для трансформантов МПК антибиотиков тетрациклиновой группы при разных условиях культивирования. Их данные показывают, что введение в составе плазмиды рВС16 (см. рис. 2.3) гена Тсr в возбудитель сибирской язвы может в 50—100 раз повысить его устойчивость к отдельным антибиотикам из группы тетрациклицина (табл. 3.3).

Таблица 3.3. Величины МПК антибиотиков тетрациклиновой группы для генетически измененного штамма В. anthracis Ч-7
| Величина МПК, мкг/см3 при разных условиях культивирования

Штамм | Антибиотик | без капсулообразования | при синтезе капсулы

Тетрациклин | 0,25 | 0.25 | 4–7

Доксициклин | 0,025 | 0,025 |

Миноциклин[3] | 0,025 | 0,05 |

Тетрациклин | 128 | 128 | 4–7(dBC16)

Доксициклин | 16 | 16 |

Миноциклин | 2 | 8


В экспериментах по лечению было установлено, что среднетерапевтические дозы тетрациклина или доксициклина не предотвращают гибели золотистых хомяков, инфицированных подкожно спорами В. anthracis Ч-7(рВС16), в то время как животные, инфицированные спорами В. anthracis 4–7, выживали (Маринин Л. И. с соавт., 1999).

Предположить, что выделенные от жертв биотеррористического акта или диверсии штаммы В. anthracis являются генетически измененными, можно, сравнивая их фенотипы с фенотипами известных штаммов по маркерам, характерным для генно-инженерного конструирования возбудителей инфекционных болезней с усиленным поражающим действием (антибиотикорезистентность, факторы патогенности, токсины и т. п.). Например, штамм Ч-7(рВС16), полученный Л. И. Марининым с соавт. (1999), отличается от наиболее часто встречающихся в природе штаммов В. anthracis наличием резистентности к тетрациклину, а штамм Ч-7(рОВ12) — еще и способностью вызывать гемолиз эритроцитов (см. ниже). Получить доказательства генно-инженерного вмешательства в геном бактерии можно только молекулярно-генетическими способами — по наличию в бактериальной клетке нехарактерных для нее генетических структур или генов. Методический уровень использованных для этого способов исследования будет зависеть от технологий, с помощью которых новая генетическая информация была введена реципиенту. Бациллярные клонирующие векторы первого поколения, использованные в 1980-х гг. для конструирования генетически измененных штаммов сибиреязвенного микроба, представляли собой многокопийные автономно реплицирующиеся молекулы ДНК, не способные интегрироваться с геномом бактерии-реципиента. Независимо от способа генетического переноса обнаружить «лишнюю» плазмиду среди собственных плазмид реципиента можно по плазмидному профилю (рис. 3.8).

Рис 3.8. Переданная посредством фаговой трансдукции чужеродная плазмида у В. anthracis и в других бациллах, Широкая диффузная полоса соответствует фрагментам хромосомной ДНК. А. В. cereus GР7. В. В. anthracis Weybiidge A UM18. С. В. armtraas Weybridge A UM18(pBC16), D. В. thuringiensis 40428 UM45 Е. В. thuringiensis 40428 UM45(pBC16). F. В. thuringiensis 406 °C UM473. G. В. thuringiensis 406UC UM473(pECl6). H. B. thuringiensis YGA UM1.1. B. thuringiensis YGA UMl(pBC16). J. B. cereus 5°9 UM47. К. B. cereus 569 UM47(pBC16). Перенос плазмиды pBC16 (2,b мДа, Тсr) осуществлен бактериофагом СР-51. Фенотипически наличие у реципиентного штамма плазмиды рВC16 проявляется устойчивостью к тетрациклину/ По R. Е. Ruhfel et al. (1984)


На электрофореграммах ДНК разделенной в агарозном геле (см. рис. 2.3 и 3.8), «лишняя» плазмида обнаруживается в виде фракции, дополнительной к собственным плазмидам (для рВС16 — фракция, по подвижности соответствующая ММ 2,8 мДа). Далее «лишнюю» плазмиду можно выделить из агарозного геля (вырезав соответствующий кусочек из геля), перетрансформировать в более удобную для генетических исследований бациллу, чем В. anthracis[4], получить в препаративных количествах и установить ее происхождение путем молекулярного сравнения с известными плазмидами, имеющими то же предназначение.

Появившиеся в начале 1990-х гг. интегративные векторы позволяют вставить чужеродный ген непосредственно в хромосому бактерии (см. разд. 2.2.2 «Технологии рекомбинантной ДНК в получении штаммов бактерий с неправильной эпидемиологией»). Пример получения штаммов сибиреязвенного микроба с интегрировавшимися в их хромосому генами сфингомиелиназы и фосфолипазы приводят Л. И. Маринин с соавт. (1999). По их данным, В. anthracis Ч-7(рОВ12) вызывал сибиреязвенную инфекцию у лабораторных животных, иммунизированных вакциной на основе штамма СТИ-1. Однако ни методы электрофоретического разделения ДНК, ни хорошо зарекомендовавшие себя для обнаружения инфекционных агентов диагностические тесты, основанные на амплификации ДНК (ПЦР в любых вариантах исполнения), не могут быть использованы для обнаружения генетически модифицированных патогенов, если новая генетическая информация «добавлена» в их хромосому. Основной недостаток таких способов состоит в том, что они требуют предварительного и досконального знания специфических генетических вариантов микроорганизма, изучаемого на предмет генетической модификации. В последние годы эту задачу пытаются решить на принципиально более высоком уровне — используя новые платформы секвенирования и, в частности, пиросеквенирование. Способ позволяет установить разнообразные типы генетических изменений в геноме — инсерции и делеции, единичные нуклеотидные полиморфизмы, единичные тандемные повторы и вариабельные участки генов, Chen P. Е. et al. (2010) исследовали возможности способа для выявления генетически измененных штаммов В. anthracis Ames Ancestor[5] и Sterne. В частности, по результатам пиросеквенирования ими в геноме штаммов сибиреязвенного микроба выявлены вставки генной кассеты с геном резистентности к эритромицину; мутации, предопределяющие низкоуровневую и высокоуровневую резистентность В. anthracis к ципрофлоксацину; идентифицированы мутации, приводящие к спонтанной резистентности к фагу и др. изменения. Эти исследования поставили некую планку, ниже которой в ближайшем десятилетии исследования по идентификации генетически измененных агентов ВО опускаться не будут.

Патогенез. В клинике сибирской язвы преобладают две группы симптомов:

1) обусловленные способностью В. anthracis к генерализации в клетках лимфоидной системы с последующим развитием септической формы болезни.

2) проявления местного патологического процесса, обусловленного действием экзотоксина В. anthracis (повышение проницаемости капилляров, нарушения микроциркуляции, отек тканей и коагуляционный некроз) в первичном фокусе инфекции;

На месте внедрения возбудителя в кожу развивается сибиреязвенный карбункул (реже — эдематозная, буллезная и эризипелоидная формы поражения кожи) в виде очага серозно-геморрагического воспаления с некрозом, отеком прилегающих тканей, регионарным лимфаденитом. Развитие лимфаденита обусловлено заносом возбудителя подвижными макрофагами из места внедрения в ближайшие регионарные лимфатические узлы. Дальнейшая генерализация В. anthracis с прорывом ее в кровь и развитием септической формы болезни происходит при кожной форме че-резвычайно редко Сибиреязвенный сепсис обычно развивается при внедрении возбудителя в организм человека через слизистые поверхности дыхательнь х путей или желудочно-кишечного тракта. Инфицировав макрофаги, споры быстро достигают эн-посомальных компартментов, где должно происходить их разрушение. Однако некоторые споры остаются жизнеспособными и после прорастания превращаются в бациллы, которые реплицируются внутри макрофагов. В этих случаях нарушение барьерной функции трахеобронхиальных (бронхопульмональных) или мезентериальных лимфатических узлов приводит к генерализации процесса. Бактериемия и токсинемия вызывают развитие инфекционно-токсического шока. В случаях развития легочной формы болезни, перибронхиальные геморрагические лимфадениты блокируют легочный лимфатический дренаж, вызывая отек легких (Dixon D. et al., 1999; Шувалова Е. П. с соавт., 2001).

Размножению В. anthracis в макрофагах способствует летальный фактор сибиреязвенного токсина. Подвергнутые его воздействию макрофаги не утрачивают способности поглощать споры возбудителя сибирской язвы, однако в значительной мере теряют способность освобождаться от них (Ribot W. et al., 2006). Патогенез сибиреязвенной инфекции у млекопитающих показан на рис. 3.9.

Рис. 3.9. Патогенез сибиреязвенной инфекции у млекопитающих, I — низкоуровневое прорастание и рост в участке инфицирования ведут к локальному отеку и некротическому поражению кожи (образование карбункула), 2 — низкоуровневое прорастание и рост в участке инфицирования ведут к массивному выпоту, отеку слизистой и некротическому поражению кишечника; 3 — лимфагенное и гематогенное распространение В. anthracis. Смерть наступает от септицемии, токсемии или легочной недостаточности через 1–7 сут после заражения. По Т. D. Dixon et al. (1999)


Сибиреязвенный токсин является прямой причиной гибели человека и животных при развившейся сибиреязвенной инфекции. Введение белым крысам р хвостовую вену сибиреязвенного токсина приводит их к гибели через 1–3 ч. Гибель животных наступает от легочно-сердечной недостаточности, развившейся на фоне резкого повышения проницаемости кровеносных капилляров, особенно в легких. Микроскопические исследования показали, что изменения в легких были представлены отеком, полнокровием и кровоизлияниями. Полнокровие и дистрофические изменения наблюдали в печени, почках, селезенке, сердце. В сердечной мышце найдены ранние некробиотические изменения, представленные очаговой фуксинофильной дегенерацией. Повышенная проницаемость кровеносных капилляров и расстройства гемодинамики способствовали статистически достоверному по сравнению с контролем увеличению массы легких, почек и сердца (Литусов Н. В. с соавт., 2002).

Сибиреязвенный токсин состоит из В-субъединицы, называемой протективныы антигеном (РА; ее используют для иммунизации против В. anthracis), и двух ферментативных субъединиц (А-субъединиц), одна из которых — отечный фактор (EF); другая — летальный фактор (LF). EF является кальмодулинзависимой аденилатциклазой (calmodulin-dependent adenylate cyclase), увеличивающей внутриклеточные уровни циклического АМФ (цАМФ) при проникновении в болыиинс. во типов клеток. В месте введения токсина в ткани экспериментальных животных нарушается водный гомеостаз и развивается массивный отек. LF представляет собой цинкметаллоппотеазу (zinc metalloorotease). Вызываетгипервоспалительное состояние макрофагов, активируя пути окислительного взрыва и высвобождая активированные кислородом интермедиаты, а также продукцию провоспалительных цитокинов, таки), как фактор некроза опухолей α (TNF-α) и интерлейкин-1β, вызывающие шок и смерть больного (Dixon Т. D. et al., 1999).

Введение чувствительным животным любой из этих субъединиц по отдельности, не приводило к патологическим последствиям. Внутрикожное введение комбинации В-субъединицы и отечного фактора, вызывало развитие кожных отеков у морских свинок и кроликов Внутривенное введение мышам и крысам смеси В-субъединицы и летального фактора оказывалось для них смертельным, но при ее внутрикожном введении образования отеков не происходило. При введении смеси трех компонентов токсина, они действовали синергически в тестах проверки летальности на мышах. В более поздних исследованиях показано, что отечный фактор вызывает только кратковременное повышение внутриклеточного уровня цАМФ, поскольку он быстро разрушается клеточными протеазами. Развитие сибиреязвенной интоксикации предполагает обязательное участие всех трех компонентов сибиреязвенного токсина (Мои-rez М. et al., 2002; Бургасов П. Н., Рожков Г. И., 1984).

В. anthracis не синтезирует активный токсин. В его формировании из субъединиц основную роль играет сама клетка-мишень. С. Petosa et al. (1997) описали тонкие механизмы этого процесса. РА сибиреязвенного токсина представляет собой длинную плоскую молекулу, размером 100×50×30 Å, состоящую из 4 доменов. Связывание РА с рецептором клетки-мишени начинается с домена 4. Этот домен (остатки 596–735) имеет первичную шпильку и спираль за которыми следует р-сендвич с иммуноглобулиновой складкой. Домены 1, 2 и 3 тесно связаны между собой, но домен 4 имеет с ними ограниченный контакт. Внутри иммуноглобулиновой складки домена 4 содержится доступная петля из 19 аминокислотных остатков, аналогичная антигенсвязы-вающей CDRS-петле антител и рецепторсвязывающей петле дифтерийного токсина. Протеолитическач активация происходит на клеточной поверхности. Протеаза фурин (она же используется для протеолитической активации дифтерийного токсина, экзотоксина А псевдомонад и некоторых вирусов) расщепляет поверхностную петлю внутри домена 1. В результате высвобождается N-терминалЬный 20-кДа фрагмент (РА20). Этот фрагмент не играет какой-либо дополнительной роли в интоксикации. Однако его удаление приводит к образованию большой гидрофобной поверхности на оставшемся фрагменте РА (РА63). Остальная часть домена 1, называемого теперь домен 1´, образует N-окончание активного РА63. После утраты РА20, РА63 формирует гептамер, который вставляется в мембраны при кислых значениях pH, формируя катионселективные каналы. Новая гидрофобная поверхность домена 1´ полностью обнажается, формируя часть большого, плоского гидрофобного пятна на «вершине» гептамера. Эта поверхность обеспечивает открытый сайт для связывания фактора отека и летального фактора, которые теперь связывают РА63 с высоким аффинитетом. Собравшаяся из трех субъединиц структура является тем, что понимают под названием «сибиреязвенный токсин». Он пенетрирует клеточную мембрану и захватывается эндосомой. Внутренняя среда эндосомы закисляется и благодаря изменившейся конформационной структуре токсин формирует в стенке эндосомы канал и через него ферментативные субъединицы проникают в цитоплазму (рис. 3.10).

Рис. 3.10. Модель действия сибиреязвенного токсина. 1 — протективный антиген (РА) специфически связывается с рецепторами на поверхности клетки (anthrax toxin receptor, ATR); 2 — PA рассекается мембранной фуриноподобной протеазой, высвобождая 20-кДа субъединицу (РА20) во внеклеточное пространство; 3 — оставшаяся 63-кДа субъединица (РА61) олигомеризуется и формирует гептамер; 4 — отечный фактор (EF) и/или летальный фактор (LF) связываются с гептамером; 5 — собравшийся из трех субъединиц токсин проникает в цитоплазматическое пространство клетки в составе эндосомы; 6 — низкое значение pH эндосомального пространства запускает конформационные изменения в гептамере, вызывая формирование катион-селективного канала и транслокацию в цитоплазму ферментативных субъединиц EF и LF. По М. Mourez et al. (2002)


В патогенезе сибиреязвенной инфекции большую роль играют протеолитические ферменты, коллагеназы, лейкоцидин, липаза и продукты распада самого микроба.

Клиническая картина сибирской язвы у людей при естественном инфицировании В. anthracis. Патогенетическая классификация сибирской язвы у людей предложена Н. В. Литусовым с соавт. (2002) (рис. 3.11, с. 604). Она используется при дальнейшем изложении материала. Естественное инфицирование человека В. anthracis предполагает его контакт с мясом или шкурами болевших сибирской язвой животных или с зараженной спорами сибиреязвенного микроба почвой. Входными ворогами возбудителя болезни в этих случаях обычно является поврежденная кожа. В редких случаях сибиреязвенная палочка внедряется в организм человека через эпителий дыхательных путей и желудочно-кишечного тракта.


Рис. 3.11. Патогенетическая классификация сибирской язвы у людей. Сплошные линии — наиболее распространенные входные ворота возбудителя инфекции; пунктирные линии — редкие места внедрения В. anthracis в организм; в скобках приведены аналоги клинико-анатомической классификации сибирской язвы или названия форм, встречающиеся в научной литературе в случае несовпадения терминологии. По Н. В. Литусову с соавт. (2002)


Кожная форма болезни составляет до 99 % всех случаев сибирской язвы, выявленных среди людей, кишечная и легочная формы сибирской язвы, встречаю гея как казуистические случаи (Никифоров В. Н., 1973). Заболевание может ппотекгть в локализованной (кожной) или генерализованной (септической) формах. Ниже, в основном по работам Е. П. Шуваловой с соавт. (2001) и Н. В. Литусова с соавт. (2002), приведено краткое описание клинических форм сибирской язвы, встречающейся у людей при естественном инфицировании В. anthracis.

При кожной форме сибирской язвы на карбункулезную разновидность приходится 99,1 % случаев, на злокачественный отек (эдематозная форма болезни) — 0,4 %, на буллезную — 0,4 % и эрзипелоидную — 0,1 % (Никифоров В. Н., 1973). Поражаются преимущественно открытые части тела. Инкубационный период при кожной форме сибирской язвы независимо от локализации входных ворот инфекции длится от нескольких часов до 19 сут от момента заражения. Особенно тяжело протекает болезнь при локализации карбункулов на голове, шее, слизистых оболочках рта и носа.

Обычно карбункул бывает один, но иногда количество их доходит до 10–20 и более. На месте входных ворот инфекции последовательно развиваются пятно, папула, везикула, язва. Пятно диаметром 1–3 мм красновато-синеватого цвета, безболезненно, имеет сходство со следами от укуса насекомого. Через несколько часов пятно переходит в папулу медно-красного цвета. Нарастают местный зуд и ощущение жжения. Через 12–24 ч папула превращается в пузырек диаметром 2–3 мм, заполненный серозной жидкостью, которая темнеет, становится кровянистой. При расчесывании или самопроизвольно пузырек лопается, стенки его спадаются, образуется язва с темно-коричневым дном, приподнятыми краями и серозно-геморрагическим отделяемым. По краям язвы возникают вторичные («дочерние») везикулы. Эти элементы претерпевают те же стадии развития, что и первичная везикула, и, сливаясь вместе, увеличивают размеры поражения кожи.

Через сутки язва достигает 8-15 мм в диаметре. Новые, «дочерние», везикулы, возникающие по краям язвы, обусловливают ее эксцентрический рост. Вследствие некроза центральная часть язвы через 1–2 нед превращается в черный безболезненный плотный струп. Вокруг струпа выражен воспалительный валик красного цвета. По внешнему виду струп напоминает уголек на красном фоне, что послужило поводом для названия этой болезни (от греч. anthrax — уголь). В целом поражение получило название карбункула. Поперечник карбункулов колеблется от нескольких миллиметров до 10 см. Отек тканей, возникающий по периферии карбункула, захватывает иногда большие участки с рыхлой подкожной клетчаткой, например на лице. Опасна локализация карбункула на лице (нос, губы, щеки), так как отек может распространиться на верхние дыхательные пути и привести к асфиксии и смерти (рис. 3.12).

Рис. 3.12. Кожные поражения при сибирской язве. А Сибиреязвенный карбункул и отек в латеральной локтевой области пациента. Б Сибиреязвенный карбункул и отек в левой подчелюстной области пациента. По А. Н. Knight et al. (1960)


Параллельно с увеличением размеров язвочки и отека происходит увеличение лимфатических узлов, расположенных ближе к карбункулу. Увеличение их не всегда сопровождается болью, имеются лишь припухлость и изредка чувствительность; становясь плотными, лимфатические узлы сохраняют подвижность. В подавляющем большинстве случаев увеличение размеров язвочки, отека и лимфаденита наблюдается в течение 5–8 сут, после чего начинается процесс формирования струпа на месте карбункула: прекращается появление новых пузырьков и отделение жидкости; в центральных некрогиоированных участках начинается отложение фибрина (совпадает по времени с моментом снижения температуры тела), который при подсыхании приобретает темный цвет; затем происходит уменьшение отека с периферии в направлении к карбункулу. К этому времени общее состояние больного улучшается, температура тела снижается до нормы. Сибиреязвенный карбункул в зоне некроза безболезнен даже при уколах иглой, что служит важным дифференциально-диагностическим признаком. Развивающиеся при кожной форме сибирской язвы лимфадениты, как правило, безболезненны и не имеют тенденции к нагноению.

Эдематозная разновидность кожной формы сибирской язвы характеризуется развитием отека без наличия видимого карбункула. в более поздние сроки болезни происходит некроз и формируется карбункул большого размера.

При буллезной разновидности на месте входных ворот инфекции образуются пузыри с геморрагической жидкостью. После вскрытия пузырей или некротизации участка поражения образуются обширные язвенные поверхности принимающие вид карбункула (рис. 3.13).

Рис. 3.13. Буллезная разновидность кожной сибирской язвы. А. Пузыри с геморрагической жидкостью перед формированием струпа. Б. Диссеминация кожных поражений после хирургического вскрытия пузырей. По N. Baykam et al. (2009)


Особенность эризипелоидной разновидности кожной формы сибирской язвы состоит в развитии большого количества пузырей с прозрачной жидкостью. После их вскрытия остаются язвы, подвергающиеся трансформации в струп.

Кожная форма сибирской язвы примерно у 80 % больных протекает в легкой и средней тяжести, у 20 % — в тяжелой форме.

При легком течении болезни синдром интоксикации выражен умеренно. Температура тела нормальная или субфебрильная. К концу 2–3 нед сз руп отторгается с образованием (или без него) гранулирующей язвы. После ее заживления остается плотный рубец. Легкое течение болезни завершается выздоровлением.

При средней тяжесть и тяжелом течении болезни отмечаются недомогание, разбитость, головная боль. К концу вторых суток температура тела может повыситься до 39–40 °C, нарушается деятельность сердечно-сосудистой системы. При благоприятном исходе болезни через 5–6 сут температура критически снижается, происходит обратное развитие общих и местных симптомов, отечность постепенно уменьшается, лимфатенит исчезает, струп отпадает к концу 2–4 нед, гранулирующая язва заживает с образованием рубца. Тяжелое течение кожной формы может осложняться развитием сибиреязвенного сепсиса и и мет о неблагоприятный исход. Тяжесть течения заболевания не предопределяется величиной карбункула и зависит обычно от его локализации и величины отека. В некоторых случаях кожная форма болезни протекает без повышения температуры тела (см. рис. 3.12).

Легочная форма сибирской язвы при аспирационном заражении спорами В. anthracis протекает, как правило, чрезвычайно остро. Вскоре после внедрения возбудителя — в среднем через 2–3 сут, а иногда уже через несколько часов, начинается первая кратковременная фаза поражения (длится от нескольких часов до 1–2 сут), проявляющаяся «гриппозными» симптомами (первая фаза болезни): общим недомоганием, головной болью, мышечными болями, слезотечением, насморком, охриплостью голоса и кашлем. Во второй фазе происходит бурное нарастание интоксикации, в результате чего наступает резкое ухудшение состояния больного: беспокоят выраженная слабость, разбитость, боли и стеснение в груди; усиливаются насморк и кашель; температура тела повышается до 39–41 °C, и возникает сильный озноб. При болезненном, а порой мучительном кашле отделяется вначале пенистая серозная мокрота, затем в мокроте появляется все больше слизи и прожилок крови. Количество мокроты увеличивается, она быстро густеет на воздухе. В случае примеси большого количества крови мокрота становится похожей на «малиновое желе».

Данные медицинского осмотра обычно являются неспецифическими. Рентгенограмма грудной клетки обычно без инфильтратов, но можно наблюдать расширение средостения с выпотом в плевральную полость, который может быть геморрагическим (рис. 3.14).

Рис. 3.14. Рентгенограмма при легочной сибирской язве. На рентгенограмме выраженное расширение медиастинальных узлов при отсутствии признаков первичной пневмонии. По A. I. Braude et al. (1986)


В легких могут определяться очаги притупления, прослушивается обилие разнообразных влажных хрипов (особенно в прикорневой зоне и нижних отделах). Нередко в плевральных полостях обнаруживается жидкость. Может развиться гиперкардиум. Накопление жидкости в плевральных полостях и полости перикарда бывает обусловлено блокированием лимфоотгока через пораженные лимфатические узлы средостения. Накапливаясь в большом количестве, жидкость создает механическое препятствие дыханию и сердечной деятельности.

В конце второй фазы болезни, которая в среднем длится 1–2 сут, выявляются жалобы больных на боли в груди, кашель, одышку, сильную слабость и тревогу. Кожа и видимые слизистые оболочки бледны, отмечается тахикардия, температура тела держится на уровне 38–40 °C и выше.

Третья фаза болезни характеризуется, кроме описанных выше признаков, быстрым нарастанием сердечной и сосудистой недостаточности, появлением более выраженных, чем во второй фазе, симптомов отека легких и олигурией, что связано с усилением общей интоксикации. В предагональном и агональном периодах — выраженный цианоз, одышка, отечность, сознание не нарушается. При явлениях легочно-сердечной недостаточности больные, как правило, умирают. Плохим прогностическим признаком является снижение незадолго перед смертью температуры тела больного до нормальной или субнормальной, сопровождающееся улучшением самочувствия, не адекватным действительному состоянию больного. Длительность третьей фазы — не более 12 ч, а всех трех фаз — от 2 до 5 сут. Эти сроки зависят от интенсивности терапевтических воздействий на организм больного и его сопротивляемости.

При типичном течении развитие первичной желудочно-кишечной (кишечной) разновидности сибирской язвы может быть подразделено на 3 фазы, хотя их не всегда можно выделить из-за быстрого и тяжелого течения болезни.

Для первой кратковременной фазы (длится от нескольких часов до 1,5 сут) характерны головная боль, головокружение, чувство сильного жжения в горле или боль при глотании, недомогание, озноб и повышение температуры тела до 38–39 °C и выше.

Вторая фаза болезни характеризуется присоединением абдоминальных признаков: боли в животе, тошнота, рвота с кровью и желчью, кровавый понос. Больных беспокоит выраженная слабость. Острые режущие боли в животе могут быть постоянными или схваткообразными. Локализованы они преимущественно внизу живота, реже — в области желчного пузыря. Живот часто вздут и при пальпации умеренно болезнен, в особенности в области пупка. Напряжения мышц брюшной стенки не бывает. В брюшной полости может определяться жидкость, порой в значительном количестве. При распространении процесса на лимфатические узлы средостения жидкость появляется в плевральных полостях и в полости перикарда. Одновременно с этим присоединяются признаки поражения органов грудной клетки: кашель, одышка, отделение мокроты и другие характерные для легочной разновидности симптомы болезни. Ярко выражены явления общей интоксикации. Температура тела повышена, пульс ослаблен, артериальное давление понижено. Беспокоят сильные головные боли, резчайшая слабость, головокружение при стоянии и ходьбе. У некоторых больных определяется увеличение надключичных и шейных лимфатических узлов, а также пастозность или отечность подкожной жировой клетчатки шеи и передней поверхности грудной клетки. Продолжительность второй фазы — от нескольких часов до 2–3 сут.

В третьей фазе болезни, кроме указанных выше признаков, отмечаются выраженная бледность и синюшность кожи. На лице кожа розово-синюшная либо багровая, склеры глаз инъецированы. Катастрофически нарастает декомпенсация сердечной деятельности. Артериальное давление падает, пульс становится нитевидным Дыхание учащается. Больные испытывают тревогу, страх, беспокойство Бывают бред и эйфория. В предагональном периоде на коже могут появляться вторичные пустз лез-ные и геморрашческие высыпания. Рвотные массы и кал могут содержать примесь крови. Инкубационный период при кишечной разновидности сибирской язвы составляет от 1–2 до 3–5 сут, а продолжительность заболевания от момента появления первых клинических симптомов до смерти — от 1–2 до 4–6 cvt и* среднем 3–4 сут). Обычно диагноз первичной кишечной сибирской язвы устанавливается посмертно при вскрытии трупов, а больные госпитализируются с весьма разнообразными диагнозами: грипп, ангина, дифтерия, отравление пищевыми продуктами, токсическая малярия, острый аппендицит, кишечная непроходимость, гастроэнтерит, холера, уремия, перитонит, пневмония, менингит и т. д.

При употреблении в пищу сьшого мяса или мясопродуктов иногда у людей наблюдается поражение верхних отделов пищевари гельного тракта — орально-фарингеальная (ротоглоточная) разновидность сибирской язвы у человека. При этой разновидности сибирской язвы инкубационный период составляет в среднем 42 ч (диапазон от 2 до 144 ч). Средний период от момента появления клинических симптомов до госпитализации — 3,5 сут (диапазон от I до 6 дней) и среднее время пребывания в больнице — 7 дней (диапазон от 7 до 10 сут) (рис. 3.15).

Рис. 3.15. Сибирская язва при энтеральном заражении В. anthracis. А. Орально-фарингеальная разновидность сибирской язвы у человека. 1 — 27-летний мужчина на 5 сут после появления симптомов орально-фарингеальной сибирской язвы. Хорошо заметны отек и гиперемия правой миндалины, распространяющиеся на окружающие ткани. Белый участок показывает центр начавшегося поражения глотки; 2 — тот же пациент на 9 сут после начала симптомов орально-фарингеальной сибирской язвы. Белые участки — развившиеся псевдомембранные образования, покрывающие язву. По Т. Sirisanthana, А. Е. Brown (2002). Б. Результаты компьютерной томографии (в/в введения контрастного материала) брюшной полости и малого таза у пациента с кишечной сибирской язвой. 1 — выраженный асцит и концентрическое уплотнение стенки длинного сегмента дистального отдела тонкого кишечника (показано стрелкой). Хорошо заметно увеличение большого количества лимфатических узлов корня брыжейки тонкого кишечника (кончик стрелки); 2 — забрюшинное пространство. По М. S. Klempner et al. (2010)


Основные симптомы болезни при орально-фарингеальной разновидности сибирской язвы: лихорадочное состояние (повышение температуры тела до 39 °C и выше) при поражении слизистой оболочки ротовой полости или глотки (опухание шеи из-за увеличения лимфатических узлов и отека мягких тканей). На начальном этапе болезни в местах поражения (миндалины, небо, язычок, передние и задние дужки ротоглотки) отмечаются отек и гиперемия; к концу первой недели в результате некроза и изъязвления образуется беловатая бляшка (при лечении), которая в начале второй недели болезни превращается в псевдомембрану, покрывающую язву. Летальность при этой разновидности сибирской язвы (при лечении) составляет около 12 %.

Для иллюстрации клиники и патанатомии кишечной сибирской язвы привожу краткие выписки из историй болезни, сделанные И. Л. Богдановым (1935).

1. И., 28 лет, поступила с 2,5-месячной беременностью в абортарий для производства аборта. На 3-й день после абразии была выписана в хорошем состоянии. На следующий день по выписке появилась головная боль, общая слабость, иногда обмороки при вставании, тошнота. Больная слегла, а через два дня была доставлена снова в гинекологическую клинику уже в крайне тяжелом состоянии с жалобами на сильную головную боль, частое наступление обморочного состояния и временами рвоту.

Больная хорошего сложения и питания. Пульс 120/мин, плохого наполнения, тяжелое общее состояние. Живот мягкий, мало болезненный, нерезкий, асцит. Матка немного увеличена (до 5-й нед беременности), наружный зев закрыт, выделений нет; своды свободны, придатки не прощупываются. К 10 ч вечера внезапная потеря пульса, рвота, сопорозное состояние. Ввиду подозрения на внутреннее кровоизлияние сделана пробная лапаротомия. В брюшной полости большое количество прозрачной выпотной жидкости. Цекальный отдел подвздошной кишки, слепая и особенно брыжейки кишок резко отечны, студенисты. В брыжейке тонких кишок имеется темноватая опухоль величиной с кулак, брыжеечные железы значительно увеличены. В цекальном отделе подвздошной кишки имеются геморрагии. После операции пульс продолжал падать, сознание не возвратилось, и через 2 ч больная скончалась, пролежав в клинике 6 ч. При вскрытии обнаружено: геморрагический лептоменингит, карбункул в подвздошной кишке, геморрагический лимфаденит забрюшинных и брыжеечных желез. Посев крови из сердца дат чистую культуру сибиреязвенной палочки, подтвердившую окончательный диагноз кишечной формы сибирской язвы. Проверка культуры биологической пробой подтвердила бактериологический диагноз.

2. И., 38 лет, заболел 9 июля — жар, общая слабость, незначительная боль в животе. Поступил на 5 сут болезни в крайне тяжелом состоянии с жалобами на головную боль и боли в животе. В 1930 г. оперировался по поводу язвы желудка. При осмотре: затемненное сознание, состояние тяжелейшей интоксикации. Путьс 124/мин, мягкий, плохого наполнения, ритмичный. Тоны сердца глухие. Цианоз. Живот умеренно вздут, болезненный, но без выраженных перитонеальных симптомов. Стул полуоформленный, с примесью небольшого количества крови. Рвота один раз. Селезенка увеличена перкуторно. Менингеальные симптомы отсутствуют, зрачки сужены, не реагируют на свет Быстро прогрессирующий упадок сердечной деятельности. За несколько часов до смерти появилось чейн-стоксовское дыхание. Температура 39 °C Смерть на 6 сут болезни. Пролежал в отделении 11 ч.

На вскрытии: множественные карбункулы и очаговые геморрагические инфильтраты в тонких кишках и в верхнем отделе толстой кишки; явления серозного перитонита; геморрагический менингоэнцефа лит; геморрагический лимфаденит забрюшинных и брыжеечных лимфатических узлов.

Бактериоскопически в мазках из селезенки обнаружены капсульные палочки сибирской язвы, бактериологически также выделена культура этого микроба.

3. Щ., 51 год, поступила, в клинику на 4 сут болезни в бессознательном состоянии. Развитие заболевания быстрое; общая слабость, чувство жара. Больная производит впечатление отравленной: пульс очень частый, еле прощупывается, глухие тоны сердца, дыхание учащенное. Живот не вздут, гоноса и рвоты не было. Полная прострация; менингеальные симптомы отсутствуют, зрачки не реагируют на свет. Энергичное применение сердечных сре ютв не оказывало никакого эффекта. Смерть через 8 ч по поступлении в отделение.

На секции: сибиреязвенный карбункул в верхнем отделе толстой кишки; серозный перитонит; геморрагический лимфаденит забрюшинных и брыжеечных узлов; селезенка увеличена, почти черного цвета. Из лимфатического узла и из селезенки через посев на сахарный бульон выделена культура сибиреязвенной палочки.

4. Г., 31 года, поступил 19 июля. С 12 июля появились боли в животе, на 3-й день слег в постель: температура поднялась до 39,9 °C, усилилась боль в животе, прогрессировала общая слабость. Поноса не было; рвота была лишь один раз в день смерти. Сознание потерял за 8-10 ч до смерти. Доставлен в клинику в бессознательном состоянии. Зрачки не расширены, не реагируют на свет. Пульс нитевидный, не поддающийся счету. Тоны сердца еле прослушиваются. Цианоз. Перед смертью перемежающиеся судороги, больной метался в постели. Пролежал в отделении 3,5 ч. Был сделан посев крови на сахарный бульон, из которого на следующий день была выделена чистая культура сибиреязвенной палочки.

На секции: резко выраженный геморрагический менингоэнцефалит; карбункул в толстой кишке с серозной инфильтрацией в окружающей ткани, на слизистой тонкой кишки свежие и зарубцевавшиеся язвы туберкулезного характера, туберкулезный очаг в легком; явления серозного перитонита. Из крови сердца, а также из пульпы селезенки посевом на бульон выделена чистая культура палочки сибирской язвы (по эпидемиологическим показаниям труп был вскрыт через 3 ч после смерти).

5. К., 21 год, поступил на 4 сут болезни. На правом предплечье сибиреязвенная пустула величиной с серебряный полтинник, с серозно-геморрагическим венчиком вокруг пустулы. Мало болезненный отек окружающей подкожной клетчатки и кожи, припухлость и болезненность подмышечных желез. Общее состояние удовлетворительное. Температура 38,0 °C.

При поступлении впрыснуто 200 см3 внутримышечно лечебной противосибиреязвенной сыворотки. К вечеру того же дня введено добавочно еще 150 см3 сыворотки. Через 2 дня температура упала до нормы, наступило резкое улучшение общего состояния и местных явлений, отек предплечья, припухлость и болезненность лимфатических желез значительно уменьшились. Но на 4 сут снова подъем температуры до 37 °C, головная боль, общее недомогание. На следующее утро общее состояние значительно ухудшилось: пульс 120/мин, глухие тоны сердца, сильная головная боль; живот несколько вздут, мягкий, болезненный при глубокой пальпации, стул жидкий, нечастый, без крови. Последующий день принес еще большее ухудшение: нарастающий упадок сердечной деятельности, цианоз; за несколько часов до смерти больной потерял сознание. На 3 сут от начала общего заражения — смерть.

На аутопсии: геморрагический лептоменингит, единичный карбункул в нижнем отрезке тонкой кишки, геморрагический лимфаденит брыжеечных и забрюшинных узлов. В мазках из брыжеечной железы и пульпы селезенки бактериоскопически найдены бациллы сибирской язвы.

И. Л. Богданов (1938) отметил некоторые общие черты болезни, дающие повод заподозрить кишечную Форму антракса. Первое, на что, по его мнению, следует обратить внимание врачу, это резкое несоответствие между крайне тяжелым состоянием больного и отсутствием к тому локальных данных. При виде таких больных в разгаре болезни в первую очередь возникает мысль о тяжелом общем отравлении, идущем с быстро прогрессирующим упадком сердечной деятельности. Второй признак: все больные отмечали в той или иной степени выраженные нарушения со стороны кишечника: тупые боли вживоте, рвота, непостоянный жидкий стул. В последней стадии болезни при тщательном исследовании больных удается обнаружить присутствие экссудата в брюшной полости (действие токсина В. anthracis). Наконец третий признак: постоянные жалобы больных в разгаре болезни на жесточайшую головную боль, дающую право думать об остром менингите, но протекающем, как правило, при отсутствии объективных менингеальных симптомов.

На секции обращает на себя внимание то, что почти у всех умерших от кишечной сибирской язвы находят картину резко выраженного геморрагического менинго-энцефалита.

Септическая форма сибирской язвы встречается редко, Во всех случаях характеризуется чрезвычайной стремительностью нарастания интоксикации, обилием кожных и внутренних кровоизлияний различной интенсивности и частым вовлечением в процесс мозговых оболочек, что явилось основанием для выделения некоторыми авторами менингеальной разновидности болезни. Болезнь начинается остро с потрясающего озноба и повышения температуры до 39–40 °C. Уже в начальном периоде наблюдаются выраженная тахикардия, тахипноэ, одышка. Нередко у больных имеют место боли и чувство стеснения в груди, кашель с выделением пенистой кровянистой мокроты. Физикально и рентгенологически определяют признаки пневмонии и выпотного плеврита (серозно-геморрагического). Часто, особенно при развитии инфекционно-токсического шока, возникает геморрагический отек легких. Выделяемая больными мокрота свертывается в виде вишневого желе. В крови и мокроте обнаруживают большое количество сибиреязвенных бактерий. У части больных появляются острые режущие боли в животе. К ним присоединяются тошнота, кровавая рвота, жидкий кровянистый стул. В последующем развивается парез кишечника, возможен перитонит.

При развитии менингоэнцефалита сознание больных становится спутанным, появляется менингеальная и очаговая симптоматика. Инфекционно-токсический шок, отек и набухание головного мозга, желудочно-кишечное кровотечение и перитонит могут явиться причиной лета шного исхода уже в первые дни болезни.

Прогноз пои кожной форме сибирской язвы обычно благоприятный, при легочной, кишечной и септической формах — во всех случаях серьезный даже при своевременно начатом лечении.

Диагностика сибирской язвы осуществляется на основе клинико-эпидемиологических и лабораторных данных. Сибирскую язву дифференцируют с сапом, фурункулами и карбункулами, чумой, туляремией, рожей, сепсисом иной этиологии.

Моделирование искусственного заражения В. anthracis. Наиболее обстоятельно исследования по данному направлению обобщены в монографии Н. В. Литусова с соавт. (2002). Авторы изучали клинику, патогенез, патанатомию сибирской язвы при парентеральном, ингаляционном и энтеральном введении спор В. anthracis различным животным, включая приматов.

Подкожное инфицирование. В месте внедрения возбудителя сибирской язвы обезьянам (павианы гамадрилы) обычно обнаруживали серозный отек подкожной жировой клетчатки. В отдельных случаях происходили распространение отека из участка заражения на другие области тела, расположенные на стороне внедрения возбудителя. У почти половины животных, зараженных инъекцией в верхнюю конечность выявлен отек подмышечной клетчатки, переходивший на грудную клетку и набрюшную стенку. Постоянным признаком сибирской язвы у обезьян и других экспериментальных животных являлся серозный или серозно-геморрагический регионарный лимфаденит. У павианов гамадрилов, погибших после подкожного заражения в верхнюю конечность, выявлены поражения различных групп лимфатических узлов: подмышечных — у 42 (95 %), трахеобронхиальных — у 15 (34 %), околоаортальных — у 13 (29 %), брыжеечных — у 13 (27 %) и трахеальных — у 5 (11 %) животных.

Переход воспалительных изменений с лимфатических узлов на прилегающую к ним клетчатку, как правило, обнаруживали при регионарном лимфадените. К постоянным патоморфологическим изменениям подкожного инфицирования В. anthracis исследователи относят полнокровие печени, почек и селезенки, отмечаемое ими практически у всех животных. Среди остальных морфологических изменений с большой частотой наблюдали полнокровие, отеки набухание головного мозга, кровоизлияния во внутренние органы, медиастиниты и отек легких. У отдельных обезьян наблюдали от двух до трех геморрагических инфильтратов восходящей обе ночной кишки, серозные плевриты и перикардиты. Формирования сибиреязвенного карбункула, характерного для кожной формы заболевания человека, при подкожном способе заражения не происходит.

Внутривенное инфицирование. Клинически сибирская язва протекает в форме первичного сепсиса. Рентгенологически могут быть обнаружены признаки медиастинита, наличие жидкости в плевральных полостях, расширение тени сердца за счет гиперкардиума и инфильтративных изменений различной интенсивности в легких. Патологоанатомическое исследование 20 трупов павианов гамадрилов, погибших после внутривенного заражения возбудителем в дозах от 10 до 1250 спор (средние сроки гибели от 3,25 до 5 сут), показало, что у обезьян наиболее часто поражались лимфатические узлы и селезенка. Как правило, серозное или серозно-геморрагическое воспаление захватывало от 3 до 5 групп лимфатических узлов. При внутривенном способе заражения у павианов гамадрилов наиболее часто поражались околоаортальные и трахеобронхиальные лимфатические узлы, несколько реже — брыжеечные и трахеальные, а подмышечные и поднижнечелкхлные — лишь у отдельных животных.

Вовлечение в процесс клетчатки, окружающей лимфатические узлы, имелось только у 5 (25 %) инфицированных В. anthracis павианов гамадрилов. У 4-х из них наблюдался отек клетчатки, прилегающей непосредственно к лимфатическим узлам грудной части аорты, а у одного — клетчатки шеи возле пораженного подчелюстного лимфатического узла. Селезенка у всех обезьян выглядела полнокровной и. как правило, увеличенной. Микроскопически в лимфатических узлах при серозно-геморрагическом лимфадените и в селезенке отмечали резкое обеднение тканей лимфоидными элементами, а также кровоизлияния и скопления бацилл.

В легких наиболее часто находили мелкие немногочисленные кровоизлияния, расположенные диффузно в легочной паренхиме и под висцеральной плеврой. Отек легких обнаружен у 20 % животных, погибших после внутривенного введения им 1250 спор В. anthracis. У одной обезьяны наблюдали серозно геморрагическую пневмонию. При микроскопическом исследовании пораженных участков обнаружили резкое утолщение межальвеолярных перегородок и уменьшение размеров альвеол, полости которых на большом протяжении оказались заполненными эритроцитами. Сибиреязвенные бациллы располагались в Капиллярах межальвеолярных перегородок. Изменения в сердце крайне незначительны и ограничивались мелкими кровоизлияниями под эпикардом. В печени и почках постоянно находили полнокровие и дистрофические изменения. При микроскопии в почках обнаруживали явления некротического нефроза. Изменения в ЖКТ найдены у двух (10 %) павианов гамадрилов. У одной из них в желудке и тонкой кишке имелись единичные мелкие кровоизлияния, а у другой — слизистая оболочка толстой кишки была утолщена, отечна и пропитана кровью Повреждения поверхности толстой кишки не наблюдали.

Приведенные данные свидетельствуют о том, при заражении внутривенным введением спор возбудителя сибирской язвы на первый план выступают симптомы нарастающего инфекционно-токсического шока с обилием кожных и внутренних кровоизлияний различной интенсивности и вовлечением в процесс мозговых оболочек

Наиболее характерными патологоанатомическими находками являются серозно-геморрагический полиаденит, полнокровие и дистрофические изменения в паренхиматозных органах и кровоизлияния в легкие.

Ингаляционное инфицирование. В эксперименте по ингаляционному заражению павианов гамадрилов мелкодисперсным аэрсзолем возбудителя сибирской язвы в дозах 5×102—3×105 спор (штамм 4–7) гибель животных отмечалась на протяжении 20 сут Основная часть животных (90 %) погибли в течение 8 сут (средний срок гибели 5,3 сут). Среди изменений, выявленных при наружном осмотре трупов погибших животных, довольно часто отмечали цианоз видимых слизистых оболочек. В ряде случаев у отверстий рта и носа находили светлые пенистые, изредка окрашенные кровью выделения.

В трахее и крупных бронхах наблюдалось только незначительное полнокровие слизистой оболочки. В легких наиболее постоянными изменениями являются отек, кровоизлияние и полнокровие. В одних случаях явления отека обнаруживали только при микроскопическом исследовании; в других — при сдавливании легочной ткани с поверхности разреза стекала кровянистая пенистая жидкость. И наконец, при сильном отеке подобную жидкость можно было обнаружить в просвете трахеи и бронхов, а в ряде случаев — и у отверстий рта и носа. Кровоизлияния обычно были мелкими, единичными или множественными, местами слипались в крупные очаги и располагались диффузно в легочной ткани. Сибиреязвенная пневмония обнаружена у 4 % павианов гамадрилов. При этом в половине наблюдаемых случаев поражение имело очаговый характер, количество очагов не превышало трех, а их диаметр достигал 3 см. Пораженная легочная ткань была плотной, на разрезе — безвоздушной и темно-красной. В гистологических срезах легких альвеолы на большем протяжении были заполнены эритроцитами с примесью нейтрофильных гранулоцитов. Просветы альвеол на отдельных участках содержали скопления нейтрофильных гранулоцитов, местами — отечную жидкость или глыбкообразное бесструктурное эозинофильное содержимое. Межальвеолярные перегородки были утолщены, а их капилляры — полнокровны и содержали множество бацилл, которые крайне редко можно было обнаружить в просветах альвеол.

Наблюдаемые пневмонии имели вторичное происхождение и развивались на фоне предсушествующей патологии легких. Пораженные участки не превышали 0,5 см в диаметре, были округлыми плотными темно-красного цвета. В центре узелков на разрезе ткань имела же сервато-белый цвет. В околобронхиолярной ткани были видны кровоизлияния, некрозы, инфильтрация нейтрофильными гранулоцитами и большое количество сибиреязвенных бацилл.

Серозное или геморрагическое воспаление лимфатических узлов, расположенных в грудной клетке, относится к наиболее постоянным изменениям при ингаляционной сибирской язве. При микроскопическом исследовании пораженных лимфатических узлов к наиболее ранним изменениям относят некроз центров лимфатических фолликулов, к которому по мере усиления инфекционного процесса присоединяются отек и кровоизлияния. Наиболее часто (78 %) вовлечены в процесс трахеобронхиальные лимфатические узлы.

При переходе воспалительного процесса с лимфатических узлов на окружающую их соединительнотканную клетчатку в ней появлялись студневидные бледно-желтые, изредка окрашенные кровью отеки. При микроскопическом исследовании пораженных участков наблюдали набухание и разволокнение соединительнотканных волокон, между которыми имелась отечная жидкость с незначительным количеством нейтрофильных гранулоцитов, а также сибиреязвенные бациллы, локализовавшиеся как среди измененных тканей, так и в кровеносных сосудах. При геморрагическом воспалении описанные изменения дополнялись обширными кровоизлияниями. В большинстве случаев была затронута клетчатка, непосредственно прилегающая к лимфатическим узлам (периаденит). Более распространенные поражения встречали реже. Среди них можно назвать: отек клетчатки средостения (медиастинит), который сопровождал поражения лимфатических узлов средостения, отек эабрюшинной клетчатки, связанный с изменениями лимфатических узлов в области брюшной части аорты, а также отеки подкожной жировой клетчатки передней поверхности шеи, подмышечных впадин, передней грудной и брюшной стенок. Отеки шеи наблюдали при поражении поднижнечелюстных лимфатических узлов и иногда в случаях с резко выраженным медиастинитом. У отдельных обезьян отек с шеи распространялся на переднюю поверхность грудной клетки и даже на верхнюю треть передней брюшной стенки. Отеки в области подмышечных впадин сопровождали воспалительный процесс в подмышечных лимфатических узлах и переходили на переднюю поверхность грудной клетки, а в отдельных случаях — на брюшную стенку.

К обычным находкам у животных, погибших после ингаляционного заражения, Н. В. Литусов с соавт. (2002) относят выраженные в различной степени экссудативные плевриты серозного или серозно-геморрагического характера. Резко выраженный плеврит, при котором пристеночная плевра была желеобразно отечной, а в каждой плевральной полости содержалось около 500 см3 мутноватой жидкости. Плевриты и перикардиты в основном сочетались с трахеобронхиальным периаденитом и медиастинитом. Пораженные листки плевры и перикарда были утолщены, желеобразно отечны. В плевральных и перикардиальных полостях содержалась чаще серозная, реже — геморрагическая жидкость. Иногда плевриты были серозно-фибринозными. У большинства животных процесс был двусторонним. При микроскопическом исследовании пораженные участки плевры и перикарда были утолщены, пропитаны отечной жидкостью и незначительно инфильтрированы нейтрофильными гранулоцитами.

Изменения в сердце при ингаляционной сибирской язве непостоянны и ограничиваются кровоизлияниями под эпикардом и в сердечной мышце.

Воспалительные изменения небных миндалин при ингаляционной сибирской язве наблюдали только изредка у павианов гамадрилов.

Среди других внутренних органов полнокровие селезенки у ингаляционно зараженных животных встречалось наиболее часто. Обычно капсула органа была гладкой и напряженной, а ткань плотной и темно-красной. Гистологические изменения в селезенке идентичны поражениям лимфатических узлов, но выражены более резко.

Среди патологии головного мозга обычны полнокровие, кровоизлияния, отек и набухание мозгового вещества. При гистологическом исследовании мягкие мозговые оболочки были отечны, в их тканях имелись кровоизлияния и незначительная инфильтрация нейтрофильными гранулоцитами. Бациллы локализовались среди измененных тканей и в просветах кровеносных сосудов вещества мозга.

Поражения органов эндокринной системы встречаются крайне редко.

Описания поражений ЖКТ при ингаляционной сибирской язве имеются лишь в единичных работах. Авторы в единичных случаях наблюдали поражение желудка. Тонкая кишка у всех животных была интактной. Поражения толстой кишкисопровождались геморрагическим брыжеечным лимфаденитом, а в одном случае — геморрагическим лимфангитом. Воспалительные изменения в брыжеечных лимфатических узлах встречались значительно чаще и в ряде случаев не связаны с поражениями кишечника. Развитие воспалительных изменений в таких узлах было вызвано гематогенным путем, поскодьку бациллы располагались в кровеносных сосудах.

Н. В. Литусовым с соавт. (2002) сделано еще одно любопытное наблюдение. Используя большую выборку экспериментальных животных в опытах по ингаляционному заражению (более 100 павианов гамадрилов), они обнаружили различия в патологических процессах, вызванных споровыми и вегетативными формами сибиреязвенного микроба. У обезьян, погибших после заражения спорами, воспалительный процесс в лимфатических узлах в основном был геморрагическим (97 % по отношению ко всем пораженным группам лимфатических узлов). У этих животных чаще встречали кровоизлияния во внутренних органах, дистрофические изменения в печени и почках, соскоб пульпы селезенки, плевриты, перикардиты и отек забрюшин-ной клетчатки.

У павианов гамадрилов, погибших после заражения вегетативными клетками возбудителя, вследствие более быстрого течения инфекционного процесса, воспаление лимфатических узлов чаще имело серозный характер (52 % по отношению ко всем пораженным группам лимфатических узлов) и реже встречались остальные из указанных изменений. Увеличение числа случаев с поражениями различных групп лимфатических узлов, а также тканей, непосредственно прилегающих к таким лимфатических узлам (периаденит, медиастинит), свидетельствовал о о более быстром приживлении и распрос гранении возбудителя в организме таких животных, вследствие чего количество животных с отеком легких в опытной группе было больше, чем в контрольной группе обезьян. Обнаруженные отличия авторы объясняют более длительным течением болезни при инфицировании спорами В. anthracis, благодаря чему эти симптомы успевали развиться. Вегетативные же клетки, попадая в легкие, выделяют сибиреязвенный токсин, который угнетает фагоцитоз, что способствует быстрому проникновению возбудителя в организм и его размножению.

Таким образом, в плологоанатомической картине ингаляционной сибирской язвы наиболее постоянно наблюдаются: поражения лимфатических узлов, регионарных по отношению к легким периаденит и полнокровие паренхиматозных органов. С меньшей частотой встречаются отек и набухание головного мозга, отек легких, медиастинит, перикардит, кровоизлияния, отек подкожной жировой и забрюшинной клетчатки, а также плеврит. В единичных случаях обнаруживаются менингит, тонзиллит, язвенный колит и пневмония. Первичные изменения в органах дыхания в виде пневмоний и эрозий трахеобронхиального дерева у животных при ингаляционном заражении не развиваются. Поражения этих органов, наблюдаемые в основном у павианов гамадрилов, имели вторичное происхождение

Энтеральное инфицирование. Заражение павианов гамадрилов осуществлялось внутрижелудочно, через зонд. На вскрытии наиболее часто изменения наблюдали в тонкой кишке, слизистая оболочка которой постоянно была гиперемированной и набухшей, а в просвете нередко имелась кровянистая слизь. При осмотре кишки обнаруживали очаговые утолщения, на наружной поверхности которых были видны расширенные и полнокровные кровеносные сосуды, а на внутренней — набухшие пейеровы бляшки. Утолщения локализовались преимущественно в области подвздошной кишки и несколько реже — в тощей кишке. В ряде случаев у павианов гамадрилов в этих местах сквозь серозную оболочку просвечивали пятна темно-красного цвета величиной от 0,3 до 2 см, округлой или овальной формы, соответственно которым на слизистой оболочке находили эрозии или язвы. Поверхность эрозий имела зернистый вид и обычно была покрыта сероватым налетом

Язвы имели округлую форму, неровные или гладки; края, возвышающиеся над поверхностью слизистой оболочки, и темно-красное дно, которым служила подслизистая основа или мышечная оболочка кишки. При микроскопическом исследовании эрозивно-язвенных поражений наблюдали некроз слизистой оболочки, захватывающий иногда подслизистую основу Помимо эрозий и язв, в ряде случаев в тонкой кишке встречали множественные мелкие кровоизлияния, располагавшиеся на участках, ограниченных размерами 1–2 см.

Изменения, наблюдаемые в желудке, были менее выражены и в основном ограничивались полнокровием кровеносных сосудов и н большим набуханием слизистой оболочки.

Поражения толстой кишки встречались лишь у отдельных животных и, вероятнее всего, имели вторичное происхождение, поскольку они примерно с такой же частотой наблюдаются и при других способах заражения.

Среди органов лимфатической системы наиболее постоянно наблюдали серозное или геморрагическое воспаление лимфатических узлов, расположенных у корня брыжейки тонкой кишки, и поражение селезенки, которое выражалось в полнокровии ее тканей и некрозе лимфоидных элементов, сопровождаемых увеличением органа. Среди лимфатических узлов других областей тела в процесс наиболее часто вовлекались лимфатические узлы, расположенные в средостении (трахеобронхиальные, око-юаортальные). С меньшей частотой наблюдали поражение шейных, подмышечных и поднижнечелюстных лимфатических узлов.

Помимо перечисленных изменений, Н. В. Литусов с соавт. (2002) отмечают полнокровие печени и почек, а также плеврит, перикардит, отек легких, отек подкожной жировой клетчатки шеи, асцит и единичные мелкие кровоизлияния под висцеральной плеврой, эпикардом и в подкожной жировой клетчатке.

Клинические примеры искусственно вызванной сибирской язвы. Ниже я приведу примеры течения сибирской язвы, возникшей у людей в результате парентерального введения спор В. anthracis и преднамеренного распространения сухой рецептуры В. anthracis в окр> жающей человека среде (ингаляционная и кожная формы).

Парэнтеральная форма сибирской язвы. Вспышка парентеральной сибирской язвы описана И. Дмитриевым (1928). Дежурным врачом губнарбольницы (Курск) 14 января 1927 г., во время утреннего обхода Пастеровскою общежития, среди пациентов констатировано массовое заболевание, похожее на резкую анафилаксию с температурой до 39,6 С и с отеками, захватывающими брюшную полость и мошонку. Для расследования причин массового заболевания пастеровских больных была создана комиссия во главе с директором Санитарно-бактериологическою института В. И. Васильяновским. Комиссия осмотрела 15 больных Пастеровской станции, из которых 4 находились уже в хирургическом отделении, а 11 в здании общежития. Из бесед с больными выяснилось, что заболели они с 10 января 1927 г. после антирабических прививок; на месте укола появилась боль, отек, температура до 40 °C, а у некоторых и рвота. У одного из больных находившихся в хирургическом отделении, из инфильтрата путем прокола был взят жидкий прозрачный секрет, оказавшийся при бактериологическом исследовании стерильным, почему комиссия предположила наличие какой-то токсемии.

15 января в 6 ч 30 мин утра больная Анна Б. умерли при явлениях коллапса и резкого упадка сердечной деятельности. Кроме этого, срочно созванным консилиумом врачей семь больных были найдены в безнадежном состоянии — без пульса и один чувствовал себя плохо. В этот же день умер второй больной Б., вслед за ним Анна С.,

Илья П., Павел С., Николай Г. После поучения сообщения о пяти смертельных случаях, вечером в тот же день состоялось совещание из представителей разных ведомств и лечащих врачей. На данном совещании выяснилось, что смерть наступает быстро, при резком упадке сердечной деятельности, в полном сознании, при отсутствии мозговых явлений, причем у некоторых отмечалась рвота и температура до 40 °C. На месте укола появлялся глубокий и болезненный отек, захватывавший половину живота и мошонку или большую срамную губу. Решено было сконцентрировать всех больных в мужском и женском терапевтических отделениях и произвести детальное судебно-медицинское вскрытие умерших с взятием для исследования крови, эксудата отечных тканей, мозга, мочи, печени и других органов. Вскрытие трупа и последующие бактериологические исследования установили, что причиной смерти послужило заражение возбудителем сибирской язвы. Всего выявлено 27 заболевших сибирской язвой, из них 18 умерли. Ниже привожу краткую выписку из типичной истерии болезни.

Больной Николай Г., 18 лет. Диагноз — отравление после укола от бешенства (антракс). Поступил 12 января. Получил 2S прививки. 3 дня назад после последнего укола появились боли в левой половине передней брюшной стенки вверху и в левой подвздошной области S. praes. В львом верхнем квадранте передней брюшной стенки припухлость. В левой подвздошной области стенки живота инфильтрат. 13 января самочувствие удовлетворительное, пульс 84, сердце без изменений, легкие — норма. Пробной пункцией получена прозрачная жидкость, посланная для бактериологического исследования. 14 января отек меньше, вечером при нормальной температуре появился пот, явления упадка сил, пульс 92/мин, правильный. В ночь с 14 на 15 января жалобы на общую слабости, недомогание, головные боли, пульс 110/мин, мягкий, тошнота, пот на лице, консилиумом назначено было физиологическое вливание с адреналином, камфора, грелки. 16 января Сольной слаб, возбужден, пульс еле прощупывается. В 5 ч 30 мин вечера больной умер.

В обобщении И. Дмитриева (1928) клиника инъекционной сибирской язвы, следующая:

1) наличие у больных болезненного отека, быстро распространявшегося от места инъекции на более или менее значительное про(транство. В одном случае отек занимал всю левую половину живота до левого подреберья, в другом спускался в область наружных гениталий и передней поверхности бедра. Форма отеков в большинстве овальная, в одних случаях не резко выдавалась над уровнем нормальной кожи, в других — наблюдалось чрезвычайно резкое набухание всей кожи живота, что на первый взгляд создавало впечатление сильно растянутого водянкой живота. На ощупь получалось впечатление тестоватости, местами — некоторой упругости, а то и деревянистости. При надавливании пальцем ямкг тотчас же сглаживалась. Отек достигал в течение 4 сут максим) ма и рассасывался чрезвычайно медленно, отечная кожа в течение первых двух суток всегда была бледной, без всякого разнообразия оттенков. Потом принимала розовый оттенок, дальше ярко-красный, а затем медленно приобретала нормальную окраску. Отек мошонки наблюдался в тех Случаях, когда В. anthracis была случайно введена в нижнюю част в живота; в одном случае отек сопровождался большим пузырем, давшим карбункул;

2) высокая температура до 39–40 °C, обложенный язык. Увеличение селезенки не констатировано, последнее потому, что в трех наиболее тяжелых случаях отек располагался слева и препятствовал пальпации;

3) жалобы на тошноту, головокружение и общую слабость, у двух наиболее тяжелых больных отмечалась упорная рвота:

4) быстрый упадок сосудистого тонуса и сердечной деятельности, причем обычные возбуждающие (камфора) никакого эффекта не давали; быстрое течение болезни со смертельным исходом через 48–60 ч после начала заболевания; миокардиты в 17 случаях;

5) цианоз, одышка, возбужденное состояние в последние часы жизни;

6) со стороны нервной системы ничего патологического не наблюдалось, кроме головных болей и иногда галлюцинаций;

7) короткий период инкубации: больные, пострадавшие от прививки, сделанной 10 января, обнаруживали первые признаки болезни 13 января.

На секции сердечные мышцы и ткань печени оказались дряблыми, селезенка увеличенной и в одном случае ткань ее плотна, в крови найдены сибиреязвенные бациллы Чего-либо характерного для сибирской язвы не отмечалось.

Каким образом серия антирабической вакцины была контаминирована В. anthracis, не установлено. Доктора В. И. Васильяновского следственные власти привлекли к уголовной ответственности по обвинению в халатном отношении к исполнению возложенных на него по службе обязанностей, но суд его оправдал.

Кожная форма сибирской язвы. Ниже по работе A. Freedman et al. (2002) рассмотрим случай кожной сибирской язвы, вызванный террористическим применением рецептуры спор В. anthracis в сентябре — октябре 2001 г. в США (см. разд. 1.12.4), оказавшийся наиболее трудным для диагностики и лечения.

Случай 7[6]. 7-месячный, ранее здоровый мальчик, белый, был госпитализирован 1 октября 2001 г. За два дня до госпитализации на проксимально-медиальной поверхности левой верхней конечности у него было обнаружено безболезненное красное пятно с припухлостью. В последующие 24 ч рука стала быстро отекать, пятно превратилось в папулу, и появились незначительные серозные выделения. Однако у больного не было жара и явной боли или каких-либо других общих симптомов. До госпитализации, на основании предположительного диагноза «целлюлит», ребенка лечили амоксициллином/клавуланатом калия, но после третьей дозы, в связи с увеличением припухлости и отделяемого из места поражения и затруднением перорального введения препаратов, ребенка пришлось госпитализировать.

В истории болезни ребенка было записано, что незадолго до происшедшего с ним гуляли в нью-йоркском парке и что накануне появления у него первых симптомов заболевания он пробыл в течение часа со своей матерью на ее рабочем месте, в помещении национальной телевизионной службы новостей.

При поступлении ребенок был бодрым, лихорадки и явных признаков недомогания не наблюдалось. В результате лабораторных исследований обнаружены значительный лейкоцитоз и гиионатриемия. Кровь не была отправлена для культивирования, однако ребенку был назначен ампициллин/сульбактам внутривенно. После хирургического разреза и дренажа, осуществленных под местной анестезией, не было выявлено скрытого абсцесса, но из поражения выделялась темно-красная жидкость. Бактерии не культивировали.

На второй день пребывания в стационаре на левой руке мальчика был обнаружен плотный не вдавливающийся, безболезненный отек с темно-красным пятном, примерно 2–3 см в диаметре. Из поражения обильно выделялась серозная жидкость желтого цвета, и более бледная эритема распространялась по передней поверхности груди до грудины. Пальпация не выявила подмышечной аденопатик. В связи с гипонатриемией был ограничен прием жидкости, и в дополнение к антибиотикотерапии назначен клидамицин. Была получена консультация у врача-инфекциониста. Окраска по Граму отделяемого из поражения не выявила ни лейкоцитов, ни микроорганизмов. При дифференциальной диагностике рассматривали инфекцию кости, мягкой ткани или того и другого; укус ядовитого паука и закупоривающее новообразование. В результате ультразвукового исследования левом верхней конечности были обнаружены диффузное воспаление без абсцесса и минимальная подмышечная лимфаденопатия. Допплеровские исследования исключили возможность тромбоза глубокой вены или какого-либо другого поражения сосудов конечности. Позднее в этот же день у больного повысилась температура (39,2 °C) и развилась значительная тромбоцитопения.

В последующие два дня отек руки немного уменьшился, в центре поражения был обнаружен 3-мм некротизированный участок, и в левой передневерхней части грудной клетки и в подмышечной ямке появились петехии. Гематокритное число уменьшилось до 23,3 %, при этом сохранялись слабая лихорадке, гипонатриемия, тромбоцитопения и лейкоцитоз, но уже со значительным количеством палочкоядерных нейтрофильных лейкоцитов. Из-за невозможности внутривенного введения цефалексин и клиндамицин стали вводить перорально.

К пятому дню температура снизилась, и отек руки заметно уменьшился. Поражение представляло собой очерченную эритематозную бляшку (4,5–5 см) с расположенным в центре струпом менее 1 см. Магнитно-резонансное изображение верхней конечности продемонстрировало обширное воспаление мягкой ткани распространяющееся от левой боковой стенки грудной клетки до кисти руки, однако повреждения кости, скопления газов или жидкости в мягкой ткани или новообразования не наблюдалось. Гематокритное число уменьшилось до 18,7 %. Уровень фермента гпюкоза-6-фосфат-дегидрогеназы был нормальным, но мазок периферической крови обнаружил наличие шизоцитов и фрагментарных эритроцитов. Уровень сывороточной лактатдегидрогеназы, превышающий 5000 ЕД/л, наряду с незначительным увеличением уровней азота и креатинина в мочевине сыворотки, свидетельствовал о микроангиопатической гемолитической анемии.

К этому моменту был поставлен диагноз — «кожный и системный локсосцелизм» (отравление ядом пауков из рода Loxosceles), поскольку течение болезни и развитие кожного поражения в большей степени соответствовали отравлению животным ядом, а не инфекционному процессу Консультация врача-дерматолога подтвердила правильность этою диагноза. Было начато лечение преднизолоном (перорально), а антибиотики были отменены.

Хотя в последующие несколько суток отек руки спал, и температура оставалась нормальной, картина крови ухудшилась. В связи с уменьшением гематокритного числа до 14,3 % и сопутствующей тахикардией, потребовались два переливания 15 мл/кг эритроцитарной массы. Была обнаружена коагулопатия при сохраняющейся тромбоцитопении и наличии повышенных уровней D-димера и продуктов распада фибрина. Персистирующая гипофибриногенемия потребовала переливания 4 ЕД криопреципитата. Обнаружены почечная недостаточность с повышенным уровнем азота в мочевине сыворотки, гематурия, протеинурия, непродолжительная олитурия и гипертония (систолическое кровяное давление — 130 мм рт ст. и диастолическое кровяное давление — 85 мм рт. ст.). На 12 сут результаты лабораторных исследований нормализовались, и состояние больного было клинически стабильным. Однако в центре кожного поражения оставался 2-см черный струп.

В тот день (12.10.2001) в Нью-Йорке был зарегистрирован первый случай кожной формы сибирской язвы (2 и 6. см. табл. 1.11), и отдел здравоохранения Нью-Йорка был предупрежден о возможном заражении этого ребенка сибирской язвой. На следующий день была произведена биопсия пораженного участка, и два образца кожи, а также кровь, полученная на 2 сут после госпитализации, были отправлены в Центры по борьбе и предупреждению болезней для диагностики посредством ПЦР и иммуногистологического исследования соответственно. Через два дня проведенные тесты дали положительные результаты в отношении В. anthracis: в пробе сыворотки было обнаружено значительное количество сибиреязвенной ДНК, а иммуногистохимический анализ выявил наличие в образцах ткани фрагментарных сибиреязвенных бацилл. При исследовании методом вестерн-блота проб сыворотки, полученных на 13 сут болезни, была обнаружена как реакция IgM на протективный антиген сибиреязвенного токсина, так и реакция IeG

На 20-й день болезни реакция IgM ослабла, но реакция IgG усилилась и распространилась на фактор отека и летальный фактор сибиреязвенного токсина. На 17-й день больной был выписан, ему был назначен ципрофлоксацин перорально. Количество тромбоцитов и уровень фибриногена были в норме, но слабый гемолиз сохранялся. После 2-недельного приема ципрофлоксацина, в качестве антибиотика стали использовать амоксициллин. В течение последующих двух недель, через 30 дней после госпитализации, гематурия, анемия и повышенные уровни D-димера постепенно исчезли. Уровни азота и креатинина в мочевине сыворотки нормализовались через 12 дней после госпитализации, а кожное поражение зажило, оставив к 60 дню слабо заметный рубец.

Клиническое течение кожной формы сибирской язвы у детей такое же, как и у взрослых. Однако в рассмотренном случае болезнь осложнилась серьезными гематологическими нарушениями, персистирующей гипонатриемией, признаками тяжелого системного поражения. Признаки системного заболевания проявились через 36–48 ч после начала антибиотикотерапии. Обнаружение В. anthracis в периферической крови свидетельствовало о том, что у больного уже имелся высокий уровень бактериемии, хотя у него не было повышенной температуры, и результаты лабораторного исследования были в основном в норме. Роль хирургической обработки пораженной области в распространении бактерий или токсина неясна.

Многие из признаков и симптомов болезни, включая отек, лихорадку, лейкоцитоз, тромбоцитопению, гемолиз, почечную недостаточность и диссеминированное внутрисосудистое свертывание, которые редко ассоциируются с кожной формой сибирской язвы, врачи связывали с отравлением ядом Loxosceles reclusa. Хотя случаи обнаружения этого паука в Нью-Йорке являются редкими, но кожная форма сибирской язвы до октября 2001 г. ни разу не была диагностирована у младенца.

Ингсигяционная форма сибирской язвы. Ниже по работам J. A. Jernigan et al. (2001) и L. A. Barakat et al. (2002) рассмотрим все 11 случаев ингаляционной сибирской язвы, вызванной применением рецептуры спор В. anthracis в сентябре — октябре 2001 г. в США (см. разд. 1.12.4). Их номера приведены в соответствие с табл. 1.11.

Случай 4. Вечером 24 сентября 2001 г. 73-летний мужчина испанского происхождения, почтовый клерк газеты, который доставлял почту пациенту, болезнь которого описана как «случай 8», почувствовал усталость На следующий день у него начался сухой кашель, появилась перемежающая лихорадка, ринорея и конъюнктивит обоих глаз. С 28 сентября по 1 октября постепенно усиливался кашель, общая слабость перешла в летаргическое состояние, появились выраженные одышка, лихорадка, испарина. В эпигастральной области появилась боль, сопровождающаяся рвотой, что вызвало беспокойство у членов его семьи У него не было хронических болезней, за исключением быстро прошедшего приступа ишемической недостаточности в августе 2001 г. Он не курил. Больного госпитализировали 1 октября. Темпе пату рд при поступлении 38,5 °C, частота сердцебиения 109/мин, частота дыхания 20/мин, артериальное давление 108/61 мм рт. ст. Он имел двухстороннюю конъюнктивальную инфекцию и билатеральные пульмонарные хрипы. Исследования, включающие оценку функций нервной системы, не дали ничего существенного. Поражений кожи у больного не было. Лабораторные исследования не выявили патологических изменений в количестве белых и красных клеток крови и тромбоцитов, а так же среди химических компонентов сыворотки за исключением сниженного (по сравнению с нормой) количества альбуминов (гипоальбуминемия), и повышенного уровня печеночных трансаминаз, близкой к границе нормы гипонатриемии и увеличения содержания креатина. Анализ газового состава артериальной крови свидетельствовал о гипоксии. Кровяные культуры, которые попытались получить в госпитале на 2 сут после начала лечения антибиотиками, не дали роста. Рентгенологическое исследование грудной клетки показало наличие в верхней и нижней долях левого легкого инфильтратов, сходных с пневмоническими, и небольшой плевральный выпот (рис. 3.16).

Рис, 3.16. Случай 4. Рентгенологическое исследование грудной клетки. Показывает диффузное затемнение, указывающее на пневмонию всего левого легкого. Признаков медиастинального расширения нет. По J. A. Jernigan et al. (2001)

Медиастинального расширения не наблюдали. Бальному первоначально вводили внутривенно азитромицин (azithromycin); в последующем были добавлены цефотаксим и ципрофлоксацин. Из первых смывов, полученных 5 октября, удалось вырастить В. anthracis. Компьютерная томография (СТ) грудной клетки показала билатеральные выпоты (effusions) и мультилобарную легочную консолидацию (multilobar pulmonary consolidation), но без значительной медиастинальной лимфоаденопатии (рис. 3.17).

Рис. 3.17. Случай 4. Компьютерная томография грудной клетки. Показывает билатеральную пульмонарную консолидацию и плевральные выпоты. По J. A. Jermgan et al. (2001)

В образцах ткани, полученных трахеобронхиальной биопсией, с помощью иммуногистохимического окрашивания обнаружены капсула и антиген клеточной стенки В. anthracis. Такие же тесты, выполненные в отношении возбудителей легионеллезов (Legionella spp.), кислотоустойчивых бактерий, Pneumocystis carinii, Chlamydia spp, Leptospira, Hantavirus и отдельных вирусных патогенов были отрицательными.

Левосторонним торакоцентезом была отобрана серознокровянистая жидкость, положительная в ПЦР на ДНК Л. anthracis. Бронхоскопия показала кровянистые секреты в правой нижней доле и левом легком с отдельными участками мукозальной гиперемии, «крапчатости» и воспаления. Из бронхиальныхсмывов и жидкости плеврального выпота получить культуру В. anthracis не удалось.

Во время госпитального лечения у больного периодически возникала суправентрикулярная тахикардия с гипотензией, максимальное колиичество лейкоцитов (WBC) составило 26 800/мм3, повторно сформировался левый плевральный выпот, который удален горакоцентезом, и в этот участок была вставлена трубочка для дренажа.

Плевральная жидкость, отобранная при повторном горакоцентезе, была положительна на ДНК В. anthracis в ГЩР. В цитологических препаратах, полученных из плевральной жидкости и плевральной биопсией, методом иммуногистохимического окрашивания показано наличие капсульного антигена и антигена клеточной стенки В. anthracis. При исследовании образцов сыворотки с помощью энзимсвязанного иммуносорбентного анализа (ELISA; было обнаружено более чем четырехкратное увеличение уровня сывороточных антител (IgG) к протективному антигену сибиреязвенного токсина. Постепенно состояние больного улучшилось и 23 октября 2001 г. он был выписан из госпиталя с назначением орального приема ципрофлоксацина.

Случай 8. Второго октября 2001 г. 6З-летний фоторедактор, белый мужчина, работавший в газете штата Флорида, проснулся с ощущением тошноты, перешедшей в рвоту, и машиной «скорой помощи» был доставлен в больницу для наблюдения. Его болезнь началась 27 сентября с недомогания, чувства усталости, лихорадки, озноба, анорексии и потливости. В его медицинской книжке не упомянуты такие симптомы, как кашель, ощущение боли в грудной клетке и животе, миалгия, удушье, диарея, кожные поражения. В последней медицинской истории отмечены гипертония, кардиоваскулярное заболевание, подагра. Он не курил. Больной был встревожен и интерактивен, но говорил нелепости. Температура была 39,2 °C, частота сердцебиения — 109/мин. Артериальное давление и частота дыхания были в норме. При первом исследовании легкие, сердце и брюшная полость не имели отклонений от нормы. Больной не ориентировался в пространстве и во времени, не понимал обращений к нему персонала клиники. Сделанные при поступлении в клинику стандартные лабораторные исследования не дали никакой информации, позволяющей предположить диагноз болезни, так все показатели были г пределах нормы, в том числе и количество лейкоцитов. Однако количество тромбоцитов было низким, из результатов биохимических исследований обратити на себя внимания гипонатриемия (почти у границ нормы) и повышенный уровень общего билирубина. Имелся незначительный метаболический ацидоз. Рентгенографическое исследование грудной клетки показало верхнее расширение средостенья и, возможно, небольшой плевральный выпот слева (рис. 3.18).

Рис. 3.18. Случай 8. Первая рентгенограмма. Показывает верхнее расширение средостенья и, возможно, небольшой плевральный выпот слева. По J. A. Jernigan et al. (2001)

В цереброспинальной жидкости лейкоцитов 4750/мл (81 % нейтрофилов), красных клеток 1375/мл, глюкозы 57 мг/децилитр (сывороточной глюкозы 174 мг/децилитр) и белков 666 мг/децилитр. Микроскопическое исследование цереброспинальной жидкости (ликвор) показало наличие большого количества грамположительных палочек (рис. 3.19).

Рис. 3.19. Случай 8. Окрашивание по Граму цереброспинальной жидкости. Показывает наличие цепочек грамположительных бацилл, похожих на В. anthracis. По J. A. Jernigan et ai. (2001)

В. anthracis был выделен из ликвора после 7 ч инкубирования и в кровяной культуре после 24 ч инкубирования. Больной был помешен в госпиталь с диагнозом менингит. После одной дозы цефотаксима (cefotaxime) начато лечение комплексом антибиотиков, включающих цефтазидим (ceftazidime), гентамицин (gentamicin), метронидазол (metronidazole) и триметоприм-сульфаметоксазол (trimethoprim-sulfamethoxazole). Вскоре после поступления больного в стационар он был интубирован для сохранения проходимости дыхательных путей. На второй день госпитализации ему назначены пенициллин G (penicillin G), левофлоксацин (levofloxacin) и клиндамицин (clindamycin).

Ампициллин, цефтазидим и триметоприм-сульфаметоксазол были отменены. Однако температура у больного сохранялась, и он не реагировал ни на какие раздражители. Его состояние продолжало ухудшаться, артериальное давление падало, почечная недостаточность нарастала. Больной умер 5 октября 2001 г. Аутопсические находки включают геморрагические медиастинальные лимфадениты. Иммунохимическое окрашивание показало диссеминацию В. anthracis по многим органам.

Случай 11. 14 октября почувствовала себя больной 56-летняя женщина афроамериканского происхождения, работавшая сортировщицей почты в Гамильтоне (Нью-Джерси). Болезнь началась с ощущения повышенной температуры тела (не измеряла) и озноба, однако прием аспирина облегчения ей не принес. На следующий день у больной появились обильный пот и диарея, но вскоре они прошли. Через два дня у нее поднялась температура до 38,4 °C. Ее подъем сопровождался ознобом, развилась головная боль, бальная почувствовала упадок сил. В этот же день у нее появился сухой кашель, она не могла глубоко дышать из-за болей в грудной клетке на вдохе. Болей в горле или ринореи у нее не было. 19 октября из-за упорной лихорадки и усиления болей в грудной клетке она была вынуждена обратиться в местный кабинет неотложной помощи. На момент обращения женщина выглядела очень больной и испытывала трудности при дыхании, температура 38,4 °C, частота сердечных ударов 120/мин, артериальное давление 159/95 мм рт. ст., частота дыхания 18/мин.

Дыхательные звуки на обоих основаниях были ослабленными, и она имела ранее леченные струпы на шее 0,5–1,0 см. Первый подсчет лейкоцитарной формулы выявил норму, за исключением некоторого увеличения количества палочковых форм. Гематокрит, количество тромбоцитов, электролиты и креатинин сыворотки, величина коагуляции были в пределах нормы. У больной были выявлены гипонатриемия и повышенный уровень печеночных ферментов. Имелись признаки гипоксии.

В медицинской карточке из последних перенесенных болезней у нее отмечена транзиентная ишемическая атака. Больная не курила. Рентгенологическое исследование показало бибазилярные инфильтраты и небольшой правосторонний плевральный выпот, но без расширения средостенья. Первоначальный дифференциальный диагноз давал большие надежды в пользу атипичной пневмонии, а не ингаляционной сибирской язвы. Поэтому больной был назначен левофлоксацин (levofloxacin); рифампицин был назначен ей на следующий день. Но через два дня лихорадка продолжала держаться, нарастала одышка, развился большой плевральный выпот. Назначенные ранее антибиотики были заменены на другие — ципрофлоксацин, рифампицин и ванкомицин. Больной 21 и 22 октября был выполнен торакоцентез справа и откачано по 750 и 620 мл геморрагической жидкости соответственно. 29 октября ей была установлена дренажная трубка справа. Компьютерная томография фудной клетки, выполненная 22 октября, показала медиастинальную и цервикальную лимфоаденопатию, бибазилярные инфильтраты и большой плевральный выпот слева. 25 октября увеличение плеврального выпота слева потребовало установить еще одну дренажную трубку. 26 октября температура и уровень трансаминаз снизились до нормы. 30 октября и 1 ноября были удалены дренажные трубки. 5 ноября больная была выписана из госпиталя. Кровь была ПЦР-положительна на ДНК сибиреязвенного микроба. Иммунохимическое исследование показало наличие капсульного антигена и антигена клеточной стенки В. anthracis в цитологических препаратах, полученных из плевральной жидкости.

Случай 12. 15 октября 43-летняя женщина, выходец из Юго-Восточной Азии, работавшая сортировщицей почты в Гамильтоне, но на другой машине, чем женщина, история болезни которой описана как «случай 11», почувствовала себя больной. У нее появилась интермиттирующая температура, ощущение озноба, сухой кашель, сопровождающийся чувством дискомфорта в грудной клетке, затруднения при дыхании, миалгии и слабость. У нее была тошнота и рвота, но болей в животе и диареи не было. Она жаловалась на ощущение «пустоты в голове» и сильную головную ость. 16 октября, когда она посетила своего врача, температура у нее была 38 °C, и ей был назначен левофлоксацин, так как врач подозревал бронхит. В ее медицинской книжке не было ничего примечательного, она не курила. 18 октября больная обратилась в местный кабинет скорой помощи, так как ей стало хуже. При осмотре температура 38,4 °C, частота сердечных ударов 120/мин, частота дыхания 16/мин, АД 141/85 мм рт. ст. Насыщение крови кислородом 92 % зри комнатном воздухе и 97 % после вдыхания 4 л кислорода, поданных больной через носовую канюлю. Она выглядела больной. Подсчет лейкоцитов пока ил увеличение количества палочкоядерных нейтрофилов. Гематокрит и количество тромбоцитов были в норме. У зольной выявлена гипонатриемия, но электролиты, почечная функция и коагуляционные показатели были в пределах нормы Повышенными были уровни печеночных ферментов. ПЦР на ДНК В. anthracis, выполненная с пробой крови, взятой на второй день лечения антибиотиками, оказалась отрицательной. Рентгенография показала справа хиларные затемнения с уплотнениями (hilar opacity consistent with consolidation or mass), умеренный плевральный выпот справа и небольшой слева. Антибиотик был заменен на ципрофлоксацин и ази-тромицин. Ципрофлоксацин отменен спустя 24 ч. Проведенная 19 октября компьютерная томография грудной к летки показала увеличение мягкой ткани в средостенье, вызванное аденопатией, rigcht hilar consolidation, и большой плевральный выпот. Больной был проведен торакоцентез и удалено 500 мл серознокровянистой жидкости. В схему лечения добавлены клиндамицин (clindamycin) и цефтриаксон. В цитологических препаратах, полученных из плевральной жидкости, иммунохимическим окрашиванием обнаружены антигены клеточной стенки и капсульный антиген В. anthracis. 21 октября был проведен повторный торакоцентез и откачано 800 мл жидкости. 22 октября бронхоскопией обнаружена отечность и гиперемия слизистой бронхов. В тканях, взятых, благодаря трахеобронхиальной биопсии, иммунохимическим окрашиванием показано наличие капсульного антигена и антигена клеточной стенки В. anthracis. Культуру В. anthracis из назальных смывов, тканей и жидкостей больной, получить не удалось. Лечение комплексом антибиотиков заменено на прием только одного доксициклина. Больная выписана из госпиталя 26 октября.

Случай 13. 16 октября 2001 г. 56-летний афроамериканец, сортировщик службы доставки почты, заметил у себя небольшую температуру, почувствовал озноб, боли в горле, головную боль и недомогание. Затем к этим симптомам присоединились слабый сухой кашель, ощущение тяжести в груди, чувство нехватки воздуха ночные поты, тошнота и рвота. 19 октября, когда он был доставлен в местный госпиталь, температуры него не было, и артериальное давление было в норме. Частота ударов сердца составляла 110/мин, но тахипное не было. Он не был в тяжелом состоянии, но дыхательные звуки у него были ослабленными и хрипы в левом основании (base). Кожных поражений у больного не наблюдалось. Его последняя медицинская карточка была без записей. Он не курил. Общее количество лейкоцитов было в пределах нормы, но имелся небольшой сдвиг влево в их дифференциации. Уровни печеночных трансаминаз и билирубина были повышенными, но функция почек и данные биохимического исследования, сывороточная химия были в норме. Величины показателей кислорода и углекислого газа артериальной крови показывали адекватную оксигенацию. Рентгенография грудной клетки показала расширение средостения, особенно правой паратрахеальной области билатеральные хиларные (hilar) массы, билатеральные плевральные выпоты и небольшое нижнедолевое затемнение воздушного пространства справа. Компьютерная томография грудной клетки показала диффузный медиастинальный отек, усиленные паратрахеальные узлы, непарное вдавление пищевода за счет аденопатии (azygo-esophаgeal recess adenopathy) (наибольший измеренный узел имел в диаметре 4,2 см), и билатеральные умеренные плевральные выпоты. В пределах 11 ч в кровяной культуре был обнаружен рост В. anthracis. Лечение начато ципрофлоксацином, рифампицином и клиндаминином. 21 октября у пациента развилась дыхательная недостаточность, которая была купирована введением диуретиков, системных кортикостероидов и терапевтическим торакоцентезом. В период госпитализации плевральные выпоты формировались повторно, поэтому потребовались еще две операции торакоцентеза. Плевральная жидкость во всех трех отобранных пробах содержала кровь. Больному не потребовалось введение дренажной трубки. Отдельные поверхностные язвочки пищевода были обнаружены верхней эндоскопией. 28 октября у пациента появились признаки гемолитической анемии и тромбоцитопении, которые были купированы плазмофорезом. Гематологические показатели в последующем улучшились. Пациент оставался в госпитале до стабилизации состояния.

Случай 14. 16 октября 2001 г. 55-летний мужчина-афроамериканец, работавший на почтовой доставке округа Колумбия, почувствовал себя больным. У него появилась температура; периодически возникающая сильная потливость; миалгия; кашель с зеленой мокротой, но без уменьшения объема дыхания; ощущение дискомфорта в груди и симптомов со стороны желудочно-кишечного тракта. Когда 18 октября он обратился за медицинской помощью в первичное попечительство, температура у него была 38,9 °C, размеры сердца и величина артериального давления были в норме, частота дыхания составила 24/мин. Обращающих на себя лабораторных показателей не было выявлено. Только подсчет лейкоцитов показал, что их количество выше нормы. В его истории болезни упоминались сахарный диабет и саркоидоз. Он не курил. Рентгенограмма грудной клетки сделана не была. Он был отправлен домой с диагнозом «вирусный синдром», антибиотики назначены не были. 21 октября он попал в отделение неотложной помощи в тяжелом состоянии. Больной жаловался на чувство стеснения в груди, утомление, озноб, миалгию, тошноту, рвоту и укороченное дыхание. Температура больного была 38,9 °C, пульс от 93 до 150/мин, нерегулярный. Частота дыхания 20/мин, артериальное давление 119/73 мм рт. ст. Наблюдались признаки дыхательной недостаточности. У больного были обнаружены хрипы в правом основании (base) с диффузными хрипами и тахикардия. Количество лейкоцитов составило 18800/мм3, из них 73 % сегменто-ядерные нейтрофилы, 6 % палочки, 11 % лимфоциты. 8 % моноциты. Гематокрит — 55 %. Тромбоциты — 141 тыс/мм3. Содержание натрия 130 ммоль/децилитр, глюкозы 425 мг/децилитр. Рентгенографическое исследование грудной клетки показало rigcht hilar и перитрахеальное переполнение мягких тканей с инфильтрацией правой средней и нижней долей, совпадающих с пневмонией и правым плевральным выпотом. ЭКГ обнаружила у больного фибрилляцию предсердия. Пациенту была сделана интубация и искусственная вентиляция легких, назначены левофлоксацин, дилтиазем (diltiazem) и инсулин. В последний день жизни гемоди-намическая нестабильность больного нарастала, у него остановилось сердце, и он умер. В кровяной культуре обнаружен рост В. anthracis. Аутопсические находки включают геморрагические медиастинальные лимфадениты. Иммунохимическим окрашиванием подтверждена диссеминация В. anthracis.

Случай 15. 16 октября у 47-летнего мужчины афроамериканца, работника той же службы почтовой доставки округа Колумбия, где произошло заражение людей возбудителем сибирской язвы, описанные как «случаи 13, 14, 16», развился сухой кашель средней интенсивности. Одновременно он почувствовал тошноту, перешедшую в рвоту, спазмы в желудке. 20 октября у больного развился обморок во время службы в церкви, но он не обратился за медицинской помощью. Рано утром 21 октября он сам пришел в отделение скорой помощи с жалобами на рвоту и профузный пот. Последние записи в его медицинской книжке свидетельствовали о наличии у него астмы и мочекаменной болезни. В ближайшее время лечение астмы кортикостероидами не проводилось. Температуры у больного не было, отмечена ортостатическая гипотензия. Количество лейкоцитов оказалось несколько увеличенным, но коагуляционные тесты и химические показатели сыворотки были в норме. Несколько увеличенным был уровень сывороточной глютаматпируваттрансаминазы (glutamic pyruvic transaminase. SGPT). Первый рентгеновский снимок сначала был прочитан как нормальный, но на латеральном обзоре была замечена неясная область повышенной плотности, показывающая наличие инфильтрата или масс в правой супрахилярной (suprahilar) области. Больной был отпущен домой после проведения внутривенной гидратационной терапии. Но утром 22 октября он пришел в отделение скорой помощи снова. В его истории было записано: миалгиаз, кашель, одышка, продолжительная рвота и случай обморока Его температура была 35,6 °C. артериальное давление 76/48 мм рт. ст., частота сердцебиения 152/мин, частота дыхания 32/мин. Он имел вид больного человека с испещренной кожей, которая при прикосновении казалась холодной. У больного были признаки дыхательной недостаточности. При аускультации двухсторонние хрипы, тахикардия, живот слегка вздут, кишечные звуки не прослушиваются. При исследовании крови обнаружено повышение содержания лейкоцитов — 31200/мм3, из них. 78 % сегментоядерные нейтрофилы, 2 % палочки. 14 % лимфоциты и 3 % моноциты Содержание натрия — 148 ммоль/л, бикарбоната — 18 ммоль/л, анионный промежуток (anion gap) — 21, креатинин — 2,8 мг/децилитр. Сывороточная глутаматоксалацетаттрансаминаза (glutamic oxalacetictransaminasa, SGOT) — 47 МЕ/л, SGPT — 33 МЕ/л. щелочная фосфатаза — 197 МЕ/л. Протромбиновое время 13,3 с и время частичного тромбопластина составило 40 с. Больному были назначены пенициллин, цефтриаксон, рифампицин илевофлоксацин.Однако респираторная недостаточность прогрессировала. поэтому больному была сделана эндотрахеальная интубация и начата механическая вентиляция легких. Вскоре у него появились признаки перитонита. Значение pH артериальной крови было 7,13; РаСО2 — 37 мм рт. ст., РаО2— 106 мм рт. ст., кислородное насыщение — 95 %, после интубации — 100 % FiО2. Рентгенологическое исследование показало билатеральные легочные инфильтраты, концентрирующиеся в пределах перихиларных (perihilar) и инфрахиларных (infrahilar) регионов без плевральных выпотов. Компьютерная томография грудной клетки и брюшной полости, выполненная с внутривенным контрастированием, показала большой билатеральный плевральный выпот, перихиларные (perihilar) и супрахиларные (suprahilar) инфильтраты, отек средостенья и небольшие скопления интрамурального воздуха, вовлеченные в отдельные части тонкой кишки (jejunum). Компьютерная томофафия головы не выявила патологии. Больной умер через 6 ч после поступления в госпиталь. Рост кровяных культур В. anthracis в пределах 18 ч. Посмертные находки включают выраженный геморрагический медиастинальный лимфаденит и доказательства системной сибиреязвенной инфекции, полученные с помощью гистопатологических и иммуно-химических методов.

Случай 16. 16 октября 56-летний мужчина афроамериканец, работник почтовой доставки, почувствовал головную боль средней интенсивности, которая вскоре стала постоянной, появилась ригидность шеи. В последующие фи дня головные боли усилились, появились субфебрильная температура, озноб, боли в горле, миалгии, тошнота и рвота, обильный пот, фотофобия, ухудшилось зрение. Появились плевральные боли, средней интенсивности сухой кашель, остановка дыхания при напряжении (dyspnea on exertion). Когда 20 октября он был доставлен в госпиталь, то температуры у него не было, давление было в норме, пульс 127/мин, частота дыхания 20/мин. У него не было острой недостаточности дыхания, и физические исследования ничего не обнаружили за исключением ослабления везикулярного дыхания на основаниях легких. Предшествующие этому заболеванию записи в его истории болезни были малоинформативны, он не курил. Результаты лабораторных исследований, в основном, оказались в пределах нормы, за исключением повышенных уровней билирубина и печеночных ферментов, низкого содержания альбумина и наличия признаков гипоксии.

Неконтрастированная компьютерная томография головы также не позволила выявить патологические изменения. При окрашивании спинномозговой жидкости по Граму микроорганизмы не найдены. Не было микробного роста и при подращивании спинномозговой жидкости на питательной среде. Антеропостериальная рентгенография грудной клетки показала расширения средостенья, билатеральные хиларные массы, правосторонний плевральный выпот и билатеральные перихиларные воздушные пространства (perihilar air space disease). Неконтрастное сканирование грудной клетки при помощи компьютерной томографии показало диффузный отек средостенья, двухсторонние плевральные выпоты и заметную паратрахеальную, субкардиальную, хиларную аденопатию и непарное вдавление пищевода за счет аденопатии Кровяные культуры дали рост В. anthracis в течение 15 ч. Лечение начато с ципрофлоксацина, рифампицина и клинцамицина. 22 октября были обнаружены признаки нарастания дыхательной недостаточности, 23 октября больной подвергся терапевтическому торакоцентезу, который позволил откачать кровянистую плевральную жидкость, после чего его состояние улучшилось. Больному также были назначены системные кортикостероиды для предотвращения бронхоспазма. Ему потребовалась повторная операция торакоцентеза больной выписан из госпиталя 9 ноября 2001 г.

Случай 19. Вечером 22 октября почувствовал себя больным 59-летний мужчина, белый, контрактный служащий департамента сортировки почты, который получал почту из округа Колумбия (случаи 13–16). Первым симптомом у него был обильный пот. Последующие два дня больной чувствовал слабость, выраженные мышечные боли, повышенную температуру, озноб, головную боль, тошноту, боли в области живота и за грудиной. У него начались приступы рвоты и кашель с белой мокротой. Недостаточности дыхания или диареи у него не было. После его помещения 24 октября в отдельную палату для наблюдения температура была 38,2 °C, частота сердечных сокращений 116/мин, частота дыхания и артериальное давление в пределах нормы. Количество лейкоцитов было в пределах нормы, исследование сывороточных электролитов показало гипонатриемию и гипокалиемию. Последние записи в его медицинской карте не представляли ничего интересного, больной не курил. Первое рентгенографическое исследование грудной клетки показало норму. Больному был поставлен диагноз «вирусный синдром», и он был выписан, однако у него была взята кровь на бактериологический посев и назначен прием ципрофлоксацина. Он принял только одну дозу препарата вечером, но потливость, чувство уста юсти, головные боли усилились. Он жаловался на приходящие нарушения в левой визуальной области. Его супруга сообщила, что он стал плохо ориентироваться в происходящем Бактериологический посев дал рост В. anthracis через 17 ч инкубирования; 25 октября пациента поместили в госпиталь. Температура при поступлении 38,2 °C, количество ударов сердца 108/мин, частота дыхания 20/мин, артериальное давление 121/60 мм рт ст., насыщение кислородом 94 % из комнатного воздуха Он выглядел больным. При аускультации удалось прослушать глухое дыхание на right base. Остальные исследования оказались малоинформативными.

Лабораторные показатели при поступлении в госпиталь включали общий анализ крови. Кгшичес тво лейкоцитов составило 9500/мм3, из них 81 % сегментированных нейтрофилов. 9 % лимфоцитов, 9 % моноциты, тромбоциты 196 тыс./мм3, гематокрит 48,1 %, электролиты и креатинин в норме, SGOT 85 МЕ/л, SGPT 64 МЕ/л, щелочная фосфатаза 141 МЕ/л, билирубин 1,6 мг/децилитр, альбумин 3,0 мг/децилитр.

На первом обзорном рентгеновском снимке обнаружено медиастинальное расширение (рис. 3.20). Сделанная на следующий деиь компьютерная томография показала медиастинальную аденопатию с присутствием геморрагии, нормальную легочную паренхиму, небольшие билатеральные плевральные выпоты и, предположительно, небольшое перикардиальное излияние (pericardial effusion) (рис. 3.21).

Рис. 3.2 °Cлучай 19. Рентгенограмма грудной клетки. Показывает медиастинальную аденопатию и небольшой левый г певра аьнь. й выпот. По J. A. lernigan ct al. (2001)

Рис. 3.21. Случай 19. Компьютерная томограмма грудной клетки. Показывает медиастинальную аденопатию и небольшие билатеральные плевральные выпоты. По J. A. Jernigan et al. (2001)

К назначенному ранее ципрофлоксацину было добавлено внутривенное введение пенициллина и рифампицина. Температура больного поднялась до 39 °C. В последующем пенициллин быт отменен. Вместо него назначен ванкомицин. 26 октября у больного было обнаружено гастроинтестинальное кровотечение, которое потребовало трансфузий крови, введения эндоскопа и прижигания язв желудка и двенадцатиперстной кишки. 27 октября у больного была обнаружена фибрилляция предсердий с различными вентрикулярными ответами. 28 октября лихоргцкс достигла максимума — 39,4 °C, затем снизилась до 38 °C. 30 октября достигла максимума лейкоцитарная реакция, количество лейкоцитов достигло 31300/мм3. 31 октября отмечено расширение правого плеврального выпота. Больному был выполнен торакоцентез и откачано 900 мл серознокровянистой жидкости. Больной выписан из госпиталя 9 ноября.

Случай 21. 25 октября заболела 61-летняя женщина-вьетнамка, работавшая в центральном складском помещении больницы в Манхэттене (Нью-Йорк). Болезнь началась с недомогания и болей в мышцах. В последующие два дня она стала ощущать слабость, появился кашель, боли в грудной клетке, стала прогрессировать дыхательная недостаточность, кашель из сухого стал продуктивным. Больная стала отхаркивать мокроту, слегка окрашенную кровью. Она так же обнаружила у себя повышенную температуру. 28 октября, когда она обратилась за медицинской помощью в местный госпиталь, температуры у нее уже не было, но частота сердечных ударов составляла 110/мин, частота дыхания 38/мин, насыщение крови кислородом при дыхании в комнате 92 %. Она осознавала свое состояние, понимала, что находится в госпитале. Больная страдала гипертонией. Она не курила. Абдоминальные и кардиоваскулярные исследования показали норму, за исключением тахикардии. Подсчет лейкоцитов показал незначительное увеличение их количества, гематокрит, число тромбоцитов и коагуляционные тесты были в норме. Почти нормальным оказался и химический состав сыворотки, за исключением гипонатриемии, увеличенного уровня печеночных ферментов и гипоальбуминемии. Уровень сывороточной лактатдегидрогеназы 1,370 МЬ/л. Для поддержания адекватной оксигенации крови больной был дан кислород через маску. Рентгенограмма грудной клетки первоначально была интерпретирована как закупорка легочной вены (pulmonary venous congestion) с билатеральными плевральными выпотами. Первоначально лечение больной было направлено на борьбу с сердечной недостаточностью, но эхокардиограмма, сделанная в отделении скорой помощи, не показала признаков ослабления деятельности сердца. Тогда больной был поставлен диагноз «атипичная пневмония» и назначен левофлоксацин. Однако дыхательная недостаточность усилилась, и больная была иктубирована. Компьютерная томография грудной клетки показала медиастинальную лимфаденопатию, массивное медиастинальное кровотечение, загущение бронхиальной слизи и билатеральные плевральные выпоты. Больной назначены рифампицин, гентамицин и в последующем нафциллин (nafcillin). Утром 29 октября ей с двух сторон ввели грудные дренажные трубки и откачали 2,5 л серознокровянистой жидкости с левой стороны и один литр с правой. В тот же день бронхоскопия показала наличие кровянистой слизи в трахеобронхиальном дереве; рыхлые, спадающиеся воздушные пути и гнойные секреты во многих сегментах с обеих сторон. 30 октября схема антибактериальной терапии была изменена. Больной назначены ципрофлоксацин, рифампицин, клиндамицин и цефтазидим. Последующая эхокардиограмма показала увеличение перикардиального выпотг, ведущего к тампонаде сердца. Состояние больной быстро ухудшалось, и 31 октября она умерла после попытки перикардиоцстоза. Культивирование крови и плевральной жидкости дало рост В. anthracis через 20 ч. Аутопсические находки включают геморрагический медиастинит. Иммунохимическое окрашивание обнаружило присутствие В. anthracis во многих органах и тканях.

Случай 22. 16 ноября 200 г. в лечебное учреждение города Оксфорд (шт. Коннектикут) обратилась 94-летняя женщина с жалобами на повышенную температуру, чувство усталости, сухой кашель, затрудненное неглубокое дыхание, боли в мышцах. Женщина болела уже три дня. В течение предыдущих двух месяцев она вела уединенный образ жизни, страдала депрессивным синдромом, имела сниженный аппетит и, в связи с возрастом, физически была слаба. Она страдала хроническим легочным обструктивным заболеванием, гипертонией, хронической почечной недостаточностью. Пользовалась ингаляторами с сальметерол + флутиказоном (salmeterol xinafoate/fluticasone propionate) и спреем для носа, содержащим азеластин (azelastine). Изредка употребляла алкоголь. Конвертов, содержаших «порошок», она не открывала, и уже длительное время никуда не выезжала. Домашних животных в доме не было. За день до обращения к врачу, члены ее семьи заметили, что ее сознание спутано.

При поступлении в клинику у пациентки температура 39,1 °C, артериальное давление 106/50 мм рт. ст. без ортостатических изменений, пульс 119/мин, частота дыхания 18/мин. Насыщение кислородом составило 93 % при комнатном воздухе. Она была встревожена и понимала, где находится. Менингеальных симптомов у нее не было, кожные покровы без патологии.

Лабораторные находки включали: лейкоциты 8100/мм3 (78 % нейтрофилы, 7 % моноциты и 15 % лимфоциты), гематокрит и тромбоциты в норме. Сывороточный азот мочевины (serum urea nitrogen) составил 39 мг/децилитр (13,9 ммоль/л), сывороточный креатинин 1,3 мг/децилитр (115 мкмоль/л), сывороточные электролиты в пределах нормы, за исключением натрия, составившего 134 миллиэквивалент/л. Ферменты сыворотки в норме, за исключением аспаратаминотрансферазы — 45 ЕД/л. Анализ мочи показал 3–5 лейкоцитов в поле зрения и умеренное количество бактерий. Заднепередняя и латеральная рентгенограммы грудной клетки сначала были интерпретированы как свидетельствующие о расширении медиастинума или о плевральных выпотах, признаков инфильтратов в ткани легкого на них не было обнаружено (рис. 3.22).

Рис. 3.22. Случай 22. Первые инструментальные и лабораторные находки. А. Заднепередняя рентгенограмма грудной клетки, сделанная при поступлении больной в клинику Снимок показывает левое хиларное расширение (белая стрелка) и затемнение в области левого диафрагмально-реберного угла (черная стрелка), возможно, образовавшегося в результате небольшого левого плеврального выпота. Б. Окрашивание по Граму кровяной культуры показывает наличие грамположительныхпалочек, расположенных цепочками (увеличение в 100 раз г По L. A. Barakat et al. (2002)

Однако позже, при сравнении с пленками 3-летней давности, предположено расширение левого хилума (left hilum) и возможность небольшого левого плеврального выпота. Компьютерная томография не проводилась. Кровь и моча были взяты на бактериологическое исследование, и больная госпитализирована с диагнозами «вирусный синдром» и «дегидратация». Первоначальное лечение включало внутривенное введение жидкостей и наблюдение. Лечение антибиотиками в день поступления больной не проводилось.

Утром 17 ноября ее состояние было стабильным Но уже после 14 ч в высевах из крови обнаружены грамположительные бациллы. Посевы мочи дали рост кишечной палочки, чувствительной к ампициллину. Приблизительно через 24 ч после поступления в стационар больная получила однократно 2 г иефтазидима и ванкомицин (1 г/доза внутривенно). Затем в схему лечения были лобавленьг орально ципрофлоксацин 500 мг каждые 12 ч: ампициллин/сульбактам (ampicillin/sulbactam) по 3 г в/в каждые 6 ч. Кровяные культуры, взятые через 3 ч после начала лечения антибиотиками, оказались стерильными.

18 ноября у пациентки появились признаки дыхательной недостаточности, лейкоцитоз 13300/мм3 (80 % нейтрофилы, 11 % лимфоциты и 9 % моноциты). Насыщение крови кислородом снизилось до 90 % при подаче кислорода в объеме 2 л/мин через носовую канюлю. Рентгенограмма грудной клетки отчетливо показала наличие плеврального выпота слева (рис. 3.23).

Рис. 3.23. Случай 22. А. Рентгеновский снимок, показывающий билатеральное нижнее затемнение в легких (слева больше, чем справа), и небольшое нарушение прозрачности слева. Б. Обширное затемнение в нижней части обоих легких, и билатеральное нарушение прозрачности легочной ткани. По L. A. Barakat et al. (2002)

Утром 19 ноября внутривенное введение ванкомицина и прием перорально ципрофлоксацина были продолжены, а введение ампициллин/сульбактама прекращено. Внутривенно назначен эритромицин (500 мг каждые 6 ч). В этот день на основе бактериологического исследования у больной была заподозрена сибирская язва. У пациентки нарастала гипоксия, появились признаки почечной недостаточности. Азот мочевины и креатинина сыворотки крови составили 43 мг/децилитр (15,4 ммоль/л) и 2,6 мг/децилитр (230 мкмоль/л) соответственно. Лейкоцитоз достиг 25000/мм3 (83 % сегментоядерные нейтрофилы, 8 % палочковые фирмы и 8 % лимфоциты). Рентгенограмма показала прогрессивное развитие левого плеврального выпота С помощью левого торакоцентеза выведено 800 мл кровянистой жидкости (pH 7,12; 4224 эритроцитов, 1463 лейкоцитов, уровень лактатдегидрогеназы 611 ЕД/л; глюкозы 14,4 ммоль/л; белков 3,4 г/децилитр). Какие-либо микроорганизмы из плевральной жидкости высеять не удалось.

Но последующее исследование плевральной жидкости в Centers Disease Control and Prevention показало, что ДНК В. anthracis обнаруживается ПЦР. Пациентке была сделана эндотрахеальная интубация и начата механическая вентиляция легких. В дополнение к ванкомицину назначен клиндамицин (900 мг внутривенно, каждые 6 ч), введение эритромицина отменено, ципрофлоксацин стали вводить внутривенно. Начато введение метилпреднизолона по 40 мг внутривенно, каждые 8 ч.

20 ноября получены результаты бактериологических исследований. Между 19 и 21 ноября температура у пациентки достигла 38,6 °C. У нее развилась гипотензия, потребовавшая введение вазопрессоров. Рентгенограмма показала про рессирование плеврального выпота слева и появление плеврг льного выпота справа (см. рис. 3.23, Б). В левую плевра льную полость была помещена дренг жная трубка. Лейкоцитоз достиг 43600/мм3 (83 % сегментоядерные нейтрофилы, 12 % лимфоциты и 5 % моноциты). Уровень креатинина в сыворотке достиг 3,7 мг/децилитр (327 мкмоль/л). Гематокрит, количество тромбоцитов, уровень печеночных ферментов и коагуляционный профиль остались в пределах нормы, за исключением аспартатаминотрансферлзы (61 ЕД/л). Состояние пациентки продолжало ухудшаться, и 21 ноября она умерла.

Аутопсия была выполнена спустя 8 ч после смерти. Более одного литра сероангинозной жидкости было откачано из правой плевральной полости. Правое легкое имело области уплотнения. Кожных поражений обнаружено не было Медиастинальные лимфатические узлы были увеличены и имели геморрагические изменения (геморрагический медиастинит). ЦНС без изменений. Органы брюшной полости, за исключением почек, в норме. Микроскопическое изучение показало выраженный некроз и геморрагии лимфатических узлов, интраальвеолярный и интерстициальный отек с фокальными геморрагиями и фибриновыми отложениями в легких, некроз селезенки. Рост В. anthracis обнаружен только при исследовании содержимого медиастинальных лимфатических узлов. Образцы сыворотки, взятые 16,17,18 и 19 ноября, были тестированы на IgG-антитела к протективному антигену сибиреязвенного токсина, но ни в одной пробе таких антител обнаружено не было. Посмертный диагноз — ингаляционная сибирская язва.

Обобщенная клиника ингаляционной сибирской язвы. Средний инкубационный период от момента заражения до начала симптомов у людей, пораженных сухой рецептурой спор возбудителя сибирской язвы, составил 4 сут (интервал 4–6 сут). Два пациента (случаи 11 и 12), предположительно, были инфицированы спорами В. anthracis 9 октября, когда конверт, который, как позже было установлено, контаминированный рецептурой В. anthracis, прошел через почтовое оборудование, на котором они работали. Тот же конверт прошел через другое почтовое оборудование 12 октября — вероятный день экспонирования других четырех человек, пораженных посредством ингаляции возбудителем сибирской язвы (случаи 13, 16, 14 и 15).

Больные обратились за медицинской помощью в среднем в течение 3,5 сут после появления симптомов болезни (интервал 1–7 сут). Восемь из десяти пациентов были на начальной стадии болезни, когда они первый раз обратились за медицинской помощью. Из них 6 получили антибиотики, активные против В. anthracis, в день обращения, и все шестеро выжили. У 4 пациентов, включая одного с менингитом, развились скоротечные симптомы болезни, и хотя, они все получили антибиотики, эффективные против сибиреязвенного микроба, они погибли. В табл. 3.4 суммированы симптомы болезни первых 10 пациентов (без случая 22), ставших жертвами сухой рецептуры В. anthracis. В табл. 3.5 приведен перечень основных клинических, лабораторных и рентгеновских находок у этих людей на начальной стадии болезни. В табл. 3.6 приведены основные патологические находки у 5 пациентов, погибших m ингаляционной сибирской язвы. Продолжительность инкубационного периода и болезни у 11 больных с ингаляционной сибирской язвой, начиная от времени заражения (когда оно известно), показаны на рис. 3.24.

Таблица 3.4. Основные симптомы у первых десяти пациентов с ингаляционной сибирской язвой[7]
Симптомы | n=10

Лихорадка, озноб | 10

Слабость, недомогание, летаргия | 10

Кашель (слабый или непродуктивный) | 9

Тошнота или рвота | 9

Одышка или чувство удушья | 8

Пот, обычно очень интенсивный | 7

Дискомфорт в груди, плевральные боли | 7

Мышечные боли (миалгии) | 6

Головные боли | 5

Спутанность сознания | 4

Абдоминальные боли | 3

Боли в горле | 2

Ринорея | 1

Таблица 3.5. Первые клинические находки у десяти пациентов с ингаляционной сибирской язвой[8]
Клинические находки | Частота встречаемости

Объективно

лихорадка (более 37,8 °C) | 7 из 10

тахикардия (более 100/мин) | 8 из 10

гипотензия (систолическое давление менее 110 мм рт. ст.) | 1 из 10

Результаты лабораторных исследований сыворотки крови

лейкоциты (средняя величина) | 9,8×103/мм3

дифференцированные нейтрофилы (более 70 %) | 7 из 10

нейтрофилы палочковых форм (более 5 %) | 4 из 5

увеличение активности трансаминаз[9] (SGOT или SGPT более 59 %) | 9 из 10

Гипоксемия | альвеолярно-артериальный кислородный градиент более 30 мм рт. ст. при 02 комнатного воздуха, насыщение менее 94 % | 6 из 10

метаболический ацидоз | 2 из 10

увеличение содержания креатинина (более 1,5 мг/децилитр) | 1 из 10

Данные рентгенологического исследования

любые отклонения от нормы | 10 из 10

медиастинальное расширение | 7 из 10

инфильтраты/уплотнения | 7 из 10

плевральный выпот | 8 из 10

Данные компьютерной томографии грудной клетки

любые отклонения от нормы | 8 из 8

медиастинальная лимфоаденопатия, расширение | 7 из 8

плевральный выпот | 8 из 10

инфильтраты, уплотнения | 6 из 8

Таблица 3.6. Основные патологические находки у пяти пациентов, погибших от инrаляционной сибирской язвы[10]
Патология | Пациент 8 | Пациент 14 | Пациент 15 | Пациент 21 | Пациент 22

Продолжительность лечения антибиотиками, ч | 82 | 11 | 3 | 55 | 95

Кожные поражения | Нет | Кожная гематома | Нет | Нет | Нет

Плевральная жидкость, мл[11] | R > 1000 L > 1000 | R 1300 L 700 | R 250 L 500 | R 2500 L 1000 | R 1000 L 800

Медиастинальные лимфатические узлы | Геморрагический некроз, сглаживание | Геморрагический некроз, иммунобласты, нейтрофилы | Некроз, геморрагии, иммунобласты, нейтрофилы | Геморрагии | Некроз, геморрагии, иммунобласты, нейтрофилы

Плевральные и интерхиларные перегородки | Геморрагии | Геморрагии, воспаление | Геморрагии | — | Воспаление

Легочная паренхима | Фокальные гиалиновые мембраны | Без видимых изменений | Выступающие внутриальвеолярные макрофаги | Выступаюшие внутриальвеолярные макрофаги | Перибронхиальное воспаление, внутриальвеолярный отек

Селезенка | Некроз | Скопление иммунобластов | Скопление иммунобластов и нейтрофилов | — | Скопление иммунобластов

Кишечник | Фокальные геморрагии | Без видимых изменений | Фокальные геморрагии и воспаление | — | Без видимых изменений

Грамположительные бациллы | Нет | Обнаружены во всех тканях | Обнаружены во всех тканях | Обнаружены в лимфатических узлах | Нет

Локализация бацилл при окрашивании по Steiner | Торакальные и абдоминальные ткани | Торакальные и абдоминальные ткани | Торакальные и абдоминальные ткани | Медиастинальные лимфатические узлы | Медиастинальные ткани, легкие


Количество лейкоцитов при обращении пациента к врачу соответствовало норме или было немного повышенным. Среднее начальное количество лейкоцитов 9800/мм3 (интервал от 7500 до 13 300/мм3). Однако возрастало соотношение молодых форм нейтрофилов, и это явление можно считать ранним диагностическим критерием ингаляционной сибирской язвы. В течение болезни количество лейкоцитов увеличивалось у всех пациентов, интервал от 11300 до 46600/мм3.

Рентгенологическое исследование выявило патологию у всех пациентов, но только 8 из 11 имели изменения медиастинума. Уже на первых рентгенограммах можно было заметить медиастинальное расширение, паратрахеальные утолщения, киларные утолщения, плевральные выпоты и паренхимальные инфильтраты. В двух случаях на рентгенограммах первыми были обнаружены плевральные выпоты и легочные инфильтраты без каких-либо признаков расширения медиастинума. Компьютерная томография грудной клетки оказалась более надежным инструментом для обнаружения патологических изменений в грудной клетке пораженного, чем рентгенорафическое исследование.

Рис. 3.24. Продолжительность инкубационного периода и болезни у 11 пациентов с ингаляционной сибирской язвой. По J. A. Jerngan et al. (2001) и L. A. Barakat et al. (2002)


Плевральные выпоты обнаружены у всех 11 пациентов. Они были наиболее заметной составляющей клинических особенностей ингаляционной сибирской язвы, что свидетельствует об относительно быстром (по сравнению даже с медиастинальными лимфатическими узлами) инфицировании плевры после ингаляции спор В. antnracis[12]. Небольшими плевральные выпоты были у умерших больных, но у выживших они имели тенденцию к прогрессивному увеличению и распространению. Для семи пациентов потребовалась операция по дренированию плевральной жидкости, четырем из них были установлены дренажные трубки. Геморрагическая плевральная жидкость обычно содержала относительно небольшое количество лейкоцитов. Легочные инфильтраты, которые наблюдались у 7 пациентов, включали правую и левую нижние доли (один пациент), левую верхнюю и нижнюю доли (один пациент), левую верхнюю и нижнюю доли (один пациент) и билатеральные перихилярные (один пациент). Восьми пациентам сделана компьютерная томография грудной клетки, медиастинальная лимфоаденопатия выявлена у 7 пациентов.

У трех больных развилась аритмия предсердия (суправентрикулярная тахикардия в «случае 4» и фибрилляция предсердий в «случаях 14 и 19»). У трех больных компьютерной томографией обнаружен перикардиальный выпот. У одной пациентки пред полагалась перикардиальная тампонада. Перикардиальные выпоты могут быть следствием токсин-обусловленного локального отека или воспаления, геморрагического некроза или инфаркта, распространившегося в перикардиум из медиасгинума, или гематогенного разноса В. anthracis.

Кровяные культуры В. anthracis получены у 8 пациентов еще до того, как им начали проводить антибактериальную терапию. Рост кровяных культур наблюдался в среднем за 18 ч (интервал от 12 до 24 ч). У трех пациентов кровь для получения кровяных культур взяли после начала антибиотикотерапии. Во всех трех случаях кровяную культуру В. anthracis получить не удалось. У одного заболевшего, у которого получили кровяную культуру до начала лечения, получить ее через 24 ч после начала антибиотико-терапии не удалось.

Множественные фокальные геморрагии в тонкой кишке были найдены у 8 пациентов из 15, но каких-то значительных изъязвлений или мезентериальной лимфоаденопатии и поражения органов ЖКТ обнаружено не было. Такая патологоанатомическая картина ингаляционной сибирской язвы не соответствует той, которую за нее выдал екатеринбургский патологоанатом Л. М. Гринберг (1995), выполнивший вскрытие 42 тел жертв сибирской язвы, вспыхнувшей в Свердловске весной 1979 г. Поражения ЖКТ им отмечены почти у всех погибших от сибирской язвы (39 из 42). Л.М. Гринберг также обнаружил, что такие поражения носят распространенный характер. Тошая и подвздошная кишка были поражены у 36 умерших, желудок — у 30, слепая и восходящая кишки — у 12, глотка и корень языка — у 3. Им было выделено три типа изменений ЖКТ: в 21 случае процесс носил очаговый характер; в 10 — диффузный; в 8 — диффузно-очаговый. При очаговой (карбункулезной) форме поражения в ЖКТ определялось множество карбункулов диаметром от 0,3 до 3,0 см, темно-красного цвета. Крупные очаги занимали все слои стенки кишки и не были связаны с лимфоидными образованиями кишечника. Ничего подобного исследователи не наблюдали у людей, умерших от ингаляционной сибирской язвы в США в 2001 г. Не обнаружено такой патологии и у приматов, погибших в результате экспериментального ингаляционного заражения спорами В. anthracis, выполненного Н. В. Литусовым с соавт. (2002). Наоборот, эти авторы наблюдали подобную патологоанатомическую картину только при энтеральном заражении павианов гамадрилов (см. выше «Моделирование на экспериментальных животных ситуации искусственного заражения В. anthracis»).

Несовпадения в патологической анатомии ингаляционной сибирской язвы в США в 2001 г. и сибирской язвы в Свердловске в 1979 г. свидетельствуют о том, что пути инфицирования и патогенез сибирской язвы у людей, вовлеченных в эти вспышки, были различными[13]. До вспышки сибирской язвы в США в 2001 г. считалось, что геморрагический менингит сопровождает ингаляционную сибирскую язву в 50 % случаев (Бургасов П. Н., Рожков Г. И., 1984). Но менингеальные симптомы наблюдались только у двух пораженных (менее 20 %). У них была отобрана цереброспинальная жидкость, менингит подтвержден у одного пациента. Трое других пораженных имели inermittent confusion. Менингеальных симптомов у них не наблюдалось, и поэтому люмбарную пункцию им не делали. Следовательно, «шапочка кардинала» не является специфическим признаком ингаляционной сибирской язвы.

Результаты гистологического исследования органов и тканей людей, пораженных мелкодисперсным аэрозолем возбудителя сибирской язвы, показаны на рис. 3.25. Иммунохимические тесты, специфичные к В. anthracis, выполненные на цитологических препаратах, полученных из плевральной жидкости и тканей, отобранных трансбронхиальной биопсией, были положительными всегда (рис. 3.25, А). Аутопсия четырех умерших больных показала наличие у них медиастинального лимфаденита и диссеминацию В. anthracis по органам и тканям (рис. 3.25, В-Г).

Рис. 3.25. Результаты гистологического исследования органов и тканей людей, пораженных мелкодисперсным аэрозолем возбудителя сибирской язвы. А. На блоке, сделанном из плевральной жидкости (несмертельный случай), в большом количестве показан гранулярный антиген В. anthracis, окрашенный изнутри мононуклеарных воспалительных клеток (иммунохимический тест выполнен с использованием мононуклеарных антител к капсуле В. anthracis и проявленный щелочной фосфатазой и нафтоловым крепким красным в собственной модификации авторов статьи). Увеличение в 158 раз. Б. Медиастинальный лимфатический узел, извлеченный из тела умершего больного, Отчетливо видны капсулярное и синусоидальное кровоизлияния (окрашивание гемотоксилином и эозином). Увеличение в 25 раз В. Лимфатический узел, извлеченный из тела того же больного. Видно большое количество гранулярного антигена В. anthracis, окрашенного изнутри мононуклеарной воспалительной клетки. Там же бациллы (указаны стрелочкой), находящиеся в субкапсулярной геморрагической области (иммунохимический тест выполнен с использованием мышиных моноклональных антител к клеточной стенке В. anthracis и проявлен, как описано выше). Увеличение в 100 раз. Г. Легочная ткань, полученная от умершего больного. Верхней стрелкой показан гранулярный антиген В anthracis, окрашенный изнутри периферических макрофагов. Нижней стрелкой показана бацилла, расположенная внутриклеточно. Увеличение в 100 раз По J. A Jernigan et al. (2001)


Клинические проявления болезни различались между собой и часто имели сходство с вирусными респираторными болезнями, что создает риск диагностических ошибок в условиях отсутствия террористической настороженности. J. A. Jernigan et al. (2001), подводя итоги изучения клиники случаев ингаляционной сибирской язвы, вызванной террористическим актом, обращают внимание на то, что такая форма сибирской язвы ранее (т. е. возникшая в результате инфицирования во время работ с переработкой шерсти животных, больных сибирской язвой) описывалась как болезнь с двухфазным клиническим течением Ее начальная фаза длилась 1–4 сут и проявилась следующими симптомами: недомогание, слабость, лихорадка, миалгии и сухой кашель. За ней следовала молниеносная фаза, для которой было характерно быстрое развитие респираторной недостаточности (в течение 1–2 сут), цианоза и обильное потоотделение (Dixon Т. et al., 1999; Brachman P., Kaufmann A., 1998). Симптомы начальной фазы 11 террористических случаев болезни в основном сходны с ранее описанными у 18 пациентов с нетеррористическими случаями ингаляционной сибирской язвы (Brachman Р., 1980). Но есть и отличия:

1) выраженный, часто «просачивающийся пот», характерен для поражения сухой сибиреязвенной рецептурой. Его не отмечали авторы, описавшие случаи инфицирования спорами сибирской язвы в цехах по промышленной переработке шерсти;

2) во время «естественных вспышек» состояние больного между начальной и молниеносной фазами болезни может на короткое время улучшаться. Этот клинический феномен не наблюдался у больных, пораженных сухой рецептурой В. anthracis;

3) до террористического акта 2001 г. считалось, что первично-легочной сибирской язвы не существует и на рентгенограмме может быть только выраженное расширение медиастинальных узлов при отсутствии признаков первичной пневмонии (Бургасов П. Н., Рожков Г. И., 1984; Braude А. I. с соавт., 1986).

Однако практика биотеррора показала, что поражение сухой рецептурой сибирской язвы может проявляться легочными инфильтратами (отмечены у семи пациентов, наиболее показательны случаи 4, 11, 13, 14), а являются ли они первичными, либо представляют результат гематогенного заноса, остается предметом дискуссии среди специалистов[14]. Три отличия в клинической картине поражения легких от ранее описанных, возможно, связаны с физико-химическими свойствами использованных террористом (или террористами) отдельных компонентов сухой рецептуры В. anthracis.

Диагностика искусственного поражения возбудителем сибирской язвы. Все клинические формы сибирской язвы, обобщенные в патогенетической классификации Н. В. Литусова с соавт. (2002), включая даже кожную форму болезни, могут быть вызваны у людей диверсионным или террористическим способами применения В. anthracis (см. разд. 1.12.4). К ним необходимо добавить еще и «невозможные клинические формы болезни» (см. разд. 2.3.1): сибирскую язву, вызванную парентеральным введением В. anthracis; и ингаляционную сибирскую язву, вызванную мелкодисперсным аэрозолем (патология мелкодисперсного аэрозоля).

Основным критерием для раннего распознания искусственного происхождения вспышки сибирской язвы может быть невозможная эпидемиология болезни. Для ее выявления важно при сборе анамнеза больного сибирской язвой обратить внимание на обстоятельства, которые на первый взгляд не имеют отношения к эпидемиологии сибирской язвы. Естественное происхождение кожной формы болезни предполагает указание в анамнезе на контакт с инфицированным В. anthracis мясом, шкурами или почвой. Отсутствие такого контакта при наличии сибиреязвенного карбункула на коже пациента дает основание для выявления иных источников возбудителя болезни. Например, ими могут оказаться вскрытые конверты с неизвестным порошком, подарки или предметы, полученные им от других людей (организаций). А так как количество сухой сибиреязвенной рецептуры, способной вызвать кожную форму сибирской язвы обычно незначительно, и заболевший может ее не заметить, то необходимо:

1) поинтересоваться у него наличием подобных поражений на коже у лиц из его ближайшего окружения (родственники, коллеги по работе и др.);

2) провести сбор эпидемиологических данных среди этого «окружения» пациента (разд. 2.3.2; «Текущее эпидемиологическое расследование в очаге искусственного эпидемического процесса»),

В случае обнаружения больных с кожной формой сибирской язвы, необходимо расспросить их по поводу возможных контактов с источниками инфицирования В. anthracis, включая контакты с неизвестным «порошком».

Кишечная форма сибирской язвы может быть предположена пои обнаружении резкого несоответствия между крайне тяжелым состоянием больного и отсутствием к тому локальных данных в сочетании с прогрессирующим упадком сердечной деятельности; выраженными нарушениями со стороны кишечника (тупые боли в животе, рвота, непостоянный жидкий стул); обнаружением присутствия экссудата в брюшной полости (действие токсина В. anthracis); постоянными жалобами больных в разгаре болезни на жесточайшую головную боль при отсутствии объективных менингеальных симптомов. Подозрение об искусственном происхождении кишечной сибирской язвы обоснованы, если выявлен «разрыв» в цепочке движения инфицированного продукта от естественного источника заражения. Например, споры В. anthracis обнаружены в котлетах, но отсутствуют в мясе, из которого сделан фарш для котлет. Даже если они попали в продукт, вызвавший вспышку кишечной сибирской язвы, с какого-то оборудования (разделочные столы, котлы, мясорубки и т. п.), то для исключения искусственной контаминации должен быть выявлен природный источник, возбудителя болезни, контаминировавший это оборудование ранее.

Любой случай ингаляционной сибирской язвы, обнаруженный среди жителей городов, не имеющих отношения к переработке шерсти и кожи животных, должен рассматриваться с точки зрения его искусственного происхождения. Подозрение об искусственном характере вспышки, уже после установления диагноза (ингаляционная сибирская язва», может быть основано на следующем сочетании данных рентгенологического исследования, клинических проявлений болезни и результатов вскрытия:

1) на рентгенограмме — наличие патологических процессов в паренхиме легких. Им будут сопутствовать характерные для ингаляционной сибирской язвы патологические процессы в медиастинуме (медиастинальное расширение, паратрахеальные утолщения, хиларные утолщения и др.) и в плевре (экссудативный плеврит);

2) среди клинических проявлений болезни — в числе ранних симптомов — наличие профузного пота; а при анализе клинической картины болезни в целом — отсутствие короткого периода улучшения состояния больного между начальной и молниеносной фазами болезни;

3) среди патологоанатомических находок — отсутствие признаков первичного вовлечения в инфекционный процесс ЖКТ (карбункулы в пищеводе, желудке, тонкой и подвздошной кишке).

Парентеральное введение В. anthracis можно предположить у лиц, получавших какие-либо медицинские назначения, сопровождавшиеся инъекциями, и у инъекционных наркоманов. При подкожном инфицировании человека возбудителем сибирской язвой возможны следующие группы симптомов: повышенная температура тела, обширные воспаления и отеки подкожной клетчатки, прилегающей к участкам, используемым для инъекционного введения, и признаки регионарного лимфаденита. Внутривенное инфицирование В. amhracis можно предположить в случае внезапной («апоплексической») смерти человека, при вскрытии которого выявляются признаки серозного или серозно-геморрагического полиаденита, полнокровие и дистрофические изменения в паренхиматозных органах, и кровоизлияния в легких.

При установлении этиологии болезни наиболее целесообразно использование ПЦР. Нельзя считать надежными тесты на получение гемокультур В. anthracis и на IgG антитела к протективному антигену сибиреязвенного токсина. В случае быстрой смерти пациента, IgG-актитела к протективному антигену сибиреязвенного токсина могут не успеть образоваться. Рост возбудителя сибирской язвы на питательных средах в случаях, когда кровь у пациента была отобрана на первой стадии болезни, имел место для всех тех больных, которым не проводилась антибиотикотерапия. Но кровь становится стерильной после начала лечения пациента антибиотиками.

Обнаружение в очагах эпизоотий штаммов В. anthracis, устойчивых к отдельным антибиотикам, даже если они вызвали вспышки кожной сибирской язвы у людей, еще не говорит в пользу того, что штаммы были генетически изменены. Однако такие штаммы надо рассматривать как генетически измененные и передавать специалистам для плазмидного- и сиквиенс-анализа в случаях, если такой штамм обнаружен:

1) при обстоятельствах, которые относятся к неправильной эпидемиологии (см. разд. 2.3.1);

2) у него обнаружена резистентность сразу к нескольким антибиотикам, используемым в распространенных схемах экстренной специфической профилактики и лечения сибирской язвы (например, пенициллины и ципрофлоксацин, пенициллины и тетрациклин);

3) он оказался способным пробить иммунитет, созданный у человека менее года назад полноценной вакцинацией живыми или комбинированными сибиреязвенными вакцинами.

Выявление причин эпизоотий сибирской язвы среди сельскохозяйственных животных не менее важно, чем вспышек среди людей. Во-первых, эпизоотии формируют первые звенья эпидемической цепи, ведущей В. anthracis в человеческие популяции. Их прослеживание позволяет сделать рабочие предположения об искусственном или, наоборот, естественном происхождении вспышки сибирской язвы среди людей. Во-вторых, сами эпизоотии могут быть вызваны искусственно при осуществлении саботажа (см. выше разд. 1.7; «Бактериологические диверсии в СССР»), и в рамках стратегий непрямых ударов. Основную роль в таких ударах сыграет зараженное В antnracis мясо. Последующая массовая доставка зараженного мяса потребителю способна вызвать крупную вспышку сибирской язвы. Поэтому надо обязательно убедиться в том, что в регионе, где выявлена сибирская язва среди животных существуют природные условия для ее возникновения (см. выше «Экология и естественная эпидемиология В. anthracis»), а инфицирование животных произошло из природного резервуара В. anthracis благодаря наличию этих условий (нейтральная или слабощелочная почва; температура не ниже 15 °C и не выше 35 °C; большой процент содержания гумуса в почве; правильная сезонность проявления болезни; концентрированные корма. в которые добавлены корма животного происхождения; животные со скрытым течением болезни и др.). Далее, используя VNTR-анализ и анализ полиогеномного полиморфизма отдельных нуклеотидов, необходимо убедиться в том, что штамм В. anthracis. вызвавший эпизоотию, характерен для данного региона, и что именно он вызвал вспышку сибирскойязвы среди людей.

Так как нет достоверных данных в пользу того, что инфицирование людей возбудителем сибирской язвы может произойти в результате реаэрозолирования спор В. anthracis, осевших на поверхности предметов, окружавших человека в момент формирования первичного аэрозоля (см. разд. 1.12.4), то контаминацию ими поверхностей в местах совершения биотеррористического акта не следует считать представляющей опасность.

Иммунопрофилактика. В России для специфической профилактики сибирской язвы разрешено применение двух вакцин:

вакцина сибиреязвенная живая, представляющая собой лиофилизат живых спор вакцинного штамма В. anthracis СТИ-1. Используется для подкожного введения и накожного скарификационного нанесения. После двукратного применения с интервалом в 20–30 сут вызывает формирование специфического иммунитета продолжительностью до года. Ревакцинацию проводят однократно ежегодно, подкожно;

вакцина сибиреязвенная комбинированная, представляющая собой лиофилизат смеси живых спор вакцинного штамма В. anthracis СТИ-1 и очищенного концентрированного протективного сибиреязвенного антигена, адсорбированного на геле гидроокиси алюминия. Вакцинацию проводят однократно подкожно. Обеспечивает формирование специфического иммунитета через 7 сут после прививки продолжительностью до года. Ревакцинацию проводят однократно. Первые три ревакцинации осуществляют ежегодно. Все последующие ревакцинации проводят один раз в два года.

Вакцины производят ФГУ «48 Центральный научно-исследовательский институт Министерства обороны Российской Федерации» (г. Киров) и его филиал в г. Екатеринбурге — «Центр военно-технических проблем биологической защиты».

Обе вакцины эффективно защищают от ингаляционного заражения спорами возбудителя сибирской язвы.

Лечение. Почти все случаи ингаляционной сибирской язвы, когда лечение начиналось после того, как у больных уже проявлялась значительная симптоматика, заканчивались смертельным исходом, независимо от способов лечения. С 1950-х гг. в качестве основного варианта лечения рассматривался пенициллин, применяемый внутривенно через каждые 2 ч в дозе 2 млн единиц. Большинство штаммов естественного происхождения чувствительны к эритромицину, хлорамфениколу, гентамицину и ципрофлоксацину. Однако в природе поддерживаются и пенициллин-резистентные штаммы, один из них, Ames, использовался американскими военными для получения биологических рецептур, предназначенных для снаряжения биологических кассетных боеприпасов и осуществления биологических диверсий. При лечении в США в 2001 г. больных с кожной и ингаляционной формами сибирской язвы, вызванными этим штаммом, наиболее эффективной оказалась комбинированная терапия, сочетающая применение ципрофлоксацина и других антибиотиков широкого спектра действия. Однако к настоящему времени уже разработаны подходы к получению штаммов В. anthracis, резистентных к ципрофлоксацину. Поэтому при отсутствии данных об антибиотикочувствительности штаммов, вызвавших сибирскую язву, уже при самых ранних признаках болезни должно быть назначено эмпирическое лечение комбинацией антибиотиков.

Первоначально для лечения ингаляционной формы сибирской язвы рекомендуется использовать либо ципрофлоксацин, либо доксициклин в сочетании с одним или более препаратом, к которым обычно чувствителен возбудитель. После проверки чувствительности и улучшения состояния больного схема лечения может быть изменена. Предпочтительными препаратами для лечения кожной формы сибирской язвы являются также ципрофлоксацин или доксициклин. Пенициллин, такой как амоксициллин (или его сочетание с клавулановой кислотой), может быть использован для завершения курса лечения в случае положительных результатов проверки чувствительности (Bell D. М. et al., 2002). К улучшению состояния больного ингаляционной сибирской язвой приводит дренирование плевральных выпотов посредством плевральной дренажной трубки. Поскольку эти выпоты имеют тенденцию быстро скапливаться вновь, целесообразно вставлять одну или несколько плевральных дренажных трубок. Клиндамицин может оказывать антитоксическое действие. Стероиды используются для устранения отека при кожной форме заболевания и рекомендуются для лечения менингита или обширного медиастинального отека. В качестве антитоксинов в условиях in vitro исследовали протективное действие ингибиторов ангиотензин-конвер-тирующих ферментов, блокаторов кальциевых каналов и ингибиторов фактора некроза опухоли. Вспомогательными средствами лечения могут служить и антисибире-язвенные IgG (Bell D. М. et al., 2002).

3.2. Чума

Микробиология Y. pestis. Происхождение и молекулярная эпидемиология. Экология и естественная эпидемиология Y. pestis. Внутривидовая таксономия. Восприимчивость и чувствительность животных к возбудителю чумы. Инфицирующие дозы. Иммунитет. Устойчивость Y. pestis во внешней среде и в трупах погибших. Антибиотикорезистентность. Обнаружение генетически измененных штаммов Y. pestis. Патогенез. Клиническая картина чумы у людей при естественном инфицировании Y. pestis. Моделирование искусственного заражения Y. pestis. Диагностика искусственного поражения возбудителем чумы. Иммунопрофилактика. Лечение.


Чума (pestis, plague, black death) — опасная сапрозоонозная инфекционная болезнь людей и животных, вызываемая неспорулируюгцейся бактерий Yersinia pestis. Характеризуется острым началом, тяжелой интоксикацией, лихорадкой, септицемией, помрачением сознания, возникновением бубонов и карбункулов. Протекает в кожной, легочной и септицемической формах. Карантинная инфекция. Российские санитарно-эпидемиологические правила СП 1.3.2322-08 относят возбудитель чумы к I группе патогенности. По степени важности для национальной безопасности США Y. pestis относится к биологическим поражающим агентам категории А (см. табл. 2.2). Особую опасность возбудителю чумы придает его способность при легочный форме болезни передаваться между людьми.

Попытки диверсионного применения культур Y. pestis и зараженных чумой грызунов замечены еще в годы Первой мировой войны. С начала 1930-х гг. и до окончания Второй мировой войны возбудитель чумы активно исследовался японскими военными как потенциальный поражающий агент БО. Он неоднократно применялся ими в варварских экспериментах на людях и для осуществления биологических диверсий против китайских войск и мирного населения. В США и в Соединенном Королевстве со средины 1940-х гг. возбудитель чумы изучался как летальный агент БО. Для его боевого применения разрабатывались специальные рецептуры и боеприпасы. В первой половине 1952 г. Y. pestis использовалась армией США для поражения войск и населения Северной Кореи и Северо-Восточного Китая. До 1968 г. рецептуры на основе возбудителя чумы находились на вооружении американской армии под шифром «N». В 1995 г. обнаружена заинтересованность радикальных организаций в использовании чумы в террористических целях. В США за попытку приобретения культуры Y. pestis по почте был арестован некий Ларри Уэйн Харрис, связанный с труппой «Арийская нация». Харрис не скрывал своего намерения осуществить биотеррористический акт против федеральных структур.

Наиболее вероятно применение Y. pestis посредством использования линейных и многоточечных источников и диверсионными (террористическими) методами.

Микробиология Y. pestis. Y. pestis — относится к роду Yersinia семейства Enterobacteriaceae. Факультативный анаэроб. Растет на обычных жидких и плотных питательных средах при температуре 25–30 °C и pH 6,9–7,2. На бульоне культура растет в виде поверхностной пленки со спускающимися вниз нитями, напоминающими сталактиты, и хлопьевидного осадка на дне пробирки. Из «природных источников» возбудитель чумы выделяется в своей типичной R-форме (шероховатой). Приросте бактерий на питательных средах может происходить диссоциация их колоний от R-форм, к авирулентным S-формам, образующим на плотном агаре гладкие, ахромогенные колонии, а в бульоне равномерное помутнение. Но и R-формы Y. pestis могут необратимо утрачивать вирулентность. Среди таких штаммов обычно ищут штаммы, пригодные для применения в качестве вакцинных (Николаев Н. И., 1968).

Бактерии Y. pestis эндоспор не образуют, не имеют жгутиков и лишены активной подвижности. В организме больных чумой, а также на искусственных питательных средах при определенных условиях развития могут образовывать капсулу. Специфическая окраска для чумных микробов не разработана. Они легко окрашиваются карболовыми и щелочными растворами анилиновых красок, при окраске по Граму обесцвечиваются. На их форму, размеры и окраску существенное влияние оказывают условия развития микробной популяции. В мазках из агаровых культур, выращенных при температуре 26–28 °C, Y. pestis имеет форму прямых или слегка изогнутых палочек с закругленными полюсами длиной 0,8–2,0 мкм и диаметром 0,5–0,7 мкм. На поверхности препарата они располагаются без определенной закономерности и окрашены преимущественно равномерно. Возможно образование небольшого количества нитей и цепочек различной длины. В мазках из агаровых и бульонных культур, полученных в результате выращивания при температуре 37–39 °C, а также в мазках крови и мокроты людей и животных, погибших от чумы, или в мазках — отпечатках их органов, микробы Y. pestis имеют вид небольших палочек, овоидов или бочкообразных клеток с закругленными полюсами, многие из которых окрашены биполярно, что проявляется в преимущественном окрашивании полюсов и появлении неокрашенной крупной вакуоли в центре клеточного тела. Биполярными чаще всего выглядят микробы, развившиеся на искусственных питательных средах при температуре 37–39 °C или в организме больных чумой при остром течении инфекционного процесса (Золотарев А. Г. с соавт., 2006) (рис. 3.26, А).

В случаях затянувшейся чумы (нагноившиеся, вскрывшиеся бубоны и язвы) либо при неблагоприятных условиях роста (воздействие бактериофага, суббактериостатические дозы антибиотиков и солей, неоптимальное осмотическое давление) чумные микробы утрачивают биполярность и превращаются в гетероформные структуры в виде шаров, нитей или теней клеток (Золотарев А. Г. с соавт., 2006).

Капсулу микробы Y. pestis образуют в организме восприимчивых животных или после выращивания при температуре 37–39 °C на питательных средах определенного состава. У клеток культур, полученных при температуре 26–28 °C, капсула отсутствует. Микроскопическая картина и размеры капсулы зависят, с одной стороны, от штаммовых особенностей культур, а с другой — от методики приготовления препарата. ЕГаиболее оптимальные условия для выявления капсулы у чумных микробов обеспечивает прижизненная фазово-контрастная микроскопия препаратов, приготовленных по влажному тушевому методу.

Рис. 3.26. Микроскопическое изображение Y. pestis. А. Биполярные палочки Y. pestis в крови пациента с септической формой чумы. Окрашивание по Wright-Giemsa. Увеличение в 1000 раз. По Т. Inglesby et al. (2000). Б. Капсула живых Y. pestis, выращенных в течение 24 ч при температуре 37–39 °C в переваре Хоттингера с добавлением витаминов и ионов кальция. Вирулентный штамм 1300. Увеличение в 1350 раз. Фазовый контраст. В. Электронно-микроскопическое изображение клеток Y. pestis, выращенных в бульоне Хоттингера при температуре 37–39 °C. Штамм 1300. Снаружи от клетки имеются остатки капсулы (К). Контрастировано напылением хромом, увеличение в 15 тыс. раз. Г. Электронно-микроскопическое изображение ультра-тонкого среза клетки Y. pestis, обработанной специфическими анти-Fl-иммуноглобулинами, меченными ферритином. Показано равномерное расположение ферроиммуноглобулинов. Увеличение в 100 тыс. раз. По А. Г. Золотареву с соавт. (2006)


В таких препаратах капсула наблюдается в виде прозрачной светлой зоны между клетками и темным фоном, создаваемым частицами туши. Толщина капсулы у живых Y. pestis вирулентных штаммов возбудителя чумы колеблется примерно от 1,2 до 0,3 мкм (Золотарев А. Г. с соавт., 2006) (см. рис. 3.26, Б).

Под электронным микроскопом в препаратах, оттененных хромом, у чумных бактерий определяются цилиндрическая форма, сферические полюса, гладкая, без резких возвышений и углублений поверхность и равномерная электронно-оптическая плотность цитоплазмы. По периферии клеток, особенно на полюсах, протопласт несколько отходит от клеточной стенки с образованием полупрозрачной каймы, в которой видны ровные внешние контуры клеточной стенки и цитоплазматической мембраны. Снаружи клеточной стенки находится капсула, отличающаяся низкой плотностью по отношению к электронам. По степени выраженности капсулы Y. pestis гетерогенны (Золотарев А. Г. с соавт., 2006) (см. рис. 3.26, В).

В капсуле чумных бактерий располагается оболочечный или капсульный антиген F1. Его детерминанты взаимодействуют с меченными ферритином специфическими иммуноглобулинами. На ультратонких срезах клеток, предварительно обработанных такими меченными антителами, гранулы комплекса ферритин — иммуноглобулин обнаруживаются как на поверхности клеточной стенки, так и на материале капсулы. Наличие меченых специфических иммуноглобулинов на клеточной стенке и в капсуле Y. pestis указывает на то, что антиген F1 является компонентом, участвующим в образовании этих структур (Золотарев А. Г. с соавт., 2006) (см. рис. рис. 3.26, Г).

Наиболее благоприятные условия для выращивания бактерии Y. pestis обеспечиваются при свободном доступе кислорода и температуре инкубирования от 26 до 28 °C. При таких условиях Y. pestis уже через 10–12 ч роста образует на плотной питательной среде характерные микроколонии в виде плоских сложных образований с неровными краями, напоминающие кружевные платочки. Примерно к 20–24 ч выращивания у микроколоний формируются выпуклый зернистый желтый, бурый или темно-коричневый центр и плоская тонкая бесцветная, почти прозрачная фестончатая периферическая зона — кружевная каемка (рис. 3.27, А, Б).

Рис. 3.27. Макроскопические изображения колоний Y. pestis. А, Б. Микроколонии возбудителя чумы, выращенные на агаре Хоттингера при температуре 26–28 °C. Вирулентный штамм 1300. Макрофотосъемка в падающем свете. Увеличение в 56 раз. На фотографии А микроколонии через 10–12 ч выращивания, на фотографии Б микроколонии через 20–24 ч выращивания. У микроколонии формируется выпуклый желтый, бурый или темно-коричневый центр и тонкая, почти прозрачная фестончатая периферическая зона. В. Двухсуточная колония Y. pestis в проходящем свете (условия выращивания и штамм см. выше). Увеличение в 13 раз. Г. Двухсуточная колония Y. pestis в падающем свете (условия выращивания и штамм см. выше). Увеличение в 13 раз. По А. Г. Золотареву с соавт. (2006)


К исходу вторых суток вырастают выпуклые, округлые колонии, которые имеют диаметр 2,5–3,0 мм и макроскопически в проходящем свете кажутся серовато-белыми с голубым оттенком, а при падающем свете — беловато-серыми. При микроскопическом исследовании в проходящем свете они хромогенные и нередко напоминают по внешнему виду цветы ромашек или маргариток. Центр у них может быть выпуклым или запавшим, коричневым либо желтым, зернистым или бугристым, тогда как периферическая часть полупрозрачная и кружевная (см. рис. 3.27, В). В падающем свете эти колонии выглядят серо-желтыми и имеют форму полусфер с мелкозернистой поверхностью и ровными или слегка фестончатыми краями (см. рис. 3.27, Г) (Золотарев А. Г. с соавт., 2006).

Морфология колоний чумных бактерий зависит от многих факторов. При удлинении сроков культивирования до 72–96 ч центр колонии уплощается или западает, а периферическая кружевная зона становится плотной либо узкой, а может и вовсе отсутствовать. Поверхность колоний зернистая, а иногда исчерченная (феномен Творта). На морфологию колоний Y. pestis влияют также температура выращивания и состав питательной среды (Золотарев А. Г. с соавт., 2006).

Биохимически возбудитель чумы активен: восстанавливает нитраты в нитриты, ферментирует с образованием кислоты без газа глюкозу, левулезу, мальтозу, галактозу, ксилозу и манит, продуцирует ферменты типа дегидрогеназ и уреаз. Хорошо растет на синтетических средах с аминокислотами (в качестве источников азота) и ферментируемыми углеводами. В витаминах и азотистых основаниях, как правило, не нуждается. Аминокислотные потребности у штаммов из разных природных очагов сильно варьируют. Кроме того, они могут меняться в зависимости от температуры культивирования.

Характерными признаками вирулентных штаммов Y. pestis являются:

наличие капсулы и V- и W-антигенов (антифагоцитарное действие);

способность синтезировать пурины (генерализация инфекции);

образование пигментированных колоний на среде с гемином (генерализация инфекции);

пестициногенность;

неспособность расти на средах при температуре 37 °C в отсутствие ионов кальция;

наличие «рН-6-антигена» (играет роль Fc-рецептора, связывается с IgG человека и приводит к образованию псевдоиммунных комплексов).

Менее ясен ответ на вопрос, какие «факторы вирулентности» нужны Y. pestis для того, чтобы она оказалась способной вызвать вспышку чумы у людей. В этой связи

Н. И. Николаев (1968) и И. В. Домарадский (1998) отмечают, что основное отличие авирулентных штаммов чумного микроба от вирулентных заключается в способности последних размножаться в организме человека. Штаммы, вызывающие вспышки чумы у людей, и штаммы, циркулирующие в природных очагах чумы среди грызунов, по наличию известных факторов вирулентности не отличаются друг от друга. Подробно факторы вирулентности возбудителя чумы описаны в работе А. П. Анисимова (2002).

Происхождение и молекулярная эпидемиология. Y. pestis является типовым видом рода Yersinia, относящимся к семейству Enterobacteriaceae. Помимо возбудителя чумы, к этому роду относятся еще шесть видов бактерий: Y. pseudotuberculosis, Y. enterocolitica, Y. intermedia, Y. ruckeri, Y. frederiksenii и Y. kristensenii. По культурально-биохимическим и некоторым другим свойствам ближе всего к чумному микробу стоят первые два вида, из которых Y. pseudotuberculosis называют даже его двойником. Однако по эпидемиологическим особенностях и патогенезу вызываемой инфекции Y. pseudotuberculosis и Y. enterocolitica существенно отличаются от Y. pestis (Домарадский И. В., 1998).

М. Achtman et al. (1999) высказали предположение, что Y. pestis является клоном Y. pseudotuberculosis. Аллели Y. pestis были идентичны или почти идентичны таковым у 12 штаммов Y. pseudotuberculosis. Согласно таксономическим стандартам, Y. pestis можно рассматривать как Y. pseudotuberculosis, но из-за больших различий в проявлениях болезни и роли Y. pestis в истории эпидемий, этой классификации не придерживаются. А. P. Anisimov et al. (2004) считают, что различия в плазмидном составе и, возможно, другие небольшие генетические различия, ответственны за особенности эпидемиологии и патогенеза инфекций, вызываемых Y. pestis и Y. pseudotuberculosis.

Филогенетическое древо Y. pestis, построенное М. Achtman et al. (2004) на основе сопоставительного анализа нуклеотидных последовательностей, включает три ветви: 0, 1 и 2. Большинство изолятов биовара Orientalis соответствуют монофилетической группе, обозначенной как 1.0RI. Большинство штаммов биовара Medievalis соответствуют второй монофилетической группе — 2.MED. Изоляты биовара Antiqua находят среди штаммов обеих ветвей —1 (1.ANT) и 2 (2.ANT). Штаммы Y. pestis биовара Pestoides кластированы вдоль ветви 0 (0.РЕ1-0.РЕ4). Биохимические различия между биоварами и регионы их выделения показаны в табл. 3.7; филогенетическое древо приведено на рис. 3.28.

Таблица 3.7. Биовары Y. pestis, идентифицированные на основе ферментации глицерина, восстановления нитратов и окисления аммония[15]
Биовар | Различие | Регион, в котором был выделен штамм | Ферментация глицерина | Восстановление нитратов | Окисление аммония | Активность уреазы | Ферментация мелибиозы

Antiqua | + | + | + | — | — | Центральная Африка, Центральная и Северная Азия, Китай (Маньчжурия), Монголия

Medievalis | + | — | — | — | ± | Бывший Советский Союз (регион Каспийского моря)

Orientalis | — | + | ± | ± | — | Бирма, Южный Китай, Индия, Южная Африка, Южная Америка, Калифорния

Рис. 3.28. Схематическое изображение филогенетического древа Y. pestis. Вдоль каждой ветви указаны снипсы, использованные для его построения. По М. Achtman et al. (2004)


S. Haensch et al. (2010), используя ДНК, выделенную из останков людей, умерших от чумы во время второй пандемии (двое — из Англии, 6 — из Голландии, один — из Франции), показали, что генотипы Y. pestis, индентифицированной в археологических образцах XIV в., отличаются от современных Orientalis (1.ORI), Medievalis (2.MED), Antiqua (1.ANT, 2.ANT) (см. рис. 3.28). Можно предположить, что в работе S. Haensch et al. (2010) описаны штаммы Y. pestis, поддерживающиеся в неизвестных первичных резервуарах очагов чумы европейского континента, угасших в начале XIX в.

Молекулярная эпидемиология Y. pestis более точно устанавливается методами MLVA-анализа. Полученные этим способом данные представлены на рис. 2.29 и 3.30.

Рис. 3.29. Дендрограмма Y. pestis, основанная на 25 локусах VNTR. Псевдотуберкулезному микробу соответствует черный круг в левом верхнем углу дендрограммы. В правой части дендрограммы указаны новые биовары Y. pestis. Цифровые и буквенные обозначения очагов чумы соответствуют приведенным в табл. 3.9 и на рис. 3.30. По Li Y. et al. (2009)Рис. 3.30. Географическое распределение штаммов возбудителя чумы различных биоваров. Подписаны очаги, включающие штаммы биовара Microtus. Цифровые и буквенные обозначения очагов чумы соответствуют приведенным в табл. 3.9 и на рис. 3.30. По Li Y. et al. (2009)


УY. pestis под разными названиями описаны три типовые плазмиды: 9,5 т. п. о. (pPst, pPla, pPCPl или pYP: кодирует пестициногенность, фибринолизин и плазмокоагулазу); 70–75 т. п. о. (pCDl, pCad, pVW, pYV или pLcr: определяет зависимость штамма от кальция, синтез VWa и других поверхностных белков); и 100–110 т. п. о. (pFra/Tox, pFra, рТох, pMTl или pYT: кодирует F1, «мышиный» токсин). Плазмидные профили у штаммов, выделенных в различных природных очагах чумы, можно сравнить между собой по электрофоретической подвижности в агарозном геле, а выделив отдельные плазмиды, сравнить их по результатам рестрикционного анализа.

Рис. 3.30. Географическое распределение штаммов возбудителя чумы различных биоваров. Подписаны очаги, включающие штаммы биовара Microtus. Цифровые и буквенные обозначения очагов чумы соответствуют приведенным в табл. 3.9 и на рис. 3.30. По Li Y. et al. (2009)


Для штаммов, полученных в России и Азии, характерна значительная изменчивость плазмидного состава. До 18 % изолятов из Волго-Уральского песчаного очага (очаг 16)[16] и 43 % изолятов из Таласского очага (очаг 40) содержали криптические плазмиды, обычно с ММ 20 мДа. У некоторых штаммов из Таласского, Центрально-Кавказского и Прибалхашского очагов (очаги 40, 1 и 30 соответственно), а из Сенегала, Шри-Ланки и Индонезии обнаружены криптические плазмиды с ММ 1,6—31 мДа. У отдельных штаммов отмечалось отсутствие одной или двух типовых плазмид (Anisimov А. P. et al., 2004).

Кроме того, размер плазмид может изменяться, что затрудняет получение ответа на вопрос о том, является ли плазмида, идентифицированная в клиническом изоляте, природным вариантом или же генно-инженерным вариантом с возможными дополнительными факторами вирулентности. Понимание причины изменений размера плазмид, обнаруженных у различных изолятов Y. pestis, важно для того, чтобы отличить естественное изменение от генно-инженерного, потенциально обусловливающего повышенную вирулентность или полиантибиотикорезистентность у штаммов, содержащих такие теоретические конструкции. ММ классических плазмид Y. pestis, характерных для штаммов различных подвидов, приведены в табл. 3.8.

Таблица 3.8. Молекулярные массы типовых плазмид Y. pestis, характерных для штаммов различных подвидов [17]
Подвид Y. pestis | Биовар | Название/номер очага | Основной хозяин | ММ (мДа) | pPst [18] | pCad | pFra

Y. pestis подвид apestis | Antiqua | Большинство очагов, кроме Тувы и Алтая | Грызуны различных видов | 6,4 | 47 | 67

— " — | Medievalis | Все очаги, кроме очагов песчаночного типа | Грызуны, за исключением песчанок | 6,4 | 47 | 67

— " — | Orientalis | Большинство очагов | Грызуны различных видов | 6,4 | 47 | 64

— " — | Antiqua | Тува/37, 41 | Citellus undulatus | 6,4 | 46 | 67

— " — | Алтай/35 | Marmota caudata | 6,4 | 48 | 67

— " — | Medievalis | Все очаги песчаночного типа | Песчанки различных видов | 6,4 | 48 | 67

Y. pestis подвида altaica | Medievalis | Горный Алтай/36 | Ochotom pricei | 6,4/— | 48 | 72

— " — | Medievalis | Южно-Кангайский, Монголия | Microtus brandti | 6,8 | 48 | 72

Y. pestis подвида ulegeica | Medievalis | Северо-Восточная Монголия, пустыня Гоби | Ochotom pricei | 6,4 | 47 | 67

Y. pestis подвида hissarica | Medievalis | Гиссарский/34 | Microtus carruthersi | 6/4 | 47 | 70

Y. pestis подвида talassica | Medievalis | Талас/40 | Microtus gregalis[19] | 6,4 | 46 | 70

Y. pestis подвида caucasica | Antiqua | Ленинакан/4; Присеванский/5; Занзегур — Карабах/6; Дагестанское нагорье/39 | Microtus arvalis | 50 | 82


Экология и естественная эпидемиология Y. pestis. О том, что экология и эпидемиология возбудителя чумы далеко не так просты, как это обычно излагается в учебниках для студентов, свидетельствует большое количество разных точек зрения на экологию и эпидемиологию Y. pestis, существующую у чумологов, и высказываемых обычно в специализированной научной литературе (см., например, монографии Сунцова В. В. и Сунцовой Н. И., 2006; Козлова М. П. и Султанова Г. В., 2003; Домарадского И. В., 1998).

С практической точки зрения эпидемиологу, изучающему вспышку чумы на предмет возможности ее искусственного происхождения, следует иметь в виду, что дискуссии чумологов в основном касаются первичных резервуаров Y. pestis (т. е. тех, без которых не возможно существование возбудителя чумы в природе) и механизмов поддержания чумной палочки между эпизоотическими периодами. Вспышки чумы среди грызунов следует рассматривать как процесс поддержания Y. pestis во вторичном резервуаре. Чумные эпизоотии создают условия для передачи возбудителя чумы от инфицированных грызунов к людям через укусы инфицированных блох. Грызуны инфицируются Y. pestis из пока неизвестного источника в почве; в результате у них развивается чума в бубонной или септической форме. В случае септической чумы, паразитирующие на грызунах блохи инфицируются. В преджелудке блохи (сфинктер-подобный орган, разделяющий желудок и пищевод насекомого) происходит размножение Y. pestis, что вызывает его блокаду, и блоха голодает. Заражение человека происходит в результате укуса голодной блохи, вынужденной «срыгнуть» в его кровь «чумной блок». Для развития у человека чумы достаточно укуса одной чумной блохи. Более 80 видов блох могут быть переносчиками Y. pestis. Цепь, состоящую из возбудителя (Y. pestis), носителей (грызунов) и переносчиков (блох), принято называть «триадой», а определенные географические ландшафты, заселенные грызунами, видовые и межвидовые отношения которых обеспечивают непрерывную циркуляцию чумного микроба от донора через членистоногих реципиентам, называют природными очагами чумы. Существуют различные классификации очагов чумы. Самая простая предполагает их деление на очаги «дикой чумы» (эпизоотии среди диких грызунов) и «крысиной» или «городской чумы» (эпизоотии возникают среди крыс, обитающих в населенных пунктах).

По данным А. P. Anisimov et al. (2004), природные очаги «дикой чумы» занимают 6–7 % суши Земли. Сорок три таких природных очага обнаружены в южных и юго-восточных районах бывшего Советского Союза (табл. 3.9, рис. 3.31).

Таблица 3.9. Основные характеристики природных очагов чумы в бывшем Советском Союзе[20]
Страна Очаг | № | Название очага | Эпизоотическая активность [21] | Основной хозяин | Основной переносчик(и) |

Кавказский регион | 1 | Центральный Кавказский очаг | Постоянная | Citellus musicus | Citellophillus tesquorom |

Россия Северный Прикаспийский регион | 2 | Терек-Сунжа | Периодическая | Citellus pygmaeus | Neopsylla setosa, C. tesquorum |

Россия | 3 | Дагестанское равнинное предгорье | Периодическая | C. pygmaeus | N. setosa, C. tesquyorum |

Россия | 4 | Закавказский высокогорный очаг (Ленинакан) | Постоянная | Microtus arvdis | Callopsylla caspia, Nosopsyllus consimilis |

Армения, Грузия | 5 | Закавказский высокогорный очаг (в районе Севана) | Постоянная | Microtus arvdis | C. caspia, N. consimilis |

Армения, Азербайджан | 6 | Закавказский высокогорный очаг (Занзегур-Карабах) | Постоянная | Microtus arvdis | C. caspia, N. consimilis |

Армения, Азербайджан | 7 | Приаракский очаг | Периодическая | Meriones vinogradov | Xenopsylla | conformis |

Армения, Азербайджан | 8 | Бозчелский очаг | Периодическая | Meriones libicus | X. conformis, Nosopsyllus laeviceps |

Азербайджан | 9 | Кобистанский очаг | Периодическая | М. libicus | X. conformis, N. laeviceps |

Азербайджан | 10 | Мила-Карабахский очаг | Периодическая | М. libicus | X. conformis, N. laeviceps |

Азербайджан | 11 | Джейранчелский | очаг | Периодическая | М. libicus | X. conformis, N. laeviceps |

Азербайджан | 12 | Гянджа-Казахский очаг | Периодическая | М. libicus | X. conformis, N. laeviceps |

Азербайджан | 13 | Иори, река | Периодическая | М. libicus | X. conformis, N. laeviceps |

Россия | 14 | Прикаспийский северо-западный очаг | Периодическая | C. pygmaeus | N. setosa, C. tesquorum |

Россия | 15 | Волго-Уральская степь | Периодическая | C. pygmaeus | N. setosa, C. tesquorum |

Россия | 16 | Волго-Уральский очаг, пески | Периодическая | M. meridianus | X. conformis, N. laeviceps |

Россия | 17 | Зауралье | Периодическая | C. pygmaeus | N. setosa, C. tesquorum |

Центрально-Азиатский пустынный регион | 18 | Междуречье Урала и Эмбы | Постоянная | R. opimus | X. sktjabini |

Казахстан | 19 | Область, прилегающая к плато Устюрт | Постоянная | R. opimus | X. skrjabini |

Казахстан | 20 | Плато Устюрт | Периодическая | R. opimus | X. skrjabini |

Казахстан, Узбекистан | 21 | Северное Приаралье | Периодическая | R. opimus | X. skrjabini |

Казахстан, Узбекистан | 22 | Зааралье Периодическая | R. opimus | X. sktjabini |

Казахстан | 23 | Мангышлак, плато | Периодическая | R. opimus | X. sktjabini |

Казахстан | 24 | Приаралье-Кара-кум | Постоянная | R. opmus | X. sktjabini |

Казахстан | 25 | Каракумы, пески | Периодическая | R. opimus | X. gerbili |

Туркменистан | 26 | Копет-Даг, хребет | Периодическая | R. opimus | X. gerbilli |

Туркменистан | 27 | Кызылкум, пески | Периодическая | R. opimus | X. gerbilli |

Узбекистан, Казахстан | 28 | Муюнкум, пески | Периодическая | R. opimus | X. gerbilli |

Казахстан | 29 | Таукум, пески | Периодическая | R. opimus | X. gerbilli |

Казахстан | 30 | Прибалхашье | Периодическая | R. opimus | X. gerbilli

Киргизия Центрально-Азиатский горный регион | 31 | Сарыджас, река | Периодическая | Marmota baibadm | Oropsylla silantiewi |

Киргизия | 32 | Верхний-Нарын, река | Периодическая | M. baibadm | O. silantiewi |

Киргизия | 33 | Аксай, река | Периодическая | M. baibadm | O. silantiewi |

Киргизия | 34 | Гиссарский очаг | Периодическая | Microtus camithersi | C. caspia, Amphipsylla phaiomydis, Frontopsylla elata, N. pleskei |

Таджикистан, Узбекистан | 35 | Алтай, нагорье | Периодическая | Manmta caudata | O. silantiewi |

Россия Сибирский регион | 36 | Алтай, горы | Периодическая | Ochotom prim | Paradaxopsyllus scorodumovi |

Россия | 37 | Тува (Монгун-Тайга) | Периодическая | Citellus undulatus | C. tesquorum |

Россия | 38 | Забайкалье | Периодическая | Citellus dauricus | C. tesquorum |

Азербайджан, Грузия | 39 | Дагестанское нагорье | Периодическая | Microtus arvalis | C. caspia |

Киргизия | 40 | Талас, река | Периодическая | Microtus gregalis, Marmota caudata | C. caspia |

Россия | 41 | Тува (Саглы) | Периодическая | C. undulatus | C. tesquorum |

Казахстан | 42 | Бет-Пак-Дала | Периодическая | R. opimus | X. gerbilli |

Россия, Казахстан | 43 | Прикаспиский очаг, пески | Периодическая | M. meridianus | N. laeviceps |

Рис. 3.31. Географическое расположение очагов чумы на территории бывшего СССР. Каждый природный очаг чумы отличается от другого видовым составом носителей и переносчиков Y. pestis, ландшафтно-географическими особенностями. Цифровые обозначения соответствуют названиям очагов, приведенных в табл. 3.9. Светло-серым выделены очаги чумы с основным подвидом Y. pestis, темно-серым — очаги с неосновными подвидами Y. pestis. По А. P. Anisimov et al. (2004)


Очаги данного типа чумы охватывают более 216 × 106 га или 8,6 % территории бывшего СССР. Разделение и последующую классификацию этих природных очагов чумы А. P. Anisimov et al. (2004) проводили на основе их географического распределения — с учетом основного инфицированного хозяина и основного переносчика, обнаруженных в каждом очаге[22]. Основные хозяева из различных очагов данного типа имеют несколько общих экологических характеристик, таких как большое и устойчивое количество хозяев-грызунов, инфекционная бактериемия как одна из стадий болезни, блохи-паразиты, которые являются активными переносчиками чумы, и блохи, которые могут легко выживать в норах грызунов.

А. P. Anisimov et al. (2004) предполагают, что адаптация к непрерывной передаче возбудителя чумы у различных видов грызунов в значительной степени способствует появлению разных подвидов Y. pestis, различаемых по ферментативной активности, потребностям в питательных веществах и по способности вызывать бактериемию и гибель различных видов животных.

Крупным эпидемиям чумы обычно предшествуют вспышки-предшественники, отражающие процесс активизации природных очагов чумы. Например, эпидемиям легочной чумы в Маньчжурии 1910 г. и 1921 г., погубивших жизни десятков тысяч человек, предшествовали локальные вспышки бубонной чумы, фиксируемые с 1860-х гг. в Забайкалье, Маньчжурии и Монголии. Они ограничивались десятками заболевших и были связаны с добыванием тарбаганов и работами местных жителей на покосах. Со средины 1890-х гг. в этих же регионах врачами выявляются локальные вспышки легочной чумы. К тому же чума стала «задерживаться» в отдельных населенных пунктах. В 1898 г. в районе Вейчан (Южная Манчьжурия) чума в течение трех лет «прореживала» жителей пяти компактно расположенных деревень, где из 550 жителей от чумы умерли не менее 400.

Активизация очагов чумы имеет пульсирующий характер: вспышки чумы сменяются периодами относительного благополучия. Южно-маньчжурский очаг чумы стал «разогреваться» с отдельных вспышек бубонной чумы, начавшихся в 1924 г. к северу и к западу от города Тунляо. В 1930-х гг. чума стала эндемичной болезнью на десятках тысяч километрах территории Внутренней Монголии и Южной Маньчжурии. Вспышки чумы 1933 г. и 1945–1947 гг., погубившие десятки тысяч жизней, зафиксировали максимальные пульсации очага, но вначале 1950-х гг. он угас.

В настоящее время мы имеем дело с «дремлющей чумой». Границы ее современных природных очагов очерчены по границам чумных эпизоотий среди грызунов, зафиксированных в XX в. По территориальным масштабам они значительно меньше тех, которые можно очертить по историческим хроникам XIV–XIX вв. Их возможные границы приведены в нашей работе (см. Супотницкий М. В., Супотницкая Н. С., 2006). Заболевания людей чумой начинаются вслед за эпизоотиями среди крыс с разрывом в 10–14 сут. Но до сих пор нет однозначного ответа на вопрос, как быстро развиваются вспышки чумы среди людей вслед за эпизоотиями среди диких грызунов. Так же неизвестен механизм «вброса» Y. pestis в популяции грызунов, обитающих на территориях очагов чумы. Периодически он приводится в действие неизвестными факторами, что проявляется крупными вспышками чумы среди людей, уже забывшими о чумных катастрофах прошлого. Вследствие этого не всякое появление чумы там, где ее «никогда не было», можно считать результатом диверсии. Эпидемиологическое расследование должно начинаться с выявление естественной эпидемиологии чумы.

Естественная эпидемиология бубонной чумы предполагает наличие не менее двух звеньев эпидемического процесса. Прежде всего, должен быть обнаружен природный источник возбудителя чумы для людей — зараженные чумой грызуны (первое звено — источник возбудителя чумы). Люди заболевают бубонной чумой на эпизоотическом фоне, т. е. с эпизоотии чумы среди грызунов («дикий очаг» чумы) или крыс («городской очаг» чумы). Наблюдается падеж грызунов и накопление инфицированных переносчиков Y. pestis — блох (второе звено — механизм передачи возбудителя чумы)[23]. Лишившиеся своих хозяев блохи нападают на животных и людей. Для сохранения активности блох требуются определенные температура и влажность. Блохи X. cheopis не могут размножаться в холодную или жаркую погоду. Благоприятная температура для развития X. cheopis около 24 °C при относительной влажности 70 %. Понижение относительной влажности ниже 40 % вызывает гибель личинок до их окукливания.

В природных очагах чумы заражение человека чумой через укусы блох сопровождается развитием бубонной и септической форм болезни. В случаях укусов блох наблюдается характерная локализация бубонов: наиболее распространены паховые и бедренные бубоны — половина всех случаев; до четверти составляют подмышечные бубоны, и до 10 % — шейные (см. Николаев Н. П., 1949). В тех очагах чумы, где дикие грызуны являются предметом охоты (сурки, суслики, зайцы и др.), инфицирование людей может происходить путем их непосредственного контакта с источником инфекции, когда охотники снимают шкурки или разделывают тушки убитых ими больных чумой животных. Люди могут заразиться чумой при снятии шкуры и разделки мяса больного чумой верблюда. В таких случаях инфицирование Y. pestis происходит через повреждения кожи рук. Первичные бубоны развиваются в группе лимфатических узлов, ближайшей к участку поврежденной кожи, через который произошло инфицирование возбудителем чумы. Характерными для заражения, вызванного разделкой больного чумой животного, являются подмышечные бубоны и вторичная чумная пневмония (Лобанов В. Н., 1968). Вторым звеном эпидемического процесса при таком пути заражения будут кровь и ткани больных чумой грызунов, с которыми человек соприкасается благодаря своей деятельности в очаге чумы. При любом из обнаруженных механизмов передачи возбудителя (через укусы блох или при контакте с кровью и шкурами инфицированных грызунов), в случае естественного происхождения вспышки бубонной чумы, должна быть выявлена чумная эпизоотия среди грызунов.

Эпидемия бубонной чумы в природном очаге чумы носит выраженный сезонный характер, и характеризуется постепенным подъемом заболеваемости. В начале чумной эпизоотии в очаге чумы имеется небольшое количество блох, способных инфицировать человека. Нарастание заболеваемости среди людей идет параллельно возрастанию гибели крыс и повышению инфекционного потенциала очага, т. е. увеличению количества блох, зараженных возбудителем чумы.

Начальная стадия чумной вспышки проходит незамеченной по разным причинам. Основная из них — психологическая. Чума — это слово-табу. Как правило, ее никто не ждет, и о ней никто не помнит. При появлении первых типичных случаев болезни, слово «чума» очень непросто произнести чиновнику или врачу, учитывая дальнейшие последствия для них в случае ошибочного диагноза.

Кроме того бубонная чума трудна для диагностики. Первые случаи могут по нескольку месяцев приниматься за неспецифические лимфадениты. Больные попадают не в инфекционные больницы, а в хирургические стационары общего профиля. И только необычно высокая смертность среди таких больных дает основание врачам заподозрить, что они имеют дело с какой-то более серьезной болезнью и предпринять бактериологическое исследование.

Развитие эпидемии чумы достигает пика, затем эпидемия постепенно угасает из-за гибели грызунов. Погибают и лишившиеся своих хозяев блохи. В городах, в которых чума вызвана завезенными чумными крысами, вспышка носит кратковременный характер. Когда в городе возникает энзоотия среди местных крыс, то заболевания людей могут иметь место в течение нескольких месяцев. В тех случаях, когда чума переходит в септическую форму с летальным исходом, и когда в жилище обитает много блох, вспышка может принять антропонозный характер и продолжаться длительное время из-за продолжительного периода блокообразования у блох (в среднем 14 сут). Если не проводить дератизацию и дезинсекцию, больные бубонной чумой появляются в одних и тех же домах в течение 2–3 мес. На продолжительность и интенсивность вспышки будет оказывать влияние величина населенного пункта, количество проживающего в нем населения, его культурный уровень, санитарное состояние жилищ и, видимо, те неизвестные факторы, которые приводят к активизации очагов чумы. В Москве эпидемия чумы, начавшаяся осенью 1770 г., закончилась в феврале 1772 г., в Одессе чума, начавшись в августе 1812 г., прекратилась через полгода.

Естественная эпидемиология легочной чумы нуждается в дальнейшем исследовании. Из исторических источников известно, что легочная чума способна «пропадать» на несколько столетий, при том, что бубонная чума за этот период времени губит жизни миллионов людей (см. у Гирша А., 1853). В настоящее время легочная чума чаще всего развивается на фоне вспышек бубонной чумы. Выделяют две клинических формы легочной чумы: первичную и вторичную. Под вторичной легочной чумой понимают чумную пневмонию, развившуюся у больных с бубонной чумой. Такие больные могут оказаться источниками воздушно-капельной инфекции для других людей. Инициация вспышки первичной легочной чумы становится возможной тогда, когда у больного вторичной легочной чумой поражение легких сопровождается приступами кашля с обильным выделением кровянистой мокроты, содержащей Y. pestis. Возможен контактно-бытовой путь передачи — возбудитель чумы со слюной больного чумой попадает в ротовую полость здорового человека (см. ниже «II. Легочная чума взрывного развития»). В обоих случаях роль ворот для инфекции играет лимфатическая система глотки, гортани, крупных бронхов. Источниками заражения для людей могут быть больные чумой кошки и собаки (Kool J. L., 2005). Легочная чума развивается по типу нисходящей бронхопневмонии. Случаи легочной чумы, вызванные воздушно-капельной и контактно-бытовой передачей возбудителя болезни от больных легочной чумой, называют первичной легочной чумой.

Эпидемиология легочной чумы существенно отличается от эпидемиологии бубонной чумы:

1) если при бубонной чуме роль больного чумой человека как источника инфекции незначительна, то при легочной чуме больной человек становится основным источником заражения Y. pestis;

2) бубонная чума не выходит за границы природных очагов чумы, легочная чума способна распространяться вместе с потоками людей далеко за их пределы;

3) бубонная чума относительно проще диагностируется, чем легочная. Ошибки в диагнозе бубонной чумы не приводят к столь серьезным эпидемическим последствиям, к которымприводит не своевременное распознание легочной чумы у больного;

4) легочная чума без лечения антибиотиками в 100 % случаев приводит больного к смерти, тогда как при бубонной чуме летальность среди заболевших 50–60 %.

Больные на ранней стадии легочной чумы (приблизительно в течение первых 20–24 ч) не представляют большой опасности из-за небольшого количества бактерий в выделениях из дыхательных путей и, как правило, отсутствия кашля. Наибольшую опасность они представляют на поздних стадиях болезни, когда при кашле выделяется обильная мокрота с видимой кровью и/или гноем. Благодаря антибиотикотерапии, мокрота больных быстро очищается от Y. pestis. Уже через несколько часов после начала лечения эффективными антибиотиками пациент обычно становится неинфекционным (Kool J. L., 2005).

Современные вспышки легочной чумы носят локальный характер и ограничиваются единичными случаями болезни. Проследить источник возбудителя чумы очень сложно. Чаще всего врач становится перед фактом вспышки среди людей, не зная всех звеньев эпидемической цепочки распространения Y. pestis. Приведу два примера такого появления легочной чумы среди людей, одновременно показывающих, насколько различными могут быть показатели заболеваемости при одной и той же болезни.

Случай легочной чумы в Лос-Анджелесе 1924 г. (по работе Dickie W. М., 1926). В октябре 1924 г. в Лос-Анджелесе после 4-дневной болезни умерла мексиканка. Ее супруг и одна из медицинских сестер тоже заболели и умерли. Причиной смерти мужа врачи считали «двустороннюю лобулярную пневмонию». В течение двух суток имели место еще 32 смерти от легочной чумы. В число погибших вошли лица, жившие в этом доме, а также друзья и родные, посещавшие дом первого заболевшего, у которого, по-видимому, была вторичная легочная чума. Среди погибших от чумы было четверо детей в возрасте 10 лет и младше, одна женщина 50 лет, священник, медицинская сестра и водитель санитарной машины, помогавший перевозить больных с легочной чумой. У нескольких жителей этого района выявлена чума в бубонной форме. Возбудитель чумы обнаружили у городских крыс, которые, вероятно, заразились от беличьих блох. Установить, при каких обстоятельствах заразился чумой первый больной, не удалось.

Случай легочной чумы, вспыхнувшей в декабре 2004 г. в Конго Субкаунти, округ Небби, Уганда (по работе Begier Е.М. et al., 2004). 26 декабря 2004 г. угандийский полицейский сообщил по телефону местному врачу Gershim Asiki о ряде случаев заболевания с быстрым летальным исходом, зарегистрированных в районе Западного Нила. В результате эпидемиологического расследования были определены две пары первичных случаев легочной чумы. Между ними не удалось установить каких-либо социальных связей.

Первой первичной больной (А1) была 22-летняя женщина, помощь ей оказывала ее 40-летняя мать (А2). По словам членов этой семьи, болезнь началась с головной боли, жара и озноба, которые сохранялись в течение нескольких дней. Увеличение лимфатических узлов впервые было обнаружено на 3 сут болезни. На 5 сут болезни у больной появился кашель, сутками позже он стал влажным, а на 7 сут уже сопровождался выделением кровянистой мокроты. На 6 сут больная женщина была осмотрена владелицей аптеки (дипломированной медицинской сестрой), которая в течение 3 сут лечила ее хлорохином от малярии. На 9 сут она стала кашлять кровью и ночью умерла. Больная А2, оказывавшая первичную помощь больной А1, заболела через 5 сут после смерти дочери. В первый день заболевания у больной А2 появились головная боль, жар, озноб, слабость, боль в груди и кашель с мокротой. Ее осмотрела та же владелица частной аптеки, которая диагностировала язвенный фарингит. Больной вводили внутримышечно пенициллин (6 раз в течение 36 ч) для лечения предположительной острой пневмонии. На следующие сутки у нее появилась обильная кровянистая мокрота, и на 3 сут болезни она умерла.

Вторым первичным больным В1 был 25-летний мужчина, которому первичную помощь оказывала его сестра, больная В2. Болезнь первичного больного В1 началась с головной боли, жара и озноба. Его семья обращалась за помощью в частную аптеку и возила его на консультацию в три государственных медицинских центра. Лимфаденопатия не была выявлена, лечившие его врачи специально не осматривали его с этой целью. Ему назначили противомалярийные средства и вводили внутримышечно пенициллин для лечения предположительной острой пневмонии. Е1а 5 сут болезни кашель больного В1 стал сопровождаться выделением кровянистой мокроты, а на 6 сут он умер.

Ухаживавшая за больным В1 сестра (больная В2), заболела через 5 сут после смерти В1. У нее была сильная одышка, повышенная температура и частота дыхания (39,3 °C и 56 дыханий/мин соответственно). Она не могла передвигаться самостоятельно. Лимфатические узлы не прощупывались. Е1ри исследовании легких выявлены втяжение межреберных промежутков и двусторонние жесткие крепитирующие хрипы. Первую врачебную помощь она получила через 29 ч после начала болезни в местном медицинском центре, где ей были назначены хлорамфеникол (левомицетин), 2 г внутривенно, и доксициклин, 100 мг перорально, затем ее отправили в специализированное лечебное учреждение.

Серия из трех фронтальных рентгенограмм грудной клетки, сделанных на 2, 3 и 18 сут болезни, наглядно подтвердила много долевую пневмонию с плевральными экссудатами. Наличие Y. pestis в мокроте выжившей больной было подтверждено положительными результатами ЕГЦР-анализа маркерных генов на всех трех плазмидах Y. pestis.

Больной продолжили лечение хлорамфениколом: 1 г внутривенно каждые 6 ч в течение 48 ч, а затем 750 мг каждые 6 ч (в течение 10 сут внутривенно). Пациентка была выписана на 10 сут и принимала хлорамфеникол уже перорально, 750 мг каждые 6 ч еще 8 сут.

Лицам, имевшим тесный контакт с первичными больными А1 и В1, не было назначено профилактическое лечение антимикробными препаратами, потому что, когда было сообщено о вспышке, после смерти первичных больных прошло уже больше недели. Двадцать пять человек имели прямой контакт с одним из первичных больных (т. е. соприкасались) после появления у них кашля с выделением кровянистой мокроты и перед смертью, но заболели только два человека, оказывавшие им первичную помощь (показатель заболеваемости 2/25, 8 %).

Во время обследования в конце декабря и начале января в нескольких деревнях этого района поступили сообщения от жителей о гибели крыс, и семьи двух первичных больных также сообщили об обнаружении мертвых крыс вблизи своих жилищ накануне заболевания своих родственников. Это все, что удалось выяснить про источники инфицирования людей специалистам CDC, расследовавшим эту вспышку.

Источник инфицирования людей возбудителем чумы в Канго Субкаунти и в Лос-Анджелесе остался не установленным. Однако обе вспышки легочной чумы развились на фоне эпизоотий чумы среди грызунов, а в Лос-Анджелесе были установлены случаи бубонной чумы среди людей. Важным критерием природного характера вспышки в условиях неопределенности с источником инфекции будет отсутствие патологии мелкодисперсного аэрозоля.

Не всегда вспышка легочной чумы ограничивается единичными случаями болезни. Известны относительно недавно произошедшие вспышки легочной чумы, напомнившие современникам ужасы «черной смерти» 1346–1351 гг. Анализ научной литературы позволяет выделить три типовых сценария естественного развития крупных вспышек легочной чумы.

I. Легочная чума на фоне бубонной. Обратимся к исследованию Г. Н. Минха (1898), описавшего вспышку чумы в станице Ветлянская осенью 1878 г. Станица Ветлянская расположена на Волге, в местах повсеместных поселений малого суслика, одного из основных вторичных резервуаров Y. pestis. Какое-то заболевание, сопровождающееся развитием паховых и подмышечных бубонов, появилось в Астраханской губернии в августе 1877 г. небольшими вспышками (до 40 заболевших), не сопровождавшимися летальными исходами, что вызвало много споров среди врачей по поводу того, чума это или не чума. Так как бактериологические методы диагностики отсутствовали, эти дискуссии ясности о природе болезни не дали.

Эпидемию чумы в станице Ветлянская Минх разделил на два периода. Первый период начался в станице в конце сентября 1878 г. с единичных случаев бубонной чумы. До 17 сентября заболело 6 казаков и казачек, из них трое погибли (летальность обычная для бубонной чумы — 50 %), потом, по выражению Минха, «болезнь смягчилась» — из семи заболевших умер только один (Хритонов Макар, 27 октября). Чума «взяла паузу». Вернулась она уже в септической форме: 8 ноября скоротечно и без бубонов умерла молодая казачка, за ней при сходных обстоятельствах — молодой казак (12 ноября), на следующий день с аналогичными симптомами скончалась еще одна женщина. Со второй половины ноября, злокачественность болезни возросла, в это же время стали появляться случаи заболеваний, осложненные поражением легких. В последней декаде ноября были еще два случая затянувшейся бубонной чумы с кровохарканьем, оба больных погибли. Однако распространения легочной чумы по станице не произошло, возможно, ее вообще бы там не возникло, если бы возбудитель болезни не попал в многочисленное семейство богатого казака Осипа Белова.

Его сын Федор был женат на Марье Хритоновой. Минх, писавший свой труд еще до открытия возбудителя чумы[24], не знал о существовании вторичных крысиных очагов чумы и о возможности развития домовых эпидемий чумы. Его представления об эпидемиологии чумы строились на возможности переноса «чумного контагия». Он считал, что именно от семейства Хритоновых произошел занос «контагия» чумы в семейство Беловых. Всего у Хритоновых в первом периоде эпидемии было поражено бубонной чумой 9 человек, из которых четверо умерли, но ни один из них не страдал легочной формой болезни. В домах Беловых эпидемия проявляет себя сразу массой почти внезапных смертельных заболеваний (первыми погибли Федор и Марья) с почти полным отсутствием бубонных осложнений. Минх подчеркивал, что это обстоятельство могло бы «навести лиц, мало или совсем незнакомых с первым периодом ветлянской чумы, на мысль о какой-то другой, начавшейся только с Беловых, болезни».

Сегодня же можно утверждать, что, так как в семье Хритоновых легочной чумы не было (как, впрочем, и в других станичных семействах в это время), то занос возбудителя болезни в семейство Беловых мог быть осуществлен только из крысиных очагов чумы блохами. Эти очаги могли находиться как под домами Беловых, так и Хритоновых, которых «по-родственному» те посещали во время болезни. Тогда странным выглядит не типичная для данного способа заражения возбудителем чумы клиника поражения семей Беловых. Обратимся опять к работе Минха.

Исследуя отношение эпидемии по месту жительства пострадавших от болезни семейств, Минх обратил внимание на то, что близкое соседство, даже с наиболее пострадавшими от чумы семействами, не имело никакого влияния на распространение болезни по станице. Он отметил отсутствие заболевших во многих домах, расположенных вблизи тех, семейства которых поголовно вымерли. Е[росматривая метрические записи, он увидел в списке умерших все одни и те же фамилии: целые десятки Беловых, много Лобановых, Астаховых, Писаревых, Назаровых и т. д.

Вывод, который Минх сделал из этих наблюдений, состоял в том, что «только эти родословные могут досказать нам то, чего не могли открыть свидетели, что только они могли дать нам ясное представление о списке умерших, представляющемся нам, как мы сказали, без знания родословных, простым перечнем имен фамилий». Следовательно, можно предположить, что второй период ветлянской чумы — легочный, начался со случайного вовлечения в эпидемический процесс «критической массы» человеческих генотипов, у которых инфекционный процесс проявился вторично-легочной формой болезни. Относительная генетическая однородность многочисленных родов Беловых, и особенно членов семейства Белова Ивана, способствовала крайне упорному распространению вторично-легочной чумы по станице и отбору высоковирулентных штаммов ее возбудителя. После достижения «критической массы» из вторично-легочных случаев болезни, чума сформировала самостоятельные эпидемические цепочки (без участия эктопаразитов), состоящие уже из первично-легочных случаев («первичные заносы» — по определению Минха), это и привело к эпидемической катастрофе (рис. 3.32).

На схеме показаны три разные эпидемии чумы, протекающие одновременно, но вызванные одним возбудителем. Первая — бубонная чума, развивавшаяся среди жителей станицы единичными случаями с конца сентября в результате их укусов блохами, паразитировавшими на больных чумой грызунах. Вторая — «переход» бубонной чумы во вторично-легочную в семье Беловых и образование эпидемических цепочек между членами этой семьи и другими жителями станицы.

Рис. 3.32. Распространение чумы в станице Ветлянская. 1 — динамика заболеваний чумой в станице; 2 — движение чумы в домах Беловых; 3 — движение заносов (первичных) из домов Беловых; 4 — движение заносов чумы из ст. Ветлянской в другие селения. По Г. Н. Минху (1898)


Третья — формирование самостоятельных эпидемических цепочек первично-легочной чумы среди жителей станицы и других селений, начавшихся от вторично-легочных случаев в семье Беловых.

Пик эпидемии пришелся на 14 декабря — в этот день погибли 36 человек. Затем число заболеваний и смертей стало уменьшаться, 15 декабря погибли 19 человек, а 12 января 1879 г. эпидемия прекратилась[25]. В последнем периоде эпидемии (январь) преобладали случаи воспаления лимфатических узлов при лихорадочных проявлениях. Эпидемия закончилась, как и началась — бубонами. Всего в Ветлянке болело чумой 446 человек (25 % всего населения), из них выздоровели 82 человека, погибли 364 человека (82 % из числа заболевших).

В конце марта в Ветлянке наблюдалось еще несколько случаев воспаления лимфатических узлов, причем иногда температура поднималась до 39 °C и выше, в других случаях она оставалась нормальной, «опухоль желез постепенно рассасывалась». Только в одном случае нагноения шейных лимфатических узлов врачам пришлось вскрыть абсцесс. Так как во всех случаях следовало выздоровление, то их к чумным не относили.

Сходным образом развивалась чума в изолированных популяциях таджиков в кишлаке Анзоб (современный Таджикистан) в 1897 г. Сначала бубонные формы болезни, затем легочные, потом снова бубонные. Основными отличиями чумы в Анзобе от Ветлянской чумы, были: отсутствие случаев заражения от больных легочной чумой и необычная клиника легочной чумы — заболевшие люди не выглядели тяжелобольными. Ни буйного бреда, ни прострации у них не наблюдалось. Последние часы жизни они впадали в тихий бред (Супотницкий М. В., Супотницкая Н. С., 2006).

II. Легочная чума взрывного развития. Взрывному развитию легочной чумы в Маньчжурии предшествовало почти 50 лет небольших вспышек бубонной и легочной чумы («предвестников») в Маньчжурии, Монголии и Забайкальской области. Географическая изоляция, естественным образом препятствующая распространению легочной чумы между населенными пунктами, была устранена проведением Китайской-Восточной железной дороги (КВЖД). Первый раз чума (в бубонной форме) появилась на полосе отчуждения КВЖД в 1905 г. на Джаланройских каменноугольных копях, расположенных в 27 км от станции Маньчжурия. Вспышку удалось локализовать еще до того, как чума перешла на китайское население.

Точных данных, когда появились первые больные легочной чумой в Маньчжурии, нет. Но известно, что в конце лета 1910 г. одновременно в разных местах Маньчжурии появились вспышки легочной чумы. Первый бактериологически подтвержденный случай чумы констатирован врачами в поселке при станции Маньчжурия 2 октября, но начало эпидемии не совпадает с этой датой. В местности по реке Ган в Монголии против Старого Цурухайтуя весной охотники находили трупы своих товарищей и около них шкурки убитых ими сурков. Затем в конце июля верстах в двухстах от станции Маньчжурия казаки замечали, что среди сурков был мор, и они гибли в большом количестве. Видимо, и среди монголов в то время эпидемия уже свирепствовала, так как казаки обнаружили табуны скота, бродившие без присмотра.

Поданным Э. П. Хмара-Борщевского (1912), начало эпидемии чумы на ст. Маньчжурия относится к 12 октября 1910 г., когда председатель поселкового совета

А. Н. Никитин сообщил по телефону заведующему железнодорожной больницей доктору Писемскому о том, что по Александровскому проспекту, на участке № 3083, среди китайцев появились заболевания со смертельным исходом и что за последние 5 сут там умерло 9 человек. Явившись в указанный дом, доктор Писемский увидел там такую картину: барак был оставлен жильцами, на нарах валялись в беспорядке брошенные ими вещи и посуда, а в углу лежал прикрытый лохмотьями больной китаец с высокой температурой. Перкуссией и аускультацией у него было установлено воспаление правого легкого. Больной тотчас же был отправлен в железнодорожную больницу, барак заколочен и сдан под охрану полиции.

По рассказам соседей, в этом доме жили китайцы-тарбаганщики, в одной половине 25 человек, в другой — 15. Среди жильцов первой группы умерло 9, а второй — 5 человек. Перед прибытием врача все жильцы дома разбежались, бросив свое имущество. Доставленный в больницу охотник за тарбаганами был помещен в изолятор, где он и умер. Вскрытием трупа, а также бактериологическим исследованием был установлен диагноз легочной чумы.

По мнению японского профессора Абэ (1942), распространение чумы в 1910 г. началось при следующих обстоятельствах. В Даурии существовала артель плотников-китайцев, среди которых примерно в середине сентября умерло 7 человек с явлениями кровохарканья. Оставшиеся из этой артели в живых два плотника-китайца перешли на работу в другую артель на ст. Маньчжурия и здесь скончались 12 октября. Затем в этой второй артели среди 20 плотников к 25 октября умерли один за другим 9 человек. Отсюда легочная чума распространилась по всему поселку Маньчжурия (цит. по Николаеву Н. П., 1949).

Возможно, обе версии отражают части целого — реально произошедшие события. С 12 октября легочная чума начала быстро прогрессировать в поселке Маньчжурия и отсюда распространяться по железной дороге в Забайкальскую область и по всей линии КВЖД (табл. 3.10).

Таблица 3.10. Развитие эпидемии легочной чумы в полосе отчуждения КВЖД в 1910 г.[26]
Период | Заболело | Умерло

С 13 по 17 октября | 36 | 36

С 18 по 24 октября | 51 | 44

С 25 по 31 октября | 85 | 73

С 1 по 7 ноября | 86 | 98

С 8 по 14 ноября | 48 | 51

С 15 по 21 ноября | 37 | 38

С 22 по 28 ноября | 12 | 13

С 29 по 3 декабря | 2 | 3


К этим 356 погибшим надо добавить еще не менее 100 человек, ставших жертвами чумы с июля по октябрь (Касторский Е. С., 1911). Но и тогда приведенные сведения оказываются неточными. И. Л. Мартиневский и Г. Г. Молляре (1971) указывают на то, что в апреле 1911 г., после таяния снега, в окрестностях поселка был обнаружен 191 труп, причем 131 труп найден на полосе отчуждения и 60 трупов вне ее. Итог эпидемии: 647 погибших.

20 октября появились первые случаи заболевания легочной чумой среди китайцев на станции Даурия, 21 — в Джалайнорских копях, 26 — в Тарбагатайских копях, 27 — в Хайларе, Джалантуне, Харбине, Петровском заводе в Верхнеудинске, 31 — в Бухеду. Из этих пунктов, в особенности из Харбина, эпидемия распространилась по линиям КВЖД и Южно-Маньчжурской железной дороге.

Чума добралась до Харбина через 15 сут после ее появления на ст. Манчьжурия. Первое заболевание чумой в Харбине констатировано 27 октября у прибывшего со ст. Маньчжурия в Новый город зажиточного китайца. О больном узнал случайно бой доктора Можаева, а последний довел об этом до сведения главного врача города. Командированный для принятия соответственных мер прозектор городской больницы нашел этого китайца уже мертвым, вывел лиц, бывших с ним в контакте на обсервацию и, произведя частичное вскрытие трупа, бактериоскопически нашел биполярно окрашенные палочки возбудителя чумы. Но потом почти полмесяца чума в Харбине не показывалась.

Массовые заболевания людей легочной чумой начались в начале ноября среди населения смежного с Харбином китайского города Фуцзядяна. Кто занес туда легочную чуму, неизвестно. Первым больным, поступившим 11 ноября в чумный барак Харбина, был русский фельдшер, работавший в фуцзядянской чумной больницы. В тот же день у ворот дома № 10 на Пристани по Страховой улице поднят труп китайца, умершего от легочной чумы. 13 ноября в чумной барак доставлен китаец, накануне заболевания проведший целый день в Фуцзядяне.

С начала декабря стали систематически находить больных и трупы в кварталах торговой части города, Пристани. С 5 по 15 декабря больные и трупы были обнаружены по Японской, Русской, Корейской, Торговой и Страховой улицах. Число смертельных случаев от чумы в Харбине стало заметно увеличиваться. Контроль над легочной чумой был утрачен (рис. 3.33, с 666).

С 19 декабря в Фуцзядяне начинается интенсивный рост заболеваемости чумой. Эпидемия достигла пика в середине января, когда в течение почти двух недель ежедневная смертность в городе составляла более сотни человек. За эти две страшные недели умерло 2180 жителей, что составило 40 % от всего количества людей, умерших в эту эпидемию в городе. Но с 16 февраля, когда смертность достигла максимума, 173 человека в день, она начинает стремительно снижаться. Со 2 по 20 февраля (окончание эпидемии) умерли 273 человека. Всего же эпидемия чумы в Фуцзядяне унесла жизни не менее чем 5355 человек.

Рис. 3.33. Диаграмма смертности от легочной чумы по неделям в Харбине и окрестностях. По В. М. Богуцкому (1911)


В Харбине эпидемия достигает кульминационной точки 12 января, в этот день от чумы гибнет 51 человек. В кварталах, между улицами Водопроводная, Мостовая, Китайская и Биржевая, сформировался обширный чумной очаг самоподдерживающихся домовых эпидемий, от 5 до 20 повторных заболеваний в одной квартире. Во вторую половину января смертность начинает снижаться. Всего же в течение января в Харбине от чумы погибло около 800 человек. Но потом эпидемия обрывается: 12 февраля было только два смертельных случая. Всего умерло на чумном пункте, развернутом в Харбине, 987 человек, т. е. все те, кто туда был доставлен; поднято трупов в черте города 217; поднято трупов за чертой города в полосе отчуждения 265; всего 1469 погибших от чумы (рис. 3.34).

Во время эпидемии чумы в Маньчжурии в 1910–1911 гг. роль крыс и их блох в передаче инфекции не установлена. Все усилия русских, японских и китайских врачей найти в местностях, лежащих вдоль железнодорожного пути, зараженных чумой крыс, ни к чему не привели. В лаборатории профессора Сиабуро Китазато в Мукдене было исследовано 30 тыс. крыс, из которых ни одной заболевшей чумой не обнаружено.

Максимальное количество лиц, инфицированных при непосредственном контакте с больным легочной чумой, составило 40 % (из 203 человек, находившихся в соприкосновении с больными, заболел легочной чумой 81 человек). Однако необходимо понимать, что заражение этих людей стало возможным исключительно в крайне негигиенично устроенных квартирах: почти совершенно темных, лишенных вентиляции, содержащихся жильцами в высшей степени грязно, со скученным до невероятности населением. В 80 % всех записей в регистрационных карточках больных указывалось на то, что циновка, постель, пол, одежда и руки были запачканы мокротой больного, в нескольких случаях мокротой были запачканы не только постель и руки, но и лицо; в 11 %, прилегающие к нарам стены, были покрыты кровавой мокротой.

Рис. 3.34. Апофеоз чумы в Харбине в январе 1911 г. А. Навес для хранения трупов на Московском чумном пункте. Б. Русские врачи осматривают овраг, куда китайцы тайно свозили трупы людей, умерших от чумы. По В. М. Богуцкому (1911)

Мокрота, выделенная больными чумой на предметы общего пользования, в определенных обстоятельствах приводила к вспышкам легочной чумы. Интересное наблюдение сделано доктором Р. А. Будбергом в деревне Сан-Диадзе (рис. 3.35).

Сначала легочной чумой заболел опиекурилыщик Юй Цзян, после смерти Юй Цзяна его трубкой воспользовался опиекурилыщик Дан. На третий день он заболел и умер от легочной чумы, трубка перешла к его жене, а после ее смерти к служителю опиекурильни, тоже заразившемуся чумой и умершему. Из всего имущества покойных только одна эта трубка перешла в собственность жителя той же деревни Дан Цзи-на, выкравшего ее из «выморочной» фанзы-опиекурильни. Дан заболел чумой и умер; из трубки курила его жена, также вследствие этого заразившаяся чумой и умершая; от матери заразились чумой и умерли двое ее детей; после смерти жены Дана трубка перешла к ее сестре и мужу сестры; оба умерли от чумы. Наконец трубка попала к китайцу Ли (тем же путем, что и к Дан Цзину), заболевшему чумой и умершему, потом к его жене, которая, после смерти Ли, была отдана во вторые жены к бездетному Дан Эр Ху и передала ему трубку своего первого мужа; заболели чумой и умерли все трое: Дан Эр Ху и обе его жены.

Рис. 3.35. Схема развития заболеваний чумой в деревне Сан-Диадзе. По В. М. Богуцкому (1911)


Легочная чума, развивающаяся по типу медленного горения. Рассмотрим ее на примере легочной чумы, вспыхнувшей в 1921 г. во Владивостоке. Как и чума в Харбине в 1910–1911 гг., чума во Владивостоке не появилась ниоткуда и внезапно. Ей предшествовали очень сложные эпидемические и социальные процессы, при ретроспективном анализе наглядно свидетельствующие, что для крупной вспышки легочной чумы нужны очень серьезные основания.

В апреле 1920 г. жители поселка Харанор известили Читинскую противочумную станцию о падеже среди тарбаганов. Вспышка бубонной чумы началась в конце августа 1920 г. почти одновременно в четырех пунктах: в районе станции Даурия, в поселке Абагайтуй, в поселке Каластуй и его окрестностях, в поселке Калцагайтуй и в ближайших к нему местностях. Все указанные населенные пункты расположены на правом берегу нижнего течения реки Аргунь, на расстоянии нескольких десятков верст один от другого. В районе станции Даурия в сентябре было зарегистрировано три заболевания бубонной чумой среди солдат Даурского гарнизона. В то же время обнаружено одно заболевание бубонной чумой на разъезде № 83 (между ст. Даурия и ст. Харанор), в семье путевого сторожа. Чума была установлена бактериологически. Одновременно с этим в поселке Абагайтуй зарегистрировано четыре случая также бубонной формы, в поселке Калайстуй — два случая, в поселке Калцагайтуй — семь заболеваний. Перечисленные 17 случаев наблюдались в конце августа, сентябре и начале октября 1920 г. Из 17 больных, двое выздоровели, остальные умерли. Этим закончился первый период чумной вспышки в долине реки Аргунь.

В Маньчжурии дело обстояло следующим образом. С 6 октября 1920 г. вспыхнула эпидемия бубонной чумы в Старом Хайларе (6 заболевших). Китайские власти пытались скрыть эпидемию, но она приобрела неуправляемый характер, с 15 октября по 28 октября там умерло от чумы еще 63 человека. Старый Хайлар — большой китайский город, имеющий железнодорожное сообщение на линии ст. Маньчжурия — Харбин — Владивосток. Помимо этого пути, Хайлар является конечным пунктом большого старинного китайского тракта, соединяющего этот город с целой областью поселений на запад и север от него.

В декабре, Старом Хайларе чума развивалась уже в легочной форме. С января она стала затихать, а в дальнейшем наблюдались лишь единичные привозные случаи болезни. Из Хайларачума была занесена 1 января 1921 г. в Чжалайнор (около ст. Маньчжурия), где получила среди китайских рабочих местных угольных копей значительное распространение. Болезнь протекала исключительно в легочной форме с быстрым смертельным исходом, поражала китайских рабочих, которых на копях было до 6 тыс. человек; среди европейского населении (2 тыс. человек) заболеваний не было.

25 ноября 1920 г. зарегистрирован случай чумы на ст. Маньчжурия. Эпидемии в этих двух населенных пунктах были значительными. Так, за время с 1 января по 1 марта 1921 г. на станции и в поселке Маньчжурия было 507 случаев смерти от чумы, а за такой же период времени на Чжалайнорских копях 622 случая.

По японским данным, ежедневная заболеваемость в поселке Маньчжурия в феврале 1921 г. достигла 20–50 случаев. В марте эпидемия, видимо, стала затихать. Всего на станции и в поселке Маньчжурия, с момента возникновения (12 января) по 1 марта было зарегистрировано: больных китайцев 217, европейцев 127; из них умерло: китайцев 216 и европейцев 121. Кроме того, обнаружено чумных трупов 163 (140 китайцев и 23 европейца). Здесь же в поселковой больнице умерли от чумы из медицинского персонала два фельдшера и 5 санитаров. Е. С. Касторский (1978) указывал, что в эту эпидемию от чумы умерло не менее 50 врачей.

В Цицикар легочная чума была занесена кули, ухаживавшим 18 января за чумными больными в Хайларе. По возвращении к себе домой в Цицикар этот кули и вся его семья умерли. Эпидемия охватила почти все население Цицикарской провинции. В конце января чума была уже в Фуцзядяне. В начале февраля 1921 г. легочная чума продвинулась из Хайлара по линии КВЖД далее на север и на запад и проникла на территорию Дальневосточной республики.

Е. С. Касторский (1978), наблюдавший чуму 1910–1911 г., указывал на наиболее резкие особенности в клинической картине легочной чумы в маньчжурскую эпидемию 1920–1921 гг. Это быстрота течения и отсутствие ясно выраженной локализации процесса. Больные умирали в большинстве случаев в первый день. При исследовании же и выслушивании больного каких-либо изменений в легких констатировать не удавалось, хотя в мокроте появлялась ржавчина или кровь. Очень часто в начале болезни появлялась ржавая мокрота, а затем кровавая. Обильное отхаркиванье пенистой серознокровянистой мокроты, которое считается характерным признаком чумного воспаления легких, наблюдалось далеко не всегда. Нахождение бактерий в мокроте (бактериологическое исследование) не всегда имело исчерпывающее диагностическое значение. Были случаи, когда в мокроте находили чумные бактерии, а чума у больного не развивалась, и, наоборот, бактерий не находили, а больной умирал от чумы в тот же день.

С эпидемиологической точки зрения обращала на себя внимание необыкновенная заразительность больных во время чумы 1920–1921 гг. при условии их совместного пребывания со здоровыми людьми в тесном и грязном помещении. Благодаря этому эпидемия принимала чрезвычайно опасный очаговый характер. Были случаи заболевания в один день до 40 человек в одном помещении (рабочие казармы). Касторский считал, что такая заразительность свидетельствует «об усилившейся вирулентности чумных бацилл в эпидемию 1920–1921 гг.».

Северное направление. Уже 3 февраля был отмечен первый случай чумы на ст. Борзя и два — в поселке Брусиловка; 18 февраля на ст. Мациевской (в 20 верстах от ст. Маньчжурия на линии железной дороги, по направлению к Чите) зарегистрировано первое заболевание, а 24 февраля — второе. В первых числах марта еще два случая на разъезде «1420 верста». О движении чумы на север, вверх течения реки Аргунь, имеются сведения, относящиеся только к февралю 1921 г. Судя по ним, заболевания чумой были отмечены в четырех пунктах Забайкалья: Калайстуй, в числе 25 случаев болезни за время с 1 по 20 февраля, и заимках Кыра (2 случая) и Клички (6 случаев), на Нерчинском заводе (1 случай).

Западное направление. На ст. Бухеду (расположена между Хайларом и Цицикаром) эпидемия вспыхнула с 3 февраля 1921 г. В самом начале февраля были обнаружены случаи смерти от чумы в пригородах Харбина. В самом городе Харбине чума официально началась с 13 февраля и до 18 февраля дала около 30 заболеваний; за все время эпидемии в Харбине было зарегистрировано около 1 тыс. заболеваний. Отсутствие регулярных и более точных сведений не позволяет установить действительную картину движения эпидемии в рассматриваемом направлении (рис. 3.36).

Рис. 3.36. Больной легочной чумой китаец на улице Старого Харбина, 1921 г. По U. A. Wu Lien Ten et al. (1936)


Развитие и характер эпидемии легочной чумы во Владивостоке. Потребовалось значительное время, с августа месяца 1920 г. по 10 апреля 1921 г., т. е. восемь месяцев, чтобы легочная чума от места своего «зарождения» могла дойти до Владивостока. Еженедельные сводки по смертельным случаям свидетельствуют, что эпидемия легочной чумы во Владивостоке развивалась не взрывом как в Харбине (1910), а типом «спокойного горения». Начавшись с десятка случаев на первой неделе, чума далее разгоралась постепенно увеличивающимися в течение пяти недель темпами, проявив наибольшую силу в течение шестой недели. Затем три недели чума «догорала». Но и под пеплом своих жертв она «тлела» еще тринадцать недель (рис. 3.37).

Первая неделя эпидемии (10–16 апреля 1921 г.). Первым выявленным больным легочной чумой во Владивостоке оказался Лиу Чунг Шень. 10 апреля китайцы принесли его на носилках в Морской госпиталь (эта дата считается началом эпидемии). Оттуда его направили в чумной госпиталь (Первый крепостной госпиталь), но по дороге он умер. При обследовании летучим отрядом двора дома № 193, где жил Лиу, выяснилось, что в этом же помещении 5 дней тому назад умер от неизвестной болезни другой китаец, которого похоронили на кладбище в районе 2-й речки. А10 апреля умерли еще два китайца, проживавшие совместно в доме № 112 по Светланской улице.

Рис. 3.37. Смертность от легочной чумы во Владивостоке в 1921 г. по неделям. По В. П. Захарову с соавт. (1922)


13 апреля летучим отрядом был обнаружен труп китайца, спрятанный в дровах на дворе дома № 98 по Светланской улице. Исследование трупа показало, что смерть наступила от чумы. В тот же день был доставлен в чумное отделение китаец Лан Гун, проживавший по Светланской улице, дом № 175, так как про него стало известно, что он часто посещал квартиру Лиу Чунг Шеня и ввиду наличия у него повышенной температуры. В ночь на 14 апреля он был убит часовым при попытке бегства из чумного госпиталя. На вскрытии трупа обнаружено прижизненное заболевание легочной чумой. Положительный результат на чуму дало и бактериологическое исследование.

14 апреля был доставлен труп китайца Лю Бен Вяна, проживавшего в доме № 42 по Корейской улице. Труп оказался чумным. При обследовании китайских квартир этого же дома был обнаружен больной китаец в тяжелом состоянии, по фамилии Тун Шу Хо, 17 лет, который проживал совместно с Лю Бен Вяном. Тун Шу-хо умер в тот же день, при явлениях легочной чумы. На следующий день в чумной госпиталь были доставлены 2 чумных трупа, выброшенных из дома № 42 по Корейской улице. Еще через день (16 апреля) в чумной госпиталь были доставлены уже 5 трупов китайцев, умерших от чумы. Всего же за первую неделю эпидемии, с 10 апреля по 16 апреля включительно, во Владивостоке было зарегистрировано два больных легочной чумой и обнаружено 10 трупов китайцев, умерших от чумы.

Вторая неделя эпидемии (17–23 апреля). 15 человек умерло в чумном госпитале, на улицах подобрано 12 чумных трупов. Болезнь развивалась быстро — четыре китайца, переведенные из изоляционного отделения в чумное, умерли в тот же день. В эту неделю зарегистрирован первый случай заражения чумой медицинского персонала — погибла медсестра Даниленко.

К концу недели стало ясно, что эпидемия вышла из-под контроля противочумной организации. Чума «пошла» в окрестности города. 17 апреля на станции Океанская, в 38 км от города, был поднят китаец в тяжелом состоянии с явными признаками легочной чумы. На полу помещения, где он лежал, была масса характерных кровянистых плевков мокроты. 19 апреля он умер. Третья неделя эпидемии (24–30 апреля). Новые случаи заболеваний легочной чумой среди медицинского персонала: умерли два санитара (Годяцкий и Мальцев). Больные чумой стали поступать из окрестностей города: с каменноугольных копей Скидельского (30 верст от города), с 5 версты Сучанской ветки и со станции Океанская. Чума приобрела тенденцию к распространению на побережье Приморской области.

Всего за неделю на улицах, площадях и с квартир подобрано 42 трупа, из них чумными оказались 22, и 13 человек умерли в чумном госпитале. Большинство трупов было подобрано в тех же кварталах, что и в предыдущие две недели (район скрещения улиц Семеновской и Суйфунской — 6 трупов). Стало ясно, что там находятся чумные очаги. Однако обследование 27 апреля китайского общежития в доме № 20 по Суйфунской улице, ничего не дало, трупы из него были уже выброшены. Когда через 3 дня проверку внезапно повторили, то было выявлено 8 больных чумой, 4 китайцев отправили в изоляцию, 41 — в обсервацию. Из соседних помещений китайцы успели разбежаться.

Четвертая неделя эпидемии (1–7 мая). Чума «пошла» по более широкому кругу, захватив Шлюпочную площадь бухты Золотой Рог с шаландами и шлюпками (5 трупов), Первую Речку (7 трупов), северную часть Корейской улицы (7 трупов). Прочие китайские кварталы северо-западной части города по-прежнему дали основное число трупов. По дням число трупов стало распределяться более равномерно. В чумном госпитале умерло 27 человек, с улиц и площадей города поднято 50 чумных трупов. Погиб санитар Воробьев.

Пятая неделя эпидемии (8—14 мая). Небольшое повышение заболеваемости и смертности по сравнению с четвертой. Во всех отделениях чумного госпиталя от чумы умерло 26 человек, во Владивостоке поднято 59 чумных трупов, в окрестностях — 4. Погиб фельдшер Доброжанский.

Шестая неделя эпидемии (15–21 мая). Пик развития эпидемии. Во всех отделениях чумного госпиталя за неделю умерло от чумы 42 человека, по улицам и окрестностям города поднято 47 чумных трупов. В основном больные поступали с тех же улиц, что и в предыдущие недели. Погиб фельдшер Козлов. На хуторе Сехюче 15 мая умерло четыре русских жителя. Все они имели контакты с китайцами, приезжавшими из Владивостока.

Седьмая неделя эпидемии (22–28 мая). Количество больных чумой и подобранных чумных трупов уменьшилось. Умер от чумы 41 человек, поднято 32 чумных трупа. Погиб санитар Хазов.

Восьмая и девятая недели эпидемии (29 мая— 11 июня). Во Владивостоке эпидемия неуклонно шла на убыль. От чумы умерло 32 человека, подобрано 28 чумных трупов. Погиб санитар Короткевич.

Наступил период, резко отличающийся по своему эпидемическому течению и по существу заболеваний от предшествовавшего. Его П. В. Захаров с соавт. (1922) назвали «хвостом эпидемии легочной чумы». Как оказалось, в большом городе очень трудно уловить момент прекращения эпидемии легочной чумы.

Десятая неделя эпидемии (12–18 июня). Эпидемия резко оборвалась: за неделю было зарегистрировано только три чумных трупа. В предшествовавшую девятую неделю было 20 случаев, а в восьмую — 40. Возник естественный вопрос, не конец ли это эпидемии легочной чумы, или, быть может, это только передышка? Некоторые врачи определенно утверждали, что эпидемии окончилась, и нужно готовиться, после десятисуточного срока со времени обнаружения последнего чумного трупа, объявить город угрожаемым по чуме, а затем и благополучным. Дальнейшее развитие событий показало, что такой 10-суточный срок наступил не скоро.

Одиннадцая — двадцатая недели эпидемии (19 июня—27 августа). В разных местах города выявляются единичные заболевшие чумой и поднимаются единичные чумные трупы. Дважды разрывы между зарегистрированными случаями чумы составляли 6 суток (между 11 и 13 неделями).

Двадцать первая неделя эпидемии (28 августа—3 сентября). Случаев смерти в чумном госпитале не было. Трупов было поднято два. Оба были вскрыты 30 августа в присутствии бактериолога Левашова и японского врача Гото, подтвердивших чуму.

Двадцать вторая неделя эпидемии (4–9 сентября). Количество случаев чумы вдруг возросло. В чумном госпитале от нее умерли 2 китайца, два трупа, подобранные на улицах, оказались чумными. У властей возникло опасение, что дотянувшаяся до октября месяца, т. е. до холодного времени года, эпидемия может вновь разгореться в легочной форме.

Двадцать третья неделя эпидемии (11–17 сентября). Последняя неделя эпидемии чумы во Владивостоке. Два чумных трупа, обнаруженные за неделю, были последними зарегистрированными случаями чумы. Один труп китайца был поднят 11 сентября на берегу Амурского залива против Новокорейской слободки, другой труп тоже китайца, был поднят 15 сентября с угла Суйфунской и Нагорной улиц. В эту неделю всего было поднято 4 трупа. Таким образом, последний случай чумы во Владивостоке зарегистрирован 15 сентября 1921 г.

Горючим материалом («сухими дровами») для чумы было китайское население, исключительно питавшее и поддерживавшее пожар эпидемии в городе. Однако никаких эмпирических доказательств какой-то «этнической избирательности» легочной чумы тогда получено не было. Китайцы, жившие в европейских семьях (лакеи, повара), не были затронуты болезнью. Подавляющее большинство погибших от чумы принадлежало к китайской бедноте, жившей в ночлежках, казармах, в обстановке невероятной скученности и грязи.

Касаясь вопроса заразительности легочной чумы, П. В. Захаров с соавт. (1922) отмечают, что ответ на него не так прост, как это на первый взгляд кажется. Многие факты, выявленные при изучении эпидемии легочной чумы во Владивостоке, говорят о ее высокой заразительности. Однако они также дают основание утверждать, что между фактом высокой заразительности легочной формы чумы и фактом ее малого распространения лежит нечто третье, проходя через которое, высокая степень заразительности чумы все же давала «медленное горение» такого многочисленного и компактно проживающего населения, как Владивостокские китайские кварталы.

Анализ крупных вспышек легочной чумы позволяет выявить следующие закономерности их развития. Масштабные эпидемии легочной чумы не имеют единого центра. Легочная чума распространяется небольшими вспышками по направлениям движения потоков людей с территорий, охваченных чумными эпизоотиями среди грызунов. Такие эпидемии имеют период вспышек-предшественников, длящийся иногда десятки лет. Они сигнализируют о нарастающей активизации природных очагов чумы. Переходу локальных вспышек легочной чумы в масштабную эпидемию предшествует накопление «сухих дров» эпидемии легочной чумы. Ими, как правило, становятся люди, у которых по разным причинам (генетические особенности, массивные дозы заражении вирулентными штаммами и др.) бубонная чумапереходит во вторично легочную, а стереотип их социального поведения и условия жизни способствуют ее дальнейшему распространению уже в форме первичной легочной чумы. «Движение» легочной чумы по территориям происходит медленно, по выражению П. В. Захарова с соавт. (1922): «Со скоростью пешехода». Так, в 1921 г. в условиях неконтролируемого перемещения китайского населения легочная чума «прошла» 100 км от Уссурийска (тогда Никольск-Уссурийский) до Владивостока только за месяц. В механизме развития масштабной эпидемии легочной чумы заложен и механизм ее терминации. Поэтому легочная чума в крупном населенном пункте не может длиться до последнего жителя, хотя внешне все условия для ее продолжения остаются.

Внутривидовая таксономия. При идентификации и классификации штаммов возбудителя чумы, обнаруженных при расследовании актов биодиверсий и биотеррора, необходимо учитывать то обстоятельство, что большинство исследований экологии, биохимии и патогенеза Y. pestis, осуществляемых за пределами бывшего Советского Союза, было проведено с ограниченным количеством близкородственных штаммов. Ни один научно-исследовательский институт за пределами России не имеет того количества штаммов возбудителя чумы и опыта исследований Y. pestis в ее природных очагах, которые накоплены исследователями русской противочумной системы. Поэтому использование отечественной таксономической классификации, основанной на фенотипических признаках при идентификации и классификации штаммов Y. pestis, является наиболее информативным подходом из имеющихся (табл. 3.11).

Таблица 3.11. Таксономические признаки штаммов, которые различают подвиды Y. pestis, выделенные на территории бывшего СССР и Монголии, и соответствие подвидов биоварам[27]
Подвид Y. pestis pestis (главный)

Таксономические признаки | altaica | caucasica[28] | hissarica | alegeica | talassica

Ферментация рамнозы | — | + | + | + | + | +

мелибиозы | — | + | + | + | + | +

арабинозы | + | — | + | — | + | —

глицерина | ± | + | + | + | + | +

мелезитозы | — | 9 | — | ± |? | —

Восстановление нитратов | ± | — | + | — | — | —

Активность уреазы | — | — | — | ± | — | +

Продуцирование пестицина 1 | + | + | — | + | + | +

Чувствительность к пестицину 1 | — | + | + | ± | ±[29] | —

Фибринолитическая активность | + | + | — | + | + | +

Активность коагулазы | + | + | — | + | + | + |

Зависимость от факторов питания | лейцин | ± | + | ± | + | — | + |

метионин | + | — | + | + | — |? |

аргинин | — | + | + | — | — | +

тиамин | — | — | + | — | — |?

цистеин | ± | + | ± | + | + | +

фенилаланин | ± | + | + | + | + | +

треонин | + |? | + | — |? |?

тирозин | — |? |? | — |? | +

Вирулентность для морских свинок | + | — | — | — | — | —

Регион распространения | Центральная Африка, Центральная и Северная Азия, Китай (Маньчжурия), Монголия | Алтайские горы | Закавказское нагорье, горные районы Дагестана | Гиссарский хребет | Северо-Восточная Монголия, пустыня Гоби | Таллаский хребет

Хозяин | Грызуны родов Marmota, Citellus, Meriones, Rattus и т. д. | Ochotona pricei | Microtus arvalis | Microtus camithersi | Ochotona pricei | Microtus gregalis[30]

Биовар | Antiqua | Medievalis | Antiqua | Medievalis | Medievalis | Medievalis


Восприимчивость и чувствительность животных к возбудителю чумы. В чумологии принято отличать восприимчивость к инфекции от чувствительности к ней, причем под первой понимают способность заражаться, тогда, как вторая характеризует интенсивность и остроту патологического процесса. С этих позиций восприимчивость считается видовым признаком, а чувствительность индивидуальным. Вопрос о восприимчивости животных и чувствительности животных к Y. pestis обычно рассматривается с точки зрения их роли в поддержании эпизоотического процесса. Наиболее восприимчивыми к чуме являются многие виды обширного отряда грызунов. Чума справедливо считается болезнью грызунов; другие виды животных, в том числе и человек, заболевают чумой при контакте с больными грызунами. Ю. М. Елкин (1960) разделил грызунов на четыре группы:

1) высокочувствительные (домовая мышь, тамарисковая и малоазиатская песчанки, песчанка Виноградова, степная пеструшка, слепушонка);

2) залегающие в спячку с резко меняющейся по сезонам чувствительностью (сурки, суслики);

3) незалегающие в спячку, в популяциях которых всегда имеются высокочувствительные и очень резистентные особи (полуденная, большая, краснохвостая песчанки, серая крыса, обыкновенная и общественная полевки, полевка Брандта, полевая мышь);

4) чувствительные только к очень большим дозам заражения (лесная мышь) (цит. по Домарадскому И. В., 1998).

Черные и серые крысы весьма чувствительны к чуме, но в естественных условиях серые заражаются легче, чем черные. В Индии, например, были случаи, когда эпизоотии сначала начинались среди серых крыс и лишь позднее охватывали черных. В то же время по чувствительности к чуме популяции крыс столь же неоднородны, как и популяции многих других животных. Из домашних животных восприимчивы к чуме верблюды и кошки. У ослов и мулов, овец и коз, свиней, собак при введении больших доз чумного микроба в экспериментальных условиях иногда удается вызвать чумную инфекцию. Но с практической точки зрения этих животных можно считать невосприимчивыми к чуме. Лошади и крупный рогатый скот невосприимчивы к чуме. Хищники, за небольшим исключением (хорьки, лисицы, ласки, солонгои), невосприимчивы к чуме. Из насекомоядных восприимчивы к чуме землеройки. Птицы и пресмыкающиеся (змеи, черепахи) невосприимчивы к чуме. Ящерицы восприимчивы при экспериментальном заражении. Из земноводных жаб следует считать невосприимчивыми к чуме, а лягушек и тритонов — маловосприимчивыми, не имеющими значения в эпидемиологии этой инфекции. Насекомые и паукообразные хотя и маловосприимчивы к чуме, но в их организме чумные микробы могут находиться довольно продолжительное время (табл. 3.12).

Таблица 3.12. Восприимчивость к чуме насекомых и паукообразных[31]
Наименование насекомого или паукообразного | Восприимчивость[32] | Продолжительность сохранения чумного микроба (сут)

Мухи | ± | До 18

Комары | — |

Саранча | + | 4

Жуки стафилины | — |

Тараканы | — |

Блохи | ± | До 396

Клопы | + | До 147

Вши человека:

головные | + |

платяные | + |

Вши земляного зайца | + | До 14

Вши тарбагана | + | До 13

Клещи:

Rhipicephdus Schultze Olen | + |

Ixodes autumnalis L. | + |

Dermacentor silvamm Olen | + | 10 |

Hydomma volgense Schultze | + | 11 |

Argas persicus F. | + | 100


Для изучения вирулентности штаммов Y. pestis наиболее пригодны морские свинки, ибо эти животные очень восприимчивы к чуме, и слабо реагируют на токсины возбудителя чумы. Белые мыши мало пригодны для этой цели, так как они очень чувствительны к токсинам Y. pestis. Дикие грызуны, взятые из энзоотических районов, непригодны для изучения вирулентности Y. pestis, так как среди этих грызунов могут встречаться иммунные особи (Туманский В. М., 1958). Но А. P. Anisimov et al. (2004) отмечают, что в тестах на вирулентность у морских свинок большинство штаммов Y. pestis подвида pestis являются летальными, тогда как штаммы подвидов altaica, caucasica, hissarica, ulegeica и talassica, как правило, обнаруживают резкое снижение вирулентности или даже полное ее отсутствие для этих животных, тем не менее они способны вызывать вспышки чумы среди людей, сопровождающиеся развитием пневмонии. Эти авторы считают, что еще невозможно реально определить, какой именно набор генетических и фенотипических признаков указывает на вирулентность штаммов Y. pestis для лабораторных животных или людей.

Инфицирующие дозы. Вирулентность штаммов Y. pestis колеблется в широких пределах, даже если они выделены в условиях одной эпидемии или эпизоотии. Ингаляционная поражающая доза (LD100) возбудителя чумы для человека обычно находится в пределах от 100 до 3000 клеток и зависит от очень многих факторов помимо вирулентности самого штамма и дисперсности аэрозоля (Ротшильд Д., 1966; Ситников М. Н., 1968; Van Andel R. et al., 2008). К увеличению инфицирующей дозы приводят частые пересевы, хранение штаммов возбудителя чумы при высокой температуре, выращивание на средах с антисептиками и антибиотиками, глубинное культивирование, пассаж через маловосприимчивых или иммунных животных, увеличение размера частиц аэрозоля и др. Снижение инфицирующей дозы Y. pestis достигают путем пассажа через организм морской свинки или путем отбора наиболее вирулентных клеток из микробной популяции (Николаев Н. И., 1968)[33].

Иммунитет. Случаи повторного заболевания чумой после перенесенного заболевания редки, но возможны. Подробно протекгивные антигены возбудителя чумы описаны в монографии А. А. Бывалова (2011). Какому из них принадлежит решающая роль в иммуногенезе чумы, ясности нет. К тому же исследователи не всегда могут быть уверены в том, что данные, полученные на животных, безоговорочно приложимы к объяснению процессов, происходящих в организме человека. Антитела появляются на 7 сут от начала болезни. Особое значение имеет выявление IgM, как показателя недавнего контакта с источником чумы. Достоверно известно, что в иммунитете к чуме основная роль принадлежит клеточным факторам. Из всех вакцинных штаммов лучше всего зарекомендовали себя TJW и EV. В отечественной практике предпочтение отдается живой вакцине на основе штамма EV В практике научно-исследовательских организаций Министерства обороны России используется эффективный и безопасный способ массовой ингаляционной иммунизации живой чумной вакциной на основе штамма EV. Создаваемый таким способом иммунитет к возбудителю чумы, исключает возможность ингаляционного заражения человека при тех концентрациях возбудителя чумы в аэрозоле, которые можно создать при применении БО.

Устойчивость Y. pestis во внешней среде и в трупах погибших. В выделениях больных людей и животных Y. pestis может сохраняться продолжительное время, что зависит от температуры и наличия других бактерий, обладающих антагонистическим действием. В замороженной мокроте чумной микроб сохраняет свою жизнеспособность от 6 до 14 сут; в мокроте, находящейся при комнатной температуре, до 36 сут; в высушенной мокроте он погибает через 4–7 сут. В гною из бубонов вне организма чумной микроб может сохраняться до 20–30 сут. В крови, взятой у животных больных чумой, возбудитель чумы может сохраняться длительное время при защите от высыхания до 260 сут (при температуреЮ—12 °C) (Туманский В. М., 1958).

В замороженных человеческих трупах Y. pestis может сохраняться 4–5 мес. В летнее время уже через 4–5 сут после смерти человека от чумы из его лимфатических узлов, крови и внутренних органов не удается выделить культуры даже при заражении восприимчивого животного способом втирания. Дольше всего Y. pestis сохраняется в костном мозгу, так как он не подвергается быстрому загниванию. В шкурках грызунов, погибших от чумы, микроб сохраняется в зависимости от условий обработки хранения этих шкурок: при комнатной температуре — до 23 сут, а при температуре 28 °C — до 17–18 сут. В жаркую летнюю погоду на солнце Y. pestis сохраняется в шкурках до 6 ч, а в тени — до 3 сут. На круто сваренном яичном белке Y. pestis сохраняется до 13 8 сут, в молоке — до 81 сут, в соленом мясе — до 13 0 сут, на черном хлебе — до 4 сут, на овощах и фруктах — 6—11 сут, на зерновых продуктах — 12–54 сут, в воде — до 75 сут. Но вспышек чумы, связанных с употреблением в пищу молочных продуктов, хлеба, овощей, фруктов и воды, не описано (Туманский В. М., 1958).

Мясо верблюда, больного чумой, в момент его разделки неоднократно было причиной инфекции, вспышек заболевания среди людей. Зерно во время больших чумных эпизоотий может быть загрязнено кровью и трупами мышей, погибших от чумы. Теоретически если это зерно в необработанном виде будет перевезено в здоровую местность, то оно может заразить грызунов и создать среди них эпизоотию. Именно такой способ пытались использовать американские военные для распространения чумы среди жителей китайских городов (см. разд. 1.10).

В почве Y. pestis сохраняется непродолжительное время, при этом сохраняемость ее зависит от активности других микроорганизмов и от температуры. При низкой температуре чумной микроб может оставаться жизнеспособным сравнительно долгое время — до 28 сут, при более высокой температуре он быстро погибает. Солнечные лучи оказывают энергичное убивающее действие на Y. pestis. Она чувствительна и к высокой температуре. При кипячении возбудитель чумы в бульонной и агаровой культуре и даже в крови погибает через несколько секунд, при этом большинство микробов гибнет раньше, чем начинает закипать жидкость (Туманский В. М., 1958).

Аэрозоли Y. pestis демонстрировали постоянную скорость распада, когда они аэрозолировались при относительной влажности 50 % из бульона с настоем сердечной мышцы. Происходила внезапная утрата живых микроорганизмов при повышении относительной влажности до величин, превышающих 50 %, особенно до 85 % (Sinclair R. et al., 2008).

В дентине зубов методами молекулярной диагностики можно обнаружить нуклеотидные последовательности Y. pestis спустя несколько столетий после гибели человека от чумы (Haensch S. et al., 2010).

Антибиотикорезистентность. Обычно изоляты Y. pestis в равной степени чувствительны ко всем антимикробным препаратам, эффективным против грамотрицательных бактерий. В 1995 г. у клинического изолята Y. pestis обнаружена высокая резистентность к антимикробным средствам, включая все лекарственные препараты, рекомендованные для профилактики и лечения чумы. Штамм (17/95) выделен в районе Амболавау в Мадагаскаре у 16-летнего юноши с симптомами бубонной чумы. Второй штамм (16/95) с высокой резистентностью к стрептомицину выделен в том же году в Мадагаскаре в районе Ампитана от 14-летнего больного бубонной чумой. Оба больных выздоровели после антибиотикотерапии, включающей внутримышечные инъекции стрептомицина (2 г/сут в течение 4 сут) и пероральное применение триметоприм-сульфаметоксазола (2 г/сут в течение 10 сут). Более подробно свойства этих штаммов рассмотрим по обобщающей работе М. Galimand et al. (2006).

Штамм 17/95 обнаружил высокую резистентность к восьми антимикробным препаратам, включая не только рекомендованные для лечения (стрептомицин, хлорамфеникол и тетрациклин) и профилактики (сульфонамид и тетрациклин) чумы, но также и возможные альтернативные средства, такие как ампициллин, канамицин и спектиномицин.

Резистентность к ампициллину, хлорамфениколу, канамицину, сульфонамиду и стрептомицин-спектиномицину носила детоксикационный характер[34]. Она была обусловлена продуцированием Y. pestis пенициллиназы ТЕМ-1, хлорамфеникол-ацетилтрансферазы типа I, аминогликозид-фосфотрансферазы типа I, резистентной к лекарственным препаратам дигидроптероат-синтазы и аминогликозид-аденилтрансферазы соответственно. Резистентность к тетрациклину у штамма 17/95 связана со способностью бактерии выкачивать тетрациклин из клетки быстрее, чем антибиотик поразит свои мишени. Изолят сохранил чувствительность к цефалоспоринам, другим аминогликозидам, хинолонам и триметоприму. Скорее всего, именно активность три-метоприма, несмотря на отсутствие синергизма с сульфонамидом, и обеспечила выздоровление больного.

Все гены резистентности штамма 17/95 содержались в конъюгативной плазмиде, обозначенной рIР1202 (примерно 150 т. п. о.). В эксперименте она могла быть перенесена с высокой частотой путем конъюгации от Y. pestis 17/95 к другим штаммам Y. pestis и Е. coli; и в обратном направлении. Плазмида рIР1202 принадлежит к группе несовместимости 1псб-С и содержит структуру, аналогичную таковой интегронов Тп21-подобных элементов. Содержавшиеся в ней гены резистентности близкородственны по структуре переносимым плазмидами детерминантам, обычно обнаруживаемым у энтеробактерий.

Штамм 16/95 обладает устойчивостью детоксикациоиного типа к стрептомицину, но сохраняет чувствительность к спектиномицину и другим антимикробным средствам, включая рекомендованные для лечения и профилактики чумы. Гены резистентности к стрептомицину переносились между бактериями плазмидой рIР1203 (примерно 40 т. п. о.), способной конъюгировать с другими изолятами Y. pestis. Они являются частью кластера tnpR-strA-strB-IR, характерного для Тп5393-группы транспозонов. Перенос резистентности к стрептомицину от Y. pestis 16/95 к Y. pestis и Y. pseudotuberculosis происходил с высокой частотой, к Е. coli с более низкой частотой, а перенос к Y. enterocolitica вообще не удалось обнаружить. Повторный перенос рIР1203 от трансконъюгантов Y. pestis и Y. pseudotuberculosis к Y. pestis и Y. pseudotuberculosis также происходил с высокой частотой.

Антибиотико-резистентные штаммы Y. pestis имеют несколько отличий. Они были выделены в двух разных районах, расположенных на расстоянии 80 миль друг от друга. Штамм 17/95 относится к типичному риботипу В, тогда как штамм 16/95 относится к недавно описанному, Мадагаскар-специфическому риботипу Q. Плазмида рIР1202 несет гены множественной резистентности к антимикробным препаратам, принадлежит к группе 1псб-С, тогда как рIР1203 несет только детерминанты резистентности к стрептомицину, принадлежит к группе IncP. Наконец, резистентность к стрептомицину у штамма 17/95 обусловлена аденилированием препарата, а у штамма 16/95 — фосфорилированием. Эти данные свидетельствуют о том, что антибиотикорезистентные штаммы Y. pestis возникли независимо друг от друга.

Обнаружение генетически измененных штаммов К pestis. Подходы к обнаружению генетически измененных штаммов возбудителя чумы те же, что и для обнаружения генетически-измененных штаммов В. anthracis (см. разд. 3.1). Однако необходимо учитывать, что генетика Y. pestis изучена не хуже, чем кишечной палочки. Методы генетического переноса для возбудителя чумы стали отрабатываться сразу же после обнаружения у него собственных плазмид. Для Y. pestis могут быть использованы методы генетической модификации и векторы клонирования, разработанные для Е. coli и многих других грамотрицательных микроорганизмов. В Y. pestis в условиях in vitro легко переносятся плазмиды вирулентности близкородственных микроорганизмов, и наоборот (см., например, работу Wolf-Watz Н. et al., 1985). Поэтому генетическая модификация чумного микроба, ставшего причиной намеренного заражения людей, может оказаться значительно более изощренной, чем у возбудителя сибирской язвы.

В очагах искусственно вызванных вспышек чумы с наибольшей вероятностью можно встретить штаммы возбудителя чумы со следующими модификациями (и их сочетаниями):

резистентные к антибиотикам, используемым в распространенных схемах лечения чумы (введение генов, придающих бактерии резистентность к антибиотикам преимущественно детоксикационного типа);

обладающие более высокой вирулентностью, чем исходные природные штаммы (введение в Y. pestis генов токсинов и иммунорегуляторных белков);

с измененной антигенной специфичностью, пробивающих иммунитет, создаваемый коммерческими вакцинами (получение мутантов Y. pestis с V-антигеном некоторых сероваров Y. enterocolitica или с ЛПС с высокоацетилированным липидом А).

Дифференцировать генетически измененные Y. pestis от их природных вариантов по фенотипическим признакам сложно из-за поддержания в природных резервуарах большого количества атипичных штаммов Y. pestis. Генотипическое и фенотипическое разнообразие наблюдают даже среди чумных изолятов из одного и того же природного очага. По данным А. P. Anisimov et al. (2004), в полевых условиях появление атипичных штаммов Y. pestis может коррелировать с различными фазами эпизоотического цикла. Так называемые атипичные штаммы отличаются по некоторым из основных признаков, обнаруженных в доминирующем варианте Y. pestis, выделенном в определенном очаге чумы. Экологические и другие изменения, происходящие во время эпизоотического цикла, способствуют появлению недоминирующих штаммов Y. pestis.

Анализ частоты появления разных форм Y. pestis, выделенных из разнообразных природных очагов чумы, показал, что уровень изменчивости в очагах различен и колеблется от 1,6 % (Волго-Уральский степной очаг), до 6,7 % (Гиссарский очаг). Наиболее часто атипичные штаммы выделяют на пике эпизоотии среди грызунов. Было установлено, что 24,4 % атипичных штаммов обнаруживают нехарактерные биохимические активности; 17,6 % были лизогенизированы бактериофагами; 13,5 % обнаружили измененные потребности в факторах роста; 14,27 % имели мутации в локусе hms (для «системы хранения гемина»); 16,75 % показали пониженную вирулентность для лабораторных животных; 9,93 % были F1-; 2,36 % оказались дефицитны по пестицину; и 0,4 % были резистентны к литическому действию диагностических фагов (Anisimov А. P. et al., 2004).

Ответ на вопрос о том, является ли штамм Y. pestis, выделенный от жертв биотеррористического акта, атипичным или генетически модифицированным, затруднен еще и отсутствием согласованной бактериальной систематики, что не позволяет определить основную единицу биологического разнообразия — вид, не говоря уже о подвиде. Нет ясности и по факторам вирулентности Y. pestis. Скорее всего, для ответа на него необходимо:

установить прототипный (наиболее близкий) природный штамм Y. pestis;

затем провести сравнение его генома с геномом штамма Y. pestis, использованного для преступления;

пользуясь знаниями о существующих в природных экосистемах генах патогенности (антибиотикорезистентности) и механизмах их передачи, провести экспертную оценку возможности или, наоборот, невозможности искусственного происхождения данного штамма. Например, наличие у штамма Y. pestis резистентности к стрептомицину, вызванной приобретением им конъюгативной плазмиды с кластером tnpR-strA-strB-IR, объяснимо на основе знаний о генетическом обмене среди бактерий семейства Enterobacteriaceae.Однако обнаружение этого же кластера в геноме Y. pestis в составе интегративного вектора с известной историей конструирования (см. разд. 2.2.2 «Технологии рекомбинантной ДЕ1К в получении штаммов бактерий с неправильной эпидемиологией») требует уже поиска лаборатории, где этот штамм был получен.

Патогенез. Отдельного «фактора патогенности», определяющего способность возбудителя чумы вызывать инфекционный процесс у человека, не описано (Анисимов А. П., 2002). По мнению Е. П. Шуваловой с соавт. (2001), в основе патогенеза чумы лежат два связанных между собой процесса — септический и токсический. Септический процесс определяется способностью Y. pestis размножаться в фагоцитирующих клетках. После укуса блохи возбудитель чумы попадает в региональные лимфатические узлы, где происходит его бурное размножение (1–3 сут). В этот процесс вовлекается все большее число нейтрофилов, возбудитель находится в первичном очаге (если он формируется) и региональных лимфатических узлах. Затем происходит стремительное вовлечение в процесс все возрастающего числа нейтрофилов, выход в кровь их костномозгового резерва. Болезнь начинается остро. У больного высокая температура, симптомы выраженной интоксикации и нейтрофильный лейкоцитоз.

Основу токсических проявлений инфекции, вызываемой возбудителем чумы, составляет действие эндотоксина — ЛПС бактериальной стенки. Клетки Y. pestis частично разрушаются, и освобождается ЛПС, действующий непосредственно на клетки крови, тканей, эндотелий сосудов и опосредованно, активируя систему комплемента и нейтрофилы. Последние выделяют биологически активные вещества, изменяющие микроциркуляцию и нарушающие баланс систем свертывания и противосвертывания. Вначале это реакция местная и соответствует инкубационному периоду. Но с достижением определенного количественного уровня ЛПС переводит инфекционный процесс в иное качество — начинаются клинические проявления чумы[35].

Бурное и интенсивное накопление ЛПС и соответственно продуктов дегрануляции нейтрофилов приводит к развитию синдрома внутрисосудистого свертывания крови (ДВС-синдром) и инфекционно-токсического шока, т. е. процесса, вызванного лавинообразной экспрессией провоспалительных цитокинов, основным из которых является TNF-a. Шок проявляется тахикардией, заторможенностью, гипотонией, реже рвотой. С нарастанием тяжести течения чумы появляются такие симптомы, как бред, снижение температуры тела, петехии, понос, глухость тонов сердца, олигурия. У некоторых больных развиваются одышка, судороги, акроцианоз, боли в животе, явления отека легких.

Клиническая картина чумы у людей при естественном инфицировании Y. pestis[36].

В клинике чумы выделяют общие явления, характерные для всех форм болезни, и частные, на основании доминирования которых у отдельных больных, создаются клинические классификации чумы.

Инкубационный период Y. pestis составляет 1–6 сут. В большинстве случаев болезнь начинается остро, с сильного озноба и быстрого повышения температуры тела до 39–40 °C. Уже на первый день болезни характерны озноб, чувство жара, миалгии, мучительная головная боль, головокружение. Характерен внешний вид больного: лицо и конъюнктивы гиперемированы, губы сухие, язык отечный, сухой, дрожащий, обложен густым белым налетом (как бы натерт мелом), увеличен. Речь больного смазанная, неразборчивая, он заторможен или, наоборот, возбужден, бредит, стремится убежать, у него нарушена координация движения (иногда такие больные производят впечатление пьяных), на лице появляется выражение страха и ужаса («facies pestica»). На лбу выступают крупные капли пота («роса чумы»).

За счет поражения ССС, границы сердца расширены, тоны сердца глухие, прогрессивно нарастает тахикардия (до 120–160 ударов/мин), появляются цианоз, аритмия пульса, значительно снижается АД. На ЭКГ чаще всего бывает синусовая тахикардия, иногда с изменением интервала S— Т(уменьшение зубца Т). У некоторых больных обращают на себя внимание преждевременные сокращения предсердий, а также высокий зубец Р и отклонение оси вправо. Эти изменения ЭКГ трактуются как указание на corpulmonale, хотя изменений в легких еще может не быть (Домарадский И. В., 1998).

При тяжелом течении чумы отмечается кровавая или цвета кофейной гущи рвота, жидкий стул со слизью и кровью. В моче находят примеси крови и белок, развивается олигурия. Печень и селезенка увеличены. В крови нейтрофильный лейкоцитоз со сдвигом формулы влево, СОЭ повышена. Количество эритроцитов и гемоглобина изменяется незначительно.

Смерть больного чумой наступает при прогрессирующей циркуляторной недостаточности, часто с отеком легких.

В соответствии с классификацией Г. П. Руднева (1970) различают следующие клинические формы чумы:

Преимущественно локальные формы: кожная, бубонная, кожно-бубонная.

Внутренне диссеминированные, или генерализованные, формы: первично-септическая, вторично-септическая.

Внешне диссеминированные (центральные, чаще с обильной внешней диссеминацией): первично-легочная, вторично-легочная, кишечная. Кишечная форма как самостоятельная большинством авторов не признается.

Описаны стертые, легкие, субклинические формы чумы.

Бубонная чума. Важнейшим признаком бубонной формы чумы является бубон — резко болезненное увеличение лимфатических узлов. Бубон появляется на первый день болезни. Уже в первые часы развития бубона в месте его образования больной чувствует сильную боль, которая затрудняет движение соответствующего органа. Больной вынужден принимать неестественные позы. В первые дни на месте развивающегося бубона можно прощупать отдельные лимфатические узлы, в дальнейшем они спаиваются с окружающей клетчаткой. Маленькие бубоны обычно более болезненны, чем большие. Бубоны, появившиеся в начале болезни, называются первичными бубонами первого порядка. Они обусловливаются внедрением чумного микроба в лимфатический узел по лимфатическим путям извне через кожу (обычно при укусе зараженных блох). Первичные бубоны первого порядка в большинстве случаев единичные, в редких случаях их бывает несколько; многочисленные бубоны развиваются при одновременном внедрении чумного микроба в разных частях тела.

На месте внедрения инфекции при бубонной форме чумы обычно не наблюдается никаких поражений, и только в редких случаях на коже отмечаются ссадины или маленькие покраснения, напоминающие укусы блох. Не наблюдается также воспаления лимфатических сосудов (лимфангоитов), по которым чумной микроб проникает в регионарный лимфатический узел (лимфангоиты встречаются только в тех случаях, когда вместе с возбудителем чумы заносятся и другие микробы, но такие случаи встречаются очень редко).

Помимо первичных бубонов первого порядка, различают еще первичные бубоны второго порядка; последние развиваются в результате внедрения в железу чумного микроба по лимфатическим путям из первичного бубона первого порядка. Эти бубоны появляются в разное время: почти одновременно с первичными бубонами первого порядка, в разгар болезни и даже в конце ее. Чаще они появляются в первую неделю болезни. Вторичные бубоны, обусловливаемые заносом чумного микроба по кровеносным путям, появляются вдали от места внедрения инфекции обычно в конце болезни. При септической и легочной форме чумы они могут появиться в первые дни болезни.

Частота первичного поражения тех или иных лимфатических узлов зависит главным образом от площади, с которой собирается лимфа в лимфатический узел. Вместе с тем играют роль и другие факторы: профессия больного, бытовые условия, возраст. Чаще всего наблюдаются паховые и бедренные бубоны (55–68 %), затем подмышечные (16–22 %), шейные (5–6 %); множественные бубоны не часты (5—13 %). Подколенные и локтевые бубоны встречаются очень редко. Шейные бубоны чаще всего отмечаются у детей (рис. 3.38).

В начале образования бубона кожа над ним не изменина. По мере увеличения бубона кожа натягивается и краснеет. Над большим бубоном она болезненна, натянута и блестяща, цианотична, иногда имеет багрово-синюю окраску. При осмотре бубона на месте нахождения пораженного узла в большинстве случаев наблюдается выпуклость. Иногда же, ввиду глубокого расположения пораженного узла, этой выпуклости не удается отметить не только в первые, но и в последние дни болезни.

При прощупывании бубона в первый день болезни обнаруживается лишь небольшое, очень болезненное уплотнение. В зависимости от развития болезни, часто уже к концу первого дня ее, бубон хорошо заметен: при наружном осмотре он имеет вид опухоли. Кожа над ним гиперемирована и цианотична, в особенности в центральной части. Окружающая клетчатка отечна. Бубон при прощупывании оказывается очень плотным, имеющим консистенцию хряща. С течением времени плотность его может уменьшиться, и на участке нагноения прощупывается размягчение, а затем определяется флюктуация. Ввиду вовлечения в процесс окружающей узел ткани (периаденит), контуры бубона очень неясны, что еще более усугубляется за счет отечности окружающей клетчатки. По окончании стадии формирования бубона наступает фаза его разрешения, протекающая в одной из трех форм: рассасывание, вскрытие и склерозирование.

Рис. 3.38. Бубоны у больных чумой. А. Правый шейный бубон. По В. П. Кашкадамову (1902). Б. Больной чумой с бедренными бубонами. В. Скульптурное изображение святого Рока — защитника европейцев от чумы (XV в.). По U. A. Wu Lien-Ten et al. (1936)

Величина бубонов различна: от горошины до размеров гусиного яйца и даже больше. Она зависит главным образом от степени развития периаденита: чем больше процесс распространяется на окружающую клетчатку, тем больше бубон; чем более выражен периаденит, тем сильнее бубон спаян с окружающими тканями и кожей и менее подвижен.

Развитие бубона происходит по-разному: в некоторых случаях он увеличивается очень быстро и в 2–4 ч достигает величины куриного яйца, чаще же это происходит медленнее. Наибольшей величины бубон достигает к 8—10 сут болезни, реже — к 4–5 сут.

В случае нагнаивания бубона к чумному микробу присоединяется вторичная инфекция (стафилококк, стрептококк). В нагноившемся бубоне кожа над очагом нагноения истончается и некротизируется, иногда на большом участке. Бубон прорывается, и из него вытекает гнойная масса с примесью крови. Заживление образовавшейся полости (нередко довольно большой и глубокой) идет очень медленно, сплошь и рядом отмечается то улучшение, то ухудшение процесса заживления. Как правило, нагноение начинается с первичных бубонов первого порядка. Вторичные бубоны нагнаиваются очень редко. На месте заживления образуются рубцы (рис. 3.39).

Рис. 3.39. Характерные изъязвления кожи больных бубонной чумой. По В. П. Кашкадамову (1902)


Рассасывание бубона идет медленно; только в редких случаях наблюдается быстрое рассасывание, что расценивалось в начале XX в. как неблагоприятный прогностический признак. Иногда рассасывающиеся бубоны увеличиваются в размерах, причем это может наблюдаться неоднократно. Иногда в период увеличения рассасывающегося бубона температура повышается до 37,3—37,5 °C; может также усиливаться болезненность бубона и гиперемия кожных покровов. Иногда же увеличение рассасывающегося бубона не сопровождается этими явлениями. Рассасывание бубона нередко происходит довольно хорошо, и уже через 2–3 недели обратного развития бубона на месте его остается еле прощупываемое уплотнение. Иногда даже при хорошем самочувствии больного и нормальной температуре бубон сохраняет значительные размеры (до куриного яйца) в продолжение долгого времени. Объясняется это склеротическими изменениями в лимфатическом узле.

В зависимости от клинического течения бубонной чумы, многие авторы различают три степени ее:

1) тяжелую;

2) среднюю;

3) легкую.

В легких случаях заболевания температура повышается незначительно; иногда болезнь протекает даже при субнормальной температуре (амбулаторная форма).

Обычно же температура сразу повышается до 38–39 °C. Наблюдаются суточные колебания температуры в 1–2 °C и более, при этом повышение ее бывает в вечерние, а понижение — в утренние часы (ремиттирующий тип лихорадки). В связи с ухудшением болезни, наблюдается несоответствие частоты пульса с температурой, что считается неблагоприятным прогностическим признаком.

В легких случаях течения болезни учащение пульса выражено слабее, и то только в начале заболевания. В случаях средней тяжести пульс равен 90—110/мин при температуре 38–39 °C.

Пульс является тонким показателем состояния ССС больного. Помимо учащения пульса, отмечается также его слабое наполнение, часто аритмия, иногда пульс бывает дикротичным. В последние часы жизни больного он становится нитевидным, мало ощутимым.

Со стороны органов дыхания при бубонной чуме наблюдается увеличение числа дыханий. Перед наступлением смерти в легких — застойные явления (влажные хрипы, притупления).

Со стороны нервной системы отмечается сильная головная боль, особенно выраженная в начальный период болезни. Этот симптом занимает первое место в жалобах больного. Наблюдается также головокружение, довольно часто — рвота (мозгового происхождения). Нередко больные жалуются на бессонницу. В тяжелых случаях наблюдается помрачение сознания и бред, иногда подергивания и судороги.

На коже изредка появляется геморрагическая сыпь (грудь, живот, спина, реже конечности) темно-красного, темно-бурого, иногда даже черного цвета («черная смерть») величиной от просяного зерна до двадцатикопеечной монеты. Иногда у больных отмечается желтушность кожи, которая появляется в конце острого периода болезни и держится несколько дней.

Бубонная форма чумы в некоторых случаях осложняется вторичной чумной пневмонией, иногда чумным менингитом; при генерализации процесса — вторичной септицемией. Продолжительность болезни — от нескольких дней до месяца и более. Летальность без лечения — от 30 до 90 %. При рано начатом антибактериальном и патогенетическом лечении смертельный исход наступает редко.

Ниже, по работе И. В. Страховича и В. И. Госа (1907), приводится история болезни и протокол вскрытия крестьянина Григория Тетерятникова, умершего от бубонной чумы 17.12.1901 г. через 7 сут после начала болезни. Случай интересен еще тем, что у Григория имел место патологический процесс в легких, однако клинически он не проявлялся, кашля и кровохаркания у него не было.

Григорий Тетерятников, 62 года. Заболел 10 декабря в доме Луки, куда он перешел после смерти Александры Тетерятниковой.

В первый день болезни; характерных явлений не замечается. Рвота, озноб, головная боль, температура 38,9 °C, пульс 86. Язык бледно-розового цвета совершенно чистый. Аппетит хороший. Самочувствие удовлетворительное. Сразу осунулся. Апатичное выражение лица. Железы в правом паху до лесного ореха. Область селезенки при пальпации несколько болезненна; вечером температура 39,8 °C, пульс 106.

11 декабря. Общее состояние хуже, язык покрыт серым густым налетом. Сильная жажда. Петехий нет. Железы в правом паху резко увеличены, доходя до голубиного яйца и образуя весьма болезненный продолговатый пакет, но кожа на нем не изменена. Моча выделяется свободно. Температура 39,5 °C, пульс 102, вечером температура 39,0 °C, пульс 112. Сонливое состояние весь день.

12 декабря явления те же. Больной на ногах. Утром температура 39,0 °C, пульс 112; вечером температура 39,2 °C, пульс 96.

13 декабря самочувствие хорошее, аппетит тоже, жалуется на болезненность в области бубона.

14 декабря температура 39,5 °C, пульс 94. Самочувствие удовлетворительное. Язык обложен густым серым налетом, вечером температура 39,0 °C, пульс 100.

15 декабря утром температура 39,5 °C, пульс 108. Язык чище. Самочувствие хуже. Отсутствие аппетита. Упадок сил увеличивается, пульс 122.

16 декабря температура 39,2 °C, пульс частый. Аппетит лучше. Инфильтрат на верхней трети правого бедра величиною в две ладони, красного цвета, крайне болезнен. На животе и бедрах многочисленные мелкие петехии. Конъюнктивы немного иктеричны, но не инъецированы. Полное сознание, аппетит хороший. Язык растрескавшийся, но чистый. Пульс еле ощутим и не сосчитывается.

17 декабря умер в 8 ч утра в полном сознании. Перед смертью вышел из избы, вернулся, напился чаю, потребовал варенья и умер. Вскрытие произведено 19 декабря, через 52 ч после смерти. Труп сохранялся при температуре ниже О °С.

Протокол вскрытия.

Труп ниже среднего роста, правильного телосложения, плохого питания. Кожа бледно-серого цвета. В правом паху находится напряженная припухлость, подымающаяся выше пупартовой связки и вниз спускающаяся до границы верхней и нижней трети бедра. На разрезе оказывается, что припухлость состоит из целого пакета увеличенных от боба до крупной сливы величиною лимфатических желез, спаянных отечной геморрагической клетчаткой. Железы сильно гиперемированы. При разрезе пакета желез из ткани вытекает серознокровянистая, слегка мутноватая, жидкость, и края разреза расходятся. Увеличенные железы, спаянные инфилырованною отечною тканью, находятся также и выше в правом забрюшинном пространстве. Положение органов грудной полости правильное. Сердечная сумка содержит небольшое (около 60 см3) количество серозной жидкости. Висцеральный и периэтальный листки сердечной сорочки блестящи, гладки. Экхимозов нет. Длина сердца 10,0 см, ширина — 11,5 см. Полость сердца содержит кровяные сгустки темно-красного и желтого цвета. Клапаны сердца без изменений. Эндокард блестящий, гладкий. Мышца сердца буро-красного цвета с ясным желтым оттенком, дрябла. Внутренняя поверхность аорты без изменений. Правое и левое легкое плотно приращены в нижних своих долях к реберной плевре. Бронхиальные железы увеличены справа, черного цвета. В плевральных полостях по столовой ложке серозной жидкости. Левое легкое гиперемировано, отечно, при разрезе вытекает кровянистая, пенистая жидкость. Никаких фокусов уплотнения не замечается. Правое легкое в верхней и средней доле повторяет картину левого легкого. Вся нижняя доля правого легкого уплотнена, на разрезе серо-желтого, а в верхней части более красного цвета. Кусочки тонут в воде. Положение органов грудной полости правильное. Брюшинный покров блестящий, гладкий.

В полости брюшины жидкости нет. Брыжеечные железы не увеличены. Селезенка имеет в длину 12,5, в ширину 3,5 и толщину 3,0 см. Капсула слегка утолщена, морщиниста. Паренхима дрябла, темно-красного цвета, легко соскабливается. Трабекулы не утолщены. Мальпигиевы тельца не ясно выступают. Поверхность печени ровная, гладкая; в одном месте находится узелок с булавочную головку белого цвета. Общая ширина 27 см, длина правой доли 19 см, левой 17,5 см, толщина правой 6 см, левой 4 см. Паренхима дрябла, тестовата, желто-бурого цвета, малокровна. В паренхиме такой же узелок, как и на поверхности; оба на разрезе хрустят, плотны, по-видимому, содержат известь. Левая почка: длина 12,5, ширина 6,5, толщина 4,0 см. Капсула снимается легко. Корковой слой слегка утолщен 10,8 см. Бертиньевы столбы припухли, пограничная линия сглажена. Пирамида, как и корковый слой, розового цвета с ясным серым оттенком. Правая почка: длина 12,0, ширина 6,0, толщина 4,0 см. Капсула местами снимается с паренхимой, на поверхности небольшая кисточка с серозным содержимым. В остальном походит на левую почку. Желудок растянут, складки сглажены, станки атрофичны. Кишечный канал особых изменений не представляет. Половые органы без изменений. Мочевой пузырь содержит прозрачную мочу, слизистую, бледного цвета, остальные органы вскрыты не были.

Первично-септическая форма. Развивается бурно после короткой инкубации, составляющей от нескольких часов до 1–2 сут. Больной ощущает озноб, резко повышается температура, появляются сильная головная боль, возбуждение, бред. Возможны признаки менингоэнцефалита. Развивается картина инфекционно-токсического шока, быстро наступает кома. Продолжительность заболевания — от нескольких часов до трех суток. Случаи выздоровления крайне редки. Больные погибают при явлениях тяжелейшей интоксикации и выраженного геморрагического синдрома, нарастающей сердечно-сосудистой и почечной недостаточности.

Иногда болезнь заканчивается смертью через несколько часов (молниеносная форма — pestis siderans). В этих редких случаях температура у заболевшего чумой человека почти не повышается. Болезнь протекает так быстро и бурно, что его организм не успевает или оказывается не в состоянии реагировать на инфекцию. Умерших людей часто находят в свободных позах, свидетельствующих об их внезапной смерти (например, с чашкой чая в руке).

Патологоанатомические изменения скудны и малоспецифичны.Наиболее выраженное изменение отмечалось в селезенке: резкое увеличение, иногда с очажками некроза. Наблюдались точечные кровоизлияния в слизистой кишечника и плевры. Диагноз септической чумы устанавливается бактериологическими исследованиями.

По работе D. A. Margolis et al. (2008) привожу описание атипичного случая первично-септической чумы, имевший место в Восточной Калифорнии в 2008 г. В отличие от типичных случаев септической чумы, когда больной в течение 1–3 сут погибает от инфекционно-токсического шока, в данном случае, благодаря интенсивной антибиотикотерапии и патогенетической терапии, жизнь пациентке удалось продлить до 10 сут. Однако исход болезни был предопределен еще на ее начальной стадии.

Пациентке 79 лет, проживала в сельской местности. В местную больницу поступила с температурой 38,2 °C, с пульсом 110/мин, АД 121/60 мм рт. ст. и насыщением крови кислородом 80 % в условиях воздуха помещения. Пациентка была возбуждена, ориентировалась только в отношения себя самой. Аускультация легких обнаружила хрипы на левой верхушке (left base), живот мягкий. Лимфоаденопатии не было. Неврологическое исследование показало отсутствие очаговых поражений со стороны ЦНС. Лейкоцитоз (46 тыс. клеток/л, 19 % из них — палочковые формы), ренальная дисфункция, высокий уровень трансаминаз и сывороточного креатина. Признаков поражения лимфатических узлов не было. Рентгенограмма грудной клетки интерпретирована лечащим врачом как свидетельствующая о левом нижнем ателектазе легкого (left lower lung atelectasis). Пациентке поставлен диагноз «пневмония» (community-acquired pneumonia, САР) и назначено лечение антибиотиками (цефтриаксолин, ампициллин/сульбактам, левофлоксацин).

Через 48 ч после назначения антибиотиков, стала нарастать почечная недостаточность (повышение уровня креатинина в сыворотке крови), появились ацидоз и тромбоцитопения (тромбоциты, 54 тыс. клеток/л). На 3 сут болезни больная была отправлена в академический центр госпиталя для дальнейшего наблюдения. Там ей потребовалась интубация и гемодинамическая поддержка. В этот же день из другого госпиталя поступил отчет о выделенной из ее крови культуры какой-то грамотрицательной палочки. Ее интерпретировали как контаминант. Уровень лактатдегидрогеназы был повышен. Сочетание клинических и лабораторных данных дало основание поставить диагноз — тромботическая тромбоцитопеническая пурпура (thrombotic thrombocytopenic purpura). Начат плазмафорез и плазмаобмен. На груди и верхних конечностях пациентки обнаружены участки некроза кожи с эритемой по краям (рис. 3.40).

Только на седьмые сутки болезни с помощью ПЦР были получены доказательства, что грамотрицательные палочки являются ни чем иным, как возбудителем чумы. Но к этому времени на отдельных пальцах у пациентки уже началась гангрена. Прогрессировала почечная недостаточность. Компьютерная томография брюшной полости показала билатеральный ренальный кортикальный некроз. Пациентка умерла от уремии на 10 сут пребывания в больнице.

Рис. 3.40. Кожные и внутриорганные повреждения при первично-септической чуме. А. Участок некротической кожи (чумной карбункул) с зоной гиперемии вокруг. Б. Гангрена пальцев. В, Г и Д. Дермальный некроз, острое воспаление и тромбоз небольших сосудов при отсутствии видимых микроорганизмов. Субдермальное расслоение кожи в участке некроза (увеличение в 200 раз). Е. Компьютерная томограмма брюшной полости, показывающая билатеральный ренальный кортикальный некроз. По D. A. Margolis et al. (2008)


После того, как диагноз «чума» был подтвержден ПЦР, на участке, прилегающем к дому умершей от чумы пациентки, проведено эпизоотическое исследование. Отловлены калифорнийские и антилоповые суслики (Spermophilus beecheyi, Ammospermophilus leucurus), с которых сняты блохи, инфицированные Y. pestis (по данным ПЦР). Среди калифорнийских сусликов обнаружены особи с высокими титрами антител к Y. pestis. Антитела к возбудителю чумы обнаружены и у собаки пациентки.

Вторично-септическая форма. Является осложнением других клинических форм чумной инфекции. Характеризуется исключительно тяжелым течением, наличием вторичных очагов, бубонов, выраженных проявлений геморрагического синдрома.

Развитие вторичной септицемии возможно при любой форме чумы. Прижизненная диагностика этой формы затруднена. Безошибочно поставить диагноз можно после обнаружения Y. pestis в тканях и жидкостях организма.

Клиника кожной формы чумы. Несмотря на то, что кожа является наиболее частым местом проникновения возбудителя чумы в организм человека, кожная форма чумы наблюдается редко. Обычно кожа на месте внедрения чумного микроба не дает воспалительной реакции[37].

При развитии кожной формы чумы наблюдаются следующие явления: на коже в месте поражения появляется красное пятно, очень болезненное, диаметром около 1 см, напоминающее след от укуса блохи. Вскоре это пятно приобретает багровую окраску, а через несколько часов приподнимается, вследствие накопления под ним жидкости. Жидкость эта почти сразу становится мутной от примеси гноя и крови, пятно превращается в пустулу. Вокруг пустулы имеется красная воспалительная зона (ранняя фликтена — phlyctaenae praematura). Величина пустулы колеблется от размеров горошины до вишни. Жидкость пустулы содержит значительное количество вирулентной Y. pestis. С течением времени пустула и окружающая ее зона увеличиваются в размерах и превращаются в чумной карбункул, очень болезненный, в особенности при надавливании (рис. 3.41).

На месте вскрывшейся пустулы образуется язва с инфильтрированным плотным дном желтоватого цвета. Язва покрывается темным струпом, который вместе с окружающей его темно-багровой зоной дает картину, весьма напоминающую сибирскую язву — pestis anthraeicus. Таким образом, основываясь лишь на одном наружном виде чумной пустулы, без лабораторного исследования пунктата, можно довольно легко впасть в диагностическую ошибку. Размеры язв при кожной форме чумы бывают различными — от монетки до ладони взрослого человека.

Рис. 3.41. Кожная форма чумы. А. Язва. Б. Пустула. По Г. П. Рудневу (1938)


Первичных пустул и первичных карбункулов может быть несколько, причем они появляются одновременно в различных местах внедрения инфекции, т. е. в местах укуса зараженных блох. Помимо первичных, встречаются вторичные пустулы и карбункулы. Они могут наблюдаться при разных формах чумы и обычно появляются в разгар болезни или в конце ее.

Общие клинические явления при чисто кожной форме чумы такие же, как и при легких или средних по тяжести случаях бубонной чумы. Очень часто кожная форма чумы осложняется воспалительным процессом в регионарном лимфатическом узле. Нередко это осложнение наступает очень быстро, так что у больного, поступившего в госпиталь, наблюдается и первичное поражение на коже, и бубон. Последний беспокоит больше, чем первичное кожное поражение: обычно больной больше жалуется на бубон, чем на кожное поражение, а нередко и совсем не упоминает о нем. Последнее обстоятельство заставляет врача при наличии бубона тщательно искать на коже входные ворота инфекции. Осложненная бубоном кожная форма чумы носит название кожно-бубонной формы.

Кишечная форма чумы. Главным признаком кишечной формы чумы является частый понос (до 40 раз в сутки), нередко с обильной примесью слизи и крови. Дефекация сопровождается болезненными тенезмами. Тошнота, нередко многократная рвота. Все эти симптомы сопровождаются высокой температурой и прочими признаками, свойственными другим формам чумы.

Существование первичной кишечной формы чумы в настоящее время оспаривается рядом авторов. Однако при обнаружении в энзоотических районах или вблизи них таких больных, у которых наблюдаются кишечные явления невыясненного происхождения, необходимо помнить о чуме и провести тщательное клиническое обследование больного, а также бактериологическое исследование испражнений и рвотных масс.

Легочная форма чумы. Чаще всего первичная легочная чума развивается в результате капельной инфекции. Входными воротами при легочной форме чумы могут быть миндалины, слизистая трахеи и бронхов, откуда возбудитель чумы гематогенным путем попадает в перибронхиальные лимфатические узлы.

Первичная чумная пневмония начинается внезапно: у заболевшего появляется озноб, сильная головная боль, температура быстро повышается. Часто наблюдается неоднократная рвота. Затем появляются тахикардия, боли в груди и сильная одышка. Кашель в первые дни может отсутствовать, но иногда он появляется и в самом начале болезни. Кашель сначала редкий и сухой, затем с мокротой. Мокроты обычно бывает очень много, иногда же она совсем отсутствует. В начале болезни мокрота не характерна для чумной пневмонии; затем к ней примешивается кровь, и она становится розовой или красной. Мокрота содержит обычно большое количество чумных бактерий. Иногда она имеет ржавый вид, а изредка наблюдается даже обильное кровохарканье. Эти симптомы дают повод к смешению легочной чумы с крупозной пневмонией и туберкулезом легких. При объективном исследовании легких в начале болезни характерных признаков чумы обнаружить не удается. Позже дыхание учащается до 24–32 и более раз в минуту, а при выслушивании отмечаются разбросанные сухие, иногда влажные хрипы, число которых в процессе болезни увеличивается.

При перкуссии места притупления или разбросаны, или как бы совпадают с границами доли легкого. По мере развития болезни площадь притупления увеличивается, так как процесс захватывает соседние доли.

Данные объективного клинического и рентгенологического исследования легких не дают возможности дифференцировать первичную чумную пневмонию от пневмоний, вызванных другой инфекцией (пневмококк, стрептококки пр.) (рис. 3.42).

Рис. 3.42. Рентгенологическое исследование грудной клетки больной с первичной легочной чумой. Серия фронтальных рентгеновских снимков, сделанных на 2, 3 и 18 сут болезни. Показывает двустороннюю мультилобулярную пневмонию, сопровождающуюся двухсторонним плевритом (двустороннее затемнение легочной ткани преимущественно в нижних отделах легких с двусторонними плевральными выпотами, без признаков хиларной или медиастинальной лимфаденопатии). Больная получала внутривенно хлорамфеникол и перорально доксициклин. По Е. М. Begier et al. (2004)


Иногда в конце болезни, реже в середине ее, на коже появляется геморрагическая сыпь темно-красного или даже черного цвета. Продолжительность болезни в среднем 2–4 сут, иногда до 6–7 сут и дольше. В прошлом все заболевшие легочной формой чумы погибали. В настоящее время в связи с применением для лечения чумы стрептомицина почти все заболевшие первичной легочной формой чумы выздоравливают.

Первичный пневмонический очаг при легочной чуме при правильном лечении антибиотиками может рассасываться бесследно. Если лечение начато по истечении 12 ч и более от начала температурной реакции, то развитие первичного пневмонического очага происходит более активно. Поражение легких при этом более обширно, иногда процесс успевает распространиться на другое легкое. Тем не менее и в этом случае больного еще можно спасти.

Температурная кривая у больных с легочной чумой не имеет четкой картины трех волн, как это наблюдается при раннем начале лечения. Температура во время ремиссий вообще может не достигать нормы. Начиная с 5—10 сут, она изобилует многочисленными подъемами на фоне общего суточного снижения температуры. Специфический процесс иногда затягивается на месяц и более. В процессе выздоровления часто наблюдаются абсцессы в легких и бронхоэктазии. Своевременное применение антибиотиков и в этих случаях ведет к благополучному исходу указанных осложнений.

Клиническая картина первичной легочной чумы у людей, леченных стрептомицином, имеет свои особенности, которые затрудняют диагностику болезни. Если же принять во внимание, что уже через несколько часов после начала лечения количество микробов в мокроте резко падает и выделить их затруднительно, то в некоторых случаях бывает очень трудно поставить правильный диагноз болезни, в особенности у контактировавших и подвергшихся лечению (с целью профилактики) до проявления болезненных симптомов. Определить появление новых очагов в корневых лимфатических узлах и образование абсцессов и бронхоэктазов тоже затруднительно. Все это устанавливается главным образом на основании рентгенологического исследования и клинических симптомов.

Чума у вакцинированных больных. Характеризуется удлинением инкубационного периода до 10 сут и замедлением развития инфекционного процесса. В течение 1–2 сут заболевания лихорадка субфебрильная, общая интоксикация выражена нерезко, состояние больных удовлетворительное. Бубон небольших размеров, без выраженных проявлений периаденита. Однако симптом резкой болезненности бубона всегда сохраняется. Если эти больные в течение 3–4 сут не получают лечение антибиотиками, то дальнейшее развитие болезни ничем не будет отличаться от клинических симптомов у невакцинированных больных.

Патоморфологические признаки легочной чумы при инфицировании в эпидемических цепочках. По данным вскрытий 70 человек, умерших от чумы в Харбине в 1910–1911 гг., Г. С. Кулеша (1912) нашел, что визуально на слизистых зева, дыхательного горла и бронхов удается обнаружить лишь катаральные поражения. Только в одном случае в дыхательном горле наблюдались фибринозные пленки, содержащие огромное количество Y. pestis. Однако при микроскопическом исследовании он обнаружил в тканях миндалин массовые скопления чумных палочек, особенно под самым эпителием. Поражения эпителия в таких местах иногда напоминали кожные пустулы, причем в многослойном эпителии образовывались ровной величины полости, содержащие белые кровяные тельца и чумные палочки, а подлежащая ткань миндалины густо инфильтрировалась чумными палочками и круглыми клетками. Кулеша находил массовые скопления чумных бактерий и в лимфоидной ткани миндалины в глубине органа, а также в просветах кровеносных сосудов, где нередко наблюдалось образование тромбов, содержащих чумные палочки. В некоторых случаях ему удавалось заметить, что миндалины также служат местом проникновения осложняющей течение чумы посторонней микрофлоры: ему встречались участки тканей, наполненные чумными палочками и цепочками стрептококков.

Слизистая оболочка дыхательного горла и бронхов также оказывалась значительно измененной. Эпителий и подслизистая ткань были «пропитаны» чумными палочками, которые в цилиндрических клетках эпителия образовывали яйцевидные скопления, а в подслизистых поверхностях отлагались в больших количествах и простирались вглубь, почти до самых хрящей, окружая кровеносные сосуды и прорастая в их стенки. Эти скопления чумных палочек располагались также вокруг глубоко лежащих лимфатических желез. Им сопутствовали кровоизлияния и мелкоклеточная инфильтрация в пораженной ткани, причем воспалительная инфильтрация редко была выражена особенно резко. Поражения дыхательного горла и бронхов не имели разлитого распространения, встречались очагами и в отдельных случаях были выражены различно, иногда их не было вообще. Поражения бронхиальных лимфатических узлов носили характер первичных бубонов, но разрастание Y. pestis в них не всегда простиралось за пределы сумки пораженного лимфатического узла, периаденитов практически не было. В некоторых случаях разрастания чумных палочек в ткани лимфатических узлов приобретали своеобразный вид, и при рассмотрении в бинокулярную лупу они напоминали по рисунку кожные лишаи.

В легких Кулеша всегда наблюдал долевую (лобулярную) форму воспаления, которая, по его мнению, свойственна эпидемической легочной чуме. Пораженными оказывались то одна, то несколько долей легких. Одна доля была поражена 35 раз, несколько долей — 29 раз, без поражения легких было 4 случая. Верхняя правая доля была поражена 30 раз, верхняя левая доля — 22 раза, нижняя правая — 18 раз, нижняя левая — 20 раз, средняя доля — 10 раз. Таким образом, верхние доли были поражены 52 раза, а нижние — 38 раз (на 70 исследованных случаев). Пораженной всегда оказывалась плевра, на которой обычно наблюдался нежный фибринозный налет. В 2-х случаях поражение легких сопровождалось сывороточно-фибринозным выпотом в соответствующую область плевры. Пораженные доли легких обычно были менее объемисты, чем при фибринозной пневмонии, и на разрезе не обнаруживали свойственные последней зернистости. Разрез был более или менее гладкий, что зависело от отсутствия фибрина в выпоте альвеол. Так называемое опеченение в большинстве случаев было отчетливым, и вырезанные кусочки тканей тонули в воде. По давности опеченения, в нем можно было увидеть серую и красную стадии. В светлых воспаленных участках, соответствующих красному опеченению, выпот в альвеолах состоял из сывороточной, не содержащей нитей фибрина, жидкости, в которой в огромных количествах лежали Y. pestis и эритроциты. Другие же клеточные элементы (клетки эпителия альвеол и лейкоциты) встречались обычно в ограниченном количестве. Иногда скопления Y. pestis достигали огромных количеств, включенные в эти массы клетки тесно не смешивались с ними, а располагались в особых просветах, как бы в сумках; фагоцитоза не наблюдалось.

В стадии серого опеченения состав выпота изменялся. В полость альвеолы происходила энергичная инфильтрация белых кровяных телец (лейкоцитов), причем количество Y. pestis в альвеолах резко уменьшалось, они постепенно исчезали, и альвеолы, в конце концов, оказывались заполненными почти одними лейкоцитами. В этой стадии воспаления, по-видимому, его обычным исходом было токсическое омертвение ткани, что наблюдалось под микроскопом почти в каждом исследованном случае. Омертвение сопровождалось часто обширными кровоизлияниями. Кулеша обратил внимание на то, что Y. pestis не равномерно распределялись в легочной ткани и что по большей части они скапливались в ближайшей окружности кровеносных сосудов, и последние (чаще всего вены) на препаратах, окрашенные синькой, представлялись окруженными мощными синими кольцами. Подобные же скопления Y. pestis замечались в перибронхиальной ткани и вокруг перибронхиальных кровеносных сосудов. Такие же скопления наблюдались под плеврой: как «синие реки», стекались лимфатические полосы, заполненные Y. pestis. Их в больших количествах находили и в других кровеносных и лимфатических сосудах.

Кулеша в 1912 г. не пришел к окончательному выводу, считать ли найденные им изменения слизистых поверхностей первичными или вторичными, посчитав, что окончательно характер этих явлений поможет установить только эксперимент. Однако он предположил, что для первичной легочной чумы в эпидемических очагах характерны следующие патологоанатомические явления:

1) чумные палочки могут в нескольких случаях проникать в организм уже из полости рта, вызывая специфическое поражение миндалин, или со слизистой оболочки трахеи и бронхов путем массового прорастания их сквозь неповрежденный эпителий. Легкие поражаются в таких случаях вторично через кровь либо вследствие развития нисходящего бронхита;

2) при своем эпидемическом распространении легочная чума вызывает преимущественно долевую пневмонию, правильнее плевропневмонию ввиду постоянного участия плевры. Эта чумная пневмония представляет большое сходство с фибринозной, отличаясь от нее главным образом отсутствием фибрина в выпоте.

В 1913 г., во время чумной вспышки в Уральской области, Кулеша (1924) произвел вскрытия 7 человек, умерших от легочной чумы, из которых четверо было взрослых и трое детей в возрасте от 3 до 10 лет, и получил те же результаты, что и 3 года назад в Харбине.

На слизистых оболочках при легочной чуме невооруженным глазом никаких изменений выявлено не было, кроме явлений острого катара на слизистых оболочках гортани, трахеи и бронхов, зева, полости носа и конъюнктив. Тщательная микроскопия слизистых оболочек носа и конъюнктив не дали положительных результатов в смысле нахождения свойственных только чуме поражений. В миндалинах, в слизистой трахеи и крупных бронхов при изучении их под микроскопом Кулеше вновь удалось обнаружить изменения, аналогичные тем, которые описаны им во время Маньчжурской чумы.

В эпителиальном покрове трахеи и крупных бронхов входными воротами для чумной инфекций служили главным образом бокаловидные клетки, в которых появлялись овальные или яйцевидные тела, состоящие из множества чумных палочек.

Кроме того, им замечались непрерывные тяжи Y. pestis, расположенные между эпителиальными клетками. В дальнейшем эпителиальный покров омертвевал и отслаивался, а на его месте оставался только базальный слой, по большей части также в состоянии некроза. В то же время в под слизистой ткани возникало колоссальное скопление Y. pestis, образующих сплошную подстилку эпителия и совершенно замещающих собой подлежащую ткань. Хорошо видимыми оставались только кровеносные сосуды с их кровью, включенные в эти сплошные бациллярные массы.

Из семи исследованных случаев, в одном случае найдено было только поражение миндалин и в четырех случаях поражение миндалин, трахеи и крупных бронхов.

Кулеша отметил две отличительные черты, свойственные описываемым поражениям. Первая состоит в том, что в большинстве случаев огромные отложения чумных бацилл в тканях не сопровождаются резкой реакцией со стороны последних, где видны, бывают только слабовыраженная круглоклеточная инфильтрация, незначительные кровоизлияния и более или менее явственный некроз. Вторая сказывается тем, что почти во всех мелких кровеносных сосудах, располагающихся в очагах скопления Y. pestis, замечается их обильное проникновение в эти сосуды (капилляры и мелкие вены) из окружности. Примесь Y. pestis к крови наблюдается главным образом только в сосудах, проходящих через бациллярные очаги, тогда как в подобных же сосудах, лежащих вне названных очагов, обнаружить присутствие бацилл среди элементов крови удается во много раз реже и труднее.

Последняя находка послужила ему фактическим подтверждением предположения о гематогенном происхождении чумной пневмонии, которая не только может возникать как воздушно-капельная инфекция, но появляется и в таких случаях, где об ингаляции не может быть и речи. К случаям воздушно-капельного происхождения легочной чумы Г. С. Кулеша относил лабораторную чуму, поражающую научных работников во время экспериментов с Y. pestis, а также заболевания, проявляющиеся:

1) в начале эпидемии, как ее исходные случаи, например, у охотников за тарбаганами, у лиц, соприкасающихся с мясом зараженных чумой верблюдов;

2) возникающие уже в период разгара эпидемии (например, случай, описанный Р. А. Будбергом, см. выше рис. 3.35).

К случаям же воздушно-капельного заражения человека Г. С. Кулеша отнес те, когда возбудитель чумы, находясь в воздухе в виде капельной инфекции, оседает при вдохе не в самой легочной ткани, а на слизистых оболочках рта, глотки, трахеи и крупных бронхов. Такого рода оседание Y. pestis неизбежно ведет к легочной чуме, но не прямо, а через посредство первичного поражения миндалин, слизистой трахеи и бронхов, причем чумная инфекция транспортируется в легкие уже не через воздух, а при помощи крови, т. е. гематогенно. Понятно, что заболевания такого происхождения возможны лишь при наличии больных легочной чумой, заражающих своим кашлем окружающий их воздух и обусловливающих нахождение в нем капельной инфекции. Мнение, что поражение чумой миндалин ведет не к легочной чуме, а обязательно к появлению чумных бубонов на шее, Кулеша считал неправильным, так как во всех случаях, где он установил путем микроскопического исследования наличие описанных выше чумных поражений миндалин, чумные бубоны на шее отсутствовали.

Моделирование искусственного заражения Y. pestis. Ситуация искусственного заражения Y. pestis многократно моделировалась в результате несчастных случаев, произошедших при работе с возбудителем чумы и в опытах на животных.

Подкожное инфицирование. Возможно в случае умышленного заражения инъекционным путем. По данным М. Finegoldet al. (1968), в участке введения возбудителя чумы у экспериментального животного наблюдался некроз подкожной клетчатки. Клиника болезни при подкожном инфицировании возбудителем чумы мало отличается от клиники бубонной чумы. Разница в том, что если при бубонной чуме чаще всего основным признаком болезни будет бубон в паховой области (блохи обычно пьют кровь у человека в области нижних конечностей), то при подкожном инфицировании он развивается в группе лимфатических узлов, ближайшей к участку инфицирования.

Энтеральное инфицирование. Возможно, при намеренном подмешивании в пищу возбудителя чумы. Клиника чумы при таком пути проникновения Y. pestis в организм человека напоминает нисходящую бронхопневмонию, описанную Г. С. Кулешей. В качестве примера рассмотрим случай, имевший место в феврале 1907 г. в Кронштадте на форту «Александр I» (Берестнев Н. М., 1907).

12 февраля 1907 г. доктор М. Ф. Шрейбер собирал эмульсии Y. pestis с агаровых разводок и, случайно набрав много эмульсии чумных бацилл в пипетку, замочил вату; при этом какое-то количество клеток Y. pestis попало ему в рот. Шрейбер промыл ротовую полость сулемой, но никому о происшедшем не рассказал и сыворотки себе не ввел.

14 февраля вечером Шрейбер почувствовал общее недомогание, озноб, ломоту в ногах, небольшой насморк, отсутствие аппетита, в 9 ч вечера температура была 39,4 °C. Ночью появилось колотье в правом боку и небольшой кашель без мокроты. На утро температура была 39,1 °C, общее самочувствие удовлетворительное, колотье в боку больной относил к мышечным болям. В 11 ч утра он в присутствии заведующего чумной лабораторией на форте, Н. М. Берестнева, легко выделил в стерилизованную чашку Петри плевок слизисто-гнойной кровавой мокроты. При перкуссии грудной клетки справа сзади в области лопатки было отмечено небольшое притупление, при выслушивании — легкое ослабление дыхания и единичные сухие хрипы. После исследования мокроты, в которой оказалось громадное количество овальных микробов с полюсной окраской, не красившихся по Граму, в чумном характере заболевания не было сомнения. Ему было введено 80 мл3 сыворотки. Температура вечером 39,8 °C, пульс 140/мин; дыхание утром и днем 28/мин; вечером 34/мин. Кашель днем усилился, обильная кровянисто-гнойная мокрота отделялась довольно легко. К вечеру, в связи с высокой температурой, одышкой и слабостью сердца, общее состояние и самочувствие ухудшились. Объективные явления со стороны легких за день без особых перемен; притупление в области лопатки и спереди в области грудной мышцы более выражено. К вечеру справа спереди появились влажные средне- и мелкопузырчатые хрипы.

16 февраля днем сильный кашель, обильная мокрота с меньшим содержанием крови в первую половину дня. Больной очень ослабел, пульс 120–130/мин; появились клокочущие хрипы, мокрота стала жиже и пенистой, количество мокроты значительно увеличилось; кофеин и камфора под кожу, но явления слабости сердца и отек легких тем не менее усилились. При выслушивании в правом легком в верхней доле больше влажных хрипов, появились хрипы в нижней доле левого легкого. Дыхание в верхней доле правого легкого с бронхиальным оттенком, притупление звука небольшое. Сознание полное.

Ночь на 17 февраля Шрейбер провел без сна, был возбужден, ослабел настолько, что был не в состоянии отплевывать мокроту в ведро с сулемой. Появилась синюха на концах пальцев. Днем температура снова поднялась до 39,9 °C, кашель и одышка усилились, масса жидкой кровянистой мокроты. Днем больной не отпускал своих коллег от себя, много говорил и был в полном сознании; в 11,5 часов ночи наступила смерть при явлениях отека легких и паралича сердца.

Чумная инфекция у Шрейбера сопровождалась поражением почек, мочи за сутки было около 500–300 см3 с большим количеством белка. Белок появился в моче 15 февраля, причем количество его с каждым днем увеличивалось. Жидкие, довольно обильные испражнения, были 16-го утром и 17-го днем.

На вскрытии найдено следующее: оба легких плотно сращены с ребрами и диафрагмой, плевра на обоих легких фиброзно утолщена особенно на местах отпечатков ребер. Явлений старого фиброзного плеврита не заметно лишь на передних краях легких, которые были резко эмфизематозны. На плевре переднего края верхней доли правого легкого несколько точечных кровоизлияний и по местам нежные фибринозные отложения.

Правое легкое: верхняя его доля, за исключением переднего края, занята сплошным пневмоническим фокусом красно-серого цвета. Поверхность разреза имеет мраморный вид, серый цвет чередуется с красным, в некоторых дольках особенно резко выражены кровоизлияния. Кровоизлияния в легком в его периферических частях по местам заметны через утолщенную плевру. Передняя часть верхней правой доли отечна, гиперемирована, пронизана кровоизлияниями, в ней находится несколько бронхо-пневмонических фокусов красновато-серого цвета величиною от горошины до лесного ореха.

С поверхности разреза верхней доли соскабливается много довольно жидкого слизистого красновато-серого сока. Средняя и нижняя доля этого легкого сильно отечны и гиперемированы.

Левое легкое отечно, в его нижней доле, пронизанной кровоизлияниями, несколько мелких бронхопневмонических фокусов, таких же, какие найдены в передней части верхней доли правого легкого. В крупных бронхах, особенно в правом легком, кровянистая слизисто-гнойная пенистая мокрота. Бронхиальные железы с крупный лесной орех величиной пронизаны кровоизлияниями.

Сердце увеличено раза в полтора, перикардий без изменений, в его полости столовая ложка прозрачной серозной жидкости. Мускулатура сердца буро-красного цвета с сальным блеском, в папиллярных мышцах тонкие продольные полосы желтого цвета жирно-перерожденных волокон. Клапаны аорты слегка склерозированы, в дуге аорты рассеяны мелкие склеротические бляшки.

Печень увеличена раза в полтора, довольно плотная, резко застойная, желтоватого цвета. Правая доля печени в виде купола сильно вдается в грудную полость, на ее поверхности замечается некротический участок неправильной четырехугольной формы.

Селезенка буро-красного цвета, увеличена раза в два, довольно плотная, пульпа соскабливается в небольшом количестве.

Почки увеличены в размере, беловато-желтого цвета. Корковый слой утолщен, мелкие вены переполнены кровью. Капсула снимается легко; в лоханках кровоизлияний нет. Мочевой пузырь содержит небольшое количество мочи, на поверхности слизистой оболочки пузыря несколько точечных кровоизлияний. Предстательная железа без изменений.

Обе миндалины сине-красного цвета, несколько увеличены. Лимфатические железы под челюстью и на шее увеличены очень незначительно. В желудке небольшое количество жидкого содержимого и кровянистой мокроты. Слизистая оболочка его слегка набухла. В тонких кишках немного жидкого содержимого желтоватого цвета. Брыжеечные железы в норме.

Полость черепа: черепная крышка толще раза в 1,5 нормальной. Тонкие мозговые оболочки фиброзно утолщены, особенно по ходу сосудов, под ними значительное количество прозрачной отечной жидкости. Сосуды основания мозга без изменений. В боковых желудках около 2 столовых ложек прозрачной, серозной жидкости в каждом. Мозг застоен, отечен.

На срезах, окрашенных полихромной синькой и водным эозином, было найдено следующее: в легких — правое легкое, верхняя доля (главный первичный пневмонический фокус): типичная картина чумной пневмонии. Многие альвеолы почти сплошь выполнены массами чумного микроба, таких альвеол особенно много было под плеврой, в других преобладал клеточный экссудат; и в них находились чумные палочки, разбросанные между клетками экссудата; по местам альвеолы были выполнены кровью; в некоторых альвеолах наблюдались одновременно кучки чумных микробов, клеточный экссудат и кровоизлияния. Сосуды в альвеолярных стенках резко гиперемированы; некоторые альвеолы были разорваны излившейся кровью. На срезах, окрашенных по Граму и по Weigerte'y с дополнительной окраской пикрокармином, не было констатировано ни микробов, красящихся по Граму, ни нитей фибрина. Такая же микроскопическая картина, в общем, наблюдалась и в небольших бронхопневмонических фокусах нижней доли левого легкого. Бронхиальные железы резко гиперемированы, пронизаны кровоизлияниями и содержали массы микробов, которые в виде причудливых сплошных тяжей пронизывали железу во всех направлениях, особенно много микробов было в корковом слое желез. Миндалевидные железы сильно гиперемированы, но не имели вида первичного чумного бубона, в фолликулярном аппарате их находились лишь кое-где отдельные короткие бациллы, не окрашивающиеся по Граму, зато в складках слизистой оболочки встречались лимфатические сосуды, сплошь набитые палочковидными микробами, не окрашивавшимися по Граму, по всей вероятности, чумными. На основании этой микроскопической картины можно заключить, что миндалины не представляли первичного места внедрения чумного бацилла и что они лишь реагировали на заразное начало, выделяемое из легких с мокротою.

В печени на срезах возбудитель чумы не удалось обнаружить. Печеночные клетки были жирно перерождены. Вены печени были переполнены кровью. В почках найдена картина резко выраженного паренхиматозного нефрита, нигде в сосудах (в клубочках) микроорганизмов не было найдено. В сердечной мышце на срезах видно перерождение мышечных волоконец и отложение бурого пигмента. В папилярных мышцах полному жировому перерождению были подвергнуты тяжи волоконец, что резко бросалось в глаза при наружном осмотре сердца.

Вскрытие подтвердило прижизненную диагностику первичной чумной пневмонии, осложненной паренхиматозным нефритом и паренхиматозным и жировым перерождением печени и сердца.

Инфицирование мелкодисперсным аэрозолем. Возможно в случае применения террористами специальных рецептуру возбудителя чумы. Поражения мелкодисперсными аэрозолями смоделированы в опытах на животных. Приоритет в таких исследованиях принадлежит русскому ученому В. И. Госу (см. разд. 1.5). Впоследствии его данные, полученные на мышах, были многократно воспроизведены западными исследователями с использованием других животных, включая приматов. Ниже я приведу их в сравнении с более поздними и детализирующими данными М. J. Finegola (1968), полученными на макаках-резус (Масаса mulatta).

По данным В. И. Госа, воспалительные изменения в альвеолах и бронхах на начальной стадии развития инфекции у мышей (до 12 ч) были незначительны. Реакция со стороны бронхов выражалась в основном в усилении секреции слизистой оболочки и некотором перибронхиальном скоплении лейкоцитов. Альвеолярная ткань только кое-где давала более или менее отчетливую картину воспаления (присутствие в альвеолах более значительного числа клеток, состоящих из спущенного эпителия и белых кровяных телец).

М. J. Finegola обнаружил, что на этой стадии инфекции у макак каких-либо клинических признаков инфекции не наблюдалось. Животные казались внешне здоровыми. В легких обезьян при макро- и микроскопическом исследовании не выявлено патологических изменений. У части животных отмечали повышение температуры до 40,0—40,5 °C между 60 и 72 ч и незначительное тахипноэ (60–70 дыханий/мин). В других отношениях они были клинически здоровы без каких-либо признаков апатии или потери аппетита. Но при аутопсии соотношение веса легкого и веса тела одного из животных, превышало среднюю нормальную величину, что свидетельствовало о начавшемся отеке альвеол. В срезах тканей периферических бронхов, бронхиол, альвеол, венул, вен и лимфатических сосудов ни микроорганизмов, ни структурных изменений в этот период обнаружено не было даже с использованием электронно-микроскопического исследования.

В дальнейших стадиях воспаления (24, 48 и 72 ч после инфицирования животного)

В. И. Гос обнаружил, что воспалительные явления нарастали не одинаково. Расширение кровеносных сосудов достигало значительной степени. Благодаря расширенным капиллярам, границы альвеол резко выступали (особенно при дополнительной окраске эозином). Через 24 ч был заметен очаговый характер воспаления. В экссудате альвеол кое-где наблюдалась значительная примесь красных кровяных телец. В отдельных участках легочной ткани образовывались мельчайшие геморрагии. Скопления лейкоцитов вокруг сосудов продолжали увеличиваться, тогда как лимфатические узелки паренхимы легкого оставались в том же виде, как через 12 ч после заражения. В бронхах же воспалительные явления прогрессировали очень незначительно (24 ч). Тяжесть течения болезни не соответствовала тяжести поражения легких.

У каждой из 4 обезьян, забитых через 72 и 96 ч, М. J. Finegola так же отмечал пневмонию, причем у одной из, них, забитой через 72 ч, наиболее обширная пневмония представляла собой сливные очаги серого опеченения правой нижней доли с центральным разжиженным некрозом этого участка; лежащая над ним плевра была тусклой и непрозрачной с геморрагическими очагами. В левой верхней доле легкого этой обезьяны обнаружили участок с повышенной плотностью и избыточным содержанием жидкости. Аналогичные очаги, сходные с ранними признаками долевой пневмонии, отмечали еще у 3 животных.

По данным В. И. Госа, с наибольшей интенсивностью при поражении аэрозолем чумы процесс воспаления шел в альвеолах. Группы альвеол образовывали воспалительные узелки, которые постепенно распространялись на все большие участки легкого, сливаясь между собой и давая пеструю картину воспаления (48 ч). Рядом с группой альвеол, теряющей уже альвеолярную структуру, попадались альвеолы с начальными явлениями воспаления. В местах их наибольшего воспаления особенно ясно выступала разница в степени воспаления альвеолярной ткани и бронхов: среди резко измененных альвеол, переполненных экссудатом, выступали просветы бронхов и бронхиол с едва измененным эпителием и незначительным количеством экссудата (48 ч).

Через 72 ч явления воспаления становились еще резче. Очаги воспаления увеличивались, попадались узелки, распространяющиеся на протяжении 10–20 альвеол в диаметре, причем форма их разнообразная, то округлая, то продолговатая или неправильно угловатая. Но встречались и явления, не наблюдаемые ранее. Экссудат, заключенный в альвеолах, кое-где принимал диффузную бледную окраску гематоксилином, содержал мало форменных элементов крови. Местами тянулись полосы неправильной формы таких диффузно-окрашенных масс, т. е. наблюдалось явление нарастающего отека. Во многих местах легкого были заметны капиллярные геморрагии, в экссудате альвеол примеси крови. Соединительная ткань, окружающая бронхи и сосуды, не принимала активного участия в процессе воспаления. Ее клетки всюду сохраняли свой вид. Среди воспалительных фокусов встречались бронхи до альвеолярных ходов включительно, в которых воспалительные явления ничтожны и которые совершенно не содержали экссудата.

М. J. Finegola, также как и В. И. Гос, обнаружил обширные альвеолярные отеки, содержащие огромное количество микробных клеток и вариабельной лейкоцитарной инфильтрациеи перегородок и альвеол (рис. 3.43, А и Б).

В некоторых участках альвеолярных перегородок капилляры содержали очень незначительное количество полиморфноядерных нейтрофилов, но на других участках, отдельные альвеолы были заполнены этими клетками. Первоначально в стенках альвеол никаких изменений не было обнаружено, но после исследования электронных микрофотографий появилась возможность с помощью световой микроскопии установить наличие подэпителиальных пузырьков на участках отека (рис. 3.43, В).

Подэпителиальные пузырьки представляли собой круглые возвышения стенки альвеол диаметром 7—12 мкм, содержащие эозинофильную жидкость. Их природу можно было установить только с помощью электронного микроскопа. Периваскулярные и перибронхиальные лимфатические сосуды вблизи ранних поражений оказались растянутыми в результате заполнения жидкостью. Кроме подэпителиальных пузырьков альвеол характерными признаками, прогрессирующей чумной долевой пневмонии, вызванной мелкодисперсным аэрозолем Y. pestis, на гистологии являются: альвеолярные уплотнения (по В. И. Госу, «воспалительные узелки»), вызванные миграцией полиморфноядерных нейтрофилов и небольшого количества одноядерных клеток; обширная инфильтрация перегородок и междольчатой, перибронхиальной и периваскулярной соединительной ткани этими же клетками; значительный рост чумных палочек в альвеолах и лимфатических сосудах; очаги воспаления и некроза эпителия бронхиол. В центрах сливных участков пневмонии отмечали значительные геморрагии и очаговый некроз альвеолярных перегородок (рис. 3.43, Г).

Срезы участков альвеолярного отека, обнаруженного при световой, микроскопии, выявили обилие чумных палочек внутри альвеол, однако непосредственно в тканях ни одного чумного микроорганизма отмечено не было. При микроскопии выявлялось много участков без каких-либо морфологических изменений, несмотря на наличие микроорганизмов (рис. 3.44, А).

По мере развития пневмонии интерстициальный отек становился более обширным и распространялся от околостволовой зоны на тонкие участки альвеолярных перегородок.

Рис. 3.43. Патоморфологические изменения в легком обезьяны, пораженной мелкодисперсным аэрозолем возбудителя чумы, различаемые с помощью оптического микроскопа. А. Легочный отек. Адвентиция вены, перивискулярные лимфатические сосуды и многие альвеолы растянуты эозинофильной жидкостью. Заметна лейкоцитарная инфильтрация и очаговое кровоизлияние (эритроциты). Окраска гематоксилин-эозином. Увеличение в 68 раз. Б. Ранняя лобулярная пневмония. Альвеолы и альвеолярные ходы заполнены эозинофильной жидкостью, содержащей большое количество Y. pestis, Лейкоциты обнаружены в умеренных количествах в перегородках и альвеолах. Перегородки интактны. Окраска гематоксилин-эозином. Увеличение в 210 раз. В. Эпителиальные пузырьки. Два заполненных жидкостью пузырька выступают внутрь альвеол из перегородки. Интерстициальная локализация жидкости заметна при электронной микроскопии. Окраска гематоксилин-эозином. Увеличение в 500 раз. Г. Некротизирующая пневмония. Структура альвеол стерта. Имеет местоогромное количество нейтрофилов, в периваскулярных лимфатических сосудах заметны скопления Y. pestis. Окраска гематоксилин-эозином. Увеличение в 210 раз. По М. J. Finegola (1968)

Рис. 3.44. Патоморфологические изменения в легком обезьяны, пораженной мелкодисперсным аэрозолем возбудителя чумы, различаемые с помощью электронного микроскопа. А. Несколько Y. pestis находится внутри альвеолы около перегородки, которая выглядит интактной. Увеличение в 9000 раз. Б. Миграция лейкоцитов. Пространство (стрелки) в капилляре альвеолярной перегородки занято моноцитом, часть которого остается в просвете капилляра, тогда как другая его часть находится в интерстициальном пространстве. Частицы угля, введенные внутривенно, сопровождают лейкоциты вследствие повреждения эндотелия. Увеличение в 16100 раз. По М. J. Finegola (1968)


В эндотелии капилляров обнаружили незначительные очаговые цитоплазматические изменения на участках отека. Прогрессирующее поражение эндотелия наблюдали на участках некроза, где были вовлечены все элементы ткани. Эти изменения представляли собой набухание клеток, помутнение материала цитоплазмы, образование вакуолей митохондрий и деструкцию клеточных оболочек.

С помощью светового и электронного микроскопов на некоторых участках отмечали экстравазацию эритроцитов (выход из сосудов в ткани). Миграцию лейкоцитов можно было проследить от капилляров и более часто от венул в промежуточное пространство и отсюда в альвеолы (см. рис. 3.44, Б).

Бронхиальные лимфатические узлы были увеличены, с участками жидкого некроза (liquefactive necrosis) и геморрагиями. Повреждения печени минимальны. На поверхности почек были заметны геморрагические фокусы, на срезах обнаружен тромбоз гломерулярных сосудов. Так же были тромбированы отдельные афферентные артериолы и интертубулярные и медуллярные капилляры. При выраженном тромбозе наблюдался кортикальный некроз.

Картина воспаления альвеолярной ткани, вызванная инфицированием мелкодисперсным аэрозолем возбудителя чумы, установленная В. И. Госом и М. J. Finegola, отличается от той, которую описывают в природных очагах чумы при вспышках первично-легочной чумы и относится к «невозможной клинической форме болезни» (см. разд. 2.3.1). При типичных чумных бронхопневмониях, характерных для воздушнокапельной передачи чумных бацилл, воспалительный процесс в бронхах и в альвеолярной ткани выражен одинаково сильно, причем часто воспалительный процесс с бронхов переходил на окружающие альвеолы. При чумной пневмонии, развивающейся вследствие проникновения возбудителя непосредственно в альвеолы, на первое место выступает воспалительный процесс в альвеолах, развивается пневмония. Изменения же бронхов незначительны. Характер пневмонии десквамативный, причем интерстициальная ткань не принимает активного участия в процессе.

Обобщая результаты своих экспериментов, Гос сделал вывод, что чумная пневмония (под таковой он понимал пневмонию, полученную в результате инфицирования мелкодисперсным аэрозолем возбудителя), имеет характер катаральной узелковой пневмонии в чистом виде, т. е. без значительного поражения бронхов и без образования фибрина. Характер экссудата — десквамативный с примесью лейкоцитов и эритроцитов. Последние появляются в альвеолах из расширенных ad maximum капилляров. Этим объясняется кровавый характер мокроты при чумной пневмонии. Быстроту развития процесса он объяснил отсутствием интерстициальных явлений.

Поражение только легочной ткани при инфицировании человека мелкодисперсным аэрозолем возбудителя чумы, показанное В. И. Госом и некоторыми другими исследователями, нельзя понимать буквально как единственный возможный исход такого нападения. В экспериментах, выполненных на Масаса fascicularis, R. Van Andel et al. (2008) показали дозозависимый эффект ингаляционных поражений возбудителем чумы при среднем размере частиц аэрозоля 2–5 мкм. ED50 (т. е. доза, при которой у экспериментального животного обнаруживается лихорадка и другие клинические признаки) для М. fascicularis составила около 66 колониеобразующих единиц (КОЕ). Если ингалирование экспериментальным животным 479 КОЕ возбудителя чумы (7 ED50) вызывало у них мультифокальную двустороннюю гнойную пневмонию и средневыраженную спленомегалию, то при дозе 759 КОЕ (11 ED50) в инфекционный процесс вовлекались трахобронхиальные лимфатические узлы, а при дозе 3050 КОЕ у обезьян развивались фибринозные плевральные отеки. Это важное наблюдение R. Van Andel et al. (2008), показывающее зависимость патологоанатомической структуры первичных поражений мелкодисперстным аэрозолем возбудителя чумы от ингалированной дозы, при массовых жертвах биотеррористического нападения позволяет определять относительную близость людей к источнику аэрозоля и направление движения аэрозоля.

Теперь сопоставим патологоанатомическую картину чумы, наблюдаемой при естественном инфицировании в очагах (воздушно-капельная инфекция) и искусственно созданным мелкодисперсным аэрозолем (табл. 3.13).

Таблица 3.13. Сопоставление патологоанатомической картины легочной чумы при естественном и искусственном инфицировании[38]
Поражение | Естественное заражение в очагах чумы | Искусственно созданным аэрозолем | Общий характер поражения |

Вторичное (гематогенное) развитие нисходящего бронхита, клиническая картина соответствует тяжести поражения легких | Первичное поражение легких, клиническая картина не соответствует тяжести поражения легких |

Слизистая верхних дыхательных путей | Катаральные изменения, эпителий и подслизистая ткань «пропитаны» чумными палочкам | Не вовлечена

Лимфоидная ткань миндалин | Густая инфильтрация возбудителем чумы, воспалена | Не вовлечена |

Характер пневмонии | Долевая форма пневмонии с преимущественным поражением верхних долей | В основном катаральная узелковая пневмония. Преимущественно поражаются нижние доли легкого. При гистологическом исследовании в альвеолах могут быть обнаружены подэпителиальные пузырьки и др. изменения, характерные для поражения мелкодисперсным аэрозолем (см. выше) |

Плевра | Обычно поражена (фибринозный налет) | Вовлекается только при очень больших дозах заражения |

Перибронхиальная ткань | Скопления чумных палочек, особенно вокруг перибронхиальных кровеносных сосудов; перибронхиальные узлы могут быть значительно увеличены, спаяны в пакет, отечны, геморрагичны, окружают трахею, на разрезе мозговидной консистенции. Отдельные лимфатические узлы величиной в сливу, розового цвета, с кровоизлияниями | Воспалительные процессы мало выражены. Их выраженность зависит от доз заражения


Диагностика искусственного поражения возбудителем чумы. Принципы диагностики искусственного поражения возбудителем чумы те же, что описаны в подразделе 3.1 для поражения возбудителем сибирской язвы. В их основе лежит выявление неправильной эпидемиологии и невозможной клиники болезни. Но есть и некоторые особенности, характерные для чумы. Естественной вспышке чумы среди людей (в бубонной, септической и легочной формах), даже ограничившейся единичными случаями болезни, должны предшествовать чумные эпизоотии среди грызунов. Должна прослеживаться и эпидемическая цепочка от местностей, где чумные эпизоотии замечены, к людям, инфицированным возбудителем чумы. Появление больных чумой грызунов и инфицированных Y. pestis блох на территории, длительное время «свободной от чумы», может свидетельствовать об активизации древнего и забытого очага чумы. Поэтому, прежде чем делать предположение о возможности ее искусственного происхождения, необходимо по историческим источникам убедиться в том, что вспышки чумы на данной территории имели место в прошлом. Крупным естественным вспышкам легочной чумы предшествуют локальные вспышки бубонной и легочной чумы на территориях активизировавшихся природных очагов чумы. «Движение» легочной чумы в таких случаях прослеживается по больным легочной чумой, выявленным на транспортных коммуникациях. Обычно крупные естественные вспышки легочной чумы не имеют единого центра развития и представляют собой растянутый во времени процесс распространения бронхолегочной чумы. Крупные эпидемии бубонной и легочной чумы имеют длительный период (до нескольких десятилетий) небольших вспышек-предшественников, свидетельствующих о постепенном «разогреве» природного очага чумы.

Подозрения об искусственном характере вспышки бубонной чумы обоснованы при обнаружении в общественных местах блох, инфицированных Y. pestis, связь которых с больными чумой грызунами установить не удается. Такие вспышки ограничиваются единичными заболевшими.

В природных очагах чумы вторично-легочная чума развивается на фоне вспышек бубонной чумы. Первично-легочная чума, возникшая у человека в результате воздушно-капельной инфекции, в основном развивается как нисходящая бронхопневмония. В инфекционный процесс вовлекаются слизистая верхних дыхательных путей, лимфоидная ткань миндалин, плевра, перибронхиальные лимфатические узлы. На рентгенограммах выявляются затемнения долей легких и признаки экссудативного плеврита. В отличие от нее, случаи первично-легочной чумы, развившиеся в результате непосредственного экспонирования человека к мелкодисперсному аэрозолю возбудителя чумы, преимущественно будут представлены «невозможными клиническими формами болезни» (см. разд. 2.3.1) — очаговыми поражениями в нижних долях легких (очаговые затемнения легочной ткани на рентгенограмме) без вовлечения в инфекционной процесс слизистой верхних дыхательных путей, лимфоиднай ткани миндалин, листков плевры, перибронхиальных лимфатических узлов. Тяжесть таких поражений у отдельного человека (при прочих равных условиях) будет зависеть от ингалированной им дозы возбудителя чумы, вирулентности штамма и дисперсности аэрозоля. Вторичные случаи первично-легочной чумы в очаге поражения мелкодисперсным аэрозолем, т. е. возникшие в результате воздушно-капельной передачи возбудителя болезни от людей, заболевших легочной чумой в результате экспонирования к аэрозолю, будут протекать как типичная чумная бронхопневмония.

Наличие двух типов течения первично-легочной чумы (как очаговой пневмонии и как бронхопневмонии) позволит выявить лиц, ставших непосредственными жертвами биологического нападения, и лиц, заразившихся чумой воздушно-капельным путем уже от них.

Иммунопрофилактика. Для специфической профилактики чумы в России применяется вакцина чумная живая лиофилизат и вакцина чумная живая таблетированная. Вакцина чумная живая лиофилизат выпускается двумя предприятиями: ФГУЗ Став-НИПЧИ Роспотребнадзора и ФГУ «48 ЦНИИ Минобороны России». Таблетированную вакцину выпускает ФГУ «48 ЦНИИ Минобороны России». Вакцинация лиофилизованной вакциной осуществляется накожным, подкожным и ингаляционным способами. Ревакцинация обеими вакцинами осуществляют через год. При неблагоприятной эпидемиологической обстановке — через 6 мес. Дозы живой вакцины при иммунизации взрослых пациентов составляют ЗООхЮб живых микроорганизмов в 0,5 см3 и Зх 109 живых микроорганизмов в 0,15 см3 для подкожного и накожного способов применения соответственно. При ингаляционной иммунизации доза должна составлять (5±3) х 106 живых микроорганизмов штамма EV. Последний способ считается патогенетически более корректным для предупреждения первично-легочной чумы. Российские вакцины защищают от ингаляционного заражения возбудителем чумы. Американская инактивированная чумная вакцина USP не эффективна в отношении воздушно-капельного и ингаляционного заражения Y. pestis. В США выпуск этой вакцины был прекращен в 1998 г. По мнению многих специалистов, эра убитых вакцин заканчивается (Бывалов А. А., 2011).

Лечение. Лечение чумы антимикробными средствами было начато в 1938 г. с сульфонамида (сульфамид), а в августе 1947 г. русскими врачами Н. И. Николаевым, Д. А. Федориновым и В. И. Гороховым для лечения легочной чумы впервые использован стрептомицин. Применение стрептомицина привело к резкому снижению летальности у людей. На сегодняшний день показатель летальности при чуме в мировом масштабе снизился до 8 %. Тремя основными антимикробными препаратами, рекомендованными для лечения чумы, являются стрептомицин, тетрациклин и хлорамфеникол (левомицетин). Предпочтительным по-прежнему остается стрептомицин, тогда как хлорамфеникол чаще всего применяется для лечения менингита. Из-за ограниченного запаса стрептомицина в некоторых странах в качестве заменителя используется гентамицин, и имеются данные, подтверждающие, что гентамицин или его комбинация с тетрациклином могут служить эффективными средствами лечения чумы у людей. Фторхинолоны рассматриваются в качестве альтернативного средства для лечения чумы на основании результатов исследований in vitro и экспериментов на мышах, в которых их эффективность оказалась аналогичной таковой аминогликозидов. Однако за исключением одного единственного случая чумы, которая была успешно вылечена при помощи ципрофлоксацина, нет сведений об эффективности этого препарата. Назначение одного, двух или трех препаратов зависит от тяжести симптомов. Шансы больного на выздоровление непосредственно связаны со своевременностью антибиотикотерапии, особенно при более тяжелых формах чумы, легочной и септицемической.

Экстренная неспецифическая профилактика предусматривает применение сульфонамида, триметоприм-сульфаметоксазола или тетрациклина. Назначается лицам, тесно контактирующим с больными легочной чумой, или родственникам больных бубонной чумой, живущим с ними вместе или по соседству.

В случае биологического нападения с использованием аэрозолированного возбудителя чумы рабочая группа по противобиологической защите гражданского населения США рекомендовала при лечении пострадавших в специально отведенном для этого месте (т. е. при небольших количествах больных, нуждающихся в лечении) в первую очередь применять стрептомицин или гентамицин, а уже в качестве альтернативных средств — доксициклин, ципрофлоксацин или хлорамфеникол. При массовом поражении рекомендовано пероральное применение доксициклина, тетрациклина или ципрофлоксацина. Предотвратить передачу инфекции от человека к человеку больными легочной чумой можно при помощи стандартных мер изоляции, по крайней мере, в течение четырех дней после начала антибиотикотерапии.

Хотя цефалоспорины иногда относили к числу неэффективных лечебных средств против чумы у людей, но без документального подтверждения. Кроме того, в исследованиях в условиях in vitro и в экспериментах на мышах эффективность этого антимикробного препарата оказалась аналогичной таковой фторхинолонов и аминогликозидов.

3.3. Туляремия

Микробиология F. tularensis (707). Факторы патогенности (709). Происхождение и молекулярная эпидемиология возбудителя туляремии (711). Экология и естественная эпидемиология F. tularensis (713). Восприимчивость и чувствительность животных к возбудителю туляремии (717). Инфицирующие дозы для животных и людей (718). Иммунитет (719). Устойчивость F. tularensis во внешней среде и в трупах погибших животных (719). Антибиотикорезистентность (720). Обнаружение генетически измененных штаммов F. tularensis (720). Патогенез (722). Клиническая картина туляремии у людей при естественном инфицировании F. tularensis (723). Моделирование ингаляционного заражения F. tularensis (728). Диагностика искусственного поражения возбудителем туляремии (733). Иммунопрофилактика (734). Лечение (735)

3.4. Бруцеллез

Микробиология бруцелл (736). Факторы патогенности (738). Таксономия, происхождение и молекулярная эпидемиология бруцелл (741). Экология и естественная эпидемиология бруцелл (743). Восприимчивость к бруцеллам и инфицирующие дозы для животных и людей (745). Иммунитет (746). Устойчивость бруцелл во внешней среде (746). Антибиотикорезистентность бруцелл (747). Обнаружение генетически измененных штаммов бруцелл (747). Патогенез бруцеллеза (748). Клиническая картина бруцеллеза у людей при естественном инфицировании (752). Моделирование ингаляционного заражения бруцеллами (760). Диагностика искусственного поражения бруцеллами (760). Иммунопрофилактика бруцеллеза (761). Лечение бруцеллеза (761)

3.5. Сап

Микробиология возбудителя сапа (763). Факторы патогенности (765). Таксономия, происхождение и молекулярная эпидемиология возбудителя сапа (765). Экология и естественная эпидемиология возбудителя сапа (767). Сап у лошадей (769). Восприимчивость к возбудителю сапа и инфицирующие дозы для животных и людей (772). Иммунитет (773). Устойчивость возбудителя сапа во внешней среде (773). Антибиотикорезистентность (774). Обнаружение генетически измененных штаммов возбудителя сапа (774). Патогенез сапа (775). Клиническая картина сапа у людей при естественном инфицировании (776). Моделирование ингаляционного заражения сапом (777). Клиническая картина сапа у людей при искусственном инфицировании (778). Диагностика искусственного поражения сапом (782). Иммунопрофилактика сапа (783). Лечение сапа (783)

3.6. Мелиоидоз

Микробиология возбудителя мелиоидоза (785). Факторы патогенности (788). Таксономия, происхождение и молекулярная эпидемиология возбудителя мелиоидоза (790). Экология и естественная эпидемиология возбудителя мелиоидоза (790). Восприимчивость к возбудителю мелиоидоза и инфицирующие дозы для животных (795). Иммунитет (797). Устойчивость возбудителя мелиоидоза во внешней среде (797). Антибиотикорезистентность (798). Обнаружение генетически измененных штаммов возбудителя мелиоидоза (798). Патогенез мелиоидоза (799). Клиническая и патологоанатомическая картина мелиоидоза у человека при естественном инфицировании (799). Клиническая картина мелиоидоза при искусственном инфицировании (806). Диагностика искусственного поражения возбудителем мелиоидоза (807). Иммунопрофилактика мелиоидоза (808). Лечение мелиоидоза (808)

3.7. Ку-лихорадка

Микробиология возбудителя Ку-лихорадки (809). Факторы патогенности (813). Таксономия, происхождение и молекулярная эпидемиология возбудителя Ку-лихорадки (814). Экология и естественная эпидемиология возбудителя Ку-лихорадки (816). Восприимчивость к возбудителю Ку-лихорадки и инфицирующие дозы для животных и людей (818). Иммунитет (819). Устойчивость возбудителя Ку-лихорадки во внешней среде (820). Антибиотикорезистентность (821). Обнаружение генетически измененных штаммов возбудителя Ку-лихорадки (821). Патогенез Ку-лихорадки (822). Клиническая и патологоанатомическая картина Ку-лихорадки у человека при естественном инфицировании (823). Клиническая картина Ку-лихорадки у животных при искусственном инфицировании (829). Клиническая картина Ку-лихорадки у людей при искусственном инфицировании (832). Диагностика искусственного поражения возбудителем Ку-лихорадки (833). Иммунопрофилактика Ку-лихорадки (833). Лечение Ку-лихорадки (833)

3.8. Натуральная оспа, оспа обезьян

Микробиология возбудителя натуральной оспы. Таксономия и происхождение возбудителя натуральной оспы. Экология и естественная эпидемиология возбудителя натуральной оспы. Экология и естественная эпидемиология возбудителя оспы обезьян. Оспа коров. Восприимчивость к возбудителю натуральной оспы людей и животных. Восприимчивость к возбудителю оспы обезьян у животных. Иммунитет к поксвирусам. Устойчивость возбудителя натуральной оспы во внешней среде. Антивирусные препараты. Обнаружение генетически измененных штаммов ортопоксвирусов. Патогенез ортопоксвирусных инфекций. Клиническая и патологоанатомическая картина натуральной оспы у человека при естественном инфицировании. Клиническая и патологоанатомическая картина оспы обезьян у человека при естественном инфицировании. Клиническая картина и патоморфология натуральной оспы и оспы обезьян у животных при искусственном инфицировании. Клиническая картина натуральной оспы у людей при искусственном инфицировании. Диагностика искусственного поражения возбудителем натуральной оспы. Иммунопрофилактика натуральной оспы. Профилактика после экспонирования к ВНО и ВОО и лечение развившейся болезни.


Натуральная оспа (Variola major, Variola vera, Smallpox, Die Pocken, Blattern) — острая высококонтагиозная вирусная болезнь. В типичных случаях характеризуется общей интоксикацией, лихорадкой, высыпаниями на коже и слизистых оболочках, последовательно проходящими стадии пятна, пузырька, пустулы, корочки и рубца. Вызывается вирусом натуральной оспы (ВНО; Variola virus, VAR, VARV). По вирулентности для людей ВНО делится на два подвида: Variola major (летальность среди заболевших людей колеблется в пределах от 5 до 40 %); и Variola minor или алястрим (летальность 0,1–2 %) х. Вспышки малой оспы отмечались параллельно и независимо от таковых большой оспы. Люди, выживающие после натуральной оспы, могут частично или полностью терять зрение, и у них на коже остаются рубцы в местах бывших язв. ВНО относится к семейству Poxviridae, подсемейства Chordopoxviridae, рода Orthopoxvirus. Других природных хозяев, кроме человека, для ВНО не установлено. Поэтому при естественном заражении наиболее вероятным источником вируса для человека является другой человек, больной натуральной оспой. До конца 1950-х гг. военными специалистами ВНО не рассматривался в качестве агента БО. Т. Розбери, Э. Кабат (1955) в своем докладе, представленном Национальному исследовательскому совету США в 1942 г., писали, что ВНО непригоден для ведения войны из-за всеобщей и регулярно проводимой вакцинации войск и населения. Кроме того, в эти годы не существовало технологий получения ВНО в количествах, достаточных для боевого применения. Основным способом получения ВНО было выращивание на хорионаллантоисной оболочке (КАО) развивающихся куриных эмбрионов. Способ позволял получать чистую культуру вируса и поддерживать его в лабораторных условиях, но не более. Только после появления в 1956 г. технологий культивирования ВНО в культурах клеток, его стали упоминать в специальной литературе в качестве агента БО, способного «пробить» высокой дозой иммунитет у человека, созданный вакцинацией (Ротшильд А., 1966). С 1980 г. массовая вакцинация против натуральной оспы отменена и в настоящее время восприимчивость населения к ВНО повсеместная.

Российские санитарно-эпидемиологические правила СП 1.3.2322-08 относят ВНО к I группе патогенности. По степени важности для национальной безопасности США возбудитель натуральной оспы относится к биологическим поражающим агентам категории А (см. табл. 2.2). Военными специалистами он рассматривается в качестве потенциального поражающего агента БО из-за низкой инфицирующей дозы для людей; устойчивости к высушиванию и длительному хранению, и при переводе в аэрозоль. Уже само слово «оспа» обладает большим психологическим эффектом. Упоминание в СМИ о появлении натуральной оспы в каком-то населенном пункте способно вызвать панику среди его населения и социальные эксцессы.

В настоящее время натуральная оспа считается ликвидированной болезнью, официальные коллекции ВНО находятся только в двух лабораториях: Centers for Disease Control and Prevention (CDC; Атланта, США) и в Федеральном бюджетном учреждении науки «Государственный научный центр вирусологии и биотехнологии «Вектор»» Федеральной службы по надзору в сфере защиты прав потребителей и благополучия человека (Новосибирск, Россия)[39].

Оспа обезьян — зооноз, природно-очагововая вирусная болезнь, клинически почти не отличается от натуральной оспы. Характеризуется лихорадкой, общей интоксикацией и появлением экзантемы, сходной с высыпаниями при натуральной оспе. Вызывается вирусом оспы обезьян (BOO; Monkeypox virus, MPVMPXV). Известны два геномных варианта этого вируса. ВОО является близкородственным ВНО и вирусу осповакцины (BOB; Vaccinia virus, W, VACV), но его эволюционная история не связана ни с ВНО, ни с BOB (Douglass N., Dumbell К., 1992). Первичный резервуар ВОО не установлен (Hughes A. L. et al., 2010).

Впервые ВОО выделен в 1958 г. в Копенгагене от азиатских обезьян, содержащихся в зоопарке, и поначалу считался лабораторной редкостью. В 1970 г. было установлено, что ВОО вызывает в тропической Африке у людей болезнь, похожую на натуральную оспу. На фоне побед над ВНО, эти случаи казались досадным недоразумением. Считалось, что оспа обезьян малоконтагиозна и большой опасности не представляет. Однако позднее, вопреки всем своим прежним заявлениям о прекращении глобальной иммунизации против оспы, ВОЗ возобновила иммунизацию населения тропических регионов Африки и продолжала ее до середины 1990-х гг., когда из-за резко возросшего числа ВИЧ-инфицированных иммунизация населения живыми вакцинами стала невозможна в принципе (Cohen J., 1997). В 1990-х гг. в регионе активизировалась оспа обезьян. В небольшой заирской деревушке в районе Котако-Комба оспой обезьян заболели 42 жителя из 346, трое из них погибли. Установлен больной, ставший источником каскада передач вируса 8 жителям, что уже сопоставимо с контаги-озностью натуральной оспы. Все заболевшие ранее не были иммунизированы оспенной вакциной (Mukinda V. et al., 1997). Но и после этого случая оспа обезьян не рассматривалась как потенциальная угроза за пределами Африки. Это мнение изменилось в 2003 г., когда ВОО был завезен в США вместе с дикими африканскими грызунами и распространился среди людей в 11 штатах, вызвав 82 случая болезни (Chastel С., 2009). Естественное инфицирование ВОО в России возможно в результате контакта с контрабанды) завезенными из тропических лесов Центральной и Западной Африки ди-коживущими белками и обезьянами.

С целью поражения людей наиболее вероятно применение ВНО и ВОО посредством использования линейных и многоточечных источников аэрозоля, и диверсионными (террористическими) методами. Террористами ВОО может использоваться для имитации вспышек натуральной оспы. Клинику, напоминающую натуральную оспу, у иммунодефицитных людей может вызвать вирус оспы коров.

Микробиология возбудителя натуральной оспы. ВНО размножается в развивающихся куриных эмбрионах при различных путях введения: на ХАО, в амнион, желточный мешок и аллантоисную полость. Использование куриных эмбрионов позволило впервые выделить вирус оспы в чистой культуре и поддерживать его в лабораторных условиях. В результате заражения ВНО на ХАО образуются характерные белые точечные, куполообразные, резко отграниченные поражения (рис. 3.87).

Рис. 3.87. Внешний вид оспенных пустул (pocks) на поверхности хорионаллантоисной оболочки, образованных различными видами Orthopoxvirus. Пустулы ВОО фотографировали после инкубирования в течение трех сут при температуре 35 °C; остальные — после инкубирования в течение трех сут при 36 °C. A. Variola major virus. Б. Vaccinia virus (штамм Листера). В. Monkeypox virus (штамм Копенгаген). Г. Cowpox virus (штамм Brighton). Размер пустул, образованных ВНО на ХАО, находится в пределах 0,3-06 мм. По F. Fenner et al. (1988)


Оптимальная температура для размножения ВНО в куриных зародышах 35 °C. При температуре 37 °C размножение вируса замедляется. Предельная температура развития на ХАО для Variola major — 38,5 °C; для Variola minor — 37,5 °C. При этом уменьшается размер и плотность оспин. Большинство штаммов ВНО не вызывает гибели куриных зародышей при первичном заражении, однако при последовательных пассажах происходит адаптация вируса, проявляющаяся в приобретении им патогенности для зародыша и изменении характера поражений.

ВНО размножается в тканевых культурах, вызывая развитие цитопатического эффекта. Характер цитопатического действия вируса алястрима не отличается от такового у Variola major, однако его накопление в культуре происходит медленнее. К действию вируса чувствительны культуры различных тканей человека и животных. При этом существенного значения не имеют возраст и восприимчивость к действию вируса вида животного, от которого получена ткань, характер культуры (первичная или перевиваемая), особенности ткани (нормальная или злокачественная) и способ ее приготовления (эксплантат, однослойная или взвешенная культура). Отличается лишь характер цитопатического действия: в первичных культурах вирус вызывает с самого начала деструктивные изменения, а в перевиваемых — поражения начинаются пролиферацией ткани, и только в последующем отмечается деструкция клеток.

Для большинства однослойных культур развитие цитопатического действия характеризуется появлением в неизмененном монослое очагов, в которых клетки разобщены, округлены и сильно преломляют свет. Границы клеток четко очерчены, часть клеток сильно увеличена в размере. С течением времени размер и количество таких очагов увеличиваются и в дегенеративный процесс вовлекается весь монослой. Процесс заканчивается полной деструкцией клеточного пласта и отпадением клеток от стенок пробирки. В зараженных клетках образуются цитоплазматические включения — тельца Гварниери. Тельца Гварниери формируются уже через несколько часов после заражения. В дальнейшем их количество увеличивается (как по числу включений в одной клетке, так и по количеству клеток, содержащих включения). Скорость появления включений в различных культурах клеток варьирует. Максимальное накопление вируса отмечается обычно к 72–96 ч. ВНО способен образовывать бляшки (негативные колонии) в культуре ткани с применением техники агарового покрытия и без него. Бляшки вируса в культуре клеток без агарового покрытия образуются через 72–96 ч после заражения и имеют значительно меньшие, чем у вируса вакцины, размеры (до 1 мм). В культуре клеток под агаровым покрытием бляшки вируса оспы выявляются не ранее 5-х сут с момента инфицирования культуры. Размер их не превышает 2 мм.

В культурах клеток, зараженных Variola major и Variola minor, наблюдается феномен гемадсорбции — агглютинация эритроцитов отдельных видов животных суспензиями ВНО. Наиболее вирулентные для людей штаммы ВНО (летальность заболевших 14–44 %) циркулировали в Азии. Летальность среди людей, заразившихся африканскими штаммами ВНО, составляла 5-15 %. Для штаммов ВНО, выделенных от людей из Ближневосточного региона, характерна низкая патогенность для куриных эмбрионов при термоустойчивости, практически равной таковой референс-штамму Harvey. По способности накапливаться в печени куриных эмбрионов они занимают промежуточное положение между азиатскими и африканскими штаммами. Штаммы ВНО, циркулировавшие в Бразилии, представляли собой типичные штаммы аляст-рима. Объяснения этим феноменам найдено не было (Маренникова С.С., Щелкунов С. Н., 1998).

В отличие от большинства ДНК-содержащих вирусов животных, жизненный цикл поксвирусов проходит в цитоплазме клетки в значительной степени автономно от ее ядра. Для этого они, как и бактерии (!), располагают своими ферментативными системами синтеза РНК и ДНК (рис. 3.88 и 3.89).

Рис. 3.88. Вирион ортопоксвируса. А. Вирион в фагосоме. 1 — мембрана фагосомы; 2 — вирионы; 3 — оболочка вириона; 4 — оболочка нуклеотида; 5 — нуклеотид; 6 — боковое тело. По П. Н. Бургасову, Г. П. Николаевскому (1972). Б. Структура внеклеточного вириона ортопоксвирусов (на примере вируса вакцины). 1 — сердцевина; 2 — мембрана сердцевины; 3 — боковые тела; 4 — поверхностная мембрана; 5 — липопротеидная оболочка; 6 — трубчатые структуры поверхностной мембраны. По С. С. Маренниковой и С.Н. Щелкунову (1998)


Вирионы ортопоксвирусов (см. рис. 3.89) адсорбируются на клетке (1) и сливаются с плазматической мембраной клетки, высвобождая сердцевины в цитоплазму (2). Сердцевины синтезируют ранние мРНК, с которых транслируются различные белки, включая факторы роста, молекулы защиты от иммунной системы, ферменты и факторы для репликации ДНК и транскрипции промежуточных генов (3). Происходит «раздевание» сердцевины (4), и вирусная ДНК реплицируется, формируя конкатемер-ные молекулы (5). Промежуточные гены транскрибируются на дочерних молекулах ДНК и с этих мРНК транслируются факторы поздней транскрипции (6). Затем транскрибируются поздние гены. С их мРНК транслируются вирионные структурные белки, ферменты и факторы ранней транскрипции (7). Сборка вирионов начинается с образования дискретных мембранных структур (8). Конкатемерные промежуточные формы вирусной ДНК разделяются на единичные геномы и упаковываются в незрелые вирионы (9).

Рис. 3.89. Жизненный цикл осповирусов (на примере вируса вакцины). Вирионы содержат двуцепочечную геномную ДНК, ферменты, факторы транскрипции. По С. С. Маренниковой и С. Н. Щелкунову (1998)


Созревание приводит к образованию внутриклеточных зрелых вирионов (10). Эти вирионы покрываются модифицированными мембранами аппарата Гольджи и перемещаются к периферии клетки (11). Слияние таких вирионов с плазматической мембраной завершается высвобождением внеклеточного оболочечного вируса (12). Хотя размножение вируса происходит полностью в цитоплазме, факторы ядра могут быть вовлечены в процессы транскрипции генов и сборки вирионов (Марен-никова С. С., Щелкунов С. Н., 1998).

Инфекционные частицы поксвирусов содержат в своем составе полную ферментативную систему транскрипции, способную синтезировать функциональную мРНК в полиаденилированной, кэпированной и метилированной форме. Это позволяет ВНО:

1) самостоятельно осуществлять эффективную защиту от ранних специфических реакций на инфекцию и противодействовать развивающимся позже специфическим реакциям;

2) размножаться до высокого уровня, обеспечивающего быструю передачу другому хозяину.

Таксономия и происхождение возбудителя натуральной оспы. Семейство поксвирусов относится к монофилетической группе крупных ДНК-вирусов, размножающихся в цитоплазме клетки (NCLDVs — nucleocytoplasmic large DNA viruses). В эту же группу входят семейства Ascoviridae, Asfarviridae, Iridoviridae, Mimiviridae, Phycodnaviridae и Marseillevirus (рис. 3.90).

Рис. 3.90. Филогения крупных ДНК-вирусов, размножающихся в цитоплазме клетки. W — Vaccinia virus; FPV — Fowlpox vius; MCV — Molluscum contagiosum vims; MSV — Melanoplus sanguinipes entomopoxvirus; AM Y — Amsacta moorei entomopoxvirus; HcDNAV— Heterocapsa circularisquama DNA virus. По M. G. Fischera et al. (2010)


Семейство поксвирусов подразделяется на подсемейства энтомопоксвирусов (EnPV) и хордопоксвирусов (ChPV) (Entomopoxvirinae и Chordopoxvirinae), инфицирующих насекомых и хордовых животных соответственно. ChPV дополнительно подразделяются на 8 родов (Avipoxvirus, Molluscipoxvirus, Orthopoxvirus, Capripoxvirus, Suipoxvirus, Leporipoxvirus, Yatapoxvirus и Parapoxvirus), тогда как EnPV подразделяются на 3 рода (А, В и С). Организация генома поксвирусов, их репликация, круг хозяев и патогенез хорошо изучены. Краткая характеристика геномных последовательностей отдельных штаммов ортопоксвирусов приведена в табл. 3.25.

Таблица 3.25. Краткая характеристика геномных последовательностей поксвирусов[40]
Вид | Штамм | Геном (п. о.) | А + Т (%) | ITR, Т. П. О. | № доступа в GenBank

Хордопоксвирусы, род Orthopoxvirus (ОРУ)

Вирус вакцины, Vaccinia virus (BOB, W) | Копенгаген | 191636 | 12,0 | М35027

| MVA | 177 923 | 66,6 | 9,8 | U94848

| Тиан Тан | 189274 | 66,8 | 7,5 | AF095689

Вирус натуральной оспы, Variola virus (ВНО, VAR) | Бангладеш-1975 | 186 102 | 66,3 | 0,7 |

| L22579 | Индия-1967 | 185 578 | 67,3 | Х69198 |

| Гарсия-1966 | 186986 | 67,3 | 0,6 | Y16780 |

Вирус оспы обезьян, Monkeypox vius (BOO, MPV) | Заир-96-1-16 | 196 858 | 68,9 | 6,4 | AF380138 |

Вирус эктромелии, Ectromelia virus (ЕСТ) | Москва | 209771 | 66,8 | AF012825 |

| Нейвл (Naval) | 207 620 | 66,9 | 7,4 |

Вирус оспы верблюдов, Camelpox virus (CMPV) | CM-S | 202185 | 66,9 | 6 | AY009089 |

| М-96 | 205 719 | 66,8 | 7,7 | AF438165 |

Вирус коровьей оспы, Cowpox virus (CPV) reporipoxvirus | Брайтон Рид | 224501 | 66,6 | AF482758 |

Вирус миксомы, Myxoma virus (MYX) | Лозанна | 161774 | 56,4 | 11,5 | AF170726 |

Вирус фибромы Шоупа, Shope fibroma virus (SFV) | Каза (Kaza) | 159 857 | 60,5 | 12,4 | AF170722 |

Avipoxvirus

Вирус оспы птиц, Fowlpox virus (FPV) | 288 539 | 69,0 | 9,5 | AF198100 |

Capripoxvirus

Вирус узелковой сыпи, Lumpy skin disease virus (FSDV) | Нитлинг 2490 (Neethling) | 150733 | 73,0 | 2,4 | AF325528 |

Вирус оспы коз, Goat pox virus (GTPV) | Пеллор (Pellor) | 149935 | 75,0 | 2,3 | AY077835 | G20-LKV | 149695 | 75,0 | 2,2 | AY077836 |

Вирус овечьей оспы, Sheeppox virus (SPPV) | TU-V02127 | 149995 | 75,0 | 2,2 | AY077832 |

| Штамм A | 150057 | 75,0 | 2,3 | AY077833 |

| NISKHI | 149662 | 75,0 | 2,1 | AY077834 |

Suipoxvirus

Вирус оспы свиней, Swinepox virus (SWPV) | 17077-99 | 146454 | 72,0 | 3,7 | AF410153 | Molluscipoxvirus |

Вирус контагиозного моллюска, Molluscum contagiosum virus (MCV) | Подтип 1 | 190289 | 36,0 | 4,7 | U60315 |

Yatapoxvirus

Вирус Яба-подобного заболевания, Yaba-like disease virus (YLDV) | 144575 | 73,0 | 1,9 | AJ293568 |

Энтомопоксвирусы, Entomopoxvirus В | Melanoplus sanguinipes (EnPVm) | 236 120 | 81,7 | 7 | AF063866 |

| Amsacta moorei (EnPVa) | 232392 | 81,5 | 9,4 | AF250284


Выполненное G. Gubser et al. (2004) сравнение геномов 26 поксвирусов показало, что организация генома вирусов, входящих в подсемейство хордопоксвирусов, консервативна. Их центральная область кодирует почти идентичные белки для синтеза РНК и ДНК, белкового процессинга, сборки вирионов и структурных белков. Гены, кодируемые терминальными участками генома вирусов этого же подсемейства, более дивергентны у различных родов, у видов внутри рода и даже у штаммов одного и того же вида. Многие из этих генов кодируют белки, определяющие круг хозяев вируса, его вирулентность или взаимодействие с иммунной системой хозяина. Несмотря на выявленное сходство геномов ChPV, их длина варьирует от примерно 144 т. п. о. у вируса YLDV до 289 т. п. о. у вируса оспы птиц (FPV), а содержание А + Т варьирует от 75 % у рода Capripoxvirus до 36 % у рода Parapoxvirus (см. табл. 3.25). Геномы энто-мопоксвирусов, наоборот, более дивергентны и по расположению генов отличаются не только от CRPV, но и между различными родами EnPV.

Сравнение секвенированных поксвирусов позволило идентифицировать 90 генов, которые консервативны у всех ChPV; при включении двух EnPV это число сокращено до 49. У ChPV все 90 консервативных генов расположены в центральной области генома, содержащей 100 т. п. о.

Построенное G. Gubser et al. (2004) филогенетическое древо показывает, что ChPV составляют четыре группы вирусов. Первые две группы относятся к Molluscipox и Avipox соответственно. FPV (род Avipoxvirus) является наиболее дивергентным вирусом среди ChPV. За ним следует MCV (род Molluscipoxvirus). Авипоксвирусы являются единственными ChPV, которые инфицируют птиц, a MCV считается патогеном человека; в результате эволюции оба вируса приобрели уникальные иммуномодуляторные белки, позволяющие им противодействовать иммунной системе их хозяев.

Третья, самая большая, группа ChPV, включает роды Yatapoxvirus (YLDV), Capripoxvirus (LSDV), Suipoxvirus (SWPV) и Leporipoxvirus (SFVи MYX). Внутри этой группы SFV и MYX, которые тесно связаны друг с другом, расположены рядом с SWPV и LSDV, в то время как YLDV является более дивергентным. Геномы всех этих вирусов относительно высококонсервативны по составу генов, расположению генов и идентичности аминокислот. SWPV и LSDV произошли от общего предка.

Четвертая группа ChPV— это род ортопоксвирусов (OPV). У них более крупный геном, чем у вирусов других групп ChPV. Наиболее изученными считаются вирус вакцины (W-СОР) и вирус натуральной оспы (VAR-BSH).

G. Gubser et al. (2004) установили близкое родство CMPVи ВНО. Три штамма ВНО составляют одну группу, также как и два штамма CMPV. Группы ВНО и CMPV более тесно связаны друг с другом, чем с любым другим видом OPV. OPV отделились от общего предка позже, чем лепорипоксвирусы. При сравнении различных видов OPV установлено, что наименьшее генетическое различие существует между штаммами CMPV и ВНО, а наибольшее — между ГСТ и ВНО. Интересной особенностью геномов OPV является наличие большого количества генов, интактных у одного вируса, но фрагментированных у другого. Объяснением может служить тот факт, что некоторые OPV являются относительно новыми патогенами для их хозяев и в эволюционном масштабе времени произошли от предкового вируса сравнительно недавно, при этом их дивергенция сопровождалась специализацией паразитизма и, как следствие, «выключением» генов, не нужных в новом хозяине. На рис. 3.91 показано филогенетическое древо семейства поксвирусов, основанное на анализе сцепленных (concatenated) аминокислотных последовательностей 29 консервативных ортологичных белков.

Рис. 3.91. Филогенетическое древо поксвирусов. Таксономически наиболее близкими к ВНО являются не представляющие опасности для людей ортопоксвирусы, вызывающие оспенные заболевания у змей и верблюдов. Эволюционная история патогенного для людей ВОО не связана ни с ВНО, ни с ВОВ. По A. L. Hughes et al. (2010)


Объяснению происхождения ВНО мешает представление о натуральной оспе как о строгом антропонозе. Поэтому данные, полученные путем молекулярно-биологических исследований генома вируса, обычно исследователи пытаются увязать с археологическими данными или упоминаниями в письменных источниках о болезнях, которые они считают натуральной оспой (рис. 3.92).

Рис. 3.92. Мумия фараона Рамзеса V, умершего в 1157 г. до н. э. На коже видны следы оспенных пустул. Мумия считается достоверным археологическим подтверждением существования натуральной оспы в Древнем Египте, однако далее в глубь времени фантазия сторонников антропонозного происхождения ВНО не идет. Рисунок из книги F. Fenner et al. (1988)


В результате сопоставления столь разнородных фактов возникло противоречие в оценке частоты мутации на пару оснований/цикл репликации (mutations per base pairs per replication). Гели в первом случае (частота мутации для ДНК-вирусов оценивается в пределах от 2х10 -8 до 7х10 -7) исследователи предполагают, что дивергенция ВНО и Taterapox virus (инфицирует змей и грызунов в Западной Африке) от неустановленного предка произошла не ранее чем 50 тыс. лет назад; то во втором случае (предполагается частота мутации 4х 10 _6, т. е. почти как у ВИЧ) — их эволюционная история значительно короче — 3–4 тыс. лет (Hughes A. L. et al., 2010)[41]. Но такая частота мутаций в жизненном цикле ДНК-вирусов невозможна, так как репликация их ДНК сопровождается проверочным считыванием и пострепликационной репарацией. При репликации РНК-вирусов, корректировок в синтезе РНК не происходит. Молекулы вирусной РНК реплицируются через ассиметричную транскрипцию от одной цепи, исключающую большинство корректирующих механизмов, характерных для репликации молекул ДНК (по репликации РНК-вирусов см. работу Holland S. et al., 1982).

Разрешение данного противоречия целесообразно искать в эволюционной истории всей монофилетической группы крупных ДНК-вирусов, рассматривая историю поксвирусов только как ее частный случай и используя аналогии с семействами, чьи первичные хозяева установлены.

Семейство Mimiviridae и семейство Poxviridae — дивергирующие ветви общего для них неизвестного предка (см.рис. 3.90). Мимивирус впервые обнаружен в амебах Асапthamoebapolyphaga. Диаметр зрелых частиц достигает 400 нм (La Scola В. et al., 2003).

Его другое название — мимивирус Acanthamoeba polyphaga (Acanthamoeba polyphaga mimivirus; АРМУ). Размер вириона мимивируса сравним с размером микобактерии. Геном АРМУ вмещает 1,2 млн нуклеотидов (т. е. почти в 6 раз больше генома самого крупного хордопоксви-руса — FPV) и кодирует не менее 911 белков (Benarroch D. et al., 2006). Е. Ghigo et al. (2008) впервые продемонстрировали, что мимивирус в условиях in vitro путем классического фагоцитоза (т. е. так же как и ортопоксвирусы) инфицирует макрофаги мышей, выживает в них и успешно размножается. ДНК-топоизомеразы мимивирусов (IA, IB и IIA) сходны с аналогичными ферментами ортопоксвирусов (Benarroch D. et al., 2006). Репликация ортопоксвирусов и мимивирусов происходит аналогичным образом. Вирусы обоих семейств используют убиквитин-протеосомную систему (Teale A. et al., 2009). Другие примеры сходства мимивирусов и ортопоксвирусов можно найти в работе М. G. Fischera et al. (2010). Поэтому поиски первичных резервуаров поксвирусов целесообразно проводить там же, где их нашли для мимивирусов, т. е. среди простейших, а эволюцию поксвирусов рассматривать как дегенеративную, т. е. сопровождающуюся утратой генов вследствие их большей специализации к новым хозяевам. Более подробно о роли утраты генов в эволюции ортопоксвирусов, см. в работе R. С. Hendrickson et al. (2010). Поиск первичного резервуара вируса, предкового для ВНО и Taterapox virus и, возможно, самого ВНО, целесообразно осуществить в регионах, где произошла их дивергенция (рис. 3.93).

Рис. 3.93. География ареалов Т. kempi и Е. ocellatus в Африке. По О. Piskurek, N. Okada (2007)


Молекулярная эпидемиология ВНО хорошо изучена. С помощью метода изучения RFLP могут дифференцироваться ВНО, ВОВ, ВОС, CMPV, CPV Taterapox virus и другие ортопоксвирусы и устанавливаться их географическое происхождение (Loparev V. et al., 2001). Определены полные геномные последовательности большинства географических изолятов ВНО. Они объединены в базу данных для поксвирусов с открытым доступом: www.poxvirus.org (LeDuc J. М. et al., 2002).

Экология и естественная эпидемиология возбудителя натуральной оспы. Экология ВНО объявлена хорошо изученной. Сегодня принято считать, что ВНО может поддерживаться только среди людей, используя механизм воздушно-капельной передачи (см. Fenner F. et al., 1988). В качестве примера высокой контагиозности ВНО в научной литературе приводятся отдельные вспышки, которые охватывают десятки человек (см., например, работы Бургасова П. Н., Николаевского Г. П., 1972; Серенко А. Ф., 1962). Однако когда анализируются вспышки в целом и за длительный период времени, то выясняется, что способность ВНО передаваться от человека к человеку в имму-нокомпетентных популяциях ограничена. По данным V. Bhatnagar et al. (2006), обобщивших статистическую информацию по 51 вспышке «завозной» натуральной оспы, зарегистрированной в Европе и Северной Америке в период после 1945 г., в среднем каждая такая вспышка ограничивалась четырьмя случаями болезни с одним летальным исходом. Количество передач (генераций) ВНО от заболевшего человека к здоровому, редко превышало 3; а 30 % заносных вспышек вообще не сопровождалось передачами ВНО от человека к человеку. Такую незначительную способность ВНО к быстрому распространению в популяциях людей нельзя объяснить только предварительными массовыми вакцинациями, тем более что достаточно примеров массовых вспышек в вакцинированных популяциях людей (например, московская вспышка натуральной оспы 1959–1960 гг.). Вспышка натуральной оспы среди невакцинирован-ного населения Abakaliki (Нигерия) в 1967 г. ограничилась всего 31 случаем болезни (Eichner М., Dietz К., 2003). В свете этих данных невозможно понять, каким образом жестокая пандемия натуральной оспы 1870–1874 гг. вспыхнула практически одновременно на нескольких континентах (Бразоль Л. Е., 1875), если не предполагать наличия первичного природного резервуара для ВНО, способного синхронно активизироваться под воздействием каких-то еще неизвестных факторов. В противоречие с распространенной точкой зрения на природный резервуар ВНО входят и данные, полученные при молекулярно-биологических исследовании генома ВНО (см. выше), свидетельствующие о циркуляции этого вируса еще «на заре» истории человечества; а также странные «родственные связи» самого ВНО. К его «ближайшим родственникам» относятся вирусы, вызывающие болезнь у змей и верблюдов, и при этом не опасные для людей (см. рис. 3.90), что говорит о случайном характере дивергенции предкового вируса и патогенности ВНО для людей. Поэтому в представлениях об экологии ВНО последнее слова еще не сказано.

Естественная эпидемиология натуральной оспы предполагает, что наиболее вероятным источником возбудителя инфекции для человека является человек. Инкубационный период болезни — 7-17 сут. Больной натуральной оспой заразен в течение всего периода заболевания, начиная с момента возникновения лихорадки, а иногда с последнего дня инкубационного периода. Наибольшая заразительность больных приходится на период вскрытия оспенных элементов на слизистой оболочке рта и зева, соответствующий 6–9 сут болезни. Вместе с тем, по данным Комитета экспертов ВОЗ по оспе, многие больные наиболее заразны на 3–4 сут болезни, т. е. к моменту появления высыпаний. Заражение может произойти от больного любой формой оспы, в том числе и оспы без сыпи. Наибольшее эпидемиологическое значение имеют тяжелые формы болезни с обильными высыпаниями. Но самыми опасными в эпидемиологическом отношении являются именно нетипичные, вариолоидные формы заболеваний оспой у привитых. Больные, заболевание у которых не диагностируется, остаются неизолированными и могут служить источником инфекции для окружающих. Они представляют особенную опасность, если среди контактирующих с этими больными оказываются не иммунные лица. В подобных случаях эпидемический процесс может затянуться на продолжительное время.

При абортивных формах болезни (вариолоид, оспа без сыпи и др.) продолжительность инфекционного периода невелика и может измеряться несколькими часами. Несмотря на то что в корках больных оспой содержатся большие количества возбудителя, наибольшее значение в распространении инфекции имеет вирус из дыхательного тракта. Основной путь передачи ВНО — воздушно-капельный: рассеивание вируса с капельками слизи и слюны при разговоре, кашле и чиханье. Меньшее значение имеет воздушно-пылевой путь: рассеивание вируса с частицами пыли, встряхивание инфицированного белья, одежды и т. д. Сохранению вируса в пылевых частицах способствует его высокая устойчивость во внешней среде. Вследствие этой особенности возбудителя, зараженные вирусом оспы вещи и предметы, могут служить источником заражения даже при их пересылке на далекие расстояния. Примером подобного рода является несколько вспышек оспы в Англии, возникших в результате заражения через инфицированный хлопок, полученный из ОАР и Индии.

Контактный путь передачи ВНО, хотя иногда и встречается, большого практического значения не имеет. Трупы погибших от оспы людей могут служить источником заражения. Описаны случаи возникновения как генерализованной оспы, так и оспы, протекающей по типу variola inoculata, у лиц, принимавших участие в аутопсии и обработке материалов, взятых от трупа. Распространение натуральной оспы может осуществляться насекомыми, которые выполняют роль механического переносчика ВНО.

Крупные вспышки завозной натуральной оспы происходят при следующих обстоятельствах: во-первых, формируется массивный первичный очаг, длительное время остающийся нераспознанным; во-вторых, последовательно формируются несколько вторичных эпидемических очагов, в том числе в крупных медицинских учреждениях, куда больные натуральной оспой поступают под ошибочными диагнозами. ВНО начинает распространяться как внутрибольничная инфекция, среди компактно размещенных по палатам больных людей, и от них переходить на посещающих их родственников и врачей. Например, во время московской вспышки 1959–1960 гг. сначала сформировался семейный очаг в семье художника К., вернувшегося из Индии, затем очаг в Московской клинической больнице им. С. П. Боткина среди больных, медицинского и обслуживающего персонала, контактировавших с больным художником. Эти очаги способствовали формированию третьего, городского, очага оспы в Москве. Около 1600 сотрудников больницы в течение 3 нед контактировали с населением города; в-третьих, очаги формируются среди населения, неиммунного в отношении ВНО. Как правило, крупные вспышки возможны в городах, где вакцинация и ревакцинация против натуральной оспы либо вообще не проводилась, либо проводилась небрежно и непоследовательно.

Самая крупная вспышка завозной натуральной оспы (99 заболевших) в послевоенное время имела место в 1963 г. на территории Польской Народной Республики (ПНР). Первым заболевшим оспой в конце мая 1963 г. был гражданин, прибывший из Индии во Вроцлав. Местные врачи поставили ему диагноз малярии. Этот диагноз позднее был изменен на необычно протекающую ветряную оспу, поскольку как у приехавшего, так и у контактировавших с ним лиц появились характерные высыпания, сопровождавшиеся тяжелым клиническим течением, закончившимся в двух случаях смертью больных. Только через 48 сут после появления первого больного, лабораторными исследованиями был установлен диагноз натуральной оспы, а 3 сут спустя начали проводиться необходимые противоэпидемические мероприятия. За время этой эпидемической вспышки натуральной оспы во Вроцлаве заболело 79 человек, из них 6 человек умерли. Инфекция была завезена также в провинцию Вроцлав, где заболели 11 человек, в провинцию Ополе (заболели 4 человека), в провинцию Лодзь (заболели 4 человека, один из них умер), и один больной был зарегистрирован в Гданьске. Более четверти заболевших в описываемую вспышку натуральной оспы составили медицинские работники и лица из обслуживающего персонала больниц. Среди заболевших было 5 врачей, 8 медицинских сестер, 5 палатных нянь, студентка-медик и 7 служащих больницы. Из 7 умерших от оспы, 5 человек также были медицинскими работниками (один врач, 2 медицинские сестры и 2 няни). За несколько недель в районах распространения натуральной оспы было привито более 8 млн человек. Выборочной проверкой было установлено, что 81 % привитых положительно реагировали на введение вакцины. Это свидетельствовало об отсутствии у основной массы населения специфического иммунитета, который был утрачен, по-видимому, со временем в силу нарушения системы ревакцинации против натуральной оспы.

Ниже, по работам А. Ф. Серенко (1962) и С. Б. Дубровинского (1964), как пример естественного течения вспышки натуральной оспы в большом городе, привожу краткое описание московской вспышки 1959–1960 гг.

22/XII. 1959 г. из Дели в Москву на самолете вылетел художник К[42]. По прибытии в Москву 23/XII он почувствовал недомогание и вызвал врача. 24/XII больной К. высказал врачу жалобы на слабость, боли в животе, головную боль, отсутствие аппетита. Объективно у больного температура 38–39 °C, язык обложен, в зеве и легких чисто, тоны сердца глухие, пульс 106/мин, болевые точки в области желчного пузыря.

Был установлен предположительный диагноз гриппа, назначен постельный режим. 25/XII при повторном осмотре температура 39,1 °C, язык обложен, живот не напряжен, в зеве чисто, пальпируется печень и селезенка, пульс 96/мин. Предположительный диагноз: риккетсиоз? аппендицит?

26/XII приглашен хирург, который отверг диагноз аппендицита. У больного на животе и груди крупнопапулезная сыпь, положительный симптом Кончаловского. Высказано подозрение на сыпной тиф, но больной не госпитализирован, так как квартирные условия были вполне удовлетворительными.

27/XII у больного температура 37,8 °C, лицо красное, отечное, кровоизлияние в склере, отхаркивает кровь, АД 100/80 мм рт. ст., тоны сердца глухие, пульс 92/мин. Больного осмотрел врач-инфекционист, который остановился на диагнозе токсического гриппа с медикаментозной сыпью. Больной госпитализирован в 13-е (инфекционное) отделение Московской городской больницы им. С. П. Боткина. В дальнейшем клиническая картина заболевания приводится согласно записям в истории болезни.

Лицо одутловатое, гиперемировано, часть спины синюшняя. На верхних конечностях, груди и животе обильные пятнисто-папулезные полиморфные высыпания, в правой и левой подмышечных впадинах имеются элементы пузырькового характера с гнойным содержимым. Такие же высыпания и на внутренних поверхностях верхних конечностей; на бедрах мелкие пятнисто-папулезные высыпания. Слизистая оболочка зева гиперемирована, сочная. Язык сухой, обложен. На высоте вдоха пальпируется край печени. Сплошное кровоизлияние в склере, конъюнктивит. Предположительный диагноз: лекарственная сыпь.

В ночь на 28/XII больной отхаркивал слизистую мокроту с примесью алой крови, после приема преднизолона была рвота. 28/XII общее состояние больного тяжелое. Яркая, разлитая, интенсивная гиперемия кожи. Кожа лица и верхней половины туловища одутловатая, при пальпации как бы отечна. В паховых областях отдельные геморрагии, в нижней трети правого бедра с наружной стороны имеется кровоподтек величиной с детскую ладонь. Живот мягкий, безболезненный при исследовании. Держится резкий отек и набухание век, из-за резкого отека конъюнктиву не видно.

Клинически впечатление острого аллергического дерматита с выраженными явлениями капилляротоксикоза. На основании анамнеза (больной 22,23,24/XII принимал л евомицетин, стрептомицин, биомицин, синтомицин) консультантом также подтверждается этот диагноз.

28/XII присоединились явления геморрагического нефрита. Поражен весь кожный покров, слизистая оболочка рта и конъюнктива глаз: на общем эритематозном фоне характера эритродермии множественные геморрагические экстравазаты различной величины и оттенков до синего цвета. На слизистой оболочке языка, щек и неба точечные белые налеты — «молочница», местами сливающаяся и образующая на небе пленку. Ощущение жжения в глазах и кожных покровах. Консультация профессора. Диагноз: тяжелая токсико-аллергическая реакция на антибиотики, прогноз сомнителен.

29/XII в 12 ч консультация отоларинголога, стоматолога, терапевта, гематолога, окулиста, в 18 ч 30 мин состояние больного крайне тяжелое: выраженная гипоксия, повышенная кровоточивость, пульс едва прощупывается, кожные покровы синюшно-серые. В 23 ч 29/XII больной К. умер. 30/XII было произведено патологоанатомическое вскрытие. По заключению патологоанатома основным заболеванием у больного К. являлась геморрагическая алейкия, на фоне которой развился некротический ларингит, фарингит, эзофагит и колибациллярный сепсис.

Смерть больного наступила от резкой общей интоксикации, обусловленной сепсисом и чрезвычайно обширными множественными кровоизлияниями.

31/XII труп К. был кремирован, проведена дезинфекция помещений, в которых находился больной К., личные вещи были сожжены.

На вскрытии патологоанатомы, не отрицая диагноза токсического капилляротоксикоза, заподозрили на основании обнаружения биополярных палочек токсическую чуму. 31 /XII на основании дополнительных лабораторных исследований диагноз токсической чумы был отменен.

Позднее было установлено, что больной К. за 2 недели до выезда в Дели «был вакцинирован против оспы, но вакцинальной реакции у него не было отмечено, ранее прививался против оспы только в детстве».

Во время нахождения больного К. дома в Москве с 23 по 27/XII и позднее в больнице с 27 по 29/XII с ним контактировали члены семьи, друзья и медицинский персонал больницы им. С. П. Боткина.

Первые случаи заболеваний натуральной оспой в Москве зарегистрированы с 11 по 14/11960 г. Таким образом, к 14/1, т. е. через 16 сут после смерти К., было установлено, что первый случай натуральной оспы был пропущен. Ретроспективно у больного К. был установлен дигноз purpura variolosa. Пути распространения и формирования очагов натуральной оспы в Москве в 1959–1960 гг. показаны на рис. 3.94.

Рис. 3.94. Пути распространения и формирования очагов натуральной оспы в Москве в 1959–1960 гг. В результате формирования крупного очага натуральной оспы в семье художника К. (5 человек) сформировался очаг в московском отделении Союза художников — от сотрудника Союза художников, в Химико-технологическом институте им. Д. И. Менделеева — от дочери художника, в Проектном институте «Теплоприбор» — от родственника художника, в пошивочном ателье — от близких родственников художника. Кроме того, в семье страхового агента сформировался самостоятельный очаг натуральной оспы, а позднее 24/1 был обнаружен очаг в Сандуновских банях. Оба очага сформировались в результате контакта с членами семьи художника. Наряду с этими очагами самостоятельно развивался мощный очаг в Московской клинической больнице им. С. П. Боткина. Около 1600 сотрудников больницы в течение 3-х недель контактировали с населением города. По А. Ф. Серенко (1962)


Первыми выявленными заболевшими натуральной оспой в результате контакта с больным К. были: его знакомая Н., посещавшая К. после возвращения из Дели, и врач-отоларинголог Т., посещавший больного К. 27 и 29/XII 1959 г. Больная Н., 39 лет, проживает в Москве, находилась в контакте с больным К. и его семьей с момента его приезда в Москву. Оспенные знаки от прививок, произведенных в детстве, отчетливы, позднее прививкам против оспы не подвергалась. Заболела 8/1 1960 г., когда почувствовала головную боль, сильную слабость, боли в суставах; температура 38,6 °C. На 4 сут болезни при снижении температуры появилась мелкоточечная сыпь на коже в области локтевых и коленных суставов, кистях рук с зудом и болевыми ощущениями. На голове, лице и груди пятнистая сыпь. На 5—6-й день пятна как будто приподнялись, образовались везикулы, наполненные желтоватой жидкостью, на ладонях и подошвах зуд, сыпи не отмечалось. На 4-й день наблюдалась припухлость локтевых суставов.

Лабораторно из содержимого пустул и везикул выделен на куриных эмбрионах оспенный вирус.

Диагноз: вариолоид с множественными высыпаниями.

К 26/1 на коже сохранились пигментированные пятна на месте бывших папул. Больная лечилась в инфекционном отделении больницы им. С. П. Боткина, выздоровела, выписана 16/11 1960 г.

Больной Т., 61 года, работает врачом-отоларингологом. В больнице им. С. П. Боткина посещал больного К. 27 и 29/XII 1959 г. Последний раз прививался против оспы в 1914 г. 7/1 1960 г. почувствовал недомогание, головную боль, повышение температуры. 8/1 работал, но чувствовал усталость и головную боль, ушел с работы раньше времени, к вечеру температура поднялась до 38 °C. 9/1 утром принял 1 таблетку сульфазола, затем еще 2 таблетки. К середине дня на коже лица и туловища появилась мелкоточечная узелковая сыпь. Температура 8 и 9/1 держалась в пределах 38,5—39 °C. 10/1 сыпь появилась на голове и конечностях. Температура 39 °C.

11/1 поступил в инфекционное отделение больницы им. С. П. Боткина. При поступлении в больницу состояние больного тяжелое, температура 39,3 °C. На лице, волосистой части головы, туловище и конечностях обильная пятнисто-папулезная сыпь, выраженная также на разгибательных поверхностях конечностей. В зеве легкая гиперемия. 12/1 температура высокая, обильная папулезная полиморфная ярко-красная сыпь.

13/1 зарегистрировано падение температуры до 37,6 °C, сыпь значительно увеличилась по всей поверхности тела, приняла геморрагический характер, появились отдельные везикулы. Врачи заподозрили ветряную оспу.

14/1 лицо пациента стало пастозным, сыпь на лице и волосистой части головы сделалась сливной, более полиморфной. Появилась сыпь на ладонях и подошвах. Наряду со свежими пузырьками, наполненными мутной жидкостью и окаймленными красным ободком, имеются пузырьки, появившиеся ранее, на некоторых из них черные корочки. Возникло подозрение на variola vera.

15/1 температура у больного Т. снизилась до нормальной, состояние улучшилось, локализация сыпи осталась прежней, но на верхушках высыпаний появилось много вдавлений в виде пупочков, количество корочек увеличилось.

Материал из пустул взят на исследование и направлен в лабораторию Московской городской санитарно-эпидемиологической станции и в Институт им. И. И. Мечникова. Приглашенный к больному Т. консультант диагностировал variola vera discreta.

Диагноз оспы 15/1 подтвержден вирусоскопически: обнаружены элементарные тельца Пашена серебрением по Морозову, в последующем через 3 дня методом Пауля и через 6 дней путем реакции задержки гемагглютинации.

В последующие дни при лечении состояние больного заметно улучшилось, отмечалось нагноение везикул и образование корочек. С 21/1 началось обильное образование корочек и шелушение, корочки д лительно задерживались на ладонях и подошвах.

К 14/II очищение от корочек закончилось, оставались пигментированные рубцы в большом количестве на туловище и конечностях, в меньшем количестве на лице.

Лечение проводилось пенициллином и стрептомицином, а также симптоматическое по 21/1. Выписан из больницы 16/11 на 40-й день болезни.

За период с 22/XII 1959 г., т. е. с момента прибытия больного К. из Индии в Москву, и по 16/11 1960 г. различными клиническими формами оспы заболело 46 человек.

При изучении клинических проявлений натуральной оспы во время вспышки выявлен ряд особенностей, представляющих интерес для клиницистов и эпидемиологов даже сегодня. Анергическая форма была у одного больного, сливная — у 2, рассеянная — у 3, вариолоид со множественными высыпаниями — у 8, вариолоид с единичными высыпаниями — у 29 и заболевание без сыпи — у 3 больных (табл. 3.26, 3.27).

Таблица 3.26. Клинические формы болезни и течение натуральной оспы во время вспышки в Москве в 1959–1960 гг.[43]
| Количество случаев болезни | Клиническое течение | Число случаев с летальным исходом

Клиническая форма болезни | все |подтвержденные клинически | подтвержденные лабораторно| тяжелое | среднее | легкое |

Анергическая | 1 | 1 | — | 1 | — | — | 1

Сливная | 2 | 2 | 2 | 2 | — | — | 1

Рассеянная | 3 | 3 | 3 | 3 | — | — | 1

Вариолоидная с множественными высыпаниями | 8 | 8 | 7 | — | 3 | 5 | —

Вариолоидная с единичными высыпаниями | 29 | 29 | 6 | — | 3 | 26 | —

Оспа без сыпи | 3 | 3 | — | — | 1 | 2 | —

Итого | 46 | 46 | 18 | 6 | 7 | 33 | 3

Таблица 3.27. Течение натуральной оспы во время вспышки в Москве в 1959–1960 гг.[44]
День госпитализации с момента заболевания | Количество больных, поступивших из города | Количество больных, выявленных из контактов | Явления продрома | Количество больных с температурной реакцией | с высыпанием

1-й | — | 13 | — | — | — |

2-й | 1 | 5 | — | — | — |

3-й | 3 | 1 | — | — | — |

4-й | — | 2 | — | — | — |

5-й | 1 | — | 12 | — |

6-й | 3 | 2 | 18 | — | — |

7-й | 2 | 1 | 10 | — | — |

8-й | 1 | 4 | 15 | — |

9-й | 2 | — | 2 | 23 | 6 |

10-й | 2 | — | — | 2 | 25 |

11-й | 1 | — | — | — | 9 |

12-й | 2 | — | — | — | 1 |

13-й | 4 | — | — | — | 2 |

Итого | 22 | 24 | 46 | 40 | 43


Тяжелая форма отмечалась у 6 человек, средней тяжести — у 7 и легкие формы — у 33 больных. Из общего количества (46) больных у 43 заболевание закончилось полным выздоровлением, у 3 — летальным исходом. При изучении клинического течения болезни выявлено, что у абсолютного большинства пациентов продромальные явления отмечались в пределах от 5 до 8 сут от заражения, температурная реакция появлялась в период от 8 до 10 сут, высыпания — от 9 до 11 сут. По возрасту всех 44 больных можно разделить на следующие группы: детей до 13 лет — 3 человека, в возрасте от 20 до 50 лет — 37 человек. Среди больных 21 женщина.

У подавляющего большинства больных течение заболевания было легким, только у двух больных натуральной оспой наблюдалось тяжелое течение болезни. Инкубационный период у подавляющего большинства больных (у 31 из 44 наблюдавшихся) колебался в пределах от 7 до 9 сут.

В группе больных вариолоидом с единичными высыпаниями температура быстро повышалась и держалась на высоких значениях 2–3 сут. В день появления папул температура снижалась до нормы; второй лихорадочной волны, связанной с появлением папул, ни в одном случае вариолоида не отмечалось. Продромальная сыпь ранее была зарегистрирована у 2/3 больных на высоте температуры перед появлением характерных для оспы высыпаний.

После отторжения корок у больных вариолоидом рубцовых изменений не оставалось, длительно, до 10–15 сут, держалась пигментация. Кроме общетоксических явлений (головная боль, адинамия, боль в суставах, тошнота, рвота и др.), были отмечены изменения со стороны слизистой оболочки мягкого неба и глотки в виде пузырьковых элементов разной величины на фоне разлитой гиперемии.

До 10-го дня болезни патологических изменений со стороны крови не выявлялось. После 20–30 сут болезни в картине крови отмечалась тенденция к лейкоцитозу и абсолютному нарастанию количества лимфоцитов. Только у одной больной в моче в период лихорадки наблюдалась альбуминурия, у остальных больных патологических отклонений в моче не отмечено.

Один случай заболевания, закончившийся летально, вызвал серьезные разногласия между клиницистами и патологоанатомами.

Больной А. во время вспышки оспы в Москве находился на лечении в Московской городской клинической больнице им. С. П. Боткина с диагнозом лимфогранулематоза, впоследствии присоединилась оспа. Больной погиб на 3-й день после появления высыпаний. Клиницисты утверждали, что больной А. погиб от основного заболевания, патологоанатомы — от оспы, протекавшей по типу вариолоида. Спор этот был решен в пользу натуральной оспы в результате вирусологических исследований и выделения вируса оспы из материала от больного А.

Несмотря на дискуссионный характер диагноза у больного А., учитывая тесный контакт больного А. с больным Б., с эпидемиологической точки зрения этот случай заболевания рассматривался как случай натуральной оспы с последующим осуществлением всех противоэпидемических мероприятий, направленных на локализацию очага. Лабораторная диагностика во время вспышки натуральной оспы в Москве явилась одним из обязательных методов. Большинство (36 случаев) заболеваний протекало по типу вариолоида, т. е. с атипичной клинической картиной, что следует объяснить строгим проведением в нашей стране оспопрививания. Это вызвало серьезные затруднения при клинической диагностике оспы и требовало исключения ветряной оспы почти в каждом случае. Кроме того, лабораторная диагностика была крайне необходима еще и потому, что вспышка протекала в условиях массовой вакцинации, что, естественно, затрудняло дифференциальную диагностику в случаях с различными поствакцинальными осложнениями.

Вирус удавалось выделять из содержимого кожных элементов до 17 сут болезни, а из носоглоточных смывов — на 3–9 сут болезни.

Определение антигемагглютининов в сыворотках заболевших натуральной оспой показало, что более 60 % заболевших имели титр антигемагглютининов 1:160 и выше, в то время как почти у 90 % здоровых, недавно вакцинированных лиц, титр антигемагглютининов не превышал 1:80.

В 36 случаях диагноз натуральной оспы был подтвержден вирус оскопически путем обнаружения телец Гварниери и Пашена в материале из носоглоточных смывов и кожных элементов.

Двое больных, у которых вирус был выделен из крови, погибли. Три случая болезни без кожных высыпаний были подтверждены выделением вируса натуральной оспы из носоглоточных смывов.

Экология и естественная эпидемиология возбудителя оспы обезьян. Инкубационный период болезни у людей — 7-19 сут. Динамика вспышек плохо изучена. Встречается среди людей, живущих в тропических лесах Центральной и Западной Африки. Люди заражаются ВОО при прямом контакте с инфицированными животными (преимущественно обезьяны и белки рода Funisciurus) или больными людьми, а также при употреблении в пищу термически необработанных органов больных животных. Среди животных ВОО очень эффективно передается через воздух, экскременты (рвотные массы и испражнения) и порезы на коже. Первичный природный резервуар ВОО неизвестен. На рис. 3.95. показаны географические районы естественной встречаемости оспы обезьян на африканском континенте и регионы, где она может быть обнаружена из-за сходства экологических условий.

Рис. 3.95. Известные и возможные ареалы оспы обезьян на африканском континенте. А. Территории, где выявлены случаи оспы обезьян среди людей. ВОО, встречающиеся в Центральной Африке, более вирулентные для людей и обезьян, чем вирусы, циркулирующие в Западной Африке. Б. Территории, где экологические условия сходны с теми, на которых поддерживается ВОО. Более плотная штриховка показывает большую вероятность заражения человека ВОО на этой территории. 1 — западноафриканские штаммы; 2 — центральноафриканские штаммы. По R. S. Levine et al. (2007)


Изоляты ВОО, полученные от больных оспой обезьян, обитающих в Западной Африке, менее вирулентны для обезьян и людей, чем изоляты этого же вируса, выделенные от заболевших людей в бассейне реки Конго. Генетически эти изоляты представляют собой разные клады ВОО (см. рис. 3.91). Смертельные исходы оспы обезьян среди людей отмечены только в бассейне реки Конго (Chen N. et al., 2005).

В основном инфицированные ВОО животные встречаются рядом с водоемами в зонах вторичных влажных тропических лесов, густо населенных полосатыми и солнечными белками. Деревья масличной ореховой пальмы (Elaeis guineensis) обеспечивают белок обильной пищей и одновременно привлекают к себе население этих регионов, занимающееся сбором орехов. Такие деревья растут в широких вторичных лесах и на плантациях по всему западу Африки, располагаясь почти непрерывной полосой 50—250 км вдоль побережья Сьерра-Леоне на западе до Южного Камеруна. Этот пояс расширяется в Габоне и Конго, а также занимает почти весь бассейн реки Заир. На рис. 3.96 показана схема передачи ВОО из вторичного природного резервуара в человеческие популяции.

Рис. 3.96. Схема передачи ВОО из вторичного природного резервуара в человеческие популяции. Heliosciurus — род «солнечные белки». Funisciurus — род «полосатые белки». Первичный природный резервуар ВОО не известен. По L. Khodakevich et al. (1988)


Крысы заразили оспой обезьян луговых собачек (луговые собачки Cynomys — грызуны из семейства беличьих. Внешне напоминают сурков. Живут в прерии Северной Америки) в одном из магазинов в штате Висконсин, не контактируя с ними непосредственно. Луговые собачки были помещены в клетки, в которых ранее содержались больные крысы. Затем их в инкубационном периоде болезни развезли по другим магазинам и продали населению. Всего оспой обезьян заболело 11 человек (5 мужчин и 6 женщин) в возрасте от 3 до 45 лет. В 10 случаях заболевание возникло в результате контакта с больным животным (укусы, попадание вируса в ранки на коже). В одном случае эпидемиологи предполагают передачу ВОО от человека к человеку. Инкубационный период болезни занимал от 4 до 24 сут, в среднем 15 сут. Так как ВОО относился к вирусам, циркулирующим в Западной Африке, тяжелых случаев болезни не было (Reed К. D. et al., 2004).

В 1982–1984 гг. в Заире случаи заболевания оспой обезьян, вызванные передачей ВОО от человека к человеку, составляли до трети всех случаев (66 из 210). Временные периоды между контактом и появлением сыпи составляли от 7 до 23 сут. Летальность среди детей в возрасте от 7 мес. до 7 лет достигала 11 %, в возрастной группе от 5 до 14 лет — 7,7 %. Примеры передачи ВОО между людьми приведены на рис. 3.97.

Рис. 3.97. Примеры цепочек передачи ВОО между людьми в Заире. Все заболевшие оспой обезьян проживали в небольших деревнях, распложенных в зоне влажных джунглей, и находились в тесном контакте друг с другом. Предполагается, что заболевший оспой обезьян человек мог быть источником ВОО для другого человека в течение одной недели. М — мужчина, F — женщина. По F. Fenner et al. (1988)


Естественное инфицирование человека ВОО в России возможно в результате контакта с контрабандно завезенными из тропических лесов Центральной и Западной Африки дикоживущих грызунов, белок и обезьян. Другая возможность естественного инфицирования — это пребывание в эндемических по вирусу оспы регионах тропической Африки.

Оспа коров. Это название болезни условно, спектр патогенности вируса оспы коров (CPV) оказался шире, чем считалось тогда, когда болезнь получила это название. Перечень восприимчивых к CPV животных продолжает увеличиваться. У большинства из них болезнь протекает тяжело и сопровождается высокой летальностью. В значительном проценте случаев оспа коров у животных протекает в типичной для поксвирусов форме с развитием характерных поражений (высыпаний) на коже и слизистых. У слонов отмечался, кроме того, отек головы, задних конечностей. У отдельных животных происходила генерализация процесса, сыпь приобретала сливной характер с последующим некрозом кожи и слизистых. Кожная форма инфекции у хищных семейства кошачьих как и у слонов, окапи (крупное парнокопытное млекопитающее из семейства жираф) и носорогов иногда заканчивалась летальным исходом. Оба случая заболевания гигантских муравьедов в Московском зоопарке завершились смертью. У кошачьих (львы, гепарды, черная пантера) болезнь может протекать в легочной форме со 100 % летальностью не позже 8 сут от появления первых симптомов. Клиника легочной формы коровьей оспы характеризуется адинамией, отказом от пищи, затрудненным дыханием, одышкой, приступообразным кашлем и цианозом слизистых. На аутопсии обнаруживают серозно-фибринозную пневмонию с массивным выпотом (до 3 л) в плевральную полость. При легочной форме у животных, как правило, не наблюдалось оспенной сыпи (Маренникова С. С., Щелкунов С. Н., 1998).

Для людей источником CPV могут быть домашние кошки, ламы, рыжие полевки, белые крысы, собаки и кроты (Маренникова С. С. с соавт., 1996; Pahlitzsch R. et al., 2006; Campe H. et al., 2009; Vogel S. et al., 2011). Природные резервуары CPV имеются в Московской области. Ниже по работе С. С. Маренникова с соавт. (1996) привожу краткую историю случая болезни, имевшего место в Московской области.

Девочка Л. Г., 4 лет, не вакцинированная против оспы, заболела в августе 1990 г. во время пребывания на даче под Москвой. До заболевания в течение 2 дней она играла с найденным на участке кротом, беря его в руки и прижимая к себе. Крот был необычно спокойным и малоподвижным. Контакта с другими животными или больными людьми не было. Через 2–3 сут девочка стала вялой, капризной, чувствовала жар. Были очевидными ее недомогание и слабость. На 5 сут после контакта с кротом у нее появились жалобы на боль в правой подмышечной области, где при осмотре оказалось покраснение с узелком в центре, который через сутки превратился в пузырек с пупкообразным вдавлением.

Состояние девочки ухудшалось, и родители увезли ее в Москву, где она была госпитализирована на 9 сут болезни с температурой 39,4 °C. При осмотре в правой подмышечной области была обнаружена окруженная зоной гиперемии и инфильтрации крупная (диаметром 20х18 мм), покрытая плотной коркой подсохшая пустула; значительно увеличенные и болезненные лимфатические узлы справа и слегка увеличенные (до размера горошины) слева. На 10 сут рядом с первичным элементом появились четыре «дочерних» везикулы, три из которых затем с ним слились. Увеличение и болезненность региональных лимфатических узлов, субфебрильная температура и болезненное состояние сохранялись в течение 2 нед. После отпадения корок на месте поражения остался отчетливый большой рубец.

При электронной микроскопии в материале из кожного поражения, взятого на 12 сут болезни, были выявлены вирионы, имевшие кирпичеобразную форму и размеры. Инокуляция этого же материала на ХАО куриных эмбрионов сопровождалась формированием нежных поверхностных оспин среднего размера с яркими геморрагиями. На некоторых оболочках можно было также заметить единичные белые оспины, выступающие над поверхностью ХАО. В целом характер поражений был сходен с таковым, вызываемым референс-штаммом CPV, однако в отличие от последнего, при 72-часовой инкубации вторичные оспины не появились, а сами оспины были мельче. Исследование сыворотки крови девочки иммунологическими способами также свидетельствовало об инфицировании ребенка CPV.

Когда CPV инфицируются люди с иммунодефицитами различного происхождения, оспа коров может по клинике напоминать натуральную оспу. Такой случай описан в Германии С. P. Czerny et al. (1991) у 18-летнего пациента. Он не был вакцинирован против натуральной оспы, страдал экземой и аллергическим астматическим бронхитом, принимал иммуносупрессивные препараты. Оспа коров у пациента развилась сразу как генерализованная инфекция с поражением легких и частично сливными экзантемами, распространившимися по всему телу. Клинические симптомы болезни были сходны с «variola pustulosa haemorrhagica». Больной погиб от легочной эмболии в палате интенсивной терапии. Сводные данные по клинической манифестации оспы коров у людей, географии и источникам их заражения в России, приведены в табл. 3.28.

Передача CPVот человека к человеку наблюдается очень редко и происходит только при тесном контакте с больным. Внешние признаки болезни у животных и внешние признаки болезни у людей приведены на рис. 3.98 и рис. 3.99.

Таблица 3.27. Случаи оспы коров у людей в России[45]
Пациент | Пол | Возраст в годах | Вакцинация против оспы в прошлом | Профессия | Источник заражения | Место и время заражения | Клинические симптомы | Наличие вируса в содержимом кожных поражений | Наличие антител к CPV (EIA-A) в сыворотке крови

Е. Н. | ж | 34 | + | Сотрудница вивария | Укус больной белой крысы | Москва, январь, 1987 | На 3 сут — недомогание, головная боль, слабость, температура до 38 °C, поражение на месте укуса | Выделен CPV (изолят Ель-87) | Обнаружены видо-специфические антитела к CPV

С. О. | ж | 31 | + | Ветеринарный врач вивария | Укус больной белой крысы (через резиновую перчатку) | Москва, апрель, 1987 | На 3 сут — слабость, недомогание, субфебрильная температура; небольшое поражение на месте укуса; увеличение регионарного лимфоузла | Обнаружены вирионы поксвируса | То же

Г. А. | м | 10 | + | Учащийся | Точно не установлен (предположительно мелкие полевые грызуны) | Смоленская обл., август, 1988 | На 3–4 сут — слабость, недомогание, температура до 39 °C; подчелюстной лимфаденит; боль и поражения в области правого уха; на 12–13 сут высыпания на нижних конечностях | Выделен CPV (изолят Арго-8 8) | То же

Г. Е. | ж | 4,5 | — | Точно неизвестно (тесный контакт с кротом) | Московская обл., август, 1990 | На 3 сут — вялость, недомогание, температура до 40 °C; на 5 сут — боль и местные поражения в правой подмышечной области; подмышеный лимфаденит. На 10 сут вторичные высыпания вокруг первичного очага | То же (изолят GRI-90) | То же

Р. Е. | м | 12 | — | Учащийся | Тесный контакт с белой крысой-вирусоносителем ** | Москва, | апрель, | 1991 | На 2–3 сут — слабость, недомогание, температура до 38 °C; местные поражения на плече и шее справа, подмышечный лимфаденит справа | То же (изолят Rev-91) | То же

Д. К. | м | 10 | — | Учащийся | Тесный контакт с белой крысой-вирусоносителем ** | Москва, май, 1991 | На 3 сут — слабость, недомогание, температура до 38–40 °C; поражения на туловище, на 6–8 сут — на лице и руке; двусторонний лимфаденит | То же (изолят DK-91) | То же

Рис. 3.98. Кожные поражения при оспе коров у животных. А. Кожные поражения в виде кратера вокруг ануса ламы. По С. Cardeti et al. (2011). Б. Кожные поражения на лапках крыс. По S. Vogel et al. (2011)

Рис. 3.99. Кожные поражения при оспе коров у людей. А. Некротические поражения и лимфаденит у 16-летней пациентки, ранее не вакцинированной против натуральной оспы. Б. Кожные поражения у ее матери (40 лет). Ранее была вакцинирована против натуральной оспы. Оба снимка сделаны через 15 сут после приобретения в зоомагазине белой крысы, инфицированной CPV. По Н. Сатре et al. (2009). В. Некротические поражения и лимфаденит у 16-летней пациентки. Г. Раннее проявление кожного поражения у 42-летнего мужчины — язва диаметром 35 мм с некротическим дном и лимфаденит. По S. Vogel et al. (2011)


Восприимчивость к возбудителю натуральной оспы людей и животных. Среди невакцинированных людей есть как невосприимчивые к ВНО лица, так и обладающие повышенной восприимчивостью. Во времена крупных эпидемий второй половины XIX в. наблюдали, что на 100 взрослых 5–6 человек не заболевают, несмотря на «пребывание в заразной обстановке». Обширные наблюдения врожденной невосприимчивости к ВНО стали накапливаться с началом кампаний массовой вакцинации. При систематической вакцинации в Германии некоторая часть детей обнаруживала иммунитет. Так, по наблюдениям Р. Коха (1880), на 58913 привитых детей 780 дали отрицательный результат при однократной и повторной прививке и 48 — при троекратной. Описаны случаи 5-, 6- и 8-кратной безуспешной прививки. Процент невосприимчивых к вакцине детей, у различных авторов сильно колеблется: от 0,08 до 2,44 %, что, по мнению Н. Ф. Гамалеи (1913), отражает частоту оспенных эпидемий в данной группе населения в прошлом. Он объяснял это явление тем, что при долгом существовании среди населения какой-либо опасной инфекции, наиболее поражаются и вымирают самые восприимчивые к ней индивидуумы, остаются же и оставляют потомство те, которые обладают сравнительно прочной иммунной системой.

Сверхвосприимчивость у людей к ВНО проявлялась во время оспенных эпидемий, по крайней мере, шестью группами событий:

1) повторными (многократными) заболеваниями у отдельных лиц и семей;

2) высокой смертностью в отдельных возрастных группах населения;

3) крайне тяжелым типичным течением болезни у отдельных лиц, при относительно легком ее развитии у большинства остальных заболевших;

4) крайне тяжелым нетипичным течением оспы или вакцинного процесса у отдельных лиц при типичном их развитии у остальных заболевших;

5) высокой смертностью в отдельных человеческих популяциях (этнических группах);

6) микст-эпидемиями — в этом случае натуральная оспа либо завершает эпидемическую катастрофу, вызванную другими опасными инфекциями, либо встраивается в последовательно развивающуюся цепочкуэпидемических катастроф, где они вместе или, следуя «друг за другом», в каком-то смысле, уподобляются «бичу Божьему».

Крайне тяжелое нетипичное течение вакцинального процесса у отдельных лиц, при типичном их развитии у остальных вакцинированных, наблюдали в конце XIX в. в регионах Африки, население которых сегодня поражено СПИДом. Так, из 1156 детей, привитых британскими врачами в Стране зулусов (Зулуленд), у 240 из них вакцинация осложнилась генерализацией процесса. Для 16 детей она окончились смертью при явлениях бронхопневмонии. У 20 % вакцинированных детей общее высыпание наступило через 28–44 сут после прививки, а у 75 % на 8 сут наблюдалось появление вторичных пузырьков вокруг первичной оспины (master-pox), а затем развивалось общее высыпание в течение 2–3 мес. Высыпания имели все характерные признаки оспы: сначала пятна, затем папулы и везикулы с пупком (Гамалея Н. Ф., 1913).

Инфицирующая доза ВНО для человека составляет несколько вирусных частиц, более точные данных в открытых источниках я не нашел. Инфицирующие дозы ВНО для приматов на несколько порядков превышают инфицирующие дозы для человека. К экспериментальному заражению большими дозами ВНО восприимчивы как человекообразные обезьяны (орангутаны), так и ряд низкоорганизованных видов этих животных: макака-резус, яванские обезьяны и др. Вирус патогенен для обезьян при различных путях введения. Описаны результаты успешного заражения нанесением ВНО на скарифицированную кожу, введением внутривенно, с использованием аэрозоля, в тестикулы, бронхи, трахею. При интрацеребральном заражении вирус не вызывает болезни. Инокуляция вируса ВНО обезьянам может вызывать у них в зависимости от дозы и способа заражения либо местный процесс, либо генерализованную инфекцию различной тяжести, напоминающую отдельные клинические формы оспы у человека (от дискретной до геморрагической). Обычно генерализованная инфекция протекает в относительно легкой форме и заканчивается выздоровлением. Инфицирующие дозы для приматов в зависимости от пути введения вируса приведены в разд. «Клиническая картина натуральной оспы у животных при искусственном инфицировании».

По данным большинства исследователей, ВНО не патогенен для взрослых белых мышей при различных путях введения. Выявлена восприимчивость к ВНО белых мышей-сосунков. Вирус размножается и может поддерживаться в пассажах при внут-рибрюшинном введении. При введении ВНО в мозг новорожденным мышам у них наблюдается генерализованная инфекция с размножением вируса в мозгу, во внутренних органах и с двумя волнами виремии. Повышение восприимчивости к ВНО взрослых белых мышей может быть достигнуто с помощью облучения (6 °Cо). В этих условиях как клиническое течение болезни, так и вирусологические показатели становятся такими же, как у 10-12-суточных, естественно восприимчивых к вирусу мышей.

Данные о восприимчивости к ВНО белых крыс противоречивы. Наряду с указаниями на отсутствие патогенности ВНО для этих животных имеются сообщения о способности некоторых штаммов образовывать папулы при нанесении вируса на скарифицированную кожу, специфического кератита при введении вируса на роговую оболочку и интерстициальной пневмонии с цитоплазматическими включениями в пораженных клетках при интраназальном заражении.

К ВНО невосприимчивы морские свинки, кролики, золотистые хомячки, хлопковые крысы, свиньи, козы, бараны и телята. Помимо дозы, на тяжесть и исход болезни влияет возраст животного: молодые животные более чувствительны к ВНО.

Восприимчивость к возбудителю оспы обезьян у животных. ВОО весьма патогенен для белок, кроликов, белых мышей, хлопковых крыс, многососковых крыс, обезьян, и, возможно, антилоп. Из обезьян наиболее чувствительны к ВОО орангутаны. Обезьяны могут быть бессимптомными носителями ВОО. К вирусу невосприимчивы золотистые хомячки, белые крысы и морские свинки (Маренникова С. С., Щелкунов С. Н., 1998). Инфицирующие дозы для отдельных видов животных, в зависимости от пути введения вируса, приведены в разделе «Клиническая картина натуральной оспы у животных при искусственном инфицировании».

Иммунитет к поксвирусам. Основной антигенной детерминантой поксвирусов и мишенью для протективных антител является консервативный белок L1 (другое название L1R). У вируса вакцины, вируса оспы обезьян и ВНО этот белок различается отдельными аминокислотами. Антитела к L1 способны блокировать инвазию орто-поквирусов в клетки. Поэтому он рассматривается учеными в качестве кандидата на включение в перспективные противооспенные вакцины (рис. 3.100).

Рис. 3.100. Структура белка L1. А. Две проекции белка на ленточной диаграмме. Фронтальный вид (верхнее изображение) показывает расположение спиралей на одной стороне молекулы, на другой стороне изображены параллельные (3-складки, сформированные непараллельными p-цепями, соединенными через петлю и тремя дисульфидными связями. Нижняя проекция показывает рЗ, р4 и а5, упакованные вблизи центра молекулы. Обозначены спирали (al — a5), N-конец (N), и С-конец (С). Б. Вверху показан димер L1. Взаимодействие двух L1 молекул происходит через края р-складок. Нижнее изображение показывает L1 со стороны р-складок (темная область). L1 — крупная консервативная белковая молекула-мономер с несколькими конформационными эпитопами презентируется иммунным клеткам в виде димера. По Su Ниа-Роо (2005)


На заключительной стадии морфогенеза вируса образуются так называемые внутриклеточные зрелые вирионы (intracellular mature virions, IMVs; см. рис. 3.89), которые имеют липидные мембраны и представляют собой уже способные к инфекции частицы вируса. Большинство IMVвысвобождаются из фагоцитирующей клетки после ее лизиса. Некоторые из них могут транспортироваться через клеточную мембрану хозяина до лизиса клетки. После чего они остаются присоединенными к ее наружной поверхности или отделяются от нее уже как внеклеточный оболочечный вирус (extracellular enveloped virus, EEV). Елавную роль в передаче вируса от одного хозяина к другому играет его IMV-форма (Su Н. et al., 2005).

L1 играет основную роль в «созревании» вирионов ортопоксвирусов. Он представляет собой миристиолированный оболочечный белок (myristoylated envelope protein), состоящий из 250 аминокислотных остатков, экспрессирующийся на поверхности IMV-формы вируса. Его С-гидрофобный сегмент погружен в вирусную мембрану, но консервативная часть L1, включающая 185 аминокислотных остатков, локализуется в цитоплазме клетки-хозяина. Консервативность L1 как антигена предопределяет его ключевая роль в морфогенезе вируса. В области N-конца белка L1 формируется гидрофобная «каверна», необходимая для сборки вириона. После лизиса клетки этот эктодомен экспонируется Т- и В-клеткам иммунной системы и вызывает сильный ответ с их стороны (Su Н. et al., 2005).

Мыши, дефектные по В-клеткам (В-клетки синтезируют и секретируют специфические антитела), так же как и мыши, истощенные по CD4 (помогают в активации и трансформации В-лимфоцитов и в синтезе иммуноглобулинов), неспособны освободиться от вируса и погибают. Так же они оказались неспособны переключаться на IgG (высокоаффинный и количественно доминирующий иммуноглобулин) или на IgM-ответы (IgM низкоаффинный иммуноглобулин, преобладающий во внутрисосу-дистом пуле иммуноглобулинов в начале инфекционного процесса). В ответах на острую инфекцию вирусоспецифические антитела наиболее эффективно освобождают организм от вируса. Вирус разрушается по различным механизмам, предполагающим участие специфических антител. Во-первых, антитела могут непосредственно связывать вирус, вызывая его агрегацию и препятствуя адсорбции и интернализации в клетках. Во-вторых, они могут связывать вирус, вызывая его разрушение с помощью комплемента или опсонизации, а затем посредством фагоцитоза. Антитела к L1 могут связывать инфицированные клетки хозяина, вызывая цитотоксические реакции со стороны клеток-киллеров и др. (Xu R. et al., 2004).

Кроме белка L1, в иммунном ответе на ортопоксвирусы участвуют еще два антигена. Один из них, так называемый ранний антиген (ES), формируется на мембранах инфицированных клеток до начала синтеза ДНК. Антитела, вырабатывающиеся в ответ на введение этого антигена, реагируют с ним в РСК, но не нейтрализуют вирус. Такой же антиген выявлен у большинства штаммов вируса вакцины, а также вирусов оспы обезьян и оспы коров. Другой антиген вируса оспы, гемагглютинин, впервые обнаруженный у ортопоксвирусов Барнетом, считался лишенным выраженной видо-специфичности, хотя ряд авторов отмечали, что титры в РТГА с гомологичным вирусом были обычно выше, чем с гетерологичным. Лишь в самое последнее время после расшифровки структуры гена гемагглютинина ряда ортопоксвирусов и кодируемых им полипептидов, удалось не только установить видоспецифические различия отдельных генов гемагглютинина, но и разработать на этой основе методы межвидовой дифференциации ортопоксвирусов (Маренникова С. С., Щелкунов С. Н., 1998).

Иммунитет к оспе может быть создан путем прививки оспенной вакцины. Однако напряженность и продолжительность такого иммунитета меньше, чем после перенесенной натуральной оспы. По данным Комитета экспертов ВОЗ по оспе (1964), иммунитет после первичной вакцинации примерно в 10 раз слабее, чем после пере-болевания оспой.

Пассивный иммунитет к ВНО может быть создан путем введения ИЛП, содержащих противооспенные антитела (сыворотки реконвалесцентов, иммуноглобулины из сывороток гипериммунизированных животных или недавно вакцинированных людей). Имеются доказательства эффективности создания таким образом иммунитета как в эксперименте, так и в эпидемиологических условиях. Пассивный иммунитет может быть также обусловлен трансплацентарным переносом антител от матери новорожденному.

Натуральная оспа повторяется у одного и того же человека очень редко — по наблюдениям Н. Ф. Гамалеи (1913), 1:3000 переболевших, но через 50 лет Комитет экспертов ВОЗ по оспе (1964) оценивал это соотношение уже как 1:1000.

Устойчивость возбудителя натуральной оспы во внешней среде. В высушенном состоянии ВНО более устойчив к воздействию высокой температуры. Так, при температуре 100 °C он погибает через 10 мин, а при температуре 60 °C — через 1 ч, в то время как в жидком состоянии (суспензия) вирус инактивируется полностью при температуре 60 °C через 30 мин. В паровоздушной камере полное обеззараживание достигается при температуре 96 °C при экспозиции 45 мин, а в пароформалиновой камере — при температуре 57 °C через 1 ч при введении формалина из расчета 150 мл на 1 м3.

Для инактивирования ВНО, содержащегося в корочках больного натуральной оспой, требуется воздействие 3 %-ного раствора хлорамина в течение 1 ч, тогда как вирус в жидком состоянии погибает в 1 %-ном растворе хлорамина в течение 30 мин. Для обеззараживания выделений больного применяли растворы хлорамина в большей концентрации в связи с тем, что белковые субстанции выделений создают защитный барьер. Для обеззараживания слюны требовался 2 %-ный раствор хлорамина с экспозицией 30 мин, а для обеззараживания мокроты — 3 %-ный раствор и экспозиция 1 ч, 5 %-ный раствор хлорамина инактивирует вирус в клетках ХАО в течение 2 ч. Губительно действуют на вирус 3 %-ные растворы фенола и лизола в течение 30 мин, осветленный 1 %-ный раствор хлорной извести, 1 %-ный раствор хлор-|3-нафтола и 0,5 % гексилрезорцина в течение 1 ч. Чувствителен ВНО к сулеме и окислителям типа марганцовокислого калия. ВНО неустойчив к действию света. На свету он погибает через 35 сут, а при хранении в темноте — через 84 сут. В течение нескольких лет вирус выживает в 50 %-ном глицерине, не теряя активности. Оптимальной зоной pH для ВНО является 7–7,4. Изменение pH как в щелочную, так и особенно в кислую сторону, приводит к снижению активности вируса. При pH 3 ВНО инактивируется в течение 1 ч.

Наиболее длительно ВНО сохраняется в оспенных корках. По данным Е. Ф. Беланова с соавт. (1997), проведших исследование оспенных корочек, хранившихся 26 лет при температуре — 20 °C, жизнеспособный вирус был выделен практически из всех семи изученных проб от разных больных. На основании сделанных расчетов авторы пришли к выводу, что продолжительность сохранения жизнеспособности ВНО, находящегося в подобных условиях, может быть более 100 лет и таким образом имеются реальные шансы обнаружить живой вирус в трупах жертв оспы, захороненных в мерзлотных грунтах.

Находясь во взвеси ХАО, ВНО выдерживает прогревание при температуре 50 °C в течение двух часов без резкого снижения инфекционной активности. Однако дальнейшее повышение температуры оказывается критическим: при температуре 60 °C он инактивируется за 10 мин, а при температуре 70 °C — за 5 мин. Кипячение разрушает вирус практически сразу. Высушивание вируссодержащих культур (из замороженного состояния под вакуумом) значительно увеличивает устойчивость вируса к температуре (Маренникова С. С., Щелкунов С. Н., 1998).

Антивирусные препараты. В отличие от бактериальных инфекций, контролировать с помощью химиотерапевтических препаратов вирусные инфекции очень сложно. Бактерии, инфицировавшие клетку, для своей репликации используют собственные метаболические пути, и на них можно влиять с помощью антибиотиков и химиопрепаратов. Вирусы реплицируются в клетке с использованием ее собственных метаболических путей. Механизмы действия антивирусных препаратов и механизмы резистентности к ним у вирусов, обобщены в табл. 2.9.

Выбор химиопрепаратов для лечения поксвирусных инфекций основывался на результатах изучения особенностей репликационного цикла поксвирусов и синтеза вирусных белков, позволяющих осуществить их избирательный таргетинг, не нарушая метаболических процессов инфицированной клетки. Ниже, в основном, по работе К. Sliva и В. Schnierle (2007), приведено краткое описание препаратов, обладающих активностью в отношении инфекций, вызываемых поксвирусами.

Метисазон (methisazonum, 2-(1,2-дигидро-1-метил-2-оксо-ЗН-индол-3-илиден) — гидразинкарботиоамид; синонимы: kemoviran, marboran, metisazon, viruzona, мербо-ран) — нарушает процесс сборки вирионов, угнетает синтез вирусных структурных белков. До 1960-х гг. рассматривался как противотуберкулезный препарат. В 1960 гг. активно изучался как препарат для химиотерапии натуральной оспы. Клинически было доказано, что этот препарат не эффективен при лечении развившейся болезни, но снижает заболеваемость и смертность, при введении с профилактической целью людям, контактировавшим с больными натуральной оспой. Наиболее оптимальным считался прием per os 3 г препарата двумя дозами с интервалом 8 ч (McClain D. J., 1997). Препарат используется для лечения больных с поствакцинальными осложнениями (вакцинальная экзема, гангренозная вакцина и др.).

Рифампицин (rifampicinum, rifampin; 3-[[(4-метил-1 — пиперазинил)имино]метил]) — подавляет ДНК-зависимую РНК-полимеразу микроорганизмов. Противотуберкулезный препарат. Размножение поксвирусов рифампицин блокирует, предотвращая расщепление прекурсорных белков. Клиническая эффективность показана только при применении очень высоких доз, что исключает его широкое применение.

Рибавирин (ribavirin, copegus, rebetol, ribasphere, vilona, virazole) — синтетический аналог нуклеозидов, антивирусный препарат с плохо изученным механизмом действия в отношении ДНК-вирусов.

Цидофовир (CDV–Vistide, вистид) — ациклический нуклеозид фосфонат (acyclic nucleosidephosphonate). Селективно ингибирует вирусную ДНК-полимеразу, тем самым блокирует вирусную репликацию и транскрипцию. Рекомендуется для лечения поксвирусных инфекций, в том случае, если гипериммунный противооспенный иммуноглобулин оказывается неэффективным. Путем присоединения липида к молекуле цидофовира создан модифицированный препарат, который в 100 раз более эффективно, чем исходный, блокирует размножение ВНО в культурах клеток. В опытах на мышах показана его значительно более высокая и длительная профилактическая эффективность при ингаляционном введении (Bray М., Roy С., 2004). Механизмы резистентности поксвирусов к цидофовиру показаны на рис. 2.20.

Адефовир (adefovir dipivoxil, HEPSERA, ЕЕПСЕРА) — ациклический аналог адено-зина монофосфата. В клетке фосфорилируется под действием клеточных киназ в активный метаболит — адефовира дифосфат. Он ингибирует ДНК-полимеразу ДНК-вирусов (обратную транскриптазу), конкурируя с естественным субстратом дезоксиаде-нозина трифосфатом и вызывая обрыв цепи ДНК после его инкорпорации в вирусную ДНК. В условиях in vitro показывает значительную активность в отношении поксвирусов. Хорошо переносится человеком при приеме per os.

Новое направление в разработке антипоксвирусных препаратов включает разработку киназных ингибиторов, ранее применявшихся только для лечения онкологических болезней. Это новый класс препаратов, не ингибирующих репликацию поксвирусов, но уменьшающий их способность передаваться между клетками через блокирование полимеризации актина, играющего важную роль в межклеточной адгезии и передаче вирусов. Среди таких препаратов наиболее изучен противолейкозный цитостатический препарат иматиниб (Gleevec, STI-571, imatinib mesylate или Glivec). На рис. 3.101 приведено схематическое изображение цикла репликации поксвирусов с указанием «точек воздействия» антипоксвирусных препаратов.

Рис. 3.101. Схематическое изображение цикла репликации поксвирусов с указанием «точек воздействия» антивирусных препаратов. По К. Sliva, В. Schnierle (2007)


Обнаружение генетически измененных штаммов ортопоксвирусов. Коллекции ВНО хранятся в двух государственных лабораториях в России и США, и теоретически ВНО не доступен для террористов. К тому же он не имеет «недостатков», которые могут вызвать у преступников желание вмешаться в его геном, а потом запутаться в разнообразных рукотворных эффектах при культивировании и хранении полученного штамма вируса. Значительно большую опасность, чем генетически измененные штаммы, представляют природные антигенно-атипичные штаммы ВНО, обнаруженные в средине 1970-х гг. (см. работу Маренниковой С. С., Щелкунова С. Н., 1998). В отношении таких вирусов вакцинация может оказаться малоэффективной. Более вероятно, что объектом генно-инженерного вмешательства преступников станет не ВНО, а другие патогенные и даже непатогенные для человека ортопоксвирусы. В разд. 2.2.2 «Механизмы вмешательства в геном вирусов» приводится описание таких экспериментов. Подозрение о применении генетически модифицированных или специально селекционированных ВНО и ВОО должно возникнуть при:

1) обнаружении у заболевших людей штаммов вирусов, резистентных к препаратам, обычно используемым для лечения поксвирусных инфекций;

2) установлении низкой защитной эффективности вакцинации, проведенной живыми противооспенными вакцинами.

Достоверно установить же факт вмешательства в геном ортопоксвируса, использованного для совершения преступления, можно по результатам секвенирования, сопоставив выявленную нуклеотидную последовательность с эталонной. Интерес у экспертов должны вызвать нуклеотидные последовательности генов токсинов эукариотических организмов; генов других вирусов, особенно когда обнаруживаются реп-ликоны этих вирусов; гены белков, участвующих в регуляции иммунных ответов, но отсутствующие в геноме эталонного вируса; гены прионовых белков.

Патогенез ортопоксвирусных инфекций. Общим для всех генерализованных орто-поксвирусных инфекций, включая натуральную оспу и оспу обезьян, является ступенеобразный характер распространения вируса по организму, проходящий три основных этапа: инфицирование клеток, репликация вируса и его «выброс» в кровеносное русло. Заражение человека происходит через слизистые оболочки верхних дыхательных путей, куда ВНО проникает воздушно-капельным или воздушно-пылевым путем. Не исключено также заражение через поврежденную кожу. Если заражение произошло через поврежденную кожу, то первоначально возникает локальное поражение на месте внедрения вируса с последующей генерализацией процесса. Подобный путь заражения возможен, но для вспышек естественного происхождения он не имеет практического значения и встречается чрезвычайно редко.

Первыми клетками, вступающими в контакт с ортопоксвирусами, являются поли-морфоядерные лейкоциты (макрофаги и моноциты). За счет градиента продуцируемых ими хемоаттрактантов они «притягивают» другие фагоцитирующие клетки и запускают каскад самых разнообразных реакций, которые «в сумме» рассматриваются учеными как «иммунные». В составе макрофагов и моноцитов вирус достигает дренажных лимфатических узлов примерно через 8 ч. Разрушившиеся фагоцитирующие клетки становятся источником вируса, а через 2–3 сут его обнаруживают уже в крови (первичная виремия), костном мозге, печени и селезенке. В пробах крови больного натуральной оспой в этот период можно обнаружить как инфицированные, так и неин-фицированные лейкоциты, но в основном репликация ВНО происходит в моноцитах/макрофагах, тогда как Т-лимфоциты остаются неинфицированными, но при этом имеет место выраженная лимфопения. У больного наблюдается первый подъем температуры до 39,5-40,5 °C, сопровождающийся ознобом, тошной, рвотой, мучительной головной болью.

Вирус распространяется из лимфатических узлов фагоцитирущими клетками крови по внутренним органам через выносящие (эфферентные) лимфатические сосуды. Обладая выраженным тропизмом к тканям эктодермального происхождения, вирус проникает в эпителий кожи и слизистых, в печень, костный мозг и другие ткани и органы ретикулоэндотелиальной системы, где начинается его репликация. Количество вируса через 4–5 сут уже превышает емкость ретикуло-эндотелиальной системы, и он вновь проникает в кровяное русло.

Вторичная виремия обычно соответствует началу клинической манифестации болезни. Развиваются паренхиматозные изменения во внутренних органах. На коже начинается циклическое развитие папулезной и везикуло-пустулезной сыпи (экзантем), заканчивающееся образованием корок. В тканях слизистых оболочек рта, языка, зева, гортани, трахеи и др. появляются внутренние сыпи — энантемы.

Начальный элемент сыпи на коже — макула (лат. macula — пятно) — пятно бледно-красного цвета, слегка возвышающееся над нормальной кожей. Развивается вследствие гиперемии дермы. Далее наступают отек, воспалительная инфильтрация сосочкового слоя эпидермиса и пролиферация глубоких слоев, создающая утолщения, что ведет к образованию бесполостных узелков или папул (лат. papula — узелок) на 3–7 сут болезни, более темного цвета и диаметром около 3 мм. Эпителиальные клетки глубокого слоя подвергаются коагуляционному некрозу и отчасти вакуольному перерождению, при котором протоплазма клеток разжижается, отходит от ядра, образуя перенуклеарные пространства, которые заполняются жидкостью. Клетки теряют ядра, оболочки их разрываются, и на 7–8 сут болезни образуется пузырек — везикула (лат. vesicula — пузырек), т. е. элемент, имеющий дно, покрышку и полость. Образование везикул сопровождается дискомплекцией эпидермальных клеток, расслаиванием эпидермиса и формированием длинных тяжей, направленных от основания пузырька к его верхушке и делящих его на камеры. Пролиферация клеток эпителия по периферии пузырька образует валик, приподнимая его края. В центре сохраняются тяжи, которые втягивают поверхностную оболочку пузырька. Это ведет к образованию оспины — везикулы с центральным (пупкообразным) западанием.

Западание в центре оспин характерно только для оспы. Оно не встречается при пустулезных дерматитах иной этиологии. Нарастающие явления воспаления в сосочковом слое дермы и миграции лейкоцитов из капилляров в экссудат, заполняющий пузырек, придают последнему молочно-мутный оттенок. Содержимое везикулы, как правило, подвержено вторичному инфицированию стафилококками, стрептококками и другими микробами, поэтому на 9-10 сут экссудат становится серозно-гнойным и приобретает серовато-желтую окраску; центральное западание исчезает, формируется оспенная пустула (лат. pustule — гнойничок). При повышенной проницаемости сосудов в экссудат проникает большое количество эритроцитов, пустула становится геморрагической.

Увеличение количества экссудата ведет к истончению стенки покрова пустулы с последующим нарушением его целостности. Через поврежденную стенку покрова содержимое вытекает из пустулы и, подсыхая, образует оспенную корку. Цвет корок зависит от состава экссудата: если в нем преобладает серозно-гнойное содержимое, то оно, подсыхая, образует серовато-бурые, а при геморрагическом компоненте — черные корки.

Второй подъем температуры наступает на 9—10 сут болезни. Он обусловлен нагноением содержимого пустул и связанного с ним всасывания пирогенных веществ, образующихся при разрушении клеток, а также вследствие присоединившейся вторичной инфекции. У больных, ослабленных оспенной инфекцией, вторичная инфекция может послужить причиной серьезных осложнений — вызвать флегмоны, абсцессы, рожистое воспаление, бронхопневмонию и т. д.

В основе патогенеза поксвирусных инфекций лежит способность вирусов к интерференции с защитными иммунными механизмами макроорганизма. Такая стратегия поксвирусов включает синтез инфицированными фагоцитирующими клетками вирусных гомологов хемокинов или хемокиновых рецепторов и других белков, связывающих хемокины, синтезируемые неинфицированными фагоцитирующими клетками. Она не оригинальна; применительно к фагоцитирующим клеткам такая стратегия используется большинством ДНК-вирусов (рис. 3.102; табл. 3.29).

Рис. 3.102. Модуляция хемокиновой системы ортопоквирусами. А. Экспрессия вирусных гомологов хемокинов, рецепторов хемокинов и хемокинсвязывающих белков. Б. Частный случай антихемокиновой стратегии — ингибирование миграции созревающих дендритных клеток (DC). Вирусные хемокинсвязывающие белки интерферируют с хемокинами CCL3 и CCL5. Несозревшие DC экспрессируют воспалительные хемокиновые рецепторы (CCR1, CXCR1) и мигрируют в инфицированные ткани в ответ на такие хемокины, как CCL3 и CCL5. Созревшие DC экспрессируют CCR7 и CXCR4 и мигрируют во вторичные лимфоидные органы в ответ на CCL19 и CXCL12, где они представляют антиген «наивным» Т-клеткам. 1 — вирусный хемокин (антагонист); 2 — вирусный хемокин (агонист); 3 — хемокиновый рецептор; 4 — рецептор вирусного хемокина; 5 — сигнальная трансдукция и биологический эффект; 6 — клеточная миграция. По A. Alcami (2007)

Таблица 3.29. Портрет серийного убийцы: иммуномодулирующие гены ВНО[46]
Иммуномодулирующее действие | Variola major | Variola minor | Комментарии

IFN-a/p-ингибитор | B20R | D9R | He проверено

IFN-у-ингибитор | B9R | H9R | Ингибирование человеческого IFN-y

е1Р2а-мимикрия | C3L | D3L | He проверено

dsRNA-BP | E3L | C3L | He проверено

Ингибитор фактора некроза опухолей | G2R | G2R | He проверено

Ингибитор NF-kB | P1L | P1L | He проверено

TLR сигнальный ингибитор | A52R | A56R | He проверено

IL-18-связывающий белок | D5L | B6L | Ингибитор человеческого IE-18

Хемокинсвязывающие белки | G3R | A46L | G3R ингибирует у людей хемокины СС

Фактор роста вирусов | G3R | B3R | Связывает и активирует человеческий EGF-R (erbBl)

Ингибитор комплемента/SPICE | D12L | B18L | Ингибирует каскад комплемента у людей

GM-CSF/IL-2 ингибитор | A46R | A49L | Не проверено

Семафорин | A42R | A45R | Не проверено

Серпины | B13R, B25R, C2L | D14R, | D2R | Не проверено


Постоянно находясь во влажной среде, слизистые оболочки верхних дыхательных путей мацерируются, изъязвляются, и заразное содержимое, выделяясь на влажную поверхность слизистой оболочки, инфицирует секрет и служит материалом для образования капельной инфекции. Выделение вируса из зева отмечалось, начиная с 3–4 сут, т. е. практически с появления энантемы, и продолжалось в течение 7–9 и даже 13 сут в зависимости от тяжести болезни и ее типа.

Циркулирующие в крови специфические антитела выявляются уже на 7 сут после инфицирования человека ВНО, и их максимальный уровень достигается на 14 сут. Одновременно с нарастанием количества специфических антител, происходит снижение количества вируса в тканях.

Клиническая и патологоанатомическая картина натуральной оспы у человека при естественном инфицировании.[47] Течение типичных форм болезни средней тяжести у непривитых включает три периода:

1) инкубацию;

2) болезнь;

3) выздоровление.

Инкубационный период чаще всего длится 9-12 сут. Максимальная его продолжительность — 15 сут.

Период болезни подразделяется на:

а) стадию предвестников (продром), в среднем длящуюся 2–4 сут;

б) стадию высыпания продолжительностью 4–5 сут;

в) стадию нагноения длительностью 7-10 сут.

Период выздоровления длится 20–30 сут. В нем выделяют стадию подсыхания и стадию отпадения корок. В целом заболевание средней тяжести продолжается около 6 недель, но иногда принимает затяжное течение и длится до 3 месяцев и дольше. Легкие формы болезни имеют меньшую продолжительность. Известны легкие заболевания, которые длятся один день (эфемерные формы оспы).

Клиническая картина натуральной оспы обусловливается тяжестью развивающегося инфекционного процесса. Существуют разные классификации клинических форм натуральной оспы. В табл. 3.30 приведена классификация из работы С. С. Маренниковой и С. Н. Щелкунова (1998). Ниже приведена классификация и клиническое описание П. Н. Бургасова, Г. П. Николаевского (1972). Эти авторы различают следующие формы натуральной оспы:

1. Тяжелые

Геморрагическая оспа:

оспенная пурпура — purpura variolosa;

пустулезно-геморрагическая или черная оспа — Variola pustulosa haemorrhagika;

сливная оспа — variola confluens.

2. Средней тяжести

Рассеянная оспа — variola vera discreta.

3. Легкие

вариолоид — variolois;

оспа без сыпи — variola sine exanthemate;

оспа без температуры — variola afebrilis.

Геморрагическая форма оспы — тяжело протекающая болезнь с наличием геморрагического диатеза. Если кровоизлияния появляются в раннем периоде предвестников, болезнь принимает крайне тяжелую форму с летальностью до 100 %, известную ную в клинике как оспенная пурпура (purpura variolosa).

Таблица 3.30. Классификация клинических типов большой оспы (variola major)[48]
Тип | Основные особенности

Обычная | Распространенная сыпь, элементы которой проходят характерную эволюцию (макула → папула → везикула → пустула → корки). Подтипы: сливная — сливная сыпь на лице и разгибательных поверхностях конечностей, дискретная на остальных частях тела; полусливная — сливная сыпь на лице и дискретная на теле и конечностях; дискретная — оспины рассеяны по всему телу с нормальной кожей между ними

Модифицированная (вариолоид) | Подобна обычной (может быть сливной, полусливной и дискретной), но отличается ускоренным течением и отсутствием токсикоза

Оспа без сыпи | Лихорадка и другие продромальные симптомы, оспенная сыпь не развивается; наблюдается у лиц с высокой напряженностью иммунитета, однако в редких случаях встречается и у невакцинированных; диагноз подтверждается серологически

Плоская | Элементы сыпи плоские, как бы утоплены в коже и в большинстве случаев, не имеющие характерного западения в центре. Пустулы наблюдаются очень редко. Заболевание протекает на фоне высокой температуры и тяжелого токсикоза и часто сопровождается осложнениями со стороны легких. Могут наблюдаться отслоения кожи в местах поражений. В отличие от геморрагических форм оспы большую часть больных плоской формой оспы составляют дети. Летальность очень высока, при сливном типе плоской оспы — 100 %. Подтипы: сливная, полусливная, дискретная

Геморрагическая | Распространенные геморрагии в кожу и/или слизистые оболочки в одной или другой стадиях болезни ранняя — развитие геморрагии на коже и слизистых, начиная с продромальной стадии, всегда смертельна поздняя — геморрагии на коже и/или слизистых после появления сыпи, обычно смертельна


Появление кровоизлияний в более поздний период болезни, в стадии пустул, ведет к развитию пустулезно-геморрагической оспы (variola pustulosa haemorrhagica) с летальностью от 70 до 100 % (рис. 3.103).

Рис. 3.103. Геморрагическая натуральная оспа. А и Б. Ранняя стадия геморрагической натуральной оспы у беременной 18-летней женщины. Тяжелая токсемия, петехиальные экзантемы, кровотечения из полостей тела. Снимок сделан за час до смерти пациентки. В. Поздняя стадия геморрагической натуральной оспы у молодой женщины. Кровотечения у основания пустул и общий геморрагический диатез. По F. Fenner et al. (1988)


При оспенной пурпуре инкубационный период длится не более 6–9 сут. Температура в первый день болезни поднимается до 41–42 °C. Характерным для этой формы натуральной оспы является развитие множественных кровоизлияний в кожу и слизистые оболочки, важным симптомом являются кровоизлияния в субконъюнкти-вальную слизистую оболочку. Возникают обильные кровотечения из носа, рта, дыхательных путей, желудка, почек и других внутренних органов. Смерть обычно наступает на 2–3 сут болезни еще до развития оспенных высыпаний от резкого упадка сердечной деятельности.

Для пустулезно-геморрагической оспы также характерны укороченный инкубационный период, высокая температура, токсикоз. Геморрагии могут появиться в первые дни болезни, в период образования папул, но, как правило, геморрагический диатез развивается на 8-10 сут и совпадает с образованием пустул. Кровоизлияния в содержимое пустул придают им вначале темно-коричневый, а позже черный цвет, что и послужило причиной названия черная оспа (variola nigra) (см. рис. 3.103).

В это время у больных появляется кровь в мокроте, моче, рвотных массах. Особенно тяжело протекает заболевание у беременных женщин. В результате токсикоза возникают кровоизлияния в матке, что ведет к самопроизвольному аборту и профуз-ному кровотечению. При пустулезно-геморрагической форме оспы смерть наступает на 8-12 сут болезни.

Сливная оспа (variola confluens). Начало болезни характеризуется высокой температурой (41–42 °C), сильными головными болями, тошнотой, рвотой, болями в мышцах, особенно в области крестца. Сыпь, появившись, быстро распространяется по всему телу, особенно поражая волосистую часть головы, лицо, слизистые оболочки верхних дыхательных путей и конъюнктиву глаз (рис. 3.104).

Рис. 3.104. Сливная форма натуральной оспы у невакцинированной женщины. Снимок сделан на девятые сутки от начала болезни. На лице пустулы слились, на туловище, руках и ногах они дискретны. По F. Fenner et al. (1988)


Для сливной оспы характерно образование большого количества высыпных элементов и ускоренное образование пустул, процесс развития которых заканчивается к 5–6 сут болезни. В периоде нагноения отдельные пустулы сливаются и образуют сплошные пузыри, заполненные гноем, иногда величиной больше ладони. Увеличивающееся количество гнойного экссудата растягивает и истончает стенку пузыря; целостность ее легко нарушается, и содержимое вытекает наружу. Подсыхая, гной образует корки, которые, как панцирем, сковывают тело больного. С появлением высыпных элементов температура понижается незначительно, оставаясь в пределах 40 °C. Не отмечается повышения ее и в период нагноения пустул. Поэтому типичная для заболевания оспой двухволновая температурная кривая отсутствует. У больных отмечается сильная интоксикация организма, появляется бред, наступает коматозное состояние и с нарастающими явлениями упадка сердечной деятельности больные часто погибают. Летальность при сливной форме оспы достигает 30 %. В случае выздоровления на кожных покровах и, особенно на лице, остаются глубокие обезображивающие рубцы.

Оспа средней тяжести (variola vera discreta). Инкубационный период продолжительностью обычно 14 сут; иногда он может быть короче — 5–7 сут, а в редких случаях может затянуться до 17–22 сут. В инкубационном периоде заразившийся человек чувствует себя вполне удовлетворительно. Болезнь начинается внезапно потрясающим ознобом. Это начальный, или продромальный, период заболевания, который длится 3–4 сут. У больного резко поднимается температура, достигая 39,5-40,5 °C, иногда 41 °C, учащаются пульс и дыхание, наблюдается тошнота, рвота, мучительная головная боль и характерная боль в области крестца. Слизистые оболочки мягкого неба, носоглотки и зева резко воспалены, язык сухой, обложенный. У детей могут появиться судороги. Печень и селезенка увеличены, диурез уменьшается, удельный вес мочи высокий. Таким образом, уже в начальном продромальном периоде ярко выступают признаки тяжелой интоксикации организма.

На 2–3 сут болезни примерно у 40 % больных появляется продромальная, или токсическая, сыпь, известная в клинике под названием «реш» (rose rash). Высыпания появляются вначале на лице, затем на конечностях (как правило, на разгибательной поверхности) и на туловище. Единичные петехии могут быть и на конъюнктивах. Продромальная сыпь, имея вид мелких красных пятен, может по своему характеру быть похожа на коревую или скарлатинозную — петехиальную. Характерна локализация сыпи. Она располагается в области бедренного треугольника Симона: основанием треугольника служит поперечная линия на уровне пупка, а вершина находится в области коленных суставов, включая переднюю поверхность бедер, или в области большой грудной мышцы (грудной треугольник). Особенно резко сыпь выступает на участках кожи, где в инкубационном периоде применялись механические или химические раздражители (наложение горчичников, повязок, смазывание йодом и другими раздражающими кожу веществами) (рис. 3.105).

Рис. 3.105. Продромальная сыпь у больного натуральной оспой. А. Локализация продромальной сыпи. 1 — грудные треугольники; 2 — треугольник Симона. Б. Кореподобная продромальная сыпь на латеральной стороне туловища на четвертые сутки болезни. По F. Fenner et al. (1988)


Обратное развитие продромальной сыпи происходит быстро, обычно в течение 12–24 ч. Сыпь бледнеет и исчезает, но иногда следы ее в виде мелких буроватых пятен сохраняются до появления типичных оспенных высыпаний. К концу 4 сут в период продромальных явлений у больного резко снижается температура почти до нормы, улучшается общее состояние, и на этом фоне появляется характерная для натуральной оспы сыпь.

Такое улучшение состояния больного в период появления сыпи патогномонично только для натуральной оспы и не встречается при других инфекциях, сопровождающихся экзантемами и энантемами. Высыпания появляются не только на кожных покровах, но и на слизистых оболочках конъюнктив, щек, мягкого неба, носоглотки, бронхов, пищевода и т. д. Раньше всего сыпь появляется на лице, волосистой части головы, шее, затем на руках, туловище и ногах. Наиболее интенсивна сыпь на лице, предплечьях и тыльной поверхности кисти. На ногах сыпь обильнее на голенях, чем на бедрах. На конечностях высыпаний значительно больше на разгибательной стороне, чем на сгибательной. На ладонях и подошвах также наблюдаются высыпные элементы. Обнаружение их является важным диагностическим симптомом натуральной оспы. На туловище и животе, как правило, элементы сыпи менее выражены. Подобная локализация указывает на центробежное распределение сыпи, т. е. преобладание высыпаний на периферии (рис. 3.106).

Рис. 3.106. Сыпь у больного натуральной оспой. А. Характерная локализация сыпи. Б. Раньше всего сыпь появляется на лице. По П. Н. Бургасову, Г. П. Николаевскому (1972). В. Сыпь на ладонях и подошвах характерна для натуральной оспы и оспы обезьян. По F. Fenner et al. (1988)


С образованием пустул начинается период нагноения. Он сопровождается вторичным подъемом температуры и резким ухудшением состояния больного. Температура держится в течение нескольких дней вплоть до подсыхания пустул. Присоединяющаяся вторичная инфекция отягощает клиническую картину болезни. В этот период наступает отек кожи, особенно на лице. Отек настолько силен, что больной не может открыть глаза. Оспенная сыпь, располагаясь по краю века, травмирует роговицу, а последующая вторичная инфекция вызывает воспаление роговицы и радужной оболочки. Часто наблюдаются кровоизлияния в субконъюнктивальную слизистую оболочку. Это ведет к развитию панофтальмита, кератита и ирита, что в дальнейшем может привести к потере зрения. Гнойным экссудатом заполнены носовые ходы; слизистая оболочка верхних дыхательных путей резко отечна, с многочисленными эрозиями. Обилие высыпаний создает напряжение воспаленной кожи, а сильная отечность фактически лишает больного активных движений. Резкая боль и отек настолько сильны, что больной не может шевелить пальцами.

В этот период больные часто погибают от бронхопневмонии, ослабления сердечной деятельности и от сепсиса, вызываемого вторичной инфекцией. С 12–14 сут гнойное содержимое пустул начинает подсыхать с образованием плотных корок, которые постепенно отпадают. Процесс обратного развития оспин протекает в том же порядке, что и процесс высыпания, т. е. начинается с лица, а затем переходит на туловище и конечности. Дольше всего оспины остаются на подошвах и ладонях. Из-за плотности эпидермального слоя гнойный экссудат не вытекает наружу, а медленно рассасывается, оставляя плотные темные пятна. Отечность, воспаление кожи и слизистых оболочек постепенно исчезают, общее состояние больного улучшается, температура снижается, и после полного подсыхания содержимого пустул кожа становится нормальной. В этот период появляется мучительный нестерпимый зуд кожи и часто, расчесывая ее до крови, сдирая корки, больной вносит инфекцию, что вновь вызывает нагноение и подъем температуры. На месте отпавших корок остаются красноватые пятна, а у людей со смуглой кожей — пятна депигментации, впоследствии проходящие. В том случае, если нагноением были затронуты глубокие слои кожи, то после отпадения корок образуются стойкие обезображивающие рубцы, особенно заметные на лице. Развитие рубцов в глазу ведет к частичной или чаще к полной потере зрения. В неосложненных случаях болезнь обычно продолжается 5–6 нед. Летальность при этой форме оспы составляет до 15 %.

Легкие формы оспы. Вариолоид (variolois). Вариолоид — видоизмененная стертая форма оспы с легким и коротким течением болезни, незначительным и абортивным развитием сыпи. Это заболевание иногда называют оспой привитых, тем самым подчеркивая, что оно часто встречается у лиц, привитых против оспы.

Продолжительность инкубационного периода при вариолоиде, как и при натуральной оспе, длится около 2 нед. Продромальный период мало отличается от такового при типичной форме заболевания, но симптомы менее выражены, а сыпь, имеющая пятнистый (эритематозный) характер, часто отсутствует. Заболевание начинается внезапно с резкого подъема температуры, которая в редких случаях превышает 39 °C. У больного появляются головная боль, небольшое раздражение слизистых оболочек глотки, зева, трахеи, боль при кашле и глотании. Большинство больных жалуются на боли в области крестца, что характерно для оспы. Сильный токсикоз развивается крайне редко. Сыпь появляется на 3–4 сут болезни. Она представляет собой мелкие красные пятна, быстро переходящие в папулы и пузырьки, расположенные более поверхностно, чем при натуральной оспе. Пузырьки окружены узким красным венчиком. Характерное для оспы центральное втяжение, как правило, отсутствует. На 7–8 сут содержимое пузырька подсыхает и образуется корочка, которая быстро отпадает. На месте отпавшей корочки остается исчезающее пигментное пятно. Рубец при вариолоиде формируется очень редко. С появлением сыпи на 3–4 сут болезни температура быстро нормализуется и больше не поднимается, так как период нагноения отсутствует. В редких случаях имеет место нагноительный процесс, но он всегда выражен крайне слабо, что ведет к незначительному и кратковременному подъему температуры. С установлением нормальной температуры исчезают и общие явления — головная боль, раздражение слизистых оболочек. Болезнь заканчивается на 7–8 сут, и лишь в тяжело протекающих случаях бывают смертельные исходы. Летальность при вариолоиде 1,5–3 %.

Оспа без сыпи (variola sine exanthemate) — легко протекающая болезнь, при которой в начальном периоде наблюдаются характерные для натуральной оспы симптомы: повышение температуры, головная боль, боль в области крестца и иногда как результат токсикоза продромальная сыпь, однако характерная оспенная сыпь отсутствует. Заболевание заканчивается через 3–4 сут.

Оспа без температуры (variola afebrilis). При этой форме оспы на теле больного появляется скудная, быстро проходящая узелково-пузырчатая сыпь. Заболевание проходит без повышения температуры и нарушения общего состояния заболевшего.

С. С. Маренникова и С. Н. Щелкунов (1998) упомянули в своей работе об интересном наблюдении Kempe et al. (1969), которые отметили у 21 из 55 контактировавших с больными натуральной оспой развитие конъюнктивита, явившегося единственным проявлением оспенной инфекции. У 12 из 21 обследованного оспенная природа конъюнктивита была подтверждена выделением из конъюнктивального экссудата вируса оспы. В другой серии наблюдений этой же группы авторов вирус был обнаружен в слезах у таких лиц. При натуральной оспе описаны и так называемые субкли-нические формы, при которых не обнаруживается никаких клинических проявлений и диагноз может быть установлен только на основании серологического обследования. Наличие таких форм было установлено как во время вспышек variola major, так и variola minor.

О существовании врожденной формы натуральной оспы было известно еще с середины XVIII в. Ее неоднократно наблюдали как при вспышках variola major, так и variola minor. Известны два варианта врожденной натуральной оспы: истинная, когда плод рождается с явными признаками болезни; и ложная — развивающаяся уже после родов (в пределах инкубационного периода). Описаны случаи рождения двойни, когда один из новорожденных появлялся на свет с кожными проявлениями оспы, а другой оставался здоровым (Маренникова С. С. и Щелкунов С. Н., 1998).

Основные патологоанатомические изменения происходят в коже. Они характеризуются двумя видами нарушений, развивающихся в клетках эпидермиса: баллонирую-щей дегенерацией и ретикулярной колликвацией. Баллонирующая дегенерация обнаруживается в нижних слоях эпидермиса (зародышевый и частично шиловидный слои). Она проявляется в набухании и округлении клеток эпителия, потере ими межклеточных связей. В результате этого клетки напоминают скопления «баллонов» в межэпителиальном пространстве. Ядра клеток увеличены, в цитоплазме обнаруживаются тельца Гварниери. В верхних слоях эпителия развивается ретикулярная дегенерация с образованием небольших вакуолей в цитоплазме; протоплазма пораженных клеток приобретает сетчатый вид. Постепенно границы клеток исчезают. За счет поступления экстрацеллюлярной жидкости из окружающих тканей и дискомплексации эпителия с образованием вертикальных тяжей формируется увеличивающаяся многокамерная полость. Эта стадия соответствует образованию папул на коже больного. В дальнейшем поступление экссудата увеличивается, и папулы постепенно переходят в везикулы. Верхняя часть везикулы образуется из клеток зернистого и рогового слоя эпидермиса, который не затрагивается существенно патологическим процессом. Уже в начале формирования везикулы обнаруживается центральное западение, выявляющееся при макроскопическом наблюдении. Основание везикулы образуется клетками кориума, иногда сохраняются и элементы герминативного слоя. Одновременно с развитием дегенеративных изменений в оспенном элементе по периферии пузырька происходит пролиферация. Проникновение лейкоцитов в везикулу превращает ее в пустулу. Затем происходит постепенное подсыхание элемента с превращением его в корочку. Заживление может идти двояко. Если в процессе образования оспины не был задет слой собственно кожи (сохранилась хотя бы часть клеток зародышевого слоя), восстановление целостности эпидермиса происходит без образования рубца. Если же в процесс была вовлечена собственно кожа (особенно при вторичной инфекции), образуется характерный соединительнотканный рубчик.

Разрушительные изменения особенно выражены на лице, где много сальных желез, погибающих в результате патологического процесса. Потовые железы обычно не повреждаются. В волосяных фолликулах может быть баллонирующая дегенерация, но материнский, основной слой не повреждается, благодаря чему волосяные фолликулы полностью восстанавливаются.

Патогистология оспенных элементов на слизистых оболочках в основных чертах напоминает процесс их развития на коже. Различия заключаются в изъязвлении элементов оспенной энантемы, обусловленной отсутствием рогового слоя эпителия. Изменения на слизистых оболочках обычно заканчиваются к 3-й неделе без образования рубцов. Во внутренних органах (печени, почках, сердце) наблюдаются дистрофические изменения, в костном мозгу — участки некроза, пролиферативные изменения. Селезенка увеличена. Часто находят орхит, воспаление яичников и слизистых оболочек труб матки. Могут иметь место очаговые пневмонии в нижних долях легких. До применения антибиотиков у умерших от натуральной оспы нередко находили пневмонии, связанные с аспирацией отмершей ткани и вторичной инфекцией, нередко с исходом в абсцесс или гангрену легких.

При геморрагических формах оспы изменения носят более тяжелый характер. В коже наблюдаются распространенные кровоизлияния, отек. В трахее и желудочно-кишечном тракте обнаруживают субмукозные геморрагии. Кровоизлияния могут быть под эндокардом, в почках, яичниках и тестикулах. Универсальная гиперплазия лимфатических узлов. Полнокровие и отек легких. Оспенные элементы на коже не успевают проделать полную эволюцию; они наблюдаются (если имеются) лишь до стадии папул.

Клиническая и патологоанатомическая картина оспы обезьян у человека при естественном инфицировании[49]. Клиника оспы обезьян у людей различается в зависимости от того, к какой кладе принадлежит вызвавший болезнь вирус. ВОО, циркулирующие среди обезьян, обитающих в бассейне реки Конго, вызывают опасные клинические формы болезни, сходные с натуральной оспой; ВОО из Западной Африки вызывают у людей легкие формы оспы обезьян.

Инкубационный период оспы обезьян укладывается в 7-19 сут. Болезнь, как правило, начинается с подъема температуры, слабости, недомогания, головной боли, иногда появляются боли в горле, кашель. Особенностью клинического течения оспы обезьян у человека, отличающей ее от натуральной оспы, являются лимфадениты, которые наблюдаются у 86,4 % заболевших. Они появляются, как правило, одновременно с лихорадкой, за 1–2 сут до высыпания и иногда совпадают с его началом. В ряде случаев лимфадениты служат поводом для обращения за медицинской помощью. Их локализация варьирует (подчелюстные, шейные, подмышечные, паховые), причем, иногда они двусторонние, иногда односторонние. В 11 % случаев лимфадениты возникают в лимфоузлах разных областей (например, на шее и в подмышечной области), чаще всего (в 63,9 %) развивается генерализованная лимфаденопатия. Через 2–4 сут от начала болезни появляется сыпь. Сыпь локализуется на всем теле с преимущественным поражением лица и конечностей, включая ладони и подошвы. Как и при оспе, высыпания отмечаются и на слизистых оболочках, а также языке. Элементы сыпи мономорфны и претерпевают те же стадии развития (папулы — везикулы — пустулы — корки). После отпадения корок на коже остаются депигментированные участки, на месте которых формируются отчетливые, но неглубокие рубцы, или ги-перпигментированные пятна. Болезнь обычно длится 2–4 недели в зависимости от клинического течения и других факторов.

В целом по характеру клинического течения оспа обезьян у человека напоминает тип натуральной оспы, преобладавший на африканском континенте, давая картину, близкую к обычной дискретной, полусливной и сливной ее формам (рис. 3.107).

Рис. 3.107. Оспа обезьян у жителей Заира. А и Б. Семилетняя девочка на 7 сут болезни. Хорошо заметна паховая билатеральная аденопатия и увеличение подчелюстных лимфатических узлов на правой стороне лица. Пустулярные поражения губ. Локализация сыпи такая же, как и при натуральной оспе. В. Трехлетний мальчик с сыпью на стадии корок. Аксиллярные лимфатические узлы все еще увеличены. По F. Fenner et al. (1988)


Помимо этих основных форм, встречаются и другие. Имеется информация о геморрагической форме оспы обезьян у ребенка, протекавшей аналогично оспенной геморрагической пурпуре и закончившейся летальным исходом. Наблюдалось и очень легкое течение оспы обезьян по типу вариолоида с единичными кожными элементами. При оспе обезьян встречается субклиническая форма болезни, описанная при натуральной оспе. О наличии этой формы судят по появлению антител у лиц, имевших контакт с заболевшими оспой обезьян. Был зарегистрирован случай врожденной инфекции у младенца, родившегося от матери, незадолго до родов перенесшей оспу обезьян. Подобного рода наблюдения неоднократно описывались при натуральной оспе. Среди осложнений при оспе обезьян наиболее часто встречается вторичная бактериальная инфекция кожи, бронхопневмония, диарея и связанная с ней дегидратация, кератиты. Последние в части случаев заканчиваются потерей зрения или его ослаблением.

В 2003 г. оспу обезьян среди жителей штата Висконсин (11 заболевших) вызвал ВОО, циркулирующий в Западной Африке, поэтому среди заболевших не было смертельных случаев. Первыми признаками болезни у них были поражении кожи в участке места или царапины, нанесенных больными животными, головная боль, повышенная температура тела (более 38 °C), профузный пот и сильный озноб. У 73 % заболевших болезнь проявила себя сильным кашлем, у 55 % лимфоаденопатией и язвами в гортани, у 27 % наблюдали фарингит, у 18 % диарею. Легкие, сердце, органы брюшной полости, нервная система — без изменений. У пяти пациентов, преимущественно с кожными поражениями, имела место узловая припухлость вокруг мест укусов и царапин. У шести пациентов, не имевших видимых следов укусов или царапин, обнаружены от 1 до 50 оспин (от папул до везикулопустул) в течение 7 сут от начала болезни на лице, коже черепа, кистях руках, ногах, туловище, промежности, конъюнктиве (рис. 3.108).

Рис. 3.108. Кожные поражения при оспе обезьян вокруг участков укусов и царапинужителей штата Висконсин (США). А, Б, В. Узловая припухлость вокруг участков укусов и царапин. Г. Оспопоподобные высыпания. Д. Высыпания, сходные с ветряной оспой. Ж. Кожное поражение менее чем через 24 ч после его появления. 3. Поражение через 6 сут. Е. Поражение через 96 ч. И. Поражение более чем через 9 сут. По К. D. Reed et al. (2004)


Клиническая картина и патоморфология натуральной оспы и оспы обезьян у животных при искусственном инфицировании. Натуральную оспу воспроизвести у традиционных лабораторных животных (грызуны, кролики) сложно, так как они маловосприимчивы к ВНО, и если у них удается вызвать болезнь, то она протекает в мягкой форме и быстро обрывается. К ВОО эти животные более чувствительны, однако не настолько, чтобы считаться оптимальной моделью. Для моделирования клиники и патогенеза натуральной оспы и оспы обезьян используют три подхода:

1) подбирают дозу и способ заражения, вызывающие у приматов болезнь, сходную по патогенезу и клинике с моделируемой болезнью;

2) модельное животное заражают не ВНО или ВОО, а другим ортопоксвирусом, вызывающим у него инфекционный процесс, аналогичный натуральной оспе или оспе обезьян, т. е. проводят исследование «по аналогии»;

3) используют для заражения иммунодефицитных животных, например, мышей линии C57BL/6, утративших STAT1 — белок, участвующий в регуляции синтеза интер-

феронов.

В табл. 3.31 обобщены основные поражения у модельных животных при различных путях заражения вирусами натуральной оспы и оспы обезьян.

Таблица 3.31. Основные поражения у модельных животных при различных путях заражения вирусами натуральной оспы и оспы обезьян[50]
Вирус | Модельное животное | Вид животных | Путь заражения | Доза (штамм) | Основные поражения

ВНО | Обезьяны Macaque cynomolgus | В/в | 109 КОЕ (Harper, India) | Геморрагии во внутренних органах, на коже, слизистых; геморрагические выпоты, ранние энантемы/экзантемы; смерть

— "- | — "- | — "- | — "- | 108 КОЕ (Harper, India) | Энантемы/экзантемы

— "- | — "- | — "- | Ингаляционно | 108,5 КОЕ (Yamada, Lee) | Общая инфекция, легочные поражения, экзантемы

— "- | — "- | — "- | — "- | Yamada | Общая инфекция, возможные поражения легких, редкие энантемы/экзантемы

1,8×106–3,4×106 (Lee); | 5×105 —2×106 (Yamada) | Умеренный бронхит без некроза, лимфоидная гиперплазия, экзантемы

ВОО | Обезьяны Macaque | cynomolgus | В/в | 5×107 КОЕ | Везикулопустулярная сыпь, лимфо-аденопатия, спленомегалия

— "- | — "- | rhesus | 2×107 КОЕ | Везикулопустулярная сыпь, лимфоаденопатия

— "- | — "- | cynomolgus | Ингаляционно | 10×103-141×103 КОЕ | Фибринонекротическая бронхопневмония, пролиферативный и некротизирующий дерматит, лимфоидный некроз

— "- | — "- | — "- | И/т | 107 КОЕ | Фибринонекротическая бронхопневмония, пролиферативный и некротизирующий дерматит, трахеит, некротизирующий лимфаденит и спленит

— "- | — "- | — "- | — "- | 106 КОЕ | Умеренная некротизирующая бронхопневмония, трахеит, лимфаденит

— "- | Земляные белки | 13 линия | В/б | 12,6×103 КОЕ | Некроз центральной доли печени, интерстициальная пневмония, мультифокальный некроз селезенки

— "- | — "- | — "- | П/к | 100 КОЕ | Мультифокальный некроз печени и селезенки, легочная геморрагия, отек и острое воспаление

— "- | — "- | — "- | И/н | 25,2×103 КОЕ | Диффузный некроз печени, интерстициальная пневмония, мультифокальный некроз селезенки

— "- | Луговые собачки | чернохвостые | В/б | 12,6×103 КОЕ | Некроз селезенки, некроз центральной доли печени, умеренная интерстициальная пневмония

— "- | — "- | В/в | 25×103 КОЕ | Выраженный отек легких, геморрагии и некрозы


Вызвать у приматов болезнь, сходную по патогенезу и клинике с натуральной оспой, можно внутривенным введением 10 9 КОЕ ВНО (штаммы Harper или India). У макак развивается смертельная болезнь, сходная с геморрагической формой натуральной оспы у людей. Уменьшение дозы вируса на порядок (10 8 КОЕ) позволяет получить у приматов клиническую форму болезни, соответствующую variola vera discrete у человека.

У животного развивается петехиальная сыпь, затем появляются везикулы и пустулы с таким же центробежным распределением, как и при натуральной оспе. У погибших животных на вскрытии обнаруживают петехиальные геморрагии на поверхности слизистых и серозных тканей, геморрагический некроз висцеральных лимфатических узлов. Гистологически обнаруживают лимфоидное истощение и лим-фоцитолиз лимфоидной ткани, селезенки, периферийных и висцеральных лимфатических узлов, кишечника и костного мозга, дегенерацию почечных канальцев и гепа-тоцеллюлярную дегенерацию, аналогичную таковым, наблюдаемым при натуральной оспе у людей. Кожа и слизистая поверхность ротовой полости включают очаги эпидермальной/эпителиальной дегенерации и некроза с формированием везикул и пустул, аналогичных тем, что развиваются у людей при натуральной оспе (рис. 3.109).

Рис. 3.109. Внешние проявления патологического процесса у обезьяны, вызванного заражением ВНО. А. Диффузные геморрагии на серозной поверхности дистального отдела кишечника и увеличение кишечных лимфатических узлов через 6 сут после заражения. Б. Геморрагический колит, геморрагические поражения кишечных лимфатических узлов. В. Верхняя губа и ноздря обезьяны через 11 сут после заражения. Синхронное развитие пустул, некоторые из них еще сохранили пупкообразное запа-дение. Г. Ладонная поверхность левой верхней конечности обезьяны, 11 сут после инфицирования. Дискретные и сливающиеся пустулы сохранили целостность из-за сильно ороговевшего эпидермиса. По P. Jahrling et al. (2004)


М. С. Lancaster et al. (1966) исследовали патологические изменения у экспериментальных животных, образующиеся после инфицирования мелкодисперсными (1 мкм) аэрозолями вирусов группы оспы. Ими установлено, что при ингаляционном экспонировании кроликов к аэрозолю вируса кроличьей оспы (Myxoma virus, MYX)[51], первые поражения в легочной ткани кролика отмечали на 4 сут. В альвеолах они представлены участками геморрагий с миграцией воспалительных клеток из соседних кровеносных сосудов. На следующие сутки макроскопически видимые поражения появились на поверхности легкого, а при микроскопическом исследовании на бронхиолах можно было увидеть типичные пустулы. Обнаруживались явная геморрагия и гиперемия капилляров соседних альвеол. Поражения были окружены зоной нейтрофильной инфильтрации и подобную инфильтрацию отмечали на поверхности наружного слоя стенок соответствующих артерий. На 6 сут на бронхиолах появились самые крупные пустулы, они были обнаружены также и на альвеолах; эти пустулы, хотя и были меньше по сравнению с поражениями бронхиол, показали типичную картину центрального некроза с окружающей инфильтрацией нейтрофилов. Наблюдались пролиферативные изменения во внутренних оболочках бронхиальных артерий с отеком и нейтрофиль-ной инфильтрацией наружного слоя стенки кровеносного сосуда. На 8 сут, несмотря на то, что пустулы, прогрессировали в своем развитии, создавая большие очаги некроза, наиболее ярко выраженным признаком являлся широко распространенный острый артериит с пролиферацией клеток эндотелия, макроскопическим отеком мышечной оболочки и некрозом и нейтрофильной инфильтрацией наружного слоя стенки кровеносных сосудов. К 10 сут острая воспалительная реакция распространилась на большие участки альвеол, заполненные отечной жидкостью, нейтрофилами, макрофагами и эритроцитами. Самые ранние признаки рассасывания появились только на 20 сут. Стенки артерий были очень отечными с воспалительными клетками в эндотелии, в то время как вместо нейтрофилов в альвеолярных поражениях появились лимфоциты. Даже на 62 сут были заметны остатки пустул; центральная некротическая зона содержала теперь отложения кальция и все еще была окружена зоной альвеолярных макрофагов и лимфоцитов. Отмечали повторное разрастание эпителия бронхиол, но упорно продолжалось утолщение мышечной оболочки стенок артерий за счет ее инфильтрации лимфатическими клетками из адвентициального слоя. Альвеолярные очаги представляли собой скопление лимфоцитов и гигантских клеток.

У обезьян, инфицированных ВНО ингаляционно, через 5 сут после заражения было хорошо заметно образование пустул в легочной ткани. Они представляли собой типичную широкую центральную зону некроза, внутри которой обнаруживались не-кротизированные элементы бронхиол; их окружала внешняя зона, образованная нейтрофилами и макрофагами. Соседние альвеолы были гиперемированы и заполнены отечной жидкостью, нейтрофилами и свободными альвеолярными фагоцитами. Участки очагов деструкции эпителия и нейтрофильной инфильтрации также появились и в основных бронхах. Имела место пролиферация во внутренней оболочке и отек мышечной оболочки и адвентициального слоя стенки артерий, находящихся вблизи поражений. Очень тяжелые поражения обнаружили на 3 сут, когда пустулы представляли собой обширные очаги некроза, окруженные широкими зонами альвеол, заполненных эксудатом. Просветы бронхов были заполнены нейтрофилами и продуктами клеточного распада. Обнаружены выступающие макроскопические поражения на плевральной поверхности, но они были, по-видимому, связаны с кровеносными сосудами, а не с первичной инфекцией альвеол. На 12 сут отмечали рассасывание поражений. Вместо нейтрофилов на внешних зонах пустул появлялись лимфатические клетки, и начиналось восстановление бронхиального эпителия.

Изменения в других тканях были обнаружены у кроликов, зараженных вирусом кроличьей оспы; наиболее заметными оказались изменения надпочечных желез и тестикул. Поражения представляли собой типичные пустулы, которые в надпочечной железе были ограничены поверхностным слоем органа. При микроскопическом исследовании поражения можно было обнаружить только в том случае, когда в тканях находились большие количества вирусов.

Внутримышечное заражение обезьян Cynomolgus macaques ВОО приводит к развитию системной инфекции с широким распространением везикулопустулезной сыпи и образованием участка мышечного некроза в месте введения вируса. Внутривенное введение больших доз BOO (2х 10 7 КОЕ) вызывает у обезьян типичную генерализованную везикулопустулезную сыпь и выраженную лимфоаденопатию. На вскрытии: лимфоаденопатия, спленомегалия, отек легких. Введение в легкие обезьяны ВОО в составе мелкодисперсного аэрозоля вызывает у них системную диссеминацию вируса, сходную с таковой у людей. У погибших животных на вскрытии обнаруживают фибронекротическую бронхопневмонию, некротические изменения в лимфоидных органах, коже, слизистых, репродуктивных органах. Особенностью таких поражений является пролиферация эпителия в участках поражения кожи и слизистых. Остальные поражения были идентичны таковым при в/в введении ВЕЮ или ВОО обезьянам или при естественном заражении человека этими вирусами. Интраназалъное и интратра-хеалъное заражение ВОО вызывает у приматов поражения, сходные с получаемыми в результате заражения аэрозолем BOO (Chapman J. L. et al., 2010).

Хотя в результате интратрахеального, ингаляционного ив/в введения ВОО у приматов возможно вовлечение легких в инфекционный процесс и развитие пневмонии, эта патология имеет свои особенности для каждого из путей введения вируса. Аэро-золирование и интратрахеальное введение вируса в период от 9 до 17 сут вызвало первичную фибронекротическую бронхопневмонию с системной диссеминацией возбудителя болезни и смерть животного. Внутривенное введение ВОО вызывало у животных интерстициальную пневмонию, развившуюся в результате вторичного инфицирования (Goff A. J. et al. 2011).

Клиническая картина натуральной оспы у людей при искусственном инфицировании. Искусственное инфицирование здоровых людей содержимым оспенных пустул, взятых от лиц, переносящих болезнь в легкой форме, широко применялось в XVTII в. с целью предотвращения у заболевания оспой в тяжелой форме. Способ назывался вариоляцией. Смертность среди привитых достигала 10 %, но страх перед натуральной оспой был настолько велик, что такая «цена» не казалась чрезмерной. В 1796 г. этот способ был заменен более безопасным — вакцинацией, т. е. прививкой содержимого оспенных пустул на вымени коров. Патогенез заражения через кожные покровы (например, при вскрытии погибших от оспы и т. д.) принципиально не отличается от такового при воздушно-капельном инфицировании через дыхательные пути. Однако наличие первичного поражения на коже, появляющегося на 3–4 сут, ускоряет развитие инфекционного процесса. Инкубационный период болезни укорачивается до 5–7 сут (Маренникова С. С., Щелкунов С. И., 1998).

Диагностика искусственного поражения возбудителем натуральной оспы. Появление единственного случая натуральной оспы — чрезвычайное происшествие мирового масштаба. Любую внезапно возникшую вспышку натуральной оспы целесообразно рассматривать, как искусственно вызванную. Из-за отсутствия у врачей эпидемической настороженности по натуральной оспе, вспышка может развиваться единичными случаями болезни в течение несколько месяцев, маскируясь под диагнозами «корь», «скарлатина», «токсический капилляротоксикоз», «ветряная оспа», «болезнь Лайма» и др. Поэтому для установления масштабов и времени совершения преступления, необходимо изучить истории болезни людей с такими диагнозами, обратившимися в местные лечебные учреждения не менее чем за три месяца, предшествующих выявленному случаю натуральной оспы. Особое внимание надо обратить на больных, имевших патологию органов дыхания (бронхит, пневмония) и сыпь. У них необходимо проанализировать сроки появления и характер сыпи (см. рис. 3.103-3.106), исходы болезни и данные объективного исследования в динамике (рентгенография, компьютерная томография, серология). Можно предположить, что будут выявлены два типа заболевших натуральной оспой: первично инфицированные, т. е. экспонированные к мелкодисперсному аэрозолю ВНО; и вторично инфицированные, т. е. те, кто заразился ВНО воздушно-капельным путем от первично инфицированных больных. Соответственно будут и два пика заболеваемости: первый, наибольший, вызванный экспонированием людей к мелкодисперсному аэрозолю; и второй, более растянутый по времени, включающий вторично инфицированных лиц.

Для первично-инфицированных пациентов будет характерна «невозможная клиника болезни» — быстрое (в течение 3–5 сут от начала первых симптомов) развитие легочного поражения, начинающееся с очаговой пневмонии в нижних отделах легкого, переходящее в фибронекротическую бронхопневмонию и системные поражения с развитием энантем и экзантем, с некротическими изменениями в лимфоидных органах, коже, слизистых, репродуктивных органах. В случаях массированного заражения ВНО болезнь будет развиваться без второй фазы подъема температуры. При однократном применении ВНО для такой вспышки будет характерна сжатая эпидемическая кривая с пиком заболеваемости, «укладывающимся» в средние значения инкубационного периода при натуральной оспе (эпидемиология «точечного источника») и относительная локализованность эпидемического очага, т. е. выявленные пораженные должны «пересекаться» в одно и то же время на одной территории. Необходимо отличать натуральную оспу, вызванную ингаляцией мелкодисперсного аэрозоля ВНО от:

1) так называемой легочной формы оспы, когда у больных при отсутствии кожных элементов развивается пневмония;

2) осложнений со стороны легких при плоской форме оспы.

Для вторично-инфицированных пациентов будет характерно типичное течение натуральной оспы, при которой основными являются поражения кожи и слизистых. Поражения же легких развиваются позже как вторичные, и чаще в период нагноения. Локализованный эпидемический очаг возможен только в организованных коллективах. Учитывая длительный инкубационный период болезни и возможность нескольких генераций передачи ВНО, вторично-инфицированных больных натуральной оспой, скорее всего, придется разыскивать по всей территории России.

При выявлении случаев обезьяньей оспы среди людей, прежде всего надо искать контакты таких больных с животными, зараженными ВОО (обезьяны, белки, грызуны). Отсутствие таких контактов можно рассматривать как «невозможную эпидемиологию болезни». Типы больных будут те же, что и для натуральной оспы, если для преступления использован штамм ВОО, происходящий из долины реки Конго.

В месте накожного введения ВНО или ВОО быстро развиваются оспины с обширной зоной гиперемии. Под этим участком формируется плотный и отечный инфильтрат, который является «подножьем» для побочных оспин, одновременно развивается лимфаденит и системная инфекция. Подкожное введение вирусов приводит к местному поражению с образованием участка некроза, отека, гиперемии, побочных оспин и системной инфекции. Внутривенное введение вызывает типичную системную инфекцию, тяжесть которой зависит от дозы введенного вируса. Скорее всего, больные, зараженные внутривенно, не будут представлять опасности в эпидемическом плане.

Обнаружение генетически измененных штаммов ВНО или ВОО однозначно свидетельствует об искусственном происхождении вспышки болезни.

Иммунопрофилактика натуральной оспы. Подробно о кандидатах в противооспенные вакцины и об их роли в связанных с биотерроризмом стратегиях вакцинации, см. в работе I. Wiser et al. (2007). Для вакцинации против натуральной оспы и оспы обезьян в Российской Федерации используют три типа вакцин.

ОспаВИР — вакцина оспенная инактивированная, лиофилизат для приготовления раствора для подкожного применения. Представляет собой вирус вакцины, выращенный на коже телят, обработанный фреоном 113 и инактивированный у-излучением 6 °Cо. Одна доза препарата содержит инактивированный антиген вируса — 50 мг и стабилизаторы. Препарат применяется в двухэтапном методе вакцинации для создания бустериммунитета с последующим введением вакцины оспенной живой. Производится в Томске филиалом ФГУП «НПО «Микроген».

Вакцина оспенная живая сухая, лиофилизат для приготовления раствора для накожного применения — препарат представляет собой вирус осповакцины, выращенный на скарифицированной коже телят, частично освобожденный от бактериальной флоры обработкой фенолом или хлоргексидина биглюканатом. Препарат содержит от 1x10 8 до 2х10 9 оспообразующих единиц (ООЕ) в 1 мл. Одна прививочная доза содержит не менее 1х10 6 ООЕ. Вакцину применяют накожно, скарификационным методом. Производится в Томске филиалом ФГУП «НПО «Микроген».

Вакцина ТЭОВак — вакцина оспенная эмбриональная живая. Представляет собой высушенный со стабилизатором (лактоза) вирус вакцины, выращенный в ХАО и плодике куриного эмбриона и спрессованный с наполнителем в таблетки. Производится в виде таблеток, покрытых оболочкой, делимых. Прививочная доза препарата содержит 1 х 10 6 до 2х 10 7 ООЕ вируса вакцины. Препарат дозируют согласно инструкции, содержащейся в упаковке. Таблетку разжевывают и держат во рту до полного растворения, но не менее 2–3 мин, после чего в течение 30 мин не рекомендуется принимать пищу. Препарат предназначен для ревакцинации взрослых против натуральной оспы по эпидемическим показаниям и плановой ревакцинации лиц, работающих с ВНО, ВОО, ВОВ и другими ортопоксвирусами, патогенными для людей. Производитель Вирусологический центр НИИ микробиологии МО РФ, г. Сергиев Посад-6.

При вакцинации лиц, ранее никогда не прививавшихся против натуральной оспы и не имеющих вакцинальных знаков, ее проводят двухэтапным методом:

первый этап вакцинации — подкожное введение инактивированной оспенной вакцины ОспаВИР;

второй этап вакцинации — накожная прививка живой оспенной вакцины. Экспериментально и практикой подтверждено, что, как правило, через 4–5 лет, даже после успешной вакцинации, коллективный иммунитет резко снижается, если не исчезает полностью. Снижение специфического иммунитета происходит еще интенсивнее, если в промежутках между вакцинациями имели место какие-либо массовые инфекционные заболевания: грипп, корь и др. У отдельных лиц, успешно привитых за год и даже менее года до эпидемической вспышки натуральной оспы, при очень тесном контакте с больным натуральной оспой вакцинальный иммунитет не может предупредить возникновение и развитие заболевания оспой. В этом случае характер клинических проявлений заболевания находится в зависимости от уровня остаточного вакцинального иммунитета и вирулентности циркулирующего ВНО. Частота различных клинических типов variola major и летальность среди непривитых и привитых против натуральной оспы, приведены в табл. 3.32.

Таблица 3.32. Частота различных клинических типов variola major и летальность среди непривитых и привитых против натуральной оспы[52]
-"- | Невакцинированные | Вакцинированные

Клинический тип | Частота (% от общего количества)[53] | Летальность (%) | Частота (% от общего количества)[54] | Летальность (%)

Обычная | 88,8 | 30,2 | 70,0 | 3,2

сливная | 22,8 | 62,0 | 4,6 | 26,3

полусливная | 23,9 | 37,0 | 7,0 | 8,4

дискретная | 42,1 | 9,3 | 58,4 | 0,7

Модифицированная | 2,1 | 0 | 25,3 | 0

Плоская | 6,7 | 96,5 | 1,3 | 66,7

Геморрагическая | 2,4 | 98,4 | 3,4 | 93,9

ранняя | 0,7 | 100,0 | 1,4 | 100

поздняя | 1,7 | 96,8 | 2,0 | 89,8

Всего | 35,5 | 6,3


Имеются данные о низкой эффективности массовых вакцинаций против оспы обезьян, проведенных живыми оспенными вакцинами в регионах Африки, эндемичных по BOO (Karem К. L. et al., 2007).

Для лечения и профилактики натуральной оспы, для лечения поствакцинальных осложнений после вакцинации живой оспенной вакциной, используется иммуноглобулин человека противооспенный.

Он представляет собой концентрированный раствор очищенной фракции иммуноглобулинов, выделенной методом фракционирования этиловым спиртом при температуре ниже 0 °C из плазмы крови здоровых доноров, содержащей антитела к ортопоксвирусам в титре не менее 1:200. Препарат содержит антитела к ортопоксвирусам в титре не менее 1:4000 и глицин в качестве стабилизатора. Производится в Томске филиалом ФГУП «НПО «Микроген». Иммуноглобулин вводят внутримышечно. Для экстренной профилактики однократно в дозе 3 мл, для лечения натуральной оспы — в дозе 0,5–1,0 мл/кг веса больного в зависимости от тяжести клинического течения болезни один раз в сутки или дробно.


Осложнение после вакцинации:

глазная вакциния — возникает из-за случайного занесения в глаз живой противо-оспенной вакцины. Развивается сильный конъюнктивит с везикулами и пустулами. Могут появиться кератит и изъязвление роговицы;

генерализованная вакциния — характеризуется умеренными органическими симптомами и генерализованной везикулярной сыпью. Из везикул и из сыворотки больных с этим состоянием вирус вакцины методом культивирования не выделяется. Патогенез неизвестен, но возможно обусловлен иммунологическим механизмом. Обычно это самоограничиваюгцаяся реакция, и лечение не показано, но в тяжелых случаях рекомендуется применение противооспенного иммуноглобулина;

поствакцинальный энцефалит — патогенез неизвестен, но может быть обусловлен иммунопатологическим механизмом, так как из ткани мозга и спинномозговой жидкости пациентов вирус вакцины методом культивирования не выделяется. При этом осложнении летальность равна 10–30 %, а у выживших больных наблюдаются неврологические последствия. Рекомендуется поддерживающая терапия;

eczema vaccinatum — тяжелый дерматит, характеризующийся репликацией вируса вакцины в местах экземы, псориазных, ожоговых и других хронических или сильных кожных повреждений. Для лечения показан противооспенный иммуноглобулин.

vaccinia necrosum — состояние характеризуется сильной реакцией в месте вакцинации, прогрессирующей до локального некроза кожи. Развивается у иммуноослаб-ленных вакцинируемых. Может привести к летальному исходу. Для лечения назначается противооспенный иммуноглобулин через каждые 2–3 сут внутримышечно в дробных дозах в разные места на протяжении 24-36-часового периода пока не наступит несомненное клиническое улучшение.

В результате введения вируса вакцины беременным женщинам может развиться вакциния плода, прогноз плохой.

Профилактика после экспонирования к ВНО и ВОО и лечение развившейся болезни. Army FM 8-284 (2000) рекомендует:

1) в течение 1–7 сут подвергнуть всех лиц, экспонированных или возможно экспонированных к ВНО, активной иммунизации живой вакциной, и пассивной иммунизации противооспенным иммуноглобулином;

2) вакцинировать всех контактных лиц, включая медицинских работников, если они не были вакцинированы или ревакцинированы в течение трех последних лет;

3) наложить карантин на всех лиц, непосредственно контактировавших с любым больным натуральной оспой не менее чем на 17 сут.

Лечение натуральной оспы и оспы обезьян симптоматическое. Профилактика заражения ВОО аналогично таковому при натуральной оспе. ВИЧ-инфицированным и лицам с другими иммунодефицитами вводить следует только противооспенный иммуноглобулин.


3.9. Вирусные геморрагические лихорадки

Микробиология возбудителей геморрагических лихорадок. Экология и естественная эпидемиология возбудителей геморрагических лихорадок. Восприимчивость людей и животных к возбудителям геморрагических лихорадок. Иммунитет к возбудителям вирусных геморрагических лихорадок. Устойчивость возбудителей вирусных геморрагических лихорадок во внешней среде. Антивирусные препараты. Обнаружение генетически измененных штаммов возбудителей геморрагических лихорадок. Патогенез геморрагических лихорадок. Клиническая и патологоанатомическая картина вирусных геморрагических лихорадок у человека при естественном инфицировании. Клиническая картина и патоморфология вирусных геморрагических лихорадок у животных при искусственном инфицировании. Клиническая картина вирусных геморрагических лихорадок у людей при искусственном инфицировании. Диагностика искусственного поражения возбудителями геморрагических лихорадок. Иммунопрофилактика вирусных геморрагических лихорадок. Лечение вирусных геморрагических лихорадок.


Вирусные геморрагические лихорадки (viral haemorrhagic fever, VHF, ВГЛ) — группа мало отличающихся друг от друга по клинике зоантропонозных острых инфекционных болезней, вызываемых оболочечными РНК-вирусами семейств: аренавирусы (вирус Ласса, вирус Хунин, вирус Мачупо, вирус Гуанарито, вирус Сэбия); буньявирусы (вирус геморрагической лихорадки с почечным синдромом, вирус Конго-Крымской лихорадки, вирус лихорадки долины Рифт); филовирусы (вирус Марбург, вирус Эбола); флавивирусы (вирус болезни леса Киассанур, вирус омской геморрагической лихорадки, вирус желтой лихорадки, вирус лихорадки Денге). Первичный резервуар этих вирусов не известен. Передача вирусов в природных очагах из вторичных резервуаров среди млекопитающих к людям происходит либо артроподами-переносчиками (вирусы Конго-Крымской лихорадки, желтой лихорадки, лихорадки Денге, лихорадки долины Рифт, омской геморрагической лихорадки, болезни леса Киассанур), либо в результате непосредственного контакта с больными или погибшими животными (вирусы Ласса, Эбола, Марбург). Вирусы Ласса, Эбола и Марбург могут передаваться между людьми воздушно-капельным путем. На территории России имеются природные очаги вирусов, вызывающих геморрагическую лихорадку с почечным синдромом (Башкортостан, Удмуртия, Марий-Эл, Мордовия, Чувашия, Ульяновская и Пензенская области), Конго-Крымскую лихорадку (Краснодарский и Ставропольский края, Астраханская, Волгоградская и Ростовская области, республики Дагестан, Калмыкия и Карачаево-Черкесия), омскую геморрагическую лихорадку (степные и лесостепные районы Омской, Новосибирской, Тюменской, Курганской и Оренбургской областей). Инкубационный период болезни у человека после заражения вирусами геморрагических лихорадок составляет от 2—21 сут. Основными клиническими проявлениями ВГЛ являются лихорадка, астения, тошнота, рвота, диарея, макулопапулезная сыпь, геморрагический диатез и шок.

Общий анализ крови в большинстве случаев выявляет вначале лейкопению, затем тромбоцитопению. Большинство больных умирают в состоянии ступора с проявлениями интоксикационного шока. Главной причиной гибели при ВГЛ является развитие синдрома диссеминированного внутрисосудистого свертывания (ДВС-синдром, коагулопатия, тромбогеморрагический синдром), отека легких и головного мозга. ДВС-синдром был описан при лихорадках долины Рифт, Марбург и Эбола, но при большинстве ВГЛ этиология коагулопатии является многофакторной (например, поражение печени и первичное повреждение костного мозга с нарушением процесса мегакариоцитопоэза). Вакцин, позволяющих эффективно осуществлять специфическую профилактику в природных очагах ВГЛ, нет. Исключение составляет инактивированная вакцина против желтой лихорадки. Специфическое лечение ВГЛ не отработано (Kortepeter М. et al., 2001; Borio Г. et al., 2002; Борисевич И. В. с соавт., 2006).

Количество видов и даже семейств вирусов, вызывающих геморрагические лихорадки, неустановленно. Они могут проявлять себя локальными смертельными вспышками, и лишь случайно распознаваться, как, например, Lujo virus (семейство Arena-viridae). В Йоханнесбурге этот вирус в сентябре и октябре 2008 г. вызвал пять случаев геморрагической лихорадки, четыре из которых закончились смертью заболевших (Paweska J. et al., 2009). Краткая характеристика наиболее изученных вирусов, возбудителей геморрагических лихорадок, приведена в табл. 3.33.

Таблица 3.33. Вирусы, вызывающие геморрагические лихорадки[55]
Семейство | Род | Вид | Вызываемая болезнь | Переносчик в природе | Географическое распределение очагов болезни

Filoviridae | Filovirus | Ebola субтипы: Zaire, Sudan, Cote d'Ivoire (Ivory Coast), Bundi-bugyo, Lloviu и Reston | Лихорадка Эбола. | Субтипы Lloviu и Reston для человека не опасны | He известен | Африка (в основном Судан, Заир, Кот-д'Ивуар, Уганда). | Север Испании и Филиппины — субтипы Lloviu иReston соответственно

— "- | — "- | Marburg | Лихорадка Марбург | He известен | Африка (в основном Ангола, Уганда, Судан, Кения, ЮАР)

Arenaviridae | Arenavirus | Lassa | Лихорадка Ласса[56] | Грызуны | Западная и Центральная Африка

— "- | — "- | New World Arenaviridae[57] | Геморрагические лихорадки Нового Света[58] | Грызуны | Американский континент

Bunyaviridae | Nairovirus | Crimean-Congo hemorrhagic fever | Конго-Крымская геморрагическая лихорадка | Клещи | Африка, Центральная Азия, Восточная Гвропа, Средний Восток

— "- | Phlebovirus | Rift Valley fever | Лихорадка долины Рифт | Комары | Африка, Саудовская Аравия, Йемен

— "- | Hantavirus | Agents of hemorrhagic fever with renal syndrome | Известно более 25 серологически и генетически отличающихся друг от друга хантавирусов и две клинические формы хантавирусной инфекции у людей: геморрагическая лихорадка с почечным синдромом (ГЛПС), возбудителем которой являются вирусы Hantaan, Seul, Puumala, и Dobrava/ Belgrade; и хантавирусный пульмональный синдром, вызываемый хантавиру-сами Sin-Nombre, Black Creek, New York, Bayou, Andes, Laguna Negra | Основным носителем вируса Хантаан служит полевая мышь. Основным вторичным резервуаром вируса Пуумала является рыжая полевка | Вирус Хантаан циркулирует в природных очагах Дальнего Востока, России, Южной Кореи, КНДР, Китая, Японии. Вирус Пуумала обнаружен в Финляндии, Швеции, в России, Франции, Бельгии. Вариант Dobrava/Belgrade — циркулирует на Балканах

Flaviviridae | Flavivirus | Dengue | Лихорадка Денге, Денге геморрагическая лихорадка, шоковый синдром при лихорадке Денге | Комары | Южная и Юго-Восточная Азия, Африка, Океания, Карибский бассейн

— "- | — "- | Yellow fever | Желтая лихорадка | Существует в двух эпидемических формах: лихорадки джунглей (передается комарами от зараженных обезьян) и лихорадки населенных пунктов (передается комаром Aedes aegypti от больного человека здоровому) | Африка, тропические зоны американского континента

— "- | — "- | Omsk hemorrhagic fever | Омская геморрагическая лихорадка | Резервуаром инфекции в природе являются в основном водяная крыса, рыжая полевка, ондатра, а также клещи D. pictus, D. marginatus, которые могут передавать вирус потомству трансовариально | Природные очаги выявлены в степных и лесостепных районах Омской, Курганской, Новосибирской, Тюменской, Оренбургской областей РФ

— "- | — "- | Kyasanur Forest disease | Болезнь Киясанурского леса | Клещи вида Haemaphysalis spinigera | Северная часть Индии


Российские санитарно-эпидемиологические правила СП 1.3.2322-08 относят филовирусы (вирус Марбург, вирус Эбола) и аренавирусы (вирус Ласса, вирус Хунин, вирус Мачупо, вирус Гуанарито, вирус Сэбия) к I группе патогенности. По степени важности для национальной безопасности США к группе А относятся филовирусы, включая вирусы геморрагических лихорадок Эбола и Марбург, и аренавирусы, включая вирусы лихорадок Ласса, Аргентинской геморрагической лихорадки и связанные с ними вирусы (см. табл. 2.2).

Как потенциальные агенты БО возбудители геморрагических лихорадок стали упоминаться в научной литературе после вспышки болезни, вызванной вирусом Эбола в Южном Судане и Заире в 1976 г. В течение нескольких недель вирус вызвал вспышки геморрагической лихорадки на территории 3 тыс. км. кв., погубив жизни 435 человек. Летальность среди заболевших составила 71 %, что, естественно, произвело впечатление на военных специалистов (см. Гайслер Э. с соавт., 1986). Но об исследованиях возбудителей ВГЛ как потенциальных агентов БО, включающих масштабные эксперименты в полигонных условиях, не известно. С 1972 г. действует Конвенция о запрещении биологического оружия, поэтому если такие исследования и проводились в США, то они не афишировались.

Секта «Аум-Синрикё» на пике западной дезинформационной кампании о доступности странам Третьего мира «дешевого оружия массового поражения» предприняла попытку подготовить террористический акт с использованием вируса Эбола, но переоценила умственные возможности своих «биотеррористов». После гибели их ведущего вирусолога, интерес к возбудителям ВГЛ у сектантов пропал. Военные специалисты проводят оценку потенциальной опасности возбудителей ВГЛ, исходя из общих требований к потенциальным агентам БО. Вирусы Денге и желтой лихорадки считаются ими непригодными для ведения биологической войны из-за высокой ингаляционной дозы. Возбудители Конго-Крымской геморрагической лихорадки и геморрагической лихорадки с почечным синдромом, также не рассматриваются ими как перспективные агенты БО из-за технических трудностей, возникающих при масштабировании производства. К наиболее пригодным для использования в целях биологической войны они относят вирусы Эбола, Марбург, Ласса, Мачупо и Хунин (Borio Г. et al., 2002). Основной способ их применения для поражения людей — создание аэрозоля (см. Army FM 8-284, 2000).

Микробиология возбудителей геморрагических лихорадок. Вирусы геморрагических лихорадок размножаются в культурах клеток. Выбор культур клеток зависит от задач эксперимента и биологических особенностей вируса. Например, для размножения вируса лихорадок Эбола, Марбург и Ласса, используют клетки Vero (Halfmann P. et al., 2008; Alves D. A. et al., 2010; Fukashevich I. S. et al., 2005 соответственно). При имитации природных резервуаров, способных поддерживать длительную персистенцию вируса Эбола, используют мышиные линии клеток NIH 3F3 и RAW264.7 (линии клеток фибробластов и макрофагов мышей соответственно) и линию клеток мексиканского складчатогуба (Strong J. Е. et al., 2008). Пассируются вирусы геморрагических лихорадок на морских свинках и в культуре перевиваемых клеток почки зеленой мартышки. Их основные микробиологические свойства приведены в табл. 3.34.

Таблица 3.34. Микробиологические свойства вирусов геморрагических лихорадок[59]
| Геном

Семейство | Диаметр частицы, нм | Морфология | Размер, т. п. о. | Свойства | Сегментированность

Filoviridae | 80 | В форме бациллы | 19 | РНК(-), одноцепочечная | Несегментированный (1 — сегмент)

Arenaviridae | 110–130 | Сферическая | 11 | РНК(±), одноцепочечная | Сегментированный (2 ± сегмента)

Bunyaviridae | 80-120 | Сферическая | 11–19 | РНК(-), одноцепочечная | Сегментированный (3 — сегмента)

Flaviviridae | 40–50 | Изометрическая | 10–12 | РНК(+), одноцепочечная | Несегментированный (1 + сегмент)


Экология и естественная эпидемиология возбудителей геморрагических лихорадок. Из-за огромного видового и штаммового разнообразия и существования в разных географических районах в качестве эндемиков, детальное изложение таксономии, происхождения, экологии и эпидемиологии вирусов, возбудителей ВГЛ, в данной работе невозможно. Ниже будут приведены типовые примеры природных вспышек, вызванных этими вирусами, необходимые для понимания эпидемиологических данных, собранных при расследовании вспышки на территории России.

Filoviridae: вирусы Эбола и Марбург. Семейство вирусов Filoviridae известно с 1967 г., когда ранее неизвестный вирус вызвал вспышку геморрагической лихорадки в Марбурге (ФРГ) среди работников предприятия по производству вакцин, ассоциированную с контактным заражением от приматов, привезенных из Уганды. Филовирусы являются членами порядка Mononegavirales. Их название происходит от лат. filum (нить), отражающего их уникальную нитчатую морфологию. Семейство Filoviridae включает только один род, Filovirus, состоящий из двух видов — вирусы Эбола и Марбург. Эти виды имеют сходную геномную организацию, но в значительной степени отличаются друг от друга по нуклеотидной последовательности и лишены антигенной перекрестной реактивности. Вирус Эбола имеет не менее шести субтипов (Zaire, Sudan, Cote d'Ivoire, Bundibugyo, Lloviu и Reston). У вируса Марбург (Lake Victoria) субтипы не известны, но выделены от больных людей и животных, как минимум, девять генетически отличающихся изолятов (Ci6777, Popp, Musoke, Ravn, Angola и др.). Наиболее вирулентным для человека среди субтипов вируса Эбола является Zaire, среди изолятов вируса Марбург — Angola. Основываясь на сопоставлении летальных исходов среди заболевших людей, D. A. Alves et al. (2010)[60] считают изолят Angola вируса Марбург более вирулентным для людей, чем субтип Zaire вируса Эбола.

Большинство случаев филовирусной инфекции распознается только в условиях больших вспышек и при наличии эпидемической настороженности у врачей. Еще несколько лет назад считалось, что филовирусы циркулируют в прилегающих с юга к Сахаре странах Африки, вызывая масштабные вспышки тяжелых форм геморрагических лихорадок; и на Филиппинах, где обнаружен не опасный для человека субтип Reston вируса Эбола (рис. 3.110).

Рис. 3.110. Известная и предполагаемая география распространения филовирусов. А. Карта известных эпидемических вспышек геморрагических лихорадок, вызванных филовирусами с вирусологическим подтверждением диагноза. Б. Географические проекции экологических ниш, где могут поддерживаться филовирусы, построенные на основе географической локализации известных вспышек филовирусных инфекций. В и Г. Географические проекции возможных экологических ниш филовирусов, построенные на основе географической локализации известных вспышек лихорадок Эбола и Марбург соответственно. Д и Е. Географические проекции возможных экологических ниш филовирусов на Филиппинах и в Юго-Восточной Азии, основанные на проекции экологических ниш возбудителей лихорадки Марбург и Эбола в Африке соответственно. Большая плотность серого цвета означает большую вероятность присутствия в регионе природных очагов филовирусов. Кольца и треугольники на карте африканского континента означают географическую локализацию регионов, где встречается заболеваемость лихорадки Эбола и Марбург соответственно. По A. Townsend Peterson et al. (2004)


Однако Филиппинами и Юго-Восточной Азией географическое распространение филовирусов не ограничивается. В трупах летучих мышей Miniopterus schreibersii (обыкновенный длиннокрыл), собранных в одной из пещер в испанской провинции Астурия, обнаружен новый филовирус, названный Lloviu (Lloviu virus, LLOV). Название вируса происходит от названия пещеры Cueva del Lloviu. Вирус выделен из пневмонических очагов в легких М. schreibersii. Хотя пещеру часто посещают люди, случаев болезни, вызванных вирусом Lloviu, у них не выявлено. Это второй известный филовирус, не опасный для людей. Филогенетический анализ указывает на существование в прошлом общего предка всех филовирусов, от которого Lloviu отделился, по крайней мере, 150 тыс. лет назад (Negredo A. et al., 2011). Возможно обнаружение других очагов филовирусов на европейском континенте.

На электронных микрофотографиях филовирусные вирионы представляют собой длинные нити. Длина вирусных частиц варьирует в пределах от 800 до 1400 нм, но они имеют постоянный диаметр, равный 80 нм. Филовирусы — относительно простые вирусы, имеющие геном 19 т. п. о., кодирующий, по меньшей мере, 8 белков: нуклеопротеид (NP), вирионные белки (VP35, VP40, VP30 и VP24), белок с полимеразной активностью (L), трансмембранный гликопротеид (GP) и растворимый гликопротеид (sGP). Все гены расположились в одной цепи отрицательной-смысловой РНК. Гen gp кодирует оба гликопротеида и является самым вариабельным участком генома вируса Эбола. Доминирующим продуктом гена является гликопротеид sGP. Синтез GP происходит в результате корректировки РНК. Белки Np30, VP30, VP35 и L объединяются с вирусной геномной РНК, образуя рибонуклеопротеидный комплекс (центральный рибонуклеопротеидный кор), тогда как белки VP40, VP24 и GP ассоциируются с вирусной мембраной (Warfield К. L. et al., 2006; Melito P. L. et al., 2008). Белок VP35 вируса Эбола (Zaire) функционирует аналогично белку NS1 вируса гриппа, препятствующего индукции интерферона типа I в инфицированных клетках. Белок VP35 может действовать путем связывания с двунитевой РНК, препятствуя таким образом активации днРНК-ассоциированной фосфокиназы и, возможно, других антивирусных белков.

Линейное расположение вирусных генов напоминает таковое у рабдо- и парамиксовирусов. 3'- и 5'-концы генома содержат консервативные, комплементарные последовательности, которые являются важными цис — действующими регуляторами геномной репликации, транскрипции и, возможно, упаковки вирусной частицы. Транскрипция отдельных генов регулируется некодирующими участками на 3'- и 5'-концах, содержащих короткие консервативные последовательности (Bray М., Paragas J., 2002).

Цикл репликации у филовирусов похож на таковой у хорошо изученных рабдо- и парамиксовирусов. Репликация начинается с прикрепления вириона к рецептору на поверхности клетки (предположительно а-фолатный рецептор). После связывания с рецептором вирус проникает в клетку путем рецептор-опосредованного эндоцитоза. В результате слияния вирусной оболочки с мембраной эндосомы, центральный рибонуклеопротеидный кор высвобождается в цитоплазму Транскрипция начинается на З'-конце генома посредством вирусной РНК-зависимой РНК-полимеразы и приводит к синтезу лидерной РНК и семи полиаденилированных мРНК. Аккумуляция первых двух белков, кодируемых на З'-конце генома (NP и VP35), каким-то образом стимулирует продуцирование положительно-смысловых «антигеномов» полной длины, которые, в свою очередь служат в качестве матриц для синтеза генома. Вирион состоит из центрального рибонуклеопротеидного кора, связанного с двумя матричными белками, VP24 и VP40, покрытого двойным липидным слоем, содержащим гликопротеид, полученным от клетки-хозяина. Гликопротеид образует на поверхности вириона тримерные шипы (Bray М., Paragas J., 2002).

В случае вируса Эбола, но не вируса Марбург, первичный продукт, кодируемый геном gp, является усеченным белком, лишенным С-терминального гидрофобного мембранного якоря. Этот «растворимый GP» (sGP) высвобождается из инфицированных клеток. Синтез GP вируса Эбола полной длины требует вставки дополнительного аденозина в «редактирующем сайте» в процессе транскрипции. Во время прохождения через аппарат Гольджи, GP обильно гликозилируется и расщепляется клеточным фуриноподобным ферментом на две единицы: внеклеточный GFl и трансмембранный GP2, которые остаются связанными дисульфидной связью в виде GP1,2. Сборка новых вирусных частиц происходит на внутренней поверхности плазматической мембраны, где VP24 и VP40 связываются, по-видимому, не только с новым центральным рибонуклеопротеидным кором, но и с цитоплазматическим хвостом GP2. Полный цикл репликации длится примерно 12 ч.

Вирусы Эбола и Марбург происходят от одного предка. Несинонимические замены в гене gp вирусов Эбола и Марбург оцениваются как 3,6х10-5 на сайт/год (per site per year). Что в сотни раз медленнее, чем у ВИЧ или у вируса гриппа, но примерно соответствует скорости несинонимических замен у вируса гепатита В, имеющего ДНК-геном. Дивергенция вирусов Эбола и Марбург произошла тысячи лет назад (Suzuki Y., Gojobori Т., 1997). Их филогенетическое древо приведено на рис. 3.111.

Рис. 3.111. Филогенетическое древо вирусов Эбола и Марбург. Сравнение полных геномов обоих вирусов разного географического происхождения выполнено с помощью Bayesian analysis (байесовский анализ). Серым цветом выделен субтип Bundibugyo вируса Эбола, обнаруженный авторами данной статьи во время большой вспышки геморрагической лихорадки в Западной Уганде в ноябре 2007 г. Субтипы филовирусов выделяются в том случае, если их геномы различаются один от другого, по крайней мере, на 30–40 %. По J. S. Towner et al. (2008)


Особенности этиологии, эпидемиологии и клиники геморрагических лихорадок Эбола и Марбург приведены в табл. 3.35.

Таблица 3.35. Особенности этиологии, эпидемиологии и клиники филовирусных геморрагических лихорадок Эбола и Марбург[61]
Критерий


Характеристика


Эбола


Марбург


Этиология


Возбудитель


Частица 800 нм, полиморфен, не менее 8 белков


Частица 750 нм, полиморфен, не менее 8 белков


Эпидемиология


Эпидемии (количество заболевших)


1976–1978 гг. — Судан, Заир (602); 1985 г. — Кения (?);


1994–1995 гг. — Заир (297),


Кот д'Ивуар (3);


1994–1996 гг. — Габон (90),


ЮАР (>17);


2001 г. — Кения;


2003 г. — Габон (135);


2004 г. — Судан (> 20?)


1967 г. — ФРГ, СФРЮ (31); 1975–1990 гг. — Родезия (2), Кения (1);


1999 г. — Конго (Заир) (70); 2004–2005 гг. — Ангола (308, из них 284 смертельных исходов)


Сезонность


Весна — лето

Весна — лето?

Генерации


До 5–8


2-3 (до 7–8 в Конго)


Летальность


60-100 %


28-100 %


Источник


Больные люди, обезьяны, летучие мыши, грызуны, растения?


Больные люди, обезьяны, растения?


Путь передачи


Контакты (в т. ч. половые), ингаляционно, инъекции


Контакты (в т. ч. половые), ингаляционно


Контагиозность


23 % в семье, 81 % среди медицинского персонала


Невысокая (Конго — высокая)


Заболеваемость


10-81 %


Нет данных


Заразный


период


1-27 сут болезни (до 2–3 мес. при половой передаче)


1-27 сут болезни (до 2–3 мес. при половой передаче)


Клиника


Инкубационный период


4-20 сут


3-20 сут


Начало


Острое


Острое


Первичные


симптомы


Лихорадка, фарингит, тошнота, боль в животе


Лихорадка, боли, прострация


Фаза разгара


Мелена (2–3 сут), сыпь (4–6 сут), диарея, возбуждение, кровотечения и кровоизлияния (3–5 сут)


Фарингит, воспаление половых органов, сыпь, геморрагический диатез (8-13 сут), поражение печени и почек, миокардит


Причина


гибели


ДВС-синдром, отек легких и мозга, шок (8–9 сут)


ДВС-синдром, отек легких и мозга, шок (8-17 сут)


Длительность


заболевания


2-3 нед


3-4 нед (до 2 мес.)


Длительность


реконвалес-


ценции


2-3 мес.


2-3 мес.


Осложнения


Анорексия, психозы


Гепатит, орхит, миелит, психозы


Первичный природный резервуар филовирусов неизвестен. В течение длительного времени считалось, что подобно некоторым другим классическим вирусным зоонозам, вирусы Эбола и Марбург поддерживаются у некоторых видов позвоночных в виде хронической/персистирующей инфекции, которая не вызывает заболевание. Причем и вид-резервуар, и вирус сохраняются в течение достаточного периода времени, чтобы обеспечить передачу другим восприимчивым хозяевам. Предполагалось, что резервуарами являются многие виды позвоночных, включая летучих мышей, мышей, землероек и других, живущих на земле животных, но, несмотря на интенсивный поиск, было обнаружено, что ни одно из них не продуцировало живые вирусы в естественных условиях. Хотя вспышки лихорадок Эбола и Марбург часто ассоциировались с контактами с низшими приматами, но эти виды не являются природными резервуарами фило-вирусов, поскольку и у них наблюдается высокая летальность при заражении. Местное население мало чем способно помочь исследователям при установлении эпидемических цепочек филовирусов. Традиционные поверья, распространенные в Центральной Африке, связывают болезнь с колдовством или отравлением, но не с вирусом.

После вспышек лихорадки Эбола в 1994 г. в республике Кот-д'Ивуар и в 1995 г. в Демократической Республике Конго, были предприняты интенсивные попытки идентифицировать природные резервуары филовирусов. Однако они не дали ответа на вопрос, кто из животных или растений является первичным резервуаром[62]. Некоторые ученые по-прежнему настаивают на том, что резервуаром, из которого происходит инфицирование людей, являются летучие мыши. J. S. Towner et al. (2009) приводят доказательства длительного поддержания вируса Марбург в колониях египетских фруктовых летучих мышей (Rousettus aegyptiacus). Возможные модели трансмиссионных циклов филовирусов приведены на рис. 3.112.

Рис. 3.112. Возможные модели трансмиссионных циклов филовирусов. А. С доминированием летучих мышей. Б. С доминированием артроподов и насекомоядных. По Т. М. Monath (1999)


До настоящего времени не идентифицированы членистоногие-переносчики, и какие-либо другие механизмы передачи филовирусов из природного резервуара людям и низшим приматам. Неясными остаются механизмы, лежащие в основе высокой чувствительности людей и низших приматов к вирусам Эбола и Марбург дикого типа по сравнению с другими видами (т. е. мышами и, возможно, летучими мышами).

Эксперименты на приматах показали, что животные заболевают после интрана-зального, перорального и конъюнктивального ведения вирусов Марбург и Эбола. У людей такой путь занесения инфекции в организм возможен, но прямые доказательства отсутствуют, полученные в очагах болезни, отсутствуют. Воздушно-капельный путь заражения скорее исключение, чем правило. В природе, судя по патологоанатомической картине болезни у погибших животных, вирус передается через пищу. У них нет поражений альвеол и бронхов, в основном в патологический процесс вовлечены кишечные лимфатические узлы, печень и селезенка (Wyers М. et al., 1999).

Больные лихорадками Эбола и Марбург очень опасны для медицинского персонала. Например, в 2000 г. во время вспышки лихорадки Эбола в Уганде (погибло 224 человека) из 22 человек медицинского персонала заболело 14 (64 %). Первичными больными с филовирусной инфекцией чаще всего были мужчины, которые работали в лесах, котлованах или рудниках. Вирусы лихорадок Эбола и Марбург могут в течение 101 сут и 83 сут, соответственно, выделяться с семенной жидкостью реконва-лесцентов. Доказаны случаи полового заражения этими вирусами (Borio L. et al., 2002; Peterson A. T. et al. 2004). Ниже рассмотрим пример молекулярной эпидемиологии естественных вспышек лихорадки Эбола (рис. 3.113).

Рис. 3.113. Географическое распределение трех эпидемий геморрагической лихорадки Эбола в Габоне. Район Minkouka — первая вспышка. Mayibout — вторая вспышка. Вооиё — третья вспышка. По М. С. Georges-Courbot et al. (1997)


Циркуляция вируса Эбола среди населения Габона серологически показана еще в 1982 г. В 1994–1994 гг. были зарегистрированы три независимые друг от друга вспышки геморрагической лихорадки Эбола у людей в северо-восточной части Габона, в районе лесов экваториальной провинции Огуо-Ивиндо. Каждая вспышка сопровождалась гибелью приматов. Первая из них началась в декабре 1994 г. в сезон дождей (декабрь и февраль) в лагере золотодобытчиков на северо-востоке Габона в районе Minkouka между 1'24" и 1'44" с. ш. и 12'59" в. д. около реки Нуна. Вторая — в начале февраля 1996 г. в селении Mayibout (1'07" с. ш. и 13'06" в. д.) около реки Ивиндо (37 случаев болезни). Наиболее близкий к ним город Makokou, расположенный в 0'ЗЗ" с.ш. и 12'50" в.д., имел свой госпиталь, куда доставлялись больные и контактировавшие с ними жители. Третья вспышка началась в июле 1996 г. в поселке Вооиё (0'06" ю.ш. и 11'57" в.д.), где выявлено большинство заболевших. Также были диагностированы отдельные случаи болезни в близлежащих городах и поселках. Всего за время третьей вспышки зарегистрировано не менее 43 летальных случаев геморрагической лихорадки Эбола. Вирус Эбола легко выделялся из крови людей в культуре клеток Vero Е6 при единственном пассаже. У вирусов, выделенных от больных, определялась последовательность гена gp. Филогенетический анализ выявил общее эволюционное происхождение вирусов, вызвавших вспышки в Габоне и Заире. Кроме того, полученные данные подтвердили независимость друг от друга трех вспышек в Габоне. Ген gp вирусов, выделенных во время весенней вспышки 1996 г. в Габоне, отличался от последовательности гена gp вирусов вспышки конца 1994 г. четырьмя дополнительными нуклеотидами. Между вирусными последовательностями, полученными непосредственно из клинического материала и путем пассирования в тканевой культуре, или между последовательностями от первичных и вторичных случаев заболевания, различий не было. Наличие постоянных вирусных последовательностей и отсутствие генетического разнообразия между штаммами, выделенными в пределах отдельной вспышки, было показано в 1995 г. во время вспышки геморрагичекой лихорадки Эбола в селении Киквит (Заир) и подтверждено в Габоне.


Полученные М. С. Georges-Courbot et al. (1997) данные показали, что вирусы, вызвавшие вспышки лихорадки Эбола на разных эндемичных территориях, отличаются друг от друга по нуклеотидным последовательностям гена gp, однако генетического разнообразия между штаммами, выделенными в пределах отдельной вспышки обычно не наблюдается. Возможны вспышки, вызванные рекомбинантами, образовавшимися в пределах одного субтипа вируса Эбола (Wittmann Т. J. et al., 2007).

Arenaviridae. Название семейству было дано по структуре вириона, который внешне выглядит так, как будто посыпан песком (лат. arena — песок). Семейство состоит из одного рода (Arenavirus), включающего не менее 23 идентифицированных вирусов, подразделенных на основе их антигенных свойств на две группы:

1) серокомплекс Такарибе (или группа Нового Света), включающий вирусы, характерные для Северной и Южной Америки;

2) серокомплекс Ласса-лимфоцитарный хориоменингит (группа Старого Света). Включает вирусы, характерные для Африки.

Повсеместно распространен только вирус лимфоцитарного хориоменингита. Географическое распространение каждого аренавируса определяется диапазоном его носителей в природе. Наиболее важными вирусными антигенами являются нуклео-протеид и гликопротеид, причем антигены нуклеопротеиды наиболее консервативные среди антигенов аренавирусов. Точная идентификация аренавирусов достигается путем исследования в реакциях нейтрализации, которые зависят от высокоспецифических эпитопов оболочечных гликопротеидов. Генетическая классификация аренавирусов соответствует результатам серологических исследований. Семейство состоит из 4 филогенетических линий вирусов (Charrel R. N., de Lamballerie X., 2003).

Особенности этиологии, эпидемиологии и клиники аренавирусных геморрагических лихорадок Ласса, Боливийской и Аргентинской приведены в табл. 3.36.

Таблица 3.36. Особенности этиологии, эпидемиологии и клиники аренавирусных геморрагических лихорадок Ласса, Боливийской и Аргентинской*


Критерий


Характеристика


Лихорадки Ласса


Боливийская и Аргентинская лихорадки


Этиология


Возбудитель


Частица 50 нм, сферичен, 10–15 гранул; 13 белков


Частица 70 нм, сферичен, 2-10 гранул; 13 белков


Эпидемиология


Эпидемии


Постоянно с 1969 г.; до 2–3 млн человек в год


Постоянно; 10–30 человек в год


Завозы


1969–1988 гг. — около 20 случаев в США, Европе, Японии, Израиле


Нет данных


Сезонность


Отсутствует


Весна — лето?


Генерации


ДоЗ


1-2


Летальность


0,1–0,2 % (20–30 % среди госпитализированных)


5-30 % (10 %)


Источник


Крысы Mastomys, больные люди


Хомячки Calomys, больные люди


Путь передачи


Контакты, алиментарно, аэрозольно


Контакты, алиментарно, аэрозольно


Контагиозность


Средняя


Средняя


Заболеваемость


Высокая


Низкая


Заразный период


До 70 сут


До 2–3 нед


Клиника


Инкубационный период


3-21 сут (7-14 сут)


3-21 сут (14 сут)


Начало


Постепенное


Постепенное


Первичные симптомы


Лихорадка, недомогание, конъюнктивит


Лихорадка, фарингит, головная боль, гингивит


Фаза разгара


Интоксикация, язвенный фарингит, сыпь, геморрагические проявления, лимфаденит


Полиаденит, сыпь, энцефалит, геморрагические проявления


Причина гибели


Некрозы внутренних органов (7-14 сут), острая почечная недостаточность, шок


Сопутствующие осложнения (аутоиммунные) (10–14 сут), нарушение сердечнососудистой деятельности


Длительность болезни


До 1 мес.


До 1 мес.


Длительность реконвалесценции


До 2–3 мес.


1-1,5 мес.


Осложнения


Глухота, облысение, астения


Гиперчувствительность, нарушения статики, параличи

* По И. В. Борисевичу с соавт. (2006).

Вирион аренавируса покрыт плотной оболочкой, включающей липиды, и имеет крупные шипы на поверхности. Вирионы полиморфны, их диаметр в пределах 62-200 нм, в среднем, около 110 нм. Геномная (минус)РНК аренавирусов двуцепочечная, содержит два однонитевых сегмента (bi-segmented genom). Каждый сегмент кодирует два различных белка в двух неперекрывающихся рамках считывания с противоположной полярностью, разделеных некодирующим межгеномным регионом (non-coding intergenic region, IGR): S-сегмент — 3,5 т. п. о., кодирует, два полипептида: NP — нуклеопротеин (63 кДа) и прекурсор поверхностного гликопротеина (surface glycoprotein precursor, GPC; 75 кДа). GPC разрезается на два гликопротеида GP1 и GP2;

L-сегмент — 7,3 т. п. о., кодирует два белка — РНК-полимеразу и Z-белок, содержащий «Zn-связывающий палец».

Некодирующий межгеномный регион имеет стабильную шпилечную структуру. 5'- и З'-концы каждого сегмента являются некодирующими, и 19 терминальных нуклеотидов одного конца, соответствуют обратной комплементарной последовательности из 19 нуклеотидов на другом конце. Геномная (минус)РНК реплицируется в (плюс)антигеномную и далее транслируется (минус)мРНК. Жизненный цикл аренавирусов ограничен цитоплазмой клетки (рис. 3.114).

Рис. 3.114. Организация генома и репликация аренавирусов. А. Организация генома аренавирусов. Б. Репликация аренавирусов на примере S-сегмента. РНК-полимераза, ассоциированная с рибонуклеопротеидным комплексом вируса (ribonucleo-protein, RNP), инициирует транскрипцию от геномного промотора, локализованного в участке З'-конца (обозначен треугольником). Начальная транскрипция приводит к синтезу мРНК NP (или мРНК L в случае L-сегмента). Затем вирусная полимераза начинает действовать как репликаза и перемещается вдоль межгеномного региона (IGR), образуя полную копию антигенома (antigenome, ag) S-РНК (или ag L-PHK). Эта ag S-PHK служит матрицей для синтеза GP мРНК (ag L-PHK служит матрицей для синтеза Z мРНК). По J.С. de la Torre (2008)


В природе источником аренавирусов для людей являются инфицированные грызуны. Заражение происходит алиментарным, контактным, через микротравмы кожи, а также воздушно-пылевым (ингаляционным) путями. Благодаря высокой устойчивости аренавирусов в окружающей среде и низкой инфицирующей дозе, ингаляционное заражение человека может произойти на расстоянии, измеряемом десятками метров от источника аэрозоля. При загрязнении предметов обихода или инструментария выделениями (кровавая мокрота, кровавая рвота) или непосредственно кровью больных, содержащими вирус, возможна контактная передача возбудителя болезни, а также заражение через медицинский инструмент. Попадание в пищу или воду зараженной вирусом мочи, носового и ротового отделяемого грызунов или носоглоточного отделяемого больных людей также ведет к заражению. Хотя больной человек может служить источником заражения для других людей, но при повторных передачах от человека к человеку инфекция угасает, и в человеческой популяции длительной циркуляции аренавирусов не происходит. При расследовании внутрибольничных вспышек механизм передачи вируса часто остается неизвестным. Во время первой вспышки лихорадки Лacca в нигерийской больнице 1969 г. в населенном пункте Ласса, среди пациентов выявлено 16 вторичных случаев болезни, однако не было доказано воздушно-капельной передачи инфекции. Нет документального подтверждения передачи аренавирусов от людей, находящихся в инкубационном периоде болезни. В то же время вирус Ласса может выделяться спермой пациента в течение 3 мес. и мочой более месяца от начала болезни (Шувалова Е. П. с соавт., 2001; Borio L. et al., 2002). Все аре-навирусы, исследуемые в вирусологических лабораториях, оказывались инфекционными для человека в тех случаях, когда существовала возможность ингаляционного заражения (Charrel R. N., de Lamballerie X., 2003).

Лихорадка Ласса встречается в Западной (Нигерия, Сьерра-Леоне, Сенегал, Мали, Гвинея) и Центральной (Заир, Центрально-Африканская Республика, Буркина-Фасо) Африке, где регистрируется в виде спорадических случаев и небольших вспышек на территории природных очагов. В Западной Африке ежегодно инфицируются вирусом Ласса от 2 до 3 млн человек, из них от 5 до 10 тыс. погибает (Fichet-Calvet Е., Rogers D. J.,2009) (рис. 3.115).

Вирус Ласса (LASV) передается людям от многососковых крыс (Mastomys spp.) при непосредственном контакте с фекалиями инфицированных животных и/или при их попадании на слизистую оболочку (рис. 3.116).

Рис. 3.115. География вспышек лихорадки Ласса в Западной Африке в 1969–1975 гг. Лихорадка Ласса была многократно описана у заболевших людей еще в 1930-х гг. под названием «тиф саванны», но ее этиология не была установлена. Кружком обозначены преимущественно внутрибольничные вспышки болезни, квадратом — вспышки в общинах на территориях, эндемичных по вирусу Ласса. По Т. P. Monath (1975)

Рис. 3.116. Схематическое изображение трансмиссии вируса Ласса из природного резервуара среди грызунов в популяции людей. По Т. P. Monath (1975)


Хотя и считается, что резервуаром вируса Ласса является Mastomys natalensis[63], однако в этом утверждении есть противоречие. Ареал М. natalensis включает не только Западную Африку, но и Восточную, Центральную и Южную, но вспышки лихорадки Ласса среди грызунов географически локализованы в отдельных регионах Западной Африки. М. natalensis не разносит вирус Ласса по своему ареалу. Значит, есть какой-то другой источник вируса (первичный резервуар), локализованный в отдельных регионах Западной Африки, из которого вирус проникает в популяции М. natalensis.

Филогенетический анализ показал, что вирусы Ласса состоят из четырех линий, три из которых циркулируют среди грызунов в Нигерии, и четвертая — среди грызунов Гвинеи, Либерии и Сьерра-Леоне. Сравнительный анализ последовательностей генов белков GP1 и GP2 позволяет предположить, что нигерийские штаммы вируса Ласса были предками штаммов, циркулирующих в Гвинее, Либерии и Сьерра-Леоне. Генетическое расстояние между штаммами Ласса коррелирует с географическим расстоянием, но не со временем (Bowen М.D. et al., 2000). Отсутствие доказательств работы «молекулярных часов» вызвано низкой скоростью мутирования вируса. Скорость образования мутаций у вируса Ласса в пределах от 5,6х10-4 до 17,6х 10-4 нуклеотидных замен на сайт/год (per site per year) (Ehichioya D.U. et al., 2011). Штаммы вируса Ласса, выделенные от жертв вспышки, идентичны, если они произошли из одного источника заражения людей (Bowen М.D. et al., 2000). Возможность рекомбинации между штаммами вируса Ласса разных линий, циркулирующих в природных резервуарах, не доказана (Ehichioya D.U. et al., 2011).

Восприимчивость людей и животных к возбудителям геморрагических лихорадок. Для испытания антивирусных препаратов и вакцин и для изучения филовирусного патогенеза используются три типа лабораторных животных — мыши, морские свинки и низшие приматы. У этих разных видов животных аналогичные клетки-мишени, с которыми специфически взаимодействую вирусы, и, соответственно, сходная симптоматика болезни. Низшие приматы крайне чувствительны ко всем филовирусам, в то время как морские свинки и иммунокомпетентные мыши обладают врожденной резистентностью к филовирусной инфекции. Это основное различие между животными моделями может стать причиной расхождений в результатах при проверке эффективности лекарственных препаратов и вакцин.

Мыши. Вирусы, возбудители лихорадок Марбург и Эбола, вызывают летальное заболевание у новорожденных мышей, но не вызывают явного заболевания у взрослых иммунокомпетентных мышей. Однако в результате последовательного пассирования вируса Эбола (Zaire 76) на взрослеющих мышах-сосунках был получен вариант вируса, который вызывает скоротечную летальную инфекцию у взрослых мышей при интраперитонеальном заражении. Патологические признаки инфекции, вызванной этим «адаптированным к мышам вирусом», сходны с таковыми у приматов, за исключением менее выраженной коагулопатии. У мышей отсутствует такой характерный признак лихорадки Эбола как генерализованный тромбогеморрагический синдром, обнаруживаемый на последней стадии в поражениях у людей и нечеловекообразных приматов (Geisbert Т.W. et al., 2002). Мышиная модель используется для предварительной оценки вакцин и антивирусных препаратов и для изучения филовирусного патогенеза. У мышей с иммунодефицитом, лишенных либо врожденных, либо антиген-специфических иммунных ответов, заражение вирусами Марбург и Эбола вызывает быстрый летальный исход.

Морские свинки. После заражения вирусом Марбург или вирусом Эбола (Zaire) или Эбола (Sudan) у морских свинок развивается слабо выраженная лихорадка. В результате переноса вируса от животного к животному постепенно повышается его вирулентность в отношении морских свинок, и после нескольких пассажей можно отобрать штамм вируса, который постоянно вызывает инфекционный процесс, заканчивающийся гибелью животного. Основные патологические признаки летальной инфекции у морских свинок сходны с таковыми у мышей и приматов. Морские свинки используются для испытания вакцин, но из-за их размера они в меньшей степени пригодны для предварительной оценки экспериментальных препаратов, которые обычно имеются лишь в небольшом количестве.

Низшие приматы. Все филовирусы вызывают у низших приматов тяжелую геморрагическую лихорадку. Наиболее вирулентным является вирус Эбола (Zaire), вызывающий летальное заболевание у африканских зеленых мартышек, обезьян цино-молгус, макак-резус и павианов. У обезьян циномолгус, являющихся широкораспространенной моделью, эта инфекция характеризуется повышением температуры и снижением активности на 3–4 сут после заражения; появлением с 4-5-х сут на туловище сыпи в виде красно-фиолетовых пятен; притуплением чувствительности на 6 сут и летальным исходом на 7–8 сут. Первоначально вирус обнаруживается в сыворотке на 3 сут, а к 5-м сут титры могут превысить 10 КОЕ/мл. Высокие концентрации вируса обнаруживаются также в печени, селезенке и других тканях. Изменения в количествах клеток крови и других параметрах клинических лабораторных, исследований сходны с таковыми у людей. Обычно наблюдаются слабые кровотечения, а обильное кровотечение является редким явлением. Вирусы Эбола (Sudan), Эбола (Reston) и Марбург также вызывают у низших приматов тяжелую геморрагическую лихорадку, отличающуюся лишь большей продолжительностью болезни и летальностью, приближающейся к 100 % (Bray М., Paragas J., 2002).

При инфицировании аэрозолем вируса Эбола (Zaire) с дисперсностью частиц 0,8–1,2 мкм, LD100 для макак-резус не превышала 400 КОЕ (Johnson Е. et al., 1995).

При ингаляционном заражении макак-крабоедов (Масаса fascicularis) разными дозами вируса Марбург (MARV-Angola), составлявшими 2-14 КОЕ и 99-705 КОЕ, обезьяны погибали все от любой дозы. Разница была только в продолжительности жизни после заражения на одни сутки (Alves D.A. et al., 2010).

Парентеральное введение обезьянам 1-10 КОЕ вирусов Эбола (Zaire) или Марбург (Musoki) обычно приводит их к смерти (Johnson Е. et al., 1995).

К вирусу Ласса чувствительны приматы и морские свинки. LD100 (штамм Josiah) для обезьян М. fascicularis весом 2–3,5 кг не превышает 465 КОЕ при дисперсности аэрозольных частиц меньше 4,5 мкм. При заражении этим же аэрозолями инбредных морских свинок линии Hartley определить LD50 оказалось затруднительно, так как летальность среди экспонированных животных никогда не превышала 50 %. Среднее время до гибели (23–37 сут) не обнаруживало значительной зависимости от концентрации вируса в аэрозоле. У инфицированных морских свинок находили лишь минимальные симптомы болезни, такие как всклоченность шерсти и затрудненность дыхания в последние 24–48 ч жизни. Однако морские свинки этой линии считаются высокочувствительными к ингаляционному заражению вирусом Ласса, так как ID50 для них составляет 15 КОЕ (Stephenson Е. et al., 1984).

Более точно воспроизвести в эксперименте клинику и патогенез лихорадки Ласса у человека, можно подкожным заражением макак-резусов (Gallis R. Т. et al., 1982).

Иммунитет к возбудителям вирусных геморрагических лихорадок. При отдельных филовирусных, флавивирусных и буньявирусных инфекциях ответы со стороны иммунной системы человека на возбудитель инфекции мало похожи на те, что описаны в учебниках по иммунологии для студентов. Основную роль в них играют феномены антителозависимого усиления инфекции (antibody-dependent enhancement, ADE) и антигенного импринтинга (другое название — феномен первичного антигенного греха, phenomenon of original antigenic sin, OAS).

Феномен ADE заключается в том, что вирусспецифические антитела усиливают проникновение вируса в фагоцитирующие клетки посредством взаимодействия с рецептором FcR и/или рецепторами комплемента на поверхности фагоцитирующих клеток. Поэтому феномен наблюдается в двух вариантах:

а) комплемент-опосредованное антителозависимое усиление инфекции (complement-mediated ADE; C-ADE);

б) независящее от комплемента и связанное с Fc-рецептором усиление инфекции (Fc-receptor-mediated ADE; FcR-ADE) (Takada A., Kawaoka Y., 2003; Tirado S. М., Yoon K. S., 2003).

Особенности вирусов, вызывающих феномен ADE, следующие:

а) обычно такие вирусы реплицируются в макрофагах;

б) они индуцируют продукцию большого количества антител с плохой способностью к нейтрализации гомологичных вирусов;

в) способны к персистентной инфекции, характеризующейся продолжительной виремией (Tirado S. М., Yoon К. S., 2003). Феномен ADE проявляется в ответ на образование антител изотипа IgGl (Elenchal Е. A.et al., 1985).

A. Takada et al. (2001, 2002) обнаружена способность сыворотки реконвалесцен-тов, переболевших лихорадкой Эбола (Zaire), увеличивать инфекционность вируса в отношении клеток 293-й линии, клеток почек обезьян и эндотелиальных клеток пупочной вены человека. Исследователями показано, что основную роль в этом процессе играют отдельные анти-IgM, специфичные к GP, и что выраженность феномена ADE различна у сывороток, взятых от разных пациентов. Аналогичные данные получены ими с сывороткой, взятой от мышей, иммунизированных ДНК-вакциной с клониро-ваным геном gp. Феномен ADE был менее выражен для субтипа вируса Reston, чем для вирусов субтипов Zaire и Sudan. Авторы данных работ предположили, что феномен ADE играет важную роль в патогенезе лихорадки Эбола (рис. 3.117).

Рис. 3.117. Модель C-ADE (Clq-ADE) при лихорадке Эбола. А. Схематическое изображение белков комплемента С1 и Clq. Молекула Clq включаетглобулярный и лигандсвязывающий домены. Елобулярный домен состоит из шести глобулярных набалдашников (globular heads), которые связываются с Fc-учаетком антитела. Лигандсвязывающий домен Clq взаимодействует с лигандом на поверхности фагоцитирующей клетки. Аффинитет Clq к лиганду снижается при ассоциации с Clr и Cls (сериновые протеазы). Б. Механизм ADE при лихорадке Эбола. Вирус Эбола инициирует инфекционный процесс путем связывания со специфическими рецепторами на поверхности фагоцитирующей клетки (1). Clq связывает комплекс «вирус-антитело» с Clq-лигандами, расположенными на поверхности клеток, вызывая взаимодействие между вирусом и рецептором (2). Диссоциация Clr nClsoTClq увеличивает связывающий аффинитет молекулы Clq с лигандами на поверхности фагоцитирующей клетки (3). По A. Takada et al. (2003)


В дальнейшем A. Takada et al. (2007) показали в условиях in vitro, что ADE при инфекционном процессе, вызванном вирусом Эбола (Zaire), развивается в результате взаимодействия вирусспецифических антител с вирусом и Fc-рецептором, или компонентом комплемента Clq и его рецептором (С-ADE вариант феномена). ADE GP-антисыворотки связана с уровнями IgG2a и IgM, но не с уровнями IgGl. Используя моноклональные антитела, авторы определили эпитопы GP вируса субтипа Zaire, отвечающие за индукцию антител, вызывающих ADE. Они также сконструировали химерные эпитопы, индуцирующие продукцию антител у мышей со сниженной способностью вызывать ADE, но обладающих нейтрализующей активностью в отношении вируса субтипа Zaire.

Для лихорадки Марбург феномен ADE был описан в 2011 г. Так же как для вируса Эбола, показана связь между ADE и вирулентностью штаммов вируса Марбург. Авторами делается вывод, что феномен ADE лежит в основе патогенеза не только лихорадок Марбург и Эбола, но и других филовирусных лихорадок (Nakayama E. et al., 2011).

Среди инфекционных процессов, вызываемых флавивирусами, феномен ADE наиболее изучен при лихорадке Денге и желтой лихорадке. Первая инфекция, вызванная вирусом Денге, чаще всего протекает у человека бессимптомно и дает пожизненный иммунитет к вирусу серотипа, ее вызвавшего. Однако если он сталкивается с вирусом другого серотипа, то благодаря FcR-ADE, болезнь протекает в тяжелой форме с большой вероятностью летального исхода (до 50 %) (Boonnak К. et al., 2008). ADE рассматривается как основная причина нейровирулентности вируса и тяжелого течения желтой лихорадки. Показана связь ADE с антителами (нейтрализующими, не нейтрализующими и протективными) к гликопротеину Е вируса желтой лихорадки (Barrett A. D. Т., Gould А.,1986; Goulld Е A. et al., 1989). При лихорадке Западного Нила ADE вызывают субклассы IgG, обладающие высокой афинностью к фактору комплемента Clq (Mehlhop Е. et al., 2007).

При инфекционных процессах, вызываемых вирусами семейства Bunyaviridae, феномен ADE остался не изученным. ADE смоделирован в условиях in vitro для инфекционного процесса, вызванного вирусом Хантаан, но на этом его исследования прекратились (Yao J. S. et al., 1992).

Феномен ОAS состоит в том, что при повторном контакте иммунной системы с вирусом или вакциной, иммунная система может не воспринимать различия между вариантом эпитопа, с которым уже познакомилась ранее, и его новым вариантом. И тогда активизируются В-клетки памяти, «запомнившие» предыдущий антиген. Выработка антител происходит в отношении этого антигена, хотя реально иммунная система с ним не контактирует. Образующиеся антитела не способны нейтрализовать вирус, выработка же специфических антител тормозится из-за подавления «наивных» В-клеток активизировавшимися В-клетками памяти. Феномен OAS детально изучен при инфекционных процессах, вызванных ВИЧ, вирусом гриппа А, лимфоцитарного хориоменингита, лихорадки Денге и некоторых тога-, парамикс- и энтеровирусами. Вирус лимфоцитарного хориоменингита (LCMV) в настоящее время единственный из аренавирусов, для которого установлена способность вызывать данный феномен. P. Klenerman и R. М. Zinkernage (1998) показано, что последовательное введение мышам различных штаммов LCMV, вызывало у них образование CTL-кле-ток, специфичных только в отношении штамма LCMV, введенного первым. Среди ВГЛ, вызванных флавивирусами, феномен OAS наблюдается при лихорадке Денге (HalsteadS. В. et al., 1983).

Исследования роли OAS и ADE в эпидемических и инфекционных процессах, и ответах на вакцинацию малоинтересны создателям вакцин[64] из-за опасений лишиться финансирования, поэтому они носят выборочный характер.

Устойчивость возбудителей вирусных геморрагических лихорадок во внешней среде. Преобладание ингаляционного пути заражения возбудителями ВГЛ среди других механизмов заражения людей свидетельствует в пользу того, что выделяясь с экскретами больных животных, они способны длительно сохраняться во внешней среде. Основными причинами высокой резистентности к внешним воздействиям вирусов, возбудителей геморрагических лихорадок, является наличие плотной липидной оболочки и РНК-генома, который менее чувствителен к физическим факторам, чем геном ДНК-вирусов.

Стабильность и инфекционность аэрозолей возбудителей геморрагических лихорадок изучены на примере вируса Ласса. Е. Stephenson et al. (1984) показали, что через 4 мин после перевода суспензии вируса в аэрозоль с дисперсностью частиц менее 4,5 мкм, при температуре окружающей среды 24 °C и относительной влажности 55 %, 75,3+9,6 % частиц сохраняли инфекционность. При повышении температуры окружающей среды до 38 °C при той же относительной влажности инфекционность аэрозоля падала до 33,7 %. Периоды биологического полураспада аэрозоля вируса как при температуре окружающей среды 24 °C, так и при 32 °C, составляли от 10,1 до 54,6 мин, в зависимости от относительной влажности воздуха, но в любом случае инфекционность аэрозолей была достаточной для поражения людей на значительном расстоянии от аэрозольного генератора.

Антивирусные препараты. Лицензированных препаратов, оказывающих эффективное профилактическое и терапевтическое действие при инфекциях, вызванных филовирусами, нет. В некоторых случаях были использованы сыворотка и цельная кровь реконвалесцентов, но без убедительных доказательств их эффективности. При лабораторных исследованиях терапевтической эффективности поли- и моноклональных антител на обезьянах циномолгус обнадеживающих результатов получено не было. Попытку лечения нескольких больных с использованием а-интерферона, рекомбинантного интерферона и экстракорпоральной крови с гемосорбентами и диализом, можно считать успешной, но неясно, были ли только эти меры ответственны за благоприятный исход болезни. Нуклеозидный аналог рибавирин (ribavirin, Rib; 1-p-D-ribofuranosyl-1,2,4-triazole-3-carboxamide), эффективный при некоторых других вирусных геморрагических лихорадках (см. ниже) и поксвирусных инфекциях (см. разд. 3.8), не оказывает ингибирующего воздействия на филовирусы. Удачными оказались эксперименты по терапевтическому применению антисмысловых олигонуклеотидов и молекул короткой интерферирующей РНК (siRNA). Антисмысловые фосфородиами-дат-морфолино-олигомеры, направленные на предполагаемые последовательности в мРНК трех вирусных генов, защищали 75 % макак-резусов от вируса Эбола подтипа Zaire, когда лечение начинали до заражения. Лечение siRNA было успешным у морских свинок. Эффективность этих подходов может быть повышена благодаря усовершенствованным системам доставки и комбинациям молекул, нацеленных на большое количество вирусных генов. Но, несмотря на некоторые достижения в лечении филовирусных инфекций, следует признать, что лечение имело успех, если оно начиналось либо до, либо вскоре после заражения вирусом (Bausch D. G. et al., 2008).

Профилактическое и терапевтическое действие при инфекциях, вызванных аре-навирусами, оказывает рибавирин. Эффективность препарата доказана экспериментально в условиях in vitro и in vivo, и он лицензирован для лечения лихорадки Ласса. В основе механизма действия рибавирина — подавление синтеза вирусной РНК. Ри-бовирин активен и в отношении Bunyaviridae (включая CCHF), но не эффективен по отношению к Filoviridae или Flaviviridae. Рибавирин не проникает через гематоэнце-фалический барьер и, следовательно, не эффективен при неврологических нарушениях, вызванных арена- и буньявирусами. Внутривенное введение рибаверина в первые шесть суток лихорадочного состояния у больного с лихорадкой Ласса, с высоким уровнем виремии, снижало летальность с 76 до 9 % (Borio L. et al., 2002).

В последние два десятилетия активно идет поиск более эффективных препаратов, способных блокировать инфекционные процессы, вызываемые аренавирусами. Среди них: ингибиторы IMP-дегидрогеназы (IMP-dehydrogenase), S-аденозилгомоцистеин-гидролазы (S-adenosylhomocysteine hydrolase), фенотиазидные соединения (phenotia-zines compounds), брассиностероиды (brassinosteroids), муристиковая кислота (myris-tic acid), отдельные антиретровирусные препараты, производные пиразина (Т-705; 6-fluoro-3-hydrody-2-pyrazinecarboxamide), бензимидазола (ST-193; benzimidazole derivative), фосфоротиоатные олигонуклеотиды (phosphorothioate oligonucleotides) и амфипатические ДНК-полимеры (amphipathic DNApolymers) (Lee А.М. et al., 2011).

Обнаружение генетически измененных штаммов возбудителей геморрагических лихорадок. Возбудители геморрагических лихорадок Марбург, Эбола и Ласса, имеют еще меньше «недостатков», чем ортопоксвирусы, которые бы могли вызвать у террористов желание подвергнуть себя дополнительному риску, вмешиваясь в их геном. Кроме того, геном этих вирусов значительно меньше, чем геном ортопоксвирусов (10–19 и 144–289 т. п. о.), и представлен РНК, а не ДНК, что значительно снижает возможности генных инженеров по получению генетически измененных штаммов возбудителей геморрагических лихорадок Марбург, Эбола и Ласса.

Обнаружение более вирулентных для людей рекомбинатов, образовавшихся между вирусами Эбола одного субтипа, не следует рассматривать как проявление деятельности человека, так как такие рекомбинанты встречаются в природе. Генетическое конструирование филовирусов в основном идет в направлении получения «псевдо-типированых вирусов», использующих механизм репликации вируса везикулярного стоматита, вируса лейкемии мышей или ВИЧ-1, упаковывающихся в вирион вируса Марбург или Эбола (см. табл 2.23). Такие «вирусы» не представляют опасности для людей. С ними работают для изучения механизмов проникновения вирусов Марбург и Эбола в клетки-мишени (Chan S. Y. et al., 2000; Bray М., Paragas J., 2002).

Значительно большую опасность, чем генетически модифицированные филовирусы, представляют лентивирусные векторы, псевдотипированные с гликопротеинами оболочки вирусов Эбола и Марбург, предназначенные для введения в легочную ткань через апикальную поверхность эпителия дыхательных путей (см. табл. 2.23), но их рассмотрение не входит в задачу данного раздела монографии.

Геном аренавирусов консервативен. Рекомбинанты, образовавшиеся между штаммами вируса Ласса разных линий, циркулирующих в природных резервуарах, неизвестны. Но аренавирусы могут обмениваться сегментами генома (реассортировать) в культурах клеток, коинфицированных разными видами аренавирусов. Этот простой методический прием, хорошо отработанный еще в 1960-х гг. при конструировании гриппозных вакцин, в настоящее время используется учеными для конструирования вакцин против вируса Ласса. I.S. Lukashevich et al. (2005) описали реассортантный клон ML29 (MOPV/LASV), содержащий L-сегмент РНК из невирулентного для морских свинок вируса Мопея (MOPV) и S-сегмент РНК из вируса Ласса (LASV). Репликация ML29 в организме морских свинок и низших приматов была слабой. Все морские свинки линии 13, вакцинированные клоном ML29, выживали, по меньшей мере, через 70 сут после заражения вирусом Ласса, не обнаруживая никаких признаков болезни или патологических гистологических изменений. Но возможны и другие комбинации сегментов, например, комбинация L-сегмента из вируса Ласса и S-сегмента из другого вирулентного для человека аренавируса. Количество видов аренавирусов точно неизвестно и постоянно открываются новые, и весьма опасные для человека. Например, Lujo vims, открытый в 2008 г., вызывает болезнь, приводящую в 75 % случаях к летальному исходу. А так как S-сегмент содержит гены, определяющие антигенные свойства вируса, то в рамках данного методического приема открываются широкие горизонты для фантазии преступников.

Естественная реассортация наблюдается для некоторых вирусов геморрагических лихорадок (Bunyaviridae), таких как вирусы лихорадки долины Рифт, Конго-Крымской геморрагической лихорадки, но для аренавирусов она не описана (Lukashevich I.S. et al., 2005).

Подозрение о применении генетически модифицированного возбудителя лихорадки Ласса должно возникнуть при обнаружении у жертв вспышки болезни штаммов вирусов, являющихся реассортантантами с другими аренавирусами или рекомбинантами штаммов вируса Ласса разных линий. Такое же подозрение должны вызвать штаммы вируса Ласса, резистентные к рибовирину, если неизвестно о применении рибовирина в данном очаге для лечения людей и при отсутствии сведений об эпизоотии Ласса среди грызунов.

Достоверно установить факт вмешательства в геном вирусов, вызывающих геморрагические лихорадки, можно по результатам секвенирования, сопоставив выявленную нуклеотидную последовательность вируса с эталонной.

Патогенез геморрагических лихорадок. Исследования на моделях низших приматов показали, что моноциты, макрофаги и дендритные клетки, «вездесущие сторожа», которые обычно охраняют организм от микробной инвазии, являются главными местами репликации филовирусов и играют центральную роль в патогенезе болезни. Хотя лимфоциты не инфицируются, они разрушаются в огромных количествах в ходе болезни в результате апоптоза, что аналогично процессу, наблюдаемому при септическом шоке. Филовирусы распространяются по организму циркулирующими моноцитами и макрофагами. Вирионы, высвободившиеся из этих клеток, инфицируют соседние клетки, включая гепатоциты, клетки коры надпочечника и фибробласты (рис. 3.118).

Рис. 3.118. Схематическое изображение генерализации вирусов Эбола и Марбург в организме хозяина. По Н. Schnittler и Н. Feldmann (1998)


Виремия и высвобожденые инфицированными клетками провоспалительные цитокины и хемокины (включая альфа-ФНО), вызывают лихорадку, повышают проницаемость эндотелиальной выстилки кровеносных сосудов. У больного развиваются гипотензия, шок и системное поражение органов. Синтез клеточно-поверхностного тканевого фактора запускает внешний механизм коагуляции. На моделях геморрагической лихорадки Эбола у низших приматов диссеминированную внутрисосудистую коагуляцию наблюдали на второй день после инфицирования по появлению D-димеров[65] (образуются при расщеплении молекул фибрина) в плазме. Отмечали обширный некроз, особенно в печени, хотя обычно не в такой степени, чтобы быть причиной смерти.

Роль специфических антител в патогенезе лихорадок Марбург и Эбола не имеет ничего общего с их ролью при таком опасном заболевании, как натуральная оспа.

Специфические антитела либо не успевают образоваться, либо усиливают инфекционный процесс. Больные погибают при наличии высокого уровня вирусемии.

Клиническая и патологоанатомическая картина вирусных геморрагических лихорадок у человека при естественном инфицировании. Сравнение клинических характеристик геморрагических лихорадок различной этиологии приведено в табл. 3.37.

Таблица 3.37. Клиническая характеристика геморрагических лихорадок различной этиологии[66]
Вирус


Особенности клиники болезни


Возможность передачи от человека к человеку


Инкубационный период, сут


Летальность, %


Лечение


Эбола


Высокая температура и глубокая прострация. Диффузная мукулопапулярная сыпь, появляющаяся на 5 сут болезни. Кровотечения и диссеминированная интравас-кулярная коагуляция


Возможна


2-21


50-90


Поддерживающее


Марбург


Высокая температура, миалгия. Незудящая макулопапулезная сыпь на лице, шее, туловище и плечах. Кровотечения и диссеминированная интраваскулярная коагуляция


То же


2-14


23-70


То же


Ласса


Постепенное развитие лихорадки, тошнота, боли в области живота, сильная боль в горле, кашель, конъюнктивит, изъязвление слизистой оболочки рта, экссудативный фарингит, шейная лимфоаденопа-тия. Позднее появляются выраженные признаки отека головы и шеи; плевральные и перикардиальные выпоты. Геморрагически осложнения менее выражены чем при филовирусных инфекциях


То же


5-6


15-20


Рибавирин, поддерживающая терапия


New World Arenaviruses


Постепенное развитие лихорадки, тошнота, боли в области живота, конъюнктивиты, гиперемия лица и туловища, генерализованная лим-фоаденопатия. Могут развиваться петехии и кровотечения, поражения ЦНС (тремор языка и верхних конечностей, миоклонические движения, дизартрия, генерализованные судороги)


То же


7-14


15-30


То же


Лихорадки долины Рифт


Лихорадка, головная боль, ретро-орбитальная боль, светобоязнь, желтушность кожных покровов, в 1 % случаев развиваются геморрагии или энцефалит. В 10 % случаев развивается ретинит (острый период болезни или в течение 4 нед от начала болезни)


Невозможна


2-6


Менее 1


То же


Желтой лихорадки


Лихорадка, головная боль, гиперемия кожи лица, конъюнктивальные инъекции. Больные либо выздоравливают, либо у них наступает период короткой ремиссии, за которой следует лихорадка. У больного развиваются брадикардия, желтушность кожных покровов, почечная недостаточность и геморрагические осложнения


То же


3-6


20


Поддерживающая


Омской геморрагической лихорадки


Высокая температура, кашель, конъюнктивит, папуловезикулярная сыпь на мягком небе, гиперемия лица и туловища без образования сыпи, генерализованная лимфо-аденопатия и спленомегалия.


У некоторых пациентов развивается пневмония и нарушения ЦНС


То же


2-9


0,5-10


То же


Болезни Киасанурского леса


Сходная с Омской геморрагической лихорадкой, но течение болезни двухфазное. Первая фаза длится 6-11 сут, за ней следует афибрильный период продолжительностью 9-21 сут, после чего лихорадка возобновляется. У почти 50 % пациентов с рецидивом болезни развивается менингоэнцефалит


То же


2-9


3-10


То же


Лихорадки Марбург и Эбола [67]. Вирусы Марбург и Эбола вызывают у людей клинически сходные геморрагические лихорадки. Продромальный период отсутствует. Болезнь начинается остро, после примерно 6-суточного инкубационного периода. У заболевшего поднимается температура, появляются сильные головные боли, боли в мышцах, чувство жара, тошнота и рвота, боли в животе, выраженное общее недомогание. Через несколько дней развиваются геморрагический синдром, обезвоживание, нарушается сознание. Больные жалуются на головную боль разлитого характера, боль в груди колющего характера, усиливающуюся при дыхании, загрудинные боли. Могут появиться кровоизлияния в конъюнктиву, фарингит и эритематозная и макуло-папулезная сыпь, которые являются отличительными особенностями этих лихорадок и могут учитываться при постановке диагноза. У некоторых больных на фоне маку-лопапулезной сыпи отмечаются везикулезные элементы. При осмотре больного выявляются гиперемия слизистой оболочки глотки, кончик и края языка красные, на твердом и мягком небе, языке появляются везикулы, при вскрытии которых образуются поверхностные эрозии.

На 3–4 сут болезни на фоне болей в животе схваткообразного характера, стул становится жидким, водянистым, у половины больных отмечается примесь крови в стуле или появляются признаки желудочно-кишечного кровотечения. Может также быть рвота с примесью желчи и крови в рвотных массах. Понос длится около недели; рвота продолжается 4–5 сут. Сыпь распространяется на верхние конечности, шею, лицо.

При развитии геморрагического синдрома появляются кровоизлияния в кожу, в конъюнктиву, слизистую оболочку полости рта, часто носовые, маточные, желудочно-кишечные кровотечения. Нарастает интоксикация. На 7–9 сут заболевания интоксикация достигает максимального развития, появляются симптомы дегидратации, при тяжелом течении развивается инфекционно-токсический шок. Могут появиться судороги, потеря сознания. На высоте этих проявлений больные нередко умирают.

Стандартные лабораторные исследования позволяют выявить следующие нарушения: раннюю лимфопению, сопровождающуюся нейтрофилией, выраженную тромбоцитопению и пролонгацию времени свертывания, наличие циркулирующих продуктов распада фибрина и другие признаки диссеминированной внутрисосуди-стой коагуляции. В сыворотке крови обнаруживаются повышенные уровни связанных с печенью ферментов, в частности аспартат-аминотрансферазы и аланинамино-транферазы, причем первая имеет стабильно высокий уровень и может служить диагностическим признаком. У некоторых больных заметно повышено содержание сывороточной амилазы, что свидетельствует о развивавшемся остром панкреатите. У ряда больных наблюдали гипопротеинемию, которая приводила к образованию отеков разной степени.

Геморрагический синдром проявляется в виде петехий, кровоподтеков, кровоизлияний в конъюнктиву и кровотечений из мест венопункции. Обильное кровотечение наблюдается редко. Сильная тошнота и рвота, крайняя слабость, тахипноэ, анурия и понижение температуры тела свидетельствуют о клиническом ухудшении. Смерть от шока обычно наступает через 6–9 сут после появления первых симптомов болезни.

У переживших критический период болезни пациентов постепенно клинические симптомы затухают, период выздоровления затягивается на 3–4 нед. В это время могут периодически беспокоить боли в животе, ухудшение аппетита, длительные психические расстройства, а также облысение.

Патологоанатомические изменения свидетельствуют о пантропности вирусов Эбола и Марбург. Они поражают все органы, но наиболее сильно печень и селезенку. Происходит стимуляция ретикулоэндотелиальной системы и ингибирование лимфатической системы, одновременно развиваются сосудистые изменения, ведущие к геморрагиям и к образованию тромбов в сосудах.

Почти во всех органах, за исключением поперечнополосатой мускулатуры, легких и костной системы, появляются очаговые некрозы, которые, как правило, не сопровождаются значительными воспалительными реакциями. Самые обширные некрозы отмечаются в печени и лимфатической системе. Во всех органах поражены в основном клетки паренхимы, в то время как мезенхимальные структуры поражены в меньшей степени. Патологоанатомы находят у умерших пациентов обширные участки ЖКТ, наполненные жидкостью, напоминающей кофейную гущу и частично испражнениями, похожими на деготь, при этом источник кровоизлияния, например, язвы или эрозии, не удается обнаружить. Печень и селезенка увеличены, темного цвета. На разрезе селезенки отмечается присутствие фолликул; пульпа мягкая и пористая. Печень рыхлая, при разрезе из нее свободно выливается кровь, и орган принимает светло-желтый оттенок.

При гистологическом исследовании селезенки наблюдается значительная гиперемия и стаз, пролиферация ретикулоэндотелиальных элементов в красной пульпе и образование большого количества макрофагов. Некроз красной пульпы сопровождается разрушением лимфоидных элементов. В мальпигиевых тельцах количество лимфоцитов заметно уменьшено.

При гистологическом исследовании печени отмечается обширная дегенерация и некроз клеток, гиалиновые изменения. В нескольких случаях обнаружены эозинофильные гиалиновые некротические тельца, сходные с тельцами Кунцильмана при желтой лихорадке. Купферовские клетки выглядят набухшими, с выпячиваниями, и заполнены фрагментами клеток и эритроцитами. Синусы также заполнены фрагментами клеток и в околоворотных пространствах наблюдаются скопления одноядерных клеток. Даже в момент наибольшей активности некротического процесса в печени находят регенерацию печеночных клеток. Мононуклеарная трансформация лимфоидной ткани, а также некротические поражения обнаруживаются не только в печени и селезенке, но и в почках, поджелудочной железе, половых железах, надпочечниках, гипофизе, щитовидной железе, почках и коже.

В легких находят мало последствий патологического процесса, за исключением небольших геморрагий и признаков эндартериита, особенно в небольших артериолах. Редко отмечают в различной степени выраженную бронхопневмонию.

Нейропатологические изменения ограничиваются преимущественно глиальными элементами, рассеянными по всему мозгу В веществе головного мозга наблюдаются множественные геморрагии. Глиальные поражения имеют либо пролиферативный характер в виде глиальных узлов, узелков и розеток; либо дегенеративный, проявляющийся в пикнозе или фрагментации ядра. Мозговой отек распространяется на все исследуемое вещество мозга. Отчетливая гиперемия мягкой мозговой оболочки.

Выявляемые у людей, умерших от геморрагических лихорадок Эбола и Марбург, патологические изменения ни по отдельности, ни в комбинации не характерны и не дают возможности составить определенную картину болезни. При каждой аутопсии, наряду с определением основной болезни, возможных осложнений и сопутствующих заболеваний, у патологоанатомов встает вопрос о непосредственной причине смерти. Но ее не всегда удается установить.

Лихорадка Ласса. Инкубационный период болезни продолжается от 3 до 21 сут, чаще — 7-10 сут. Болезнь начинается относительно постепенно без продромальных явлений. Ежедневно нарастают лихорадка (температура тела через 3–5 сут достигает 39–40 °C) и симптомы общей интоксикации (астенизация, мышечная боль, расстройства сознания). С первого дня болезни пациенты отмечают общую слабость, разбитость, недомогание, умеренную мышечную и головную боль. Выявляется генерализованная лимфаденопатия, в конце 1-й нед появляется сыпь розеолезного, папулезного или макулезного характера.

Длится лихорадка 2–3 нед. Характерен общий вид больного: лицо и шея гиперемированы, иногда пастозны, сосуды склер инъецированы, в 80 % случаев выявляются характерное поражение зева — на дужках миндалин и мягком небе отмечаются очаги некротически-язвенных изменений желтовато-сероватой окраски, окруженные зоной яркой гиперемии, которые могут сливаться.

'По работам W. С. Winn, D. Н. Walker (1975, 1982); R. Т. Callis et al. (1982); Е. П. Шуваловой с соавт. (2001); И. В. Борисевича с соавт. (2006).

На 5–6 сут болезни нередко появляются боль в подложечной области, тошнота, рвота, обильный жидкий, водянистый стул, иногда развивается обезвоживание. В тяжелых случаях развиваются отеки, инфекционно-токсический шок, острая сердечная недостаточность

На 2-й нед заболевания резко усиливаются симптомы интоксикации, присоединяются пневмония, отек легкого, миокардит, отек лица и шеи, геморрагический синдром, которые могут обусловить летальный исход. При обследовании в этот период клинически и рентгенологически может выявляться пневмония, нередко плевральный выпот. Пальпируется увеличенная печень, возможен асцит. Повышается активность AЛT и ACT. В крови лейкопения, тромбоцитопения, увеличивается концентрация азота мочевины.

Патологоанатомические находки не отражают тяжести клинической картины при лихорадке Ласса. Постоянными, но неспецифическими находками патологоанатомов являются следующие: гиперемия внутренних органов; отеки мягких тканей; наличие петехий, особенно их много в органах ЖКТ; плевральные выпоты; асцит; кровь в просвете тонкого кишечника, но внутреннего массивного кровотечения, объясняющего шоковое состояние больного, не обнаруживали; почки увеличены, могут иметь место геморрагии; мозг обычного веса, сосуды мозговых оболочек переполнены кровью; отек голосовых связок. Основной причиной смерти бывает острая дыхательная недостаточность и, возможно, ларингоспазм.

При гистологическом исследовании в сердечной мышце находят небольшой интерстициальный отек без признаков миокардита. В легких невыраженный отек без значительных геморрагий, в некоторых случаях слабо выраженный интерстициальный пневмонит с мононуклеарными клетками и мегакариоцитоз. Иногда обнаруживают фокальные интерстициальные скопления мононуклеарных клеток, но без классической интерстициальной пневмонии. В почках находят тубулярный и гломерулярный некрозы, типичный ишемический некроз не встречается. Селезенка уплотнена, имеется атрофия белой пульпы, скопление эозинофильного материала в белой пульпе, инфильтрация интимы селезеночных вен лимфоидными клетками. В лимфатических узлах лимфоидное истощение и дегенерация, эритрофагоцитоз. На слизистой ЖКТ обнаруживают петехии и признаки воспаления. Мозг обычно без изменений. Наиболее распространенным и заметным гистологическими изменениями при лихорадке Ласса являются многоочаговый некроз печени (небольшие очаги некроза разбросаны по долькам печени без зонального распределения, как это бывает при желтой лихорадке) и эозинофильный некроз гепатоцитов. Эти изменения сходны с теми, что наблюдаются у людей, умерших от Боливийской и Аргентинской лихорадок.

Клиническая картина и патоморфология вирусных геморрагических лихорадок у животных при искусственном инфицировании. Такие исследования проводятся для понимания механизмов инфицирования людей возбудителями ВГЛ в природных очагах, изучения патогенеза болезни и оценки эффективности схем специфического и неспецифического лечения и профилактики.

Моделирование лихорадки Эбола. В экспериментах Е. Johnson et al. (1995) изучались клиника, патологическая анатомия и патоморфология, болезни, вызванной у обезь-ян-резусов (Масаса mulatta) аэрозолем вируса Эбола (подтип Zaire) с дисперсностью частиц 0,8–1,2 мкм. Животным вводилось не менее 400 КОЕ вируса. В опытах использовано 6 обезьян. Обезьяны оставались активны и не проявляли никаких признаков болезни до начала лихорадки (39,9-40,2 °C) между четвертыми и шестыми сутками после заражения. Лихорадка сопровождалась анорексией, летаргией, развитием кожной сыпи на морде, туловище и проксимальных участках конечностей. Обезьяна, получившая самую высокую дозу вируса (1465 КОЕ), погибла на третьи сутки от начала болезни (8 сут после заражения аэрозолем вируса); остальные были умерщвлены на 7, 8 и 9 сут после заражения аэрозолем вируса, когда летальный исход болезни был очевиден. Гематогические изменения заключались в лейкоцитозе и абсолютных нейтрофилии и лимфопении. На 7 сут после заражения аэрозолем вируса количество тромбоцитов падало от 288х10 3 до 124х10 3/мм3, уровень лактатдегидрогеназы повышался в 12–16 раз, AЛT в 5 раз.

Патогистологическое исследование легких и легочных лимфатических узлов показало отчетливые признаки патологии мелкодисперсного аэрозоля (см. раз. 2.3.1.). У всех обезьян, экспонированных к аэрозолю вируса Эбола, развилась интерстициальная пневмония, совершенно отчетливо ориентированная вокруг терминальных бронхиол (бронхиолоцентрическая модель пневмонии). Обнаружены диффузный лейкоцитоз, васкулит, мульфокальный септальный некроз (multifocal septal necrosis), тромбозы, геморрагии, отек и увеличенное количество альвеолярных макрофагов. В циркулирующих и альвеолярных макрофагах найдены крупные аморфные или плеоморфные ацидофильные включения. Бронхиолоцентрическая модель пневмонии[68], по мнению авторов исследования, характерна для ингаляционного поражения приматов мелкодисперсным аэрозолем, содержащим вирус Эбола. При иммуногистохимическом исследовании легких этих животных распределение вирусного антигена в легочной ткани также соответствовало бронхиолоцентрической модели пневмонии. Наибольшая концентрация антигенного материала располагалась в участках терминальных бронхиол. Бронхиальный и бронхиолярный эпителий, альвеолярные пневмоциты (alveolar pneumocytes) и альвеолярные макрофаги были положительны на вирус Эбола при иммунохимическом окрашивании (рис. 3.119).

Рис. 3.119. Гистология легких обезьяны, экспонированной к аэрозолю вируса Эбола. А. Окрашивание проведено смесью, содержащей мАТ к оболочке вируса Эбола. Бронхоцентрическое расположение поражения, локализованное вокруг терминальных бронхиол. Легочные макрофаги в просвете альвеол специфически окрашены. Увеличение в 100 раз. Б. Внеклеточные созревшие вирионы (V) в альвеолярных пространствах (alveolar sac, AS) и в интерстициальном пространстве (interstitial space, IS) между эпителиальными клетками I или II типа (Ер) и базальная пластинка (basal lamina). Вирусные капсиды в цитоплазме эпителиальной клетки показаны стрелкой, и участок септальной клетки (двойная стрелка). Е — эритроциты; Еп — эндотелиальные клетки. Увеличение в 15000 раз. По Е. Johnson et al. (1995)


Большое количество внеклеточного антигена вируса Эбола обнаружено на слизистой поверхности носовой полости, глотки, гортани и дыхательных путей. В трахеобронхиальных лимфатических узлах было обнаружено лимфоидное истощение, участки некроза, васкулиты, трахеиты, тромбозы и геморрагии различной степени выраженности. Цитоплазматические включения обнаружены в циркулирующих и фиксированных макрофагах. Поражения трахеобронхиальных лимфатических узлов были сопоставимы с поражениями мезентериальных узлов, что при парэнтеральном заражении не наблюдается (см. Baskerville A. et al. 1978).

Внелегочные поражения у обезьян, инфицированных аэрозолем вируса Эбола, не отличались значительно от тех, которые описали A. Baskerville et al. (1978), заражавшие обезьян внутрибрюшинно. По их данным, у обезьян-резус, забитых на вторые и четвертые сут после внутрибрюшинного инфицирования, макроскопических поражений не обнаружили. У обезьян, погибших с 5 по 12 сут после инфицирования, имела место кожная сыпь различной интенсивности на лбу, морде и щеках, на внутренней поверхности передних и задних конечностей и на груди. Кроме того, у этих четырех обезьян-резус, и двух зеленых мартышек наблюдались висцеральные петехии, хотя их распределение не было постоянным. Они чаще всего обнаруживались на деснах, слизистой оболочке рта, на плевральной поверхности и поверхности срезов легких, на поверхности серозной оболочки кишечника, в слепой и толстой кишках и в оболочке яичек. У животных имели место геморрагии в просвете тонкого кишечника и толстой кишки с изъязвлением слизистой. У одного животного были обнаружены массивные геморрагии из левого легкого в грудную полость. В желудочно-кишечном тракте животных имелись лишь небольшие количества пищи. У трех из обезьян-резус и обеих зеленых мартышек развился перитонит с локализованными ранними спайками, причем в некоторых случаях они имели место в области печени и селезенки. Печень всех погибших обезьян оказалась темной, пятнистой и рыхлой. Брыжеечные лимфатические узлы были увеличенными и геморрагическими.

Гистологические исследования печени позволили обнаружить многочисленные небольшие очаги некроза, произвольно локализующиеся в долях печени и зоны коагуляционного некроза диаметром до 0,8 мм и геморрагии на поверхности капсулы. В более сильно пораженной ткани печени четырех обезьян имел место тромбоз центральной и воротной вен. В капиллярах небольшого количества клубочков почки были обнаружены тромбы фибрина, но преобладающее поражение охватывало канальцы и более крупные кровеносные сосуды. Отмечался некроз канальцев с пикнозом ядер и фрагментацией соединительнотканных мембран под эпителием. Это поражение обнаруживалось в петлях Шумлянского — Генле и имело несимметричное очаговое распределение. Телец включений наблюдать не удалось. В прямых мочевых канальцах почек и протоках обычно обнаруживались амфорные отложения, цилиндры фибрина и пробки из осколков клеток. Клеточная инфильтрация отсутствовала.

У различных животных степень поражения легких значительно варьировала. Легкие обезьян, забитых на второй и четвертый день, были непораженными. В легких трех обезьян имели место лишь небольшие отдельные очаги некроза межальвеолярных перегородок и внутриальвеолярное образование отеков, но у остальных трех животных было обнаружено сильное спадение легкого, некроз межальвеолярных перегородок, образование отеков, отложение фибрина и геморрагии в альвеолах. В цитоплазме некоторых эпителиальных клеток альвеол в зонах повреждения были обнаружены тельца включения. Эпителий бронхов и бронхиол оказался неповрежденным во всех случаях, повреждение имело место лишь на уровне альвеол и сосудов.

Некроз лимфоидной ткани мальпигиевых телец селезенки имел место до некоторой степени у всех обезьян, он сопровождался уменьшением количества лимфоцитов в большинстве фолликулов и гиперемией красной пульпы. У пяти животных с наиболее тяжелой формой болезни, мальпигиевы тельца содержали скопления эозинофильного аморфного материала. Кроме того, имел место некроз клеток и соединительной ткани красной пульпы.

Лимфоидная ткань имела все признаки генерализованного истощения; многие лимфоидные фолликулы подвергались очаговому некрозу. Наиболее сильно пораженные лимфатические узлы, например брыжейки, имели большие участки коагуляционного некроза ткани коркового слоя и нередко также геморрагии в подкапсульных и медуллярных синусах.

У погибших животных обнаружили гиперемию и небольшие геморрагии из кровеносных сосудов слизистой и под слизистой оболочек в желудке, в подвздошной и толстой кишках. В кишечнике большинства обезьян имел место некроз с изъязвлением поверхностного эпителия, ткани слизистых желез и lamina propria. В случаях некроза слизистой оболочки он нередко распространялся на лежащие под ней пейеровы бляшки. В пораженных участках ворсинки были сморщенными и имели неправильную форму.

При микроскопическом исследовании сыпи в кожном покрове были обнаружены гиперемированные капилляры и вены и небольшие геморрагии. В некоторых участках имели место отслойка и десквамация поверхностных слоев эпидермы от базального слоя. Клеточной воспалительной реакции не отмечали.

Небольшие геморрагии были обнаружены между мышечными волокнами желудочков сердца, некоторые волокна сердечной мышцы подверглись гиалиновому перерождению. Клеточные инфильтраты отсутствовали.

Моделирование лихорадки Марбург. В экспериментах D. A. Alves et al. (2010) изучались клиника, патологическая анатомия и патоморфология болезни, вызванной у обезьян-циномолгусов (Cynomolgus macaques) аэрозолем вируса Марбург (MARV-Angola). Дисперсность частиц аэрозоля не указана. Животным вводилось от 2 до 705 КОЕ вируса. Температура у животных появилась в период 2–4 сут после заражения, за ней следовали кожные высыпания, сходные с теми, что бывают при парентеральном заражении. У животных развилась выраженная макулопапулярная кожная сыпь (maculopapular cutaneous rash), преимущественно вокруг глаз и на подбородке, на туловище, подмьшках и паховой области. К девятым суткам после заражения все животные погибли (рис. 3.120).

Рис. 3.120. Геморрагические высыпания у макак-резусов, вызванные внутримышечным заражением вирусом Марбург (Angola). А. Сыпь на 8 сут после заражения. Б и В. Сыпь на верхней конечности обезьяны на 7 и 8 сут после заражения соответственно. Заражающая доза — 1000 КОЕ. По Т. W. Geisbert et al. (2007)


Патологические изменения были сходны с теми, что наблюдали у обезьян, погибших после экспонирования к аэрозолю вируса Эбола. Поверхность легких гиперемирована и отечна, перикардиальный выпот 3–5 мл сероангинозной жидкости, лимфатические узлы увеличены, уплотнены, имеют геморрагии, печень увеличена и выглядит жирной, пилор и дуоденум гиперемированы либо имеют геморрагии. В легких фибринозная интерстициальна пневмония, внутриальвеолярные геморрагии, разрушение альвеолярных септ различной выраженности, фокальное перибронхиальное/перибронхиолярное воспаление, включающее главным образом мононуклеарные клетки и немногочисленные нейтрофилы, смешанные с некротическим дебрисом. В одном случае воспаление распространилось на бронхиальный субэпителий с разрушением и утратой покрывающего бронхиального эпителия.

Периваскулярный отек и пульмонарную гиперемию с увеличением количества циркулирующих нейтрофилов и мононуклеарных клеток наблюдали у всех инфицированных животных. Лимфоцитолиз и лимфоидное истощение наблюдали в трахеобронхиальных, медиастинальных лимфатических узлах, селезенке и миндалинах. Поражения печени были относительно мягкими. Наблюдали умеренную гепатоцеллю-лярную цитоплазмическую вакуолизацию (hepatocellular cytoplasmic vacuolation), интерпретированную как жиро/липоидная дегенерация. В почках тубулярная дегенерация с отложением фибрина.

Моделирование лихорадки Ласса. Описание патологии, вызванной ингаляционным заражением вирусом Ласса, в открытой литературе найти не удалось. Поэтому ниже будет приведено только описание патологии, вызванной подкожным заражением макак-резусов (М. mulatto) вирусом Ласса (Josian), сделанное R. Т. Callis et al. (1982).

Обезьянам вводили по 10 5,1 КОЕ вируса Ласса, у всех животных на четвертые сутки после заражения развивались летаргия, афагия, запор и лихорадка. На седьмые сутки обнаруживались легкий конъюнктивит и высыпания на коже в виде многочисленных красных пятен неправильной формы диаметром до 1 мм, которые особенно были выражены на лице и веках. Максимальная температура тела 40,6-41,1 °C отмечалась перед понижением до субнормального уровня, после чего следовала смерть. Среднее время до гибели составляло 11 сут.

Макроскопические повреждения были вариабельными и, как правило, слабыми. Они представляли собой гиперемию легких, плевральный выпот, перикардиальный отек и гиперемии внутренних органов.

У всех животных наиболее выраженным микроскопическим поражением был многоочаговый некроз клеток печени. Распределение некротических очагов было произвольным, их размер варьировал. Они содержали от отдельных, до небольших групп гепатоцитов, подвергающихся коагулятивному некрозу, не затрагивающему опорную строму. Как правило, воспалительные клетки, инфильтрующие участки некроза, были малочисленными, представляли собой нейтрофилы и мононуклеары, которые обнаруживались также в окружающих синусоидах. Купферовские клетки в очагах некроза или поблизости от них содержали продукты клеточного распада, а иногда и эозинофильные тельца, подобные таковымКунцильмана. У большинства животных в воротной и печеночной венах имелись небольшие субэндотелиальные мононуклеарные инфильтраты.

Другим поражением, обнаруженным у всех животных, была интерстициальная пневмония различной степени тяжести. Пневмония характеризовалась утолщением альвеолярных стенок, являющимся результатом оседания внутри перегородок эозинофильного белкового материала и (или) мононуклеарной инфильтрации. Кроме того, в некоторых перегородках имелся клеточный детрит, который вызывал предположение о некрозе эндотелиальных клеток, смешанных с инфильтратом. Содержимое альвеол варьировало: у большинства обезьян альвеолы сказались слабо инфилырован-ными макрофагами и содержали варьирующие количества отечной жидкости и/или фибрина. У некоторых обезьян были обнаружены очаговые альвеолярные геморрагии. В легочных сосудах некоторых животных наблюдали многоочаговые периваскуляр-ные, а иногда субэндотелиальные инфильтраты одноядерных воспалительных клеток.

У шести животных из девяти имели место поражения сердца. Они представляли собой многоочаговые мононуклеарные инфильтраты (от минимальных до слабых) в эпикарде и миокарде, а в некоторых случаях и в эндокарде. Эти инфильтраты состояли преимущественно из лимфоцитов с незначительным количеством плазматических клеток и макрофагов. Кроме того, у двух животных оказались слабо инфилырованными лимфоцитами и плазмацитами перикардиальные автономные ганглии.

В тонком кишечнике всех обезьян обнаруживали эритроциты, клеточный детрит и макрофаги в lamina propria кончиков ворсинок. У нескольких обезьян была отмечена минимальная периваскулярная инфильтрация одноядерных клеток в подслизистую.

Селезенки всех животных содержали относительно повышенные количества одноядерных клеток, которые концентрировались вокруг кровеносных сосудов трабекул и в трабекулярных венах субэндотелия. У пяти обезьян в мальпигиевых тельцах в центре или по периферии обнаруживался аморфный эозинофильный материал. Поражения в лимфатических узлах были незначительными и вариабельными, в основном они сводились к уменьшению количества лимфоцитов и увеличению содержания ретикулоэндотелиальных клеток.

У всех животных обнаружены поражения почек. Они выражались в многоочаговой инфильтрации вокруг кровеносных сосудов в зоне кортикомедуллярного соединения, которая распространялась на междольковые сосуды и иногда захватывала соседний интерстиций. У семи из девяти животных имели место поражения ЦНС. Они характеризовались слабыми скоплениями лимфоцитов вокруг отдельных кровеносных сосудов головного мозга, спинного мозга и мягких мозговых оболочек.

Клиническая картина вирусных геморрагических лихорадок у людей при искусственном инфицировании. Работа с вирусом Эбола строго регламентируется санитарными правилами, однако человеческий фактор не позволяет полностью исключить внутрилабораторные заражения. Одна из таких аварий произошла в Государственном научном центре вирусологии и биотехнологии «Вектор» в 2004 г[69].

Из истории болезни: больная П., 1958 г. р., была доставлена в стационар особо опасных инфекций МСЧ № 163 (п. Кольцово, Новосибирская область).

Эпидемиологический анамнез: при подготовке использованных (для взятия крови у животных, инфицированных вирусом Эбола) инъекционных игл к утилизации сотрудница П. уколола ладонную поверхность левой кисти.

При поступлении (через 3 ч 40 мин после аварии): пострадавшая жалоб не предъявляет. При осмотре: состояние удовлетворительное, температура тела 36,4 °C, по органам без патологии, показатели гемодинамики в пределах нормы. Status localis: на ладонной поверхности левой кисти точечный след от укола.

С учетом данных эпидемиологического анамнеза и осмотра констатировано: состояние после лабораторной аварии (при работе с культурой вируса Эбола), назначено общеклиническое и вирусологическое обследование. Пациентка помещена в мельце-ровский бокс стационара особо опасных инфекций. При поступлении в приемном покое стационара пациентке была проведена специфическая профилактика иммуноглобулином Эбола из сыворотки крови лошадей (суммарная доза 12 мл) и начата комплексная терапия: противовирусный препарат (рибаверин 600 мг/сут per os), иммунологические препараты (реаферонпо 1000000 ME 2 раза в сут per os, полно ксидоний 0,006 г/сут внутримышечно), общеукрепляющие препараты (рибоксин, аско-рутин), тавегил. С момента поступления пациентки медицинский персонал стационара работал в защитных противочумных костюмах.

В течение 5 сут (инкубационный период) состояние пациентки оставалось стабильным, показатели термометрии и гемодинамики, данные лабораторных исследований — в пределах нормы. На правом предплечье (в месте проведении кожной пробы на переносимость лошадиного белка) сохранялась гиперемия диаметром 1,5 см. На 6 сут пятно с четкими, ровными краями на правом предплечье увеличилось до 2,5x3 см, не возвышающееся над поверхностью, горячее на ощупь. Появились зудящие, пятнистые высыпания на правой ягодице (в месте введения иммуноглобулина) размерами: основное пятно 1,0х 1,5 и 5 дочерних — до 0,5 см. Состояние расценено как сывороточная болезнь легкой степени. Пациентке скорригирована терапия: супрастин по 1 таб. 2/сут, местно — гидрокортизоновая мазь, амиксин 0,125 г/сут per os, тактивин по 0,5 мл/сут подкожно, общеукрепляющие препараты.

На 7 сут в 6 ч отмечен первый подъем температуры до 37,2 °C. При осмотре: жалоб нет, небные дужки и миндалины умеренно гиперемированы, имеются пятнистые высыпания на правом предплечье и ягодице. Больной поставлен диагноз: геморрагическая лихорадка Эбола (?). Сывороточная болезнь легкой степени. К терапии добавлены дексаметазон 16 мг/сут внутривенно, ципробай по 200 мг 2/сут внутривенно (для профилактики бактериальных осложнений), аскорбиновая кислота 5 % — 10 мл 2/сут внутривенно. Больной после повышения температуры до 39,1 °C (в 15 ч 30 мин) произведена катетеризация правой подключичной вены и выполнен сеанс дискретного плаз-мафереза (взято крови 530 мл, эксфузия плазмы 320 мл). Назначена инфузионная терапия: поляризующая смесь 400 мл 3/сут, раствор Рингера 400 мл + трентал 5 мл 3/сут, реополиглюкин 400 мл/сут, гепарин по 2500 ЕД 4/сут. В результате проводимой терапии состояние пациентки улучшилось, нормализовалась температура, уменьшились (регрессировали) пятнистые высыпания, однако в 0 ч температура повысилась до 38 °C. На второе введение ципробая отмечалась выраженная побочная реакция (тошнота, рвота), в связи с чем он заменен на абактал 400 мг 2/сут внутривенно.

В течение 3 сут состояние больной стабильно тяжелое, сохранялась температура до 38 °C, инъекция сосудов склер, кожные покровы чистые, бледные, небные дужки и миндалины умеренно гиперемированы, экхимозы (сине-черного цвета) в местах инъекций. В анализах отмечено увеличение СОЭ до 20 мм/ч, повышение уровня АЛТ и ACT до 58 и 215 ед/л, снижение количества тромбоцитов до 176 х 10 9 /л, общего белка до 53,8 г/л, протромбинового индекса (ПТИ) до 75,9 %, появились токсигенная зернистость нейтрофилов, белок в моче 0,07 г/л. Ежедневно проводились сеансы дискретного плазмафереза с увеличением объема до 0,5 объема циркулирующей плазмы (ОЦП) в сутки.

На 9 сут были получены результаты вирусологического обследования пациентки П. двумя независимыми лабораториями: в крови больной выявлено наличие геномной РНК вируса Эбола ПЦР-методом и наличие антигена иммуноферментным методом.

Утром на 11 сут на фоне субфебрильной температуры появились: слабость, мелкоточечная, макулопапулезная сыпь без геморрагического компонента на лице и туловище, однократная рвота «кофейной гущей» с прожилками алой крови около 200 мл, кровоточивость и экхимозы в местах инъекций, экхимозы на нижних конечностях в местах соприкосновения с твердыми предметами. В связи с развернутой клиникой геморрагической лихорадки Эбола пациентке изменена терапия. Отменены антикоагулянты прямого действия и дезагреганты, все внутримышечные и подкожные инъекции, начата профилактика ДВС-синдрома и печеночной недостаточности. Дискретный плазмаферез с замещением свежезамороженной одногруппной донорской плазмой до 0,5 ОЦП ежедневно, гемостатическая терапия (дицинон 2 мл 4/сут, глюконат кальция по 10 мл 4/сут, аминокапроновая кислота по 100 мл 3/сут), гордокс 800 тыс. ЕД/сут. Продолжена интенсивная инфузионная терапия с увеличением объема до 3,5 л/сут (реамберин, аминоплазмальгепа, 5 % раствор глюкозы, гидроксиэтил крахмал, солевые растворы).

В 16 ч 30 мин отмечен подъем температуры до 39,7 °C, однократная рвота слизью с гемолизированными сгустками крови в скудном количестве. Появились боль в горле, сухость и боль при глотании, на коже лица и туловища обильная макулопапулезная сыпь, местами сливная, на верхних и нижних конечностях мелкоточечная макулопапулезная сыпь. При осмотре состояние больной тяжелое. Отмечаются отечность век, носа, губ, гиперемия лица в виде «бабочки», склеры инъецированы, иктеричны; яркая гиперемия мягкого неба, язычка, миндалин, дужек, задней стенки глотки. В легких дыхание жесткое, хрипов нет; край печени выступает из-под реберной дуги на 2,5 см, при пальпации безболезненный; из мест инъекций серозно-геморрагическое отделяемое.

На 12 сут состояние больной оставалось стабильно тяжелым, беспокоили выраженная слабость, тахипноэ (ЧДД 30–32/мин), сухость и боль в горле, отсутствие аппетита. Пациента была заторможена, адекватна, астенична, в контакт вступала неохотно. При осмотре: температура 39,9 °C, отмечалась желтушность кожных покровов, обильная макулопапулезная сыпь распространилась на кисти и голени, экхимозы в местах инъекций (от лилового до черного цвета) в размерах не увеличились, кровоточивости нет; периферические лимфоузлы не увеличены; показатели гемодинамики в пределах нормы. В течение суток прогрессировало увеличение размеров печени (край печени выступал из-под реберной дуги утром на 2,5 см, вечером — на 4 см). Печень безболезненная при пальпации и перкуссии, к вечеру изменился цвет мочи на темный («цвета пива»), диурез достаточный, стул 3/сут, оформленный, обычного цвета.

По лабораторным данным: в анализе крови снизился уровень гемоглобина до 103 г/л, СОЭ увеличилось до 38 мм/ч, токсигенная зернистость^^; время свертываемости крови (5 мин — 6 мин 30 с), время кровотечения увеличено (4 мин 30 с); в биохимическом анализе крови общий билирубин 85 ммоль/л, прямой — 35 ммоль/л, непрямой — 50 ммоль/л, AЛT — 444 ед/л, ACT — 1650 ед/л, ЛДЕ — 12180 ед/л, ЕЕТП — 970 ед/л, ЩФ — 1130 ед/л, фибриноген-сгусток не образовался, ПТИ — 51,8 %. Учитывая отсутствие геморрагического синдрома и прогрессирование печеночной недостаточности, врачебным консилиумом решено продолжить терапию за исключением гепатотоксичных препаратов (рибавирин, абактал), увеличить число сеансов дискретного плазмафереза до 2/сут. Вечером для профилактики почечной недостаточности назначен допамин 200 мг в 400 мл физиологического раствора (1–3 мкг/кг в мин) через дозатор.

На 13 сут состояние крайне тяжелое, резкая слабость, сохраняется стойкая гипертермия (39,2—39,9 °C). Больная испытывала трудности при разговоре, глотании слюны и воды из-за выраженной сухости и боли в горле. Пациентка была в сознании, заторможена, вялая, адинамичная, на вопросы отвечала скупо, чаще кивала головой.

При осмотре: лицо отечное, гиперемированное, губы цианотичные, склеры жел-тушны, инъецированы, слева — небольшие участки кровоизлияний. Слизистая полости рта сухая, язык обложен густым бело-желтым налетом, гиперемия менее яркая. Кожные покровы желтушные, новых высыпаний нет, ранка после взятия крови из пальца не кровоточит, кровоизлияния регрессируют, новых нет. Тоны сердца приглушены, ритмичные. АД 90/60 мм рт. ст., ЧСС 108/мин, ЦВД 120 мм вод. ст. (допамин 4,5 мкгДкг мин)). В дыхании участвует вспомогательная мускулатура. В легких дыхание жесткое, поверхностное, ослабленное в нижних отделах, хрипов нет. ЧДД в покое 32–36/мин, при вставании до 40/мин. SaО2 2 92–94 % на фоне ингаляции увлажненного кислорода через назальный катетер. Живот вздут, безболезненный при пальпации, перистальтика вялая. Печень выступает из-под реберной дуги на 4 см, безболезненная при пальпации и перкуссии. Газы отходят, стул самостоятельный, жидкий, зеленоватого цвета, без примеси крови. Мочится самостоятельно, диурез снижен (стимуляция лазиксом 20 мг 2/сут).

По лабораторным данным: в моче увеличилось содержание белка до 0,800 г/л. В клиническом анализе крови НЬ 93 г/л, эритроциты 2,7х 10 12 /л, лейкоциты 13,5х 10 9, тромбоциты 180х 10 9 /л, лейкоциты палочкоядерные 25 %, лейкоциты сегментоядерные 65 %, эозинофилы 1 %, базофилы 2 %, лимфоциты 4 %, моноциты 3 %, СОЭ 42 м/ч, время свертывания 5–6 мин. Биохимический анализ крови: общий белок 59,8 г/л, альбумины 25,7 г/л, мочевина 5,4 ммоль/л, креатинин 90 мкмоль/л, AЛT — 540 ед/л, ACT — 2160 ед/л, ЛДГ — 16740 ед/л, ГГТП — 660 ед/л, фибриноген 0,4 г/л, ПТИ — 52,9 %, билирубин 99 ммоль/л, прямой — 38,6 ммоль/л, непрямой — 54,4 ммоль/л.

Тяжесть состояния больной обусловливали интоксикационный синдром, печеночно-клеточная недостаточность, паренхиматозная желтуха, дыхательная недостаточность, нарастающая почечная недостаточность, водно-электролитные нарушения. К лечению добавлен антибактериальный препарат: максипин по 2 г 2/сут.

В 17 ч состояние больной резко ухудшилось, появились боли в животе, сильная тошнота, позывы на рвоту. По всей поверхности тела появилась геморрагическая сыпь, мелкоточечные кровоизлияния, на левом глазном яблоке свежие кровоизлияния в белочную оболочку, акроцианоз. Живот умеренно вздут, при пальпации болезненный в правом подреберье и мезогастрии, симптомов раздражения брюшины нет. Печень при пальпации мягкая плотная, эластической консистенции, выступает из-под края реберной дуги на 4,5 см, перкуссия над поверхностью печени резко болезненна (патогно-моничный симптом). АД 110/60 мм рт. ст., ЧСС 125/мин. Мочится самостоятельно, в течение дня 1,1 л мочи.

В 21 ч при проведении планового вечернего сеанса дискретного плазмафереза (сеанс начат без инфузионной под держки ввиду высокого риска развития отека легких) при взятии крови состояние ухудшилось, появилось головокружение, ЧДД возросла до 40/мин (Sa0 2 — 88 %), АД снизилось до 60/40 мм рт. ст. (ЦВД — 120 мм вод. ст.), ЧСС 120/мин, из места взятия крови из пальца началась сильно выраженная кровоточивость. В связи с этим принято решение отказаться от проведения плазмафереза. Доза допамина была увеличена до 10 мкгДкг мин), назначена инфузия свежезамороженной донорской плазмы и эритроцитной массы, продолжена гемостатическая терапия. Больная попросила отдых и уснула. В 2 ч ночи (14 сут) была констатирована биологическая смерть. Заключительный клинический диагноз: геморрагическая лихорадка Эбола. Инфекционно-токсический шок. Прогрессирующая полиорганная недостаточность. Острая гепато-целлюлярная недостаточность. Паренхиматозная желтуха. Респираторный дистресс-синдром. Геморрагический синдром.

Вскрытие больной не проводилось по соображениям эпидемиологической безопасности. В табл. 3.38—3.41 приведены динамические показатели клинических анализов крови и мочи, биохимического анализа крови, времени свертываемости и времени кровотечения.


Таблица 3.38. Динамика клинических показателей крови у больной геморрагической лихорадкой Эбола


Показатель


Норма


Сутки


1 — е


3-е


7-е


8 — е


9-е


12 — е


13-е (утро)


13-е (вечер)


Гемоглобин, г/л


120-140


128


136


140


130


120


103


93


83


Эритроциты, млн


3,9


4,0


4,5


4,6


4,1


3,9


3,4


2,7


2,1


Цветной показатель


0,85-1,05


0,96


0,9


0,91


0,95


0,92


0,9


1,03


0,8


Ретикулоциты, %


2-10


-


30/00


20/00


90/00


80/00


-


70/00


-


Тромбоциты, тыс.


180-320


290,0


220,0


300,0


220,0


176,0


-


180,0


102,0


Лейкоциты, тыс.:


4-9


4,4


4,0


4,5


4,7


4,2


8,0


13,5


-


палочкоядерные, %


1-6


3


2


7


8


203


-


25


-


сегментоядерные, %


47-52


66


63


67


72


58


-


65


-


эозинофилы, %


0,5–5


1


2


1


1


1


-


1


-


базофилы, %


0-1


-


1


1


-


1


-


2


-


лимфоциты, %


19-37


27


28


18


17


14


-


4


-


моноциты, %


3-11


3


4


6


2


53


-


3


-


Плазматические клетки, %


-


-


-


-


-


1


-


-


-


СОЭ, мм/ч


2-15


6


6


10


20


9


38


42


-


Токсогенная зернистость


-


-


-


-


-


+


+++


-


-


Таблица 3.39. Динамика показателей свертываемости крови у больной геморрагической лихорадкой Эбола


Сутки


Показатель (норма)


Время свертывания (8-12 мин)


Время кровотечения (1–3 мин)


1


2'50"-3'10"


-


3


1'50"-2'30"


0'З0"


7


2'30"-3'08"


2 ' 00 "


8


11 '00 "- 12 ' 00 "


2 ' 00 "


9


11'10"-12'20"


4'00"


10


5'00"-б'З0"


4'30"


13 (утро)


5'00"-б'00"


-


13(вечер)


б'З0"-7'20"


24'30"


Таблица 3.40. Динамика клинических показателей мочи у больной геморрагической лихорадкой Эбола


Показатель


Сутки


1 — е


3-е


7-е


8 — е


9-е


10 — е


13-е


Цвет


с/ж


с/ж


с/ж


с/ж


с/ж


с/ж


с/ж


Прозрачность


прозр.


прозр.


прозр.


прозр.


прозр.


прозр.


мутн.


Отн. плотность


1021


1006


1017


-


-


-


-


Реакция


кисл.


щел.


кисл.


кисл.


кисл.


кисл.


щел.


Белок


abs


abs


abs


0,07 г/л


0,11 г/л


0,18 г/л


0,80 г/л


Глюкоза


abs


abs.


abs


abs


abs


СЛ.+


СЛ.+


Эпителий плоский


един.


един.


един.


един.


един.


един.


много


Лейкоциты


един.


един.


2-3


2-3


един.


2-3


2-3


Эритроциты


abs


abs


abs


abs


abs


abs


Неизм. един.


Таблица 3.41. Динамика биохимических показателей в сыворотке крови у больной геморрагической лихорадкой Эбола


Показатель


Норма


Сутки


1 — е


3-е


6 — е


7-е


8 — е


9-е


10 — е


11 — е


12 — е


13-е


Общ. белок


65-85 г/л


77,6


72,8


80,7


78,5


63,7


60,3


53,8


67,6


65


59,8


Альбумин


55-62,7 %


46,4


38,8


43,0


40,3


35,3


34,9


29,6


32,0


30,6


25,7


Мочевина


2,8–6,6 ммоль/л


6,1


5,6


4,8


5,3


6,8


4,9


4,4


3,6


4,0


5,4


Креатинин


44-97 мкмоль/л


66


82


100


117


92


94


91


70


60,0


90


Билирубин


общий:


до 20,5 мкмоль/л


9,6


12,0


14,6


13,3


8,2


7,6


12,3


14,0


85,0


99


прямой


до 4,5 мкмоль/л


4,9


35


38,6


непрямой


9,7


50


54,4


АЛТ


0-40,6 ед/л


13


13


И


И


12


24


58


202


444


540


ACT


0-39,0 ед/л


22


22


22


39


49


83


215


720


1560


2160


лдг


248-496,9 ед/л


-


1481


12180


16740


ггд


7-50 ед/л


-


970


660


ЩФТ


80-295 ед/л


83


85


67


68


116


260


ИЗО


Амилаза


0-220 ед/л


120


105


98


108


127


163


218


246


Тимоловая


проба


0-4 ед.


1,3


1,3


1,5


0,8


0,8


0,5


0,1


0,3


2,9


ПТИ


80-100 %


115


105


108


99,3


101


84,7


75,9


74,1


51,8


52,9


Фибриноген


2-4 г


3,3


2,7


3,8


3,3


2,7


2,7


2,2


1,11


сгустка


нет


до 0,4


Глюкоза


4,44-6,66 ммоль/л


4,8


5,9


Опыт ведения больной лихорадкой Эбола показал неэффективность использованных схем специфической профилактики и лечения даже при немедленном установлении факта заражения.

Диагностика искусственного поражения возбудителями геморрагических лихорадок. Должна проводиться на основе установления «невозможной эпидемиологии болезни» и «невозможной клинической формы болезни» (см. разд. 2.3.1).

Любой иммунологически и генетически подтвержденный диагноз геморрагической лихорадки, возбудитель которой не встречается на территории России, служит основанием для предположения о совершенном биологическом нападении, если:

1) заболевший в течение месяца перед появлением лихорадки не выезжал в страны, эндемичные по данной болезни;

2) в этот же период времени он не находился в контакте с таким же больным, который мог контактировать с лицами, приехавшими из стран, где распространена данная болезнь;

3) заболевший не работал с возбудителем данной болезни в вирусологической лаборатории;

4) не контактировал с животным, привезенным из местности, эндемичной по данной болезни.

При расследовании такого преступления необходимо иметь в виду, что парентеральное введение возбудителей лихорадок Эбола, Марбург и Ласса не оставляет следов, так как очагов некроза в месте инъекции вируса не образуется. Клиническая картина болезни в этом случае не отличается наблюдаемой у пациентов, заразившихся в природных очагах болезни. Основными критериями установления преднамеренного распространения возбудителей геморрагических лихорадок будут анамнез пациента (упоминание им медицинских манипуляций, сопровождающихся парентеральным введением каких-то «лекарств») и доказанная «невозможная эпидемиологии болезни». Для доказательства последней надо учитывать сложность экологии возбудителей геморрагической лихорадок и возможность расширения их ареалов в связи с изменением климата и техногенного воздействия на окружающую среду. Прежде чем выдвинуть предположение о «невозможной эпидемиологии» обнаруженной/новой геморрагической лихорадки, необходимо провести исчерпывающее эпидемиологическое исследование и убедиться в том, что вирус не имеет на территории, где зарегистрирована вспышка вызванной им болезни ранее неизвестного природного резервуара. Обнаружение уже задепонированных в зарубежных коллекциях штаммов вирусов свидетельствует о «невозможной эпидемиологии» вспышки.

Поражение мелкодисперсными аэрозолями вирусов Эбола и Марбург можно предположить по наличию характерного патологического процесса в легких («невозможная клиническая форма болезни»). У людей, заразившихся этими вирусами в природных очагах, легочная ткань обычно оказывалась не вовлеченной в первичный инфекционный процесс. Поражения легких у них были вызваны гематогенным заносом возбудителя болезни в легочную ткань и повышением проницаемости эндотелиальной выстилки кровеносных сосудов из-за высвобождения цитокинов и хемокинов инфицированными макрофагами. Поэтому для таких поражений характерны мало-выраженные геморрагии в легочной ткани и эндартериит небольших артериол.

Моделирование заражения мелкодисперсными аэрозолями вирусов Эбола и Марбург, выполненное на приматах, позволяет предположить, что при поражении мелкодисперсными аэрозолями этих вирусов у погибших людей на вскрытии будет обнаружена выраженная интерстициальная пневмония, ориентированная вокруг терминальных бронхиол (бронхиолоцентрическая модель пневмонии). Возможно обнаружение некротических изменений в эпителии бронхиол и мелких бронхов, и в трахеобронхиальных и медиастинальных лимфатических узлах, сопоставимых с поражениями лимфатических узлов брюшной полости. Установить по клинической и патологоанатомической картине болезни факт ингаляционного поражения человека вирусом Ласса сложно. Результаты моделирования болезни на приматах показывают, что легкие могут вовлекаться в инфекционный процесс и при парэнтеральном заражении. Для доказательства ингаляционного поражения человека вирусом Ласса недостаточно установить только факт развития интерстициальной пневмонии. У людей, заразившихся вирусом лихорадки Ласса в природном очаге болезни, пневмония начинается на второй неделе болезни. Можно предположить, что у людей, пораженных мелкодисперсным аэрозолем вируса Ласса, пневмония будет развиваться как первичный процесс, и поэтому она может быть обнаружена рентгенологически еще в первую неделю болезни, после появления лихорадки. У погибших пациентов, кроме очагов интерстициальной пневмонии, возможно обнаружение обширных поражений трахеобронхиальных и медиастинальных лимфатических узлов.

Обнаружение генетически измененных штаммов возбудителей ВГЛ, однозначно свидетельствует об искусственном происхождении вспышки болезни.

Иммунопрофилактика вирусных геморрагических лихорадок. Не разработана, и, видимо, будет разработана еще не скоро из-за особенностей иммунных ответов на возбудители этих болезней (см. «Иммунитет к возбудителям ВГЛ»).

Лечение вирусных геморрагических лихорадок. Лечение ВГЛ в основном сводится к поддерживающей терапии, поддержанию водно-солевого баланса и гемодинамики. Army FM 8-284 (2000) рекомендует обратить особое внимание на поддержание баланса жидкостей и электролитов, противошоковые мероприятия, возмещение потери крови, предотвращение развития почечной недостаточности у пациентов. Лечение таких больных может потребовать интенсивный уход и специфические вмешательства, такие как механическая вентиляция легких, диализ и неврологическая помощь. При диссеминированной внутрисосудистой коагуляции рекомендуется терапия гепарином. Но ее роль считается не бесспорной, и ее рекомендуется применять только у больных с клинически значимым кровотечением и лабораторным подтверждением диссеминированной внутрисосудистой коагуляции. Аспирин и другие препараты, обладающие антиагрегантным действием, противопоказаны, как и любые внутримышечные инъекции. Использование внутрисосудистых устройств рекомендуется рассматривать в контексте соотношения потенциальной пользы и риска кровотечения.

Возможности специфической антивирусной терапии ограничены. Препаратов, эффективных в отношении филовирусных инфекций, нет. Определенные надежды возлагаются в отношении препаратов, эффективных против Arenaviridae и Bunya-viridae, в частности, на рибавирин. Результаты исследований эффективности рибавирина в условиях in vitro и клинических исследований, свидетельствуют в пользу в/в введения рибавирина при лечении лихорадки Ласса, ГЛПС (вирус Хантаан) и ККГЛ. При лихорадке Ласса и ККГЛ назначается ударная доза рибавирина, 30 мг/кг в/в, с последующими 16 мг/кг в/в каждые 6 ч в течение 4 сут, а затем 8 мг/кг в/в каждые 8 ч в течение 6 сут для завершения 10-дневного курса лечения. Лечение больных с ГЛПС может дать положительный результат, если лихорадка длилась не более шести дней. Назначается ударная доза рибавирина, 33 мг/кг в/в, с последующими 16 мг/кг в/в каждые 6 ч в течение 4 сут, а затем 8 мг/кг в/в каждые 8 ч в течение 3 сут для завершения 7-суточного курса лечения.

В качестве химиопрофилактики после экспонирования для Конго-ККГЛ и лихорадки Ласса Army FM 8-284 (2000) рекомендует использовать рибавирин, 500 мг перорально каждые 6 ч в течение 7 сут.

3.10. Арбовирусные энцефалиты

Микробиология вирусов, вызывающих арбовирусные энцефалиты (929). Экология и естественная эпидемиология возбудителей лошадиных энцефалитов (933). Восприимчивость животных, клиническая картина и патоморфология арбовирусных энцефалитов у животных при искусственном инфицировании (939). Иммунитет к возбудителям арбовирусных энцефалитов (942). Устойчивость возбудителей арбовирусных энцефалитов во внешней среде (942). Обнаружение генетически измененных штаммов возбудителей арбовирусных энцефалитов (943). Патогенез арбовирусных энцефалитов (944). Клиническая и патологоанатомическая картина арбовирусных энцефалитов у человека при естественном инфицировании (945). Диагностика искусственного поражения возбудителями лошадиных энцефалитов (948). Иммунопрофилактика арбовирусных энцефалитов (949). Лечение арбовирусных энцефалитов (949)

3.11. Рицин

Виды рицина (949). Молекулярная структура и механизм действия (950). Токсические свойства (951). Поражающие свойства (953). Клиника энтерального поражения (954). Клиника ингаляционного поражения (954). Клиника парентерального поражения (957). Диагностика поражения рицином (958). Иммунопрофилактика (960). Лечение (960)

3.12. Ботулинические токсины

Микробиология ботулинического микроба (962). Эпидемиология ботулизма (966). Молекулярная структура и механизм действия ботулинических токсинов (969). Генетика токсинообразования (971). Токсические свойства ботулинических токсинов (974). Патогенез ботулизма (974). Устойчивость ботулинических токсинов во внешней среде (977). оражающие свойства ботулинических токсинов (978). Клиника энтерального поражения (978). Клиника раневого ботулизма (985). Клиника парентерального поражения (986). Клиника ингаляционного поражения (989). Диагностика поражения ботулиническими токсинами (991). Иммунопрофилактика (996). Лечение (996)

3.13. Стафилококковый энтеротоксин В

Токсины-суперантигены (999). Молекулярная структура и механизм действия токсинов-суперантигенов стафилококков и стрептококков (999). Токсические свойства SEB (1000). Поражающие свойства SEB (1000). Клиника энтерального поражения SEB (1001). Клиника конъюнктивального поражения SEB (1001). Клиника и патанатомия ингаляционного поражения SEB (1001). Клиника парентерального поражения SEB (1005). Диагностика поражения SEB (1005). Иммунопрофилактика (1008). Лечение (1008)

3.14. Сакситоксин

Естественная эпидемиология отравления сакситоксином (1010). Молекулярная структура и механизм действия (1011). Генетика токсинообразования (1015). Токсические и поражающие свойства (1016). Клиника энтерального поражения (1017). Диагностика поражения сакситоксином (1018). Иммунопрофилактика (1019). Лечение (1019)

3.15. Тетродотоксин

Естественная эпидемиология отравления тетродотоксином (1020). Молекулярная структура и механизм действия (1028). Токсические и поражающие свойства (1051). Клиника энтерального поражения (1032). Диагностика поражения тетродотоксином (1033). Иммунопрофилактика (1034). Лечение (1034)

3.16. Палитоксин

Естественная эпидемиология отравления палитоксином (1035). Молекулярная структура и механизм действия (1037). Токсические и поражающие свойства палитоксина (1040). Клиника пищевого отравления (1043). Клиника ингаляционного поражения (1044). Клиника контактного поражения (1045). Диагностика поражения палитоксином (1045). Иммунопрофилактика (1047). Лечение.

СЛОВАРЬ ТЕРМИНОВ

5' кэп (от англ. cap — шапочка) — это модифицированный гуанозиновый нуклеотид, который добавляется на 5' (передний) конец «незрелой» мРНК. Эта модификация очень важна для узнавания мРНК при инициации трансляции, а также для защиты от 5'нуклеаз — ферментов, разрушающих цепи нуклеиновых кислот с незащищенным 5'-концом.

CD80/CD86 — CD80 (В7-1) и CD86 (В7-2) — гликопротеины I типа и члены Ig-суперсемейства, включают два Ig-подобных экстрацеллюлярных внеклеточных домена, связанных с трансмембранным доменом, и цитоплазматический хвост. Экспрессируются на поверхности антиген-презенти-рующих клеток, включая дендритные клетки и В-лимфоциты, и действуют как костимулятсрные сигналы для активации клеточно-зависимого иммунного ответа.

CpG-островки — в GC-богатых изохорах (гомогенные участки генома) локализовано большое количество CpG-островков — последовательностей от 500 до 2000 п. о., характеризующихся очень высоким содержанием гуанина и цитозина, (Г+Ц более 60 %). Характерным свойством CpG-островков является их локализация вблизи структурных генов, преимущественно в их 5'-участках (регуляторные последовательности, промоторы, последовательности первого экзона). Формальные признаки CpG-островков (присутствуют в промоторных зонах примерно 60 % генов человека). Значительная часть тканеспецифических генов не имеет в своих промоторах CpG-островков: вместо них могут присутствовать одиночные CpG-динуклеотиды. Наибольшая плотность CpG-островков наблюдается в теломерных участках хромосом 1, 9, 15, 16, 17, 19, 20, 22. Точные молекулярные методы регистрации CpG-островков показали, что их число в геноме человека приближается к 45 тыс.

Hfr (high frequency of recombination) — высокая частота рекомбинации. Под таким обозначение известен донорный штамм кишечной палочки (F+ Met-), который при скрещивании со стандартным штаммом (F- Thr- Leu-) образовывал прототрофные рекомбинанты с частотой по крайней мере в 103 большей, чем исходный штамм F+ при стандартном скрещивании F+× F.

LD50 аэрозоля — количество клеток микроорганизма, вызывающее при ингаляционном попадании в организм человека смертельный исход с вероятностью 50 %. Обычно эти величины расчетные, сделанные для аэрозоля с дисперсной фазой от 1 до 5 мкм. Чем меньше величина LD50, тем больше инфицирующих доз агента содержится в определенном объеме биологической рецептуры

SNAP25 (от англ. synaptosomal-associated protein, 25-kD) — мембранный белок, компонент белкового комплекса SNARE, осуществляющего стыковку синаптической везикулы с пресинаптической мембраной нейрона и их слияние с последующим высвобождением нейромедиатора. SNAP25 является небольшим белком (около 25 кДа) Он крепится к мембране синаптической везикулы за счет ацильных остатков пальмитиновой кислоты, находящихся в середине молекулы белка. При образовании стыковочного SNARE комплекса с синтаксином и синаптобревином SNAP25 предоставляет две из четырех а-спиралей комплекса. По структурной классификации SNAP25 относится к подгруппе Q-SNARE.

SNARE-белки (от англ. soluble NSF attachment receptor) — большая группа белков, осуществляющих слияние внутриклеточных транспортных везикул с клеточной мембраной (экзоцитоз) или органеллой-мишенью, такой как лизосома. Насчитывается около 60 белков SNARE. Белки группы делятся на две функциональные категории: везикулярные белки (v-SNARE) и белки принимающей органеллы (t-SNARE). Новая структурная классификация подразделяет группу на R-SNARE и Q-SNARE. Наиболее изучены белки, которые выполняют доставку синаптических везикул к пре-синаптической мембране и их слияние. Эти белки являются мишенями опасных бактериальных токсинов ботулизма и столбняка.

Адаптивная радиация — образование разнообразных форм организмов в пределах вида или группы родственных видов. Лежит в основе всех форм адаптациогенеза и является результатом приобретения организмами специальных приспособлений — адаптаций и проникновения в новые адаптивные зоны.

Адвентиция — внешняя оболочка органа, образованная в основном соединительной тканью. В адвентиции артерий и вен проходят кровеносные сосуды, питающие стенку — «сосуды сосудов» (лат. vasa vasorum). Адвентиция вен и артериол относительно толще, чем адвентиция артерий. Некоторые авторы называют адвентицией соединительнотканные клетки, окружающие кап и; тары.

Аденилатциклаза — фермент класса лиаз, катализирующий превращение АТФ в 3',5'-цАМФ (циклическую форму АМФ) с образованием пирофосфата. В процессе передачи сигнала аденилатциклаза может быть активирована связанными с плазматической мембраной рецепторами, связанными с G-белками (GPCR), которые передают гормональные и иные стимулы в клетку. Активация аденилатциклазы приводит к образованию цАМФ, действующего как вторичный посредник, цАМФ взаимодействует с протеинкиназой А, ионными каналами, связанными с циклическими нуклеотидами, и регулирует их функции. Молекулярно-биологическими методами показано существование в клетках млекопитающих, по крайней мере, шести различных аденилатциклаз. Все они имеют ММ около 120–130 кДа, а исследование их гидрофобной части показывает наличие 12 транс-мембранных сегментов.

Аденопатия — заболевания лимфатических узлов.

Алкалоиды — биологически активные гетероциклические соединения с атомами азота в цикле, преимущественно растительного происхождения обладающие свойствами оснований. Простейшие алкалоиды содержат до 10 атомов углерода, наиболее сложные — более 50.

Альтернативный сплайсинг — соединение экзонов данного гена в разных комбинациях с образованием различающихся зрелых молекул мРНК.

Амфотропный вирус — вирус, для которого характерен более широкий круг хозяев, чем свойственно вирусам данного вида это свойство связано со способностью белков оболочки такого вируса взаимодействовать с рецепторами клеток большего числа видов — например, амфотропный MLVM (вирус лейкоза Молони мышей) заражает клетки многих млекопитающих и птиц, а экотропный MLVM — только клетки мышей и крыс

Анализ полиморфизма длины амплифицированных фрагментов — вариант молекулярно-генетического идентификационного анализа. Феномен ПДАФ проявляется в том, что в случае ПЦР-амплификации гипервариабельных мини- и микросателлитных генетических матриц (локусов), присутствующих в геноме каждого вида, в ходе реакции образуются фрагменты ДНК, которые у разных индивидуумов имеют различную длину и потому оказываются индивидуально специфичными Эти полиморфные по длине фрагменты, по сути представляющие разные аллельные варианты полиморфных локусов геномной ДНК, становятся доступными для сравнительного анализа. В ряду поколений каждый вариант ПДАФ наследуется как простой менделевский кодоминантный признак.

Анамнез — совокупность сведений, получаемых при медицинском обследовании путем расспроса самого обследуемого и/или знающих его лиц. Данные анамнеза (сведения о развитии болезни, условиях жизни, перенесенных заболеваниях, операциях, травмах, беременностях, хронической патологии, аллергических реакциях, наследственности и др.) медицинский работник выясняет с целью их использования для диагностики, выбора метода лечения и/или профилактики. Сбор анамнеза является одним из основных методов медицинских исследований и универсальный метод диагностики, применяемый во всех областях медицины

Анатоксин (токсоид) — иммунопрофилактический препарат, приготовленный из бактериального токсина, не имеющий выраженных токсических свойств, но сохранивший его антигенные и иммуногенные свойства и способный индуцировать выработку нейтрализующих антител к исходному токсину. Анатоксины используются для профилактики инфекционных болезней, в основе патогенеза которых лежит интоксикация (дифтерии, столбняка, ботулизма и т. п.).

Анемограф — прибор для непрерывной автоматической записи скорости и направления (румба) ветра.

Анизокория — неравенство величины зрачков, связанное с нарушением иннервации двух гладких внутренних мышц глаза (круговой мышцы — суживающей зрачок, и радиальной мышцы, расширяющей его).

Антибиотики — специфические вещества жизнедеятельности ряда микроорганизмов (бактерий, актиномицетов, плесневых грибов) растений или животных тканей, угнетающие рост и размножение микробов Некоторые антибиотики обладают противоопухолевым действием

Антиген онкофетальный — белок, в норме вырабатываемый только тканями плода; иногда его присутствие в организме человека можно обнаружить в случае развития у него некоторых опухолей. Примером такого антигена является карциноэмбриональный антиген, который служит в качестве опухолевого маркера.

Антитела — глобулины, синтезируемые в лимфоидной ткани плазматическими клетками после введения антигена в организм. Антитела являются строго специфическими, т. е. вступают в реакцию только с антигеном, индуцирующим их синтез. На специфике реакции антиген — антитело основан один из главных современных методов диагностики инфекционных болезней (иммунодиагностики). Установление антител в сыворотке крови указывает на контакт данного организма с определенными возбудителями.

Антитоксины — разновидность антител, возникающих в сыворотке крови в ответ на попадание в организм токсинов или анатоксинов. Способны взаимодействовать с токсинами, нейтрализуя их активность.

Адлропонози — группа инфекционных (паразитарных) болезней, резервуаром возбудителей которых является только организм человека.

Аптамер — небольшая молекула нуклеиновой кислоты, способная выполнять функцию высокоспецифичного рецептора для низкомолекулярных органических соединений.

Ареал — пространство, на котором происходит становление вида или в пределах которого он встречается и проходит цикл своего развития.

Ауксотроф — организмы (чаще микроорганизмы), утратившие способность к самое оятельному синтезу какого-либо метаболита (аминокислоты, витамина, азотистого основания ит. д.) в результате мутации и потери способности к образованию определенного фермента. Ауксотрофы могут расти только на средах, в которые этот метаболит добавлен. Организм дикого типа способный развиваться в той же среде без добавления питательных веществ, называют прототрофом. Ауксотрофы широко используются в генетических и других биологических исследованиях.

Аутологичный — взятый у той же особи.

Аутотранспортеры — семейство белков секретируемых и представленных на наружной мембране бактерии, играющих важную роль в их вирулентности (инвазины, адгезины, протеазы и др.).

Аутофагия — процесс разрушения клеток лизосомами.

Ахалазия кардии — хроническая болезнь, характеризующаяся отсутствием или недостаточным рефлекторным расслаблением нижнего пищеводного сфинктера.

Аэрозоль — дисперсная система, представляющая собой газ или смесь газов, в которой взвешены твердые или жидкие частицы Термин стал применяться в конце Первой мировой войны для обозначения мелкодисперсных суспензий мышьякосодержащих веществ в воздухе, создаваемых германскими химическими снарядами, т. е. он с самого начала применения в научной литературе имел военно-прикладное значение. Аэрозоли с жидкими частицами принято называть туманами, аэродисперсные системы с твердыми частицами в зависимости от механизма образования. — пылями или дымами. По механизму образования аэрозоли подразделяют на дисперсионные и конденсационные Первые из них образуются при диспергировании (распылении измельчении) твердых и жидких тел, вторые — в результате конденсации пересыщенных паров или газовых реакций, следствием которых является образование нелетучих продуктов. Термин бактериальные (вирусные) аэрозоли относится к аэродисперсным системам, жидкие или сухие частицы которых включают микроорганизмы Поражающее действие таких систем зависит от вида примененных микроорганизмов, концентрации их в воздухе, дисперсности системы, абсолютной влажности воздуха и других факторов.

Бентонит — природный глинистый материал, относится к классу алюмосиликатов, имеет высокую дисперсность.

Биологическая безопасность — система медико-биологических, организационных и инженерно-технических мероприятий и средств, направленных на защиту работающего персонала, населения и окружающей среды от воздействия патогенных биологических агентов.

Биологическая война — воина, в ходе ведения которой применяется биологическое оружие.

Биологическая рецептура — многокомпонентная система, содержащая патогенные микроорганизмы (токсины), наполнители и стабилизирующие добавки, обеспечивающие повышение их устойчивости при хранении, применении и нахождении в аэрозольном состоянии. В зависимости от агрегатного состояния рецептуры могут быть сухими или жидкими.

Биологические поражающие агенты — патогенные микроорганизмы, токсины и их генно-инженерные модификации; трансгенные организмы и продукты из них полученные; вирусоподобные и иные конструкции, предназначенные для переноса генов между многоклеточными организмами, а также отдельные гены с системой регуляции экспрессии, способные вызывать специфические биологические поражения у человека и животных.

Биологические поражающие средства — рецептуры биологических поражающих агентов, предназначенные для снаряжения биологического оружия.

Биологическое оружие — специальные боеприпасы и боевые приборы со средствами доставки, снаряженные биологическими поражающими средствами.

Биопленки — обладающее пространственной и метаболической структурой сообщество (колония) микроорганизмов, расположенных на поверхности раздела сред и погруженных во внеклеточный полимерный матрикс.

Бокс биологической безопасности — конструкция, используемая для физической изоляции (удержания и контролируемого удаления из рабочей зоны) микроорганизмов с целью предотвращения возможности заражения персонала и контаминации воздуха рабочей зоны и окружающей среды.

Болезнь — повреждение паразитом хозяина на любом уровне: молекулярном, субклеточном, клеточном, органном, организменном, популяционном.

Бореальный пояс — природная зона умеренного географического пояса Северного полушария с холодной зимой и теплым летом. Средняя температура воздуха в июле от 14 до 18 °C. Количество атмосферных осадков больше испаряемой влаги, поэтому господствуют хвойные леса (тайга). Бореальная зона занимает широкую полосу в Евразии от Прибалтики до Охотского моря и в Северной Америке между Атлантическим и Тихим океаном. Климат резко континентальный, с сильными длительными морозами при тонком снежном покрове, что обусловило многолетнюю мерзлоту грунтов.

Бульбарный синдром (бульбарый паралич) — синдром поражения черепных нервов (языкоглоточного, блуждающего и подъязычного), ядра которых располагаются в продолговатом мозге. Бульбарный паралич возникает при двустороннем и, в менее выраженной степени, при одностороннем поражении ядер черепно-мозговых нервов каудальной группы (IX, X, XI и XII нервов), заложенных ь продолговатом мозге, а также их корешков и стволов как внутри, так и вне полости черепа. При бульбарном синдроме отмечается дизартрия ‘нарушение речи, за счет поражения отвечающих за артикуляцию нервов) и дисфагия (нарушение глотания, за счет периферического паралича или пареза мышц языка, мягкого неба, глотки, надгортанника, гортани). Голос больных становится слабым, глухим, гнусавым, истощающимся вплоть до полной афонии. Больные обычно поперхиваются жидкой пищей, иногда не в состоянии произвести глотательное движение. В связи с этим слюна у таких больных нередко вытекает из углов рта. При бульбарном параличе наступает атрофия мышц языка и выпадают глоточный и небный рефлексы (вследствие поражения ядер IX и X нервов, которые являются частью рефлекторных дуг вышеуказанных рефлексов). У тяжелобольных с бульбарным синдромом, как правило, развиваются расстройства ритма дыхания и сердечной деятельности, что нередко приводит к смерти. Это объясняется близким с ядрами каудальной группы черепно-мозговых нервов расположением центров дыхательной и сердечно-сосудистой системы, в связи с чем последние могут вовлекаться в патологический процесс

Вакцина — препарат ослабленного или инактивированного инфекционного агента (вируса, бактерии и т. п.) или отдельных компонентов, несущих антигенные детерминанты и способные вызывать образование иммунитета (невосприимчивости) к данной инфекции у привитых объектов.

Васкулярный эндотелиальный фактор роста, VEGF — содержащийся в яде змей гликопротеин, связывающийся только с эндотелиальными клетками и стимулирующий их пролиферацию. Обладает выраженным гипотензивным эффектом и повышает сосудистую проницаемость у отравленного. Структуры VEGF тканевого типа высоко консервативны, однако VEGF, содержащиеся в яде змей, высоко вариабельны, особенно в регионах вокруг рецептор-связывающих петель и С-конца предполагаемого корецепторного регионов.

Везикула — (в цитологии) относительно маленькие внутри-щеточные органоиды, мембранозащищенные сумки, в которых запасаются или транспортируются питательные вещества.

Вектор — молекула ДНК, способная к включению чужеродной ДНК и к автономной репликации, служащая инструментом для введения генетической информации в клетку.

Вертикальная устойчивость атмосферы — различают три степени устойчивости атмосферного воздуха в приземном слое, высота которого принимается равной 20 м: инверсию, изотермию, конвекцию При инверсии температура приземных слоев воздуха постепенно повышается, а плотность понижается по мере удаления от поверхности земли. Инверсия атмосферы наблюдается летом, после захода солнца, или в зимние дни. Она возникает вследствие более быстрого охлаждения земли по сравнению с плохо проводящим тепло воздухом. Холодная земля охлаждает прилегающие к ней слои воздуха, которые становятся более холодными и плотными, чем вышележащие слои. Наиболее сильно перепад температуры при инверсии выражен не у самой поверхности земли, а на некоторой высоте от нее. Это обстоятельство имеет большое значение для поведения аэрозольного облака. Частички аэрозоля распространяются в слоях, ближайших к земле, где инверсия не так велика. Образованное при инверсии аэрозольное облако движется под влиянием ветра непосредственно у поверхности земли. Инверсия создает наиболее благоприятные условия для сохранения и распространения высоких концентраций паров ОВ, мелкодисперсных аэрозолей БПА и ядовитых дымов. Изотермия характеризуется стабильным равновесием воздуха. Она наиболее типична для пасмурной погоды, а также возникает в утренние и вечерние часы. Изотермия, так же как и инверсия, способствует длительному застою паров ОВ, мелкодисперсных аэрозолей БПА и ядовитых дымов на местности, в лесу, в жилых кварталах городов и населенных пунктов. Конвекция — это вертикальные перемещения воздуха с одних высот на другие. При конвекции плотность нижних прилегающих к земле слоев воздуха меньше, а температура больше, чем плотность и температура верхних слоев. Конвекция наблюдается в летние дни при отсутствии облачности. Она возникает вследствие более сильного нагревания земли по сравнению с воздухом в солнечные часы. Нагретая земля отдает тепло прилегающим к ней слоям воздуха. Эти слои, расширяясь и становясь поэтому менее плотными, подымаются вверх, вытесняясь более холодными и плотными слоями. При конвекции восходящие токи воздуха рассеивают пары ОВ, мелкодисперсные аэрозоли БПА и ядовитые дымы.

Виварий — специально оборудованное помещение для содержания подопытных животных.

Вирусы — облигатные внутриклеточные паразиты животных, растений, насекомых, грибов, простейших, бактерий, микоплазм, архей и других живых существ. Представляют собой неклеточные формы жизни, обладающие собственным геномом и способные к воспроизведению лишь в клетках хозяина. Вирусы содержат только один тип нуклеиновой кислоты (РНК или ДНК).

Галлюцинация — образ в сознании, не соответствующий внешнему раздражителю.

Гемифациальный спазм (краевой гемиспазм, фациальный гемиспазм) — заболевание, проявляющееся безболезненными непроизвольными односторонними тоническими или клоническими сокращениями лицевой мускулатуры, иннервируемой ипсилатеральным (т. е. расположенным на той же стороне) лицевым нервом.

Генетические поражения — в контексте данной работы под ними понимаются патологические процессы, вызванные преднамеренным введением в организм человека генов.

Генная инженерия — отрасль биологической науки, изучающая закономерности конструирования in vitro рекомбинантных молекул ДНК и поведение их в реципиентнои клетке. Цель генной инженерии — создание новых генетических структур рекомбинантных молекул.

Геном — совокупность генов или хромосом организма.

Гетеротрофы — организмы, существующие за счет потребления готовых органических веществ. К гетеротрофам относятся все животные и человек, грибы, а также растения и микроорганизмы, не обладающие способностью к фотосинтезу или хемосинтезу.

Гибридный промотор — промотор, состоящие из частей промоторов разных генов, который получен с помощью методов генной инженерии.

Гифы — микроскопические простые или разветвленные нити, из которых формируются вегетативные (грибница, или мицелий) и плодовые тела грибов.

Гликозидаза — группа ферментов класса гидролаз, катализирующих гидролитическое расщепление эфирных связей в гликозидах, участвуют в процессах превращения углеводов.

Глубинное культивирование бактерий — способ промышленного выращивания бактериальной биомассы в специальных котлах-реакторах Они снабжены системами поддержания температуры, подачи в бульон различных питательных веществ, перемешивания биомассы и постоянной подачи кислорода. Создание аэробных условий по всей толще среды способствует протеканию энергетических процессов по аэробному пути, что способствует максимальной утилизации энергетического потенциала глюкозы и, следовательно, максимальному выходу биомассы.

Голотоксин — люоой белковый токсин со структурой, собранной из нескольких субъединиц.

Гольджи комплекс — мембранная структура эукариотической клетки, органелла, в основном предназначенная для выведения веществ, синтезированных в эндоплазматическом ретикулуме.

Гомоплазия: 1) сходное строение органов, развивающихся у разных систематических групп организмов в случае приспособления к одинаковым условиям существования. Возникает в результате конвергентной эволюции; 2) однотипная изменчивость признаков и свойств у организмов различных таксономических групп при параллельных, но независимых эволюционных процессах

Гранулярные клетки — нейроны малого размера, около 10 мкм в диаметре. Гранулярные клетки встречаются в гранулярном слое мозжечка, в четвертом слое коры головного мезга, в зубчатой извилине гиппокампа, и в обонятельной луковице. Мозжечковые гранулярные клетки составляют почти половину всех нейронов ЦНС.

ДВС-синдром (диссеминированное внутрисосудистое свертывание, коагулопатия потребления, тромбогеморрагический синдром) — нарушенная свертываемость крови по причине массивного освобождения из тканей тромбопластических веществ. Может протекать бессимптомно или в виде остро развившегося нарушения свертываемости крови (коагулопатии).

Дезинфекция — обеззараживание, уничтожение возбудителей инфекционных болезней (вирусы, бактерии, микоплазмы, патогенные грибы и т. д.) во внешней среде путем применения физических и химических средств.

Деконтаминация — уничтожение патогенных микроорганизмов на поверхности тела человека или животных и абиотических объектов окружающей среды (почва, предметы обихода, пищевые продукты и др.)

Делирий — расстройство сознания, которое характеризуется наличием истинных, преимущественно зрительных, галлюцинаций и иллюзий, и, как следствие, — вторичным бредом; наличием эмоционально аффективных нарушений, сенсопатиями, затрудненной ориентировкой в окружающем мире, дезориентацией во времени. При этом сохраняются осознание собственной личности и опасностей. Эмоциональное состояние больного зависит от характера галлюцинаций. После выхода из делирия — частичная конградная амнезия (амнезируются реальные события и болезненные воспоминания). Больной может быть опасен для себя и окружающих. Может прерываться периодами ясного сознания с критическим отношением к болезненным переживаниям

Демиелинизация — термин, используемый для обозначения потери миелина, особой субстанции белого вещества мозга. Приводит к нарушению функций миелиновых нервных волокон. Демиелинизация может быть первичной (например, при рассеянном склерозе) или развивается после травмы черепа.

Дендример — макромолекула с симметричной древообразной с регулярными ветвлениями структурой. Ветви дендримера имеют общую центральную группу. Дендример первого поколения (первой генерации) имеет одну точку ветвления в каждой ветви, второго поколения — две точки ветвления и т. д.

Дендромерность — способность образовывать разветвленные полимеры, концы которых могут присоединять различные молекулы.

Диастериоизомеры — пространственные изомеры с несколькими асимметрическими центрами, у которых конфигурация части асимметрических атомов совпадает, а части — противоположна

Дизартрия — расстройство членораздельной речи, выражающееся затрудненным или искаженным произношением отдельных слов слогов и звуков (главным образом согласных).

Динамика эпидемического процесса — изменение интенсивности передачи возбудителя, выражающееся в изменении инфекционной (паразитарной) заболеваемости (носительства) во времени (по месяцам, годам и другим периодам) среди животных — динамика эпизоотического процесса.

Динеин — белок, ассоциированный с микротрубочками, участвующий наряду с кинезином в их перемещении, в частности, вызывая движение аксонемы спермиев.

Диплопия — нарушение зрения, состоящее в двоении видимых предметов.

Дисковидный ателектаз — в основном рентгенологическое понятие. На рентгенограмме представляет собой линейную тень, горизонтально расположенную над диафрагмой, шириной от 0,5 до 1,5 см. Формируется в результате спадения нескольких соседних долек легкого, что часто имеет место при диффузных поражениях бронхолегочной системы (пневмонитах, фиброзируюших альвеолитах, саркоитозе).

Дисфагия — расстройство акта глотания.

Дисфопия — расстройство голосообразования при котором голос становится хриплым, слабым, приобретает гнусавый оттенок.

Доза — количество химического вещества, поглощенного организмом.

Задача — то, что требует исполнения, разрешения.

Заразная зона — помещение или группа помещений лаборатории, где осуществляются манипуляции с патогенными биологическими агентами и их хранение.

Зоонозы (зооантропонозы) — группа инфекционных (паразитарных) болезней, резервуаром возбудителей которых являются животные, но к которым восприимчив и человек.

Изотермия — см. «Вертикальная устойчивость атмосферы».

Изохоры — гомогенные протяженные участки ДНК. Когда изохоры фрагментируются во время разрезания ДНК, выявляются четыре главных семейства фрагментов с различным GC-содержанием.

Иммунизация — метод специфической профилактики инфекционных болезней путем создания в организме искусственного иммунитета. Различают активную и пассивную иммунизацию.

Иммунопрофилактика — использование иммунных сывороток, анатоксинов и вакцин с целью создания специфического иммунитета относительно конкретного инфекционного агента.

Иммуноферментный анализ — лабораторный иммунологический метод качественного или количественного определения различных соединений, макромолекул, вирусов и пр., в основе которого лежит специфическая реакция антиген-антитело.

Импактор — устройство для принудительного фракционною осаждения частиц аэрозоля с целью последующего определения их количества и размеров.

Импакция — инерционное осаждение аэрозольных частиц на препятствиях, вызывающих искривление линий воздушных потоков.

Импинджер — прибор для определения запыленности воздуха, представляющий собой стеклянный сосуд с жидкостью, в который под давлением подается исследуемый воздух.

Инадаптация — совокупность несовершенных приспособлений, возникающая у отдельных групп животных в ходе эволюции и обусловливающая впоследствии вымирание этих групп.

Инбредные (чистые) линий лабораторных животных — ограниченная совокупность наследственно однородных организмов, происходящих от одного общего предка. Такие линии животных получают путем близкородственных скрещиваний в течение нескольких поколений. В результате животные, составляющие чистую линию, получают одинаковые копии хромосом каждой из гомологичных пар.

Инверсия — см. «Вертикальная устойчивость атмосферы».

Инвертированный повтор — участок молекулы нуклеиновой кислоты, два сегмента которого имеют одинаковую нуклеотидную последовательность, но противоположную ей ориентацию (частным случаем является палиндром).

Инкубационный период — время между экспонированием к биологическому поражающему агенту и появлением симптомов болезни. Этот период обусловлен многими переменными, включая первоначальную дозу, вирулентность штамма, путь проникновения, скорость репликации и иммунологические факторы хозяина.

Инсерционные последовательности, IS-элементы — мобильные генетические элементы длиной 700—1800 п. н. (транспозоны, впервые описанные у прокариот). Как правило, IS-элементы не имеют собственного выражения в фенотипе, хотя и могут содержать открытую рамку считывания для 1–2 белков (в частности, ген транспозазы), а также промотор, способный обеспечивать транскрипцию последующего участка донорского гена; IS-элементы ограничены короткими инвертированными концевыми повторами (10–40 п. н.) и фланкированы прямыми повторами, обнаружение таких участков нуклеотидных последовательностей может быть свидетельством наличия IS-элементов.

Инсуляторы — последовательности ДНК особые регуляторные элементы, которые обладают способностью блокировать сигналы, исходящие от окружения гена. Эта функция инсуляторов включает две активности. Во-первых, они блокируют взаимодействие между энхансером и промотором, если находится между ними. При этом инсулятор выполняет только разделительную функцию и не влияет на активность энхансера и промотора. Во-вторых, инсулятор выполняет барьерную функцию для распространяющегося конденсированного хроматина. Показано, что существуют инсуляторы, как выполняющие одну из двух функций, так к обе. Инсуляторы представляют собой сайты связывания особых, инсуляторных белков. Тот факт, что инсуляторы могут влиять на энхансер-промоторные взаимодействия может быть рассмотрен в контексте роли этих последовательностей в модулировании функций энхансера. Энхансеры не обладают специфичностью действия, следовательно, у эукариот должны были выработаться механизмы, обеспечивающие невозможность активации генов в ненужном месте или в ненужное время развития энхансерами соседнего гена.

Интерстициальные заболевания легких — преимущественно хронические заболевания легочной ткани, проявляющиеся воспалением и нарушением структуры альвеолярных стенок, эндотелия легочных капилляров, перивазальных и перилимфатических тканей. Характерным симптомом интерстициальных заболеваний легких является одышка, являющаяся отражением легочной недостаточности.

Интрон — часть гена, переписывающаяся в РНК, но затем из нее удаляемая ферментативным путем при образовании зрелой мРНК; эта часть не кодирует белок.

Инфекционный процесс — процесс взаимодействия организмов возбудителя и хозяина (человека, животного), проявляющийся клинически выраженным заболеванием или носительством.

Инфицирование — внедрение в организм (клетку) микроорганизмов, вызывающих инфекционный процесс, т. е. антагонистическое взаимодействие паразита и организма хозяина, проявляющееся болезнью.

Исследования диагностические — исследования объектов биотической и абиотической природы, проводимые с целью обнаружения и идентификации возбудителя, его антигена или антител к нему.

Кадхерины — семейство трансмембранных кальцийзависимых гликопротеинов, осуществляющих адгезивные межклеточные контакты. Подобно интегринам кадхерины обладают внутриклеточными доменами, которые через цепь взаимосвязанных цитоплазматических белков связываются с цитоскелетными структурами контактирующих клеток. Клетки позвоночных экспрессируют один или более типов кадхеринов, каждый из которых кодируется отдельным геном: для определенного типа клеток характерен определенный набор экспрессируемых кадхеринов; на данный момент известно более десятка типов кадхеринов. Кадхерины — основные молекулы клеточной адгезии, удерживающие клетки вместе в ранних эмбриональных тканях. Кадхерины одной клетки связываются с кадхеринами того же типа соседней клетки (гомофильный механизм). Большинство кадхеринов представляют собой единожды пересекающие плазматическую мембрану гликопротеины (700–750 аминокислотных остатков). Большая внеклеточная часть полипептидной цепи обычно свернута в пять доменов (около 100 аминокислотных остатков каждый), часть из которых гомологична и содержит кальций-связывающие сайты. В отсутствие кальция кадхерины претерпевают конформационную перестройку и, в результате, быстро деградируются протеазами. Внеклеточный домен, наиболее удаленный от плазматической мембраны, опосредует межклеточную адгезию.

Карантин — система (комплекс) ограничительно-административных, противоэпизоотических, противоэпидемических, санитарно-гигиенических и лечебно-профилактических мероприятий, направленных на охрану определенной территории от заноса возбудителей инфекционных (паразитарных) болезней с других территорий и предупреждение их распространения за пределы эпизоотического или эпидемического очага.

Карбункул — острое гнойно-некротическое воспаление нескольких волосяных фолликулов и сальных желез с обширным некрозом кожи и подкожной клетчатки. Карбункул, как правило, бывает одиночным. Локализуется на шее, в межлопаточной области, на лице, пояснице, ягодицах, реже на конечностях.

Клада — группа организмов, которые являются потомками единственного общего предка и всех потомков этого предка. В русскоязычной литературе иногда можно встретить другой вариант перевода — «клад». Если клада находится верной в разных кладистистических исследованиях, которые используют разные наборы данных, она может быть принятой к таксономии и стать таксоном.

Кодоминирование — тип взаимодействия аллелей, при котором оба аллеля в полной мере проявляют свое действие. В результате, так как проявляются оба родительских признака, фенотипически гибрид получает новый, усредненный вариант двух родительских признаков.

Компьютерная томография — метод неразрушающего послойного исследования внутренней структуры объекта. Метод основан на измерении и сложной компьютерной обработке разности ослабления рентгеновского излучения различными по плотности тканями.

Конвекция — см. «Вертикальная устойчивость атмосферы».

Конвенции о запрещении разработки, производства и накопления запасов бактериологического (биологического) и токсинного оружия и об их уничтожении (КБТО) — первый международный договор о разоружении, запрещающий производство целого класса вооружений. Ее подписание явилось результатом многолетних усилий международного сообщества по созданию правовой базы, дополняющей собой Женевский протокол (1925). КБТО была открыта для подписания 10 апреля 1972 г. и вступила в силу 26 марта 1975 г., когда 22 государства передали на хранение свои документы о ратификации Генеральному секретарю ООН. В настоящее время ее участниками являются 163 государства, обязавшиеся не разрабатывать, не производить и не накапливать БО. Государства-участники обязуются: Статья I: Ни при каких обстоятельствах не приобретать и не накапливать биологическое оружие. Статья II: Уничтожить или переключить на мирные цели все, что с связано с БО. Статья III: Не передавать, не помогать никоим образом, не поощрять и не понуждать кого бы то ни было к приобретению и накоплению БО. Статья IV: Принимать необходимые изменения в свое законодательство Статья V. Консультироваться друг с другом с целью разрешать все вопросы касающиеся выполнения положений КБТО. Статья VI: Сотрудничать в проведении любых расследований касающихся жалоб других участников КБТО, поданных в Совет Безопасности ООН. Статья VII: Оказывать помощь государствам, которые могут подвергнуться опасности в результате нарушения Конвенции. Статья X: Выполнять все вышеперечисленное с целью мирного использования научных разработок в области бактериологии.

Контагиозность — способность инфекционной болезни передаваться от одного человека к другому при непосредственном контакте, воздушно-капельным путем или через промежуточных агентов, таких как насекомые-переносчики. Это свойство предопределяет возможность распространения эпидемии после применения биологических агентов. При непосредственном контакте наиболее опасны больные легочной чумой и натуральной оспой. Через насекомых-переносчиков легко распространяются возбудители чумы (блохи) и сыпного тифа (вши).

Короткие терминальные инвертированные повторы — короткие, гомологичные нуклеотидные последовательности, ориентированные в противоположных направлениях, расположенные на концах провирусов ретровирусов и некоторых мобильных генетических элементов. Их размер составляет 15–25, иногда 9—41 п. н., причем копии повторов могут быть не идентичными, хотя и очень близкими по первичной структуре.

Кортекс — самый толстый слой оболочки споры. Он состоит из пептидогликана, содержащего мало поперечных сшивок и поэтому очень чувствительного к лизоциму. Разрушение кортекса лизоцимом играет пусковую роль процессе прорастания споры.

Крафт-бумага — высокопрочная оберточная бумага из слабопроваренной длинноволокнистой сульфатной целлюлозы.

Культура клеток — клетки какой-либо ткани, выращиваемые в лаборатории в питательной среде. Широко применяются при вирусологических исследованиях. Для культивирования вирусов животных можно использовать все типы эмбриональных и зрелых клеток животных и птиц.

Купфера клетки — клетки ретикуло-эндотелиальной системы, расположенные на внутренней поверхности капилляроподобных сосудов (синусоидов) печени.

Куриный эмбрион — оплодотворенное куриное яйцо, выдержанное в инкубаторе. Применяется для культивирования некоторых вирусов (гриппа, оспы и др.).

Лаборатория — организация или ее структурное подразделение, выполняющее экспериментальные, диагностические или производственные работы с патогенными биологическими агентами.

ЛД50 (полулетальная доза, также DL50, LD50 англ. lethal dose, 50 %) — средняя доза вещества, вызывающая гибель половины членов испытуемой группы. Один из наиболее широко применяемых показателей опасности ядовитых и умеренно-токсичных веществ. Обычно указывается в единицах веса вещества на единицу веса испытуемого субъекта. Предполагается, что исследуемый объект находится в типичном состоянии, в нормальных условиях, без приема каких-либо антидотов и других специальных мер предосторожности.

Летальность — отношение числа умерших к числу заболевших данной болезнью. Выражается в процентах. Как правило, этот показатель применяется для характеристики заболеваний, возникающих естественным путем. Летальность той или иной инфекционной болезни при различных эпидемиях может зависеть как от вирулентности вовлеченных в нее микроорганизмов, так и разной напряженности иммунитета у людей, подвергшихся заражению. Кроме того, летальность зависит от стадии эпидемического процесса (начало, разгар завершение), достигшая максимума в разгар эпидемии и потом постепенно снижаясь. Можно предполагать, что микроорганизмы, использованные для получения биологических рецептур и введенные в окружающую среду с целью поражения людей, будут вызывать однородные по клинике заболевания с заранее предвидимой степенью выраженности симптомов болезни. Летальность среди людей, пораженных биологическими агентами, будет зависеть от выбранного для применения штамма, качества рецептуры и способа ее применения.

Летальный/инкапситирующий — эти термины предполагают статистические вероятности реакций организма человека на биологический поражающий агент. Например, без лечения смертность при ингаляционным поражении возбудителем натуральной оспы будет достигать 60 % от числа пораженных людей, однако при таком же пути инфицирования смертность при поражении возбудителем туляремии не будет превышать 8 %.

Лигазы — фермент, катализирующий соединение двух молекул с образованием новой химической связи (лигирование). При этом обычно происходит отщепление (гидролиз) небольшой химической группы от одной из молекул. Лигазы относятся к классу ферментов ЕС 6. В молекулярной биологии лигазы подкласса 6.5 классифицируют на РНК-лигазы и ДНК-лигазы.

Макрогематурия — наличие в моче крови, видимой невооруженным глазом.

Макрофиты — крупные многоклетчатые водоросли (зеленые, бурые, красные) и морские цветковые растения (травы). Обитают на всех широтах, главным образом в прибрежной зоне, где образуют густые заросли и служат продуцентом органического вещества

Макула — это центральная часть, сетчатки глаза, которая располагается к виску от диска зрительного нерва.

Маллеин — биологический препарат, аллерген, используемый для аллергического диагностирования сапа у лошадей, мулов, ослов, лошаков, верблюдов. Маллеин — стерильный фильтрат инактивированной нагреванием бульонной культуры Pseudomonas mallei. Применяют для глазной и подкожной маллеинизации.

Малые РНК, образующие шпильки, или короткие РНК, образующие шпильки (англ. shRNA, small hairpin RNA. short hairpin RNA) — молекулы коротких рибонуклеиновых кислот, образующие во вторичной структуре плотные шпильки. ShRNA могут быть использованы для выключения экспрессии генов путем РНК-интерференции. Короткие РНК, образующие шпильки, вводят в клетки при помощи вектора, использующего промотор U6. для обеспечения конститутивной экспрессии. Такой вектор, как правило, передается дочерним клеткам и обеспечивает наследуемое выключение гена. Структура малых РНК образующих шпильки, разрезается клеточными ферментами в малые интерферирующие РНК (siRNA), которые далее переходят в РНК-индуцируемый комплекс выключения гена (RIsC). Этот комплекс связывается и разрезает мРНК, участки которых комплементарны siRNA. Малые РНК, образующие шпильки, транскрибируются РНК полимеразой III. Образование shRNA в клетках млекопитающих иногда вызывает интерфероновый ответ для защиты клетки, как в случае вирусной атаки Такие процессы не наблюдаются в случае miRNA (микроРНК), которые транскрибируются РНК полимеразой II.

Медиастинум см. Средостенье.

Метод эиергодисперсионной рентгеновской спектроскопии — аналитический метод элементного анализа твердого вещества, базирующийся на анализе энергии эмиссии ее рентгеновского спектра. С помощью пучка электронов (в электронных микроскопах) или рентгеновских лучей (в рентгеновских флуоресцентных анализаторах) атомы исследуемого образца возбуждаются, испуская характерное дли каждого химического элемента рентгеновское излучение. Исследуя его энергетический спектр, можно сделать выводы о качественном и i оличественном составе образца

Механизм: 1) внутреннее устройство машины, прибора, аппарата, приводящих их в действие, 2) система, устройство, определяющие порядок какого-то вида деятельности.

Миазмы — по старым (в «добактериальный период»; представлениям, ядовитые испарения, продукты гниения, якобы вызывающие заразные болезни.

Мидриаз — расширение зрачка.

Монофилия — происхождение данной группы организмов от общего предка, основной принцип эволюции органического мира.

Нанотехнология — совокупность технических процессов, связанных с манипуляциями молекулами и атомами в масштабах 1-100 нм.

Нейропептиды — разновидность пептидов, которые синтезируются в нервных клетках, например эндорфины, энкефалины. Они выполняют в организме роль регуляторов физических функций. Используются как лекарственные средства.

Нейротрофины — общее название секретируемых белков, поддерживающих жизнеспособность нейронов стимулирующих их развитие и активность. Эти белки, в свою очередь входят в обширное семейство факторов роста. Их выделяют за особую роль в воздействии на нейроны, но они экспрессируются также и в других тканях и органах, равно как и другие факторы роста, не называемые нейротрофинами, оказывают некоторое влияние в том числе и на нейроны.

Некультивируемое состояние бактерий — понятие подразумевает отсутствие роста бактерий на традиционных для них питательных средах. Некультивируемое состояние обнаружено у многих патогенных видов бактерий. В связи с тем, что рутинные бактериологические методы не эффективны для их обнаружения, истинные масштабы распространения феномена в объектах окружающей среды остаются неизвестными.

Нематоцисты — органы нападения и защиты, свойственные большинству так называемых жгучих кишечнополостных (Cnidaria), а именно: всем коралловым полипам, всем полипомедузам (гидромедузам, сифонофорам, сцифомедузам) и некоторым ктенофорам; кроме того, нематоциты встречаются у некоторых червей (а именно: у низших турбеллярий) и некоторых голых моллюсков (из заднежаберных брюхоногих). Каждая нематописта состоит из пузырька с двойной стенкой, продолжающегося в тонкую трубочку и наполненного едкой жидкостью. В покое трубочка впячена внутрь пузырька, но под влиянием раздражения (непосредственно действующего на клеточку, заключающую нематоцисту, так называемый книдобласт, или через посредство нервной системы) трубочка выворачивается наружу и через нее изливается едкая жидкость пузырька, парализуя или умерщвляя мелких животных. Трубочки нематоцист. кроме того, обвиваются иногда вокруг добычи. Более широкая основная часть трубочки (шейка) бывает снабжена заостренными отростками, вдавленными в разряженном состоянии нематоцисты к пузырьку.

Нерепликативные единицы бактероидов — интегрированные в геном бактероидов элементы, которые самостоятельно не способны из него «вырезаться» и переноситься между бактериями, но их «вырезание» и перенос могут инициироваться конъюгатизными транспозонами.

Нозология — наука, которая изучает болезни и их классификации.

Обнубиляция — легкая оглушенность или помрачение сознания с затруднением концентрации внимания и замедлением психических процессов.

Обращенно-фазовая (обратно-фазовая) хроматография — вариант хроматографии, в котором стационарная фаза является неполярной.

Объект — явление, предмет, на который направлена какая-нибудь деятельность.

Оперон — функциональная единица генома у прокариот, в состав которой входят цистроны (гены, единицы транскрипции), кодирующие совместно чли последовательно работающие белки и объединенные под одним (или несколькими) промоторами.

Опухолевый промотор — соединение, которое стимулирует рост опухоли, не являясь мутагеном.

Ортологичные гены — гомологичные гены филогенетически родственных организмов, разошедшихся в процессе видообразования; гены, которые у различных видов произошли от общего предшественника и передавались вертикально в эволюции. Два гена ортологичны у двух видов, если они появились и далее дивергировали вместе с видами в результате видообразования. Часто (но необязательно) ортологи сохраняют свои функции в процессе эволюции (см. паралогичные гены). Ортологи близких видов имеют одну и ту же функцию.

Осмотический шок — любое нарушение в клетке, происходящее при ее переносе в сильно гипертоническую или гипотоническую среду.

Остров латопичности — кластер генов чужеродного происхождения, обнаруженный в плазмиде или хромосоме бактерии, кодирующий группу генов вирулентности

Открытая рамка считывания — последовательность нуклеотидов в составе ДНК или РНК, потенциально способная кодировать белок. Основным параметром наличия ORF служит отсутствие стоп-кодонов, в большинстве случаев — ТАА, TGA и TAG на достаточно продолжительном участке последовательности после стартового кодона (в подавляющем случае — ATG).

Отравляющие вещества — токсичные химические соединения, предназначенные для поражения живой силы противника.

Очаг природный — наименьшая часть одного или нескольких географических ландшафтов, где циркуляция возбудителя между животными способна осуществляться неопределенно долго без необходимости заноса его извне.

Очаг эпидемический — место нахождения источника возбудителя с окружающей его территорией в тех пределах, в которых этот источник способен передавать возбудителя здоровым людям в данной конкретной обстановке; тоже очаг эпизоотический, только в отношении животных.

Панмиксия — свободное скрещивание разнополых особей с различающимися генотипами.

Папула — морфологический элемент кожной сыпи, представляющий собой бесполостное образование возвышающееся над уровнем кожи.

Паразит — организм, использующий другого в качестве источника питания и (или) среды обитания и обычно наносящий ему вред.

Патогенность — способность микроорганизмов вызывать инфекционный процесс у макроорганизмов определенного вида. Патогенность представляет сложный комплекс свойств микроорганизма, сформировавшийся в процессе борьбы за существование и приспособление к паразитированию в организмах растений, животных и человека. Патогенность является видовым признаком микроорганизмов, которые характеризуются специфичностью действия каждый вид способен вызывать только определенную инфекционную болезнь.

Пашена тельца — вирионы, обнаруживаемые в содержимом элементов сыпи у больных натуральной оспой.

Петри чашки — посуда, употребляемая в бактериологической лаборатории для выращивания бактерий на плотных питательных средах, для получения изолированных колоний и определения спектра действия микробов-антагонистов.

Пилоэрекция — сокращение мышц, поднимающих волосы; приводит к образованию «гусиной кожи»: появлению на коже конусообразно приподнятых волосяных фолликулов. Возможна при гиперактивации симпатической нервной системы (например, при охлаждении) или применении симпатомиметиков.

Пиноцитоз: 1) захват клеточной поверхностью жидкости с содержащимися в ней веществами; 2) процесс поглощения и внутриклеточного разрушения макромолекул.

Пиросеквенироваиие — способ секвенирования ДНК, основанный на принципе «секвенирование путем синтеза». Позволяет секвенировать одну цепочку нуклеотидов ДНК путем синтеза комплементарной цепочки, при этом регистрируется присоединение каждого. Матрица ДНК иммобилизована, растворы нуклеотидов А, С, G и Т добавляются и отмываются последовательно после реакции. При последовательном добавлении к ДНК-полимеразному комплексу дезоксинуклеозидтрифосфатов, их включение в синтезируемую нить зависит от нуклеотидной последовательности матрицы. Полимеразный синтез ДНК сопровождается выделением пирофосфата. Этот пирофосфат в присутствии сульфурилазы и аденозинфосфосульфата преобразуется в АТФ и запускает окисление люцеферина ферментом люциферазой, сопровождающееся биолюминесценцией. Свет образуется в тот момент, когда раствор нуклеотидов соответствует первому неспаренному основанию матрицы, последовательность растворов, которые дают хемилюминесцентный сигнал, позволяет определить последовательность матрицы.

Плазмид: — кольцеваяили линейная молекула ДНК, автономно от хромосомы реплицирующаяся в клетке за счет репликационной системы клетки хозяина. Большинство плазмид кодирует специальные белки — инициаторы репликации. Эти белки начинают процесс репликации, который затем подхватывается и продолжается репликационной системой клетки. Плазмиды широко используются в генной инженерии для переноса генетической информации и генетических манипуляций.

Плевральный выпот — патологическое накопление жидкости в плевральной полости.

Плеоморфные микроорганизмы — микроорганизмы, способные изменять форму клетки в зависимости от условий внешней среды (например, бифидобактерии на разных средах).

Плеоцитоз — увеличение числа клеток в цереброспинальной жидкости, наблюдающееся при воспалительном поражении вещества головного или спинного мозга или их оболочек.

Пневмонит — общее название некоторых атипичных воспалительных процессов в легких.

Пневмония интерстициальная — пневмония, характеризующаяся преимущественным поражением соединительной ткани легких (межальвеолярной, перибронхиальной, периваскулярной).

Полиморфные микроорганизмы — вообще не имеющие постоянной формы, в одной и той же культуре встречаются разные ко форме к тетки (например, микоплазмы, не имеющие клеточной стенки).

Постулат — положение, которое, не будучи доказанным, принимается в силу теоретической или практической необходимости за истинное.

Потенциал концевой пластинки (постсинаптический потенциал) — временное изменение потенциала постсинаптической мембраны в ответ на сигнал поступивший с пресинаптического нейрона. Возникает при спонтанном выделении ацетилхолина, содержащегося в одном пресинаптическом пузырьке.

Продолжительность реабилитации — продолжительность восстановления функций организма, нарушенных или утраченных в результате поражения биологическим агентом.

Просвечивающий (трансмиссионый) электронный микроскоп — устройство, в котором изображение от ультратонкого образца (толщиной порядка 0,1 мкм) формируется в результате взаимодействия пучка электронов с веществом образца с последующим увеличением магнитными линзами (объектив) и регистрацией на флуоресцентном экране, фотопленке или сенсорном приборе с зарядовой связью.

Протективный иммунитет — специфическая иммунная перестройка организма, выражающаяся в более или менее продолжительной невосприимчивости к повторному воздействию одного и того же типа и вида этиологического агента при новом заражении.

Протомер — полипептидная цепь, являющаяся исходной единицей организации структуры белка. Протомеры гемоглобина состоят из 8 спиралей, свернутых в плотную глобулярную структуру, содержащую внутреннее гидрофобное ядро и «карман» для связывания гема. Протомеры обычно связаны друг с другом посредством лишь нековалентных связей.

Прототрофы — микроорганизмы, не требующие для своего развития готовых витаминов, аминокислот и других факторов роста, а синтезирующие их из минерального и органического сырья.

Процессинг — процесс превращения белка-предшественника в зрелый белок.

Прямые повторы — идентичные (или похожие) последовательности нуклеотидов, присутствующие в двух или более копиях, одинаково ориентированные, находящиеся в одной молекуле ДНК но необязательно примыкающие друг к другу: в частности, короткие (чаще всего 5 или 9 п. о.) прямые повторы всегда фланкируют IS-элементы

Псевдотипированне — упаковка вирусного генома в «чужую» вирусную оболочку, что позволяет, в частности, расширять круг хозяев, т. е. превращать экотропные вирусы в амфотропные.

Психомоторное возбуждение — это патологическое состояние, характеризующееся двигательным беспокойством разной степени выраженности (от суетливости до разрушительных действий), часто сопровождающееся речевым возбуждением (многоречивость выкрики фраз, слов, отдельных звуков). Наряду с этим характерны ярко выраженные аффективные расстройства: тревога, растерянность, гнев, злобность, агрессивность, веселье и так далее.

Птоз — опущение верхнего века.

Птомаины — группа азотсодержащих химических соединений, образующихся при гнилостном разложении (с участием микроорганизмов) белков мяса, рыбы, дрожжей и пр.

Пэгилирование — ковалентное конъюгирование полиэтиленгликоля к лекарственному препарату, белку или полимерному носителю, что позволяет снизить их иммуногенность и увеличить продолжительность циркулирования в кровеносном русле.

Рабдомиолиз — синдром, представляющий собой крайнюю степень миопатии и характеризующийся разрушением клеток мышечной ткань, резким повышением уровня креатинкиназы и миоглобина, миоглобинурией, развитием острой почечной недостаточности.

Расследовать — подвергнуть (подвергать) всестороннему рассмотрению, изучению.

Реакция непрямой гемагглютинации — метод иммунологической диагностики вирусных и бактериальных инфекций. При этом эритроциты, на которых предварительно адсорбированы антигены (антитела), приобретают способность агглютинироваться в присутствии гомологических сывороток (антигенов). Эритроциты выполняют роль носителей антигенов со специфическими детерминантами, агглютчнация которых происходит в результате реакции антиген-антитело.

Реакция связывания комплемента — одна из традиционных серологических реакций, применяемая для диагностики многих вирусных и бактериальных болезней. У многих вирусов групповая специфичность комплементсвязывающих антигенов позволяет использовать РСК при массовой диагностике.

Регургитация — быстрое движение жидкостей или газов в направлении, противоположном нормальному, возникшее в полом мышечном органе в результате сокращения его стенки.

Резервуар возбудителя инфекции — совокупность биотических и абиотических объектов, являющихся средой естественной жизнедеятельности паразитического вида и обеспечивающих существование его в природе.

Рестриктазы (рестрикционные эндонуклеазы) — ферменты, расщепляющие ДНК в участках, имеющих специфические последовательности нуклеотидов длиной обычно 4–7 п. н. Первые три буквы в наименовании рестриктазы указывают микроорганизм, из которого она была выделена, например Есо (Escherichia coli) четвертая буква обычно обозначает штамм, а римская цифра — конкретный фермент.

Ретровирусы — РНК-содержащие вирусы, имеющие в своем составе фермент обратную транскриптазу, копирующий РНК в ДНК, интегрирующуюся затем с геномом организма хозяина.

Ретротранспозоны — транспозоны, механизм транспозиции (перестановки по геному) которых полностью совпадает с частью жизненного цикла ретровируса, однако они лишены функциональной белковой оболочки и могут перемещаться лишь внутри какой-нибудь одной клетки и быть переданы ее потомкам.

Ризосфера — слой почвы (2–3 мм), прилегающий к корню растения.

РНК-индуцируемый сайленсинг-комплеке (RNA-induced silencing complex) — мультибелковый комплекс, в состав которого входит один из белков семейства Argonaute и малые интерферирующие РНК (англ. siRNA), предварительно подвергшиеся процессингу эндонуклеазой Dicer. Dicer расщепляет предшественник siRNA, представляющий собой двуцепочечную молекулу РНК (dsRNA) на одноцепочечные фрагменты. В состав RISC всегда включатся только один из них, предпочтение отдается тому фрагменту, 5'-конец которого конъюгирован менее прочно. Затем RISС образует комплекс с РНК-мишенью, что приводит либо к репрессии ее трансляции в случае неполной комплементарности, либо к расщеплению ее последовательности приблизительно в середине участка спаривания в случае полной или почти полной комплементарности. Эндонуклеазная активность внутри комплекса RISC опосредована РНКаза-Н-подобным доменом (piwi) в белке Argonaute. Данный процесс имеет значение как в регуляции активности генов с помощью микроРНК (microRNA, m.RNA), так и в защите от вирусных инфекций, так как вирусы часто используют двуцепочечные РНК как инфекционный вектор.

РЧК-интерференция — процесс подавления экспрессии гена на стадии транскрипции, трансляции, деаденилирования или деградации мРНК при помощи малых молекул РНК.

Санитарная обработка — мероприятие, проводимое в эпидемическом очаге, предусматривающее дезинфекционную (дезинсекционную) обработку постельных и носильных вещей, волос, мытье под душем.

Сегрегация: 1) расхождение родительских хромосом в мейозе; 2) возникновение различных гено- и фенотипов в потомстве гибридов, обусловленное случайным распределением гомологичных хромосом между гаметами в мейозе, кроссинговером и случайными сочетаниями гамет при оплодотворении.

Секвенирование — определение последовательности нуклеотидов в молекуле ДНК.

Сепсис (гниение) — общая инфекция, состояние организма, при котором патогенные микроорганизмы, проникшие из первичного очага инфекции в кровь, размножаются в ней и заносятся во все ткани и органы, где вызывают воспалительные и дегенеративно-некротические процессы. Клиническая картина сепсиса не зависит от вида возбудителя инфекции.

Серологические реакции — методы иммунодиагностики, разработанные для установления в сыворотке крови антител или антигенов. Серологические реакции являются специфическими и основан) t на взаимодействии антигена и антитела. К ним относятся реакции: агглютинации, гемагглютинации, связывания комплемента, преципитации, нейтрализации, а также методы определения групп крови и преципитационные пробы в судебно-медицинской экспертизе.

Сеятели чумы (демоны эпидемий) — так в Средние века называли людей, которые пытались вызывать эпидемии с помощью предметов и материалов, находившихся в контакте с больными чумой, либо содержащих выделения чумных бубонов. В некотором смысле они являются предшественниками современных биотеррористов.

Сиаловая кислота — аминосахар, N-ацетил производное нейраминовой кислоты. Сиаловая кислота широко распространена в тканях животных и, в меньшей степени, других организмов: растений и грибов, дрожжей и бактерий, в основном в составе некоторых гликопротеинов и ганглиозиды и стенок бактериальных клеток.

Сильфон — тонкостенная металлическая трубка или камера с гофрированной (волнообразной) боковой поверхностью. Сильфон изготавливают из латуни (обычно полутомпака), фосфористой и бериллиевой бронзы и нержавеющей стали. Наиболее широко сильфоны применяют в пневмо- и гидроавтоматике в качестве чувствительных элементов, реагирующих (расширением или сжатием, подобно пружине) на изменение давления газа или жидкости, действующего на дно сильфона (например, в датчиках температуры, давления), а также в качестве гибких соединений трубопроводов, компенсаторов температурных удлинений, упругих разделителей сред и т. п. Стенки сильфона для работы при больших разностях давлений и в агрессивных средах изготовляют 2-, 3- и 4-слойными. Используются в биологических боеприпасах барометрического типа.

Симбионты — совместно существующие организмы, в определенной степени возлагающие один на другого задачи регуляции своих отношений с внешней средой.

Синтаксин — трансмембранный белок, компонент белкового комплекса SNARE, обеспечивающего слияние синаптической везикулы с пресинаптической мембраной и высвобождение нейромедиатора в синаптическую щель. Существует 4 изотипа синтаксинов. Синтаксин относится к подгруппе Q-SNARE. Молекула синапсина состоит из трех доменов: N-концевой регуляторный домен (Habc), комплексообразующий SNARE домен и С-концевой трансмембранный домен.

Синтения — это структурное сходство групп сцепления генов у организмов разных биологических видов. В частности, в геномах человека и мыши известно несколько десятков синтеничных групп генов. Наличие феномена синтении позволяет суживать круг поиска места локализации исследуемого гена на хромосомах, ограничивал его областью известных генов, принадлежащих к конкретной синтеничной группе.

Синторофизм — способность двух ауксотрофных штаммов микроорганизмов расти на синтетической питательной среде, не содержащей необходимой аминокислоты, лишь при их совместном культивировании.

Склероций — покоящаяся стадия гриба, образующаяся в неблагоприятных условиях; округлое или продолговатое тело, образуемое тесным сплетением гиф у некоторых сумчатых, базидиальных и несовершенных грибов — спорыньи, склеротинии, бразильского трутовика, монилии и др. Размеры склероция обычно от долей мм до 2 см, иногда более (так, у трутовика диаметр склероция достигает 30 см, масса 20 кг). Наружная часть склероция состоит из толстостенных и темноокрашенных клеток, внутренняя — из тонкостенных бесцветных клеток. Склероций беден водой (5—10 %) и богат питательными веществами. В благоприятных условиях склсроций прорастает, образуя плодовые тела (у сумчатых или базидиальных грибов) или грибницы с конидиями (у несовершенных грибов). Жизнеспособность склероция может сохраняться несколько лет. Склероции спорыньи содержат алкалоиды (эрготоксин, эргометрин, эрготамин и др.), используемые в медицине как родовспомогательные и кровоостанавливающие (при маточных кровотечениях) средства.

Смертность — процесс убыли населения вследствие смерти. В медицинской статистике — частота случаев смерти среди определенной совокупности населения (страны, города, района), определяемая, как правило, числом умерших за определенный период (год) на 1 тыс. населения.

Сортировка клеток с активированной флуоресценцией, флуоресцентный сортинг — метод проточной цитометрии, в котором мишени (клетки, индивидуальные хромосомы и т. п.) окрашены флуоресцентным красителем, возбуждающимся под воздействием лазерного луча. Разделение осуществляется на специальном приборе-сортере, критерием для сортировки материала служат различия в эмиссии флуоресцентного сигнала.

Спорадическая заболеваемость — характер заболеваемости, когда регистрируемые случаи единичны, разрозненны, т. е. когда преимущественно отсутствует эпидемиологическая или эпизоотическая связь между ними, а также с общим источником или общим фактором передачи возбудителя болезни.

Споры бактерий — овальные образования, представляющие собой особую форму существования клеток некоторых видов бактерий. Служат средством сохранения вида в неблагоприятных условиях. В почве могут сохраняться десятилетиями.

Средостение — анатомическое пространство в средних отделах грудной полости. Средостение ограничено грудиной (спереди) и позвоночником (сзади). Органы средостения окружены жировой клетчаткой. По бокам от средостения расположены плевральные полости.

Среды питательные — различные искусственные среды для культивирования микробов с целью выделения возбудителя болезни из исследуемого материала и определения его вида, для накопления микробной массы при изготовлении биологических препаратов. Каждая питательная среда содержит в достаточном количестве необходимые питательные вещества в стерилизованном виде.

Стерилизация — уничтожение различных микроорганизмов и их спор в различных объектах с помощью физических и химических факторов.

Стриатум — анатомическая структура конечного мозга, относящаяся к базальным ядрам полушарий головного мозга.

Сублимация — возгонка, один из методов консервирования пищевых продуктов, заключается в обезвоживании при низкой температуре и высоком вакууме. Продолжительность хранения сублимированных продуктов не более 2 лет. Этот метод используется в производстве стабильных с длительным сроком хранения живых вакцин.

Судебная микробиология — новая область криминалистики, предназначенная для анализа доказательств уголовных актов по актам биотеррора и биодиверсий позволяющая определить ответственную за них сторону и оправдать невиновных.

Таргетинг — мутирование генов в условиях in vivo.

Тахикинины — крупная группа нейропептидов. В нее входят пептиды, имеющие сходную С-концевую последовательность — Phe-X-Gly-Leu-Met-NH2, где под X обозначена алифатическая или ароматическая аминокислота. Гены, кодирующие предшественников тахикининов, называются препротахикинины. Название группа пептидов получила из-за способности вызывать сокращение кишечных тканей.

Тетрил (2,4,6-тринитрофенилметилнитрамин) — бризантное взрывчатое вещество; скорость детонации 7500 м/с при плотности 1,63 г/см3, теплота взрыва 4609 кДж/кг (1100 ккал/кг). Обычно его используют в капсюлях-детонаторах и в качестве промежуточных детонаторов.

Ткань интерстициальная — рыхлая волокнистая соединительная ткань, образующая строму паренхиматозных органов.

Токсинология — наука, изучающая свойства ядов животного, растительного и микробного происхождения и токсический процесс, вызванные отравлением ими. Может рассматриваться как раздел токсикологии, а также как междисциплинарная наука.

Токсины — вещества белковой природы растительного, животного, микробного или иного происхождения, обладающие высокой токсичностью и способные при их применении оказывать поражающее действие на организм человека и животных.

Токсичность — свойство химического вещества в минимальном количестве вызывать патологические изменения, ведущие к нарушению основных процессов жизнедеятельности организма и приводящие его к гибели. Токсичность — один из основных количественных параметров, отражающих биологическую активность токсинов.

Торакоцентез (плевроцентез, пункция плевральная) — прокол грудной стенки с введением иглы или троакара в плевральную полость; проводится с диагностической или лечебной целью.

Транслокон (транслокатор) — интегральный белковый комплекс, участвующий в транслокации новосинтезируемой полипептидной цепи в эндоплазматический ретикулум из цитоплазмы при экзоцитозе белков у эукариот.

Трансмиссивность — способность биологического поражающего агента передаваться кровососущими членистоногими (насекомыми и клещами).

Транспозаза — фермент, связывающий одноцепочечную ДНК и встраивающий последнюю в геномную ДНК. Транспозоны класса 2 кодируют транспозазу, которая позволяет транспозонам быть вырезанным из геномной ДНК и встроенным в другие места.

Транспозиция — перемещение генетического материала с одной хромосомной позиции на другую. Последовательности ДНК, действительно обладающие способностью изменять свою геномную локализацию, называются мобильными элементами или транспозиционными элементами. Существуют два механизма транспозиции: репликативная транспозиция — увеличивает количество транспозонов, так как исходный родительский транспозон остается на своем месте; нуждается в транспозазе (взаимодействует с концами родительского транспозона) и резольвазе (взаимодействует с дочерней копией), нерепликативная транспозиция — транспозон перемещается физически.

Транспозон — последовательность ДНК, способная перемещаться внутри генома в результате транспозиции.

Трансферрин — белки плазмы крови, осуществляющие транспорт ионов железа.

Трофозонты — вегетативные формы простейших.

Тучные клетки (мстоциты, лаброциты) — высокоспециализированные иммунные клетки соединительной ткани позвоночных животных аналоги базофилов крови. Участвуют в адаптивном иммунитете.

Условие — обстоятельство, от которого что-нибудь зависит.

Устойчивость — способность биологического поражающего агента сохранять жизнеспособность под воздействием факторов окружающей среды (температура, относительная влажность, наличие атмосферных загрязнений, солнечная радиация, кислород и др.). Количественным показателем устойчивости является скорость гибели агента (например, «скорость распада аэрозоля»).

Фагоцитоз — процесс активного захватывания и поглощения живых и неживых частиц одноклеточными организмами или особыми клетками (фагоцитами) многоклеточных животных организмов.

Фактор — существенное обстоятельство в каком-то процессе.

Факторы вирулентности — факторы бактерий, способствующие проникновению бактерий в макроорганизм, нейтрализации его механизмов защиты, собственному размножению и развитию болезни.

Факторы соответствия — более широкое понятие, чем факторы вирулентности. Это гены, факторы или аллели, найденные у бактерий, типичных представителей патогенного вида, разрушение которых снижает возможности этих бактерий к размножению в данной среде. Их комплементационное «возвращение» в геном бактерии восстанавливает ее способность поддерживаться в данной среде.

Фасцикуляция — непроизвольное сокращение отдельных пучков мышечных волокон в зоне, иннервируемой пораженными передними корешками или передними рогами спинного мозга.

Фациальная диплегия — маскообразное выражение лица.

Фибринолизин (плазмин) — фермент класса гидролаз присутствующий в плазме крови, катализирует расщепление фибрина, приводящее к растворению (фибринолизу) кровяного сгустка — тромба. В крови фибрин находится главным образом в форме неактивного профермента профибринолизина (плазминогена), который под действием ферментативных активаторов превращается в плазмин, нередко присутствует в комплексе с ингибитором — антиплазмином.

Филогенез, филогения — историческое развитие организмов. В биологии филогенез рассматривает развитие биологического вида во времени. Таксономия, классификация организмов по сходству, основана на филогенезе, но методологически отличается от филогенетического представления организмов. Филогенез рассматривает эволюцию в качестве процесса, в котором генетическая линия — организмы от предка к потомкам — разветвляется во времени, и ее отдельные ветви могут специализироваться относительно общего предка, сливаться в результате гибридизации или исчезать в результате вымирания.

Фуллерен (бакибол, букибол) — молекулярное соединение, принадлежащее к классу аллотропных форм углерода (другие — алмаз, карбин и графит) и представляющее собой выпуклые замкнутые многогранники, составленные из четного числа трехкоординированных атомов углерода.

Фурин — фермент, сериновая протеаза клеток животных, расположенная в аппарате Гольджи. Фурин по структуре напоминает бактериальный протеолитический фермент субтилизин. Фурин также известен под названием РАСЕ (англ. Paired basic amino acid cleaving enzyme — «фермент, расщепляющий белок в месте спаренных основных аминокислот»). Название «фурин» произошло от названия гена FUR (англ. FES upstream region), поскольку в 1986 г. соответствующая ему ДНК-последовательность была обнаружена в участке выше («upstream region») кода онкогена под названием FES. Помимо обработки клеточных белков-предшественников, фурин также участвует в активации ряда токсинов микроорганизмов и вирусов. В частности, расщепление фурином либо фуриноподобными протеазами необходимо для созревания оболочечных белков таких вирусов, как ВИЧ, вирус гриппа, папилломавирус и вирус Денге. Фурин играет важную роль в активизации экзотоксинов сибирской язвы и Pseudomonas. Этот фермент необходим для их расщепления при попадании в клетку, только после этого токсины становятся активными.

Химиопрепараты — химиотерапевтические средства, природные и синтетические соединения применяемые для лечения и профилактики инфекционных и неинфекционных болезней

Холинергический кризис — состояние, провоцируемое гиперактивностью ацетилхолина вследствие передозировки препаратов, блокирующих фермент, который дезактивирует ацетилхолин (препараты антихолинэстеразы). Наблюдаются подергивание мышц паралич, потливость, повышенное слюноотделение, бледность, сокращение зрачков. Таким действием обладают нервнопаралитические ОВ.

Цервикальная дистония (спастическая кривошея) — дистоническое заболевание, вид кривошеи, в которой неправильное положение головы вызвано патологическим напряжением мышц шеи.

Цинковый палец — тип белковой структуры, небольшой белковый мотив, стабилизированный одним или двумя ионами цинка, связанными координационными связями с аминокислотными остатками белка. Как правило, цинковый палец включает около 20 аминокислот и ион цинка связывает 2 гистидина и 2 цистеина. Цинковые пальцы являются белковыми модулями взаимодействующими с ДНК, РНК, другими белками или небольшими молекулами. Основной группой белков с цинковыми пальцами являются ДНК-связывающие факторы транскрипции.

Штамм — культура микроорганизмов одного вида с одинаковыми морфологическими и биологическими свойствами. Штаммы микроорганизмов могут отличаться друг от друга по вирулентности, чувствительности к антибиотикам, способности к токсинообразованию.

Штаммы агента с измененными или редко встречающимися свойствами — штаммы биологического поражающего агента, имеющие свойства, затрудняющие типовое лечение вызванных ими поражений. Например, возбудитель чумы, устойчивый к стрептомицину, или возбудитель сибирской язвы, устойчивый к антибиотикам β-лактамного ряда.

Эйфория — повышенное, радостное настроение, чувство довольства, благополучия, не соответствующие объективным обстоятельствам. У лиц с эйфорией, как правило, преобладает оптимистическая оценка окружающего, противоположные аффекты им недоступны. Может сочетаться как с ускоренным течением мыслей, склонностью к образному фантазированию, активной, но малопродуктивной деятельностью, расторможением влечений, так и с замедленностью психических процессов, пассивностью, вялостью, отсутствием побуждений.

Экзон — часть гена, кодирующая участок структуры его продукта (белка, РНК). В ходе экспрессии гена экзоны образуют зрелую информационную РНК.

Экзоспорий — наружная толстая оболочка споры, покрытая часто снаружи шипиками, бугорками, гребнями.

Эктодерма — наружный зародышевый листок, из которого в раннем утробном периоде развивается кожный эпителий или эпидермис, и нервная система.

Эндоплазматический ретикулум (эндоплазматическая сеть) — внутриклеточный органоид эукариотической клетки, представляющий собой разветвленную систему из окруженных мембраной уплощенных полостей, пузырьков и канальцев. При участии эндоплазматического ретикулума происходит трансляция и транспорт белков, синтез и транспорт липидов и стероидов. Для эндоплазматического ретикулума характерно накопление продуктов синтеза. Принимает участие в создании новой ядерной оболочки (например, после митоза).

Эндотелий — специализированные клетки животных и человека, выстилающие внутреннюю поверхность кровеносных и лимфатических сосудов, а также полостей сердца. Представлен однослойным пластом тесно прилежащих друг к другу плоских клеток, обычно отграниченных от подлежащих тканей базальной мембраной.

Эндоцитоз — процесс захвата (интернализации) внешнего материала клеткой, осуществляемый путем образования мембранных везикул. Различают фагоцитоз, пиноцитоз и рецептор-опосредованный эндоцитоз.

Эпидемиологический надзор (эпизоотологический мониторинг) — система динамического и комплексного слежения за эпидемическим (эпизоотическим) процессом инфекционной болезни на определенной территории, включающая сбор, передачу, анализ и оценку эпидемиологической информации в целях разработки рекомендаций по профилактике и борьбе.

Эпидемическая ситуация (эпизоотологическая обстановка) — характеристика распространенности инфекционно (паразитарной) болезни или их совокупности на конкретной территории за определенное время.

Эпидемия — массовое поражение всего населения или отдельных его контингентов инфекционной (паразитарной) болезнью

Эпимеры — это диастереоизомеры (см. выше), которые отличаются по конфигурации только одного хирального центра.

Эукариоты — организмы, у которых: 1) имеется ядро, где содержатся хромосомы; 2) в цитоплазме присутствуют различные органеллы — митохондрии, хлоропласты и т. д. К эукариотам относятся животные, растения, грибы, дрожжи, некоторые водоросли.

СПИСОК ЛИТЕРАТУРЫ

Абу Бакр Мухаммад ибн Закария ар-Рази. Книга об оспе и кори // В кн. Губерта В. О. Оспа и оспопрививание. СПб., 1896. С. 26–60.

Ajduee В. И. История Древнего Востока. М… 1953.

Аииновицкий А. Я. Химическая война и оборона СССР. М., 1927.

Авиценна (Абу Али Ибн Сина). Канон врачебной науки. Книга IV. Ч 1 Ташкент, 1980.

Агбунов М. Античные мифы и легенды. М… 1993,

Азарьев С. Микробное оружие // Военная мысль 1938. № 12. С. 97—105.

Акинфеева Л. А., Аксенова О. И., Василевич И. В. с соавт. Случай вирусной геморрагической лихорадки Эбола // Инфекционные болезни. 2005. Т. 3. № 1. С. 85–88.

Александренков Г., Александрова Н., Бутырский М. с соавт. Энциклопедия «Древний мир». М, 2005.

Александре В. Н., Емельянов В. И. Отравляющие вещества. М., 1990

Алексеев В. В., Тихонов Н. Г., Вязьмина Т. Н. с соавт. Патогенез, патологическая анатомия и патологическая морфология мелиоидоза // Мелиоидоз. Сб. науч. тр. Под ред. Н. Г. Тихонова. Волгоград. 1995. С 91-119.

Атухов Ю. П. Генетические процессы в популяциях. М., 2003.

Альбедиль М. Ф. В магическом круге. СПб., 2002.

Альберте Б., Брей Д., Льюис Дж. с совт. Молекулярная биология клетки. В 3 т. // Пер. с англ. под ред Г. П. Георгиева и Ю. С. Ченцова. М., 1994

Альтман X. Ядозитые растения. Ядовитые животные. М., 2004.

Андерсон Р., Мэй Р. Инфекционные болезни человека. Динамика и контроль. М., 2004.

Андрианов А. В. Экологическая безопасность дальневосточных морей России, Владивосток, 2009 (http://www.biosoil.ru/hydro/Xrneet/05.pdf).

Анисимов А. П. Факторы Yersinia pestis, обеспечивающие циркуляцию и сохранение возбудителя чумы в экосистемах природных сообществ. Сообщения 1 и 2 // Молекуляр. ген., микробиол. вирусол. 2002. № 3. С 3-23. Ns 4. С. 3–11.

Антонов Н. С. Химическое оружие на рубеже двух столетий. М., 1994.

Аудашев А. Н Зажигательное и огнеметное оружие. М, 2009.

Арожелас Л. К. Высушивание микробов и бактерииных препаратов из замороженного состояния под вакуумом // Труды Московского городского НИИ эпидемиологии и бактериологии. 1952. Выл. 5. С. 298–312.

Архангельский Г. Ф. Амбулантные формы чумы (pestis ambulans) и ее значение в эпидемиологии // Сборник сочинений по судебной медицине, судебной психиатрии, медицинской полиции, общественной гигиене, эпидемиологии, медицинской географии и медицинской статистике. 1879. Т. 1. С. 132–193.

Архангельский Г. Ф. Холерные эпидемии в Европейской России за 50-летний период 1823–1872 гг. СПб., 1874.

Атарова К.Н. Вымысел или документ? // В кн. Дефо Д. Дневник чумного города. М., 1997.

Барбье А. Введение в химическую экологию. М., 1978.

Беланов Е. Ф., Гуськов А. А., Сокунова Е. Б. с соавт. Выживаемость вируса натуральной оспы в корочках от больных // Докл. РАН. 1997. Т. 354. С. 832–834.

Берестнев И. М. О чумных заболеваниях в лаборатории в форте Александр I в Кронштадте в феврале 1907 г. // Арх. биол. наук. 1907. Т. XIII. № 3. С. 271–289.

Берестнев Н. М. Русская чумная лаборатория. М., 1907.

Беркоуз Р., Флетчер Э. Руководство по медицине. М., 1937.

Библия в гравюрах Гюстава Доре. М., 1996.

Билаи В. И., Пидопличко И. М. Токсинообразуюшие микроскопические грибы. Киев, 1970.

Блюменталь И. Бактериологическая война (сокращенный обзор) // Военно-медицинский журнал 1932. Т. III. Вып. 2. С. 167–175.

Блюменфельд М. Л. Из официальных итогов эпидемии чумы в г. Харбине // Сибирская врачебная газета. 1911. № 42. С. 507–509.

Богданов И. Л. К клинике кишечной формы антракса // Клин. мед. 1935. № 8. С. 1228–1232.

Богоявленский В. Ф., Богоявленский И. Ф. Клиническая диагностика и неотложная терапия острых отравлений. М, 2002.

Богуцкий В.М. Эпидемия чумы в Харбине и его окрестностях. Противочумное бюро. Харбин. 1911.

Болдырев Т. Е. Опыт советской медицины в Великой Отечественной войне 1941–1945 гг. М., 1955.

Борисевич И В., Воробьева М. С., Гайдерова Л. А. с соавт. Медицинские иммунобиологические препараты. М., 2010.

Борисевич И. В., Маркин В. А., Фирсова И. В с соавт. Эпидемиология, профилактика, клиника и лечение геморрагических лихорадок (Марбург, Эбола, Ласса и Боливийской) // Вирусология. 2006. № 5. С. 8–16.

Борисов Л. Б. О глубинном культивировании бактерий // Важнейшие инфекционные болезни. Л., 1959.

Бразоль Л. Е. Дженнеризм и Пастеризм, критический очерк оснований оспопрививания Харьков, 1875.

Брода П. Плазмиды. М., 1982.

Брокгауз и Ефрон. Энциклопедический словарь. СПб., 1890–1907.

Бургасов П. Н. Я верил… М, 2001.

Бургасов П. И., Николаевский Г. П. Натуральная оспа. М., 1972.

Бургасов П. И., Рожков Г. И. Сибирская язва М, 1984.

Бывалов А. А. Молекулярная чумная вакцина. Екатеринбург, 2011.

Васильев Д. Б Кудрявцев С. В., Шумаков О. В. Руководство по технике безопасности, методам работы с ядовитыми змеями в зоопарковских условиях, профилактике и лечению укусов. М., 1997.

Вертиев Ю. В. Бактериальные токсины: биологическая сущность и происхождение // Журн. микро-биол. 1996. № 3. С. 43–46.

Вершилова П. А. с соавт. Бруцеллез. М., 1972.

Вершилова П. А. с соавт. Бруцеллез. Организационно-методические материалы. М., 1968.

Вершиюва П. А., Руднев Г. П. Бруцеллез // Руководство по микробиологии, клинике и эпидемиологии инфекционных болезней. М., 1964. Т. VI. С. 255–339.

Владимиров С. Наш человек в гестапо, или Кто был прообразом Штирлица // Независимое военное обозрение. 2010. № 19. С. 13–14.

Волков А. Что там, за маревом страхов? // Знание-сила. 2001 № 12. С. 3–7.

Вопросы противобактериологической зашиты / Под ред. П. Ф. Здродовского. М., 1960

Воронин А., Зимкин Н. В ФБР и ЦРУ практически уверены: «почтовая эпидемия» сибирской язвы — дело рук американских экстремистов // Июги. 2001. № 44 (6 ноября). С. 13–16.

Высокович В. К., Чистович Н. Л. О природе Колобовской эпидемии // Больничная газета С. П. Боткина 1900. Т. V. Вып. 1. С. 131–135.

Высокович В.К. Предварительное сообщение о результатах, добытых русской экспедицией, командированной для изучения чумы в Бомбее // Русский архив патологии, клинической медицины и бактериологии. 1897. № 4 С, 387–390.

Вязьмина Т. Н., Тихонов Н. Г., Алексеева В. В. с соавт. Патогенез, патологическая анатомия и патологическая морфология сапа // Сап. Сборник научных трудов. Под ред. Н. Г. Тихонова. Волгоград. 1995 С. 50–73.

Габричевский Г. Н. Медицинская бактериология. М., 1907.

Гайслер Э. с соавт. Биологическое и токсинное оружие сегодня. SIPRF. London, 1986.

Гальперин Э. А. Клиника оспы и прививочных реакций. М., 1962.

Гамалея Н. Ф. История оспы М., 1913.

Гаммериан Л. Ф., Гром И. И. Дикорастущие лекарственные растения СССР. М., 1976.

Гезер Г. История повальных болезней. СПб., 1867

Гейрот Ф. Медикопрактическое описание о болезни, так называемой Сибирскою СПб., 18С7.

Гирш А Индийская чума // Военно-медицинский журнад. 1853. Часть LXII (III). С. 29–48.

Головин Ю. И. Введение в нанотехнику. М, 2007.

Горбунов Е. А. Схватка с черным драконом. Тайная война на Дальнем Востоке. М., 2002.

Гос В. И. К экспериментальной чумной пневмонии // Архив биологических наук. 1907. Т. XIII. № 3. С. 311–333.

Грачев О. Е, Елагин Г. Д., Дубровин М. Ю. с соавт. Патент Российской Федерации 2230325(13) С2, МПК G01N33/531, А61К39/08 Способ приготовления очищенного препарата ботулинического токсина типа А / заявитель Научно-исследовательский институт микробиологии Министерства обороны Российской Федерации; заявл. 15.08.2002. 2002122179/13: опубл 10.06.2004.

Гринберг Л. М. Патологическая анатомия и некоторые вопросы морфо-, пато- и танатогенеза ингаляционной формы сибирском язвы человека. Дис докт. мед. наук. Екатеринбург, 1995

Губерт В О. Оспа и оспопрививание. СПб, 1896.

Гугерсгоф Ф. Специальный каталог на бактериологические препараты и приборы (Лейпциг-Москва, Московское отделение, Рождественский бульвар, дом Маттерн). М., 1908.

Гусев А. И. Наноматериалы, наноструктуры, нанотехнологии. М., 2007.

Гусьтин И. А. Токсикология ядовитых растений. М., 1962.

Де Лазари А. Н. Химическое оружие на фронтах мировой войны. М, 1935.

Девис Ли. Природные катастрофы. Смоленск, 1997

Делюмо Ж. Ужасы на западе. М., 1994.

Дербек Ф. И. История чумных эпидемий в России. СПб., 1905.

Деревянко В. С. Влияние аэродинамических возмущений на процессы авиационного опыливания и опрыскивания. М., 1974.

Дефо Д. Дневник чумного года. М., 1997.

Джалилов К. Д. Бруцеллез. Ташкент, 1979.

Джеймс П., Торп Н. Древние изобретения. Минск, 1977.

Дженнер Э. Исследование причин и последовательного действия Variulae vaccinae, болезни, открытой в некоторых западных графствах Англии, преимущественно в Глочестере и известной под именем коровьей оспы // В кн. Губерта В. О. Оспа и оспопрививание. СПб, 1896. С. 372–397.

Дмитриев И Случай массового подкожного заражения сибирской язвой во время антирабических прививок // Гигиена и эпидемиология. 1928. № 10. С. 64–74.

Доклад Международной научной комиссии по расследованию фактов бактериологической войны в Корее и Китае. Пекин, 1952.

Домарадский И. В. Чума М., 1998.

Дробинский И. Р. Проблема бактериальной войны и противобактериальная защита // Труды Украинского Мечниковского института. 1940. Т. VI. С. 87—123

Дроздове. Г., Гарин Н. С., Джиндоян Л. С. С., Тарасенко В М. Основы техники безопасности в микробиологических и вирусологических лабораториях. М., 1987.

Дрюмон Э. Еврейская Франция. Харьков, 1895.

Дубровинский С. Б. Оспа и оспопрививание. М., 1964.

Егорышева И. В. Гончарова С. Г. Вклад принца А. П. Ольденбургского в развитие российской медицины // Военно-медицинский журнал. 2004. Т. 325 № 5. С. 66–70.

Езепчук Ю. В. Патогенность, как функция биомолекул. М., 1985.

Ермаков Н. А., Иванов О. К., Ицков А. H. и др. Очерки истории российской внешней разведки. Т. 1. М., 1995.

Жемчугов В. Е. Как мы делали вакцины. М., 2004.

Жикур Я. Химическое оружие в современной войне. М., 1936

Жимулев И. Ф. Общая и молекулярная генетика. Новосибирск. 2002.

Зам П., Линкин Г. Рецензия на статью Karszkowski J. «Бактериальная война» // Военно-санитарное дело. 1936. № 12 С. 58–59.

Захаров П. В, Беляев Т. Н., Ведьмовский Б. П. Эпидемиология легочной чумы в Приморской области и в г. Владивостоке в 1921 году. Владивосток, 1922.

Звонарев К. К. Агентурная разведка. М. 2005.

Здродовский П. Ф., Голиневич Е. М. Учение о риккетсиях и риккетсиозах. М., 1972.

Златогоров С. И. Учение о микроорганизмах. СПб., 1916.

Золотарев А Г., Дармов И. В., Пименов Е. В Возбудители особо опасных инфекционных заболеваний бактериальной природы. Морфология и ультраструктура. М., 2006.

Зуева Л. П., Яфаев Р. X. Эпидемиология. СПб… 2006.

Иванов И. А., Богач В. В. Оружие вне закона: Кто готовит бактериологическую войну? Хабаровск, 1989.

Ивашенцов Г. А. Курс острых инфекционных болезней. Д., 1948.

Илюхин В. И., Батманов В. П. Клиника и лечение мелиоидоза // Мелиоидоз. Сб. науч. тр. Под ред Н. Г Тихонова. Волгоград. 1995. С 142–161.

Илюхин В. И., Батманов В. П., Лозовия Н. А. Клиника и лечение сапа // Сап. Сб. науч тр. Под ред. Н Г. Тихонова. Волгоград, 1995. С. 85—100.

Илюхин В. И., Замараее В. С., Каплиев В. И. Микробиология Pseudomonas mallei // Мелиоидоз. Сб. науч. тр. Под ред. Н. Г. Тихонова. Волгоград, 1995. С 7—19.

Ипатенко Н. Г., Гаврилов В. А., Зелепукин В. С. с соавт. Сибирская язва. М., 1996.

Капустин А. К. Бактериологическая война // Химия и оборона. 1939. № 5. С. 22.

Каракулов И. К., Борисов В. Д. Эпидемиология, эпизоотология и лабораторная диагностика лихорадки Ку. Алма-Ата. 1966

Касторский Е.С. Эпидемия легочной чумы на Дальнем Востоке в 1910–1911 гг. и меры борьбы с нею. Иркутск, 1911.

Кашкадамов В. П. Альбом снимков чумных больных. СПб., 1902.

Керлей П., ДайтЛ., Посси Р. с соавт. Патент 2156300, RU, МПКС12Х115/33, C12N15/86, А01 N63/00. Дата публикации: 2000-09-20.

Киттеридж Дж. Л. Колдовство в Средние века. СПб., 2005.

Климентова А., Крук Р., Ярмомчик Г. Консервирование бактериологических и биологических препаратов высушиванием при высоком вакууме // Журн. микробиол. эпидемиол. иммунобиол. 1942. № 7. С. 14–22.

Клонирование ДНК / Под ред. Д. Гловера. М., 1988.

Клотц Г. Бактериологическое оружие // Военный зарубежник. 1937. № 12. С 19–31.

Коберт P. Compendium практической медицины. Руководство для врачей и студентов. Дерпт, 1888.

Козлов М. П., Султанов Г. В. Эпидемические проявления чумы в прошлом и настоящем. Махачкала, 1993.

Колпакиди А. И., Прохоров Д. П. КГБ. Спецоперации советской разведки. М., 2000.

Конвенция о запрещении разработки, производства и накопления запасов бактериологического (биологического) и токсинного оружия и об их уничтожении // Сборник документов и материалов, регламентирующих обеспечение выполнения Российской Федерации международных обязательств по запрещению биологического и токсинного оружия. М., 2004.

Конвенция о запрещении разработки, производства, накопления и применения химического оружия и о его уничтожении. ООН, 1993.

Коновалова Г.В. «Красные приливы» у Восточной Камчатки (Атлас-справочник). Составитель А. М. Токранов. Петропавловск-Камчатский, 1995

Коновалова Н. В., Могильникова Т. А. Токсичный фитопланктон и содержание биотоксинов в тканях гребешка // Фундаментальные исследования. 2006. № 9. С. 102–103.

Кошкин А. А. «Кантокуэн» — «Барбаросса» по-японски. М., 2011.

Краевский А. Бутерброд со смертью // Focus.pl. 2009.10 июня (http://perevodika.ru/articles/12652.html).

Кравченко А. Т., Руднев Г.П. Сап // Руководство по микробиологии, клинике и эпидемиологии инфекционных болезней. М., 1966. Т. VII. С. 327–346.

Кремлев С. Россия и Япония: стравить. М., 2005.

Кроткое Ф. Г. «Бактериальная война» на Дальнем Востоке // Военно-санитарное дело. 1939. № 9. С. 81–82.

Кроткое Ф. Г. Угроза бактериологической войны // Военно-санитарное дело. 1939. № 4. С. 64 74.

Кузник Б. И. Физиология и патология системы крови. М., 2004.

Кукридж Э. Европа в огне. Диверсии и шпионаж британских спецслужб на оккупированных территориях 1940–1945. М., 2003.

Кулеша Г. С. К патологической анатомии легочной чумы. Поражение при легочной чуме слизистых оболочек верхних дыхательных путей // Вестник микробиологии и эпидемиологии. 1924. Т. 3. С. 239–243.

Кулеша Г. С. О патологической анатомии легочной чумы по данным последней эпидемии в Маньчжурии // Русский врач. 1912. Т. 11. № 15. С. 502–503.

Купер Э. Сравнительная иммунология. М., 1980.

Курилов В. Я., Фарбер С. М., Ломова Л. В. с соавт. Бактериальные токсины. М., 1987. С. 81–86.

Курляндский Б. А.,Филов В. А., Безель В. С. с соавт. Общая токсикология. М., 2 °C2.

Куценко С. А. Основы токсикологии. СПб., 2004.

Ларионов Г. М. Эпидемиология и профилактика сапа // Сап. Сб. науч. тр. Под ред. Н. Г. Тихонова. Волгоград, 1995. С. 100–109.

Ларионов Г. М., Гавенский С. Д., Погасий Н. И. с соавт. Эпидемиология и профилактика мелиоидоза // Мелиоидоз. Сб. науч. тр. Под ред. Н. Г. Тихонова. Волгоград, 1995. С. 161–195.

Либинсон И. М. Химия в войне. М., 1926.

Литре А. Медицина и медики. СПб., 1873.

Литусов Н.В., Васильев Н. Т., Васильев П.Г. и др. Патоморфогенез сибирской язвы. М. 2002.

Лихачев. Вопросы химической и бактериологической войны в иностранной военно-санитарной литературе // Здравоохранение 1929 N° Д. С. 100 105.

Лобан К. М., Лобзин Ю. В., Лукин Е. П. Риккетсиозы у человека М, 2002.

Лобанов В. Н. Чума у верблюдов и ее эпидемиологическое значение. Саратов, 1968.

Лозинский С. Г. История папства. М., 1986.

Лотоцкий С. С. с соавт. Война в Корее 1950–1953 гг. СПб., 2000.

Лоуренс Д. Р., Бенитт П. Н. Клиническая фармакология. М., 1993.

Люльма Х., Мор К., Хайн Л. Наглядная фармакология. М., 2008.

Макиннис П. Тихие убийцы. М 2008.

Млниатис Т., Фрич Э., Сэмбрук Дж. Молекулярное клонирование М., 1984.

Маренником С. С. Опа. Алястрим. Ветряная оспа. Оспа животных / Руководство по микробиологии, клинике и эпидемиологии инфекционных болезней. М, 1966. Т. VIII. С. 443–502.

Маренникива С. С., Щелкунов С. Н. Патогенные для человека ортопоксвирусы. М., 1998.

Маренникова С.С., Гашнико «П. В., Жукова О. А. и др. Биотип и генетическая характеристика изолята вируса оспы коров, вызвавшего инфекцию у ребенка // Журн. микробиол. эпидемиол. иммуно-биол. 1996. № 4. С. 8–10.

Маринин Л. И., Онищенко Г. Г., Степанов А. В. и др. Микробиологическая диагностика сибирской язвь. М., 1999.

Мартиневский И. Д., Молляре Г. Эпидемия чумы в Маньчжурии в 1910–1911 гг. М., 1971.

Марценак. Бактериологическое оружие в современной войне // Советская ветеринария. 1935. № 4. С. 88–90; № 5. С. 92–95.

Матвеев К. И Ботулизм. М., 1959.

Матвеев К И., Быченко Б Д. Мелиоидоз // Руководство по микробиологии, клинике и эпидемиологии инфекционных болезней. М., 1966. Т. VII. С. 346–375.

Матвеев К. И, Булатова Т. И. Ботулизм / Руководство по микробиологии клинике и эпидемиологии инфекционных болезней. М., 1966. Т. VI. С. 183–210.

Медико-санитарные аспекты применения химического и бактериологического (биологического) оружия. Доклад группы консультантов ВОЗ. Женеьа, 1972

Меринова Л. К., Агеева Н. П. Генетика Pseudononas mallei // Сап. Сб. науч. тр. Под ред. Н. Г Тихонова. Волгоград, 1995. С. 19–30.

Меринова Л. Гришкина Т. А., Тарасова Т. Д. с соавт. Генетика возбудителя мелиоидоза // Мелиоидоз. Сб. науч тр. Под ред. Н. Г. Тихонова. Волгоград, 1995. С. 27–47.

Мессарски Н. Бактериологическое оружие и защита от него. София, 1955.

Миллер Н. Ф. Оспопрививание. М., 1887.

Минх Г. И. Чума в России (Ветлянская эпидемия 1878–1879 гг.). Киев, 1898.

Молодяков В. Э. Россия и Япония: меч на весах. М, 2004

Молодяков В. Э. Россия и Япония; поверх барьеров, М., 2005.

Моримура Сэйти. Кухня дьявола. М., 1983.

Муравьева Д. А. Тропические и субтропические лекарственные растения. М, 1983.

Мураками X. Подземка. М., 2006

Мусселиус С. Г., Рык А. А. Отравление грибами. М, 2002.

Ненахов Ю. Ю. «Чудо-оружие» Третьего рейха. Минск, 1999

Нетесов С. В. Инфекции; новые угрозы в XXI веке // Мол. мед. 2004 № 4. С. 41—49

Никифоров В. Н. Кожная форма сибирской язвы. М., 1973.

Никифоров В. В., Мельникова, 7. И., Зарьков К. А. с соавт. Сап случай из практики // Инфекционные болезни. 2005. Т. 3. № 1. С. 89–92.

Николаев Н. И. Чума в Маньчжурии. Дис… д-ра мед. наук. Киров, 1949.

Николаев Н. И. Чума. М., 1968

Носов К. С. Осадная техника Античности и Средневековья. СПб., 2003.

Огарков В. И., Гапочко Н. Г. Аэрогенная инфекция. М., 1975.

О методах и приемах иностранных разведывательных органов и их троцкисто-бухаринской агентуры (сборник). М., 1937

Овчинников Ю. А. Природные токсины в изучении основ нервной проводимости // Фундаментальные науки — медицине. М. 1980

Олсуфьев Н. Г., Руднев Г. П., Дунаева Т. П. с соавт. Туляремия М, 1960.

Олсуфьев Н. Г., Доброхотов В. П. Туляремия // География природноочаговых болезней человека с задачами их профилактики. М., 1969.

Олсуфьев Н. Г., Дунаева Т. Н. Природная очаговость, эпидемиология и профилактика туляремии. М., 1970.

Олсуфьев Н. Г., Лелеп П. П. Значение слепней в распространении сибирской язвы // Паразиты, переносчики и ядовитые животные. Л., 1935.

Олсуфьев Н. Г., Руднев Г. П. Туляремия // Руководство по микробиологии, клинике и эпидемиологии инфекционных болезней. М., 1966. Т VII. С. 190–234.

Онищенко Г. Г. Биотерроризм как угроза безопасности. Оценка готовности медицинских учреждений к противодействию биотерроризму // Вестник РАМН. 2003. № 4. С. 38–45.

Онищенко Г. Г, Федорсв Ю. М., Тихонов Н. Г, ссоавт. Противодействие биологическому терроризму как новая проблема эпидемиологии // Эпидемиол. и инфек. болезни. 2003. № 2. С. 4–6.

Онищенко Г. Г., Шапошников А. А., Субботин В. Г. с соавт. Противодействие биологическому терроризму. М., 2003

Орлов А С., Гаврилов В. А. Тайны Корейской войны. М, 2003.

Орлов Б. Н., Гелашвили Д. Б. Зоотоксинология (ядовитые животные и их яды). М., 1985.

Орлов Б.Н., Гелашвили Д. Б., Ибрагимов А. К. Ядовитые животные и растения СССР. М., 1990.

Очкур П. П. Патологическая морфология бруцеллеза у человека. Алма-Ата, 1951.

Очкур П. П. Патологическая морфология и патогенез Ку-риккетсиоза // В кн. Каракулов И. К., Борисов В. Д. Эпидемиология, эпизоотология и лабор. диаг. лихорадки Ку. Алма-Ата, 1966.

Павлович М. П. Химическая война и химическая промышленность. М., 1925.

Павловский £ Н. Ядовитые животное Средней Азии. Сталинабад, 1950.

Павсаний. Описание Эллады (перевод С. П Кощюатьева). М., 2002.

Первушин Б. П. Сибирская язва в Омском округе в эпизоотию 1929 года // Архив Омского медицинского института. 1936. Кн. 2. С. 351–377.

Петефис Ж-Х. Дело о ядах. М., 2001.

Петрович С. В. Микотоксикозы животных. М., 1991.

Петрянов-Соколов И. С., Сутугин А. Г. Аэрозоли. М., 1989.

Пехов А. П. Генетика бактерий. М., 1977.

Пиблз К. Тайные полеты. Смоленск, 2002.

Пигулевский С. В. Ядовитые животные. Токсикология позвоночных. Л., 1966.

Пигулевский С. В. Ядовитые животные. Токсикология беспозвоночных. Л., 1575.

Покровский В. В. с соавт. ВИЧ-инфекция: клиника, диагностика и лечения М., 2003.

Пономарев Ю. Малая химическая война Вермахта // Калашников. Оружие, боеприпасы, снаряжение. 2011. № 10. С 49–53.

Попелянский Я Ю., Фокин М. А., Пак С. Г. Поражение нервной системы при ботулизме, М, 2000.

Плецитный Д. Ф. Экспериментальное изучение патогенеза столбнячной интоксикации. М., 1958.

Прасолов В. С., Иванов Д. С. Ретровирусные векторы в генной терапии // Вопр. мед. хим. 2000. № 3.

Рейте В. К вопросу о прививании предохранительной коровьей оспы. СПб., 1874.

Рейтц В. Критический взгляд на оспопрививание. СПб., 1873.

Ривер Л. Центр германской секретной службы в Мадриде в 1914–1918 гг М., 1938.

Риверс Т. Вирусные и риккетсизные инфекции человека. М., 1955.

Рихтер В. М. Geschichte der medizin in Russiand. М., 1813–1817.

Рихтер В. М. История медицины в России. М., 1814

Ричиути Э. Р. Опасные обитатели моря. М., 1979

Розанов П. Г. Отдельное мнение о Колобовской эпидемии // Больничная газета С. П. Боткина. 19и0, 12 июня.

Розбери Т., Кабат Э. Бактериологическая война. М., 1955.

Ронин З. Своя разведка: способы вербовки агентуры, методы проникновения в психику, форсированное воздействие на личность, технические средства скрытого наблюдения и съема информации. Минск, 1997.

Ротшильд Д. Оружие завтрашнего дня. М., 1966.

Роше М. Моя разведывательная работа. М., 1938.

Руднев Г. П. Антропозоонозы. М., 1970.

Руководство к токсикологии, составленное по Рабюто «Elements de Toxicologies // Под ред. Е. Пеликана. СПб., 1878.

Руководство по вакцинопрофилактике особо опасных инфекций / Под ред. Борисевича И. В., Дармова И. В. Киров. 2011.

Руководство по зоонозам / Под ред В. М. Покровского Д., 1983.

Рыбкин В. С., Тихонов Н. Г., Жукова С. И. и др. Иммунология сапа // Сап: Сб. науч. тр. Под ред. Н. Г. Тихонова. Волгоград, 1993. С. 73–84.

Casarini // Arch. med. Beilges. 1928. № 3.

Сакаки. Бактериологическая война // Сэндэй Майничи. 1952 № 1682 от 27 января.

Санитарно-эпидемиологические правила СП 1.3.2372-08 «Безопасность работы с микроорганизмами III–IV групп патогенности (опасности) и возбудителями паразитарных болезней» (с изменениями от 2 июня 2009 г., 29 июня 2011 г.) (http://base.garant.ru/121606Cl/).

Саркисов И. З. Бактериальная война. Ростов-на-Дону, 1940,

СарториА., Сартори Р. Бактериологическая война, (пер. с франц. 3. Орской под ред и с предисловием проф. И. Великанова) М., 1936.

Сатановский Е. Я. Россия и Ближний Восток. Котел с неприятностями. М., 2012.

Сборник сообщений Чрезвычайной государственной комиссии о злодеяниях немецко-фашистских захватчиков. М., 1946.

СеренкоА. Ф. Заносные вспышки натуральной оспы. М, 1962.

Ситников М. Н. Поражаюшее действие бактериологического оружия и некоторые медицинские вопросы зашиты // Журн. Всесоюз. Хим. общ. им. Д. И. Менделеева. 1968. Том XIII. № 6. С. 637–648

Скороходов Л. Я. Материалы по медицинской микробиологии в дореволюционной России. М., 1948.

Славин С. Н. Секретное оружие Третьего рейха. М., 1999

Смирнов Г. Б. Механизмы приобретения и потери генетической информации бактериальными геномами // Усп. совр. биол. 2008. Т. 128. № 1. С. 52–76.

Смирнов Е. И. Война и военная медицина М., 1979

Соколов Н. Химическая война. Минск, 1924.

Сперанский Н. Ведьмы и колдовство // История инквизиции. Средневековые процессы о ведьмах. Харьков, 2001.

СС в действии. Документы о преступлениях СС. М., 1969.

Сталлибрас К. Основы эпидемиологии. М., 1936.

Страхович И. В., Гос В. И. Чумные эпидемии в Астраханской губернии в 1900–1901 гг. // Сборник работ по чуме. Вып. 2. 1907. СПб. С 43–92.

Судебный отчет по делу антисоветского и правотроцкистского блока. М., 1938.

Суздалев И. П. Физико-химия нанокластеров, наноструктур и наноматериалов. М., 2004

Сунцов В. В., Сунцова И. И. Чума. Происхождение и эволюция эпизоотической системы М. 2006.

Супотницкий М. В., Полевщиков С. И., Желнина Т. Б. с соавт. Способ трансформации микроорганизмов. Патент 2052505, 25.02.92, RU, МКИ С12 N 15/87,13/00.

Супотницкии М. В., Кравец И. Д., Новикова О. В. Специфическая профилактика экспериментального сапа порином из Pseudomonas mallei // Ветеринария. 1995. № 3. С. 24–26.

Супотницкий М. В. Протективные свойства порообразующих белков патогенных бактерий // Вестник Российской академии медицинских наук. 1996. № 8. С, 18–22.

Супотницкий М. В. Общие закономерности и типовые приемы в конструировании генно-инженерных токсинов // Сборник докладов межучережденческой конференции «Средства защиты от опасных и особо опасных инфекционных заболеваний» Киров, 1997. С. 144–162.

Супотницкий М. В. ДНК-иммунизация в профилактике инфекционных болезней сельс ^хозяйственных животных // Ветеринария. 1998. № 5. С. 18–24.

Супотницкии М. В. Микроорганизмы, токсины и эпидемии. М., 2000, 2005 (2-е изд.).

Супотницкий М. В., Супотницкая Н. С. Очерки истории чумы. М., 2006.

Супотницкий М. В. Эволюционная патология. К вопросу о месте ВИЧ-инфекции и ВИЧ/СПИД-пандемии среди других инфекционных, эпидемических и пандемических процессов. М., 2009.

Супотницкий М. В., Поклонский Д. Л, Паныгина С. А. Токсичность наночастиц // Актуальные про блемы биологической зашиты войск и населения. Матер. Всерос. науч. — прак. конф., поев. 60-летию филиала ФГУ «48 ЦНИИ Минобороны России — ЦВТП БЗ». Екатеринбург, 2009. С. 41–44.

Супотницкий М.В. Героиновая сибирская язва в Шотландии и Германии // Биопрепараты. 2011. № 1. С. 40–44.

Супотницкий М. В. Генотерапевтические векторные системы на основе вирусов // Биопрепараты. 2011. № 3. С. 15–26.

Терри Р. КГБ во Франции. М… 2000.

Титок М. А. Плазмиды грамположительных бактерий. Минск, 2004.

Тихонов Н. Г., Фароер С. М., Илюхин В. И. Биохимия возбудителя сапа // Сап. Сб. науч. тр. Под ред. Н. Г. Тихонова Волгоград. 1995 С 45–51

Тихонов Н. Г., Илюхин В. И. История открытия и изучения возбудителя мелиоидоза // Мелиоидоз. Сб. науч. тр. Под ред. Н. Г Тихонова. Волгоград, 1995. С. 5–8.

Тихонов Н. Г., Рыбкин В. С., Жукова С. И. с соавт. Иммунология мелиоидоза // Мелиоидоз. Сб. науч. тр. Под род Н. Г. Тихонова. Волгоград, 1995. С. 119–142.

Трахтенберг Дж. Дьявол и евреи. Средневековые представления о евреях и их связь с современным антисемитизмом. М., 1998.

Туманский В. М. Микробиология чумы. М., 1958.

Устинов А. Н. К истории эпидемий Древнего мира. М., 1894.

Федорова Н. И. Эпидемиология и профилактика Ку-риккетсиоза. М… 1968.

Федорова Н. И. Риккетсиоз Q (Q-лихорадка) // Руководство по микробиологии, клинике и эпидемиологии инфекционных болезней. М., 1966. Т. VIII. С. 670–689.

Феррати В. (Ferreti V.) Бактериальная война (перевод) // Военный зарубежник 1932. № 5. С 32–42.

Филдс Б., Найп Д., Ченок Р. и др. Вирусология: В 3 т. // Пер. с англ. Под ред. Н. В. Каверина, Л. Л. Киселева. М., 1989.

Финкьльштеин Я. М. Еще раз о чуме в Анзобе // Воен-мед. журнал. 1906. Т. 217. № 9. С. 27–57.

Форд Р. Немецкое секретное оружие во Второй мировой войне М., 2003.

Франклин Т., Сноу Дж. Биохимия антимикробного действия. М., 1984.

Фрол М. Э. Анатомия человеческой деструктивности М, 1998,

Харкович Д. А. Фармакология. М., 1987.

Хироси Акияма Особый отряд 731. М., 1958.

Хмара-Борщевский Э.П. Чумные эпидемии на Дальнем Востоке и противочумные мероприятия КВЖД // Воен. — мед. журнал 1913. Июль. С. 1724–1747.

Хухо Ф. Нейрохимия. Основы и принципы. М., 1990.

Цветков Н. Е., Черняк В. 3. Сап. М., 1935.

Чельный А. А. Микробиолог Степан Васильевич Коршун. М., 2010.

Черкасский Б. Л. Путешествие эпидемиолога во времени и пространстве. М, 2003.

Черкасский Б. Л. Руководство по общей эпидемиологии. М., 2001.

Черкасский Б. Л. Сибирская язва как биологическое оружие. М., 2000.

Черкасский Б. Л. Эпидемиология и профилактика сибирской язвы. М., 2002.

Шахутдинова Р. 3. Структурно-функциональная организация и генно-инженерная модификация липополисахарида Yersinia pestis. Дис… канд. биол. наук. М., 2006.

Шебаршин Я. В. Рука Москвы. М., 1992.

Шелленберг В. Вторжение 1940. М., 2005.

Ширяева Д Т., Ряпис Л. А., АдимовЛ. В. с соавт. Мелиоидоз. М., 1976.

Шмальгаузен И. И. Организм как целое в индивидуальном и историческом развитии. М., 1938.

Шпеер А. Воспоминания. Смоленск, 1997.

Шпренгер Я. Инститорис Т. Молот ведьм // История инквизиции Средневековые процессы о ведьмах. Харьков. 2001.

Шувалова Е. П. с соавт. Инфекционные болезни. М., 1976.

Шуваюва Е. П. с соавт. Инфекционные болезни. Ростов-на-Дону, 2001.

Шуваюва Е. П. с соавт. Тропические болезни. М., 1973.

Шуваюва Е. П. с соавт. Тропические болезни. М., 1979.

Шунаев В. В. Об ингаляционном методе заражения животных при экспериментальной чуме // Сб. работ противочумных организаций Восточносибирскою края за 1932–1933 гг. (под ред. А. М. Скородумова) Москва-Иркутск. 1934.

Шюре Э. Великие посвященные. М., 1914.

Щербина П. Г. Аппарат для массового выращивания микробных культур // Лабораторная практика. 1934 № 1.С. 12–14.

Эддере Ш., Истэн М. Химическое оружие и его токсическое действие М., 1939.

Эрисман Ф. Ф. Холера. Эпидемиология и профилактика. М., 1893

Яковлев А. М. Значение антитоксического иммунитета для защиты животного от респираторного проникновения бактериальных токсинов. I. Роль пассивного иммунитета в защите животных против респираторного поражения, вызванного токсином Clostridium botulinum /,' Журн. микро-биол. эпидемиол. иммунобиол. 1956. № 29. С. 904–909.

Яковлев А. М. Значение антитоксического иммунитета для защиты животного оч респираторного проникновения бактериальных токсинов. II. Тестирование токсического иммунитета у морских свинок при интраназальном введении токсинов Clostridium botulinum // Журн. микробиол. эпидемиол. иммунобиол. 1956. № 29. С. 1068–1072.

Abaev I. V. Astashkin E.I., Pachkunov D. M. et al. Pseudomonas mallei and Pseudomonas pseudomallei: introduction and maintenance of natural and recombinant plasmid replicons // Mol. Gen. Mikrobiol. Virusol. 1995. № 1. 28–36.

Abd H., Johansson Т., Golovliov I. ef al. Survival and growth of FrancLella tularensis in Acanthamoeba castel-lanii // Appl. Environ. Microbiol. 2003. V. 69. Nsl.P, 600–606.

Acheson D. W., Reidl J., Zhang X. et al. In vivo tiansductionwith shiga toxin 1-eoding phage // Infect. Immun. 1998. V. 66. P. 4496 4498.

Achtman M., Morelli G.,Zhu P. et al. Microe volution and history of the plague bacillus, Yersinia pestis // Proc. Natl. Acad. Sci. U. S. A. 2004 V mi. P. 17837-17842.

Achtman М., Zurth K., Morelli G. et al. Yersima pestis, the cause of plague, is a recently emerged clone of Yersinia pseudotuberculosis // Proc. Natl. Acad. Sci. USA 1999. V. 96. P. 14043-14048.

Acres J., Jray J. Paralytic shellfish poisoning // CMAJ. 1978. V. 119. P. 1195–1197.

Adams A. P., Aronson J. F., Tardij S. D. et al. Common Marmosets (Callitrix jacchus) as a nonhuman primate model to assess the virulence of Eastern equine encephalitis virus strains // J. Virol. 2008. V. 82. № 18. P. 9035–9042.

Aguilar P. V., Greene I. P., Coffey L. L. Endemic Venezuelan equine encephalitis in Northern Peru // Emerg. Infect. Dis. 2004. V. 10. № 5. P. 880–888.

Aken Jan van, Hammond E. Genetic engineering and biological weapons // EM BO reports 2003. V. 4 (spec.al Issue) P. 57–60.

Akinc A., Thomas М., Klibanov A. M. et al. Exploring polyethylenimme-mediated ONA transfection and the proton sponge hypothesis // I. Gene. Med. 2005 V. 7. P. 657–663.

Akosso N. B., Yates W. E., Wike S. E. Performance of atomizers for aircraft chemical application // Proc. 4th Intern. Agric. Aviation Congress. The Hague, 1971. P. 254–264.

Aktories K. Rho proteins: targets for bacterial toxins // Trends Microbiol. 1997. V.5. № 2. P. 282–288.

Albrink W. S. Pathogenesis of inhalation anthrax // Bact. Rev. 1961. V. 25 № 3. P. 268–273.

Albuquerque U. P., Melo J. G., Medeiros M. F et al. Natural products from ethnodirected studies: revisiting the ethnobiology of (he zombie poison // Hindawi Publishing Corporation Evidence- Based Complementary and Alternative Medicine. 2012. Article ID 202508 (donlO.1155/2012/202508).

Al-Dosari M. S., Gao X. Nonviral gene delivery: principle, limitations and recent progress // AaPS J. 2009. V. 11. № 4. P. 671–681.

Allon N., Broomfield C. A., Doctor B. P. Induction of protection against organophosphate poisoning by liposome mediated delivery of the human butyrylcholinesterare gene to the lungs // Proc. of Int. Symp, on Application of I nzymes in Chem. and Biol. Defense. 2001, 14–18 May

Allwood E. A., Devenish R., Prescott M et al. Strategies for intracellular survival of Bi irkholderia pseudomallei // Frontiers in Microbiology. Cellular and Infection Microbiology. 2011. V. 2 (doi: 10.3389/fmicb. 2011. 00170).

Alonso S., Sola I., Teifke J. P. et al. In vitro and in vivo expression of foreign genes by transmissible gast roenteritis coronavirus-der.ved rnimgenomcs // J. Gen. Virol. 2002 V 83. P. 567–579.

Alves D. A., Glynn A. R., Steele К. E. et al. Aerosol exuosure to the Angola strain of Marburg virus causes lethal viral hemorrhagic fever in Cynomolgus macaques // Vet. Pathol. zOIO. V. 47. № 5. P. 831–851.

Amzil Z., Sibat М., Chomerat N. et al. Ovatoxin-a and palytoxin accumulation in seaiood inrelation to Ostreopsiscf ovata blooms on the french mediterranean coasi // Mai Drugs. 7012. V. 10. P. 477–496.

Ancuta P., Pedron Т., Girard R. et al. Inability of the Francisella tularensis lipopolysaccharide to mimic or to antagonize the induction of cell activation by endotoxins // Infect. Immun. 1996. V. 64. P. 2041–2046.

Andersen G. L., Simchock J. М., Wilson К. H. Identification of a region of geneuc variability among Bacillus anthracis strains and related species // S. Bacteriol. 1996. V. 178. P. 377–384.

Anderson B. Focal neurologic signs in Western equine encephalitis // Can. Med. Assoc. J. 1984. V. 130 P. 1019–1021.

Andresen В. М., Bo'sJ De novo synthesis of moauied saxitoxins for sodium Ion channel study // J. Am. Chem. Snc. 2009. V. 131. P. 12574-12525.

Anishchenko М., Bowen R. A., PaesslerS. et el. Venezuelan encephalitis emergence meuiated by a phyloge-netically predicted viral mutation // Proc. Natl. Acad. Sci. USA. 2008. V. 103. P. 4994–4999

Anisimov A. P., Limiter Li E., PierG B. Intraspecific diversity ofYersiniapestis // Clin Microbiol Rev. 2004. V. 17. Nb l. P.434–464.

Anthony L. S. D., Cowley S. С, Mdluli К. E. et al. Isolation of a Francisella tularensis mutant that is sensitive to serum and oxidative killing and is avirulent in mict: correlation with the loss of MinD homologue expression // FEMS Microbiol. Lett. i994. V. 124. P. 157–166.

Antigny I., Norez C., Becq F. et al. CFTR and Ca2+ signaling in cystic fibrosis // Front Pharmacol 2011. V. 2 (doi: 10.3389/fphar.2011.00067).

Apisarnthananarak P. Apisamthanarak A., Mundy L. Computed tomography characterisitics ot Burkholderia pseudomallei — associated liver abscess // CID. 2006. V. 43. P. 1618–1620.

Ariano P., Zamburlin P., Gilardmo A. et al. Interaction of spherical silica nanopa. tides with neuronal cells: size-dependent toxicity and perturbation of calcium homeostasis // Small. 2011. V. 7. P. 766–774.

Army PM 8-284. Navy NAVMED P-5042 Air Force AFMAN (I) 44—156 Marine Corps MCRP4—11.1C. 2000.

Amon S. Human tetanus and human botulism // In: Rood J. I., McClane B. A., Songer J. G., Titball R. W., editors. The Clostridia: molecular biology and pathogenesis. San Diego: Academic Press. 1997. P. 95— 115.

Amon S. S., Schechter R., Inglesby Т. V. et al. Botulinum toxin as a biological weapon: medica, and public health management // JAMA. 2001. V. 285. № 8. P. 1059–1070 (doi: 10.1001/jama 285.8.1059).

African-Bouvety N., RodolakisA. Is Q fever an emerging or re-emerging zoonosis? // Vet. Res. 2005. V. 36. P. 327–349.

Atkins L. C., Crossman Т., Pitt C. et al. Genomic plasticity of the causat.ve agent of melioidosis, Burkholderia pseudomallri // Proc. Natl. Acad Sci. USA. 2004 V. 101 P. 14240—1^245

Audi J., Behon M. et al. Ricin poisoning. A comprehensive review // JAMA. 2005. V. 294. JSfe 18. P. 2343–3251.

Baca O. G., Paretsky D. Q fever and Coxiella burnetii: a model for host-parasite interactions // Microbiol. Rev. 1983. V. 47. P. 127–149.

Balder R., Lipski S., Lazarus J. et al. Identification of Burkholderia mallei and Burkholderia pseudomallei adhesins for human respiratory epithelial cells // BMC Microbiology. 2010. V. 10. № 250 (http://www.biomedcentral.com/1471-2180/1u/250).

Baltz R. H. Antimicrobials from Actinomycetes: back to the future // Am. Soc. Microbiol. 2007. V. 2. P. 125–131.

Banerjee R. Nanoparticle aerosols boon or bane for breathing? // Nanomedicine. 2012. V. 7, № 6.795–798.

Barakat L. A., Quentzel H. L., Jernigan J. A. et al. Woman fatal inhalational anthrax in a 94-year-old Connecticut // JAMrt 2002. V. 287. Mb 7. p. 863–868

Baron G. S., Nano F. E. MgIA and MgIB are required for the intramacrophage growth of Francisella novicida // Mor. Microbiol. 1998. V. 29 P. 247–259

Barrett A. D. Т., Gould A. Antibody-mtdiated early death in vivo after infection with Yellow fever virus // J-Gen. Virol 1986, V. 67. P. 2539–2542.

Barth H, Aktories K., Popoff M. R. et al. Binary bacterial toxins: biochemistry, biology, and applications of common Clostridium and Bacillus proteins // Microbiol. Mol Biol. Rev. 2004. V. 68, № 3. P. 373–402.

Bobkerville A., Bowen E. T. W, PlattG.S.et al. The pathology ofexperimental Ebola virus infection in monkeys // J. Pathol. 1978. V. 125. № 3 P. 131–138.

Batzaroff A. La pneumonie pesteuseexperimentale // Ann. Inst. Pasteur. 1899. V. 13 P. 385–405.

Bausch D. G., SprecherA G, Jeffs B. et al. Treatment of Marburg and Ebola hemorrhagic fevers A shategy for testing new drugs and vaccines under outbreak conditions // Antiviral Res. 2008. V. 78/ № 1. P. 150–161.

Baykam N., Ergonul O., Ulu A. et al. Characteristics of cutaneous anthrax in Turkey // J. Infect. Dev. Ctries. 2009. V. 3. № 8. P. 599–603.

Beare P. A., Samuel J. E., Howe D. et al. Genetic diversity of the Q fever agent, Coxiella burnetii, assessed by microarraj — based whole-genome comparisons // J. Bacteriol. 2006. V. 188 № 7. P. 2309–2324

Beare P. A., Sandoz K. М., Omsland A. Advances in genetic manipulation of obligate intracellular bacterial pathogens // Frontiers in Microbiology. 2011. V 2. Article 97 (doi: 10.3389/fmicb. 2011.00097)

Beare P., Howe D., Cockrell D. et al. Characterization of a Coxiella burnetii fts Z mutant generated by Himar1 transposon mutagenesis // J. Bacteriol. 2009 V 191. № 5. P. 1369–1381.

Beckett B. Weapons of Tomorrow. N. Y., 1982.

Beghr E. M., Asiki G., Anywame Z. et al. Pneumonic plague cluster, Uganda, 2004 // Emerg. Infect. Die. 2006. V. 12. № 3. P. 460–467.

Bell D. М., Kozarsky Ph. E., Stephens D. S. Clinical issues in the prophylaxis, diagnosis and treatment ol anthrax // Emeig. Infect. Dis. 2002. V. 8. № 2 P. 222–225.

Bemoridge G. P., Lopez J. A., Cook R. et at Recombinant vaccinia virus coexpressing the F protein of respiratory syncytial virus (RSV) and interleukin-4 (IL-4) does not inhibit the development of RSV-specific memory cytotoxic T lymphocytes whereas priming Is diminished in the presence of high levels of IL-2 or gamma interferon // J. Virol. 1998. V. 72. № 5. P. 4080–4087.

Benarroch D., Claverie J. M. kaouit D. et aI Characterization of mimivirus DNA tope isomerase IB suggests horizontal gene transfer between eukaryal viruses and bacteria // J. Virol. 2006. V. 80. P. 314–321.

Benedek C., Rivier L. Evidence for the presence of tetrodotoxin in a powder used in Haiti for zombification // Toxicon. 1989. V. 27. № 4. P. 473–480.

Benenson A.S., Tigera W. D. Studies on Q. fever in man // Trans. Assoc. Am. Physicians. 1956. V. 69. P. 98—104.

Bennett J. W., Klich M. Mycotoxms // Clin. Microbiol. Rev. 2003. V. 16. №. 3. P. 497–516.

Bennett P. M. Integrons and gene cassettes: a genetic construction kit for bacteria // J. Antimicrob. Chemother. 1999. V. 43 P. 1–4.

Bennett P. M. Plasmid encoded antibiotic resistance: acquisition and transfer of antibiotic resistance genes in bacteria // Brit. J. Pharmacol. 2008. V. 153. S347—S357.

Berdal B. P., Mehl R., Meldell N. K. et al. Field investigations of tularemia in Norway // FEMS Immunol. Med. Microbiol. 1996. V. 13. P. 191–195.

Bergen J. М., Park In-Kvu, Horner P. J. et al. Nonviral approaches for neuronal delivery of nucleic acids // Phar. Res. 2008. V. 25. № 5. P. 983 998.

Bergen J. М., Pun S. H. Evaluation of an LC8-binding peptide for the attachment of artificial cargo.o dynein Ц Mcl. Phami. 2007. V. 4. P. 119–128

Bernhard K., Schrempf II., Goebel W. Bacteriocin and antibiotic resistance plasmids in Bac.llus cereus and Bacillus subtil» // J- Bacteriol. 1978. V. 133. № 2. P. 897–903.

Bernstein B. J. America’s biological warfare program in the Second World War // J. Strateg. Stud. 1988. V 11. № 2. P. 292–317.

Berry B., Barrett I… Seymour L.etal Gene therapy for central nervous system repair // Curr. Opin, Mol. Ther. 2001. V 3. P. 338–349.

Bhakdi S., Bayley H. et al. Staphylococcalalpha-toxin, stmptolysin-0 and Escherichiacolihemolysin: prototypes of pore-forming bacterial cytolysins // Arch. Microbiol. 1996. V. 165 № 1. P. 73–79.

Bhakdll S., Tranum-Jensen J. Alpha-toxin of Staphylococcus aureus // Microbiol. Rev. 1991. V. 55. № 4. P. 733–751.

Bharuli D. J., Klejbor I., Stachowiak E. et al. Oigamcally modified silica nanoparticles: a nonviral vectoi for in vivo gene delivery and expression in the brain // Proc Natl. Acad. Sci. USA. 2005. V 102 P. 11539-11544.

Bhatia К P., Miinchau A., Thompson P. D et al. Generalised muscular weakness after botulinum toxin injections for dystonia: a report of three cases // J. Neurol. Neurosmg Psychiatry. 1999. V. 67. P. 90–93.

Bhatnagar V.. Stoto М., Morton S. et al. Transmission patterns of smallpox: systematic review of natural outbreaks in Europe and North America since World Whi II // BMC Public Health. 2006. V. 6. № 126 (http://www.biomedcentral com/1471-2458/6/126).

Bienkowska-Szewczyk K., Szewczyk В Expression of genes coding for viral glycoproteins in heterologous systems // Acta Biochimica Polomca. 1999. V. 46. № 2. P. 325–339.

Bigalke H., Rummel A. Medical aspects of toxin weapons // Toxicol. 2005. V. 214. P. 210–220.

Black J. L. Genome projects and gene therapy gateways to next genet ation biological weapons // Milit Med. 2003 V 108. № 11. P. 864–871

Blum G., lalbo V., Capnuli A. et al. Gene clusters encoauig the cytotoxie necrotizing factor type 1, Prs-fimbriae and — hemolysin form the pathogenicity island II of the uropathogenic Escherichia coli strain J96 // FEMS Microbiol. Lett 1995. V. 126 № 1. P. 189–196.

Boado R.J, Pardridge W. M. The Trojan horse liposome technology for nonviral gene transfer across the Llood-brain barrier // J. of Drug Deliv. 2011. rdoulO.l 155/2011/296151).

Bodian D. Howe H. A. Experimental studies on intraneural spread of poliomyelitis virus // Bull. J. Hopkins Hosp. 1941. V. 69. P. 248–267.

BoeckleS., Wagner E. Optimi2 ng targeted gene delivery: chemical modification of viral vectors and synthesis of artificial virus vector systems // AAPSJ. 2006. V 8. № 4. P. 731–742.

Bonner J. S. Nanoparticles as a potential cause of pleural and interstitial lung disease // Proc. Am. Thorac. Soc. 2010. V. 7. P. 138–141

Borio L., lriglesby T, Peters C. J. et al. Hemorrhagic fever viruses as biological weapons. Medical and public health management // JAMA. 2002. V. 287. № 18. P. 2391–2405.

Borison Н. L., Culp W. J., Gonsalves S. F. ei al. Central respiratory and circulatory depression caused by intra-vaxuiar saxitoxin // Br. J. Pharmac. 1980. V. 68. P. 301–309.

Bonn P., Robbins D., Haubold S. The potential risks of nanomaterials: a review canied out for ECETOC // Panicle and Fibre Toxicology. 2006. V. 3. (http://www.particleandfibretoxxology.com/content/3/1/11).

Bossi P, Tegnell A, Baka A et al. Bichat guidelines for the clinical management of haemorrhagic fever viruses and bioterrorism-related haemorrhagic fever viruses // Euro Surveill. 2004. V. 9. № 12 (http://www.eurosurveillance.org/em/v09nl2/0912-235.asp).

Bowen J. E., Quinn C. P. The native virulence plasmid combination affects the segregational stability of a theta-repLcating shuttle vector in Bacillus anthrocisvar. New Hampshire // J. Appl. Microbiol 1999. V. 87 № 2. P. 270–278,

Bowen M. D., Rollin P. E., Ksiazek T. G. et al. Genetic diversity among Lassa virus strains // J. Virol. 2000. V 74. № 15. P. 6992–7004.

Brachman P. S., Kaufmann A. F., DalldoreF. Industrial inhalation anthrax // Bacteriol. Rev. 1966. V. 30. № 3. P. 646–657.

Braude A. I., DavisC. E., FiererJ. F. Infectious diseases and medical rnicrob.ology. W. B. Saunders Company, Philadelphia, 1986.

Bravo A., Gymez I., Conde J. et al. Oligomerization triggers binding of a Bacillus thuringiensis Cry 1 Ab pore-formiiig toxin to amlnopeptidase N receptor leading to insertion into membrane microdomains // Biochim. Biophys. Acta. 2004. V. 1667. P. 38–46.

Bray M., Paraga., J. Experimental therapy of filovirus infections // Antiviral.Res.200? V. 54. № 1. P. 1—17.

Brett P. J., Mah D. C., Woods D. E. Isolation and characterization of Pseudomonas pseudomalici flagehin proteins // Infect. Immun. 1994. V. 62. P. 1914–1919.

Brett P., Burtnick M.R., Snyder S. et al. Burkholderia mallei expresses a unique lipopolysaccharide mixture that is a potent activator of human Poll-like receptor 4 complexes human Toll-like receptor 4 complexes // Mol. Microbiol. 2007 V. 63. № 2. P. 379–390.

Brotcke A., Monack D. M. Identification of fevR, a novel regulator of virulence gene expression in Francisella novicida // Infect. Immun. 2008. V. 76. P. 3473–3480.

Brotcke A., Weiss D. S., Kim C. C. et al. Identification of MgIA-regulated genes reveals novel virulence factors in Francisella tuiarensis // Infect. Immun. 2006. V. 74. P. 6642—6655

Brown D. М., Wilson M. R., MacNee W. et al. Size-dependent pruiiiflamnatory effects of uhra fine poly-styrene particles: a role for surface area and oxidative stress.n the enhanced activity of ultraftnes // Toxicol. App] Pharmacol. 2001. V. 175. P. 191–199.

Brown R. F. R., White D E. Ultrastructure of rat lung following inhalation of ricin aerosol // Int. J. Exp. Pathol. 1997. V, 78. № 4. P. 267–276.

Brussow H., Canchaya C., Wolf-Dietrich H. Pnages and the evolution of bacterial pathogens: from genomic rearrangements to lysogenic conversion // Microbiol Molecular. Biol. Rev. 2004. V, 68. № 3 P, 560–602.

Bryan L. Mechanisms of plasmid mediated drug resistance // Plasmids and Transposons. N.Y., 1980. P. 51–81.

Buchan B. W, McCajfrey R. I., Lindemam S. R. et al. Identification of migR, a reguiatory element of the Francisella tuiarensis live vaccine strain iglABCD virulence operon required for normal replication and trafficking in macrophages // Infect. Immun. 2009. V. 77 P. 2517—2529

Buchmeier M. J., Peters С J., de la Torre C. Arenaviridae: The viruses and their replication // Ed Knipe D. М., Holey P. M / Fields Virology. 2007. P. 1792–1827.

Buckland В. C. The translation of scale in fermentation processes: the impact of computer process control // Bio/Tecnology. 1984 V. 2. № 10. P. 875–883.

Burke G. S. Notes on Bacillus botulinus // J. Bacteriol. 1919. V. 4. P. 555–565.

Burns J. I… Jonas М., Chi E Y. et al. Invasion of respiratory epithelial cells by Burkholderia (Pseudomonas) cepacia // Infect. Immun. 1996. V. 64. P. 4054–4059.

Calisher C. H. Medically important arboviruses of the United States and Canada // Clin. Microbiol. Rev. 1994. V. 7. P. 89–116.

Calisher H. A., Maness K. Virulence of Venezuelan equine encephalomyelitis virus subtypes for various laboratory hosts // Appl. Microbiol. 1974. V. 28. P. 881–884.

Callis R. T, Jahrling P.B., DePaolii A. Pathology of Lassa virus infection in the rhesus monkey // Am. J. Trop. Med. Hyg. 1982. V. 31. № 5 P. 1938–1045.

Сатре H., Zimmermann P., Glos K. et al. Cowpox virus transmission from pet rats to humans Germany // Emer. Infect. Dis. 2009. V. 15. № 5. P. 777–780.

Capo C., Lindberg F. P., Mecont S. et m. Subversion of monocyte functions by Coxiella burnetii: impairment of the cross-talk between alphaVbeta3 integrin and CR3 // J.Immunol. 1999.V 163. № 11. P. 6078–6085.

Caramon T., Albertini A. М., Galizzi A. I n vivo generauun of hybrids between two Bacillus thuiingiensis insect-toxin-encoding genes // Gene. 1991. V. 98. P. 37–44.

Carballeira N. М., Emiliano A.,Sostre A. et aI/ Fatty acid composition of bacteria associated with the toxic dino-flagellate Ostreopsis lenticularis and with Caribbean Palythoa species // Lipids. 1998. V. 33. P. 627–632.

Cardeti C., Brozz.A. et al. Cowpox virus in liama, Italy // Enter Infect Dis 2011 V. 17. № 8. P. 1513–1515.

Caron E., Peyrard Т., Kohler S. et at Live Brucella spn. fail to induce tumour necrosis factoi alpha excretion upon infection of U937-derived phagocytes // Infect. Immun. 1994. V 62. P. 5267–5274.

Carter G B. Biological warfare and biological defence in the United Kingdom 1940–1970 // Royal United Services Institute Journal. 1993. December, P. 67–74.

Carter G. B. The microbiological research establishment and us precursor at Porton Down: 1940–1979 // ASA Newsletter. 1991. 11 December. P. 91—96

Chahine M., O’Leary М. E. Regulatory role of voltage-gated Na channel Subunits in sensory neurons // Front. Pharmacol. 2011. V. 2 (doi:10.3389/fphar.2011.00070).

Chan S. Y, Speck R., Ma M. et al. Distinct mechanisms of entry by envelope glycoproteins of Marburg and Ebola (Zaire) viruses // J. Virol. 2000. V. 74 No. 10. P. 4933–4937.

Chapman J. L., Nichols D. K., Martinez M. J. et al. Animal models of Orthopoxvirus infection // Vet. Pathol. 2010. V. 47. № 5. P. 852–870.

Charity J. C., Costante-Hamm M: М., Balon E. L. et al. Twin RNA polymerase-associated proteins control virulence gene expression in Francisella tularensis // PLoS Pathog. 2007. 3:e84.

Charles P. С, Walters E., Margolis F. et al. Mechanism of neuroinvasion of Vfenezuelan equine encephalitis virus in the mouse // Virology. 1995. V. 208. P. 662–671.

Charrel R. N. de Lamballerie X. Arenaviruses other that Lassa virus // Antiviral. Res. 2003. V. 57. F 89—100.

Chastel C. Human monkeypox // Pathoi Biol 2009. V. 57. № 2. P. 175—183

Chau J., Ciufolini M. A The chemical synthesis of tetrodoxin: an ongoing quest // Mar. Drugs 2011. V 9. P. 2046–2074.

Cheang Tuck-yun, Tang Bing, Xu An-wu et al. Promising plasmid DN A vector based on APTES modified silica nanoparticles // Intern. J. of Nanomed. 2012 V. 7. P. 1061–1067.

Cheers C., Janas М., Ramsay A. et al. Use of recombinant viruses to deliver cytokines influencing thr course of experimental bacterial infection // Immun. Cell Biol. 1999. V. 77. P. 324–330.

Cheers С, Janas М., Ramsay A. et al. Use of recombinant viruses to deliver cytokines influencing the course of experimental bacterial infection // In.mun, Cell Biol. 1999. V 77. P. 324–330.

Cnen N.. Li G., Liszewski A. et al. Virule nee differences between monkeypox virus isolates from West Africa and the Congo basin // Virology. 2005 V. 340. № 1. P. 46–63.

Chen P. E., Willner К. М., Butani F. et al. Rapid identification of genetic modifications in Bacillus anthracis using whole genome draft sequences generated by 454 pyrosequtncuig // PLoS ONE. 2010. V. 5. Is. 8. e 12397 (doi: 10.1371/journal.pone.OOl 2397).

Chen Y., Succi J., Tenover F. C. et al. β-lactamase genes of the penicillin-susceptible Bacillus anthracis // J. Bacteriol. 2003. V 185. № 3 P. 823–830.

Cheng A. C., Currie B. J. Melioidosis: epidenuoiogy, pathophysiology, and management // Clin. Microbiol. Rev. 2005. V. 18. № 2. P. 383–416.

Chi Ho Lin, Bourque G., Tan P. A comparative synteny map of Burkholderia species links large-scale genome rearrangements to fine-scale nucleotide variation in prokaryotes // Mol. Biol. EVol. 2008. V. 25. № 3. P. 549–558.

Childe L. F. The pathology of plague // Bnt. Med. J. 1898. V. 2. P. 858–862.

Chot H. S., Ashitate Y., lee Rapid J. H. et al. Translocation of nanoparticles from the lung airspaces to tne body // Nat Biotechnol. 2010. V. 28. № 12.1300–1303.

Chong Vui Heng, Lim Kian Soon, Sharij F. Pancreatic involvement in melioidosis // Jop. J. Pancreas (Online). 2010. V. 11. № 4. P. 365–368.

Chung-Him Yu V.,Hoi-Fu Yu P, Kin-Chung Ho et al. Isolation and identification of anew tetrodotoxin-pro-ducing bacterial species, Raoultella terrigena, from Hong Kong marine puffer fish TalJfugu niphobles // Mar. Drugs. 2011. V 9. P. 2384–2396

Ciminiello P., Dell’Aversano C., Fattorusso E. et al. Putative palytoxin ana its newanalogue, ovatoxin-A in Ostreopsis ornta collected along the Ligurian coasts dui ing the 2006 toxic outbreak // J. Am. Soc. Mass Spcctrom 2008. V. 19 P. 111–120.

Clemens D L., Lee В. Y., Horwitz M. A. Francisella tularensis enters maciuphages via a novel process involving pseudopod loops // Infect Immun. 20u5.v 73. P. 5892–5902.

Cohen J. Is an old virus up to new tricks // Science. i997. V. 277. № 5324. P. 312–313.

CohenS N. Chang A. C. Y., Hsu L. Non-chromosomal antibiotic resistance in bacte. ia: genetic transformation of Escherichia coli by R factor DNA // Proc. Natl. Acad. Sci. USA. 1972. V. 69. P. 2110–2114.

Cole L. A. The specter of biological weapon // Sc. \mer. 1996 (Dec.). V. 775. № 6. P. 60–65.

Colebunders R., Borchert M. Ebola haemorrhage fever — a review // I. Infect. 2000. V 40. P. 16–20.

Collins M. D„East A. K. Phytogeny and taxonomy of the lood-bomc pathogen Closttidmm botulinum and its neurotoxins // J. Appl. Microbiol. 1998. V. 84. P. 5—17.

Corbel M. J. Brucellosis: an overview // Bmerg. Infect. Dis. 1997 V. 3, № 2. P. 213–221.

Cordaux R., Paces-Fessy М., Raimond M. et al. Molecular characterization and evolution of arthropod-pathogenic Rickettsieilabactena // Appl. Envirol. Microbiol. 2007. V. 73. № 15. P. 5045–5047.

Covert I., Mathison A., Eskra L et al. Brucella melitensis, В neotomae and B. ovis elicit common and distinctive macrophage defense transcriptional responses // Experiment. Biol. Med. 2009. V 234. P. 1450–1467.

Craan A. G. Toxicologic aspects of voodoo in Haiti // Biomea. Environ. Sci. 1988. V. 1 Ne 4. P. 372–381.

Crompton R., GallD. Georgi Markov: death in a pellet // Med. Leg. J. 1980. V. 48. P. 51–62.

Cronin J., Zhang X. Y., Reiser J. Altering the tropism of lentiviral vectors through pseudotypir g // Cuir. Gene. The. 2005 V. 5. P. 387–398.

CrownerB. E., Brunstrom J. E., Racette B. A. Iatrogenic botulism due to therapeutic botulinum toxin a injection in a pediatric patient // Clin. Neuropharmacol. 2007. V. 30. № 5. P. 310–313.

Czer.iyC. P., Eis-Hbbinger A.M., MayrA. et al. Animal poxviruses transmitted from cat to man: current event with lethal end // Zentralbl. Vfeterrinarmed B. 1991. V. 38. № 6. P. 421–431.

DalyJ. W. Thirty years of discovering arthropod alkaloids in amphibian skin // J. Nat. Prod. 1998. V. 61. P. 162–172.

Dando M. Biological warfare in the 21st century. N. Y., 1994.

Darby S. М., Miller M.L., Allen R.O. Forensic determination of ricin and the alkaloid marker ricinine from castor bean extracts // J. Forensic. Sci. 2001. V. 46. P. 1033–1042.

DasGupta B. R., Boroff P. A. Separation of toxin and hemagglutinin tram cristalline toxin of Clostridium botulinum type A by anion exchange chromatography and determination of their dimension by gelfiltration // J. Biol. Chem. 1968. V. 243. P.1065–1070.

Davies T. A., Pankuch G. A, Dewasse B. £. et al. In vitro development of resistance to five quinolones and amoxicillin-clavulanate in Streptococcus pneumoniae // Anlin.icrob. Agents Chemother. 1999. V. 43. P. 1177–1180.

Davis E. V. The ethnobiolrgy of the Haitian zombi // J. Ethnophannacol. 1983. V. 9. № 1. P. 85—104.

Davis J. M. A vibrating apparatus for producing drops of uniform size // U. S. Dept. Agr., keport Et-295. U. S. Bur. Ent. and Plant Quaterly, April, 1951. P. 2.

Davis L. E., Beckham J. D., Tyler L. L. North American encepnalitic arooviruses // Neurol Clin. 2008 V. 26. № 3 (727—ix. do. 10.1016/j.ncl.2008.03.012)

Davis P. В, cooper M. Vecto. s for airway gene delivery // AAPS j. 2007. V. 9, № 1. P. Ell — E17.

Davis R. A The assassination of Reinhard Heydrich // Surg. Gynecol. Obsiet 1971. P. 304–318.

Davletov В A., Meunier F., Ashton A. C. et al. Vesicle exocytosis stimulated by a-latrotoxin is mediated by latrophilin and requires both external and stored Ca2+ // EMBO Jour. 1998. V. 17. № 14. P. 3909–3920.

Dawson С, StubberfieldE., PerrettL. et al. Phenotypic and molecular characterisation of Brucella isolates from marine mammals // BMC Microbiology. 2008 V. 8. № 224 (doi:10.1186/1471-2180-8-224).

Day W. C., Berendt R. F Experimental tularemia m Macaca mulatta: relationship of aerosol particle size to the infectivity of airborne Pasteurella tuiarensis // Infect. Immun. 1972. V. 5, № 1. P. 77–82.

Daya S., BernsK. I. Gene therapy using ader.o-associated virus vectors // Clin. Microbiol, Rev. 2008. V. 21. № 4. P. 583–593.

De Alessi // Giornale di Medicina Militare 193b № 2.

De Bruin О. М., Ludu J. S., Nano F. E. The Francisella pathogenicity island protein IglA localizes to the bacterial cytoplasm and is needed for intracellular growth // BMC Microbiol. 2007. V. 7, № 1.

De la Torre J. C. Reverse genetics approaches to combat pathogenic arenaviruses // Antiviral Res. 2008. V. 80, № 3. P. 239–250. (doi:10.1016/j.antiviral.2008.08.002).

De Lorenzo A. J. The olfactory neuron and the blood-brain barrier // In: Taste and Smell in Vertebrates (Wolstenholme G, Knight J, eds) London, 1970. P. 151–176.

De Maagd R. A., Bravo A., Creckmore N. How Bacillus thuringiensis has evolved specific toxins to colonize the insect world // Trends in Genel 2001 V. 17. P. 193–199.

De Maagd R. A., Kwa M. S. G., van der Klei H. et al. Domain III substitution in Bacillus thuringiensis delta-endotoxin Cryf Ab results in superior toxicity for Spodoptera exigua and altered membrane protein recognition // Appl. Environ. Microbiol. 1996. V. 62. P. 1537–1543.

Debs R. J.. Valley М., Y.hu N. Патент 5641662, МПК6, Transfection of lung via aerosolized transgene delivery / The Regents of the University of California., США; заявл. 10.03.1993, 29022; onyd. 24.06.1997.

Deeds J. R., Handy S., White K. et al. Palytoxin found in Palythoa spp. zoanthids (A,thozoa, Hexacorallia) sold in the home aquarium trade // PLoS ONE. 2011. V. 6 (e18235 doi:10.1371/journal.pone.0018235).

Deeds J. R., Landsberg J. H., Etheridge S. M. et al. Non-traditional vectors for paralytic shellfish poisoning // Mar Drugs.?008 V. 6. P. 308–348.

DembekZ. Modeling for bioteirorism incidents // Biological weapons defense. N. J., 2005.

Depardieu F., Podglajen /., Leclercq R. et al. Modes and modulations of antibiotic resistance gene expression // Clin. Microbiol. Rev. 2007. V. 20. № 1. P. 79–114.

Dewan P., Fry A., Laserson K. et al. Inhalational anthrax outbreak among postal workers, Washington, DC, 2001 // Emerg. Infect. Dis. 2002. V. 8. P. 1066–1072.

Dhaked R. К, Singh М. K., Singh S. et al. Botulinum toxin: b.O'veapon & magic drug // Indian. J. Med. Res. 2010. V. 132. № 5. P. 489–503.

Dickie W. M. Plague in California 1900–1925 // Conf. State and Prov. Health Authorities North America. 1926. V. 21. P. 30 78.

Dirrimock N. A. Production of uniform droplets // Nature. 1951. V. 166. P. 686–687.

Dinges М. М., Orwin P. M, Schlievert P. M. Exotoxins of Staphylococcus aureus // Clinical. Microbiol. Re.: 2000. V. 13. № 1. P. 16–34.

Dixon R. W, Harris J. B. Nerve terminal damage by β-bungarotoxin its clinical significance // Am. J. Pathol. 1999. V. 154. P. 447–455.

Donaldson K., Tran T. Inflammation caused by particles and fibers // Inhal. Toxicol. 2002. V. 14 P. 5—27.

Douglass N., Dumbeli K. Independent evolution ofmonkeypox and Variola viruses // J. Virol. 1992. V. 66. № 12. P. 7565–7567.

Dreiseikelmann B. Translocation of DNA across bacterial memoranes // Microbiol. Rev. 1994. V. 58. № 3. P. 293–316.

Drinker C. K., Hardenber E. Absorption from the pulmonary alveou // J. Exp. Med. — 1947. V. 86. P. 7—18.

Druett H. A., Henderson D. W., Packman F. et al. Studies on respiratory infection: I. The influence of particle size on respiratory infection with anthrax spores // J. Hyg. Camb. 1953. V. 54 P. 49–57.

Druett H. A., Henderson D. W. Packman L. et al. Studies on respiratory infection: I. The influence of aerosol particle size on infection gunea-pig with Pasturellapestis // J. Hyg. 1956a. V. 54. P. 37–48.

Druett H. A., Henderson D. W., Peacock S. Studies on respiratory infection: III. Experiments with Brucella suis // J. Hyg. Camb. 1953b. V. 54. P. 359–371.

Druett H. A., Honderson D. W., Packman F. et al. Studies on respiratory infection. I The influence of particle size on respiratory infection with anthrax spores // J. Hyg. 1953. V. 51. P. 359–371.

Druett H. A., May K. R. Unstable germicidal pollutant in rural air // Nature. 1968 V. 220 № 395. P. 395–396.

Duan Z. G., Yan X. J., He X. Z. et al. Extraction and protein component analysis of venom from the dissected venom glands of Latrociectus tredecimguttatus // Comp. Biochem. Physiol. B. Biochem. Mol Biol. 2006 V. 145. P. 350–357.

Dufton M. J., Hider R. C. Conformational properties of the neurotoxms and cytotoxins isolated from Elapid snake venom // CRC. Crit. Rev. Biochem. 1983. V. 14. P. 113–171.

Edwards Т., Phan I., Abendroth J. et al. Structure of a Burkholderia pseudomallei Trimeric Autotransporter Adhesin Head // PLoS ONE. 20'0 V. 5, № 9 (e12803. doi: 10.1371/journal.pone.0012803).

Ehichiuya D. U., Hass М., Hecker-Ziaja Current B. et al. Molecular epidemiology of Lassa virus in Nigeria // J. Clin. Microbiol. 2011. V. 49. № 3. P. 1157–1161.

Eichner М., Dietz K. Transmission potential of smallpox: estimates based on detailed data from an outbreak // Amer. J. Epidemiol. 20U3.V. 158. № 2. P. 110–117.

Eigelsbach H. T., Braun W., Herring R. Studies on the variation of Bacterium tularense //J. Bacteriol. 1951. V. 61. P. 557–569.

Eigelsbach H. Т., Hornick R. B., TulisJ. J. Recent studies on live tularemia vaccine // Med. Ann. Dist. Columbia. 1967. V. 36. P. 282–286.

Elkins K. L., Rhinehart-Jones T. R., Culkin S. J. et al. Minimal requirements for murine resistance to infection with Francisella tuiarensis TVS // Infect. Immun. 1996. V. 64. P. 3288–3293.

Ellis J., Oyston P., Green M. et al. Tularemia // Clin. Microbiol. Rev. 2002. V 15, № 4. P. 631–646.

Erigelthaler D. М., Bowers J., Schupp J.A. et al. Molecular Investigations of a Locally Acquired Case of Melioidosis in Southern AZ, USA // PLoS Negl Trop Dis. 2011. V. 5, № 10 (e1347. doi: 10.1371/journal pntd.0001347).

Faiz A., Ghose A., Ahsan F. et al. The greater black krait (Bungarus niger), a newly recognized cause of neuromyotoxic snake bite envenoming in Bangladesh // Brain. 2010. V. 133. № 11. P. 3181–3193.

Federici Т., Kutner R., Zhang X. K. et al. Comparative analysis of HIV-1-based lentiviral vectors bearing lyssavirus glycoproteins for neuronal gene transfer // Genet. Vaccin. Ther. 2009. V. 7, № 1.

Feigner P. L., Gadek T. R., Holm M. et al. Lipofection: a highly efficient, lipid-mediated DNA-transfection procedure // Proc Natl. Acad. Sci. USA. 1987. V 84. P. 7413–7417.

Fenner F., Henderson D. A., Arita I. et al. Smallpox and its eradication. World Health Organization, Geneva 1988.

Fernández-Ortega J. F., Morales-de los Santos J. М., Herrera-Guaerrez М. E. et al. Seafood intoxication by tetrodotoxin: first caseinburope // J. Emerg. Med. 2010. V. 39. № 5. P. ol2—617.

Ferraz A. C., Anselmo-Franci J. A., Perosa S. R. et at. Amino acid and monoanune alterations in the cerebral cortex and hippocampus of mice submitted to ricinine-induced seizures // Pharmaoo. Biochem. Behav/ 2002. V. 72. P. 779–786.

Fichet-Calvet E., Rogers D. J. Risk maps of Lassa fever in West Africa // PLoS Negl. Trop. Dis 2009. V. 3. № 3 (e388. doi: 10.1371/journal.pntd.0000388).

Ficht T. Brucella taxonomy and evolution // Future Microbiol. 2010. V. 5, № 6. P. 859–866.

Filonov A. E., Manzeniuk I. N., Svetoch E. A. Conjugative transfer and expression of R plasmids of the genus Pseudomonas in the cells of Pseudomonas mallei C-5 // Antibiot. Khimioter. 1996. V. 41, № 3. P. 20–24.

Findetsen W. Uber das absetzen kleiner, in der luft suspendierter teilchen uder menschlichen lunge bei der atmung // Arch. Ges. Physiol. 1935. Bd. 236. S. 367.

Finegola M. J. Pneumonic plague in monkeys an electron microscopic study // Amer. J. Pathol. 1969. V. 54. N?2 P. 167–185.

Finegold M. J. Interstitial pulmonary edema. An electron microscopic study of the pathology of staphylococcal enterotoxemia in Rhesus monkeys // Lab. Invest. 1967. V. 16. № 6 P. 912–924.

Finegold М., Petery J., Berendt R. et al. Studies on the pathogenesis of plague // Am. J. Pathol. 1968. V. 53. № 1. P. 99–114.

Finlay B., Falkow S. Common themes in microbial pathogenicity // Microbiol. Rev. 1997. V. 53. № 2. P. 210–230.

Finn P. Agitation-aeration in the laboratory and in industry // Bact. Rev. 1954. V. 18. № 4. P. 254–274.

Fiordalisi J. J., James P. L., Zhang Y. P. et al. Facile production of native-like κ-bungarotoxin in yeast — an enhanced system for the production of neuronal nicotinic acetylcholine receptor probe // Toxicon. 1996. V. 34. P. 213–224.

Firoved A. M, Miller G. F., Moayeri M. et al. Bacillus anthracis edema toxin causes extensive tissue lesions and rapid lethality in mice // Am. J. Pathol. 2005 V. 167. P. 1309–1320.

Fischera M. G., Allenb V/ L., Wilson W. H. et al. Giant virus with a remarkable complement of genes infects marine zooplanktoii // Proc. Natl. Acad. Sci. USA. 2010. V. 107, № 45. P. 19508—19513.

Fleming J. J., Du BoisJ. A synthesis of (+)-saxitoxin // J. Am. Chem. So. 2006. V. i28. № 12. P. 3926–3927.

FluitA. C. Jones М. E., Schmitz F. et al. Bacteremia in European hospitals, incidence and antimicrobial susceptibility // Clin. Infect. Dis. 2000. V. 30. P. 454–460.

Fluit A. C., Visser M. R., Schmitz F. Molecular detection of antimicrobial resistance // Clin. Microbiol. Rev. 2001 V. 14 № 4. P. 836–871.

Fodstad O., Kvalheim G., Godal A. et al. Phase I study of the plant protein ricin // Cancer Res. 1984. V. 44. P. 862–865.

Fontanges R., FounierJ. Construction of a generator for dry aerosols // Travaux Scientifiques, Annee 1971, Centre de Recherches du Service de Sante des Armees. P. 301—302

Fort Detrick converting to major medical research center // Arm. Res. Devel. 1973 V. 14. № 4. P. 16—18

Foster J.. Beckstrom-Sternberg S., Pearson T. et al. Whole-genome-based phylogeny and divergence of the genus Brucella // J. Bacterol. 2009. V. 191 № 8. P. 2864–2870.

Franz D. R., Jahrmg P. B., Friedlander A. M. et al. Clinical recognition and management of patients exposed to biological warfare agents // JAMA. 1997. V. 278. № 5. P. 399–411.

Franz D., Jaax N. Ricin toxin // Medical aspects of Chemical and biological Warfare / Ed. F. R. Sidell, E. T. Tafuqi, D R Franz. Washington, 1997. P. 631–642.

Fraser R., Dombrowski N., Rontley J. H. J. Chem. Eng Sci. 1963. V 18. Np 315. P. 323.

Frecha С., Szecsi J., Cosset F L. et al. Strategies for targeting lentiviral vectors // Curr. Gene Ther. 2008. V. 8. P. 449–460

Freedrmm A., Afonia O., Chang M. W. et al. Cutaneous anthrax associated with microangiopathic hemolytic anemia and coagulopathy in a 7-month-old infant // JAMa 2002. V. 287. P. 869–874.

Frohlich E., Roblegg E. Models for oral uptake of nanoparucles in consumer products // Toxicology. 2012. V. 291. P. 10–17.

Fuhrman F. A. Tetrodotoxin, tai ichatoxin, and chiriquitoxin historical perspectives // Ann. N. Y. Acad. Sci. 1986. V. 479. P. 1–14.

Galimand М., Camiel E., Courvalin P. Resistance of Yersinia pestis to antimicrobial agents // Antimicrob. Agents Chemother. 2006. V. 50. № 10. P.3233–3236.

Gallis R. Т., Jahrling P. B., de Paoli A. Pathology of Lassa virus infection in the rhesus monkey // Am. J. Trop. Med. Hyg. 1982. V 31 № 5. P. 1038–104*

Gammon D. B., Snoeck R, Fiten R. P. et al. Mechanism of antiviral drug resistance of vaccinia virus: identification of residues in the viral DNA polymerase confening differential resistance to antipoxvirus drugs // J. Virol. 2008. V. 82. № 24 P. 12520- 12534.

Garcia C., Lagos М., Truan D. et al. Human intoxication with paralytic shellfish toxins: clinical parameters and toxin analysis in plasma and unne // Biol. Res. 2005. V, 38. P. 197–205.

Garcillian-Bracia M. P., de-la Crus F. Distribution of IS91 family insertion sequences in bacterial genomes: evolutionary implications // FEMS Microbiol. Ecol. 2002. V. 42. № 2. P. 303–313.

Geffeney S. L. Ruben P. C. The structural basis and functional consequences of interactions between tetrodotoxin and vouage-gated sodium channels // Mar Drugs. 2006. V 4. P. 143–156.

Geisbert T. W, Daddurlo-DiCaprio K. М., Geisbert J. B. et al. Marburg virus Angola infection of Rhesus macaques: pathogenesis and treatment with pecombinant nematode anticoagulant protem c2 // J. Infect. Dis. 2007. V. 196. P. 372–381.

Geisbert T. W., Pushko P., Anderson K. et al. Evaluation in nonhuman primates ofvaccines against Ebola virus // Emerg. Infect. Dis. 2002. V. 8. № 5 P. 503- 5G7.

Georges-Courbot М. C., Sanchez A., Lu Ch. Y. et al. Isolation and phylogenetic characterization of Ebola viruses causing different outbreaks in Gabon // Emerg. Infect. Dis. 1997. V. 3. № 1. P. 59–62.

Gerhard F. Brucella suis in aerated broth culture III. Continuous culture studies //J Bacteriol. 1946. V. 52. № 3. P. 283–292.

Ghigo E., Kartenbeck J., Lien P. et al. Ameobal pathogen mimivirus infects macrophages through phagocytosis // PLoS Pathogens. 2008. V. 4. № 6. P. 1–17.

Gibney K., Cheng A. C., Currie B. Cutaneous melioidosis.n the tropical top end ofAustralia: a prospective study and review of the literature // Clin. Infec Dis. 2008. V. 47. P. 603 609.

Gitgis H., Hottes A., Tavazoie S. Genetic architecture of intrinsic antibiotic susceptibility // PLoS ONF. 2009. V. 4, Is. 5. P. 5629.

Godoy D., Randle G., Simpson A. J. et al. Multilocus sequence typing and evolutionary relationships among the causative agents of melioidosis and glanders, burkholderia psendomallci and Burkholderia mallei // J. Clin. Microbiol. 2003. V. 41. P. 2068 2079.

Goff A. J., Chapman J., Foster C. et al. A novel respiratory model of infection with monkeypox virus in Cynomolgus macaques // J. Virol. 2011. V. 85 № 10. P. 4898 4909.

Goh E. B., Yim G., Tsui W. et al. Transcriptional modulation of bacterial gene expression by subinhibitory concentrations of antibiotics // Proc. Natl. Acad Sci. USA. 2002 V. 99. P. 17025-17030.

Goldberg М., Longer R., Jia X. Nanostructured materials for applications in drug delivery and tissue engineering // J. Biomater. Sci. Polym. 2007. V 18. № 3. P. 241–268.

Goncalves D. M., de Liz R., Girard D. Activation of neutrophils by nanoparticles // The Sci. World J. 2011 V 11. P. 1877–1885.

Gondor J. C., Kishimotc R. A., Kastello M. D. et al. Gynomolgus monkey model for experimental Q fever infection // J. Infect Dis. 1979. V. 139 № 2 P. 191–196.

Gooalow R. J., Leonard F. A. Viability and snfectivity of microorganisms in experimental airborne infection // Bad Reviews. 1961. V. 25. № 3 P. 182–187.

Gorman S, Viseshakul N, Col.en B. et al. A recombinant adenovirus that directs secretion of biologically active κ-bungarotoxin from mammalian cells // Molecular Brain Research 1997. V. 44, № 1. P. 143–146.

Gould I. A, Buckley A., Groeger B K. et al. Immune enhancement of yellow fever virus neurovirulence formice: studies of mechanisms involved // J. Gen. Virol. 1987. V. 68. № 3. P. 105- 12C

Green Т. М., Eigelsbach H. T. Immunity in tularemia: report of two cases of proved reinfection // Arch. Int Med. 1950. V 85. P. 777

Grеепе I. P., Paessler S., Austgen L. et al. Envelope glycoprotein mutations mediate equine amplification and virulence of epizootic Venezuelan equine encephalitis virus // J. Virol. 2005. V. 79. № 14. P. 9128–9133.

GreeneC. М., Reefhuis J., Christina Tan C. et al. Epidemiologic investigations of bioterronsm-related anthrax, New Jersey, 2001 // Emetg. Infect. Dis 2002. V. 8. № 10. P. 1048—1050

Griffith K. S., Mead P., Armstrong G. L. et al. Bioterrorism-relatcd inhalational anthrax in an eiderly woman, Connecticut, 2001 // Emerg. Infect. Dis. 2003. V. 9. № 6. P. 681–688.

Griffiths G. D., Phillips G. J., Holley J. Holley inhalation toxicology of ricin preparations: animal models, prophylactic and therapeutic approaches to protection // Inhal. Toxicol. 2C07. V. 19. P. 873 -887

Guame-J., Jernigan J. A., Wun-Ju Shieh et al. Pathologyano pathog inesis ofbioterrorism-reiated inhalational anthrax // Amer. J. Pathol. 2003. V. 163. № 2. P. 701–709.

GuamerJ., Zaki S. R. Histopathology and immunohistochemistry in the diagnosis of bioterroiism agents // J. Histochem. Cytochem. 2006. V. 54. № 1. P. 3—11.

Gubser G., Hue S., Kellam P. et al. Poxvirus genomes: a phylogenetic analysis // J. Gen. Virol. 2004. V. 85. P. 105–117.

Guillemin J. Scientists and the history of biological weapons, a brief historical overview cf the development of biological weapons in the twentieth century // EMBO Rep. 2006. V. 7. S45—S49.

Guillemin J. The 1979 anthrax epidemic in the USSR: applied science and political controversy // Proceeding of the American Philosophical Society. 2002. V. 146. № 1. P. 19–36.

Guiyoule A., Gerbaund G.,Buchrieser C. et al. Transferable plasmid-mediated resistance of Yersinia pestL // Emerg. Infect. Dis. 2001. V. 7. P. 43–48.

Gyles C. L. Shiga toxin-producing Escherichia coli: An overview // J. Anim. Sci. 2007. V. 85. P. 45–62.

Hacein-Bey-Abina S., Gamgue A., WangC. P. et al. Inserlional oncogenesis in 4 patients after retrovirus-mediated gene therapy of SCID-X1 // J. Clin. Invest. 2008. V. 118. R 3132–3142.

Hacein-Bey-Abina S., Hauer J., Ltm A. et al. Efficacy of gene therapy for X-linked severe combined immunodeficiency // N. Engl. J. Med. — 2010 — V. 363. № 4. F 355–364.

Hacein-Bey-Abina S., le Deist F., CarherF. ei al. Sustained correction of X-hnked severe combined.mmuno-deficiency by ex vivo gene therapy // N. Engl. J. Med. 2002. V. 346. P. 1185–1193.

Hacein-Bey-Abma S., von Kalle C., Schmidt M. ei al. A serious adverse event after successful gene therapy for X-hnked severe combined immunodeficiency // N. Engl. J. Med. 2003. V. 348. № 3. P. 255–256.

Hacem-Bey-Abina S., Von Kalle C., Schmidt M. et al. LM 02-associated cional T-cell proliferation in two patients after gene therapy for SCIDX1 [see comment] // Science 2003. V. 30?. P. 415–419.

Hackstadt Т., Peacock M. G., Hitchcock P. Jet al. Lipopolysaccharide variation in Coxiella hurnettii: intrastrain heterogeneity m structure and antigenicity // Infect. Immun. 1985. V. 48. № 2. P. 359–365.

Haensch S., Bianucci R., Signoli M. et al. Distinct clones, or Yersinia pestis caused the Black Death // PLoS Pathog. 2010. V. 6. № 10. P. elOOl 134. doi: 10.1371/journal.ppat 1001134

Hahn C. S., Lustig S., Strauss E. G. et al. Western equine encephalitis virus is a recombinant virus // Proc. Natl. Acad. Sci. USA. 1988. V. 85. P. 5997–6001.

Halama A., Kulinski M, Librowski T. et al. Polymei based non-viral gene delivery as a concept for the treatment of cancer // Pharm. Rep 2009. V. 61. P. 993–999.

Halfmann P., Kim Jin Hyun, Ebihara H. et al. Generation of biologicallv contained Lbola viruses // Proc. Natl. Acad. Sci. USA. 2008. V. 105. № 4. P. 1129–1133.

HailingS. М., Detillux F. G., Tatum F. M. et al. Deletion of the BCSP31 gene of Brucella abortus by replacement // Infect. Immun. 1991. V. 59. № 11. P. 3863–3868.

Halpem J., Neale E Neurospecific binding internalization and retrograde axonal transport // Cun Top. Microbiol. Immunol. 1995. V. 195. № 1. P. 221–241.

Halstead S. В, Rojanasuphot S., Sangkawibha N. Original antigenic sin in dengue // Am. J. Trap. Med. Hyg. 1983 V. 32. № 1. P. 154–156.

Hanifm С T. The chemical and evolutionary ecology of tetrodotoxin (TTX) toxicity in terrestrial vertebrates // Mar. Drugs. 2010. V. 8. P. 577–593.

Hjolin N. I., Yun N., Zacks M. A. et al. Recombinant alphaviruses are safe and useful serological diagnostic toolls // Am. J. Trop. Med. Hyg. 2007. V. 76. № 4. P. 774–781

Нага T. J. Gustatory detection of tetrodotoxin and saxitoxin, and its competitive inhibition by quinine and strychnine in freshwater fishes // Mar. Drugs. 2011. V 9. P. 2283–2290.

Harty R. No exit: targeting the budding process to inhibit filovirus replication // Antiviral. Res. 2009. V. 81. № 3. P. 189–197.

Hartzell J., Wood-Morris R., Martinesz L. et al. Q fever: epidemiology, diagnosis, and treatment // Mayo Clin. Proc. 2008. V. 83. № 5. P. 574–579.

Harvie P., Wong F. M, Bally М. B. Use of poly(ethylene glycol) — lipid conjugates to regulate the surface attributes and transfection activity of lipid — DNA particles // J. Pharro Sci 2000. V. 89 P. 652–663.

Hatheway C. L. Toxigenic Clostridia // Clinical. Microbiol. Rev. 1990. V. 3. № 1. P. 66–98.

Hauri A. М., Hofstetter I., Seibold E. et al. Investigating an airborne tularemia outbreak, Ge.many // Emerg. Infect. Dis. 2010. V. 16. № 2. P. 238–243.

HauseslerS., Nimtz М., Domke T. et al. Purification and characterisation of a cytotoxic exolipid of Burkholderia pseudomallei // Infect Immunol. 1998. V. 66. P. 1588–1593.

Hawkey P. W. The origins and molecular basis of antibiotic resistance // BMJ. 1998. V. 317. P. 557–560.

Health aspects of chemical and biological weapons. Report of a WHO group of consultants, WHO, Geneva, 1970

Hearings before the select committee to study governmental operations with respect to intelligence activities of the United States Senate. Ninety-fourth congress, 1st session. Volume 1. Unaut horized storage of toxic agents. Sept. 16,17,18; 1975 Washington, U. S. Government Printing Office, 1975.

Hearings before the subcomimttee on health and scientific research of the committee on human resources of the United States Senate Ninety-fifth congress. 1 st session on examination of serious deficiencies in the defense department efforts to protect the human subjects March 8, May 23/1977. Washington, U S. Government Printing Office, 1977. P. 5–6.

Heath F., Haria P., Alexander C. Varying polimer architecture to deliver drugs // AAPS J. 2007. V. 9. № 2. P. E235-E240.

Henchal E. A, McCown J. М., Burke D. S. et al. Epitopic analysis of antigenic determinants on the surface of dengue-2 virions using monoclonal antibodies // Am. J. Trop. Med. Hyg. 1985. V. 34. P. 164–169.

Hendrickson R. C., Wang C., Hatcher E L. et al. Orthopoxvirus genome evolution: the role of gene loss // Viruses. 2010. V. 2. P. 1933–1967

Henke! J. S, Baldwin М. V, BarbieriJ. T. Toxins from bacteria // EXS. 2010. № 100. P. 1—29.

Henning S. J., Ledley F. D. Патент США 5821235, МПК6 A61K 31/704; A61M 5/14; C12N 15/09. Gene therapy using the intestine / заявитель Baylor College of Medicine, США; заявл. 20.01.1995, 376473; опубл. 13.10.1998

Herrero В. A., Ecklung A. E., Streett C. S. et al. Experimental botulism in monkeys — a clinical pathological study // Exp. Mol. Pathoi. 1967. V. 6. № 1. P. 84–95.

Hersh S. Chemical and biological warfare: America’s hidden arseral. London. 1968.

Hicks K. W., Sweeney D A., Cui X. et al. An overview of anthrax infection including the recently identified form of disease in injection drug users // Intensive Care Med. 2012. V. 38. № 7. P. 1092–1104.

Hidy J. M. Generation of particulate clouds // In: Aerosole. An industrial and environmental science / Higy G. M„N. Y., 1984. Ch. 4 P. 119–162.

Hill K. K., Xie C., Foley В. T. et al. Recombination and insertion events involving the botulinum neurotoxin complex genes m Clostridium botulinum types А, В, E and F and Clostridium butyricum type E strains // BMC Biol. 2009. V. 7 (doi:10 1186/1741-7007-7-66).

Hirst L. F. The conquest of plague. A study of the evolution of epidemiology Oxford, 1953.

Hoet P., Brbske-Hohlfeld I., Salata O. Nanuparticles — known and unknown health risks // J. Nanobiotech. 2004. V. 2 (http://wwwjnanobiotechnology.eom/content/2/1/12).

Hoffmann K., Hermanm-Clausen М… Buhl C. et al. A case of palytoxin poisoning due to contaci with zoan-thid corals through a skin injury // Toxxon. 2008. V. 51. № 8. P. 1535–1537.

Hoffmaster A. R., Fitzgerald С. C. et al. Molecular subtyping of Bacillus anthracis and the 2001 bioterronsm-associated anthrax outbreak, United States // Emerg. Infect. Dis. 2002 V 8. № 10. P. 1011–1016.

Hoffmasier A. R., Ravel J., Rasko D. et al. Identiflcauon of antnrax toxin genes in a Bacillus cereus associated with an illness resembling inhalation anthrax // Proc. Natl. Acad. Sci. USA. 2004. V. 101. № 22. P. 8449–8454.

Holland S., Spindler K., HoroJlevski F et al. Rapid evolution of RNA genomes // Science. 1982. V. 215. P. 1577–1585

Holmbeig S. D., Blake P. A. Staphylococcal food poisoning in the United States // JAMA, 1984. V. 251 № 4. P. 487–489.

Holser E. Botulism durch ingalation // Med. Klin. 1962 V. 57 p) 735—1738.

Holtz T. //., Ackelsberg J, Kool J. L. et al. Isolated case of bioterrorism-related inhalational anthrax, New York City, 2001 // Emerg. Infect. Dis. 2003. V. 9. № 6. P. 689–695.

Homaira N., Rahman М., Luby S. P. et al. Multiple outbreaks of puffer fish intoxication in Bangladesh, 2008 // Am. J. Trop. Med. Hyg. 2010. V. 83. № 2. P. 440–444.

Hornstt J. Н., Pearson Т., Georgia S. et al. Molecular epidemiology of glanders, Pakistan // Emerg. Infect. Dis. 3009. V. 15. № 12. P. 2036–2039.

Hsu V P., Lukacs S., Handzel T. et al. Opening a Bacillus anthracis containing envelope, Capitol Hill, Washington, D.C.: The public health response // Emerg. Infect. Dis. 2002 V 8. № 10. P. 1039–1043.

Hu Y., Tang G., Liu J et al. FGF Receptor-Mediated Gene Delivery Using Ligands Coupled to PEI-P-GyD // J. of Biomed. and Biotech. 2012. (doi:10.1155/2012/989235).

Hughes A. L., Irausquin S., Friedman R The evolutionary biology ot poxviruses // Infect. Genet. Evol. 2010. V 10. № 1 (50. doi:10.1016/j.meegid.2009.10.001).

Hugh-Jones M. Wickhan Steed and german biological warfare research // Intelligence and National Security. 1992. V. 7. № 4. P. 379–402.

Huijsmans C., Schellekens J., Wever P. et al. Single-nucleotide-polymorphismgenotyping of Coxiella burnetii during a Q fever outbreak in the Netherlands // Appl. Environ. Microbiol 2011. V 77. № 6 P. 2051–2057.

Huis D, Wuthiekanun V, Cheng A. et al. Short report the role and significance of sputum cultures in the diagnosis of melioidosis // Am. J. Trop. Med. Hyg. 2005. V. 73. Nb 4. P. 657–661.

Hunt R. Ricin. Washington, DC. American University Experiment Station; 1918. P. 107–117.

Huxsoll D. L., Patrick W.C., Parrott С. D. Veterinary services in biological disasters // J. Am Vet. Med. Assoc. 1987. Vol. 190. № 6. P. 714–722.

Ikaheimo I., Syrjala H., Karhukoipi J. et al. In vitro antibiotic susceptibility of Francisella tularensis isolated from human and animal // J. Antimicrob. Chemother. 2000. V. 46. P. 287 -200

Inder М. V., Nikunj S. Gene therapy promises problems and prospects // Nature. 1997. V. 389. P. 239—242

Inglesby Т., Dennis D., Henderson D. et al. Plague as a biological weapon: medical and public health management // JAMA. 2000. V. 283. № 17. P. 2281–2290.

Inglis T. J. J., GarrowS. C., Henderson M. et al. Burkholderia pseudomallei traced to water treatment plant in Australia // Emerg. Infect. Dis. 2000. V. 6. P. 56–59.

Inglis Т., Rigby T„Rooertson T. et al. Interaction between Burkholderia pseudomallei and Acanthamoeba species results in coiling phagocytosis, endamebic bacterial survival, and escape // Infect. Immunuy. 2000 V. 68. № 3. P. 1681–1686.

Inglis Т., Sagripanti J. Environmental factors that affect the survival and persistence of Burkholderia pseudomalle, // Appl. Environmen. Microbiol. 2006. V. 72. № 11. P. 6865–6875.

Ishiguro M., Takahashi Т., Funatsu G. et al. Biochemical studies on ricin. I. Purification of ricin // J. Biochem. (Tokyo). 1966. V. 55. P. 587–592.

Ito E., Yasumoto T. Toxicological studies on palytoxin and ostreocin- D administered to mic< by three different routes // Toxicon. 2009. V. 54. P. 244 251.

Ivins В. E., Welkos S. L. Cloning and expression of tne Bacillus anthracis protective antigen gene in Bacillus subtilis // Infect. Immun. 1986, V. 54. № 2 P. 537–542.

Ivins В E., Welkos S. I., Knudson G. B. et al. Immunization against anthrax with aromatic compound-dependent (Aro-) mutants of Bacillus anthracis and with recombinant strains of Bacillus subtilis that produce anthrax protect,ve antigen // Infect. Immun. 1990. V. 58. № 2. P. 303–308.

Ivins В. E., Welkos S. L, Knudson G. B. et al. Transposon Tn916 mutagenesis in Bacillus anthracis // infect. Immun. 1988. V. 56 № 1. P. 176–181.

Jackson A. C., Sengupta S. K., Smith J. F. Pathogenesis of Venezuelan equine encephalitis virus infection in mice and hamsters // Vet. Pathol. 1991. V. 28. P. 410–418.

Jarkson P. J., Ramsay A. J., Christensen С D et al. Expression of mouse interleukin-4 by a recombmant ectromeha virus suppresses cytolytic lymphocyte responses and overcomes genetic resistance to mousepox // J. Virol. 2001. V.75. № 3. P. 1205–1210.

Jackson P. J., Walthers E. A., Kalif A. S. et al. Characterization of the variable-number tandem repeats in vrrA from different Bacillus anthracis isolates // Appl Environ. Microbiol. 1997. V. 63 P. 1400 1405.

Jager C., Willems H., Thiele D. et al. Molecular charactenzation of Coxiella burnetii isolates // Epidemiol. Infect. 1998. V. 120. P. 157–164.

Jahrhng P., Hensley L., Martinez M. Leduc J. W. et al. Exploring the potential of variola virus infection of cynomolgus macaques as a model for human smallpox // Proc. Natl. Acad. Sci. USA. 2004. V. 101. № 42. P. 15196-15200.

Jang Jun-Но, Lee Jong-Soo, Yotsu-Yamashita M. LC/MS Analysis of tetrodotoxin and Its deoxy analogs in the marine nuffer fish Fugu mphobles from the southern coast of Korea, and in the Brackisn water puffer fishes 1 etraodon nigroviridir and Tetraodon biocellatus from Southeast Asia // Mar. Drugs 2010. V. 8. P. 1049–1058.

JerniganD В., Raghunathan P. L., Bell В. P. et al. Investigation of bioterroi ism-related anthrax. Unued States, 2001: epidemiologic findings // Emeig. Infect. Dis. 2002. V. 8. P. 1019–1028.

Jernigan J. A, Stephens D. S., Ashford D. A et al. Bioterrorism-related inhalauonal anthrax: the first 10 cases reported in United States // Emerg. Infect. Dis. 2001. V. 7.933–942.

Jo D. H., Lee T., Kim J. H. Nanotechnology and nanotoxicology in retinopathy //] nt. J. Mol. Sci. 2011. V 12. P. 8288–8301.

Johansson A., Farlow J., Larsson P. et al. Worldwide genetic relationships among Francisella tuiarensis isolates determined by multiple-locus variable-number tandem repeat analysis // J. Bacteriol. 2004. V. 186. № 17. P. 5808–5818.

Johnson E., Jaax N., White J. et al. Lethal experimental infections of rhesus monkeys by aerosolized Ebola virus // Int. J. Exp. Path 1995. V. 76. P. 227–236.

Johnson J. E, Kadull P. J. Laboratory acquired Q fever // Am. J. Med. 19ь6. V. 41. № 3. P. 391–404.

Jones A. L., Beveridge T. J., Woods D. E. Intracellular survival of Burkholderi apseudomallei // Infect Immun. 1996. V. 64. P. 782–790.

Jones L. D., Bennett A. М., Moss S. R et al. Cytotoxic T-cell activity is not detectable in Venezuelan equine encephalitis virus-infected mice // Vims Res. 2003. V 91. № 2. P. 255–259.

Jones М. E., Goguen J., Critchley I. A et al. Antibiotic susceptibility of isolates of Baullus anthracis, a baotei ial pathogen with a potential to oe used in biowarfare // Clin. Microbiol. Infect. 2003. V. 9. P. 984–986.

Jose J., Snyder J. E., Kuhn R. J. A structural and functional perspective of aljjhavirus replication and assembly // Future Microbiol. 2009. V. 4 (837–856. doi:10.2217/r'mb 09.59).

Joubert F. J. Snake venom toxins, the ammo acid sequences of two toxins from Ophiophagus Flannah // biochem. Biophys. Acta. 1973. V. 317. P. 85–98.

Karakousis P. C., Trucksis М., Dumler J. S. Chrome Q fever in the Urnted States // J. Clin. Microbiol. 2006. V. 44. № 6. P. 2283–2287.

Karem К I., Reynolds М., Hughes C. et al. Monkeypox-induced immunity and failure of childhood smallpox vaccination to provide complete protection // Clin. Vac. Immunol. 2007. V. 14. P. 1318–1327.

Karyszkowski L. // Lekarz Wojskowy. 1935. № 12

Katikou P. Chemistry of palytoxins and ostreocins // In Phycotoxins, Chemistry and Biochemistry; Botana L. M., Ed.; Blackwell Publishing: Ames, IA, USA 2007. P. 75–93.

Katikou P. Palytuxin and analogs: ecobiology and oi gin. chemistry, metabolism, and chemical analysis // In Seafood and Freshwater Toxins: Pharmacology, Physiology, and Detection, 2nd ed.; Botana, L.M., Ed.; CRC Press/Taylor & Francis Group: Boca Raton, FL, USA. 2008. P. 631–663.

Keim P., Gruendike J. М., Klevytska A. M. et al. The genome and variation of Bacillus anthracis // Mol. Aspects. Med. 2009. V. 30. № 6 P. 397–405.

Keim P., Johansson A., Wagner D. M. Molecular epidemiology, evolution, and ecologv of Francisella // Arm. N. Y. Acad. Sci 2007. V. 1105 P. 30–66

Keim P., Kalif A, Schupp J. et a.l Molecular evolution and diversity in Bacillus anthracis as detected by amplified fragment length polymorphism markers // J. Bacteriol. 1997. V. 179. P. 818–824.

Keim P., Price L. В., Klevytska A. M. et al. Multiple-locus variable-number tandem repeat analysis reveals genetic relationships within Bacillus anthracis // J. Bacteriol. 2000. V. 182 P. 2928–2936.

Kellmann R., Mihali Т. K, Jeon Y. J. et al. Biosyntheuc intermediate analysis and functional homology reveal a saxitoxin gene cluster in Cyanobacteria // Appl. Environ. Microbiol. 2008. V. 74. № 13. P. 4044–4053.

Kenny D., Russell R., Rrogers D. etal In vitro susceptibilities of Burkholderia mallei in comparison to those of other pathogenic Burkholderia spp. // Antimicrob. Agents and Chemother. 1999. V. 43. № 11. P. 2773–2775.

Kerbrat A. S., Amzil Z., Pawlowiez R. et al. First evidence of palytoxm and 42-hydroxy-paIytoxin in the marine cyanobacterium Trichodesmium // Mar. Drugs, 2011. V. 9 P. 543–560.

Khodakevtch L., JeeekZ., MessingerD. Мопкеурох virus: ecology and public health significance // Bulletin of the World Health Organization. 1988. V. 66. № 6. P. 747–752.

Klee S. K., Brzuszkiewicz E., Nattermann H et al. The genome of a Bacillus isolate causing anthrax in chimpanzees combines chromosomal properties of В cereus with B. anthracis virulence plasmids // PLoS ONE. 2010. V. 5. el0986.

Kiempner M. S, Talbot E. A., Lee S. I. etcl. Case records of the Massachusetts general hospital. Case 25-2010. A 24-year-old woman with abdominal pain and shock // N. Engl. J. Med 2010. V. 363. P. 766–777.

Klenerman P., Zinkemagel R. M. Original antigenic sin impairs cytotoxic T lymphocyte responses to viruses bearing variant epitopes // Nature. 1998. V. 394. P. 482–485.

Knight А. Н., Wynne-Williams J. Е., Willis А. Т. Cutaneous antlirax-the non-industrial hazard // Brit. med. JY. 1969. № 1 P. 416–418.

Ko J., Splitter G. Molecular host-pathogen interaction in Brucellosis: current understanding and future approaches to vaccine development for mice and humans // Clin Microbiol. Rev. 2003. V. 16, Nb 1. P. 65–78.

Koehler T.M., Thorne C.B. Bacillus subtilis (natto) plasmid pLS20 mediates interspecies plasmid transfer // J. Bacteriol. 1987. V. t69. № 11. P. 5271–5278.

Köhler S., Michaux-Charachon S., Porte F et al. What is the nature of the replicative niche of a stealthy bug named Brucella? // Trends Microbiol. 2003. — V. 11 P. 215–219.

Kool J. L. Risk of person-to-person transmission of pneumonic plague // Healthcare epidemiol. 2005. V. 40. P. 1166–1172.

Kortepeter М., Christopher G, Cieslak T. et al. USAMRIID’s medical management of biological casualties. Handbook. Forth Edition Editors. US Army Medical Research Institute of Infectious Diseases (USAMRIID), Fort Detrick, Maryland, 2001.

Kozminsky-Atias A., Bar-Shalom A., Mishmar D. et al. Assembling an arsenal, the scorpion way // BMC Evolution. Biol. 2008. V. 8 333 (http://www.biomedcentral.com/1471-2148/8/333).

Kreil T. R., Eibl М. M. Pit- and postexposure protection by pass.ve immunoglobulin but no enhancement of infection with a flaviviras in a mouse model // J. Viror. 1997. V. 71. № 4. P. 2921–2927.

Kreitman R. J. Immunotoxins for targeted cancer therapy // The AAPS J. (http://www.aapsj.org). 2006. V. 8. № 3. E532- F551.

Kreitman R. J. Recombinant immunotoxins containing truncated bacterial toxins for the treatment of hematologic malignancies // BioDrugs. 2009. V. 23. № 1. P. 1–13.

Kroca M., Tarnvik A., Sjostedt A. The proportion of circulating gammadelta T cells increases after the first week of onset of tularaemia and remains elcvateo for more than a year // Clin. Exp. Immunol. 2000. V. 120 P. 280–284.

Krug H. F., Wick P. Nanotoxicology: an interdisciplinary challenge // Angew. Chem. Int. Ed. Engl. 2011. V. 50. P. 1260–1278.

Kudo Y., Yasumoto Т., Konoki K. et al. Isolation and structural determination of the first 8-epitype tetrodo-toxin analogs from the newt. Cynups ensicauda popei, and comparison of tetrodutoxin analogs profiles of this newt and the puffer fish, Fugu poecilonotus // Mar. Drugs. 2012. V. 10. P. 655–667.

Kuiper-Goodman Т., Scott P. M. Risk assessment of the mycotoxin ochratoxin A // Biomed. Enviion. Sci. 1989. V. 2. P. 179–248.

Kuruba R., Wilson F., Gao X. et al. Targeted delivery of nucleic acid-based therapeutics to the pulmonary circulation // A^PS J. 2009. V. 11. № 1 P. 23–30.

La Scola B., Audtc S., Robertj tC. et al. A giant virus in amoebae // Science, 2003. V. 299. № 5615 P. 2033.

La Scola B., Elkarkouri K., Li W et al. Rapid comparative genomic analysis for clinical microbiology: The Francisella tularensis paradigm // Genome Res. 2008. V. 18. P. 742–750.

La Scola В, Raoult D. Survival of Coxiella burnetii within free-living amoeba Acanthariueba castellanii // Clin Microbiol. Infect. 2001. V. 7. P. 75–79.

Lacy D. B., Lin H., Melnyk R. A. et al. A model of anthrax toxin lethal factor bound to protective antigen // Proc Natl. Acad Sci. USA. 2005. V. 102. P. 16409-16414

Lacy D. B., Lin H., Melnyk R. A. et al. A model of anthrax toxin lethal factor bound to protective antigen // Proc Natl. Acad. Sci. USA. 2005. V. 102. P. 16409-16414.

Lai X. H, Golovliov I., Sjostedt A. Francisella tularensis induces cytopathogenicity and ape ptosis m murine macrophage: viaamechamsm that requires intracellular bacterial multiplication // Infect. Immun. 2001 V. 69. P. 4691–4694.

Latitha М., Thomas M. Penicillin resistance in Bacillus anthracis // Lancet. 1997. V. 349. Nb 9064. P. 1522.

Lamanna G. Immunological aspects of airborne infection some general consideration of response to inhalation of toxins // Bad, Reviews. 1961. V. 25. Nb 3. P. 323–330.

Lamb K., Lokesh G. L., Sherman M. et al. Structure of a Venezuelan equine encephalitis virus assembly // Virology. 2010. V. 406. № 2. P. 261–269.

Lancaster М. C., Boulter E. A, Westwood J. C. N. et al. Experimental respiratory infection with poxviruses. II Pathological studies // Br. J. Exp. Pathol, 1960. V. 47. № 5. P. 466–471.

Lanciott, R. S., Roehrig J. Т., Deubel Vet al. Origin of the West Nile virus responsible for an outbreak of encephalitis in the Northeastern United States // Science, 1999. V. 286. P. 2333–2337.

Lasaro M. L., Ertl H. New insights on adenovirus as vaccine vectors // Mol. Ther 2009. V. 17. Ns 8. P. 1333–1339.

Laskawi R. The use ofbotuhnum toxin in head and face medicine: An interdisciplinary field // Head & Face Medicine. 2008. V. 4. № 5 (doi:10.1186/1746-160X-4-5).

Lauriano С. М., Barker J. R., Yoon S. S. et al. MgIA regulates transcription of virulence factors necessary for Francisella tularensis intraamoebae and intramacrophage survival // Proc. Natl. Acad. Sci. USA. 2004. V. 101. P. 4246–4249.

Lazar Adler N. R., Stevens J., Stevens M. et al. Autotransporters and their role in the virulence of Burkholderia pseudomallei and Burkholderia mallei I 12011. V. 2. Article 151 (www.frontiersin.org.).

Leaf H. Патент 96/27393 (Al) ВОИС, МПК6А61К38/17; A61K48/00; A61K9/127; A61K38/17; А61К48/ 00; A61K9/127. A dn powder formulation for gene therapyзаявитель Huang Leaf; пате» гооблада-тель Univ. Pittsburgh, США; заявл. 07.03.1995,08/400,089; опубл. 12.09.1996.

Le Duc J. М., Damon I., Meegan J. M. et al. Smallpox research activities: U. S. Interagency collaboration // Emerg. Infect. Dis. 2002. V. 8. № 7. P. 743–745.

Lee A. М., Pasquato A., Kunz S. Novel approaches in anti-arenaviral drug development // Virology. 2011. V. 411. № 2. P. 163–169.

Lee E., Harris. D. J., Siegel J. et al. Патент США 5840710 (А), МПК A61K47/48; A61K48/0C; A61K9/127; C07J41/00; C07J43/00; C12N15/88. Catior.ic amphiphiles containing ester or ether-linked lipophilic groups for intracellular delivery of therapeutic molecules, заявитель Genzyme Corp., США; заявл. 20.10.1995, 546087; опубл. 24.11 1998.

Leenderrz F. H., Yumlu S., Pauli G. et al. A new Bacillus anthracis found in wild chimpanzees and a gorilla from West and Central Africa // PLoS Pathogens 2006. V. 2 № 1. P. f -4.

Leepom A., Yongyod S., Yungyuen T. et al. Emergence of Francisella novicida bacterem ia, Thailand // Emerg. Infect. Dis. 2008. V. 14. № 12. P. 1935–1937

Lemichez E., Flatau G., BruzzoneM. et al. Molecular localization of the Escherichia coli cytotoxic necrotizing factor CNF1 cell-binding and catalytic domains // Mol. Microbiol. 1997. V. 24. № 7. P. 1061–1070.

Leung K., Fong B., Tsoi Yeuk-Ki Analytical challenge: determination of tetrodotoxin in human urine and plasma by LC-MS/MS // Mar. Drugs. 2011. V. 9. P. 2291–2303.

Levine R. S., Peterson A. Т., Yorita K. L. et al. Ecological niche and geographic distribution of human monkeypox m Africa // PLoS ONE. 2007. V. 2 (№ 1: el76. doi.10.1371/journal.pone.0000176).

Levy A., Chang В. J., Abrsott L. K. et al. Invasion of spores of the arbuscular mycorrhizal fungus Gigaspora decipiens by Burkholderia spp. // Appl. Environ. Microbiol. 2003. V. 69. P. 6250–6256.

Li N., Sioutas C., Cho A. et al. Ultrafine particulate pollutants induce oxidative stress and mitochondrial damage // Environ. Health. Perspect. 2003. V. 111. P. 455–460.

Li S., Huang L. Nonviral gene therapy: promises and challenges // Gene Thei 2000. V. 7. № 1. P. 31–34.

Li S., Tan Y., Viroonchatapan E. et al. Targeted gene delivery to pulmonary endothelium by anti-PECAM antiDody // Am. J. Physiol. Lung. Cell. Mol. Physiol. 2U00 V, 278, № 3. P. 504–511.

Li Y., Cui Y, Hauck Y. et al. Genotyping and phylogenetic analysis of Yersinia pestis by MLVA: insights into the worldwide expansion of Central Asia plague foe. // PLoS ONE. 2009. V. 4. № 6 (e6000.doi:10.1371/journal.pone.0006000).

Liepmann H. Death from the science. London, 1937.

Lindler L. E., Lebeda F. J., Korch G. W. Biological weapons defense. N. J., 2005

Lindstrom M., Korkeala H. Laboratory diagnostics ofbotulism // Clin. Microbiol. Rev. 2006. V. 19. P. 298–314.

Liu Chengchu, Zhu Qing, Wu Wenhuietal. Degradable copolymer based on amphiphilic N-octyl-N-quatenary chitosanand low-molecular weight polyethylenimine for gene delivery // Intern. J. of Nanomed. 2012. V. 7. P. 5339–5350.

Liu X. S., Dean D. H. Redesigning Bacillus thuringiensis CryI Aa toxin into a mosquito toxin // Prot Eng. Design. Selec. 2006. V. 19 P. 107–111.

Llewellyn L. E. Saxitoxin, a toxic marine natural product that targets a multitude of receptors // Nat. Prod. Rep. 2006. V. 23. P. 200 222

Lobet Y., Cieplak W., Smith S. G/ et al. Effects of mutations on enzyme activity and immunoreactivity of the SI subunit of pertussis toxin // Infec. Immun. 1989. V. 57 № 11. P. 3660–3668.

Lockman P. R., Koziara J. M., Mumper R. J. et at. Nanoparticle surface charges alter blood-brain barrier integrity and permeability // J. Drug Target. 2004. V. 12. P. 635–641.

Logan W. Mortality in the London fog incident, 1952 // Lancet. 1953. V. 1. P. 336–338.

Logue C. H., Bosio C. F., Welte T. et al. Virulence variation among isolates of western equine encephalitis virus in an outbred mouse // J. Gen. Virol. 2009. V. 90. P. 1848–1858.

Loosmore S, Zealy G. R., Boux H. A. et al. Engineering of genetically detoxified pertussis toxin analogs for development of a recombinant whooping cough vaccine // Infec. Immun. 1990. V. 58, № 5 P. 3653–3662.

Loparev V., Massung R., Esposito J. et al. Detection and differentiation of Old World orthopoxviruses: restriction fragment length polymorphism of the crmB gene region // J. Clin. Microbiol. 2001.V 39. № 1. P. 94–100.

lord M. J., Jolliffe N. A., Marsden C. J. et al. Ricin. Mechanisms of cytotoxicity // Toxicol. Rev. 2003. V. 22. R 53–64.

Lorenz М., WackernageI W. Bacterial gene transfer by natural generic transformation in the environment // Microbiol. Rev. 1994. V. 58. № 3. P. 563–602.

Louzao М., Ares I., Cagide E. Marine toxins and the cytoskeleton: a new view of palytoxin toxicity // FEBS Journal. 2008. V. 275. P. 6067–6074.

LоVullo E. D., Sherrill L. A., Pavelka M. S. Improved shuttle vectors for Francisella tuiarensis genetics // FEM S Microbiol. Lett. 2009 V. 291. № 1. P. 95–102.

Lukashevich I. S., Patterson J., Carrion R. et al. A live attenuated vaccine for Lassa fever made by reassortment of Lassa and Mopeia viruses // J. Virol. 2005. V. 79. № 22. P. 13934—13942.

Lurie M. D., Hoppleston A. G., Abramson S. et al. An evaluation of the method of quantitative air-borne infection and its use in the study of the pathogenesis // Am. Rev. Tubore. 1950. V. 61. P. 765–797.

Lusztig // Bacterienkrieg. zeitschrift fur desinfections und Gesundheitswesen. 1931. № 3.

Lynch V. J. Inventing an arsenal: adaptive evolution and neofunctionalization of snake venom phospholipase A2 genes // BMC Evol. Biol. 2007. V. 7. № 2 (http://www.biomedcentral.eom/147I-2148/7/2).

Lypez S. S., Valenzuela F., Fernandez I. Nydulos pulmonares bilaterales por-brucelosis // Arch. Bronco-neumol. 2011. V. 47. P. 320–321.

Haykawa J., Poon C. // Am. Ind. Hyg. Assoc. 1965. V. 26. № 2. P. 150.

Mahmud Y., Arakawa O., Ichinose A. et al. Intracellular visualization of tetrodotoxin (TTX) in the skin of a puffer Tetraodon nigroviridis by immunoenzymatic technique // Toxicon. 2003. V. 41. P. 605–611.

Maier T.M. Construction and characterization of a highly efficient Francisella shuttle plasmid // Appl. Environ. Microbiol. 2004. V. 70. P. 7511–7519.

Mandal С. C., Gayen S., Basu A. et al. Prediction based protein engineering of domain 1 of Cry2A entomocidal toxin of Bacillus thuringiensis for the enhancement of toxicity against lepidopteran insects // Prot. Eng. Design. Selec. 2007. V. 20. P. 599–606.

Manunta M. D., McAnulty R. J., Tagalakis A. D. et al. Nebulisation of receptor-targeted nanocomplexes for gene delivery to the airway epithelium // PLoS ONE. 2011. V. 6. № 10 (e26768. doi: 10.1371 / journal.pone.0026768).

Marburg and Ebola virus infections: a guide for their diagnosis, management and control. Geneva, WHO, 1977.

Margolis D. A., Burns J., ReedS. R. et al. Case report: septicemic plague in a community hospital in California // Am. J. Trap. Med. Hyg. 2008. V. 78. № 6. P. 868–871.

Marks J. D. Medical aspects of biologic toxins // Anesthesiol. Clin. N Am. 2004. V. 22. P. 509–522.

Marple V. A., Rubow K. L. Aerosol generation concepts and parameters // In: Generation of aerosols and facilities for exposure experiments/Ed. Willeke K., Ann Arbor Science, 1980, Ch. 1. P. 3—29.

Marrie T. J. Coxiella burnetii pneumonia // Eur. Respir. J. 2003. V. 21. P. 713–719.

Martinez-Martinez L., Pascual A., Jacoby G. A. Quinolone resistance from a transferable plasmid // Lancet. 1998. V. 51. P. 797–799.

Mary I., Osterberg L., Chau P. et al. Pulmonary melioidosis // Chest. 1995. V. 108. P. 1420–1424.

Mataraza C., Qin Z. H., Huang Z. et al. Highly efficient molecular delivery into mammalian cells using carbon nanotube spearing // Nature Methods. 2005. V. 2. P. 449–454.

Mattix M. E., Hunt R.E., Wilhelmsen C. L. et al. Aerosolized staphylococcal enterotoxin В-induced pulmonary lesions in Rhesus monkeys // Toxicol. Pathol. 1995. V. 23. № 3. P. 262–268.

Maurin М., Benoliel A. М., Bongrand P. et al. Phagolysosomal alkalinization and the bactericidal effect of antibiotics: the Coxiella burnetii paradigm // J. Infect. Dis. 1992. V. 166. P. 1097–1102.

Mayfield J. E., Bricker B. J., Godfrey H. et al. The cloning, expression, and nucleotide sequence of a gene coding for an immunogenic Brucella abortus protein // Gene. 1988. V. 63. P. 1–9.

McCaul T. F., Banerjee-Bhatnagar N., Williams J. C. Antigenic differences between Coxiella burnetii cells revealed by postembedding immunoelectron microscopy and immunoblotting // Infect. Immun. 1991 V. 59. P. 3243–3253.

McCaul T. F, Williams J. C. Developmental cycle of Coxiella burnetii: structure and morphogenesis of vegetative and sporogenic differentiations // J. Bacteriol. 1981. V. 147. P. 1063–1076.

McClain D. J. Smallpox // Cm. Medical aspects of chemical and biological warfare / Ed. F. R. Sidell, E. T. Ta-fuqi, D. R. Franz. Washington, 1997. P. 539–559.

McCormack М. P., Rabbits Т. Н. Activation of the T-cell oncogene LM02 aftei gene therapy for X-linked severe combii led immunodeficiency // N. Engl. J. Med. 2004. V. 350. P. 913–922.

McLendon М., Apicella М., Allen Lee-Ann H. Francisella tularensis: taxonomy, genetics, and immuno-pathogenesis of a potential agent of biowarfare // Annu. Rev. Microbiol. 2006. V. 60. P. 167–185.

McMahon B. R., Tanaka K., Doyle J. E. et al. A change of heart: cardiovascular development in the shrimp Metapenaeus ensis // Comp. Biochem. Physiol., Part A: Moi- Integr. Physiol. 2002. V. 133. P. 577–587.

Mead P. S., Griffin P. M. Escherichia coli 0157:H7 // Lancet. 1998. V. 352. P. 1207–1212.

Mecsas J., Strauss E. J. Molecular mechanisms of bacterial virulence: type III secretion and pathogenicity islands // Emerg. Infect. Dis. 1996. V. 2. № 4. P. 271–290.

Medical aspects of chemical and biological warfare / Ed E R. Sidell, E. T. Tafuqi, D. R. Franz.Wash., 1997.

Medina C., Santos-Martinez M. J., Radomski A. et al. Nanoparticles: pharmacological and toxicologlcal significance // Brit. J. Pharmacol. 2007. V 150. P. 552–558.

Melito P. L., Qlu X., Fernando I.M. et al. The creation of stable cell lines expres «ng Ebola virus glycoproteins and the matrix protein vp40 and generating Ebola virus-like panicles utilizing an ecdysone inducible mammalian expression system // J. Virol. Meth 2008. V. 148. P. 237–243.

Mercer T. Т., Tillery М. I.,Chow H. K. Operating characteristics otsorne compressed air nebulizers // Mn.Ind. Hyg. Assoc J. 1968. V. 25. P. 68–69.

Meselson М., Gillemin J., Hugn-Jones M et al. The Sverdlovsk anthrax outbreak of 1979 // Science. 1994. V. 209. № 12. P. 1202—1.708

Meyer K. F. Pneumonic plague // Bact. Rev. 1961. V. 25. P. 219–230.

Middlebrook J. L., Franz D. R. Botulinum toxins // Medical aspects of chemical and biological warfare / Edit. F. R. Sidell, E. T. Tafuqi, D R. Franz. Washington, i997.

Miller D. G., Trobrldge G. D., Petek L. M. Laige-scale analysis of adenossociated virus vector integration sites in normal human cells // J. Virol. 2005. V 79. № 17. P. 11434—11442.

Miller J., Engelberg S., Broad W. Germs biological weapons and Amei ica’s secret war. N. Y., 2001.

Miller J., Engelberg S., Broad W. The New York Times. 20ul (05.09.2001).

Mise T., Funatsu G, Ishiguro M. et al. Isolation and characterization of ricin E from castor beans // Agi ic. Biol. Chem. 1977. V. 41. № 10. P. 2041–2046.

Mock M, Fouet A. Anthrax // Annu. Rev. Microbiol. 2001. V. 55. P. 647–671.

Mohapatra N. P., Soni S., Bell B. L. et al. Identification of an orphan response regulator required for the virulence of Francisella spp. and transcription of pathogenicity island genes // Infect. Immun. 2007. V. 75. P. 3305–3314.

Mollaret H. Bref historique de la guerre bacteriologique // Med. et Maladies Infect. 1995. V. 7. P. 402–407,

Monath T. P. Ecology ol Marburg and Eoola viruses: speculations and directions for future research // J. Infer Diseases. 1999. V. 179 (Sup, 1). P. 127–138.

Monath T. P. Lassa fever: review of epidemiology and epizootiology // Bull World Health Organ. 1975. V. 52. P. 577–592

Moore R E., Helfrich P., Patterson G. M. L. The deadh oeaweed of Hana. Oceanus. 1982. V. 25 P. 54–63.

Moore R. E., Scheuer P. J. Palytoxin: a new marine toxin from a coelenterate Ц Science. 1971. V. 172. P. 495–498.

Moos A., Hackstadt T. Comparative virulence of intra- and interstrain lipopolysaccharide vanantc of Coxiella burnetii in the guinea pig model // Infect. Immun. 1987. V. 55. № 5. P. 1144–1150.

Moran Y., Weinberger H., Sullivan J. C. et al. Concerted evoiuuon of sea anemone neurotoxin genes is revealed through analysis of the Nematostella vectensis genome // Mol. Biol Evol 2008. V 25. № 4, P. 737–747.

Morimnto Y, Kobayashi N, Shinohara N. et al. Hazard assessments of manufactured nanomatenals // J. Occup. Health. 2010. V. 52 P. 325–334.

Mortensen L. J., Oberdorster G., Pentlana A. P. et al. In vivo skin penetration of quantum dot nanoparl cles in the murine model: the effect of UVR // Nano Lett. 2008 Айз 8.

Mourez М., Lacy D. B., Cunningham K. et al. 2001: a year of major advances in anthrax toxin research 11 TRENDS in Microbiol. 2002. V.10. № 6. P. 287–293.

Mukinda V., Mwema G., Kilundu M. et al. Reemergence of human monkeypoxin Zaire in 1996 // Lancet. 1997. V 349. № 9063 P. 1449–1450.

Munday R. Palytoxin toxicology: Animal studies // Toxicon. 2011. V. 57. P. 470–477.

Murphy F. A., Schinwald A., Poland C. A. et al. The mechanism of pleural inflammation by long carbon nanotubes: interaction of long tibres with macrophages stimulates them to amplify proinflammator responses in mesothehal cells // Particle and Fibre Toxicology. 2012. V. 9, № 8 (http://www.partic-leandfibretoxicology.com/content/9/1/8).

Murray S. A., Mihail Т. К., Neilan В. A. Extraordinary conservation, gene loss and posiuve selection m the evolution of an ancient neurotoxin // Mol. Biol. Evol. 2011. V. 28. P. 1173–1182.

Nakai H., Storm T. A., Kay M. A. Recruitment of single-stranded recombinant aueno-associated virus vector genomes and intermolecular recombination are responsible for stable transduction of liver in vivo // J. Virol. 2000. V. 74. P. 9451–9463.

Nakayama E., Tomabechi D., Matsuno K. et al. Antibody-dependent enhancement of Marburg virus infection // J. Infect. Dis. 2011. V. 204. S. 3. P. 978–985.

Narisara H., Wuthiekanun V., Boonbumrung K. et al. Biological relevance of colony morphology and phenotypic switching by Burkholderia pseudomallei // J. Bacteriol. 2007. V. 189. № 3 P. 807–817.

Needham J. Science and civilization in China. Cambridge University Press, 1956.

Negredo A., Palacius G., Vazquez-Moron S. et al. Discovery of an ebolavirus-like filovirus in Europe // PLoS Pathog. 2011. V. 7, № 10 (e1002304. doi:10.1371/journal.ppat, 002304).

Neisser A. // Zeitschrift fur desuifechons und gesundheitswesen. 1931. № 5. P. 237.

Nelson М., Lever M., Dean R. et al. Characterization of lethal inhalational infection with Francisella tularensis in the common marmoset (Callithrix jacchus) // J. Med. Microbiol. 2010. V. 59. P, 1107–1113.

Nemmar A., Hoet P., Vanquickentmrre B.et al. Passage ofinhaled particles into the olood circulation in humans // Circulation. 2002. V. 105. P. 411–414.

Ngauy V., Lemeshev Y., Sadkowski L. et al. Cutaneous melioidosis in a man whr i was taken as a prisoner of war by the Japanese during World War II // J. Clin Microoiol. 2005. V 43. P. 970–972.

Nienhuis A. W. Development of gene therapy for blood disordei s // Blood. 2008. V. 111. P. 4431–4444.

Nienhuis A. W., Dunbar С. E., Sorremmo В. P. Genotoxicity of retroviral integration in hematopoietic cells // Molecular Ther. 2006. V. 13. № 6.1031-1049

Nierman W. C., DrShazer D., Kim H. et al. Structural flexibility in the Burkholderia mallei genome // Proc. Natl. Acad. Sci. USA. 2004. V. 101 № 39. P. 14246-14251

Nierman W. C., DeShazc. D., Ktm H. S. et al. Structural ilexibility in the hurkholdt.ic mallei genome // Proc. Natl. Acad. Sci. USA. 2004. V. 101. P. 14246- 14251.

Nieto F. R., Cobos E. J., Tejada M.A.et al. Tetrodotoxin (TTX] as a therapeutic agent for pain // Mar. Drug!. 2012. V. 10 P. 281–305

Nijhuis М., van Maarseveen N. М., BoucherC. A..Antiviral resistance and impact on viral replication capacity: evolution of viruses under antiviral pressure occurs in three phases // Handb. Exp. Pharmacol. 2009. V. 189. P. 299–320.

Noble J., Rich J. Transmission of smallpox by contact and bv aerosol routes in Macaca irus // Bull. Wld. Hith. Org. 19°9 V. 40. P. 279–286.

Noguchi P. Risks and benefits of gene therapy // N. Engl, J. Med. 2003, V, 348, № 3, P. 193–192.

Noguchi T., Arakawa O. Tetrodotoxin — distribution and accumulation in aquatic organisms, ana cases of human intoxication // Mar. Drugs. 2008. V. 6. P. 220–242.

Noguchi Т., Ebesu J. S. M. Puffer poisoning: epidemiology and treatment // J. Toxicol. 2001 V. 20. P. 1–10.

Nordmann P.. PoirelL. Emerging carbapenemases in gramnegative aerobes // Clin. Microb. Infect. 2002. V. 8. P. 321–331.

Oberddrster G., Oberdurster K., Oberdurster J. Nanotoxicology: an emerging discipline evolving from studies of ultratine particles // F nviron. Health. Perspect. 2005. V. 113. P. 823–839.

Ohana P., Gofru O., Sayesh S. et at. Regulatory sequences of the H19 gene in DNA based therapy of bladder cancer // Gene. Ther. Mol. Biol. 2004. V. 8. P. 181–192.

Okano H., Masuoka H., Kamei S. et al. Rhahdomyolysis and myocaraial damage induced by palytoxin, a toxin of blue humphead parrottish // Int. Med. 1998. V. 37. P. 330–333.

Olson К. B. Aum Shinrikyo: once and future threat // Emerg. Infect. Dis. 1999. V 5. P. 513–514.

Omsland A., Beare P. A., Hill J. et al. Isolation from animal tissue and genetic transformation of Coxiella burnetii are facilitated by an improved axenic growth medium // Appl. Environ. Microbiol. 2011. V. 77. P. 3720–3725.

Omsland A. et al. Host cell-free growth ofthe Q fever bacierium Coxiella burnetii // Proc. Natl. Acad, Sci. USA. 2009. V. 106. P. 4430–4434.

Ong C., Huey Ooi C., Wang D. et al. Patterns of large-scale genomic varianon in virulent and avirulent Burkholderia species // Genome Res. 2004. V. 14. P. 2295–2307.

Overholt E. L., Tigertt W. D., Kadull P. J. et al. An analysis of forty-two cases ot laboratory-acquired tularemia // Amer. J. Med. 1961. V. 30. № 5. P. 785–806.

Paessler S., Fayzulin R. Z., Anishchenko M. et al. Recombinant Sindbis/Venezuelan equine encephalitis virus is highly attenuated and immunogenic // J. Virol. 2003. V. 77. № 17. P. 9278–9286.

Paessler S., Yun N Е., Judy В. М. et al. Alpha-beta Т cells provide protecuon against lethal encephalitis in the murine model of VEEV infection // Virology. 2007. V. 367. № 2. 307–323.

Pahlitzsch R., Hammarin A., Widell A. A case of facial cellulitis and necrotizing lymphadenitis due to cowpox virus infection // Clin. Infec. Dis. 2006. V. 43. P. 737–742.

Palese P. RNA virus vectors: where are we and where do we need to go? // Proc. Natl. Acad. Sci. USA. 1998. V. 95 № 22. P. 12750-12752.

Pardo-Lypéz L., Comes I., Rausell С. et al. Structural changed of of the eCry1Ac oligomeric pre-pore from Bacillus thuringiensis // Biochemi. 2006. V. 45. P. 10329-10336.

Pardo-Lypéz L., Munoz-Garay C., Porta H. Strategies to improve the insecticidal activity of Cry toxins from Bacillus thuringiensis // Peptides. 2009 V 30. № 3. P. 589–595.

Pardridge W. M. Drug and gene targei.. ig to the brain with molecular Trojan horses // Nat. Rev. Drug Discov. 2002. V. l. P. 131–139.

Park K. W., Kim D.. ParkC.Y.etal Fatal systemic infection with multifocal liver and lung nodules caused by Brucella abortus // Am. J. Trop. Med. riyg. 2007. V. 77 № 6. P. 1120–1123.

Partikian A., Mitchell W. G. Iatrogenic botulism in a child with spastic quadriparesis // J. Child. Neurol. 2007. V. 22. № 10. P. 1235–1237.

Patcka J., Splino M., Mgrka V. Botulism and bioterrorism: how serious is this i iroblem? // Acta Memoa (Hradec Kralove). 2005. V. 48. № 1. P. 23–28.

Patra G., Vaissaire J. E., Weber-Levy M. et al, Molecular characteiization of Bacillus strains involved in outbreaks of Anthrax in France in 1997 // J. Clin. Microbiol. 1998. V. 36. № 11. P. 3412–3414.

Patric W. III. Biological warfare scenanos // Firepower in the Lab. Automat, in the Fight against Infect. Dis. and Bioter. / S. P. Layne (Eds.). Washington, D. C.: Joseph Henry Press. 7001. P. 215–223.

Pavlin J. A. Epidemiology of bioterronsm // Emerg. Infect. Dis. 1999. V. 5. № A P. 528–530.

Pavlov V. М., Mokrievich A. N. Cryptic plasmid pFNL10 from Francisella novicida-like F6168: the base of plasmid vectors for Francisella tuiarensis // FEMS Immunol. Med. Microbiol 1996. V. 13. P. 253—256

Paweska J., Sewlall N. H., Ksiazek T. J. et al. Nosocomial outbreak of novel arenavirus infection: Southern Africa // Emerg. Infect. Dis. 2009. V 15 № 10. P. 1598–1602.

Pearce L. B., First E. R., Maccallum R. D. et al. Pharmacologic characteiization of botulinum toxin for basic science and medicine // Toxicon. 1997. V. № 9. P. 1373–1412.

Pearson Т., Busch J. D., Ravel J. et al. Phylogenetic discovery bias in Bacillus anthracis using single-nucleou-Je polymorphisms from whole-genome sequencing // Proc. Natl. Acad. Sci. USA. 2004. V. 101. P. 13536-13541.

Pechous R., McCarthy T. R, Zahrt Т. C. Working toward the future insights into Francisella tuiarensis pathogenesis and vaccine development // Microbiol. Mol. Biol. Rev. 2009. V. 73. № 4. P. 684–711.

Peraica М., Radic B., Lucic A. et al. Toxic effects of mycotoxins in humans // Bulletin of the World Health Organization. 1999. V. 77. № 9. P. 754–766.

Pema N. Т., Mayhew G. F., Posfai G. et al. Molecular evolution of a pathogenicity island from entero-hemorrnagic Escherichia coll 0157:H7 // Infect Immun. 1998. V 66. P. 3810–3817.

Peter M. Bennett integrons and gene cassettes: a genetic construction kit for bacteria // J. Antirmcrob. Che-mother. 1999. V. 43. P. 1–4.

Petersen J. М., Carlson J. K., Dietrich G. et al. Multiple Francisella tuiarensis subspecies and с lades tularemia outbreak, Utah // Emerg. Infect. Dis. 2008 V. 14. № 12. P. 1928–1930.

Peterson A. T., Carroll D. S., Mills J. N. et al. Potential mammalian filovirus reservoirs // Emerg. Infecl Dis. 2004. V. 10. № 12. P. 2073–2081.

Petosa C., Collier P., Klimpel K. R. et al. Crystal structure of the anthrax toxin protective antigen // Nature. 1997. V 385, № 6619. P. 833–838.

Pfeffer М., Dobler G. R. Emergence of zoonotic arboviruses by animal trade and migration // Parasites & Vectors. 2010. V. 3. № 35 (http://www.parasitesandvectors.eom/content/3/l/35).

Pichla-Golton S. L., Lin S. W., Hensley S. E. et al. Effect of preexisting immunity on an adenovirus vaccine vector: in vitro neutralization assays fail to predict inhibition by antiviral ant.body in vivo // 1. Virol. 2009. V. 83. P. 5567–5573.

Pilo P., Perreten V., Frey J. Molecular epidemiology of Bacillus anthracis: determining the correct ongin // Appl. Environ. Microbiol. 2008 V 74. № 9 P. 2928–2931.

Piskurek O., Okada N. Poxviruses as possible vectors for horizontal transfer of retroposons from reptiles to mammals // Natl. Acad. Sci, USA. 2007. V. 104. № 29. P. 12046-12051.

Pitt J. I. Toxigenic fungi which are important? // Med. Mycol. 2000. V. 38 (Suppl. 1). P. 17–22.

PIuta K., Kacprzak M. M. Use of HIV as a gene transfer vector // Act. Biochim. Pol. 1009. V. 56. P. 531—595

Poli M. A., Rivera V. R., Hewetson J. F. et al. Detection of ricin by colorimetric and cnemiluminescence ELISA // Toxicon. 1994. V. 32. № 11. P. 1371–1377.

Pollitzer R. Plague stud.es. 4. Pathology // Bull. World Hlth Org. 1952. V. 5. P. 337–376.

Pomerantsev A. P., Staritsyn N. A. Behavior of heteroiogous recombinant plasmid pCET in cells of Bacillus anthracis // Genetika 1996. V. 32. № 4. P. 500–509.

Pomerantsev A. P., Sukovatova L. V., Marinin L. I. Characterization of a Rif-R population of Bacillus anthracL // Antibiot. Khimioter. 1993. V. 38. № 8–9. P. 34–38.

Portnoy D., Faikow S. Virulence-associated plasmids from Yersinia enterocolitica and Yersinia pest s // J. Bacteriol. 1981. V. 148. P. 877–883.

Powell A., Crozier J., Hodgson H. et al. A case of septicaemic anthrax in an intravenous drug user // В ViC Infectious Diseases, 2011 (http://www.biomedcentral com/1471-2334/11/21/).

Prabhu В. М., Ali S. F., Murdock R. C. et al. Copper nanoparticles exert size and concentration dependent toxicity on somatosensory neurons of rat // Nanotoxicol. 2010. V. 4. P. 150–160.

Pratt W. D., Gibbs P., Schmaljohn A. L. Use of telemetry to assess vaccine-induced protection against parenteral and aerosol infect.ons of Venezuelan equine encephalitis virus in non-human primates // Vaccine. 1998. V. 16. № 9-10. P. 1056–1064.

Price E. E., Seymour M. L., Sarovich D. S. et al. Molecular epidemiologic investigation of an anthrax outbreak among heroin useis, Europe // Emerg. Infect. Dis. 2012. V. 18. № 8. P.1307–1313.

Promdonkoy B., Ellar D. J. Membrane pore architecture of a cytolytic toxin from Bacillus thuringiensis Biochem J. 2000. V 350. P. 275–282.

Pugh C. W., Tabatabai L. B., BrickerB. J. et al. Immunogenicity of Brucella-extracted and recombinant protein vaccines in CD-I and BALB/c mice // Am. J. Vet. Res. 1990. V. 51. P. 1413–1120.

Rajamohan F., Alzate O., Cotrill J. A. et al. Protein engineering of Bacillus thuringiensis delta-endotoxin: mutations at domain 11 of Сгу1лЬ enhance receptor affinity and toxicity toward gypsy moth larvae // Proc. Natl. Acad. Sci. USA. 1996. V. 93. P. 14338-14343.

Ramos V., Vasconcelos V. Palytoxin and analogs: biological and ecological effects // Mar. Drugs. 2010. V. 8. P. 2021–2037

Ramsay C. N, Stirling A., Smith J. et al. An outbreak of infection with Bacillus anthracis in injecting drug users in Scotland // Eurosurveillance. 2010 V. 15. Is. 2 (14января).

Raoult D. Treatment of Q Fever // Antimicrob. Agents and Chemother. 1993. V. 37. № 9. P. 1733–1736.

Raoult D., Houpikian P., Tissot D. H et al. Treatment of Q fever endocarditis: comparison of 2 regimens con taimng doxycycline and ofloxacin or hydroxychloroqu.ne // Arch. Intern. Med. 1999. V. 159. № 2. P. 167–173.

Raoult D., Torres H., Drancourt. M Shell-vial assay: evaluation of a new technique for determining antibiotic susceptibility, tested in 13 isolates of Coxiella burnetii // Antimicrob. Agents Chemother. 1991. V. 35. P. 2077.

Raper S. E., Chirmule N., Lee F. S. et al. Fatal systemic inflammatory response syndrome in a ornithine transcarbamylasc deficient patient following adenoviral gene transfer // Mol. Genet. Metab. 2003. V. 80 (1–2). P. 148–158.

Rasko D A., Esteban C. D., Sperandio V. Development of novel plasmid vectors and a promoter trap system in Francisella tularensis compatible with the pFLN 10 based // Plasmid. 2007 V 58. № 2. P. 159–166.

Ravel J., Jiang I., Stanley S T et al. The complete genome sequence of Bacillus anthracis Ames «Ancestor» // J. Bacteriol. 2005 V. 191. № E P. 445–446.

Recchia G. D., Hall R. M. Gene cassettes a new class of mobile elemern // Microbiol. 1995. V. 141 (Pt 12). P. 3015–3027.

Reddy A., Battisti I., Thorne С. B. Identificanon of self-transmissible plasmids in four Bacillus thuringiensis subspecies // J. Bacteriol. 1987. V. 169. № 11. P. 5263–5270.

Reed D. S., Lackemeyer M. G., Garza N. L. et al. Severe encephalitis in Cynomolgus macaques exposed to aerosolized Eastern equine encephalitis virus // J. Infect. Dis. 2007. V. 196. P. 441–450.

Reed D. S., Larsen T, Sullivan L. J. et al. Aerosol exposure to Western equine encephalitis virus causes fever and encephalitis in Cynomolgus macaques // J. Infect. Dis. 2005. V. 192. P. 1173—1182

Reed D. S., Lind C. M, Sullivan L. J. et al. Aerosol infection of cynomolgus macaques with enzootic strains of Venezuelan equine encephalitis // J. Intect Dis. 2004. V. 189. P. 1013–1017.

Reed K. D., Melski J. W., Graham М. B. et al. The detection of monkeypox in humans in the western hemisphere // N. Engl. J. Med. 2004. V. 350. P. 342–350.

Reid L. The landing site // Airborne transmission and airborne infection. 1973. N. Y. Toronto, P. 165–173.

Reilly T. J., Baron G. S., Nano F. E et al. Characterization and sequencing of a respiratory burst-inhibiting acid phosphatase from Francisella tularensis // J. Biol. Chem. 1996. V. 271. P. 10973—10983.

Reimer L. G. Q Fever // Clin. Microbiol. Rev. 1993. V. 6. № 3. P. 193–198.

Reitano U. Considerazioni sulla guerra microbica // Riv.di Fanteria. 1937. V. 1. P.78.

Rene D., Smith J. A. Integration site selection by retroviral vectors: molecular mechanism and clinical consequences // Hum. Gen. Ther. 2008. V. 19. F 557–568.

Report from the United Kingdom of Great Britain and Northern Ireland (1992), DDA/4-92/BW111 [P. 213–251], Office of Disarmament Affairs, United Nations, New York. Repot iu'om the United States of America (1992), DDA/4-92/BW111 [P. 252–428], Office of Disarmament Affairs, UN, N Y

Ribot W., Panchal R., Brittingham K. et.al Anthrax lethal toxin impairs innate immune functions of alveolar macrophages and facilitates Вас Hus anthracis survival // Infect. Immun. 2006. V. 74, № 9. P. 5029–5034.

Rigby C. E., Fraser A. Plasmid transfer and plasmid intdiated genetic excnange in Brucella aboi tus // Can. J. \fet. Res. 1989. V. 53. P. 326–330,

Rigoni М., Paoli М., Milanesi E. et al. Snake phospholipase A2 neurotoxins enter neurons, bind specifically to mitochondria, and open their transition pores // J. Biol. Chem. 2008. V. 283. № 49, P. 34013—34020.

Roberts D. М., Nanda A., Havenga M. J. et al. Hexon-chimaeric adenovirus serotype 5 vectors circumvent preexisting anti-vector immunity // Nature. 2006. V. 441. P. 239–243.

Robertson A. G., Robertson L. J. From asps to allegations: biological warfare in history // Militar. Med. 1995. V 160. № 8. P. 369–373.

Robertson L., Farrealalnd I. D., Hinchliffethe P. M. Sensitivity of Brucella abortus to chemotherapeutic agents // 1. Med. Microbiol. 1973. V. 6. P. 544–557.

Robriguez R. // Riq. espan. di Medic. 1937.

Rodriguez P., Alfonso A., Vnle C. et al. First toxicity report of tetrodotoxin and 5,6,1 l-tiideo^yTTX in the trumpet shell Charonia lampas Iampas in Europe // Anal. Chem. 2008. V 80 P. 5622–5629.

Roest H., Ruuls R., Tilburg J. et a!. Molecular epidemiology of Coxiella burnetii from ruminants in 0 fever outbreak, the Netherlands // Emerg, Infect Dis. 2011. V. 17. № 4. P. 008–675.

Rose W. H. An evaluation of entomological warfare as a potential danger to the United States and European Nato Nations // DPG 81–41, US Army Dugway Proving Ground, Utah, 1981.

Roseberg В. H. Analysis of the anthrax attacks // Federation of American Scientists. 2002, 5 february

Rosebury T. Experimental air-borne infection. Baltimor, 1947.

Rosebury T., Kabat E. A. Bacterial warfare, a critical analvsis of the available agents, their possible military applications, and the means for protection against them // J. Immunol. 1947. V. 1. P. 7- 96.

Roux E., Yersin A. Contribution a l’etude de la diphtheria // Annal. de l’Institut Pasteur. 1888. V. 2. P. 629–661.

Rowe-Magnus D. A., Guerout A. М., Ploncard P. et al. The evolutionary history of chromosonial supcnntegrons provides an ancestry for mumresisiant integrons // Proc. Natl. Acad. Sci. USA. 2001. V. 98. P. 652–657.

Roy C. G., Reed D. S., Wilhelmsen C. L. et al. Pathogenesis of aerosolized Eastern Equine Encephalitis virus.nfect.on in guinea pigs // Virol. J, 2009. V. 6(170doi:10,118G/1743-422X-6-170).

Roy K., Mao H., Truong Vu L. et al. Патент США 5972707, МПК6, C12N15/00; Gene delivery system / заявитель The Jons Hopkins University., США; заявл. 09.07.1997,08/890599, опуЬл, 2b. 10 1999.

Ruon К. H., Surlinoj., Quicho F. A. et al. Acetylcholine receptor- a-bungarotoxin interactions: determination ofthe regron-to-region uy peptide-to — pepudc interactions and molecular modeling of the receptor activity // Proc Natl. Acad Sc, USA. 1990 V. 87. P. 6156–6160.

Ruhfel R. E, Robillard N. J., Thorne С. В Interspecies transduction of plasmids among Bacillus anthracis, B. cereus. and B. thuringiensis // J. Bacteriol 1984 V. 157. № 3. P- 708-711

Rusnak J. M Kortepeter М., Ulrich R. et al. Laboratory exposures to staphylococcal enterotoxin В // Emerg. Infeci. Dis. 2004. V. 10. No. 9.1544–1549.

Russell D. W., Hirata R. K. Human gene targeting by viral vectors // Nat. Genet. 1998. V. 18. P. 325–330.

Russell W. С Adenoviruses: update on structure and function // J. Gen Virol. 2009. V. 90. P. 1—20.

Ryan R P., Dow J. M. Diffusible signals and intercedes communication in bacteria // Microbiology. 2008. V. 154. P. 1845–1858

Romieu // Revue de deux mondes. 1934. Т. XXIII. P. 4f.

Sakural F. Development and evaluation of a novel gene delivery vehicle composed of adenovirus set utype 35 // Biol. Pharm. Bu!l 2008. V. 31 № 10 P. 1819–1825.

Salyers A., Abile-Cuevas C. F. Why are antibiotic resistance genes so resistant to elimination? // Antimicrob. Agents Chemother. 1997. V. 41. № 11. P. 2321–2325.

Sam А., Веупоп Н. Wound botulism // N. Engl. J. Med. 2010. V. 363. № 25. P. 2444.

Sanderson W. Т., Stoddard R. R., EchtA. S. et al. Bacillus anthracis contaminai ion and inhalational anthrax in a mail processing and distribution center // J. of Appl. Microbiol. 2004 V. 96. P. 1048–1056

Sandstrom G., Lofgren S., TarnvikA. A capsule-deficient mutant of Francisella tuiarensis LVS exhibits enhanced sensitivity to killing by serum but diminished sensitivity to killing by polymorphonuclear leukocytes // Infect. Immun. 1988 V. 56 P. 1194–1202

Sanford P. C., Barnewall R. E., Vassar M. L. et al. Inhalational botulism in Rhesus macaques exposed to botulinum neurotoxin complex serotypes Al andBl // Clin. and Vac. Immunol. 2010 V. 17. P. 1293–1304.

Sartory A., Sartory R. La Guerre riacteriologique. Pans 1935.

Saslaw S., Eigelsbach H. Т., Prior J. A. et al. Tularemia vaccine study. II Respiratory challenge // Arch Intern. Med 1961. V. 107. P. 702–714.

Saslaw S., Eigelsbach H. Т., Wilson H. E. et al. Tularemia vaccine study. I Intracutaneous challenge // Arch. Intern Med. 1961. V 107. P. 689–701.

Saslaw S., Eigelsbach H. Т., Prior J. A. et al. Tularemia vaccine study. II Respiratory challenge // Arch. Intern. Med. 1961. V. 107. P. 702–714.

Sato S., Nishimura Т., UeharaK.etal Phylogeography of Ostreopsis along West pacific coast, with special reference to a novel clade from Japan // PLoS ONE. 2011. V. 6. № 12 (e27983. doi: 10.1371/journal.pone.0027983).

Sawasdidoln C., Taweechaisupapong S., Sermswan R. W. et al. Growing Burkholderia pseudomallei in biofilm stimulating conditions signifi: antly induces antimicrobial resistance // PLoS ONE 2010 V. 5, № 2 (e9196. dor 10.1371/journal.pore 0009196).

Sawyer W. D, Dangerfield H. G., Hogge A. L.et al. Antibiotic prophylaxis and therapy of airborne tularemia // Bacteriol. Rev. 1966. V 30. P. 542–548.

Sawyer W. D., Jemski J. V., Hogge A. L. et al. Effect of aerosol age on the infectivity of airborne Pasteurella tuiarensis for Macaca mulatta and man // J. Baci 1966. V. 91. P. 2180–2186.

Schad E. М., Zaitseva I., Zaitsev V. N. et al. Crystal structure of the superantigen staphylococcal enterotoxin type A // EMBO J. 1995. V. 14. P. 3292–3301.

Schell M. A., Lipscomb L., DeShazer D. Comparative genomics and an insect model rapidly identify novel virulence genes of Burkholderia mallei // J. Bacteriology 2008 V. 190 № 7. P. 2306 2313.

Schell M. A., Ulrich R., Ribot W. R. el al. Type VI secretion is a major virulence determinant in Burkholderia mallei // Mol. Microbiol. 2007. V. 64 P. 1466–1485.

Schiavo G., Matteoh М., Montecucco C. Nemotoxins affecting neuroexocvtosis // Physiol. Rev. 2000. V, 80. № 2. P. 717–765.

Schiavo G., Montecucco C. The structure and mode of action ol botulinum and tetanus toxins // In: Rood J., McClane B., Songer J, Titball R. editors. The Clostridia molecular biology and pathogenesis. San Diego: Academic Press; 1997. P. 295–322.

Schlievert P. Searching for superantigens // Immunol Infec. 1997 V. 26. № 2 P. 283–290.

Schmitt С. K., Meysick К. C., Brien A. D. Bacterial toxins: friends or foes? // Emerg. Infect. Dis. 1999. V. 5. № 2. P. 224–234.

Schnepf E., Crickmore N, Van RieJ. et al. Bacillus thuringiensis and its pesticidal crystal proteins // Microbiol. Mol. Biol. Rev. 1998. V. 62. P. 705–806.

Schnittler H., Feldmann H. Marburg and Ebola hemorrhagic fevers: does the primary course of Infection depend on ihe accessibility of organ-specific macrophages? // Clin. Infect Dis. 1998. V. 27. P. 404 -406

Schricker R. L., Eigelsbach H. Т., Mitten J. et al. Pathogenesis of tularemia in monkeys aerogenically exposed to Francisella tuiarensis 4251I Infect. Immun. 1972. V. 5. P. 734–744.

Scientific and Technical Advisory Section, GHO, AFPAC. Report on scientific intelligence survey in Japan. September and October 1945. V. 5. Biological Warfare (BIOS/JAP/PR/746).

Seemann P., Gemert C., Schmitt S. et al. Detection of hemolytic bacteria from Palythoa caribaeorum (Cnidaria, Zoantharia) using a novel palytoxin-screemng assay // Anton. Leeuw. Int. J. G. 2009. (doi: 10.1007/ S10482-009-9353-4).

Segenran A., Arnberg, N.. EriksonA et al. There are two different species В adenovirus receptoi a sBAR, common to species B1 and B2 adenoviruses, and sB2AR, exclusively used by species B2 adenoviruses // J. Virol 2003. V. 77. P. 1157–1162.

Sellin L. C. Botulism — an update // Milit Med, 1984. V. 149. № 1. — P. 12–16

Sena Esteves Ki., Saeki Y., FraefelC et al. HSV-1 amplicon vectors — simplicity and versatility // Mol. Ther. 2000. V. 2. № 1. P. 9—15.

Senhgal P., Kumar О., Kameswararao M. et al. Differential toxicity profile of ricin isoforms correlates with their glycosylation levels // Toxicol. 2011. V. 282. № 1–2. P. 56–67.

Seow Y., Wood M. J. Biological gene delivery vehicles: beyond viral vectors // Molecular. Therapy. 2009. V. 17. № 5. P. 767–777.

Seshadri R., Paulsen I. Т., Eisen J. A. et al. Complete genome sequence of the Q-fever pathogen Coxiella burnetii // Proc. Natl. Acad. Sci. USA. 2003. V. 100. № 9. P. 5455–5460.

Seshadri R., ReadT. D.,Niemian W. C. et al. Genomic efforts with biodefense pathogens // Biological weapons defense. N. J., 2005. P. 417–433.

Shannon J. G., Heinzen R. A. Adaptive immunity to the obligate intracellular pathogen Coxiella burnetii // Immunol Res. 2009. V. 43. № 1–3. P. 138–148.

Shannon J., Heinzen R. Adaptive immunity to the obligate Intracellular pathogen Coxiella burnetii // Immunol Res. 2009. V. 43. № 1–3. P. 138–148.

Sharma A., Lia X., Bangari D. S. el al. Adenovirus receptors and their implications in gene delivery // Virus. Res. 2009. V. 143. № 2. P. 184–194.

Shears N. Т., Ross P. M. Blooms of benthic dinoflagellates of the genus Ostreopsis; an increasing and ecologically important phenomenon on temperate reefs in New Zealand and worldwide // Harmful Algae. 2009. V. 8. P. 916–925.

Sherman М. B., Weaver S. Structure of the recombinant alphavirus Western equine encephalitis virus revealed by cryoelectron microscopy // J. Virol. 2010. V. 84. V. 19. P. 9775–9782.

Shimizu Y., Kobayashi M. Apparent lack of tetrodotoxin biosynthesis in captured Taricha torosa and Taricha granulose // Chem. Pharm. Bull. (Tokyo). 1983. V. 31. P. 3625–3631.

Shinzato Т., Furusu A., Nishino T. et al. Cowfish (Umisuzume, Lactoria diaphana) poisoning with rhabdomyolysis // Inter. Med. 2008. V. 47. P. 853–856.

Shvedova A., Kisin E., Mercer R. et al. Unusual inflammatory and fibrogenic pulmonary responses to singlewalled carbon nanotubes in mice // Am. J. Physiol. Lung. Cell. Mol. Physiol. 2005. V. 289. L698-L708.

Sidell R. et al. — cm Medical aspects of chemical and biological warfare / Ed. F. R. Sidell, E. T. Ta-fuqi, D. R. Franz. Washington, 1997.

Silva Т., Costa E., Paixao T.et al. Laboratory animal models for brucellosis research // J. Biomed. Biotechnol. 2011, Article ID 518323. doi: 10.1155/2011/518323

Simionescu M. Lung endothelium: structure-function correlates // The Lung: Scientific Foundations, Raven, N.Y., 1991. P. 301–331.

Simon J., Hook R. Word war I gas warfare tactics and equipment. Oxford, 2007.

Sinclair R., Boone S.A., Greenberg D. et al. Persistence of category a select agents in the environment // Appl. Environ. Microbiol. 2008. V. 74. № 3. P. 555–563.

Singer O., Verma I. M. Applications of lentiviral vectors for shRNA delivery and transgenesis // Curr. Gene Ther. 2008. V. 8. № 6. 483–488.

Sirisanthana Т., Brown A. E. Anthrax ofthe gastrointestinal tract // Emerg. Infect. Dis. 2002. V. 8. P. 649–651.

SkocajM., FilipicM., PetkovkJ. et al. Titanium dioxide in our everyday life; is it safe? // Radiol. Oncol. 2011. V. 45. P. 227–247.

Skold O. Resistance to trimethoprim and sulfonamides // Vel. Res. 2001. V. 32. P. 261–273.

Silva K., Schnierle B. From actually toxic to highly specific — novel drugs against poxviruses // Virol. J. 2007. V. 4. № 8 (doi: 10.1186/1743-422X-4-8).

Smith D. H. R factor infection of Escherichia coli lyophilized in 1946 // J. Bact. 1967. V. 94. P. 2071–2072.

Smith J. F., Davis K., Hart М. K. et al. Viral encephalitidis // Medical aspects of Chemical and Biological Warfare/Ed. F. R. Sidell, E. T. Tafuqi, D. R. Franz. Washington, 1997. P. 561–589.

Smith K. I., Devos V., Bryden H. et al. Bacillus anthracis diversity in Kruger national park // J. Clin. Microbiol. 2000. V. 38. № 10. P. 3780–3784.

Smith P., Giroud М., Wiggins H. et ah Cellular entry of nanoparticles via serum sensitive clathrin-mediated endocytosis, and plasma membrane permeabilization // Inter. J. of Nanomed. 2012. V. 7. P. 2045–2055.

Smoragiewicz W. et al. Trichothecene mycotoxins in the dust of ventilation systems in office buildings // International archives of occupational and environmental health. 1993. V. 65. P. 113–117.

Song H., Hwang J., Yi H. et al. The early stage of bacterial genome-reductive evolution in the host // PLoS Pathog. 2010. V. 6. № 5 (e1000922. doi:10.1371/journal.ppat.1000922).

Song I., Hobaugh М., Shustak C. et al. Structure of staphylococcal alpha-hemolysin, a heptameric transmembrane pore // Science. 1996. V. 274. № 14. P. 1859–1866.

Song Y., Li X., Du X. Exposure to nanoparticles is related to pleural effusion, pulmonary fibrosis and granuloma // Eur. Respir. J. 2009. V. 34. P. 559–567.

Song Y., Li X., Wang L. et al. Nanomaterials in humans: identification, characteristics, and potential damage // Toxicol. Pathol. 2011. V. 39. P. 841–849.

Sonnabend W. P., Sonnabend U. P., Heinzle R. et al. Isolation of Clostridium botulinum type G and identificat.on of type G botulinal toxin in humans: report of five sudden unexpected deaths // J. Infect Dis. 1981. V. 143. № 1. P. 22–27.

Sonnabend W. P., Sonnabend U. P., Kresch T. Isolation of Clostridium botulinum type G from Swiss soil specimens by using sequential steps in an identification scheme // Appl. Environ. Microbiol. 1987. V. 53. № 8. P. 1880–1884.

Sosa S., Del Favero G., De Bortoa Met. al Falytoxin toxicity after acute oral administration in mice // Toxicol. Lett. 2009. V. 191(2–3). P. 253–259.

Soto P. J., Roessler W. G. Staphylococcal enterotoxemia: pathologic lesions in rhesus monkeys exposed by aerosol // Techn.cal Manuscript 226. U.S. Government Printing Office, Washington. 1965. P. 1—16.

Speyer J. P. A simple and effective electroporation apparatus // Bio Technigue. 1990. V. 8. № 1. P. 28 30.

Spicer A. J., Peacock M.G., Williams J. С Effective,<ess of several antibiotics in suppressing chick embryo lethality during experimental infections by Coxiella burnetii, Rickettsia typhi. and R. rickettsii // Rickettsiae and rickettsial diseases. Ed. W. Burgdorfer и R. L. Anacker. 1981, Academic Press, N. V P. 375–383.

Spratt B. G. Independent review of the possible health hazards of the large-scale reiease of bacteria during the Dorset defense trials. 1999 (MoD Website http://www.mod.uk).

Steed W. Aerial warfare: secret German plans // The Nineteenth century and after. 1934. July. V. 116. P. 1—15.

Stenseth N., Atshabar В. B., Begon M. et al. Plague past, present, and future // PLoS Med. 2008. V. 5. № 1. e3. doi: 10.1371/journal.pmed.0050003.

Stepanov A. V., Marinin L. I., Pomerantsev A. P. et al. Development of novel vaccines against anthrax in man // J. Biotechnol 1996. V. 44. P. 155–160.

Stephenson E. H, Larson E. W., Dominik J. W. Lffect of environmental factors on aerosol-induced Lassa virus infection // J. Med. Virol. 1984.V. 14. № 4. P. 295–303.

Stern S., McNeil S. Nanotechnology safety concerns revisited // Toxicol. Sci. 2008. V. 101. V. 4—21.

Strahilevitz J., Jacob) G. A., Hooper D. C. et al. Plasmid-mediated quinolone resistance: a multifaceted inreat // Clin. Microbiol. Rev. 2009. V. 22. № 4. P. 664 689.

Strauss В. E. et al. Combating oncogene activation associated with retrovirus-mediated gene therapy of X-linked seveie combined immunodeficiency // Brazil. J. Med. Biol. Res. 2007. V. 40. P. 601–613.

Strong J. E, Wong G., Jones S. E. et al. Sumulauon of Ebola virus production from persistent infection through activation of the Ras/MAPK pathway // PNAS. 2008. V. 105. № 46. P. 17982-17987.

Stuken A., Orr R. J. S., Kellmann R. et al. Discovery of nuclear-encoded genes for the neurotoxin saxitoxin in Dinoflagellates // PLoS ONE. 2011. V. 6. № 5 (e20096. doi:10.1371/journal.pone.0020096).

Su J., Yang J., Zhao D. et al. Genome-wide identification of Francisella tularensis virulence determinants // Infect. Immun. 2007. V. 75. P. 3089–3101.

Su K., Wang D., Ye J. et al. Site-specific integration of retroviral DN A m human cells using fusion proteins consisting of human immunodeficiency virus type 1 nitegrase and the designed polydactyl zinc-finger protein E2C // Methods. 2009. V. 47. № 4. P. 269–276(doi: 10 1016/j.ymeth.2009 01 001.).

Suh E. М., Kishi Y. Synthesis of palytoxin from palytoxin carboxylic acid // J. Am. Chem. Soc 1994. V. 116. P. 11205-11206.

Suhan M. L., Chen S. Y., Thompson H. A. Transformation of Coxiella burnetii to ampicillin resistance // J. Bacteriol. 1996 V 178. № 9. P. 2701–2708.

Sui L. М., Chen K., Hwang P. A. et al. Identification of tetrodotoxin in marine gastropod implicated in food poisoning // J. Nat. Toxins 3002. V. 11. V. 213–220.

Suk J. S., Suh J., Lai S. K. et al. Quantifying the intracellular transport of viral and nonviral gene vectors in primary neurons // Exp. Biol. Med. (Maywoou) 2007 V. 232. P. 461–469.

Sullivan N., YangZhi-Yong., NabeIG J. Ebola virus pathogenesis: implications for vaccines and therapies // J. Virol. 2003. V. 77. № 18. P. 9733–9737.

Suzuki Y., Gojobori T. The origin and evolution of Ebola and Marburg viruses // Mo1. Biol. Evol. 1997 V. 14. № 8. P. 800–806.

Takada A., Ebihara H., Peldmann H. et al. Epitopes required for antibocy-dependent enhancement of Ebola virus infection // J. Infec. Dis. 2007. V. 196. P. 347–356.

Takada A., Feldmann H., Ksiazek T. G. et al. Annoody-depend;nt enhancement of Ebola virus infection // J. Virol 2003. V. 77. № 13. P. 7539–7514

Takada A., Watanabe S. Okazak K. et al. Infectivity-Enhancing antibodies to Ebola virus glycoprotein // J.Virology. 2001. V. 75. № 5. P. 2324–2330.

Takahashi Н., Keim P., Kaufmann et al. Bacillus anthracis incident, Kamtido, Tokyo, 19931j Emerg. Infect. Dis. 2004. V. 10. № 1. P. 117–119.

Takahata N. Neutral theory of molecular evolution // Curr. Opin. Genet. Dev. 1996. V. 6. № 6. P. 767–772.

Takano Т., Kawakami S., Yamada S. et al. Antibody-dependent enhancement occurs upon re-infection with the identical serotype virus in feline infectious peritonitis virus infection // J. Vet. Med Sci. 2008 V. 70. № 12. P. 1315–1321.

Tan C. Т. T., Lee E. J. /X A fatal case of crab toxin (Lophozozyinus pictor) poisoning // Asia Рас. J. Pharmacol. 1988. V. 3. P. 7–9.

Taniyama S., Arakawa O., Terada M. et al. Ostreopsisspa possible origin of palytoxin (PTX) in parrotfish Scarus ovifrons // Toxicon. 2003. V. 42. P. 29–33.

Tamvik A., Berglund L. Tularaemia // Eur. Respir. J. 2003. V. 21. P. 361–373.

Tavakoli N., Comanducci A., Dodd H. M. et al. IS 1294, a DNA element mat transposes by RC transposition // Plasmid. 2000. V. 44 № 1. P. 66–84.

Taylor R. R. Report on tularemia Its d,agnosis, and treatment // J. Arkansas M See. 1950. V.47.P 47.

Teaie A. et al. Orthopoxviruses require a functional ubiquitin-proteasome system for productive replication // J. Virol. 2009. V. 83. P. 2099 2108.

The problem of chemical and biological warfare SIPRI, 1970.

Thibault F. М., Hernandez £., Vidal D. R. et al. Antibiotic susceptibility of 65 isolates of Burkholderia pseudomallei and Burkholderia mallei to 35 antimicrobial agents // J. Anf imicrob. Chemother 2004. V. 54. P. 1134–1138.

Thierry А. Патент 5908635 (А) США, МП К6 A61K9/I27B2; C12.N15/88. Method forthe liposomal delivery of nucleic acids / заявитель Man Thierry: патентообладатель The United States of America as iepre-sented by the Dep. of Health and Human Service; заявл. 05.08.1994,08/286,730; опубл. 01.06.1999.

Thomas С, KelecherM F., McKee A. P. Botulism a complication of Clostiidium botulinum wound infection // Arch. Pathol. 1951. V. 51, № 6. P. 623–628.

Thompson IV. L., Wunnemacher R. W. Structure-function relationships of 12,-13-epoxytiicothecene mycotoxins in cell culture: comparison to whole animal lethality // Toxicon. 1986. V. 24. P. 985.

Thurmond K., Remsen E. E., Kowalewski T. et. al. Packaging of DNA by shell crosslinked nanoparticles // Nucleic. Acids. Res 1999. V 27. № 14. P. 2966–2971.

Tigera W. D., BenensonA. S., Gochenour W. S. A rborne Q fever // Bacteriol. Rev. 1961. V. 25. P. 285.

Tinkle S. S., Antonmi J. М., Rich B. A. et al. Skin as a route of exposure and sensitization in chronic beryllium disease // Environ. Health. Perspect 2003. V. 111. P. 1202–1208.

Tirado S. М., Yoon К S. Antibody-dependent enchancement of virus infection and disease // Viral. Immunol. 2003. V. 164. № 1. P. 69–86.

Toleman M. A., Bennett P. М., Walsh T. Common regions e.g. orf513 and antibiotic resistance: IS91-like elements evolving complex class 1 integrons // J. Antiimcrob. Chemother. 2006. V. 58. P. 1–6.

Towner J. S., Amman B. R., Sealy Т. K. et al. Isolation of genetically diverse Marburg viruses from Egyptian fruit bats // PLoS Pathog. 2009 V. 5. № 7 (e1000536. doi: 10.1371/journal.ppat. 1000536).

Towner J. S., Sealy T. R. Khristova M. R. et al. Newly discovered Ebola virus assoc ated with yemorrhag.c fever outbreak in Uganda // PLoS Pathog. 2008. V. 4. № 11 (31000212 doi: 10.1371/journal.ppat.l000212).

Townsend Peterson A., Bauer J., Mills J. N. Ecologic and geographic d.stribution of filovirus disease // Emerg. Intect, Dis. 2004. V. 10. № 1. P. 40–47.

Trescos Y., Tournier J-N. Cytoskeleton as an emerging target of anthrax toxins // Toxins. 2012. V. 4. P. 83–97.

Trillat A. Immunization by inhalation // J. Air.. Med Ass. 1932. V. 99. № 7. P. 573–574,

Tsukamoto М., Okuda T. et al. Bovine serum albumin as a lyoprotectant for preparation of DNA dry powder formulations using the spray-freeze drying method // Biol. Pharm. Bull. 2012. V. 35. № 7. P. 1178–1181.

Tuanyok A., Leaden B. R., Auerbach R. et al. Genomic.slandstrom five strains of Burkholderia pseudomallei // BMC Genomics 2008. V. 9 (566 doi: 10.1186/1471-21 o4-9-566).

Tubaro A., Durando P., Del Favero G. et al. Case definitions for human poisonings postulated to palytoxins exposure // Toxicon. 2011. V. 57. P. 4/8- 495.

Tucker J. Toxins: area weapons // Gene Watch 1985. V.2. № 2. P. 10–12.

Turkmani A., loanmdls A., Christidou A et a!. In vitro susceptibilities of Brucella melitensis isolates to eleven antibiotics // Annals of Clin. Microbiology and Antimicrobials. 2006. V. 5 (doi:10.1186/1476-0711-5-24).

Twenhal N. A., Alves D A., Purcell В. K. Pathology of inhalational Francisella tuiarensis spp. tuiarensis SCHU S4 infection in African green monkeys (Chlorocebus aethiops) // Vet. Pathol. 2009 V. 46. P. 598 706.

Ulbrichi W. Sodium channel inactivation- Molecular determinant! and modulation // Physiol. Rev. 2005. V. 85. P. 1271–1301.

Ulrich R. G., Sidell S., Taylor T. et al. Staphylococcal enterotoxin В and related pyrogemc toxins // Medical aspects of Chemic. and Biol. Warfare / Ed. F. R Sidell, E. T. Tafuqi, D. R. Franz. Wash., 1997. R 621

Urich S. K., Petersen J. M. In vitro susceptibility of isolates of Francisella tularensi: types A and В from North America // Antimwrob Agents and Chemother. 2008. V. 52. № 6. P. 2276–2278.

US Army activity in the U.S. Biol, warfare programs. V. 1 and 2. In: Hearings oefore the Subcommittee on Health and Scientific Research of the Committee on Human Resources. United States Senate. 95 Congr. 1 Session. March 8 and may 23, 1977. Washington, U.S. Government Printing Office, P. 22—234.

US Army activity in the U.S Eiolog.cal warfare programs. V. 1. February 24,1977 (Unclassified), P. 57–60, 202–209, 224–234.

US Departments of the Army and Air Force, Militaiy biology and biological agents. March 1964 (TM 3-216 and AFM 355-6).

US Departments of the Army, Navy and Air Force. Employment of chemical and biological agents March, 1966 (FM 3-10; NWIP 36-2; AFM 355-4 FMFM 11-3).

Usamriid’s medical management of biological casualties handbook vForth Edition)/ Edit. M. Kortepeter, G. Christopher, T. Cieslak, R Culpepper, R DarLng, J. Paviin, J. Rowe, K. McKee, E. Eitzen, USAMRHD. Fort Detrick, Maryland, 2001.

Ushkaryov Y. A., Rohou A., Sugita S. a-1 atrotoxin and its receptors // Handb. Exp. Pharmacol. 2008. V. 184. P. 171–206.

Valcarcel C. A., Serra M. D., Potrich C. et al. Effects of lipid composition on membrane permeabilization by sticholysin 1 and II, two cytolysins of the sea anemone Stichodactyla hehanthus // Biophys. J. 200’ V. 80. P. 2761–2774.

Vale-Gonzalez C., Gomez-Limia B., Vieytes M. R et al. Effects of the marine phycotoxin palytoxin on neuronal pH in primary cultures of cerebellar granule cells // J. Neurosci. Res. 2007. V. 85. P. 90–98.

Van Andel R., Sherwood R., Gennings C. et al. Clinical and pathologic features of Cynomolgus macaques (Maca-ca fascicularis) Infected with aerosolized Yersinia pestis // Compar Med. 2008. V. 58 № 1. P. 69–75.

Van Ert M. N., Easterday W. R., Huynh L. et al. Global genetic population structure of bacillus anthracis // PLoS ONE. 2007. Is. 5. e461. doi: 10.1371/journal.pone.0000461.

Van Ert M. N., Easterday W. R., Simonson T. Set al. Sirain-specific single-nucleotide polymorphism assays for the Bacillus anthracis Ames strain // J. Clin Microbiol. 2007. V. 45. P. 47–53.

Vassilevski A. A., Kozlov S. A., Grishin E V. Molecular diversity of spider venom // Biochem. (Moscow». 2009. V 74. № 13. P. 1505–1534

Verger J. М., Grimunt P., urimunt P. et aI Brucella a monospecific genus as shown by deoxyrioonucleic acid hybridization // Int. J. Syst. Bacteriol. 1985. V. 35. P. 292–295.

Verhoeyen E., Cosset F. L. Surface-engmeering of lentiviral vectors // J. Gene Med. 2004 V. 6. P. 83–94.

Vietri N. J., Purcell b. K., Toberry S. A. et al. A short course of antibiotic treatment is effective in preventing death from experimental mhalational anthrax after discontinuing antibiotics // J. Infect. Dis. 2009. V. 199 № 1. P. 336–341.

Vodkin М., Leppla S. H. Cloning of the protective antigen gene of Bacillus anthracis // Cell. 1983. V. 34. P. 693–696.

Vogel S., Sördy M., Glos K. et al. The munich outbreak of cutaneous cowpox infection transmission by infected pet rats // Acta Derm. Venereol. 2011. V 91 (doi: 10.2340/00015555-1227)

Vogler A., Birdsell D., Price L. et al. Phylogeography of Francisella tularensis: global expansion of a highly fit clone Ц1. Bacteriol. 2009. V. 191. № 8. P. 2474–2484.

Volger A., Busch J., Percy — Fine S. e> al. Molecular analysis of rifampin resistance in Bacillus anthracis // Antimicrob. Agents Chemother. 2002. V.46. Ne 2. P. 511–513.

Walker D., McCormick I., Johnson K. et al. Pathologic and Virologic Study of Fatal Lassa Fever in Man // Am. J. Pathol. 1982. V. 107. P. 349–356.

Wallace M. J., Smith D. W, Broom 4 K. et al. Antibody-dependent enhancement of Murray Valley encephalitis virus virulence in mice // J. Gen. Virol. 2003. V 84. P. 1723–1728.

Walters F. S., Stacy Ch. М., Lee М. K. etal An engineered chymotrypsin/cathepsin G site in domain 1 render a BacilluN thuringiensis Cry ЗА active against western coin rootworm larvae // Appl. Environ. Microbiol. 2008. V. 74. P. 367–374.

Wang £., Bowen R. A., Medina G. et cl. Virulence and viremia characteristics of 1992 epizootic subtype Ic \fene zuelan equine encephalitis viruses and closely related enzootic subtype Id strains // Air. J. Trop. Med. Hyg. 2001. V. 65. № 1. P. 64–69.

Wang S., Ma N., Gao S. J. et al. Transgene expression in the brain stem effected by intramuscular :njection of polyethylenimine/DNAcomplexes // Mol. Ther. 2001 V 3. P. 658–664.

Wang Yu-Qiang, Su Jing, Wu Fei et al. Biscarbamate cross-linked polyethylenimine derivative with low molecular weight, low cytotoxicity, and high effic.ency for gene delivery // Intern J. of Nanomed. 2012. V. 7. P. 693–704.

Wanisch K., Yunez-Munoz. R. J. Integration-deficient Lentiviral vectors: a slow coming of age // The American Society of Gene & Cell Therapy. 2009. V. 17 № 8. P. 1316–1332.

Wanisch K., Ynez-Mucoz R. J. Integration-deficient lentiviral vectors: a slow coming of agt // www.mole-culartherapy.org. 2001 V. 17. № 8. P. 1316–1332.

Wannemacher R. W. Anderson J. B. Inhalation ricin: aerosol procedures, toxicology and therapy // Inhalation toxicology, 2nd ed., eds. H. Salem and S. Katz. 2006. P. 973–980.

Warfield K. L., Swenson D.L., Olinger G.G., Nichols D. K. et al. Gene-specific countermeasures against Ebola virus based on antisense phosphorodiamidate morpholino oligomers // PLoS Pathogens. 2006. V 2. Is. I P. 5–13.

WeaverS. C., KangW.L., Shirako Y. et al. Recombinational history and molecular evolution of western equine encepnalomyelitis complex alphav lruses // J. Virol. 1997 V. 71. P. 613–623.

WeaverS. C., Reisen W. K. Present and future arboviral threats // Antiviral Res 2010. V. 85. № 2 (328. doi: 10.1016/j.antiviral.2009.10.008).

Webster R. Influenza an emerging disease // Emerg. Infect. Dis. 1998. V. 4. № 3. P. 416–419.

Wells W. F. Air-borne infection. II. Droplets and droplet nuclei // Am. J. Hyg. 1934. V. 20. P. 611–618.

Wells W. F., Rateliffe H. L., Crumb C. On the mechanism of droplet nuclei infection. II. Quantitative expenmental air-borne infection in rabbits // Am. J. Hyg. 1948. V- 47. P. 11–28.

Westwood J. C. N., Boulter E. A., Bowen E. T. W et al. Experimental respiratory infection with poxviruses. I.

Clinical virological and epidemiological studies // Br. J. Exp. Pathol. 1966. V. 47. № 5. P. 453–465. Whatmore A., Perrett L., MacMillan A. Characterisation of the genetic diversity of Brucella by multilocus sequencing // BMC Microbiol. 2007 V 7:34 doi:10.1186/1471-2180-7-34.

White J. D., Rooney J. R., Pricket! P. A. et al. Paithogciiesis of experimental respiratory tularemia in monkeys // J. Inf Dis. 1964. V. 47. P. 277–286 Wiener S. L. Strategies ofbiowaffarae defense // Mil. Med. 1987. V. 152. № 1. P. 25–28.

Wiese М., Agostino P., Troco К. M. et al. Neurotoxic alkaloids saxitoxin and its analogs // Mar. Drugs. 2010. V. 8. P. 2185–2211.

Wilhelmseann C., Pitt L. Lesions of acute inhaled lethal ricin intoxication in Rhesus monkeys // Vet. Pathol. 1996. V. 33. P. 296–302

Williams D. A. RAC reviews serious adverse event associated with AAV therapy trial // Mol. Ther. 2007. V. 15. P. 2053–2054.

Williams P., Wallace D. Unit 731: The Jap. Army’s secret of secrets. Lonaon, 1989.

Winn W.C., Walker D. H. The pathology of human Lassa fever // Bull. World Health Organ. 1975. V. 52. P. 535–545.

Win-Shwe Tin-Tin., Fujimaki H. Nanoparticles and neurotoxicity // Int,J. Mol. Sci. 2011. V. 12. P. 6267–6280. Wirth М. C., Georghiou G. P., Federici B. A. CytA enables CryIV endotoxins of Bacillus thuringiensis to overcome nigh levels of CryIV resistance in the mosquito Culexquinquefasuatus // Proc. Natl. Acad. Sci. USA. 1997. V. 94. P. 10536-10540.

Wirtz S., Neurath M. F. Gene transfer approaches for the treatment of inflammatory bowel disease // Gen. Ther. 2003. V. 10. P. 854–860.

Wiser I., Balicer R. IX, Cohen D. An update on smallpox vaccine candidates and their role in bioterrorism related vaccination strategies // Vaccine. 2007. V. 25 P.976–984.

Wittmann T. J., Biek R., Hassanin A. et al. Isolates of Zaire ebolavirus from wild apes reveal genetic lineage and recombinants // Proc. Natl. Acad. Sci. USA. 2007. V. 104. № 43. P. 17123—17127.

Woker G. We wurde ein neuer Krieg aussehen? — Zurich, Leipzig, 1931.

Wolf-Watz H., Portnoy D., Bolin I. et al. Transfer of the virulence plasmid of Yersinia pestis to Yersinia pseudotuberculosis // Infec. Immun. 1985. V. 48. № 1. P. 241–243.

Woods J. B. Antimicrobials for biological warfare agents // Biological weapons defense. N. J., 2005. P. 285–315. WorobeyM., HolmesE. C. Evolutionary aspects of recombmation in RNA viruses // J. Gen. Virol. 1999. V. 8. P. 2535–2543.

Wozniak R A. F., Touts D. E., Spagnoletti M et al. Comparatn e ICE genomics: ins,gilts into the evolution of the SXT/R391 family of ICEs // PLoS Genet. 2009. V. 5. № 12. el000786.

Wu D., Aronson A. I. Localized mutagenesis defines regions of the Bacillus thuringiensis deltaendotoxin involved in toxicity ana specificity // J. Biol. Chem 1992. V. 267. P. 2311–2327.

Wu F, Fan S., Martiniuk F. et al. Protective effects of anti-ricin А-chain antibodies delivered intracellularly against ricin-induced cytotoxicity // World. J. Biol. Chem. 2010. V. 26. № l. P. 188–195.

Wu Lien Ten U. A., ChunJ. W, Pollitzen R. et al. Plague. Shanghai, 1936.

Wu S. J. KollerC. N., Miller D.L. atal Enhanced toxicity of Bacillus thuringiensis Cry ЗА delta-endotoxin in coleopterans by mutagenesis in a receptor binding loop // FEBS Lett. 2000. V. 473. P. 227–232.

WuS. Y, McMillan N. A. J. Lipidic systems for in vivo siRN A delivery // AAPSJ. 2009. V. 11, № 4. P. 639–642.

Wyers М., Formenty P, Cherel Y et al. Histopathological and Immunohistochemical studies of lesions associated with Ebola virus in a naturally infected chimpanzee // J. Infec. Dis. 1999.V. 179 (Suppl 1): S54-S59.

Wyssokowitsch et Zabolotny // Ann. Inst. Past. 1897. V. XI. P. 665.

Yamaizumi М., Mekada E., Uchida T. et al. One molecule of diphtheria toxin fragment A introduced into a cell can kill the cell // Cell. 1978 V 15. P. 245–250.

Yamazaki Y., Matsunaga Y., Tokunuga Y Snake venom vascular endotheiial growth factors (VEGF-Fs) exclusively vary their structures and functions among species // J. Biol. Chem. 2009. V. 284, № 15. P. 9885–9891.

Yao J. S., Kariwa H., Takashima I. et al. Antibody-dependent enhancemen* of hantavirus infection in macrophage cell lines*f/ Arch. Viroi i992. V. 122. № 1–2. P. 107–118.

Yeaman M. R., Roman E., Baca O. Antibiotic susceptibilities of iwo Coxiella burnedi isolates implicated in distinct clinical syndromes // Antimicrob. Agents Chemother. 1989. V. 33. № 7. P. 1052–1057.

Yim G., Wang H. H. Davies J. Antibiotics as signaling molecules // Phil. Trans. F. Soc. B. 2007. V. 362. P. 1195–1200.

Yin H. L., Lin H. S, Huang С. С et al. Tetrodotoxication with Nassautu glans. a poss.tility ot tetrodoioxin spreading in marine products near Pratas island // Am. J. Trop. Wed. Hyg. 2005. V. 73 № 5. P. 985–990.

Yingst S. L., Huzella L. М., Chuvala L. et al. A rhesus macaque (Macaca mulatta) model of aerosol-exposure brucellosis (Brucella suis): pathology and diagnostic implications // J. Med. Microbiol. 2010. V. 59. P. 724–730.

Yotsu-Yamashita M. Chemistry of puffer fish toxin // J. Toxicol.: Toxin Rev. 2001. V. 20. P. 51–66.

Yotsu-Yamashita M., Kim Y. H., Dudley S. C. et al. The structure of zetekitoxin AB, a saxitoxin analog from the golden frog Atelopus zeteki: a potent sodium channel blocker // Proc. Natl. Acac. Sci. USA. 2004. V. 101. P. 4346–4351.

Yu Li, Carroll D., Gardner S. et al. On the origin of smallpox Correlating variola phytogenies with historical smallpox records // Proc. Natl. Acad. Sci USA 2007. V. 104. P. 15787—15792.

Yun N. E, Peng В. H., Bertke A. S/ et al. CD4+ T cells provide protection against acute lethal encephalitis caused by Venezuelan equine encephalitis virus // Vaccine. 2009. V. 19. № 27. P. 4064–4073.

Zacks M. A., Paessler S. Encephalitic Alphaviruses // Vet. Microbiol. 2010. V. 140. № 3–4 (281. doi:10.1016/ j.vetmic.2009.08.023).

Zaiss A. K., Machado H., Herschman H. R. TheQI influence of innate and pre-existing immunity on adenovirus therapy // J. Cell Biochem. 2009. V. 108. № 4 (778 do.:10.1002/jcb.22328).

Zeh H. J., Bartlett D. L Development of a replication-selective, oncolytic poxvirus for the treatment of human cancers // Cancer Gen. Ther. 2002. V. 9. P. 1001–1012.

Zeng J., Wang S. Enhanced gene delivery to PC 12 cells by a cauonic polypeptide // Biomaterials. 2005. V 26. P. 679–686.

ZentnerR. J. Techniques of aerosol formation // Bact. Rev. 1961. V. 25. № 3. P. 188–193.

Zhang J. Evolution by gene duplication: an update // Trends. EcVol 2003 V. 18. № 6. P. 292–298.

Zhang X. K, La Russa V. F., Reiser J. Transduction of bone-marrow-derived mesenchymal stem cells by using lentivirus vectors pseudotyped with modified RD114 envelope glycoproteins // J. Virol. 2004. V. 78. P. 1219–1229.

Zhang Y., Calon F., Zhu C. et al. Intravenous nonviral gene therapy causes normalization of striatal tyrosine hydroxylase and reversal of motor impairment in experimental parkinsonism // Hum. Gene. Ther 2002. V. 14. P. 1–12.

Zimmer T. Effects of tetrodotoxin on the mammalian cardiovascular system // Mar. Drugs. 2010. V. 8. P. 741–762.

Zinn-Justin S., Roumestand C., Gilquin B. et al. Three-dimensional solution structure of curaremimetic toxin from Naja nigricillis venom: a proton NMR and molecular nodehng study // Biochemistn. 1992. V. 31. P. 11335-11347.

ZvbayG., Balfour R., ChubakB. et al. Agents ofbioterrorism. Pathogens and their weaponization. N. Y., 2005.

Supotnitsky M. V. Biological warfare. Introduction to the epidemiology of artificial epidemic processes and biological lesions: monograph. — M.: «Cathedra», «Russkaja panorama», 2013. 1136 p.: Il.


The author is a Russian scientist, a former military microbiologist, the colonel of medical service reserve. The purpose of the work is justification of the third section of epidemiology, epidemiology of artificial epidemic processes, which develop as a result of use of biological weapons or acts of biological terrorism. The monograph comprises three parts. The first one is devoted to the history of biological warfare and biological terrorism.

The second part of the book is the rationale properly for the epidemiology of artificial epidemic processes (termed by the author “incorrect epidemiology”). This part examines the object, purpose and objectives of incorrect epidemiology, provides a classification of biological threats which takes into account recent advances in genetics of microorganisms and the development of nanobiotechnology, and summarizes biological damaging agents. Further in this part, principles are considered of the epidemiological investigation of artificial epidemic processes and specific biological lesions. The methodology of detection of bioterrorist organizations is presented.

The third part of the book is devoted to the specifics of incorrect epidemiology in relation to epidemic outbreaks (poisoning) caused by micro-organisms (toxins) considered to be the most dangerous agents of biological warfare. The data are presented on the microbiology of these agents, their pathogenicity factors, taxonomy, origin, molecular epidemiology, ecology, natural epidemiology, infective (damaging) doses, distinctive features of genetically modified strains, and other information necessary to establish commitment of the use of biological weapons or biological terrorist act.

Diagnosis of artificial lesion by a biological agent is based on the comparison of the epidemiology, clinical manifestations, pathologic anatomy and pathomorphology that are characteristic of cases of the disease resulting from natural infection (poisoning) to those that may occur as a result of the deliberate introduction of the biological agent into the human body. Included are case records of people who were victims of natural or artificial infection (poisoning) and the results of simulating experiments on animals.

The book is intended for a broad range of scientists, physicians, health care and law enforcement officials, and is primarily aimed at professionals of the basic level, who are usually the first to face the consequences of acts of terrorism and sabotage.

Reviewer: S. V. Petrov, Ph.D., winner of the Lenin Prize in 1991, Colonel General in retirement. In 1989–1991, Chief of Chemical Troops USSR, 1991–2001 Head of Radiation, Chemical and Biological Defense Troops of the Russian Federation (Moscow).


Рецензент: С. В. Петров, доктор технических наук, лауреат Ленинской премии 1991 г., генерал-полковник в отставке. В 1989–1991 гг. начальник Химических войск СССР; в 1991–2001 гг. начальник Войск радиационной, химической и биологической защиты Российской Федерации (Москва).

Примечания

1

По R. Keim et al. (2000).

(обратно)

2

Подробнее о способах генетического переноса см. в разд. 2.2.2 «Механизмы вмешательства в геном бактерий».

(обратно)

3

Миноциклин — полусинтетическое производное тетрациклина. У препарата отсутствует перекрестная устойчивость с тетрациклинами.

(обратно)

4

В основном эти неудобства были связаны с гомологичной рекомбинацией и действием рестриктирующих ферментов бацилл, при водящих к нестабильности чужеродных плазмид. Поэтому такие эксперименты тогда старались выполнять, используя в качестве реципиента мутантные В. subtilis с отключенными системами рекомбинации и рестрикции (штаммы MI 112, МI119, МI120 и др.).

(обратно)

5

В экспериментах используется штамм Ames с искусственной устойчивостью к ципрофлоксацину. Его природный вариант обладает резистентностью к пенициллинам третьего поколения и способностью преодолевать иммунитет, создаваемый коммерческими сибиреязвенными вакцинами. Это его «террористы» применили в США для совершения так называемой «почтовой атаки» осени 2001 г., сыгравшей главную роль в нагнетании в мире обстановки страха перед якобы возрастающей угрозой биотерроризма со стороны Саддама Хусейна (см. разд. 1.12.4). Тогда ципрофлоксацин помог избежать массовой гибели американских граждан от сибирской язвы (см. далее «Клинические примеры искусственно вызванной сибирской язвы»).

(обратно)

6

Здесь и далее порядковая нумерация случаев сибирской язвы биотеррористического акта сентября — октября 2001 г. соответствует их нумерации в табл. 1.11.

(обратно)

7

По J. A. Jernigan et al. (2001).

(обратно)

8

По J. A. Jernigan et al. (2001).

(обратно)

9

SGGT — сывороточная глутаматоксалацетаттрансаминаза; SGPT — сывороточная глутаматпируваттрансаминаза.

(обратно)

10

По J. Guamer et al. (2003).

(обратно)

11

Количество плевральной жидкости в правой (R) и левой (L) плевральной полости.

(обратно)

12

Аналогичную клинику болезни наблюдали у приматов Н. В. Литусов с соавт. (2002) (см. выше «Моделирование на экспериментальных животных ситуации искусственного заражения В. anthracis»).

(обратно)

13

Эти расхождения объяснимы. В США имело место ингаляционное заражение людей, в Свердловске — энтеральное. Патологоанатом Jl. М. Гринберг (1995), приняв за абсолютную истину политизированное объяснение М. Meselson et al. (1994) причины вспышки сибирской язвы в Свердловске, как следствие «выброса с военного объекта русских», был вынужден «принять» кишечную форму сибирской язвы за ингаляционную. Никакого секрета кишечная форма сибирской язвы д ля патологоанатома не представляет еще с начала XIX в. Довольно подробно она описана в работе Ф. Гейрота (1807), ее патанатомия имеется в старом учебнике Г. А. Ива-шенцова (1948). Патанатомию кишечной сибирской язвы, описанную в работе И. Л. Богданова (1935), я привел выше. Видимо, желание «вписаться» в ценности «Свободного мира» оказалось для Льва Моисеевича гораздо сильнее его представлений о научной репутации.

(обратно)

14

Аналогичные результаты получили Н. В. Литусов с соавт. (2002), осуществив ингаляционное заражение приматов мелкодисперсным аэрозолем спор В. anthracis (см. выше «Моделирование на экспериментальных жи вотных ситуации искусственного заражения В. anthracis»). Сибиреязвенная пневмония обнаружена ими у 4 % павианов гамадрилов. Эти авторы считают сибиреязвенную пневмонию вторичной, т. е. возникшей в результате гематогенного заноса спор В. anthracis в паренхиму легких.

(обратно)

15

За основу взята таблица из работы А. P. Anisimov et al. (2004).

(обратно)

16

Территориальные границы очагов чумы, расположенных на территории бывшего СССР, приведены ниже.

(обратно)

17

Таблица составлена А. P. Anisimov et al. (2004) по работам разных авторов.

(обратно)

18

Количества pPst-изолятов Y. pestis подвида Altaica изменяются и в отдельные годы они составляли до 10 % от общего количества изолятов.

(обратно)

19

Основным хозяином в этом очаге может быть Marmota caudata.

(обратно)

20

Таблица составлена А. P. Anisimov et al. (2004) по работам разных авторов. Граница очагов чумы очерчены авторами по границам чумных эпизоотий среди грызунов, зафиксирован — HBIXB XX в.

(обратно)

21

Постоянная активность указывает на наблюдение за активность в течение всего периода эпизоотии. Периодическая активность означает, что эпизоотии прерывались 2—10-летними периодами между вспышками.

(обратно)

22

Ответ на вопрос, кто «главный или энзоотический хозяин, ответственный за поддержание Y. pestis в природных очагах», и кто, соответственно, «неглавный или эпизоотический хозяин», до сих пор не получил ответа, удовлетворяющего всех чумологов. А. P. Anisimov et al. (2004), чей работой я здесь пользуюсь, придерживается взглядов на процесс поддержания чумы как на непрерывную эпизоотию среди «энзоотических хозяев». Другие ученые, например, И. В. Домарадский (1998), обращают внимание на то, что десятилетиями в отдельных очагах чумы могут не выявляться отдельные эпизоотии, но потом они внезапно становятся массовыми. Это говорит в пользу существования совершенно иных очагов чумы, чем поддерживающиеся среди грызунов (их границы см. в табл. 3.9). Поэтому при расследовании преступления, вызывавшего вспышку чумы, необходимо понимать, что приглашенные эксперты чумологи могут принадлежать к антагонистическим школам.

(обратно)

23

В разд. 1.8 приведен пример вспышки чумы в китайском городе Чанде без чумной эпизоотии среди крыс. Вспышка была вызвана распространением японцами зараженных чумой блох.

(обратно)

24

В начале 1880-х гг.

(обратно)

25

На рис. 3.32 показана динамика заболеваний всеми формами чумы в ст. Ветлянская (максимум 8 декабря). Пик гибели людей смещен на несколько дней (максимум 14 декабря).

(обратно)

26

По М. Л. Блюменфельду (1911).

(обратно)

27

Таблица составленана основе работы А. P. Anisimov et al. (2004). Символы: —отсутствие признака; + наличие признака; ± наличие признака, но не во всех штаммах;? — нет данных.

(обратно)

28

Штаммы подвида caucasica не имеют плазмиды pPst.

(обратно)

29

Штаммы чувствителы к пестицину штаммов из подвидов pestis и altaica и так же резистентны к пестицину из штаммов своего собственного подвида.

(обратно)

30

Существует точка зрения, что главным хозяином в этом очаге может быть Marmota caudata.

(обратно)

31

По В. М. Туманскому (1958).

(обратно)

32

Условные обозначения: + восприимчивы; — невосприимчивы.

(обратно)

33

Попытки японских военных ученых повысить вирулентность возбудителя чумы описаны в разд. 1.8.

(обратно)

34

См. в разд. 2.2.2 «Механизмы развития резистентности к антибактериальным препаратам у бактерий».

(обратно)

35

Подробно о роли ЛПС возбудителя чумы в патогенезе болезни см. в диссертационной работе Р. 3. Шахутдиновой (2008).

(обратно)

36

В работе (Супотницкий М. В., Супотницкая Н. С., 2006) приведены десятки описаний клиники и патанатомии различных форм чумы, сделанных авторами, непосредственно участвовавшими в ликвидации эпидемий чумы. В данном разделе приводятся обобщенные описания, взяв за основу работы Е. П. Шуваловой с соавт. (2001) и В. М. Туманского (1958).

(обратно)

37

Возможны отдельные вспышки чумы с преобладанием кожной формы болезни. Примером может служить чума 1920 г. в Батуми, где кожная форма составила до 80 % всех случаев болезни (Руднев Г. П., 1938).

(обратно)

38

Составлена по работам В. Госа (1907), Г. С. Кулеши (1912, 1924), М. J. Finegola (1968) и R. Van Andel et al. (2008).

(обратно)

39

Для названий штаммов ВНО, вызывающих малую оспу, установлены терминологические разграничения, обусловленные различиями в их биологических свойствах и происхождении: variola minor используется для обозначения африканских штаммов, a alastrim — для штаммов, выделенных в Южной Америке. Различий в клиническом течении вызываемой ими болезни не установлено.

(обратно)

40

По G. Gubser et al. (2004).

(обратно)

41

Yu Li et al. (2007), на основе анализа SNP, переносят время проникновения ВНО в человеческие популяции из популяций грызунов еще на более ранний срок — 68 тыс. лет до н. э. Появление в Южной Америке вируса алястрима они рассматривают как результат дивергенции ВНО, но датируют VI тысячелетием до н. э., т. е. еще до открытия Америки европейцами.

(обратно)

42

Алексей Алексеевич Кокорекин (1906–1959) — советский график. Заслуженный деятель искусств РСФСР (1956). Лауреат двух Сталинских премий (1946, 1949).

(обратно)

43

По А. Ф. Серенко (1962).

(обратно)

44

По А. Ф. Серенко (1962).

(обратно)

45

По С. С. Маренниковой и С. Н. Щелкунову (1998).

(обратно)

46

Такое название таблице дал ее составитель — G. McFadden (2004).

(обратно)

47

Для описания клиники и патанатомии натуральной оспы в основном использовались работы Э. А. Гальперина (1962); П. Н. Бургасова, Г. П. Николаевского (1972); С. С. Маренниковой, С. Н. Щелкунова (1998). Классификация клинических форм натуральной оспы взята из работы П. Н. Бургасова, Г. П. Николаевского (1972), параллельно приведена классификация из работы С. С. Маренниковой и С. Н. Щелкунова (1998).

(обратно)

48

По С. С. Маренниковой и С. Н. Щелкунову (1998).

(обратно)

49

Для описания оспы обезьян у людей в основном использовалась работа С. С. Маренниковой и С. Н. Щелкунова (1998).

(обратно)

50

J. L. Chapman et al. (2010).

(обратно)

51

Эту модель авторы считали более соответствующей течению натуральной оспы у людей при ингаляционном заражении, чем приматов, зараженных ВНО.

(обратно)

52

По С.С. Маренниковой и С.Н. Щелкунову (1998).

(обратно)

53

Общее количество больных — 3544.

(обратно)

54

Общее количество больных — 3398.

(обратно)

55

За основу взята работа L. Borio et al. (2002).

(обратно)

56

Относится к вирусам геморрагических лихорадок Старого Света (Old World complex). В эту же группу входят вирус лимфоцитарного хориоменингита (Lymphocytic choriomeningitis, LCMV), вирусы Мопея (Mopeia virus, MOPV), Мобала (Mobala virus, MOBV), Иппи (Ippy virus, IPPV), Луджо (Lujo virus, LUJV).

(обратно)

57

Относится к вирусам геморрагических лихорадок Старого Света (Old World complex). В эту же группу входят вирус лимфоцитарного хориоменингита (Lymphocytic choriomeningitis, LCMV), вирусы Мопея (Mopeia virus, MOPV), Мобала (Mobala virus, MOBV), Иппи (Ippy virus, IPPV), Луджо (Lujo virus, LUJV).

(обратно)

58

Группа New World Arenaviridae (Аренавирусы Нового Света) включает вирус Machupo (Мачупо), вызывающий Боливийскую геморрагическую лихорадку; вирус Junin (Хунин), вызывающий Аргентинскую геморрагическую лихорадку; вирус Guanarito (Гуанарито), вызывающий Венесуэльскую геморрагическую лихорадку; вирус Sabia (Сэбия), вызывающий Бразильскую геморрагическую лихорадку и др.

(обратно)

59

По L. Borio et al. (2002).

(обратно)

60

Сотрудники US Army Medical Research Institute of Infectious Diseases, Fort Detrick, Maryland, США.

(обратно)

61

По И. В. Борисевичу с соавт. (2006) с дополнениями из работы P. L. Melito et al. (2008).

(обратно)

62

Считаю существенным упущением этих исследований то, что не были изучены почвенные простейшие как возможный первичный резервуар филовирусов. Если исследователей заинтересовала резервуарная роль растений, значит связь между ними и заражением позвоночных животных предполагалась. Филовирусы не живут в растительных клетках, но они могут проникнуть в растения вместе с почвенной водой, содержащей инфицированные простейшие.

(обратно)

63

В московских зоомагазинах М. natalensis продают как корм для рептилий.

(обратно)

64

Прежде всего они «не интересны» разработчикам вакцин против гриппа (феномен OAS), ВИЧ (феномены OAS и ADE), гепатита С (феномен ADE) и энцефалитов, вызываемых флавивирусами (феномен ADE).

(обратно)

65

Выявление в плазме крови D-димера свидетельствует об активации фибринолиза. Определение в плазме D-димера используется для исключения тромбоза и диагностики ДВС-синдрома.

(обратно)

66

По L. Borio et al. (2002).

(обратно)

67

По работам Marburg and Ebola… (1977); Е. П. Шуваловой с соавт. (2001); L. Borio et al. (2002); И. В. Борисевича с соавт. (2006).

(обратно)

68

Термин «бронхиолоцентрическая модель пневмонии», предложенный Е. Johnson et al. (1995), можно рассматривать как синоним используемого в этой книге термина «патология мелкодисперсного аэрозоля».

(обратно)

69

Использована работа А. А. Акинфеевой с соавт. (2005).

(обратно)

Оглавление

  • СПИСОК СОКРАЩЕНИЙ
  • Часть 3. ЧАСТНАЯ НЕПРАВИЛЬНАЯ ЭПИДЕМИОЛОГИЯ
  •   3.1. Сибирская язва
  •   3.2. Чума
  •   3.3. Туляремия
  •   3.4. Бруцеллез
  •   3.5. Сап
  •   3.6. Мелиоидоз
  •   3.7. Ку-лихорадка
  •   3.8. Натуральная оспа, оспа обезьян
  •   3.9. Вирусные геморрагические лихорадки
  •   3.10. Арбовирусные энцефалиты
  •   3.11. Рицин
  •   3.12. Ботулинические токсины
  •   3.13. Стафилококковый энтеротоксин В
  •   3.14. Сакситоксин
  •   3.15. Тетродотоксин
  •   3.16. Палитоксин
  • СЛОВАРЬ ТЕРМИНОВ
  • СПИСОК ЛИТЕРАТУРЫ
  • *** Примечания ***